أحشاء معكوسة الموضع
أحشاء معكوسة الموضع[1] أو الانعكاس الجذعي أو انقلاب وضع الأحشاء (بالإنجليزية: Situs inversus) هو حالة خِلقية يتم فيها عكس الأعضاء الحشوية الرئيسية من مواقعها الطبيعية. وعلى الرغم من شيوع المشاكل القلبية في هذه الحالة، لكن معظم الذين يعانون من الأحشاء مقلوبة الموضع ليس لديهم أي أعراض طبية أو مضاعفات ناجمة عن هذه الحالة، حتى أنها لم تُشخَّص حتى ظهور الطب الحديث.
| الانعكاس الجذعي | |
|---|---|
| معلومات عامة | |
| الاختصاص | علم الوراثة الطبية |
| من أنواع | التوضع الحشوي المغاير |
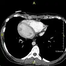
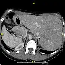
وُجِد الانعكاس الجذعي في حوالي 0.01% من البشر،[2] أو في حوالي شخص من كل 10,000. في الحالة الأكثر شيوعًا، الانعكاس الجذعي كليًا، يكون هناك تبديل كامل لجميع أعضاء البطن. لا يكون القلب في موضعه المعتاد أيسر الصدر ولكن على اليمين، وهي حالة تعرف باسم قلبٌ يمينيّ. ولأن العلاقة بين الأعضاء لا تتغير، فلا يعاني الأشخاص من أي أعراض أو مضاعفات طبية، على الرغم من وجوب تعريف وتحذير الطاقم الطبي في حالات الطوارئ من أن الأعضاء الداخلية للمريض منعكسة عن الوضع الطبيعي، على سبيل المثال للاستماع إلى ضربات القلب على اليمين وليس الجانب الأيسر من الصدر.[3]
هناك حالات أكثر ندرة مثل غموض أو التباس الموضع أو الموضع غير المتجانس. وفي هؤلاء المرضى، قد يتواجد الكبد في خط الوسط، ويتعدد الطحال أو لا يوجد تمامًا مع سوء استدارة الأمعاء. وهذا أكثر عرضة للتسبب في مشاكل طبية من الانعكاس الجذعي الكلي.[4]
العلامات والأعراض
في غياب العيوب الخلقية في القلب، يكون الأفراد المصابين بالانعكاس الجذعي طبيعيين ظاهريًا، ويمكن أن يعيشوا حياة صحية طبيعية من دون أي مضاعفات تتعلق بحالتهم الطبية. هناك انتشار 5-10٪ من أمراض القلب الخلقية في الأفراد الذين يعانون من الانعكاس الجذعي الكلي، والأكثر شيوعًا هو انعكاس الأوعية الدموية الكبيرة. تبلغ نسبة الإصابة بأمراض القلب الخِلقية 95٪ في حالة الانعكاس الجذعي مع أيسريَّة القلب.
لا يعي كثير من الأفراد إصابتهم بالانعكاس الجذعي حتى يسعون للحصول على الرعاية الطبية لأسباب مختلفة، مثل كسر الضلع أو التهاب الزائدة الدودية. ويمكن أيضًا اكتشاف هذه الحالة أثناء إعطاء أدوية معينة أو أثناء اختبارات مثل ابتلاع الباريوم أو الحقنة الشرجية.[5] قد يؤدي عكس الأعضاء إلى بعض الارتباك، حيث أن العديد من العلامات والأعراض ستكون على الجانب غير النمطي. على سبيل المثال، إذا كان الشخص يعاني من التهاب الزائدة الدودية، فإنه سيعرض على الطبيب ألم أسفل الجزء الأيسر من البطن[6] عكس ما هو معروف بأن يكون ألم الالتهاب أسفل الجانب الأيمن. لذا يجب على الأشخاص الذين يعانون من هذه الحالة النادرة إبلاغ الأطباء قبل الفحص، فيمكن للطبيب إعادة توجيه البحث عن أصوات القلب وغيرها من العلامات.
تؤثر الحالة في عمليات زرع الأعضاء؛ على سبيل المثال في حالة زرع القلب لشخص مصاب بالانعكاس الجذعي، فإنه يحتاج إلى نقل جميع الأوعية الدموية مع القلب المتبرع ثم عكس وضعهم فيه (المُستلِم) مما يستلزم خطوات بحيث تنضم الأوعية الدموية بشكل صحيح.
السبب



مقالة مفصلة: خلل الحركة الهدبي الأولي
يكون الانعكاس الجذعي ذي وراثة جينية متنحية على الرغم من أنه يمكن أن يكون مرتبطًا بالكروموسوم X أو موجودًا في التوائم المتطابقة.[7][8]
حوالي 25٪ من أفراد الانعكاس الجذعي لديهم حالة كامنة معروفة باسم خلل الحركة الهدبي الابتدائي. وهي خلل في الأهداب يتجلى خلال مرحلة نمو الجنين. تعمل عادةً الأهداب على تحديد موقع الأعضاء الداخلية خلال التطور الجنيني في وقت مبكر، فهناك فرصة 50٪ من المرضى بهذه الحالة لحدوث الانعكاس الجذعي. يُسمَّى ذلك متلازمة كارتاغنر، والتي تتميز بثالوث الانعكاس الجذعي والتهاب الجيوب الأنفية المزمن وتوسع القصبات (توسع الشُّعَب). الأهداب أيضًا مسؤولة عن إزالة المخاط من الرئة، ويسبب الخلل الوظيفي زيادة التعرض لالتهابات الرئة. يمكن أن يحدث العقم عند الذكور في متلازمة كارتاجنر إذ أن الأهداب السليمة مطلوبة لوظيفة حركة الحيوانات المنوية.
التأثير على التشريح
تؤثر الحالة على جميع التراكيب الرئيسية داخل الصدر والبطن. إذ تكون الأعضاء منقولة عبر المستوى السهمي. يقع القلب على الجانب الأيمن من الصدر، والمعدة والطحال على الجانب الأيمن من البطن بينما الكبد والمرارة على الجانب الأيسر. يتواجد الأذين الأيمن الطبيعي في القلب على اليسار، والأذين الأيسر على اليمين. يُعكس تشريح الرئة فيكون للرئة اليسرى ثلاثة فصوص في حين للرئة اليمنى اثنان من الفصوص. تنعكس الأمعاء وغيرها من التراكيب الداخلية والأوعية الدموية والأعصاب واللمفاويات أيضًا.
إذا انعكس القلب إلى الجانب الأيمن من الصدر، فإنه يعرف باسم "الانعكاس الجذعي مع قلب يميني" أو "الانعكاس الجذعي الكُلِّي". إذا بقى القلب على الجانب الأيسر الطبيعي من الصدر، وهي حالة نادرة جدًا (1 من كل 2,000,000 شخص)، فإنه يعرف باسم "الانعكاس الجذعي مع أيسريَّة القلب" أو "الانعكاس الجذعي غير الكُلِّي".
قد يحدث انعكاس للقرص البصري على جانب واحد أو على كلا الجانبين، ويكون مصحوبًا بانخفاض الرؤية الثنائية وحدة البصر المُجسَّمة مما يشابه متلازمة الحول الخفي. يتميز ذلك بظهور الأوعية الشبكية في اتجاه شاذ (من الجانب الأنفي بدلا من الجانب الصدغي) مع انحراف القرص البصري.[9]
التاريخ
شُوهِد القلب اليميني (القلب الذي يقع على الجانب الأيمن من الصدر) لأول مرة ورُسِم بواسطة ليوناردو دا فينشي في 1452-1519، ثم عرفه ماركو أوريليو سيفيرينو في 1643. رغم ذلك وُصِف أول مرة بعد ما يقرب من قرن من الزمن من قِبَل ماثيو بايلي.
الحالات البارزة
من بين الأشخاص البارزين الذين لديهم حالات مُوثَّقة بالانعكاس الجذعي:
- إنريكي إغليسياس، مغني إسباني وكاتب أغاني وممثل ومنتج.[10]
- كاثرين أوهارا، ممثلة كندية أمريكية وكاتبة وكوميدية.[11]
- دوني أوزموند، مغني أمريكي وممثل. كان مشهورًا بإصابته بالتهاب الزائدة الدودية والذي تم تشخيصه خطئًا بسبب أعضائه المنعكسة.[12]
- راندي فوي، لاعب كرة سلة أمريكي في الدوري الأميركي للمحترفين. لم يعاني من أي مضاعفات ملحوظة، ولا يُتوقَّع أن تعرض الحالة حياته المهنية كرياضي محترف للخطر.[13]
- تيم ميلر، مدير مركز اليوغا أشتانجا في كاليفورنيا.[14]
انظر أيضًا
مراجع
- يُوسف حِتّي; أحمَد شفيق الخَطيب (2008). قامُوس حِتّي الطِبي للجَيب. بيروت، لبنان: مكتبة لبنان ناشرون. صفحة 384. ISBN 995310235X. الوسيط
|CitationClass=تم تجاهله (مساعدة);|access-date=بحاجة لـ|url=(مساعدة) - Situs Inversus: Definition and Patient Education نسخة محفوظة 08 أبريل 2019 على موقع واي باك مشين.
- "Definition of Situs inversus totalis". MedicineNet. مؤرشف من الأصل في 2 فبراير 2019. الوسيط
|CitationClass=تم تجاهله (مساعدة) - "Situs Inversus Imaging: Overview, Radiography, Computed Tomography". 26 أبريل 2016. مؤرشف من الأصل في 03 سبتمبر 2019 – عبر eMedicine. الوسيط
|CitationClass=تم تجاهله (مساعدة); Cite journal requires|journal=(مساعدة) - Situs inversus of the large intestine discovered after administering a barium enema, إي ميديسين نسخة محفوظة 18 ديسمبر 2017 على موقع واي باك مشين.
- سوء الدوران المعوي can also cause the appendix to be on the left side.
- O Ngim; L Adams; A Achaka; O Busari; O Rahaman; I Ukpabio; D Eduwem. (2013). "Left-Sided Acute Appendicitis With Situs Inversus Totalis In A Nigerian Male – A Case Report And Review Of Literature". The Internet Journal of Surgery. 30 (4). مؤرشف من الأصل في 12 فبراير 2019. الوسيط
|CitationClass=تم تجاهله (مساعدة) - "Situs viscerum specularis in monozygotic twins". Acta Genet Med Gemellol (Roma). 33 (1): 81–5. 1984. PMID 6540028. الوسيط
|CitationClass=تم تجاهله (مساعدة) - Mihir Kothari and Debapriya N Chatterjee. "Unilateral situs inversus of optic disc associated with reduced binocularity and stereoacuity resembling monofixation syndrome" Indian J Ophthalmol. 2010 May-Jun; 58(3): 241–242. doi: 10.4103/0301-4738.62654 PMCID: PMC2886260 https://www.ncbi.nlm.nih.gov/pmc/articles/PMC2886260/ نسخة محفوظة 2020-05-29 على موقع واي باك مشين.
- Silver, Katie (28 April 2015). "Here's why some people are left-handed, according to science". sciencealert.com. Science Alert. مؤرشف من الأصل في 25 ديسمبر 2018. اطلع عليه بتاريخ 23 مايو 2016. الوسيط
|CitationClass=تم تجاهله (مساعدة) - "Catherine O'Hara: particulars". مؤرشف من الأصل في 21 أبريل 2016. الوسيط
|CitationClass=تم تجاهله (مساعدة) - "Reversed Heart, Situs Inversus and Dextrocardia". 20 October 2015. مؤرشف من الأصل في 28 سبتمبر 2017. اطلع عليه بتاريخ أغسطس 2020. الوسيط
|CitationClass=تم تجاهله (مساعدة); تحقق من التاريخ في:|تاريخ الوصول=(مساعدة) - http://wcco.com/sports/Minnesota.Timberwolves.Randy.2.371610.html Rookie T-Wolf's Organs Reversed نسخة محفوظة January 7, 2009, على موقع واي باك مشين.
- "Tuesday September 16th—Encinitas-"God's Hospital" - Tuesdays with Timji". مؤرشف من الأصل في 2 يوليو 2017. الوسيط
|CitationClass=تم تجاهله (مساعدة)
مزيد من القراءة
- McManus, Chris (2002). [[Right Hand, Left Hand]]. دار نشر جامعة هارفارد. ISBN 0-674-00953-3. الوسيط
|CitationClass=تم تجاهله (مساعدة); وصلة إنترويكي مضمنة في URL العنوان (مساعدة) this book was the 2003 Aventis winner and has a description of the history behind the discovery of this medical condition. - "Reversal of left-right asymmetry: a situs inversus mutation". Science. 260 (5108): 679–682. 1993. doi:10.1126/science.8480178. PMID 8480178. الوسيط
|CitationClass=تم تجاهله (مساعدة) - "Conserved left-right asymmetry of nodal expression and alterations in murine situs inversus". Nature. 381 (6578): 158–161. 1996. doi:10.1038/381158a0. PMID 8610013. الوسيط
|CitationClass=تم تجاهله (مساعدة) - Levin M (1997). "Left-right asymmetry in vertebrate embryogenesis". BioEssays. 19 (4): 287–296. doi:10.1002/bies.950190406. PMID 9136626. الوسيط
|CitationClass=تم تجاهله (مساعدة) - "Left/right patterning signals and the independent regulation of different aspects of situs in the chick embryo". Dev. Biol. 189 (1): 57–67. 1997. doi:10.1006/dbio.1997.8662. PMID 9281337. الوسيط
|CitationClass=تم تجاهله (مساعدة) - "The transcription factor Pitx2 mediates situs-specific morphogenesis in response to left-right asymmetric signals". Cell. 94 (3): 307–317. 1998. doi:10.1016/S0092-8674(00)81474-9. PMID 9708733. الوسيط
|CitationClass=تم تجاهله (مساعدة) - "Left-right asymmetry: all hands to the pump". Curr. Biol. 12 (23): R802–803. 2002. doi:10.1016/S0960-9822(02)01312-X. PMID 12477404. الوسيط
|CitationClass=تم تجاهله (مساعدة)
روابط خارجية
- 00698 على النص التشعبي التعاوني للأشعة (CHORUS)
- Chest X-ray & CT scan Radiology Teaching File
- بوابة طب
صور وملفات صوتية من كومنز
