أم الدم الأبهرية الصدرية
أم الدم الأبهرية الصدرية أو تمدد الأوعية الدموية الأبهري الصدري (بالإنجليزية: Thoracic aortic aneurysm)، هي انتفاخ في الجزء العلوي من الشريان الأبهر الموجود في الصدر، فوق الحجاب الحاجز. عدم معالجة أو تشخيص أم الدم الأبهرية الصدرية يمكن أن يكون قاتل بسبب تسلخ أو "فرقعة" الوعاء الدموي المتمدد، مما يؤدي إلى الموت في الحال. أم الدم الأبهرية الصدرية هي أقل شيوعاً من أم الدم الأبهرية البطنية.[1] ومع ذلك، فإن تمدد الأوعية الدموية الزهري شائع الحدوث في الأبهر الصدري أكثر من الأبهر البطني.

| أم الدم الأبهرية الصدرية | |
|---|---|
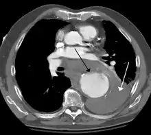
![]() أم دم الأبهر الصدري مع سهم يشير إلى الجانب الوحشي من شريان الأبهر. أم دم الأبهر الصدري مع سهم يشير إلى الجانب الوحشي من شريان الأبهر. | |
| معلومات عامة | |
| الاختصاص | طب القلب |
| من أنواع | أم الدم الأبهرية |
الأسباب
هناك عدد من الأسباب،[2] حيث تتضمن الأسباب التي تسبب تمدد الأوعية الدموية في الشريان الأورطى الصاعد في المرضى الذين تقل أعمارهم عن 40 سنة: ضعف جدار الأبهر المرتبط باضطرابات النسيج الضام مثل متلازمة مارفان، ومتلازمة إهلرز- دانلوس، وصمام الأبهر ثنائي الشرف الخلقي. وقد يحدث تمدد الجزء الصدري والبطني من شريان الأورطى في المرضى الأصغر سنا بسبب تسلخ الأورطى. ويمكن أيضا أن يكون سببه إصابة كليلة.
تصلب الشرايين هو السبب الرئيسي لأم دم الأبهر النازل، في حين أن أم الدم في قوس الأبهر قد يكون بسبب التسلخ، أو تصلب الشرايين أو الالتهاب.
السن
عادة ما يتم تشخيص أم الدم الأبهرية الصدرية في المرضى في العقد السادس والسابع من العمر.
عوامل الخطر
يعتبر ارتفاع ضغط الدم، وتدخين السجائر هما أهم عوامل الخطر، كما أنه بدأ الاعتراف بأهمية العوامل الوراثية على نحو متزايد. قد يكون لدى حوالي 10٪ من المرضى أفراد آخرين في الأسرة لديهم أم الدم الأبهرية. ومن المهم أيضا الإشارة إلى أن الأفراد الذين لديهم تاريخ مرضي من تمدد الأوعية الدموية في أجزاء أخرى من الجسم لديهم فرصة أكبر لتطوير أم الدم الأبهرية الصدرية.[3]
تعريفات
يتم تعريف أم الدم الصدرية البطنية على أن قطر الوعاء الدموي قد تجاوز ما يلي: 4.5 سم في الولايات المتحدة[4] 4.0 سم في كوريا الجنوبية[5] وعموما يعتبر الوعاء الدموي واسعا إذا بلغ قطره 3.5 سم.[4] ومع ذلك، فإن متوسط القيم يختلف باختلاف عمر وحجم السكان المرجعية، فضلا عن اختلاف أجزاء الأبهر المختلفة.
- الحدود العليا للمدى المرجعي القياسي للأبهر الصدري في سكان الولايات المتحدة:[6]
صغار السن كبار السن الأبهر الصاعد 3.3 سم 4.3 سم الأبهرالنازل 2.3 سم 3.2 سم
الفحص الكشفي
تم إصدار مبادئ توجيهية في مارس 2010 للكشف المبكر عن مرض الأبهري الصدري، من قِبل الكلية الأمريكية لأمراض القلب، وجمعية القلب الأمريكية، ومجموعات أخرى. ومن هذه التوصيات:
يجب على الأقارب من الدرجة الأولى للمرضى الذين يعانون من أم الدم الأبهرية الصدرية أو تسلخ الأبهر القيام بتصوير الأبهر للتعرف على المرض غير العرضي. وينبغي تقييم الأشخاص الذين يعانون من أعراض توحي بتسلخ الأبهر الصدري بشكل روتيني "للتحديد المسبق لخطر الإصابة بالمرض الذي يمكن استخدامه بعد ذلك لتحديد القرارات التشخيصية". يجب على الأشخاص الذين تم تشخيصهم بمتلازمة مارفان أن يقوموا بعمل مخطط صدى القلب لقياس الشريان الأبهر، ومتابعتهم بعد 6 أشهر للتحقق من وجود توسع بالأبهر.[7]
العلاج


إن حجم مقطع أم الدم الأبهرية هو أمر حاسم في علاجها. حيث يتم تعريف قطر الشريان الأورطي الصدري الأكبر من 4.5 سم عموما على أنه تمدد في الأوعية الدموية، في حين أن الحجم الأكبر من 6 سم هو حجم مميز للعلاج الذي يمكن أن يكون إما إصلاح من داخل الأوعية الدموية أو جراحيا، مع الاحتفاظ بالجراحة لحالات الشريان الأبهر النازل.[8]
قد تعتمد الحاجة إلى عملية جراحية على حجم تمدد الأوعية الدموية. فقد يتطلب تمدد الأوعية الدموية في الأبهر الصاعد عملية جراحية في حجم أصغر من تمدد الأوعية الدموية في الشريان الأبهر النازل.[9]
وقد يكون العلاج عن طريق الإصلاح بالفتح أو الإصلاح من داخل الأوعية الدموية.
المضاعفات
الأسباب الرئيسية للوفاة بسبب مرض تمدد الأوعية الدموية الصدري هي التسلخ أو التمزق. فإذا حدث تمزق، فإن معدل الوفيات يكون 50-80٪. ويكون معظم الوفيات في المرضى الذين يعانون من متلازمة مارفان نتيجة لمرض الأبهر.
علم الأوبئة
كل عام في الولايات المتحدة، يموت حوالي 45,000 شخص من أمراض الشريان الأبهر وفروعه. يعتبر تسلخ الأبهر الحاد حدث يهدد الحياة بسبب قطع في جدار الأبهر، ويصيب من 5 إلى 10 مرضى من كل مليون نسمة كل عام، ويصيب في الغالب الرجال الذين تتراوح أعمارهم بين 50 و 70، والنساء الأصغر من 40 عاما، حيث تنشأ نصف الحالات تقريبا خلال فترة الحمل. وتحدث معظم هذه الوفيات نتيجة مضاعفات مرض تمدد الأوعية الدموية الصدرية.
المصادر
- Thoracic Aortic Aneurysm في موقع إي ميديسين
- Aneurysms: Aneurysms and Aortic Dissection at Merck Manual of Diagnosis and Therapy Home Edition
- Thoracic Aortic Disease - Northwestern Memorial Hospital. Thoracic Aortic Aneurysm نسخة محفوظة 06 يوليو 2012 على موقع واي باك مشين.
- Bret P Nelson (2015-10-01). "Thoracic Aneurysm". مدسكيب. مؤرشف من الأصل في 24 سبتمبر 2017. اطلع عليه بتاريخ 16 أبريل 2017. الوسيط
|CitationClass=تم تجاهله (مساعدة) - Cho, In-Jeong; Jang, Sung-Yeol; Chang, Hyuk-Jae; Shin, Sanghoon; Shim, Chi Young; Hong, Geu-Ru; Chung, Namsik (2014). "Aortic Aneurysm Screening in a High-Risk Population: A Non-Contrast Computed Tomography Study in Korean Males with Hypertension". Korean Circulation Journal. 44 (3): 162. doi:10.4070/kcj.2014.44.3.162. ISSN 1738-5520. الوسيط
|CitationClass=تم تجاهله (مساعدة) - Wolak, Arik; Gransar, Heidi; Thomson, Louise E.J.; Friedman, John D.; Hachamovitch, Rory; Gutstein, Ariel; Shaw, Leslee J.; Polk, Donna; Wong, Nathan D.; Saouaf, Rola; Hayes, Sean W.; Rozanski, Alan; Slomka, Piotr J.; Germano, Guido; Berman, Daniel S. (2008). "Aortic Size Assessment by Noncontrast Cardiac Computed Tomography: Normal Limits by Age, Gender, and Body Surface Area". JACC: Cardiovascular Imaging. 1 (2): 200–209. doi:10.1016/j.jcmg.2007.11.005. ISSN 1936-878X. الوسيط
|CitationClass=تم تجاهله (مساعدة) - Hiratzka LF, Bakris GL, Beckman JA, et al. (April 2010). "2010 ACCF/AHA/AATS/ACR/ASA/SCA/SCAI/SIR/STS/SVM Guidelines for the diagnosis and management of patients with thoracic aortic disease. A Report of the American College of Cardiology Foundation/American Heart Association Task Force on Practice Guidelines, American Association for Thoracic Surgery, American College of Radiology,American Stroke Association, Society of Cardiovascular Anesthesiologists, Society for Cardiovascular Angiography and Interventions, Society of Interventional Radiology, Society of Thoracic Surgeons,and Society for Vascular Medicine". J. Am. Coll. Cardiol. 55 (14): e27–e129. doi:10.1016/j.jacc.2010.02.015. PMID 20359588. مؤرشف من الأصل في 16 يونيو 2012. الوسيط
|CitationClass=تم تجاهله (مساعدة) - Makaroun MS, Dillavou ED, Kee ST, et al. (January 2005). "Endovascular treatment of thoracic aortic aneurysms: results of the phase II multicenter trial of the GORE TAG thoracic endoprosthesis". J. Vasc. Surg. 41 (1): 1–9. doi:10.1016/j.jvs.2004.10.046. PMID 15696036. مؤرشف من الأصل في 06 يونيو 2019. الوسيط
|CitationClass=تم تجاهله (مساعدة) - "Treatment Considerations related to Thoracic Aortic Aneurysm". مؤرشف من الأصل في 20 أغسطس 2011. اطلع عليه بتاريخ 23 أكتوبر 2010. الوسيط
|CitationClass=تم تجاهله (مساعدة)
- بوابة طب
