استئصال راديوي
الاستئصال الراديوي (بالإنجليزية: Radiofrequency ablation) هو إجراء طبي يحدث فيه اسئصال لجزء من نظام التوصيل الكهربائي للقلب، أو لورم أو غير ذلك من الأنسجة المختلة، وذلك باستخدام الحرارة المتولدة من تيار كهربي ذو تردد متوسط (في نطاق 350-500 كيلو هرتز).[1][2][3] ويتم هذا الإجراء عموما في العيادات الخارجة، وذلك باستخدام إما التخدير الموضعي أو التخدير الكلي. وعندما يتم توصيله عن طريق القسطرة، يسمى وقتها استئصال قسطري راديوي.
هناك اثنين من المزايا الهامة للترددات الراديوية الحالية: هي أنها لا تحفز مباشرة الأعصاب أو عضلة القلب، وبالتالي يمكن أن تستخدم في كثير من الأحيان دون الحاجة إلى التخدير العام، وأنها محدودة جدا لعلاج الأنسجة المطلوبة دون أضرار جانبية كبيرة.
وقد أدت الفوائد الموثقة إلى استخدام الاستئصال الراديوي على نطاق واسع خلال القرن الحادي والعشرين. ويتم إجراء الاستئصال الراديوي تحت إشراف الآشعة (مثل فحص الأشعة السينية أو الأشعة المقطعية أو الموجات فوق الصوتية) من قبل أخصائي الألم التداخلي (مثل طبيب التخدير)، وأخصائي الأشعة التدخلي، وأخصائيي أمراض الأذن والحنجرة، وأخصائي في الجهاز الهضمي أو الجراحي، أو اختصاصي الكهربية القلبية، من أطباء القلب.
الأورام

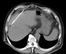
يمكن استخدام الاستئصال الراديوي لعلاج أورام الرئة والكبد والكلية والعظم، إضافة إلى عدد من أعضاء الجسم الأخرى بشكل أقل شيوعًا. عند تأكيد تشخيص الورم، يوضع مسبار الاستئصال الراديوي الشبيه بالإبرة داخل الورم. تؤدي موجات الراديو التي تعبر خلال المسبار إلى زيادة الحرارة ضمن النسيج الورمي ما يؤدي إلى تخريب الورم. يمكن استخدام الاستئصال الراديوي على الأورام الصغيرة، إن كانت هذه الأورام ناشئة من العضو ذاته (الأورام البدئية) أو منتشرة إلى العضو (انتقالات ورمية). تعتمد قابلية كل ورم على الاستجابة للاستئصال الراديوي على عدد من العوامل.[4][5][6]
يمكن إجراء الاستئصال الراديوي كإجراء خارجي، على الرغم من الحاجة إلى بقاء المريض في المشفى لفترة وجيزة. يمكن دمج الاستئصال الراديوي مع العلاج الكيميائي موضعي التوجيه لعلاج ورم الخلية الكبدي (ورم بدئي في الكبد). تستخدم طريقة وصلت إلى المرحلة الثالثة من التجارب السريرية الحرارة طفيفة الارتفاع الناتجة عن مسبار موجات الراديو لتفعيل أدوية العلاج الكيميائي المركزة من الجسيمات الشحمية الحساسة للحرارة في الحواف حول النسيج المستأصل بموجات الراديو كعلاج لورم الخلية الكبدية (إتش سي سي). يمكن استخدام الاستئصال الراديوي أيضًا في علاج سرطان البنكرياس وسرطان الطرق الصفراوية.[7]
ازدادت أهمية الاستئصال الراديوي في علاج الأورام العظمية الحميدة مثل الورم المشبه بالعظم (العظموم العظماني). منذ أن قُدمت هذه الطريقة في البداية كطريقة لعلاج هذه الأورام خلال تسعينيات القرن العشرين، أظهرت دراسات متعددة أنها أقل غزوًا وتكلفة مادية، كما أنها تؤدي إلى تخريب أقل في العظام وتملك من الأمان والفاعلية ما يوازي التقنيات الجراحية، إذ يذكر 66% إلى 95% من المرضى غياب الأعراض المزعجة للورم. في حين يؤدي الاستئصال الراديوي إلى معدلات عالية من النجاح الأولي، ذُكر نكس الأعراض بعد استخدام هذه التقنية مرات عديدة، حتى أن عددًا من الدراسات يذكر معدلات نكس مشابهة لتلك المرتبطة بالعلاج الجراحي. يُستخدم الاستئصال الراديوي آخذ بالازدياد في العلاج التلطيفي للانتقالات الورمية المؤلمة إلى العظام لدى المرضى غير المرشحين للعلاجات التقليدية (مثل العلاج الشعاعي أو الكيميائي أو الجراحة التلطيفية أو الأدوية المسكنة للألم) أو غير المستجيبين عليها.[8][9]
الأمراض القلبية

تُستخدم الطاقة الناتجة عن توليد موجات الراديو على النسيج القلبي أو الأجزاء الطبيعية لعلاج السبل الكهربائية الشاذة التي تساهم في اضطرابات النظم القلبية: يمكن استخدامها لعلاج الرفرفة الأذينية الناكسة والرجفان الأذيني وتسرع القلب فوق البطيني وتسرع القلب الأذيني وتسرع القلبي الأذيني متعدد البؤر وبعض حالات اضطرابات النظم بطينية المنشأ. يوضع المسبار المولد للطاقة (الإلكترود) على رأس قثطرة تُدخل إلى القلب عن طريق أحد الأوردة عادة. تُدعى هذه القثطرة باسم أداة الاستئصال. يبدأ الطبيب الممارس للإجراء عادة ’برسم خريطة’ منطقة من القلب لتحديد مكان الفعالية الكهربائية الشاذة (يُعرف هذا باسم الدراسة الكهربائية الوظيفية) قبل إزالة النسيج المسؤول عن الخلل.[10]
يُعتبر الاستئصال الراديوي حاليًا حجر الأساس في علاج تسرع القلب فوق البطيني والرجفان الأذيني النمطي كما يمكن استخدام هذه التقنية في علاج الرجفان الأذيني، إما بهدف حصار العقدة الأذينية البطينية بعد زرع ناظم خطا أو لحصار النقل ضمن الأذينة اليسرى، خصوصًا حول الأوردة الرئوية. في بعض الأحيان، وبالنسبة خصوصًا إلى أشكال دارات عَود الدخول داخل العقدة (الشكل الأكثر شيوعًا من التسرع فوق البطيني)، المعروف أيضًا باسم تسرع القلب بسبب عود الدخول بالعقدة الأذينية البطينية، يمكن تحقيق استئصال الأنسجة الشاذة بطرق أخرى مثل المعالجة القرية (تجميد النسيج المصاب باستخدام مادة مبردة تتدفق عبر القثطرة) لتجنب خطورة حدوث حصار قلبي تام، وهو اختلاط يمكن أن يلي الاستئصال الراديوي في هذه الحالة. لكن معدلات النكس التالية للمعالجة القرية تعتبر أعلى. طورت تقنيات أخرى لاستئصال الأنسجة المصابة مثل الاستئصال بالموجات الميكروية، وهي طريقة تستأصل النسيج باستخدام طاقة الموجات الميكروية التي «تطبخ» النسيج المجاور لها، إضافة إلى تقنية الاستئصال فوق الصوتي الذي يستخدم الأثر الحراري للاهتزاز الميكانيكي وتقنية الاستئصال بالليزر، لكن هذه الطرق لم تُستعمل على نطاق واسع.
إزالة التعصيب الودي للكلية
في الأعوام الأخيرة، ظهر استخدام جديد وواعد لتقنيات موجات الراديو. ارتفاع ضغط الدم حالة مرضية واسعة الانتشار إذ يعاني منها نحو مليار شخص حول العالم منهم 75 مليون شخص في الولايات المتحدة لوحدها. يملك الارتفاع غير المضبوط لضغط الدم العديد من العواقب التي تؤثر على الفرد والعالم على حد سواء. تشمل الخيارات العلاجية الأدوية والحمية والتمارين الرياضية وخفض الوزن والتأمل. جُرب تثبيط التنبيهات العصبية التي يُتوقع أنها تزيد ارتفاع ضغط الدم سوءًا منذ عدة عقود. ساعد الاستئصال الجراحي لتعصيب الجملة العصبية الودية لكن ذلك لم يحدث بدون تأثيرات جانبية مهمة. بالتالي، فإن إدخال الوسائل غير الجراحية لإزالة التعصيب الكلوي بقثطرة الاستئصال الراديوي قوبل بالكثير من الترحيب. على الرغم من أن التجارب الأولية للحرارة المولدة بموجات الراديو لاستئصال النهايات العصبية الكلوية بهدف المساعدة في تدبير ’ارتفاع الضغط المعند’ قدمت نتائج مشجعة، لكن أحدث تجارب المرحلة الثالثة التي تنظر إلى استخدام إزالة التعصيب الكلوي عبر القثطرة لعلاج ارتفاع ضغط الدم المعند فشلت في إثبات أي انخفاض مهم في الضغط الانقباضي للمريض.[11]
المعالجة الجلدية التجميلية
الاستئصال الراديوي هو إجراء جلدي جراحي يستخدم عدة أشكال من التيار المتناوب. تشمل أنماط التردد الراديوي القطع الكهربائي والتخثير الكهربائي والتجفيف الكهربائي والصعق بالحرارة النافذة. حصل الاستئصال الراديوي على أهمية كبيرة نظرًا لإمكانية استعماله لعلاج مختلف الآفات الجلدية بأقل حد ممكن من الآثار الجانبية والمضاعفات.[12]
الدوالي الوريدية
الاستئصال الراديوي إجراء منخفض الغزو يُستخدم لعلاج الدوالي الوريدية. يُعتبر بديلًا عن عمل نزع الدوالي الجراحي التقليدي. تحت توجيه الموجات فوق الصوتية، تُدخل قثطرة الراديو إلى الوريد الشاذ ويُعالج الوعاء الدموي باستخدام طاقة الراديو، ما يؤدي إلى إغلاق الوريد المصاب. يمكن استخدام الاستئصال الراديوي في علاج الوريد الصافن الكبير والوريد الصافن الصغير والأوردة الثاقبة. هذه الأخيرة هي أوردة رابطة تنقل الدم من الأوردة السطحية إلى الأوردة العميقة. ثم تُعالج الدوالي الوريدية المحيطية بطرق أخرى منخفضة الغزو مثل قطع الوريد السيار (يعني هذا المصطلح أن المريض يمكن أن يسير خارج المشفى بعد العملية دون حاجة إلى الاستشفاء) والمعالجة بالتصليب والمعالجة الرغوية بالتصليب. في الوقت الحالي، يُعد أنبوب فينوس كلوجر آر إف إس الجهاز الوحيد الحاصل على تصريح خاص من وكالة الغذاء والدواء الأمريكية بهدف الاستئصال داخل الوريدي للأوردة الثاقبة.[13]
يُعتبر احتمال حدوث حرق جلدي خلال هذا الإجراء منخفضًا جدًا، وذلك بسبب الحجوم الكبيرة (500 سنتيمتر مكعب) من مخدر الليدوكائين الممدد المحقونة على امتداد الوريد قبل تطبيق الترددات الراديوية، ما يؤدي إلى تشكيل حوض حراري يمتص الحرارة المولدة بالجهاز. أظهرت الدراسات السابقة معدلات نجاح عالية مترافقة بمعدلات منخفضة من المضاعفات.
مراجع
- "معلومات عن استئصال راديوي على موقع sml.snl.no". sml.snl.no. مؤرشف من الأصل في 23 سبتمبر 2020. الوسيط
|CitationClass=تم تجاهله (مساعدة) - "معلومات عن استئصال راديوي على موقع academic.microsoft.com". academic.microsoft.com. مؤرشف من الأصل في 9 نوفمبر 2020. الوسيط
|CitationClass=تم تجاهله (مساعدة) - "معلومات عن استئصال راديوي على موقع d-nb.info". d-nb.info. مؤرشف من الأصل في 9 نوفمبر 2020. الوسيط
|CitationClass=تم تجاهله (مساعدة) - "Long-term results of radiofrequency ablation treatment of stage I non-small cell lung cancer: a prospective intention-to-treat study". J Thorac Oncol. 6 (12): 2044–51. 2011. doi:10.1097/JTO.0b013e31822d538d. PMID 22052222. الوسيط
|CitationClass=تم تجاهله (مساعدة) - NHS, June 2008 - Radiofrequency ablation for lung cancer نسخة محفوظة 2016-06-07 على موقع واي باك مشين.
- Daily Telegraph - June 2008 - Lung cancer radiation treatment offers new hope نسخة محفوظة 2012-11-14 على موقع واي باك مشين.
- Hadjicostas, P.; Malakounides, N.; Varianos, C.; Kitiris, E.; Lerni, F.; Symeonides, P. (2006). "Radiofrequency ablation in pancreatic cancer". HPB. 8 (1): 61–64. doi:10.1080/13651820500466673. PMC 2131369. PMID 18333241. الوسيط
|CitationClass=تم تجاهله (مساعدة) - Dupuy, Damian E.; Liu, Dawei; Hartfeil, Donna; Hanna, Lucy; Blume, Jeffrey D.; Ahrar, Kamran; Lopez, Robert; Safran, Howard; DiPetrillo, Thomas (2010-02-15). "Percutaneous radiofrequency ablation of painful osseous metastases". Cancer (باللغة الإنجليزية). 116 (4): 989–97. doi:10.1002/cncr.24837. ISSN 1097-0142. PMC 2819592. PMID 20041484. الوسيط
|CitationClass=تم تجاهله (مساعدة) - Rosenthal, D I; Alexander, A; Rosenberg, A E; Springfield, D (1992-04-01). "Ablation of osteoid osteomas with a percutaneously placed electrode: a new procedure". Radiology. 183 (1): 29–33. doi:10.1148/radiology.183.1.1549690. ISSN 0033-8419. PMID 1549690. الوسيط
|CitationClass=تم تجاهله (مساعدة) - "Cryoablation Versus Radiofrequency Energy for the Ablation of Atrioventricular Nodal Reentrant Tachycardia (the CYRANO Study) : Results From a Large Multicenter Prospective Randomized Trial". Circulation. 122 (22): 2239–45. 2010. doi:10.1161/circulationaha.110.970350. PMID 21098435. الوسيط
|CitationClass=تم تجاهله (مساعدة) - "A Controlled Trial of Renal Denervation for Resistant Hypertension (SYMPLICITY HTN-3 Trial)". N Engl J Med. 370 (15): 1393–401. 2014. doi:10.1056/NEJMoa1402670. PMID 24678939. مؤرشف من الأصل في 6 أغسطس 2020. الوسيط
|CitationClass=تم تجاهله (مساعدة) - "Skin resurfacing procedures: new and emerging options". Clin Cosmet Investig Dermatol. 7: 231–41. 2014. doi:10.2147/CCID.S50367. PMC 4155739. PMID 25210469. الوسيط
|CitationClass=تم تجاهله (مساعدة) - Endovenous ablation of perforator veins نسخة محفوظة 2020-10-29 على موقع واي باك مشين.
- بوابة طب