جسم ثفني
الجسم الثفني أو الصوار الثَفَني (بالإنجليزية: Corpus Callosum) هو حزمة مسطحة واسعة من الألياف العصبية بيضاء اللون تحت القشرة في الشق الطولي للدماغ، تمتد عدة سنتيمترات من الأمام إلى الخلف، وهو أكبر هيكل من المادة البيضاء في الدماغ، ويتكون من ملايين الألياف العصبية التي تربط بين النصفين الكرويين الأيمن والأيسر في الدماغ ويسهل الإتصال بينهما، وتنتقل المعلومات بينهما على هيئة إشارات كهربائية، ولذلك أيضاً يُعرف باسم "المُقْرِن الأعظم".[1] وهو أكبر بنية للمادة البيضاء في الدماغ، يحتوي على 200-250 مليون نتوءات محوارية عصبية مقابلة.


البنية
يسمى الجزء الخلفي من الجسم الثفني بالشريط؛ الجزء الأمامي يسمى الركبة؛ بين الجزئين ما يسمى بالجذع، أو "الجسم". غالباً الجزء بين الجذع والشريط ضيق بشكل ملحوظ وبالتالي يشار إليه ب "البرزخ". المنقار هو جزء من الجسم الثفني الذي يبرز للخلف وللأسفل من أكثر جزء أمامي للركبة، كما يمكن مشاهدته على الصورة السهمية للدماغ المعروضة على اليسار. المنقار سمي بذلك لأنه يشبه منقار الطائر. على كل جانب من الجسم الثفني، تنتشر الألياف في المادة البيضاء وتمر إلى مختلف أجزاء قشرة المخ؛ الألياف المنحنية للأمام من الركبة إلى الفص الأمامي تشكل الملقط الأمامي، والألياف المنحنية للخلف إلى الفص القذالي تشكل الملقط الخلفي. بين الملقط الأمامي والخلفي يكون الجزء الرئيسي من الألياف الذي يشكل البساط ويمتد جانبياً على الجهتين إلى الفص الصدغي، ويغطي الجزء الأوسط من البطين الجانبي. محاور عصبية رفيعة في الركبة تربط القشرة أمام الجبهية بين نصفي الدماغ؛ هذه الألياف تنبثق من حزمة من الألياف تشبه الشوكة من البساط، الملقط الأمامي. المحاور العصبية الأثخن في منتصف الجسم الثّفَني أو في جذع الجسم الثفني، تربط مناطق القشرة الحركية، وبتناسب الكثير من الجسم الثفني المكرس بشكل إضافي للمناطق الحركية بما في ذلك باحة بروكا. الجزء الخلفي من الجسم الثّفَني؛ المعروف بالشريط، ينقل معلومات حسية جسدية بين نصفي الفص الجداري والقشرة البصرية في الفص القذالي، هذه هي ألياف الملقط الأمامي.[2][3]
التباين



عدم تكون الجسم الثفني (ACC) هو اضطراب خلقي وهو واحد من أكثر تشوهات الدماغ شيوعاً الملاحظة عند البشر،[4] حيث يكون الجسم الثفني غير موجود بشكل جزئي أو كلي. ويتم تشخيصه غالباً في أول سنتين من الحياة، ويمكن أن يظهر على شكل متلازمة حادة في سن الرضاعة أو الطفولة، كحالة معتدلة في سن صغير، أو كحالة عرضية فجائية. الأعراض الأولية لغياب الجسم الثفني عادةً تتضمن نوبات، التي من الممكن أن يتبعها مشاكل بالتغذية وتأخير في القدرة على إبقاء الرأس مرفوع، وتأخير في الجلوس، الوقوف، والمشي. أعراض أخرى يمكن أن تتضمن اختلال في التطور الجسدي والعقلي، والتناسق بين حركة العين واليد، والذاكرة السمعية والبصرية. ويمكن أن يحدث تضخم الرأس. في الحالات المعتدلة؛ الأعراض مثل النوبات، والكلام المتكرر، والصداع يمكن أن لا تظهر لسنوات.
عدم تكون الجسم الثفني عادةً غير مميت. العلاج عادةً يتضمن إدارة الأعراض، مثل النوبات وتضخم الرأس إذا حدثا. بالرغم من أن العديد من الأطفال مع هذا الاضطراب عاشوا حياة طبيعية ولديهم ذكاء متوسط، اختبار عصبي نفسي دقيق أظهر اختلاف غير ملحوظ في وظيفة القشرة العليا مقارنة مع الأشخاص من نفس العمر والتعليم لديهم يكون طبيعي للجسم الثفني. الأطفال مع غياب الجسم الثفني والمصحوب بتأخر النمو/أو اضطراب النوبات يجب أن يخضعوا لاختبار للاضطرابات الأيضية.[5] بالإضافة إلى عدم تكون الجسم الثفني، حالات مشابهه وهي التكون الجزئي، التكون المشوه، ونقص النسيج (نقص النمو، يكون رقيق جداً). دراسات حديثة أيضاً ربطت إمكانية الترابط بين تشوه الجسم الثفني واضطراب طيف التوحد.[6]
- كيم بيك، العالم والملهم لفلم رجل المطر، وجد أنه لم يتكون عنده الجسم الثفني كلياً.
ازدواج الشكل الجنسي
الجسم الثفني وعلاقته بالجنس كان موضوع نقاش في المجتمع العلمي والعامي لما يزيد عن قرن. بحوث أولية في بداية القرن العشرين زعمت أن الجسم الثفني يختلف بالحجم بين الرجال والنساء. هذا البحث اختبر، وبالنهاية أفسح المجال إلى تقنية تصويرية أكثر تقدماً التي ظهرت لتدحض الارتباطات السابقة. على كل حال، تقنية تحليلية متقدمة من الحسابات التشريحية المتعلقة بالأعصاب التي تم تطويرها في التسعينات أظهرت اختلافات واضحة بين الجنسين ولكن محصورة بجزء محدد من الجسم الثفني. وأن الجنسين مرتبطان بأداء مقرب في فحوص معينة.[7] دراسة حديثة باستخدام التصوير بالرنين المغناطيسي وجدت أن المنطقة نصف السهمية من الجسم الثفني بالمقطع العرضي هي بالمتوسط، نسبياً أكبر عند الأنثى.[8]
الوظيفة
التصوير الفيسيولوجي
القدرة على تقييم الشكل والوظيفة للدماغ البشري خضعت لنمو هائل ونقلة نوعية في السنوات الآخيرة. التصوير الوظيفي بالرنين المغناطيسي، كمثال، حالياً يستخدم لتحليل وظائف الأعضاء، بالإضافة للإستخدام التقليدي للتصوير بالرنين المغناطيسي في دراسة التشريح. استخدام انتشار شدة السلاسل على آلة التصوير بالرنين المغناطيسي، المعدل الذي تنتشر الجزيئات لداخل أو خارج منطقة معينة من الأنسجة، متأثر بالجهات(الإتجاهية)، ومعدل عمليات الأيض يمكن قياسها. هذه السلاسل وجدت اختلاف ثابت بين الجنسين في الجسم الثفني للبشر شكلياً وبنائياً مجهرياً.[9][10][11] تحليل القياس-التركيبي استخدم أيضاً لدراسة علاقات معينة رياضية ثلاثية الأبعاد مع التصوير بالرنين المغناطيسي، ووجد اختلافات متسقة وهامة إحصائياً بين الجنسين.[12][13] خوارزميات معينة وجدت اختلافات جنسية هامة في 70% من الحالات في مراجعة واحدة.[14]
ارتباطات أخرى
أفادت تقارير بأن الجزء الأمامي من الجسم الثفني تحديداً أكبر في الموسيقيين من غير الموسيقيين،[15] ويكون 0.75 سم2 [16] أو 11% أكبر في الناس التي تستخدم اليد اليسار واليدين الإثنتين من الناس التي تستخدم اليد اليمنى.[16][17] هذا الاختلاف هو ظاهر في المنطقة الأمامية والخلفية من الجسم الثفني. لكن ليس في الشريط.[16] دراسة اخرى للقياس-التركيبي بالرنين المغناطيسي أظهرت أن حجم الجسم الثفني له علاقة طردية مع سعة الذاكرة اللفظية و أداء اختبار الترميز الدلالي [18].الأطفال مع خلل القراءة يمتلكون جسم ثفني أصغر وأقل نمو من نظرائهم غير المصابين بخلل القراءة.[19][20] أظهر تمرين موسيقي زيادة المرونة في الجسم الثفني خلال فترة حساسة من الوقت في التطور. الآثار هي زيادة التنسيق في اليدين، الاختلافات في بناء المادة البيضاء، وتوسيع المرونة في حركية وسقالة السمعية والتي تعمل في مساعدة التمرين الموسيقي مستقبلاً. وجدت الدراسة أن الأطفال الذين بدأوا التمرين الموسيقي قبل سنة السادسة (أقلها 15 شهر من التدريب) لديهم زيادة حجم في الجسم الثفني والبالغين الذين بدأوا التمرين الموسيقي قبل سن ال11 لديهم زيادة بالتنسيق باليدين.[21]
الأهمية سريرية
الصرع

أعراض الصرع العنيد يمكن تخفيفها بواسطة قطع الجسم الثفني بعملية معروفة بفغر الجسم الثفني.[22] هذه عادةً محددة للحالات التي ينتج بها نوبات معقدة أو صرع كبير بواسطة نشوء الصرع المتركز على جهة واحدة من الدماغ، مسبباً عاصفة كهربية بين نصفي المخ. العمل لهذه العملية يتضمن تخطيط كهربية الدماغ، التصوير بالرنين المغناطيسي، التصوير المقطعي بالإصدار البوزيتروني، والتقييم بواسطة أخصائي أعصاب، وجراح أعصاب، وطبيب نفساني، وأخصائي أشعة أعصاب قبل الأخذ بعين الاعتبار عمل الجراح.[23]
أمراض أخرى
إصابات الجزء الأمامي من الجسم الثفني يمكن أن تنتج خرس تعذر الحركة أو فقد التسمية اللمسي. إصابات الجزء الخلفي من الجسم الثفني (الشريط) يمكن أن تنتج تعذر القراءة من دون تعذر الكتابة.
انظر أيضاً:
- متلازمة اليد الغريبة
- تعذر القراءة من دون تعذر الكتابة (ترى من خلال ضرر لشريط الجسم الثفني)
- عدم تكون الجسم الثفني
- تقسيم الدماغ
- خلل تنسج الحاجز البصري (متلازمة دي مورسير)
- تصلب متعدد مع أعراض متلازمة أصابع داوسن
- اعتلال دماغي متوسط مع ضرر شريطي قابل للإرجاع، مرض دماغي نادر غير معروف المنشأ مع ضرر عابر في الجزء الخلفي من الجسم الثفني، غالباً مترابط مع الأمراض المعدية.
عملية تقسيم الدماغ
القشرة المخية مقسمة لنصفي كرة، مرتبطتان بواسطة الجسم الثفني. العملية التي تساعد المرضى على تخفيف حدة النوبات تدعى عملية تقسيم الدماغ. بالنتيجة، النوبة التي تبدأ بنصف كرة واحد من المخ تعزل بذلك النصف، حيث أن الاتصال مع الجانب الآخر لم يعد موجود. على أية حال هذه العملية خطيرة ومحفوفة بالمخاطر.
تاريخ
الدراسة الأولى للجسم الثفني وعلاقتها بالجنس كانت بواسطة- ر.ب.بين- أخصائي التشريح في فيلاديلفيا، الذي اقترح في عام 1906 أن "الحجم الإستثنائي للجسم الثفني يمكن أن يعني نشاط فكري إستثنائي" وكان هناك اختلاف بالقياسات بين الرجال والنساء. ربما يعكس المناخ السياسي في تلك الأوقات، وقد تابع ليزعم أن هناك اختلافات بحجم الجسم الثفني عبر الأعراق المختلفة. في النهاية تم تفنيد بحثه بواسطة فرانكلين مول، مدير مختبره الخاص.[24] الأثر الأكثر انتشاراً كان مقال علمي عام 1982 بواسطة هولوواي و يوتامسنغ اللذين اقترحوا الاختلافات بين تركيب الدماغ البشري للجنسين، والتي ترتبط باختلافات في القدرات الإدراكية.[25] صحيفة التايم نشرت مقال في عام 1992 الذي اقترح أن، بسبب أن الجسم الثفني"غالباً أوسع في أدمغة النساء منه في الرجال، وهذا يمكن أن يسمح لتواصل أكبر بين نصفي المخ، والذي من الممكن هو الأساس لبديهة النساء.[26] منشورات أكثر حداثة في أدب علم النفس زادت الشك فيما إذا كان الحجم التشريحي للجسم الثفني هو مختلف حقيقةً. التحليل التجميعي ل 49 دراسة منذ عام 1980 وجدت أن، على عكس من دي لاكوست-اتمسنغ و هولوواي، لا يوجد اختلافات يمكن إيجادها في حجم الجسم الثفني بين الجنسين، إذا أخذ بالاعتبار حجم دماغ أكبر للذكر أو لم يؤخذ.[24] دراسة في عام 2006 استخدم فيها شرائح رقيقة للتصوير بالرنين المغناطيسي أظهرت لا اختلاف في سمك الجسم الثفني عند الحساب لحجم الجسم.[27]
في حيوانات أخرى
الجسم الثفني يوجد فقط في الثدييات المشيمية (الوحشيات الحقيقية)، بينما غير موجود في الكظاميات والشقبانيات، [28] كما هو الحال في الفقاريات الأخرى مثل الطيور والزواحف والبرمائيات والأسماك.[29] (مجموعات أخرى لديها تراكيب دماغ أخرى والتي تسمح بالإتصال بين نصفي كرة المخ، مثل الصوار الأمامي، والذي يعمل كوسيلة أساسية للتواصل بين نصفي المخ في الشقبانيات، [30][31] والذي يحمل كل الألياف الصوارية الناشئة من القشرة المخية الحديثة (تعرف أيضاً بالبالة الحديثة)، بينما في الثدييات المشيمية، الصوار الأمامي يحمل فقط جزء من هذه الألياف.[32] في الرئيسيات، سرعة نقل الأعصاب يعتمد على درجة تكون الميالين، أو الغطاء الدهني. وهذا يتجلى من خلال قطر محوار العصب. في معظم الرئيسيات، قطر العصب المحواري يزيد بالنسبة لحجم الدماغ ليعوض زيادة المسافة المقطوعة لانتقال النبضة العصبية. هذا يسمح للدماغ لتنسيق النبضة الحسية والحركية. على أية حال، التوسع في حجم الدماغ الكلي وزيادة تكون الميالين لم يحدث في الشمبانزي والإنسان. هذا نتج في أن الجسم الثفني للإنسان يتطلب ضعف الوقت للتواصل بين نصفي المخ لقرد المكاك.[2] الحزم الليفية التي يظهر بها الجسم الثفني، يمكن أن تزداد في الإنسان إلى مدى يتجاوز أكثر من البنى الحصينية.[33]
صور أخرى
الجسم الثفني
الجسم الثفني
الجسم الثفني
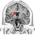
مقطع تاجي، التصوير بالرنين المغناطيسي للدماغ على مستوى نواة المذنب لتأكيد الجسم الثفني
أجزاء الجسم الثفني بالرنين المغناطيسي
بطينات الدماغ والعقد القاعدية. منظر من الأعلى قطع أفقي .تشريح عميق
بطينات الدماغ والعقد القاعدية.مشهد من الأعلى قطع أفقي .تشريح عميق
المخ. مشهد من الأسفل. تشريح عميق
أمراض متعلقة بالجسم الثفني
انظر أيضًا
مراجع
- Corpus callosum - Wikipedia, the free encyclopedia
- Caminiti, Roberto; Ghaziri, Hassan; Galuske, Ralf; Hof, Patrick R.; Innocenti, Giorgio M. (2009). "Evolution amplified processing with temporally dispersed slow neuronal connectivity in primates". Proceedings of the National Academy of Sciences. 106 (46): 19551–6. Bibcode:2009PNAS..10619551C. doi:10.1073/pnas.0907655106. JSTOR 25593230. PMC 2770441. PMID 19875694. الوسيط
|CitationClass=تم تجاهله (مساعدة) - Hofer, Sabine; Frahm, Jens (2006). "Topography of the human corpus callosum revisited—Comprehensive fiber tractography using diffusion tensor magnetic resonance imaging". NeuroImage. 32 (3): 989–94. doi:10.1016/j.neuroimage.2006.05.044. PMID 16854598. الوسيط
|CitationClass=تم تجاهله (مساعدة) - Dobyns, W. B. (1996). "Absence makes the search grow longer". American Journal of Human Genetics. 58 (1): 7–16. PMC 1914936. PMID 8554070. الوسيط
|CitationClass=تم تجاهله (مساعدة) - "NINDS Agenesis of the Corpus Callosum Information Page: NINDS". RightDiagnosis.com. مؤرشف من الأصل في 15 فبراير 2019. اطلع عليه بتاريخ 30 أغسطس 2011. الوسيط
|CitationClass=تم تجاهله (مساعدة) - "Autism May Involve A Lack Of Connections And Coordination In Separate Areas Of The Brain, Researchers Find". Medical News Today. مؤرشف من الأصل في 10 مايو 2018. الوسيط
|CitationClass=تم تجاهله (مساعدة) - Davatzikos, C; Resnick, S. M. (1998). "Sex differences in anatomic measures of interhemispheric connectivity: Correlations with cognition in women but not men". Cerebral Cortex. 8 (7): 635–40. doi:10.1093/cercor/8.7.635. PMID 9823484. الوسيط
|CitationClass=تم تجاهله (مساعدة) - Ardekani, B. A.; Figarsky, K.; Sidtis, J. J. (2012). "Sexual Dimorphism in the Human Corpus Callosum: An MRI Study Using the OASIS Brain Database". Cerebral Cortex. 23 (10): 2514–20. doi:10.1093/cercor/bhs253. PMID 22891036. الوسيط
|CitationClass=تم تجاهله (مساعدة) - Dubb, Abraham; Gur, Ruben; Avants, Brian; Gee, James (2003). "Characterization of sexual dimorphism in the human corpus callosum". NeuroImage. 20 (1): 512–9. doi:10.1016/S1053-8119(03)00313-6. PMID 14527611. الوسيط
|CitationClass=تم تجاهله (مساعدة) - Westerhausen, René; Kreuder, Frank; Sequeira, Sarah Dos Santos; Walter, Christof; Woerner, Wolfgang; Wittling, Ralf Arne; Schweiger, Elisabeth; Wittling, Werner (2004). "Effects of handedness and gender on macro- and microstructure of the corpus callosum and its subregions: A combined high-resolution and diffusion-tensor MRI study". Cognitive Brain Research. 21 (3): 418–26. doi:10.1016/j.cogbrainres.2004.07.002. PMID 15511657. الوسيط
|CitationClass=تم تجاهله (مساعدة) - Shin, Yong-Wook; Jin Kim, Dae; Hyon Ha, Tae; Park, Hae-Jeong; Moon, Won-Jin; Chul Chung, Eun; Min Lee, Jong; Young Kim, In; Kim, Sun I.; et al. (2005). "Sex differences in the human corpus callosum: Diffusion tensor imaging study". NeuroReport. 16 (8): 795–8. doi:10.1097/00001756-200505310-00003. PMID 15891572. الوسيط
|CitationClass=تم تجاهله (مساعدة) - Kontos, Despina; Megalooikonomou, Vasileios; Gee, James C. (2009). "Morphometric analysis of brain images with reduced number of statistical tests: A study on the gender-related differentiation of the corpus callosum". Artificial Intelligence in Medicine. 47 (1): 75–86. doi:10.1016/j.artmed.2009.05.007. PMC 2732126. PMID 19559582. الوسيط
|CitationClass=تم تجاهله (مساعدة) - Spasojevic, Goran; Stojanovic, Zlatan; Suscevic, Dusan; Malobabic, Slobodan (2006). "Sexual dimorphism of the human corpus callosum: Digital morphometric study". Vojnosanitetski pregled. 63 (11): 933. doi:10.2298/VSP0611933S. الوسيط
|CitationClass=تم تجاهله (مساعدة) - Yokota, Y.; Kawamura, Y.; Kameya, Y. (2005). "2005 IEEE Engineering in Medicine and Biology 27th Annual Conference": 3055–8. doi:10.1109/IEMBS.2005.1617119. ISBN 0-7803-8741-4. الوسيط
|CitationClass=تم تجاهله (مساعدة); Cite journal requires|journal=(مساعدة);|الفصل=تم تجاهله (مساعدة) - Levitin, Daniel J. "This is Your Brain on Music", '
- Witelson, S. (1985). "The brain connection: The corpus callosum is larger in left-handers". Science. 229 (4714): 665–8. Bibcode:1985Sci...229..665W. doi:10.1126/science.4023705. PMID 4023705. الوسيط
|CitationClass=تم تجاهله (مساعدة) - Driesen, Naomi R.; Raz, Naftali (1995). "The influence of sex, age, and handedness on corpus callosum morphology: A meta-analysis". Psychobiology. 23 (3): 240–7. الوسيط
|CitationClass=تم تجاهله (مساعدة) - Kozlovskiy, S.A.; Vartanov, A.V.; Pyasik, M.M.; Nikonova, E.Y. (2012). "Functional role of corpus callosum regions in human memory functioning". International Journal of Psychophysiology. 85 (3): 396–7. doi:10.1016/j.ijpsycho.2012.07.092. الوسيط
|CitationClass=تم تجاهله (مساعدة) - Hynd, G. W.; Hall, J.; Novey, E. S.; Eliopulos, D.; Black, K.; Gonzalez, J. J.; Edmonds, J. E.; Riccio, C.; Cohen, M. (1995). "Dyslexia and Corpus Callosum Morphology". Archives of Neurology. 52 (1): 32–8. doi:10.1001/archneur.1995.00540250036010. PMID 7826273. الوسيط
|CitationClass=تم تجاهله (مساعدة) - Von Plessen, K; Lundervold, A; Duta, N; Heiervang, E; Klauschen, F; Smievoll, AI; Ersland, L; Hugdahl, K (2002). "Less developed corpus callosum in dyslexic subjects—a structural MRI study". Neuropsychologia. 40 (7): 1035–44. doi:10.1016/S0028-3932(01)00143-9. PMID 11900755. الوسيط
|CitationClass=تم تجاهله (مساعدة) - Steele, C. J.; Bailey, J. A.; Zatorre, R. J.; Penhune, V. B. (2013). "Early Musical Training and White-Matter Plasticity in the Corpus Callosum: Evidence for a Sensitive Period". Journal of Neuroscience. 33 (3): 1282–90. doi:10.1523/JNEUROSCI.3578-12.2013. PMID 23325263. الوسيط
|CitationClass=تم تجاهله (مساعدة) - Clarke, Dave F.; Wheless, James W.; Chacon, Monica M.; Breier, Joshua; Koenig, Mary-Kay; McManis, Mark; Castillo, Edward; Baumgartner, James E. (2007). "Corpus callosotomy: A palliative therapeutic technique may help identify resectable epileptogenic foci". Seizure. 16 (6): 545–53. doi:10.1016/j.seizure.2007.04.004. PMID 17521926. الوسيط
|CitationClass=تم تجاهله (مساعدة) - "WebMd Corpus Callotomy". Web MD. July 18, 2010. مؤرشف من الأصل في 20 ديسمبر 2012. اطلع عليه بتاريخ 18 يوليو 2010. الوسيط
|CitationClass=تم تجاهله (مساعدة) - Bishop, Katherine M.; Wahlsten, Douglas (1997). "Sex Differences in the Human Corpus Callosum: Myth or Reality?". Neuroscience & Biobehavioral Reviews. 21 (5): 581–601. doi:10.1016/S0149-7634(96)00049-8. PMID 9353793. الوسيط
|CitationClass=تم تجاهله (مساعدة) - Delacoste-Utamsing, C; Holloway, R. (1982). "Sexual dimorphism in the human corpus callosum". Science. 216 (4553): 1431–2. Bibcode:1982Sci...216.1431D. doi:10.1126/science.7089533. PMID 7089533. الوسيط
|CitationClass=تم تجاهله (مساعدة) - C Gorman (20 January 1992). "Sizing up the sexes". Time: 36–43. الوسيط
|CitationClass=تم تجاهله (مساعدة) As cited by Bishop and Wahlsten. - Luders, Eileen; Narr, Katherine L.; Zaidel, Eran; Thompson, Paul M.; Toga, Arthur W. (2006). "Gender effects on callosal thickness in scaled and unscaled space". NeuroReport. 17 (11): 1103–6. doi:10.1097/01.wnr.0000227987.77304.cc. PMID 16837835. الوسيط
|CitationClass=تم تجاهله (مساعدة) - Keeler, Clyde E. (1933). "Absence of the Corpus callosum as a Mendelizing Character in the House Mouse". Proceedings of the National Academy of Sciences of the United States of America. 19 (6): 609–11. Bibcode:1933PNAS...19..609K. doi:10.1073/pnas.19.6.609. JSTOR 86284. PMC 1086100. PMID 16587795. الوسيط
|CitationClass=تم تجاهله (مساعدة) - Sarnat, Harvey B., and Paolo Curatolo (2007). Malformations of the Nervous System: Handbook of Clinical Neurology, p. 68 نسخة محفوظة 26 نوفمبر 2015 على موقع واي باك مشين. [وصلة مكسورة]
- Ashwell, Ken (2010). The Neurobiology of Australian Marsupials: Brain Evolution in the Other Mammalian Radiation, p. 50 نسخة محفوظة 04 فبراير 2017 على موقع واي باك مشين.
- Armati, Patricia J., Chris R. Dickman, and Ian D. Hume (2006). Marsupials, p. 175 نسخة محفوظة 04 فبراير 2017 على موقع واي باك مشين.
- Butler, Ann B., and William Hodos (2005). Comparative Vertebrate Neuroanatomy: Evolution and Adaptation, p. 361 نسخة محفوظة 04 فبراير 2017 على موقع واي باك مشين.
- Morris, H., & Schaeffer, J. P. (1953). The Nervous system-The Brain or Encephalon. Human anatomy; a complete systematic treatise. (11th ed., pp. 920–921, 964–965). New York: Blakiston.
- بوابة طب
- بوابة علوم عصبية
- بوابة تشريح