استرواح الصفاق
استرواح الصفاق[1] (بالإنجليزية: Pneumoperitoneum) هو وجود الهواء أو غاز في التجويف البطني (البريتواني). في الحالة الطبيعية لا يوجد غاز في تجويف البطن، ولكن انثقاب المعدة أو الأمعاء يؤدي إلى خروج الغازات إلى تجويف البطن. غالباً ما ترى على صورة الأشعة السينية (X-ray) على شكل فقاعة هواء (بالإنجليزية: Air bubble) أو هلال غازي كما يسميه الأطباء في سوريا، وهي العلامة الشعاعية التي تشير بقوة لوجود استرواح الصفاق.
| استرواح الصفاق | |
|---|---|
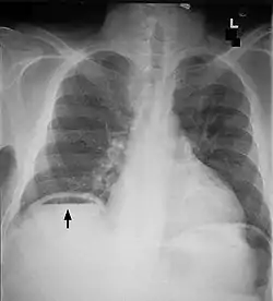
![]() تصوير لمنطقة الصدر بالأشعة السينية، إن الفقاعة الهوائية تحت نصف الحجاب الأيمن (على يسار الصورة، السهم الأسود) تشير غالباً إلى استرواح الصدر. تصوير لمنطقة الصدر بالأشعة السينية، إن الفقاعة الهوائية تحت نصف الحجاب الأيمن (على يسار الصورة، السهم الأسود) تشير غالباً إلى استرواح الصدر. | |
| معلومات عامة | |
| الاختصاص | طب الجهاز الهضمي |
| من أنواع | الاسترواح |

Another pneumoperitoneum on chest X-ray.

Pneumoperitoneum seen on X-ray with the patient lying on his left side.
This article is issued from Wikipedia. The text is licensed under Creative Commons - Attribution - Sharealike. Additional terms may apply for the media files.
