اختراق خلية
في الطب، يشير مصطلح اختراق الخلية (emperipolesis) إلى وجود خلية سليمة في السيتوبلازم الخاص بخلية أخرى.[1] المصطلح مشتق من اليونانية (فالمقطعem تعني بالداخل وكلمة peri تعني حول، وكلمة polemai تعني يتجول حول).[2]

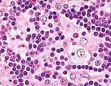
تظهر الصورة المجهرية اختراق الخلية في حالة مرض انسداد الجيوب الأنفية وتضخم العقد الليمفية. صبغة الهيماتوكسيلين والأيوزين.
يتعلق هذا المصطلح بمصطلح الاحتفاف الذي يعني ارتباط خلية بأخرى.[3]
التداعيات
لوحظ حدوث اختراق الخلية في حالات مختلفة بما في ذلك:
- انسداد الجيوب الأنفية وتضخم العقد الليمفية[4]
- التهاب الكبد بالمناعة الذاتية
- الخلايا الكبيرة المنتجة للصفائح الدموية التي تتواجد في الطريق
صور إضافية
اختراق الخلية: مجموعة الخلايا المتعادلة داخل الخلايا المنتجة للصفائح الدموية.(رايت وجيمسا(Wright-Giemsa)،100x, oil).
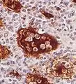
اختراق الخلية في مرض انسداد الجيوب الأنفية وتضخم العقد الليمفية والتي يوضحها التلوث S-100.
اختراق الخلية: في الخلايا المنتجة للصفائح الدموية التي تحتوي على الخلايا الحبيبة العدلة المجزأة ملوثة بما يعرف باسم بقعة ماي جرونولد جيمسا.
انظر أيضًا
- متلازمة البلعمة
- البلعمة
المراجع
- Emperipolesis. dictionary.com. URL: https://www.dictionary.com/browse/emperipolesis. Accessed on: 11 August 2010. نسخة محفوظة 03 مارس 2016 على موقع واي باك مشين.
- Emperipolesis. Stedman's Medical Dictionary. 27th Ed.
- Lyons DJ, Gautam A, Clark J; et al. (1992). "Lymphocyte macrophage interactions: peripolesis of human alveolar macrophages". Eur. Respir. J. 5 (1): 59–66. PMID 1577151. الوسيط
|CitationClass=تم تجاهله (مساعدة); Explicit use of et al. in:|مؤلف=(مساعدة)صيانة CS1: أسماء متعددة: قائمة المؤلفون (link) - Demicco EG, Rosenberg AE, Björnsson J, Rybak LD, Unni KK, Nielsen GP (2010). "Primary Rosai-Dorfman Disease of Bone: A Clinicopathologic Study of 15 Cases". Am J Surg Pathol. 34 (9): 1324–1333. doi:10.1097/PAS.0b013e3181ea50b2. PMID 20679880. الوسيط
|CitationClass=تم تجاهله (مساعدة)صيانة CS1: أسماء متعددة: قائمة المؤلفون (link)
- بوابة طب
في كومنز صور وملفات عن: اختراق خلية
This article is issued from Wikipedia. The text is licensed under Creative Commons - Attribution - Sharealike. Additional terms may apply for the media files.