إصابة محورية منتشرة
الإصابة المحورية المنتشرة هي إصابة دماغية تحدث فيها آفات صغيرة متفرقة على مساحة واسعة من المادة البيضاء (المحاور العصبية) وأحيانا في المادة الرمادية.[1][2][3][4][5][6][7] وتُعتبر الإصابة المحورية المنتشرة أحد أكثر أنواع إصابات الدماغ الرضية شيوعًا وتدميرا، [8] حيث أنها تحدث في حوالي نصف حالات إصابات الرأس الشديدة، كما تُعتبر السبب الرئيسي لفقدان الوعي والدخول في الحالة الإنباتية المستديمة بعد صدمات الرأس، كونها السبب في أن أكثر من 90٪ من المرضى لا يستعيدون وعيهم أبدًا، وأن أولئك الذين يسترجعون وعيهم يعانون من ضعف كبير.[9][10]
| إصابة محورية منتشرة | |
|---|---|
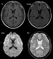
![]() صورتين بالرنين المغناطيسي لمريض لديه إصابة محورية منتشرة. صورتين بالرنين المغناطيسي لمريض لديه إصابة محورية منتشرة. | |
| معلومات عامة | |
| الاختصاص | جراحة المخ والأعصاب |
تتراوح شدة الإصابة المحورية المنتشرة عبر طيف شدة إصابات الدماغ الرضية من بسيطة إلى شديدة،[11][12] وقد يكون الارتجاج أبسط أنواع الإصابة المحورية المنتشرة. [13]
الآلية
تحدث الإصابة المحورية المنتشرة نتيجة قوى قص الصدمة التي تتولد عندما يتسارع الرأس أو يتباطئي بشكل مفاجئ، كما هو الحال في حوادث السيارات والسقوط من المرتفعات. [14] وتُعتبر حوادث السيارات السبب الأكثر شيوعًا للإصابة المحورية المنتشرة؛ كما يمكن أن تحدث أيضًا نتيجة الإساءة للأطفال[15] كما هو الحال في متلازمة الرضيع المهزوز. [16]
يمكن ملاحظة علامات الانفصال الفوري للمحاور في إصابات الدماغ الشديدة، ولكن الضرر الكبير للإصابة المحورية المنتشرة يتمثل في تأخر قطع الاتصال المحوري الثانوي الذي يحدث ببطء على مدار فترة زمنية طويلة.[2] وجدير بالذكر أن المحاور العصبية تسمى بالمادة البيضاء، كونها تظهر باللون الأبيض بسبب الميالين، إلا أن الإصابات المحورية المنتشرة توجد في في كل من المادة البيضاء والرمادية بناء على فحص أدمغة المصابين بعد الوفاة بالتصوير المقطعي المحوسب والتصوير بالرنين المغناطيسي. [10]
تتضمن أيضا الإصابة المحورية المنتشرة تغييرات فسيولوجية ثانوية مثل النقل المحوري المتقطع، والتورمات التدريجية والتنكس. [17] وقد ربطت الدراسات الحديثة هذه التغييرات بالتواء واختلال محاذاة الأنابيب المحورية الدقيقة، وترسب بروتين تاو وبروتين سلف النشواني. [18]
السمات
توجد آفات الإصابة المحورية المنتشرة بشكل نموذجي في المادة البيضاء؛ وتتراوح هذه الآفات في الحجم من 1 إلى 15 مم، وتتوزع بطريقة مميزة.[10] وغالبا ما تؤثر الإصابة المحورية المنتشرة على مناطق معينة مثل جذع الدماغ والجسم الثفني ونصفي الكرة المخية.
يُعتبر الفص الأمامي والصدغي أكثر الفصوص الدماغية عرضة للإصابة،[19] وتشمل مناطق الإصابة الشائعة الأخرى القشرة المخية، السويقة المخية العلوية،[16] العقد القاعدية، المهاد، ونواة نصف الكرة المخية العميقة.[20] وتُعتبر هذه المناطق أكثر عرضة للضرر بسبب اختلاف الكثافة بينها وبين باقي أجزاء الدماغ.
الخصائص النسيجية
تتميز الإصابة المحورية المنتشرة بانفصال المحاور، حيث يتمزق المحور العصبي عند موقع التمدد ويتحلل الجزء البعيد من التمزق، وقد كان من المعتقد أن السبب الرئيسي لانفصال المحاور هو التمزق بسبب القوى الميكانيكية أثناء الصدمة، لكن أصبح من المفهوم الآن أن المحاور لا تتمزق عادةً عند الاصطدام وإنما تتمزق بسبب التسلسل الكيميائي الحيوي الذي يحدث كاستجابة للإصابة الأولية بعد ساعات إلى أيام (ويُعرف التسلسل الكيميائي بالإصابة الثانوية تمييزا له عن الإصابة الأولية لحظة الاضطدام)، ويُعتقد أنه المسؤول إلى حد كبير عن الأضرار التي تلحقت بالمحاور العصبية. [21] [22] [23]
على الرغم من أن العمليات المتضمنة في إصابات الدماغ الثانوية (التسلس الكيميائي) لا تزال غير مفهومة بشكل جيد، لكن من المقبول الآن اعتبار أن تمدد المحاور أثناء الإصابة الأولية (الاصطدام) يسبب اضطرابًا ميكانيكي (مادي) في الهيكل الخلويبجانب التحلل البروتيني،[24] كما أنه يفتح قنوات الصوديوم في غمد المحور العصبي، مما يؤدي إلى فتح قنوات الكالسيوم ذات الجهد الكهربائي ومن ثَم وتدفق الكالسيوم إلى الداخل، الأمر الذي يؤدي إلى تنشيط العديد من المسارات المختلفة، منها تنشيط الفوسفوليباز والإنزيمات المحللة للبروتين وإتلاف الميتوكوندريا والهيكل الخلوي وتفعيل نظام الرسول الثاني مما قد يؤدي إلى فصل المحور العصبي وموت الخلية. [21]
اضطراب الهيكل الخلوي

المحاور العصبية عادة ما تكون مرنة، ولكنها عندما تتمدد بسرعة فإنها تصبح هشة ويمكن للهيكل الخلوي المحوري أن يختل، وهذا الاختلال في الهيكل الخلوي يمكن أن يتسبب في تمزق المحور العصبي وموت الخلية العصبية، ويستمر النقل المحواري حتى نقطة الانقطاع (موضع الاختلال) في الهيكل الخلوي، مما يؤدي إلى تراكم مخلفات النقل والتورم،[25] وعندما يصبح حجم التورم كبيرًا بما يكفي فإنه يمكن أن يؤدي إلى تمزيق المحور العصبي في موقع اختلال الهيكل الخلوي، مما يتسبب في تراجعه نحو جسم الخلية وتشكيل بصيلة صغيرة [11] تسمى كرة التراجع، وهذه البصلة هي السمة المميزة للإصابة المحورية المنتشرة. [10]
عند حدوث قطع في المحور العصبي يحدث تنكس واليرياني في جزء المحور المحوري البعيد عن موضع القطع في غضون يوم إلى يومين بعد الإصابة، [26] ويتفكك غمد المحور العصبي، ويبدأ الميالين في التكسر والانفصال عن جسم الخلية في نهاية المحور العصبي،[27] فيما تبدأ الخلايا المجاورة نشاط البلعمة وتبتلع الحطام. [28]
التشخيص

تُسبب الإصابة المحورية المنتشرة آفات صغيرة تظهر تحت المجهر بوضوح، لكن يصعب اكتشافها في التصوير المقطعي أو في تقنيات التصوير العياني الأخرى اعتمادا على بعض خصائصها، ولكن يمكن استنتاج وجود إصابة محورية منتشرة عندما وجود نزيف صغير مرئي في الجسم الثفني أو القشرة الدماغية،[29] ويُعد التصوير بالرنين المغناطيسي أكثر فائدة عند البحث عن خصائص الإصابة المحورية المنتشرة، فالدراسات الحديثة متل صورة الانتشار في الرنين المغناطيسي القدرة على إثبات درجة إصابة المادة البيضاء حتى عند عدم ظهور ذلك في التصوير بالرنين المغناطيسي المعتاد. ونظرًا لأن التلف المحوري في الإصابة المحورية المنتشرة ينتج بسبب التسلسل الكيميائي الحيوي الثانوي، ومن ثَم فقد يتدهور الشخص المصاب رغم أنه كان طبيعيا في البداية، وعليه فإن الإصابة في كثير من الأحيان تكون أكثر شدة مما هو متوقع، ويجب أن يشتبه الأطباء في الإصابة المحورية المنتشرة في المرضى الذين تبدو فحوصاتهم المقطعية المحوسبة طبيعية ولكن لديهم أعراض مثل فقدان الوعي.
يُصنيف الإصابة المحورية المنتشرة إلى درجات بناءً على شدة الإصابة:
- الدرجة الأولى: تلف محوري واسع النطاق ولكن لا توجد علامات بؤرية.
- الدرجة الثانية: تلف محوري واسع النطاق مع وجود علامات بؤرية، خاصة في الجسم الثفني.
- الدرجة الثالثة: تلف محوري واسع النطاق مع علامات بؤرية بالإضافة إلى إصابة جذع الدماغ المنقاري وغالبًا ما يحدث تمزق في الأنسجة.[30]
العلاج
تفتقر الإصابة المحورية المنتشرة حاليًا إلى علاج محدد بخلاف العلاج المعتاد لكل أنواع إصابات الرأس، والذي يتضمن تثبيت المريض ومحاولة الحد من الزيادات في الضغط داخل الجمجمة، وعلاج المضاعفات الأخرى.
انظر أيضًا
- "Diffuse degeneration of the cerebral white matter in severe dementia following head injury". Journal of Neurology, Neurosurgery, and Psychiatry. 19 (3): 163–85. August 1956. doi:10.1136/jnnp.19.3.163. PMID 13357957. الوسيط
|CitationClass=تم تجاهله (مساعدة) - "Axonal change in minor head injury". Journal of Neuropathology and Experimental Neurology. 42 (3): 225–42. May 1983. doi:10.1097/00005072-198305000-00002. PMID 6188807. الوسيط
|CitationClass=تم تجاهله (مساعدة) - "Diffuse axonal injury in non-missile head injury". Injury. 13 (5): 444–5. March 1982. doi:10.1016/0020-1383(82)90105-X. PMID 7085064. مؤرشف من الأصل في 12 ديسمبر 2020. الوسيط
|CitationClass=تم تجاهله (مساعدة) - "Ultrastructural studies of diffuse axonal injury in humans". Journal of Neurotrauma. 11 (2): 173–86. April 1994. doi:10.1089/neu.1994.11.173. PMID 7523685. الوسيط
|CitationClass=تم تجاهله (مساعدة) - "The pathobiology of traumatically induced axonal injury in animals and humans: a review of current thoughts". Journal of Neurotrauma. 12 (4): 555–64. August 1995. doi:10.1089/neu.1995.12.555. PMID 8683606. الوسيط
|CitationClass=تم تجاهله (مساعدة) - "Mild Traumatic Brain Injury Induces Structural and Functional Disconnection of Local Neocortical Inhibitory Networks via Parvalbumin Interneuron Diffuse Axonal Injury". Cerebral Cortex. 28 (5): 1625–1644. May 2018. doi:10.1093/cercor/bhx058. PMID 28334184. الوسيط
|CitationClass=تم تجاهله (مساعدة) - "Therapy development for diffuse axonal injury". Journal of Neurotrauma. 30 (5): 307–23. March 2013. doi:10.1089/neu.2012.2825. PMID 23252624. الوسيط
|CitationClass=تم تجاهله (مساعدة) - "Update of neuropathology and neurological recovery after traumatic brain injury". The Journal of Head Trauma Rehabilitation. 20 (1): 76–94. January 2005. doi:10.1097/00001199-200501000-00008. PMID 15668572. الوسيط
|CitationClass=تم تجاهله (مساعدة) - Vinas F.C. and Pilitsis J. (2006). Penetrating head trauma. Emedicine.com. Retrieved on 2008-01-14. نسخة محفوظة 7 ديسمبر 2008 على موقع واي باك مشين.
- Wasserman J. and Koenigsberg R.A. (2007). Diffuse axonal injury. Emedicine.com. Retrieved on 2008-01-26. نسخة محفوظة 13 أكتوبر 2019 على موقع واي باك مشين.
- "Axonal damage in traumatic brain injury". The Neuroscientist. 6 (6): 483–95. December 2000. doi:10.1177/107385840000600611. الوسيط
|CitationClass=تم تجاهله (مساعدة) - "Topography of axonal injury as defined by amyloid precursor protein and the sector scoring method in mild and severe closed head injury". Journal of Neurotrauma. 12 (4): 565–72. August 1995. doi:10.1089/neu.1995.12.565. PMID 8683607. الوسيط
|CitationClass=تم تجاهله (مساعدة) - "Bench to bedside: evidence for brain injury after concussion--looking beyond the computed tomography scan". Academic Emergency Medicine. 13 (2): 199–214. February 2006. doi:10.1197/j.aem.2005.07.031. PMID 16436787. الوسيط
|CitationClass=تم تجاهله (مساعدة) - "Mechanisms of brain injury". The Journal of Emergency Medicine. 11 Suppl 1: 5–11. 1993. PMID 8445204. الوسيط
|CitationClass=تم تجاهله (مساعدة) -
"Pathology of head trauma". Neuroimaging Clinics of North America. 12 (2): 175–87, vii. May 2002. doi:10.1016/S1052-5149(02)00009-6. PMID 12391630. الوسيط
|CitationClass=تم تجاهله (مساعدة) - Smith D. and Greenwald B. 2003.Management and staging of traumatic brain injury. Emedicine.com. Retrieved through web archive on 17 January 2008.
- "Axonal pathology in traumatic brain injury". Experimental Neurology. 246: 35–43. August 2013. doi:10.1016/j.expneurol.2012.01.013. PMID 22285252. الوسيط
|CitationClass=تم تجاهله (مساعدة) - "Mechanical breaking of microtubules in axons during dynamic stretch injury underlies delayed elasticity, microtubule disassembly, and axon degeneration". FASEB Journal. 24 (5): 1401–10. May 2010. doi:10.1096/fj.09-142844. PMID 20019243. الوسيط
|CitationClass=تم تجاهله (مساعدة) - Boon R. and de Montfor G.J. 2002. Brain injury. Learning Discoveries Psychological Services. Retrieved through web archive on 17 January 2008.
- Singh J and Stock A (September 25, 2006). Head Trauma. Emedicine.com. Retrieved on 2008-01-17. نسخة محفوظة 25 أكتوبر 2008 على موقع واي باك مشين.
- Wolf J.A., Stys P.K., Lusardi T., Meaney D., and Smith, D.H. (2001). Traumatic axonal injury induces calcium influx modulated by tetrodotoxin-sensitive sodium channels. Journal of Neuroscience. 21 (6): 1923–1930 نسخة محفوظة 16 نوفمبر 2018 على موقع واي باك مشين.
- Arundine M, Aarts M, Lau A, Tymianski M (September 2004). "Vulnerability of central neurons to secondary insults after in vitro mechanical stretch". J. Neurosci. 24 (37): 8106–23. doi:10.1523/JNEUROSCI.1362-04.2004. PMID 15371512. الوسيط
|CitationClass=تم تجاهله (مساعدة)صيانة CS1: أسماء متعددة: قائمة المؤلفون (link) - "Repetitive mild traumatic brain injury in a mouse model produces learning and memory deficits accompanied by histological changes" (PDF). Journal of Neurotrauma. 29 (18): 2761–73. December 2012. doi:10.1089/neu.2012.2498. PMID 22900595. مؤرشف من الأصل (PDF) في 27 نوفمبر 2018. الوسيط
|CitationClass=تم تجاهله (مساعدة) - Iwata A., Stys P.K., Wolf J.A., Chen X.H., Taylor, A.G., Meaney D.F., and Smith D.H. (2004). Traumatic axonal injury induces proteolytic cleavage of the voltage-gated sodium channels modulated by tetrodotoxin and protease inhibitors. The Journal of Neuroscience. 24 (19): 4605—4613. نسخة محفوظة 15 مارس 2009 على موقع واي باك مشين.
- Staal JA, Dickson TC, Chung RS, Vickers JC (2007). "Cyclosporin-A treatment attenuates delayed cytoskeletal alterations and secondary axotomy following mild axonal stretch injury". Dev Neurobiol. 67 (14): 1831–42. doi:10.1002/dneu.20552. PMID 17702000. الوسيط
|CitationClass=تم تجاهله (مساعدة)صيانة CS1: أسماء متعددة: قائمة المؤلفون (link) - LoPachin RM, Lehning EJ (1997). "Mechanism of calcium entry during axon injury and degeneration". Toxicology and Applied Pharmacology. 143 (2): 233–244. doi:10.1006/taap.1997.8106. PMID 9144441. الوسيط
|CitationClass=تم تجاهله (مساعدة) - Cowie R.J. and Stanton G.B. (2005). Axoplasmic transport and neuronal responses to injury نسخة محفوظة 2005-10-29 على موقع واي باك مشين.. Howard University College of Medicine. Retrieved on 2008-01-17.
- Hughes PM, Wells GM, Perry VH, Brown MC, Miller KM (2002). "Comparison of matrix metalloproteinase expression during wallerian degeneration in the central and peripheral nervous systems". Neuroscience. 113 (2): 273–287. doi:10.1016/s0306-4522(02)00183-5. PMID 12127085. الوسيط
|CitationClass=تم تجاهله (مساعدة)صيانة CS1: أسماء متعددة: قائمة المؤلفون (link) -
"Traumatic brain injury: a review of practice management and recent advances". Physical Medicine and Rehabilitation Clinics of North America. 18 (4): 681–710, vi. November 2007. doi:10.1016/j.pmr.2007.06.005. PMID 17967360. الوسيط
|CitationClass=تم تجاهله (مساعدة) - "The lesion(s) in traumatic brain injury: implications for clinical neuropsychology". Archives of Clinical Neuropsychology. 18 (6): 585–94. August 2003. doi:10.1016/S0887-6177(02)00155-5. PMID 14591433. الوسيط
|CitationClass=تم تجاهله (مساعدة)
روابط خارجية
صور وملفات صوتية من كومنز
- بوابة طب
- بوابة علوم عصبية
