إصابة البطن
إصابة البطن (بالإنجليزية: abdominal trauma) هو التعرض لصدمة في منطقة البطن.[1][2][3] قد تكون تلك الإصابة على شكل كدمة وقد تكون حادة وقد تؤدي إلى إيذاء الأعضاء التي بداخل البطن. الأعراض والعلامات تتكون من ألم في منطقة البطن وتصلب للعضلات وتلون لسطح البطن. يكمن خطر إصابة البطن في أنه قد يؤدي إلى نزيف في الدم ولعدة التهابات بكتيرية. التشخيص يتكون من أشعة صوتية وأشعة مقطعية وغسل الصفاق. والعلاج قد يمكن قي التدخل الجراحي. الإصابة لأسفل الصدر قد تؤذي الطحال والكبد.
| إصابة البطن | |
|---|---|
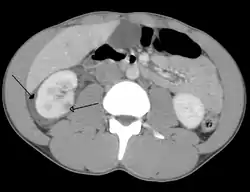
![]() إصابة بطنية أدت إلى رضة (كدمة) في الكلية اليمنى (السهم غير المظلل الرأس) وإحاطة الكلية بالدم (السهم المظلل الرأس) كما ترى بواسطة التصوير المقطعي المحوسب. إصابة بطنية أدت إلى رضة (كدمة) في الكلية اليمنى (السهم غير المظلل الرأس) وإحاطة الكلية بالدم (السهم المظلل الرأس) كما ترى بواسطة التصوير المقطعي المحوسب. | |
| معلومات عامة | |
| الاختصاص | طب الطوارئ |
| من أنواع | إصابة |
| الموقع التشريحي | بطن |

التصنيف
إصابات البطن يمكن تصنيفها كإصابات على شكل كدمات أو إصابات حادة. تشخيص الإصابات الحادة يكون في الغالب أوضح بناء على الأعراض والعلامات السريرية. الكدمات غالباً تكون بشكل أكبر في الأرياف بينما الإصابات الحادة داخل المدن. الإصابات الحادة يمكن تصنيفها بشكل أدق إلى طعنة سكين أو طلق ناري وكل منهما له طريقته الخاصة للعلاج.
الأعراض والعلامات
الأشخاص الذين يصابون في الحوادث المرورية قد يتعرضون لكدمات حزام الأمان وقد يدل هذا على أن المركبة كانت تسير بسرعة عالية قبل الحادث المروري مما قد يؤدي لإصابات في الأعضاء داخل البطن. أكثر الأعراض الناتجة عن ذلك هي الانسحال وتجمعات دموية ونسبة قد تصل إلى 30% من هؤلاء الأشخاص قد يكون عندهم إصابات في الأعضاء داخل البطن. من أسرع العلامات ظهوراً لإصابات البطن هي الغثيان، الإستفراغ وارتفاع في درجة الحرارة. وجود الدم في البول علامة أخرى مهمة. الإصابة قد تظهر على شكل مجموعة من الأعراض والعلامات مثل ألم في منطقة البطن وتصلب للعضلات، لحماية الأعضاء الداخلية، وانتفاخ البطن واختفاء صوت الأمعاء. استرواح الصفاق، تجمع الهواء في البطن، قد يكون علامة لوجود ثقب في جدار أحد الأعضاء الداخلية. في الإصابة الحادة من الممكن وجود نتوء وبروز للأحشاء خارج الجسم.
الإصابات الأخرى التي تكون مرتبطة مع إصابات البطن هي كسور الأضلاع، العمود الفقري، الحوض، وإصابة لجدار البطن.
الأسباب
الحوادث المرورية تعتبر من أهم أسباب كدمات البطن. وحزام الأمان يقلل من تلك الإصابات بشكل كبير لاسيما إصابات الرأس والصدر ولكن قد يسبب في بعض الأحيان خطورة على البنكرياس والأمعاء وذلك بالضغط عليها تجاه العمود الفقري. الأطفال لديهم عرضة أكبر لإصابات البطن الناتجة عن استخدام حزام الأمان لأن أحشائهم أكثر ليونة ولأن الحزام لم يصمم لهم.
يكثر عند الأطفال أيضاً حوادث الدراجات الهوائية مما ينتج عنه إصابات للأحشاء لاسيما عند اصطدام البطن بموقد الدراجة.
إصابات الطلق الناري تمتلك قوة دفع أكبر من طعنات السكاكين وبذلك فإن الأثر الناتج عنها أكبر لاسيما إذا اخترقت الغشاء البطني مما ينتج عنه أثار سلبية بنسبة 90% من الحالات.
الفسيولوجيا المرضية
إصابات البطن قد تكون خطيرة جداً لاسيما إذا تأثرت منها الأحشاء التي تكمن خلف الغشاء البطني لأنها قد تنزف إلى حد كبير مثل الكبد والكليتين والأورطي والوريد الأجوف السفلي.
الأعضاء المجوفة كالمعدة تحمل خطر الالتهابات والعدوى بشكل أكبر من النزيف لاسيما إذا لم يتم علاجها بشكل عاجل. النزيف والالتهابات هي أكثر الأسباب التي تؤدي للوفاة.
الكبد
الكبد هي أكثر الأعضاء عرضة للإصابة بسبب حجمها وموقعها (الجزء الأيمن العلوي من البطن). إصابات الكبد تعتبر خطيرة وتؤدي للنزيف بسبب تشبعها بالأوردة والشرايين وهي تشكل نسبة 5% من مجمل الإصابات التي تصل للمستشفيات. قد تؤدي إصابة الكبد إلى تجمع دموي أو قطع وقد يكون هناك تسرب للمادة الصفراوية بدون أي عواقب خطيرة. في الإصابات الخطيرة، إذا كان هناك كمية نزيف كبيرة فإن هذا يتطلب تدخل جراحي عاجل وقد يؤدي إلى الموت.
الطحال
الطحال هو أكثر الأعضاء تعرضاً للإصابة بسبب الكدمات التي يتعرض لها البطن مما قد ينتج عنه تجمع للدم. بسبب قابلية الطحال للنزيف بشكل كبير فإن تعرضه للصدمات يعتبر خطير جدأ ولكن تعرضه للإصابات الحادة يعتبر أقل خطورة من شبيهاتها التي تصيب الكبد. كسور الأضلاع السفلية يصاحب 20% من إصابات الطحال.
البنكرياس
تكثر إصابات البنكرياس مع صدمات البطن مما قد يؤدي إلى تقطيعه. ومن أكثر الأسباب التي تؤدي إلى ذلك هو حوادث الدراجات الهوائية عند الأطفال والبالغين. من أهم العلامات التي يمكن أن نتنبأ بوجود تأثر البنكرياس هو وجود انتفاخ وتجمع للسوائل حول منطقة البنكرياس.
الكلى
بالرغم من أن الكلى مغطاة بشكل جزئي بالأضلاع إلا أنها أيضاً لا تزال معرضة للإصابة لاسيما مع الكدمات التي تصيب البطن ويظهر ذلك على شكل دم في البول أو تسرب للبول داخل الغشاء البطني.
الأمعاء
الأمعاء الدقيقة تحتل مساحة كبيرة من البطن وذلك يجعلها معرضة للإصابة بشكل أكبر وقد يؤدي إلى ثقوب في جدار الأمعاء. وجود الغازات في البطن كما يظهر في الأشعة المقطعية علامة تشخيصية لوجود ثقوب في جدار الأمعاء. إصابات الأمعاء قد تؤدي مضاعفات خطيرة كالالتهابات والخراج وانسداد الأمعاء. وجود ثقوب في جدار الأمعاء يتطلب تدخل جراحي عاجل.
التشخيص
تشير دراسة إلى أن 10% من المرضى المصابين بالإصابات المتعددة ولم يكن لديهم أي أعراض سريرية لإصابة بالمعدة ظهر لديهم دليل على هذه الإصابة عن طريق الفحص من خلال الصور الإشعاعية والتي تتضمن الفحص من خلال الأشعة المقطعية وأشعة السونار وأشعة إكس.
أشعة إكس لديها القدرة على تحديد طريق الجسم المُخترق وأيضًا تحديد أي مادة غريبة بمكان الجرح. لكنها بلا فائدة لتشخيص الكدمات.
استخدام غسيل الصفاق التشخيصي أمر جدلي بين الأطباء. لكن قد يكون ذي فائدة تشخيصية لتحديد وجود الإصابات بالأعضاء الداخلية. يتم عمل غسيل الصفاق عن طريق إدخال أنبوب في الغشاء البطني وعند خروج سوائل يتم فحصها للتأكد من خلوها من الدماء (التي تدل على وجود إصابة بالأعضاء الداخلية). مع فائدة غسيل الصفاق الكبيرة في الكشف عن النزيف الداخلي إلا أنها تحمل الكثير من المخاطرة بإصابة الأعضاء الداخلية خلال هذه العملية. لذلك يفضل الكثير من الأطباء الاستغناء عنها واستبدالها بالأشعة فوق الصوتية (سونار) خصوصًا في أوروبا وأمريكا الشمالية. الأشعة فوق الصوتية تستطيع الكشف عن هذه السوائل والدماء في منطقة المعدة والأمعاء وأيضًا أمنة للجميع خصوصًا للحوامل. وهي الخيار الأفضل للمرضى الذين لديهم خطر الإصابة بسكتة دماغية والمرضى الغير أمن نقلهم من غرفة الطوارئ
أما المرضى الآخرين والمرضى المصابين بصدمات متعددة في أماكن مختلفة من الجسم مثل: الصدر والرأس والبطن. فالخيار الأفضل لهم هو عمل أشعة مقطعية لأن الأشعة فوق الصوتية لا تعمل إلا بمنطقة البطن.
عندما تكون نتائج التقنيات السابقة غير دقيقة يتم الاتجاه إلى استخدام منظار بطني أو جراحة استكشافية للبطن للكشف عن أي صدمات.
الأشعة المقطعية
الأشعة المقطعية قادرة على تحديد 76% فقط من الإصابات البطنية لذلك يتجه الأطباء إلى إبقاء المرضى تحت الملاحظة حتى بعد أن تشير الأشعة المقطعية إلى عدم وجود إصابة. مع أنها لا تستطيع إلا تحديد 76% من الإصابات البطنية إلا أنها أثبتت فعاليتها مع الكثير من أشكال الإصابات البطنية واستطاعات إلغاء الكثير من العمليات الجراحية الاستكشافية للبطن. يتم استخدام تحليلات ميتا بالأشعة المقطعية للكشف عن الاختراقات الحادة للأجسام بالبطن، مع دقة تصل إلى 95%.
العلاج
العلاج المبدئي يعتمد على جعل المريض مستقر كفاية وذلك يتضمن: التأكد من أن مجرى الهواء مفتوح دائمًا، جريان الدم، والتعرف على أماكن الصدمات. بعد ذلك من الممكن إجراء عملية لإصلاح الضرر القائم بالأعضاء. من المهم أيضًا إجراء جراحات استكشافية في حالة الصدمات الحادة أو في حال احتمال حدوث التهاب بطني أو احتمالية حدوث سكته دماغية أو في حالة وجود كدمات أو في حالات النزيف الحاد. كما يوجد الكثير من الصدمات التي لا تحتاج جراحات وذلك بفضل الأشعة المقطعية.
التوقع المستقبلي
إذا لم يتم تشخيص الإصابات بشكل عاجل فقد يؤدي ذلك إلى نتائج غير محمودة والتأخير في التشخيص مرتبط بنسبة عالية لمضاعفات جانبية قد تؤدي للوفاة.
الإحصائيات
أكثر الوفيات الناتجة عن إصابات البطن يمكن تجنبها. إصابات البطن هي أحد أكثر أسباب الوفيات الناتجة عن الإصابة التي يمكن تجنبها.
انظر أيضًا
المراجع والمصادر
- Amal Mattu; Deepi Goyal; Barrett, Jeffrey W.; Joshua Broder; DeAngelis, Michael; Peter Deblieux; Gus M. Garmel; Richard Harrigan; David Karras; Anita L'Italien; David Manthey (2007). Emergency medicine: avoiding the pitfalls and improving the outcomes. Malden, Mass: Blackwell Pub./BMJ Books. صفحات 61. ISBN 1-4051-4166-2. الوسيط
|CitationClass=تم تجاهله (مساعدة) - Oyo-Ita, Angela; Chinnock, Paul; Ikpeme, Ikpeme A. (2015-11-13). "Surgical versus non-surgical management of abdominal injury". The Cochrane Database of Systematic Reviews (11): CD007383. doi:10.1002/14651858.CD007383.pub3. ISSN 1469-493X. PMID 26568111. الوسيط
|CitationClass=تم تجاهله (مساعدة) - Fitzgerald, J.E.F.; Larvin, Mike (2009). "Chapter 15: Management of Abdominal Trauma". In Baker, Qassim; Aldoori, Munther (المحررون). Clinical Surgery: A Practical Guide. CRC Press. صفحات 192–204. ISBN 9781444109627. الوسيط
|CitationClass=تم تجاهله (مساعدة)
- بوابة طب
