نسيج ضام
النسيج الضام (بالإنجليزية: Connective Tissue) هو أحد أنواع الأنسجة الأربعة الرئيسية في جسم الإنسان، والتي تقوم بدعم أو ربط أو فصل أنواع مختلفة من الأنسجة والأعضاء. يتنامى هذا النسيج من الأديم المتوسط. الأنواع الثلاثة الأخرى هي النسيج الطلائي والنسيج العضلي والنسيج العصبي. يتواجد بين الأنسجة الأخرى في أي مكان من الجسم، متضمنًا الجهاز العصبي. في الجهاز العصبيّ المركزيّ، تتكون الأغشية الخارجيّة الثلاثة التي تغطي الدماغ والنخاع الشوكي (السحايا) من النسيج الضام.
| النسيج الضام | |
|---|---|
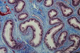
![]() مقطع من البربخ. يدعم النسيج الضام (اللون الأزرق) النسيج الطلائيّ (اللون البنفسجي) | |
| تفاصيل | |
| نوع من | نسيج حيوي [1] |
| FMA | 96404 |
| UBERON ID | 0002384 |
| ن.ف.م.ط. | A10.165 |
| ن.ف.م.ط. | D003238 |
تتكون جميع الأنسجة الضامة من ثلاث مكونات رئيسية: الألياف (المرنة، وكولاجينية)،[2] والمادة الأساسيّة، والخلايا. لا تعدّ جميع المستندات الدم [3] أو اللمف أنسجة ضامة؛ لأنها تفتقر إلى الألياف. جميعها تنغمر في مياه الجسم.
تشمل خلايا الأنسجة الضامة: الخلايا الليفية اليافعة، والخلايا الدهنية، والخلايا الأكولة الكبيرة، والخلايا الصارية، وخلايا الدم البيضاء.
البنية

يُقسَّم النسيج الضام إلى نسيج ضام مخصوص ونسيج ضام خاص.[4][5] يتكون النسيج الضام المخصوص من نسيج ضام رخو ونسيج ضام كثيف، ويُقسَّم النسيج الضام الكثيف إلى منتظم وغير منتظم.[6] أما النسيج الضام الخاص يتكون من نسيج ضام شبكي ونسيج دهني والغضروف والعظم والدم.[7] تتضمن الأنواع الأخرى من النسيج الضام: الليفيّ، والمرن، واللمفاني.[7] النسيج الحبيبي هو النسيج الضام الوعائي الجديد والذي يتكون في عملية التئام الجروح.[8] الأرومة الليفية هي الخلايا المسؤولة عن إنتاج بعض النسيج الضام.
النوع الأول من الكولاجين، ويوجد بعدة أشكال من النسيج الضام، ويشكل 25% من المحتوى البروتيني الكلي في جسم الثدييات.[9]
الخصائص
- تنتشر الخلايا خلال السائل خارج الخلايا.
- المادة الأساسيّة وهي سائل صافٍ وشفاف ولزج وتحتوي غليكوز أمينوغليكان وبروتيوغليكان لتثبيت ماء الجسم وألياف الكولاجين في الفراغات بين الخلايا. تبطئ المادة الأساسيّة انتشار المُمرضات.
- الألياف. ليس كل أنواع النسيج الضام هي ليفيّة. أمثلة على الأنسجة الضامة غير الليفية: الأنسجة الدهنية والدم. تعطي الأنسجة الدهنية إسنادًا ميكانيكيًّا للجسم ولها وظائف أخرى..[10][11] على الرغم من عدم وجود شبكة كولاجين كثيفة في النسيج الدهني، إلا أن مجموعات الخلايا الدهنية تُحفَظ معًا باستخدام ألياف وصفائح الكولاجين لإبقائها مضغوطة في مكانها، مثل: نعل القدم. نسيج (مطرس) الدم هي البلازما.
- كلا المادة الأساسيّة والبروتينات (الألياف) تشكَّلان مطرس النسيج الضام.
أنواع الألياف:
| النسيج | الوظيفة | المكونات | الموقع |
|---|---|---|---|
| ألياف الكولاجين | يربط العظام والأنسجة الأخرى ببعضها | سلاسل عديد الببتيد الفا | الأربطة، والأوتار، والجلد، والقرنية، والغضروف، والعظم، والأوعية الدموية، والقناة الهضمية، والأقراص ما بين الفقرتين. |
| الألياف المرنة | تسمح للأعضاء (مثل: الشرايين والرئتين) بالارتداد | الاستين ولييف مرن | نسيج خارج الخلايا |
| الألياف الشبكية | تشكِّل السقالة للخلايا الأخرى | النوع الثالث من الكولاجين | الكبد، ونخاع العظم، والأعضاء اللمفاوية. |
الوظيفة
للنسيج الضام العديد من الوظائف بالاعتماد على أنواع الخلايا والتصنيفات المختلفة للألياف. يتكون النسيج الضام الكثيف غير المنتظم والرخو بشكل رئيسيّ من الخلايا الليفية اليافعة وألياف الكولاجين، ويوفر الوسط الملائم لينتقل الاكسجين والمواد المغذيّة من الشعيرات الدموية إلى الخلايا، وثاني اكسيد الكربون والفضلات من الخلايا إلى الدوران، ويسمح للأعضاء بمقاومة القوى المُممزِّقة وقوى الشدّ. يشكل النسيج الضام الكثيف المنتظم البنى المنتظمة، وهو المكون الوظيفيّ الرئيسي للأربطة والأوتار والأوتار العضلية العريضة، ويوجد أيضًا في الأعضاء المتخصِّصة على مستوى عالٍ مثل القرنية.[12]:161 تتكون الألياف المرنة من بروتين ايلاستين وفبرلين، وتساعد في مقاومة قوى الشدّ،[12]:171 وتوجد في جدران الأوعية الدموية الكبيرة وبعض الأربطة، خاصة الأربطة الصفراء.[12]:173
في الأنسجة المكوِّنة للدم والليمفاويّة، تشكل الألياف الشبكيّة اللحمة (الدعم الهيكليّ) للنسيج الحشويّ (الجزء الوظيفيّ) للعضو.[12]:171
اللحمة المتوسطة (الطبقة الجنينيّة المتوسطة) هي أحد أنواع النسيج الضام الذي يوجد في الأعضاء المتطورة في الجنين والتي لديها القدرة على التمايز إلى جميع أنواع النسيج الضام الناضجة.[13] النسيج الضام المخاطيّ هو نوع آخر من النسيج الضام غير المتمايز نسبيًّا، ويوجد في الحبل السرّي.[12]:160
تصنف أنواع مختلفة من الأنسجة المتخصصة والخلايا تحت طيف النسيج الضام، وهي متنوعة مثل الأنسجة الدهنية البنية والبيضاء والدم والغضروف والعظم.[12]:158 تتبعثر خلايا الجهاز المناعي، مثل البلعم والخلايا الصارية والخلايا البلازمية في النسيج الضام الرخو، وتوفير الأرضيّة لبدء الاستجابات الالتهابية والمناعية عند الكشف عن مولدات الضدّ.[12]:161
الأهمية السريريّة
المقالتان الرئيسيتان: مرض النسيج الضام وورم النسيج الضام. هناك شخص واحد من كل عشرة أشخاص مصابون باضطراب في النسيج الضام. تحتوي أمراض النسيج الضام:
- أورام النسيج الضام: الساركومة مثل ورم الخلايا الحَوَطيّة وورم الغِمْد العصبيّ الطرفيّ الخبيث في النسيج العصبيّ.
- الأمراض الخلقيّة: متلازمة مارفان، ومتلازمة دانلوس-اهليرس.
- تنَكُّس الورم المخاطيّ: ضعف مرضيّ في النسيج الضام.
- مرض النسيج الضام المختلط: مرض المناعة الذاتيّة، ومرض النسيج الضام غير المتمايز.
- الذِئْبَة الحُماميَّة المجموعيَّة: مرض المناعة الذاتيّة الرئيسيّ في النسيج الضام.
- الأسقربوط: يحدث بسسب نقص فيتامين ج، وهو مهم لإنتاج الكولاجين.
صباغة النسيج الضام
للعرض المجهريّ، معظم التقنيات لصباغة النسيج الضام تقوم بتلوين نسيج الألياف بظلال مغايرة. يمكن تمييز الكولاجين باستخدام أيٍّ من الصبغات التالية:
- صبغة فان غيسون.
- صبغة ماسون ثلاثية الألوان.
- صبغة مالوري ثلاثية الألوان.
- صبغة أنيلين الزرقاء.
- صبغة ايوسين.
- صبغة مميزة للألياف الشبكيّة.
خصائص النسيج الضام الشبكي والدهني
- خلاياه غير متلاصقة (توجد مسافات بين الخلايا).
- وفرة المادة الخلالية وهي على ثلاث صور : سائلة وشبه صلبة وصلبة.
- وجود الألياف (البيضاء والصفراء والشبكية).
- يحتوي على عدة أنواع من الخلايا (الليفية، الآكلة، الصارية، الدهنية، البلازمية، حاملة الألوان).
- يحتوي على أوعية دموية وخلايا عصبية.
مكونات النسيج الضام
- خلايا.
- ألياف.
- مادة خلالية.
تصنيف خلايا النسيج الضام
متفرعة
- خلايا المسنشايما الغير متمايزة Undifferentiated mesenchymal cells (اختصاراً U.M.C).
- الخلية الليفية اليافعة (Fibroblast).
- الخلية الأكولة الكبيرة (Macrophage).
- الخلية الصبغية (Pigment cell).
- الخلية الدهنية (Adipose cell).
غير متفرعة
- أدمة.
- خلية صارية.
- خلية دم بيضاء.
- خلية البلازما (Plasma cell).
أنواع الألياف التي توجد في النسيج الضام
1- االألياف البيضاء (Collagen Fibers) :تكون متوازية مع بعضها في حزم متموجة في مظهرها وقد تتقاطع مع بعضها لكنها لا تتفرع وهي ألياف قوية تنتظم في حزم كبيرة وقابلة للانثناء وتكتسب قوتها من وجود مادة الكولاجين وهي تعطي المتانة والقوة للنسيج الرابط الذي توجد فيه وتوجد في الأوتار(يربط العضلات بالعظام) والأربطة (يربط العظم بالعظم).
2- الألياف الصفراء (Elastic Fibers) : توجد كألياف مستقيمة وطويلة ومنفردة وهي تتفرع وتلتوي وتربط ما بين الجلد والعضلات وهي ألياف مرنة قابلة للشد توجد بصورة منفردة وتكتسب مرونتها من وجود مادة الإيلاستين (وهي تعطي المطاطية العالية للنسيج الرابط) الذي توجد فيه وتوجد في الأماكن التي تحتاج مرونة كبيرة مثل الرئتين والشرايين.
3- الألياف الشبكية (Reticular Fibers) : وهي ألياف رقيقة متفرعة وغالبا ما تكون شبكة عند التقائها مع بعضها وهي لاتكون حزم ويصعب رؤيتها لصعوبة صبغها في التحضيرات المجهرية وهي الياف كولاجينية غير ناضجة متفرعة ومتشابكة وغير حزمية وتكون شبكات حول الخلايا الدهنيه والخلايا العضلية وتوجد في الكبد والطحال ونخاع العظام.
تواجد النسيج الضام
الدم والغضروف والعظم عادة تعتبر نسيج ضام لكنها تختلف عن الأنسجة الضامة الأخرى. العبارة الشائعة "نسيج ضام خاص" تستخدم لضم تلك الأنسجة الثلاثة.
هناك ثلاثة أنواع من النسيج الضام وهي:
- النسيج الضام الخاص.
- الغضروف.
- والعظم.

الغضروف
الغضروف عبارة عن نسيج ضام يتميز عن غيره بأن مادته الخلالية شبه صلبة. وينقسم إلى :
- الغضروف الزجاجي الشفاف (Hyaline Cartilage). يكون ذو لون مزرق شفاف متجانس التركيب مع وجود قليل من الالياف البيضاء ولذا يدعى بالغضروف الزجاجي . يحاط هذا الغضروف بالسمحاق الغضروفي والذي يعتبر مصدرا للخلايا الغضروفية الجديدة خلال نمو الغضروف ويوجد عند اسطح المفاصل المتحركة وفي جدران بعض الممرات التنفسية كالانف والحنجرة والقصبة الهوائية .
- الغضروف الليفي (Fibro cartilage). يحتوي هذا الغضروف في مادته البينية علة الياف كولاجينية بيضاء كثيفة تترتب بصورة حزم متوازية وتنتشر الخلايا الغضروفية بين تلك الحزم الليفية على هيئة صفوف مرتبة وهذا يعطي للنسيج قوة شد عالية وبعض المرونة ويوجد هذا النوع في الاقراص بين الفقرات intervertebral discs حيث تعمل كوسادة بين الفقرات كما يوجد في منطقة الارتقاق العاني Pubic symphysis (المنطقة بين عظمي الحزام الحوضي )
- الغضروف المرن (Elastic Cartilage).تحتوي المادة البينية على شبكة من الالياف الصفراء المطاطية مما يكسب الغضروف مرونة عالية . ويوجد هذا النوع في صيوان الاذن الخارجية External ear flange وفي قناة اوستاكي Ostaki Channel ولسان المزمار Reed
مكونات الغضروف
يتألف الغضروف من:
أولاً: خلايا غضروفية، هي بدورها تنقسم إلى:
- خلايا غضروفية فتية: وهي عبارة عن خلايا قاعدية تمتلك نواة بيضوية وتوجد في محيط الغضروف وتحت النسيج المحيط بالغضروف.
- خلايا غضروفية ناضجة: وهي عبارة عن خلايا دائرية، تقع في داخل فرجة (بالإنجليزية: Lacunae) وعادة ما تكون محاطة بمحفظة وهي إما أن تكون مفردة أو مضاعفة أو متعددة وهذه الخلايا تحتوي على نواة كبيرة مع نوية أو نويتين.
ثانياً : الغضروف :
الغضروف نسيج ضام شبه صلب نصف شفاف يعتبر أقل صلابة من العظم وتعرف الخلايا المكونة له بالخلايا الغضروفية وهي خلايا كبيرة توجد داخل محافظ تحتوي على ماده سائلة، وتحتوي كل محفظة منها على خليه غضروفية واحدة أو اثنتين أو اربع وتفرز هذه الخلايا المادة الخلالية للنسيج وهي تسمى بالكوندرين.
العظم
وهو أحد أشكال النسيج الضام، ويتألف هو كذلك من:
- المادة الأساسية.
- الخلايا العظمية.
- السمحاق الخارجي.
- السمحاق الداخلي.
انظر أيضًا
مراجع
- معرف النموذج التأسيسي في التشريح: 9640 — تاريخ الاطلاع: 1 أغسطس 2019
- "Connective Tissue Study Guide". 2 January 2013. مؤرشف من الأصل في 12 أكتوبر 2018. اطلع عليه بتاريخ 26 أكتوبر 2014. الوسيط
|CitationClass=تم تجاهله (مساعدة) - Dorland, W. A. Newman (2012). Dorland's Illustrated Medical Dictionary (الطبعة 32nd). Elsevier. صفحة 1931. ISBN 978-1-4160-6257-8. الوسيط
|CitationClass=تم تجاهله (مساعدة) - Shostak, Stanley. "Connective Tissues". مؤرشف من الأصل في 21 أكتوبر 2018. اطلع عليه بتاريخ 09 ديسمبر 2012. الوسيط
|CitationClass=تم تجاهله (مساعدة) - Carol Mattson Porth; Glenn Matfin (1 October 2010). Essentials of Pathophysiology: Concepts of Altered Health States. Lippincott Williams & Wilkins. صفحات 24–. ISBN 978-1-58255-724-3. مؤرشف من الأصل في 01 مارس 2020. اطلع عليه بتاريخ 11 مايو 2011. الوسيط
|CitationClass=تم تجاهله (مساعدة) - Potter, Hugh. "The Connective Tissues". مؤرشف من الأصل في 24 أكتوبر 2016. اطلع عليه بتاريخ 09 ديسمبر 2012. الوسيط
|CitationClass=تم تجاهله (مساعدة) - Caceci, Thomas. "Connective Tisues". مؤرشف من الأصل في 13 مايو 2015. اطلع عليه بتاريخ 09 ديسمبر 2012. الوسيط
|CitationClass=تم تجاهله (مساعدة) - "Granulation Tissue Definition". Memidex. مؤرشف من الأصل في 16 نوفمبر 2018. اطلع عليه بتاريخ 07 مايو 2016. الوسيط
|CitationClass=تم تجاهله (مساعدة) - Di Lullo; G. A. (2002). "Mapping the Ligand-binding Sites and Disease-associated Mutations on the Most Abundant Protein in the Human, Type I Collagen". Journal of Biological Chemistry. 277 (6): 4223–31. doi:10.1074/jbc.M110709200. PMID 11704682. مؤرشف من الأصل في 15 يونيو 2009. الوسيط
|CitationClass=تم تجاهله (مساعدة) - Xu, H.; et al. (2008). "Monitoring Tissue Engineering Using Magnetic Resonance Imaging". Journal of Bioscience and Bioengineering. 106 (6): 515–527. doi:10.1263/jbb.106.515. PMID 19134545. الوسيط
|CitationClass=تم تجاهله (مساعدة) - Laclaustra, M.; et al. (2007). "Metabolic syndrome pathophysiology: The role of adiposetissue". Nutrition, Metabolism and Cardiovascular Diseases. 17 (2): 125–139. doi:10.1016/j.numecd.2006.10.005. PMID 17270403. الوسيط
|CitationClass=تم تجاهله (مساعدة) - Histology: A Text and Atlas (الطبعة 6th). Lippincott Williams & Wilkins. 2011. صفحات 158–197. ISBN 978-0-7817-7200-6. مؤرشف من الأصل في 25 يوليو 2020. الوسيط
|CitationClass=تم تجاهله (مساعدة) - Wheater's Functional Histology: A Text and Colour Atlas (الطبعة 6th). Elsevier. 2013. صفحة 65. ISBN 978-0702047473. الوسيط
|CitationClass=تم تجاهله (مساعدة)
- بوابة طب
- بوابة علم الأحياء الخلوي والجزيئي
- بوابة علم الأحياء
- بوابة علوم عصبية
- بوابة تشريح
.jpg.webp)