يد
عند الإنسان، اليد (بالإنجليزية: Hand) طرف من الأطراف العلوية، يتصل بالساعد عبر المعصم. باليد خمس أصابع تسمح بتحسس الأشياء وتلمسها كما تساعد في مسكها. تشكل اليد أداة مهمة للإنسان تسمح له بأداء أعماله المختلفة.
| يد | |
|---|---|
| الاسم اللاتيني Manus | |
![]() الجهتان الخلفية و راحة اليد ليد الإنسان. | |
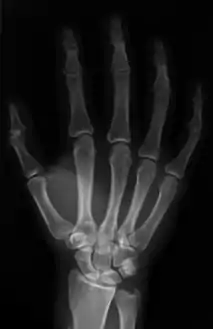
![]() أشعة سينية لليد أشعة سينية لليد | |
| تفاصيل | |
| الوريد المصرف | شبكة وريدية ظهرانية لليد |
| الأعصاب | عصب زندي، عصب متوسط، عصب كعبري |
| يتكون من | إصبع اليد ، وكف ، وخنصر ، وبنصر ، وسبابة ، ووسطى ، وإبهام ، ورسغ اليد ، ومشط اليد |
| نوع من | منطقة تشريحية |
| ترمينولوجيا أناتوميكا | 01.1.00.025 |
| FMA | 9712 |
| UBERON ID | 0002398 |
| ن.ف.م.ط. | A01.378.800.667 |
| ن.ف.م.ط. | D006225 |

تُستخدم الأيدي كذلك، للَّمس وتحسس الأشياء. وتحتوي اليد البشرية على الأقل على أربعة أنواع من النهايات العصبية التي تجعل الأصابع شديدة الحساسية. ويعتمد الكفيف كليًّاً على حاسة اللّمس عند القراءة، حيث يمرر أصابعه على الحروف البارزة في كتب بريل.
تساعد اليد البشريَّة الناس كذلك في الاتصال بعضهم ببعض كما هو الحال في لغة الإشارة لدى هنود أمريكا الشمالية أو لغة الصُّم. وفي لغات الإشارات هذه، يشكِّل وضع اليد والأصابع والحركات عبارات وكلمات معينة. وتوحي الأيادي بتعبيرات وأفكار مألوفة. ومن الأمثلة المشهورة على ذلك القبضة المغلقة لليد تعبيراً عن الغضب، ورفع راحة اليد تعبيراً عن السَّلام أو الاستسلام، وإشارة رقم 7 تعبيراً عن النصر، أو الإبهام المقلوب للأسفل تعبيراً عن عدم الموافقة.[1]
تتصل اليد بالساعد عبر المعصم. يوجد في اليد خمس أصابع تسمح بتحسس الأشياء وتلمسها كما تساعد في مسكها. تشكل اليد أداة مهمة للإنسان تسمح له بأداء أعماله المختلفة.
تستخدم اليد في التواصل أيضا، فالإنسان يستعملها كوسيلة تعبير ترافق الكلام. بالنسبة للصم، فاليد بمقام اللسان عندهم باستعمال لغة الإشارة.
وصف

اليد هي آخر جزء من الذراع، وتتكون راحة اليد يرتبط بها خمس أصابع هي :
- الإبهام : في حالة بسط اليد، يكون اتجاهه مختلف عن بقية الأصابع.
- السبابة : أو أصبع الإشارة، هو الأصبع المتواجد بين الوسطى والإبهام.
- الوسطى: أكبر الأصابع طولا.
- البنصر
- الخنصر
راحة اليد تمثل الجزء الأكبر عليها ثلاث خطوط تظهر منذ الولادة.

العظام

يد الإنسان مكونة من 27 عظاما :
- الرسغ ويضم 8 عظام تشكل صفين بكل واحد 4 عظام.
- مشط اليد وهو مجموعة العظام التي تشكل راحة اليد، وعددها 5.
- السلاميات هي مجموعة عظام أصابع اليد وعددها 14.

استعمالات اليد
يستعمل الإنسان يديه كثيرا، وفي الغالب ما تستعمل إحداهما بشكل أكبر من الأخرى لأسباب مختلفة قد تكون دينية أو مجرد تعود. معظم البشر يتستعمل أكثر اليد اليمنى هذا ما قد يسبب أحيان بعض المضايقة للأعسر مستعمل اليد اليسرى.
تركيبة اليد تسمح بالقيام بأشغال كثيرة مثل :
رمزية اليد
مقالة مفصلة: حركات اليد
معظم حركات اليد تحمل معنا خاص قد يختلف ذلك من ثقافة لأخرى. على سبيل المثال :
- التصفيق : وهو ضرب راحة اليدين ببعضهما دالة على الترحيب أو الإعجاب.
- قبض كل الأصابع ما عدا السبابة : يستعمل عادة للإشارة
الأيادي عند الحيوانات
تشبه الأطراف الأمامية في العديد من الحيوانات يد الإنسان، وتمتاز هذه الأجزاء بالترتيبات الأساسيّة نفسها للعظام والعضلات سواء كانت تستخدمها هذه الحيوانات من أجل الحفر، أو الطيران، أو السباحة، أو الجري. ولا يوجد أكثر من خمسة أجزاء في يد أي حيوان. وتوجد عدَّة أنواع من الأيدي للحيوانات. يد حيوان الخلد قصيرة مكتنزة تصلح مجرفة لحفر الخنادق. والطرف الأمامي للخفاش هو جناح بجلدة من اللَّحم تمتد بين الأصابع. ويد الطائر كذلك جناح، وتقوم السلاميّات وعظام اليد بدعم الجناح. أما يد حيوان الفقمة، فهي زعانفه أيضاً. حيث التحمت العظام أو نمت معاً لكي تشكِّل مجدافا عريضاً يصلح للسباحة.[1]




