سرطان البنكرياس
سرطان البنكرياس هو سرطان ينشأ عندما تبدأ خلايا البنكرياس –عضو غُدِّي خلف المعدة- في التضاعُف وتخرج عن السيطرة حيثُ تُكَوِّن ورمًا، يكون لتلك الخلايا السرطانية القدرة على غزو أجزاء أخرى من الجسم[11]، ويوجد عدد من أنواع سرطان البنكرياس[8] ولكن النوع الأكثر شيوعًا هو سرطانة البنكرياس الغُدِّية التي تمثِّل حوالي 85% من الحالات، لذلك يُستخدم مُصطلح "سرطان البنكرياس" أحيانًا للإشارة إلى هذا النوع[8]، تبدأ هذه السرطانات الغدية في أجزاء من البنكرياس التي تكوِّن الإنزيمات الهضمية، كما أن أنواع أخرى كثيرة للسرطان –التي غالبًا تُمَثِّل اللاسرطانات- يُمكن أن تنشأ أيضًا من هذه الخلايا[8]، تكون 1 إلى 2% من حالات سرطان البنكرياس أورامًا صمّاوية عصبية تنشأ من الخلايا المفرزة للهرمونات في البنكرياس[8]، وهي على العموم تكون أقل عُدوانيةً من السرطانات الغدية.[8]
| سرطان البنكرياس | |
|---|---|
| Pancreatic Cancer | |
![]() رسم تخطيطي يظهر موقع البنكرياس رسم تخطيطي يظهر موقع البنكرياس | |
| معلومات عامة | |
| الاختصاص | علم الأورام |
| من أنواع | أنواع التهاب البنكرياس ، وورم البنكرياس ، وسرطان الجهاز الهضمي |
| الموقع التشريحي | بنكرياس [1] |
| الأسباب | |
| عوامل الخطر | التدخين والسمنة والسكري بالإضافة إلى حالات وراثية نادرة |
| المظهر السريري | |
| البداية المعتادة | بعد سن الأربعين[2] |
| الأعراض | ألم بطني ويرقان والتهاب البنكرياس الحاد وفقدان الشهية وعلامة تروسو للخباثة.[3] |
| الإدارة | |
| الوقاية | عدم التدخين والحفاظ على وزن صحي والتقليل من تناول اللحوم الحمراء.[4] |
| التشخيص | التصوير الطبي واختبارات الدم والخزعة.[5][6] |
| العلاج | الجراحة والعلاج الإشعاعي والكيميائي والرعاية التلطيفية.[3] |
| أدوية | أوكتريوتيد ، ودوسيتاكسيل ، وتاموكسيفين ، وإرينوتيكان ، وإيفوسفامايد ، وفلورويوراسيل ، وستربتوزوتوسين ، وسنيتينيب ، وإرلوتينيب
|
| المآل | توقع الحياة من 4 إلى 6 أشهر[7] ، يكون معدل البقاء على قيد الحياة لمدة خمس سنوات 5% فقط.[8][9] |
| الوبائيات | |
| الوفيات | 411,600 (عام 2015).[10] |
تشمل العلامات والأعراض للشكل الأكثر شيوعًا لسرطان البنكرياس: اليرقان وآلام البطن أو الظهر ومتلازمة الهزال وانفتاح لون البراز واغمقاق البول وفقدان الشهية[3]، غالبًا لا توجد أعراض في المراحل الأولى من المرض ولا تظهر الأعراض المميزة لسرطان البنكرياس حتى يصل المرض لمرحلة متقدمة[2][3]، فعند تشخيص المرض يكون غالبًا قد انتشر للأجزاء الأخرى من الجسم.[8][12]
نادرًا ما يحدث سرطان البنكرياس قبل سن الأربعين، وأكثر من نصف حالات سرطانة البنكرياس الغدية تحدث عند هؤلاء الذين تزيد أعمارهم عن 70[2]، تشمل عوامل خطر سرطان البنكرياس: التدخين والسمنة والسكري وحالات جينية معينة نادرة[2]، يرتبط حوالي 25% من الحالات بالتدخين[5]، وحوالي 5-10% بالجينات المتوارثة[2]، يتم تشخيص سرطان البنكرياس غالبًا بواسطة تقنيات تصوير طبية كالفوق صوتية أو التصوير المقطعي المحوسب (CT) واختبارات الدم وفحص عينات الأنسجة (الخزعة)[5][6]، ينقسم المرض إلى مراحل بدايةً من المرحلة المبكرة (المرحلة الأولى) وحتى المرحلة المتأخرة (المرحلة الرابعة)[12]، وقد وُجِد أن التنظير الشعاعي للمرضى عامةً ليس فعالًا.[13][14]
تكون خطورة تطور سرطان البنكرياس ضعيفة بين الذين لا يدخنون والأشخاص الذين يحافظون على وزن صحي ويحدون من استهلاك اللحوم المصنَّعة أو الحمراء[4]، ولكن تقل فرصة تطور المرض لدى المدخنين إذا توقفوا عن التدخين وغالبًا ما يعود المرض لباقي المرضى بعد 20 سنة[8]، يُمكن أن يُعالَج سرطان البنكرياس بالجراحة أو العلاج الإشعاعي أو العلاج الكيميائي أو الرعاية التلطيفية أو مزيج مما سبق[3]، خيارات العلاج تعتمد بشكل جزئي على مرحلة السرطان[3]، وتكون الجراحة هي العلاج الوحيد الذي يمكن أن يعالج سرطانة البنكرياس الغدية[12]، ويمكن أيضًا أن يعمل على تحسين جودة الحياة بدون جهد للعلاج، يكون هناك حاجة أحيانًا لإدارة الألم وأخذ الأدوية لتحسين الهضم[12]، ويُنصح بالرعاية التلطيفية المبكرة حتى لهؤلاء الذين يتلقون علاج يهدف إلى العلاج.[15][16]
في عام 2015 تسببت سرطانات البنكرياس بكل أنواعها في موت 411.600 شخص عالميًا[10]، ويُعد سرطان البنكرياس خامس أكثر الأسباب شيوعًا للموت بفعل السرطان في المملكة المتحدة والثالث شيوعًا في الولايات المتحدة.[17][18]، يحدث المرض في أغلب الأحيان في دول العالم المتقدمة حيث نشأت حوالي 70% من الحالات الجديدة هناك عام 2012[8]، يكون لسرطانة البنكرياس الغدية مآلًا سيئًا، فبعد التشخيص يبقى 25% من الأشخاص على قيد الحياة لمدة عام بينما يبقى 5% فقط لمدة 5 سنوات[8][9]، وبالنسبة للسرطانات التي تُشخص مبكرًا يصل معدل البقاء على قيد الحياة لمدة 5 سنوات إلى 20%[19]، ويكون للسرطانات الصمَّاوية العصبية مآلًا أفضل؛ فبعد 5 سنوات من التشخيص يبقى 65% من الحالات المشخصة على قيد الحياة بالرغم من أن معدلات البقاء تختلف كليًا بناءً على نوع الورم.[8]
الأنواع

يُمكن أن تنقسم الأنواع العديدة من سرطان البنكرياس لمجموعتين عامتين، وتحدث الأغلبية العُظمى من الحالات (حوالي 95%) في جزء من البنكرياس الذي يُنتج الإنزيمات الهاضمة والذي يُعرف بالمكون ذي الإفراز الخارجي، يوجد العديد من الأنواع الفرعية لسرطان البنكرياس ذي الإفراز الخارجي لكن تشخيصهم وعلاجهم به الكثير من الأشياء المشتركة، بينما للأقلية النادرة من السرطانات التي تنشأ في النسيج المفرز للهرمونات (الصماوي) تكون لها صفات سريرية مختلفة وتُسمى أورام عصبية-صمَّاوية بنكرياسية (PanNet)، تحدث كلا المجموعتين بشكل رئيسي –لكن ليس استثنائي- في الأشخاص الذين تزيد أعمارهم عن 40 عام، وتكون أكثر شيوعًا لدى الرجال، لكن بعض الأنواع الفرعية النادرة تحدث بشكل رئيسي في النساء والأطفال.[20][21]
السرطانات خارجية الإفراز
تشيع تسمية المجموعة خارجية الإفراز للسرطانة الغدية البنكرياسية (والتسميات المختلفة قد تُضيف مصطلح "المغيرة" و"القنوية")، وهو يُعد أكثر الأنواع شيوعًا حتى الآن حيث يُمثل حوالي 85% من كل سرطانات البنكرياس[2]، غالبًا تبدأ هذه الأنواع في قنوات البنكرياس وتُعرف بـ السرطانة الغدية القنوية البنكرياسية (PDAC)[22]، ذلك بالرغم من أن ظهارة قنوات البنكرياس التي ينشأ منها السرطان تشكِّل أقل من 10% من البنكرياس عبر حجم الخلية، ذلك لأنه يكون القنوات فقط في البنكرياس[23]، ينشأ هذا السرطان في القنوات التي تحمل الإفرازات (كالإنزيمات والبيكربونات) بعيدًا عن البنكرياس، تحدث 60-70% من السرطانات الغدية في منطقة الرأس من البنكرياس.[2]
يُعد ثاني أكثر أنواع سرطان البنكرياس شيوعًا هو سرطانة الخلايا العنيبية للبنكرياس والتي تنشأ من العُنيبة التي تفرز إنزيمات، يشكِّل هذا النوع 5% من السرطانات خارجية الإفراز في البنكرياس[24]، وكمثل السرطانات البنكرياسية الصماوية الوظيفية التي سيتم توضيحها بالأسفل فقد تسبب سرطانات الخلايا العنيبية زيادة إنتاج جزيئات معينة (كالإنزيمات الهاضمة) والتي قد تسبب أعراض كالطفح الجلدي أو ألم المفاصل.
تمثِّل السرطانة الغدية الكيسية 1% من سرطانات البنكرياس ويكون لها مآل أفضل من الأنواع الأخرى ذات الإفراز الخارجي.[24]
الورم الأرومي البنكرياسي هو شكل نادر يحدث على الأغلب في مرحلة الطفولة ويكون له مآل جيد نسبيًا، تشمل السرطانات ذات الإفراز الخارجي الأخرى:
- السرطانة الغدية الحرشفية
- السرطانة ختمية الخلايا
- الورم الشبيه بالكبد
- السرطانة الغروانية
- السرطانة اللامتمايزة
- السرطانة اللامتمايزة ذات الخلايا العملاقة الشبيهة بناقضة العظم.
يُعد الورم الحليمي الكاذب الصلب ورمًا بدرجة منخفضة نادرة التي تؤثر في أغلب الأحيان على السيدات الأصغر سنًا وبصفة عامة يكون لها مآل جيد جدًا.[2][25]
تكوِّن الأورام الكيسية الموسينية البنكرياسية مجموعة واسعة من أورام البنكرياس التي تحمل درجات مختلفة من الخباثة، يتم اكتشافها بدرجات متزايدة حيث أصبح التصوير المقطعي المحوسب أكثر قوة وشيوعًا، وتستمر المناقشات حول أفضل الطرق لعلاجهم على الرغم من أن الكثير منهم يكون حميدًا.[26]
ورم عصبي صماوي
مقالة مفصلة: ورم خلايا الجزيرة
تُعد أقلية صغيرة من الأورام التي تنشأ في مكان آخر في البنكرياس بشكل رئيسي أورام عصبية-صماوية بنكرياسية (PanNETs)[27]، وأورام الغدد العصبية الصماء (NETs) هي مجموعة متنوعة من الأورام الحميدة أو الخبيثة التي تنشأ من خلايا عصبية-صماوية في الجسم وهي الخلايا المسؤولة عن دمج الجهاز العصبي والغدد الصماء. يمكن أن تبدأ أورام الغدد العصبية الصماء في معظم أعضاء الجسم -بما في ذلك البنكرياس- حيث تعتبر جميع الأنواع الخبيثة المختلفة نادرة، تُصنَّف الأورام العصبية-الصماوية البنكرياسية إلى: "فعَّالة" و"غير فعَّالة" بناءً على درجة إفرازها للهرمونات، فالأنواع الفعَّالة تُفرز هرمونات كالإنسولين والغاسترين والجلوكاجون في الدم، وعند إفرازها لهذه الهرمونات بكميات كبيرة تتسبب في أعراض خطيرة مثل نقص سكر الدم، ولذلك فإن هذا النوع يُكتشف مبكرًا نسبيًا، وتُعد الأورام العصبية-الصماوية البنكرياسية الأكثر شيوعًا هي الأورام الإنسولينية والأورام الغاسترينية –التي تُسَمَّى نسبةً للهرمونات التي تفرزها.
أما الأنواع غير الفعَّالة فهي لا تفرز هرمونات بكميات كافية للتسبب بأعراض سريرية واضحة؛ ولهذا السبب فإن الأورام العصبية-الصماوية البنكرياسية الغير فعالة لا تُشخَّص إلى بعد أن يكون السرطان قد انتشر لأجزاء أخرى في الجسم.[28]
وكما هو الحال مع أورام الغدد العصبية الصماء الأخرى فإن تاريخ المصطلحات وتصنيف الأورام العصبية-الصماوية البنكرياسية معقد[27]، فهي أحيانًا تسمَّى أورام خلايا الجزيرة[29] بالرغم من أنه من المعروف الآن أنها لا تنشأ بالتحديد من جزر لانغرهانس كما كان يُعتقد سابقًا.[28]
العلامات والأعراض

عادة لا يسبب سرطان البنكرياس أية أعراض واضحة في مراحله المبكرة، ولذلك لا يتم عادة تشخيص المرض قبل انتشاره خارج البنكرياس نفسه.[6] ويُعد هذا واحدًا من العوامل الرئيسية في ضآلة معدل البقاء على قيد الحياة للمصابين، ويُستثنى من ذلك الأورام العصبية-الصماوية البنكرياسية حيث يمكن أن يؤدي الإفراط في إنتاج الهرمونات النشطة المختلفة إلى ظهور الأعراض (التي تعتمد على نوع الهرمون).[30]
كما الأخذ في الاعتبار أن المرض نادرًا ما يتم تشخيصه قبل سن الأربعين، وتشمل أعراض السرطانة الغدية البنكرياسية التي تظهر قبل التشخيص ما يلي:
- ألم في الجزء العلوي من البطن أو الظهر، وغالبًا ما ينتشر من حول المعدة إلى الخلف. موضع الألم يمكن أن يشير إلى جزء من البنكرياس حيث يقع الورم، وقد يكون الألم أسوأ في الليل وقد يزيد بمرور الوقت ليصبح خطيرًا ومتواصلًا[31]، ويمكن أن يقل قليلًا عند الانحناء إلى الأمام.[32] في المملكة المتحدة يتم تشخيص حوالي نصف الحالات سرطان البنكرياس الجديدة بعد زيارة إلى قسم الطوارئ في المستشفى لعوارض الألم أو اليرقان، ويصل عدد المرضى الذين يكون عرضهم الأساسي ألم في البطن إلى ثلثى العدد الإجمالى، حيث 46% من الإجمالي يعاني من ألم البطن مع اليرقان، بينما 13% منهم يعانون من اليرقان دون ألم.[33]
- يرقان (لون أصفر خفيف في بياض العين أو اصفرار الجلد، وقد يرافقه بول داكن) مصحوب أو غير مصحوب بألم[34] وهذا ينتج عن انسداد للقناة الصفراوية المشتركة بواسطة سرطان رأس البنكرياس -الذي يمثل 75% من الحالات- لأنها تعبر خلال البنكرياس.[35]
- الهزال سواء بسبب فقدان الشهية أو خسارة الوظيفة خارجية الإفراز مما يتسبب في عسرهضم.[36]
- يمكن أن يضغط الورم الأعضاء المجاورة فيُسبِّب خللًا في العمليات الهضمية مما يجعل من الصعب تفريغ المعدة وقد ينتج عن ذلك العثيان والشعور بالامتلاء، تُسبِّب الدهون غير المهضومة رائحة كريهة وإسهال دهني يصعُب طرده خارج الجسم[36]، ويُعد الإمساك أيضًا عرضًا شائعًا.[37]
- 50% على الأقل من الأشخاص المصابين بالسرطانة الغدية البنكرياسية يكونون مصابين بداء السكري وقت التشخيص[38]، فبينما الإصابة بداء السكري لفترة طويلة تُعد من أسباب الإصابة بسرطان البنكرياس (انظر مخاطر الإصابة) فيمكن أيضًا أن يتسبب سرطان البنكرياس بالإصابة بداء السكري، وفي هذه الحالة يمكن اعتبار ظهور مرض السكري حديثًا علامة مبكرة على المرض[39]، المصابون بالسكري وتزيد أعمارهم عن 50 عامًا معرضون للإصابة بالسرطانة الغدية البنكرياسية خلال ثلاث سنوات 8 مرات نسبة إصابة غير المصابين، وبعد الثلاث سنوات تقل الخطورة النسبية.[36]
أعراض أخرى
- متلازمة تروسو والتي تشمل الجلطات الدموية التي تتشكل تلقائيا في الأوعية الدموية الكبدية أو الأوردة العميقة في الأطراف أو الأوردة السطحية في أي مكان على الجسم، قد تُصاحب سرطان البنكرياس في حوالي 10% من الحالات.[40]
- تم الإبلاغ عن الاكتئاب السريري المُرافق لسرطان البنكرياس في 10-20% من الحالات، وهو يمكن أن يكون عائقًا أمام سير العلاج والتحكم الأمثل، أحيانًا يظهر الاكتئاب قبل أن يتم تشخيص السرطان، مما يُشير إلى أنه قد ينشأ من قِبَل بيولوجية المرض.[40]
كما توجد أعراض أخرى شائعة تشمل: التعب والضعف بسهولة، جفاف الحلق ومشاكل في النوم ووجود كتلة بطنية مجسوسة.[41]
أعراض الانتشار

ربما يُسبِّب انتشار سرطان البنكرياس لأعضاء أخرى (الانبثاث) أعراضًا أيضًا، تنتشر سرطانة البنكرياس الغدية أولًا إلى العقد الليمفاوية القريبة، ثم مؤخرًا إلى الكبد أو التجويف الصفاقي أو إلى الأمعاء الغليظة أو الرئتين[40]، ومن غير الشائع أن تنتشر إلى العظام أو الدماغ.[42]
وقد تكون السرطانات في البنكرياس أيضًا سرطانات ثانوية أي تنتشر من أجزاء أخرى من الجسم، وهذا غير شائع ويحدث في 2% فقط من حالات سرطان البنكرياس، وحتى الآن يُعتبر سرطان الكلية هو أكثر السرطانات التي تنتشر إلى البنكرياس شيوعًا، يليه سرطان القولون والمستقيم ثم سرطانات الجلد والثدي والرئة، ويُمكن إجراء عمليات جراحية للبنكرياس في حالات معينة سواء للعلاج أو لتخفيف الأعراض.[43]
عوامل الخطر
تشمل عوامل الخطر لسرطانة البنكرياس الغدية:[36][38][44][45]
- العمر والجنس والإثنية. ويزداد خطر تطور سرطان البنكرياس مع العمر؛ حيث تحدث أغلب الحالات بعد عمر 65[44] بينما حالات الإصابة قبل عمر 40 غير شائعة، ويكون المرض شائعًا بين الرجال أكثر منه بين النساء.[44] وفي الولايات المتحدة تزداد احتمالية حدوثه للأمريكيين الأفارقة بنسبة 1.5 بالرغم من أن نسب حدوثه في أفريقيا ضئيلة.[44]
- يُعد تدخين السجائر أفضل عامل خطر لسرطان البنكرياس يمكن تجنبه، تتضاعف نسبة الإصابة لدى المدخنين على المدى الطويل، حيث يزداد الخطر بزيادة عدد السجائر التي تّدخَّن وزيادة سنوات التدخين، ويقل الخطر ببطء بعد الإقلاع عن التدخين ويستغرق زمنًا قد يصل إلى 20 عامًا حتى تعود نسبة إصابة الشخص كالغير مدخنين.[46]
- السمنة: فالشخص الذي يزيد مؤشر كتلة جسمه عن 35 تزداد نسبة خطر إصابته إلى 1.5.[36]
- تاريخ العائلة: 5-10% من الحالات المصابة بسرطان البنكرياس لديها عامل وراثي حيث لديهم تاريخ عائلي للإصابة بسرطان البنكرياس[38][47]، يزداد خطر الإصابة كثيرًا إذا كان أكثر من قريب من الدرجة الأولى مصابًا بالمرض، ويزداد بشكل أكثر تواضعًا إذا أصيبوا به قبل عمر 50[48]، لم يتم تحديد معظم الجينات المعنيَّة[38][49]، لكن يزيد التهاب البنكرياس الوراثي من خطر الإصابة بسرطان البنكرياس مدى الحياة بنسبة تتراوح من 30 إلى 40% حتى سن 70[40]، يمكن تقديم فحص سرطان البنكرياس المبكر للأفراد المصابين بالتهاب البنكرياس الوراثي على أساس البحث[50]، وقد يختار بعض الناس إزالة البنكرياس جراحيًا لمنع السرطان من التطور في المستقبل.[40]
يرتبط سرطان البنكرياس بالمتلازمات الوراثية النادرة التالية:
متلازمة بوتز-جيغرز (بسبب الطفرات في جين STK11 الكابت للورم، وهي متلازمة نادرة جدًا ولكنها مع ذلك عامل خطر قوي جدًا)
متلازمة وحمة خلل التنسج (أو متلازمة الورم الميلانيني عديد الرحى اللانموذجي العائلي FAMMM-PC) بسبب الطفرات في جين CDKN2A الكابت للورم.
رنح توسع الشعيرات السائد والمتنحي (نتيجة لطفرات وراثية في جين BRCA2 وجين PALB2.
سرطان قولوني مستقيمي لاسليلي وراثي (متلازمة لينش).
داء السلائل الورمي الغدي العائلي.
ترتبط الأورام العصبية-الصماوية البنكرياسية بأورام الغدد الصماء المتعددة النوع 1 (MEN1) ومتلازمات فون هيبل-لينداو.[38][40][48]
- يُضاعف التهاب البنكرياس المزمن خطر الإصابة بسرطان البنكرياس لثلاث مرات -كما هو الحال مع مرضى السكري-، قد يكون ظهور التهاب البنكرياس من أعراض الورم[40]، ويُعد خطر الإصابة بسرطان البنكرياس لدى الأفراد المصابين بالتهاب البنكرياس العائلي مرتفعًا بشكل خاص.[40][49]
- يُعد داء السكري عامل خطر لسرطان البنكرياس، و(كما هو موضح في قسم العلامات والأعراض) قد يكون ظهور مرض السكري علامة مبكرة على المرض، الأشخاص الذين تم تشخيصهم بسكري النوع الثاني لمدة تزيد عن عشر سنوات قد يتزايد لديهم خطر الإصابة بسرطان البنكرياس إلى 1.5 مقارنة بالأشخاص الذين ليس لديهم مرض السكري.[40]
- لم يثبت بوضوح أن أنواع معينة من الطعام (يجب تمييز ذلك عن السمنة) تزيد من خطر الإصابة بسرطان البنكرياس[38][51]، تشمل العوامل الغذائية التي يوجد لها بعض الأدلة أنها تزيد خطر الإصابة بشكل طفيف: اللحوم المصنعة واللحوم الحمراء واللحوم المطبوخة في درجات حرارة عالية جدًا (على سبيل المثال عن طريق القلي أو الشواء أو الشوي).[51][52]
الكحول
يعد الإفراط في شرب الكحول سببًا رئيسيًا لالتهاب البنكرياس المزمن وهذا بدوره يُمهِّد لسرطان البنكرياس، ومع ذلك فقد فشلت أبحاث كبيرة في تأكيد أن استهلاك الكحول يُعد عامل خطر مباشر لسرطان البنكرياس، وبشكل عام فالعلاقة بين التدخين وسرطان البنكرياس ضعيفة باستمرار، ولم تجد غالبية الدراسات أية علاقة مع التدخين، لكن الدليل يكون أقوى للعلاقة بين سرطان البنكرياس والمشروبات الثقيلة بما لا يقل عن ستة مشروبات يوميًا.[40][53]
الفيزيولوجيا المرضية
_Case_01.jpg.webp)

محتمل التسرطن
يُعتقد أن السرطانات ذات الإفراز الخارجي تنشأ من عدة أنواع من آفات السرطانة اللابدة داخل البنكرياس، لكن هذه الآفات لا تتطور دائمًا لتصبح سرطانًا، ولا يتم علاج جميع الأعداد المتزايدة التي تم اكتشافها كناتج ثانوي للاستخدام المتزايد لمسح الأشعة المقطعية لأسباب أخرى[54]، بصرف النظر عن الأورام الغدية الكيسية المصلية البنكرياسية (SCNs) والتي تكون غالبًا حميدة فإنه يتم التعرف على أربعة أنواع من الآفات السرطانية.
- النوع الأول هو الأورام داخل ظهارة البنكرياس، تُعد هذه الآفات تشوهات مجهرية في البنكرياس وغالبًا ما توجد في تشريح الجثث للأشخاص الذين لم يتم تشخيص إصابتهم بالسرطان، قد تتطور هذه الآفات من الدرجة المنخفضة إلى الدرجة العالية ثم إلى الورم، أكثر من 90% من الحالات في جميع المراحل تحمل جين KRAS خاطئ، بينما تحمل المرحلتين 2 و 3 تلفًا لثلاثة جينات أخرى: CDKN2A (بي16) و بي53 و SMAD4 والتي يتم العثور عليها بشكل متزايد.[55]
- النوع الثاني هو الأورام الحليمية المخاطية داخل الأقنية (IPMNs)، يُعد هذا النوع آفات عينية توجد في حوالي 2% من جميع البالغين، يرتفع هذا المعدل إلى 10% تقريبًا بحلول سن 70، 25% من هذه الآفات قد تتطور إلى سرطان غازي، قد يكون لديهم طفرات في جين KRAS (في حوالي 40-65% من الحالات) وفي وحدة فرعية ألفا Gs GNAS وRNF43 التي تؤثر على مسار إشارة بروتين دبيلو.أن.تي[55]، وحتى إذا تمت إزالته جراحيًا فلا يزال هناك خطر متزايد بشكل كبير للإصابة بسرطان البنكرياس في وقت لاحق.[54]
- النوع الثالث هو الأورم الكيسية المخاطية البنكرياسية (MCNs) وهي تحدث بشكل رئيسي في النساء، وقد تظل حميدة أو تتطور إلى سرطان[56]، وإذا أصبحت هذه الآفات كبيرة أو تسببت في ظهور أعراض أو سمات مُثيرة للشك فإنه يمكن إزالتها بنجاح عن طريق الجراحة.[54]
- النوع الرابع هو الأورام الأنبوبية-الحليمية داخل الأقنية، تم التعرف على هذا النوع من قبل منظمة الصحة العالمية في عام 2010 ويُشكِّل حوالي 1-3% من جميع الأورام البنكرياسية، متوسط العمر عند التشخيص هو 61 سنة (يتراوح بين 35-78 سنة)، تصبح حوالي 50% من هذه الآفات غازية، يعتمد التشخيص على علم الأنسجة حيث يصعب للغاية تمييز هذه الآفات عن الآفات الأخرى على أسس سريرية أو إشعاعية.[57]
سرطان غزوي
مُيِّزَت الأحداث الوراثية الموجودة في سرطانة الأققنية الغدية بشكل جيد واكتمل تسلسل الإكسوم للأنواع الشائعة من الورم، وعُثِر على أربعة جينات مُحوَّرة في غالبية الأورام الغدية: KRAS (في 95% من الحالات)، CDKN2A (أيضًا في 95٪)، (TP53 (75% و (SMAD4 (55%، ويرتبط الأخير بشكل خاص بسوء المآل.[40] تحدث طفرات/حذف SWI/SNF في حوالي 10-15% من السرطانات الغدية[38]، كما أجرِيَت الأبحاث عن التغيرات الجينية في عدة أنواع أخرى من سرطان البنكرياس والآفات السرطانية، وقد وُجِدت تحليلات النسخوميات وتسلسل mRNA للأشكال الشائعة لسرطان البنكرياس أن 75% من الجينات البشرية يُعبَّر عنها في الأورام، حيث يتم التعبير عن حوالي 200 جين بشكل أكثر تحديدًا في سرطان البنكرياس مقارنة بأنواع الأورام الأخرى.[58][59]
أورام عصبية-صماوية بنكرياسية
غالبًا ما تختلف الجينات الموجودة في الأورام العصبية-الصماوية البنكرياسية عن تلك الموجودة في سرطان البنكرياس ذي الإفراز الخارجي[60]، فعلى سبيل المثال: عادة ما تكون طفرة KRAS غائبة، بدلاً من ذلك تؤدي الطفرات الجينية الوراثية MEN1 إلى ظهور متلازمة MEN1 (الورم الصماوي متعدد النوع 1)، حيث تحدث الأورام الأولية في الغدد الصماء أو أكثر، حوالي 40-70% من الأشخاص الذين ولدوا مع طفرة MEN1 تطوَّر لديهم في النهاية شبكة من الأورام العصبية-الصماوية البنكرياسية[61]، تشمل الجينات الأخرى التي تُحوَّر بشكل متكرر DAXX و mTOR و ATRX.[28]
تطور سرطان البنكرياس قد ينطوي على المبالغة في التعبير عن الجينات المسرطنة، تثبيط قمع جينات الورم أو تحرير مختلف الإشارات البروتينية.[62] الطفرات التي تؤدى إلى السرطان قد تتسارع بواسطة عوامل وراثية أو بيئية وعوامل الخطر الأخرى التي سبق وصفها بالفعل. الطفرات محددة وتختلف بين وحتى داخل فئات الأنسجة الخلوية التي ستجرى مناقشتها أدناه.
التشخيص




لا تظهر أعراض سرطانة غدية في البنكرياس عادةً في المراحل الأولى من المرض، ولا تختلف بشكل فردي عن المرض[63][64][65]، تختلف الأعراض عند التشخيص وفقًا لموقع السرطان في البنكرياس الذي يقسمه علماء التشريح (من اليسار إلى اليمين في معظم المخططات) إلى الرأس السميك والرقبة والجسم المستدق وينتهي بالذيل.
وبغض النظر عن موقع الورم فإن أكثر الأعراض شيوعًا هو فقدان الوزن غير المبرر والذي قد يكون خطيرًا، أقلية كبيرة (بين 35% و47%) من الأشخاص الذين تم تشخيصهم بالمرض يكون لديهم غثيان أو قيء أو شعور بالضعف، عادةً ما تسبب الأورام الموجودة في رأس البنكرياس اليرقان والألم وفقدان الشهية والبول الداكن والبراز ذي الألوان الفاتحة، بينما عادةً ما تسبب أورام الجسم والذيل ألمًا.[65]
يصاب الناس أحيانًا بمرض السكري النوع الثاني غير النمطي الذي يصعب السيطرة عليه، أو تاريخ من التهاب الأوعية الدموية الحديث لكن غير مبرر الناجم عن جلطات الدم (التهاب الوريد الخثاري) المعروف باسم علامة تروسو، أو معاناة سابقة من التهاب البنكرياس[65]، قد يشتبه الطبيب في الإصابة بسرطان البنكرياس عندما يصاحب ظهور مرض السكري لدى شخص يزيد عمره عن 50 عامًا أعراضًا نمطية مثل فقدان الوزن غير المبرر أو الألم المستمر للبطن أو الظهر أو عسر الهضم أو القيء أو البراز الدهني[64]، وقد يُثير الشك أيضًا اليرقان المصحوب بالمرارة المتورمة بدون ألم (المعروفة باسم علامة كورفوازييه)، كما يمكنه أن يساعد في التمييز بين سرطان البنكرياس وحصوات المرارة.[66]
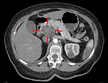
تُستخدم تقنيات التصوير الطبية كالتصوير المقطعي المحوسب والتنظير بالموجات فوق الصوتية في التشخيص والمساعدة في اتخاذ قرار إذا كان الورم يُمكن إزالته جراحيًا (قابلية استئصاله)[64]، ففي تباين التصوير المقطعي المحوسب يُظهر سرطان البنكرياس زيادة تدريجية في امتصاص مادة التباين الشعاعي، وذلك يختلف عن الإزالة السريعة التي تُرى في حالة البنكرياس الطبيعي، أو البطيئة التي تُرى في حالة التهاب البنكرياس المزمن.[67] يمكن أيضًا استخدام التصوير بالرنين المغنطيسي والتصوير المقطعي بالإصدار البوزيتروني[68] وكذلك يُمكن أن يكون تصوير البنكرياس والأوعية الصفراوية بالرنين المغناطيسي مفيدًا في بعض الحالات[65]، يُعد تخطيط الصدى البطني أقل حساسية وربما يفقد الأورام الصغيرة لكنه يُمكنه التعرُّف على السرطانات التي تنتشر إلى الكبد وتتكون من سائل في التجويف الصفاقي(استسقاء بطني)[64]، لذلك يمكن استخدامه للفحص الأولي السريع والرخيص قبل التقنيات الأخرى.[69]
.jpg.webp)
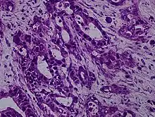
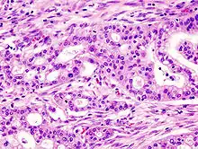
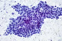
يمكن استخدام الخزعة -التي غالبًا ما يتم توجيهها بواسطة الموجات فوق الصوتية بالمنظار- عندما يكون هناك شك بشأن التشخيص، ولكن التشخيص النسيجي ليس مطلوبًا عادةً للمضي قدمًا في إزالة الورم عن طريق الجراحة.[64]
يمكن أن تظهر اختبارات وظائف الكبد مجموعة من النتائج التي تشير إلى انسداد القناة الصفراوية (ارتفاع البيليروبين المقترن وناقلة الببتيد غاما غلوتاميل ومستويات الفوسفاتيز القلوي)، كما يُعد المستضد الكربوهيدراتي 19-9 (CA19-9) واصمًا للورم حيث يزداد بصورة متكررة في حالات سرطان البنكرياس، ومع ذلك فإنه ينقصه الحساسية والنوعية كما أن 5% من الأشخاص يفتقرون إلى مستضد لويس (أ) ولا يمكنهم إنتاج CA19-9، نسبة حساسية CA19-9 80% ونوعية 73% للكشف عن السرطانة الغدية البنكرياسية، ويستخدم لمتابعة الحالات المعروفة بدلاً من التشخيص.[64][68]
الأنواع الباثولوجية لأورام البنكرياس

تقسم أنواع هذا الورم حسب مصدر كل نوع؛ فهناك أورام تنبع من الغدد القنوية أو الغدد الصماء أو الخلايا العنبية. وهذا التقسيم معتمد من منظمة الصحة العالمية.
- أورام من الغدد القنوية للبنكرياس Exocrine Glands
- أورام حميدة
- ورم حميد الخلايا الغددية المتحوصلة مع إفرازات مصلية Serous cystadenoma
- ورم حميد الخلايا الغددية المتحوصلة مع إفرازات مخاطية Mucinous cystadenoma
- ورم حميد الخلايا الغددية مع إفرازات مخاطية من داخل الخلايا الناتئة Intraductal papillary-mucinous adenoma
- ورم حميد ا لخلايا الضخمة المتحوصلة البالغة Mature cystic teratoma
- أورام متوسطة
- أورام متحوصلة مع إفرازات مخاطية مع تضخم متوسط Mucinous cystic tumor with moderate dysplasia
- ورم حميد الخلايا الغددية مع إفرازات مخاطية من داخل الخلايا الناتئة مع تضخم متوسط Intraductal papillary-mucinous adenoma with moderate dysplasia
- ورم الخلايا الناتئة الكاذبة الصلبة Solid-pseudopappillary tumor
- أورام خبيثة
- ورم خبيث الغدد القنوية Ductal Adenocarcinoma
- ورم الخلايا الضخمة الشبيهة بالخلايا الكلسية Oseoclast-like giant cell tumor
- ورم خبيث الغدد الخارجية المتحوصلة مع إفرازات مصلية Serous cystadenocarcinoma
- ورم خبيث الخلايا الغددية المتحوصلة مع إفرازات مخاطية Mucinous cystadenocarcinoma
- ورم خبيث الخلايا الغددية مع إفرازات مخاطية من داخل الخلايا الناتئة Intraductal pappillary-mucinous carcinoma
- ورم الخلايا العنبية Acinar cell carcinoma
- ورم الخلايا المكونة للبنكرياس Pancreablastoma
- ورم خبيث الخلايا الناتئة الكاذبة الصلبة Solid-psuedopapillary carcinoma
- أورام أخرى
- أورام حميدة
- أورام من الغدد الصماء للبنكرياس Endocrine Glands
- أورام حميدة
- ورم حميد جيد التميز Well-differentiated adenoma
- ورم Insulinoma
- ورم حميد عديم العمل Nonfunctioning adenoma
- أورام متوسطة
- ورم غير غازية للأوعية وجيدة التميز Well-differentiated nonangioinvasive tumor
- ورم Insolinoma
- ورم Gastrinoma
- ورم حميد عديم العمل Nonfunctioning adenoma
- أورام منخفضة الخباثة
- ورم خبيث جيد أو متوسط التميز Well to moderately differentiated carcinoma
- أورام عالية الخباثة High-grade malignant
- ورم خبيث منعدم التميز Poorly differentiated carcinoma
- أورام حميدة
- أورام غير ظهارية Nonepithelial
- أورام الأنسجة الرخوة الحميدة Benign soft tissue tumors
- أورام الأنسجة الرخوة الخبيثة Malignant soft tissue tumors
- أورام ليمفاوية خبيثة Malignant lymphomas
تعريف بورم الغدد الخارجية القنوية الخبيث (سرطان البنكرياس) :[70]
يعد ورم الغدد الخارجية القنوية الخبيث (Ductal Adenocarcinoma) من الأورام الخبيثة في البنكرياس، ويعزو إليه 85% إلى 90% من مرضى أورام البنكرياس ولذا يطلق عليه اختصاراً سرطان البنكرياس. يعد هذا المرض شائع بين كبار السن من 60 إلى 80 عاماً، وقد يصيب أيضا صغار السن ولكنه نادر الحدوث. كل عام يتم تشخيص المرض عند 33,000 شخص في الولايات المتحدة الأمريكية، وأكثر من 60,000 مصاب به في أوروبا ولكنه نادر الحدوث في دول العالم الثالث.
تدبير الألم المرافق للإصابة بسرطان البنكرياس
يمكن أن يسبب سرطان البنكرياس ألماً شديداً. ولكن تم التوصل لطرق للسيطرة على الألم ليصبح مُحتملاً بفضل التطور في الطب. وهناك الكثير من الطرق للسيطرة على الألم.
يمكن إعطاء الأدوية المخدرة، مثل المورفين، عن طريق الفم. ويمكن إعطاء أدوية مشابهة عن طريق الوريد أو عن طريق اللُّصاقات المخدِرة التي تشبه اللصاقات التي يستخدمها المدخنون الذين يحاولون الإقلاع عن التدخين.
إذا لم تنفع هذه الطرق، يمكن إعطاء المورفين حول الأعصاب ضمن النخاع الشوكي، وذلك باستخدام مضخات خاصة.
هناك أيضاً طرق لتخدير أو تدمير الأعصاب التي تولد الألم في منطقة البنكرياس.
طرق علاجه
يعتمد علاج سرطان البنكرياس على مرحلة هذا المرض، ومع أنه يصعب التكهن بهذا المرض في المراحل المبكرة إلا أنه يتم اكتشافه عند 20% من المصابين في مراحل مبكرة.قد يتم التدخل الجراجي لإزالة جزء من البنكرياس أو العضو بكامله مع أجزاء من الأعضاء المجاورة وتسمي بـإجراء ويبيل Whipple procedure.
يعتبر جيمسيتابين Gemcitabine وفلورويوراسيل Fluorouracil من أهم الأدوية الكيميائية لعلاج سرطان البنكرياس، كما يتم اختبار أدوية جديدة مثل إرلوتينيب Erlotinib[71] وبيفاسيزوماب Bevacizumab كأدوية انتقائية في إصابة الخلايا السرطانية والتقليل من إصابة الخلايا السليمة.
يستخدم العلاج الإشعاعي كعلاج مساعد مع العلاج الكيماوي، ولكن تتحدث المشاهدات الإكلينكية على رداءة هذا النظام العلاجي بالمقارنة بالعلاج الكيماوي منفرداً.[72]
طرق الوقاية
طرق الوقاية هي عبارة عن الابتعاد عن الأخطار المسببة للمرض ولكنها لا تمنع حدوثه
معرض صور
مراجع
- معرف أنطولوجية المرض: http://www.disease-ontology.org/?id=DOID:1793 — تاريخ الاطلاع: 15 مايو 2019 — الرخصة: CC0
- "Pancreatic adenocarcinoma" (PDF). N. Engl. J. Med. 371 (11): 1039–49. سبتمبر 2014. doi:10.1056/NEJMra1404198. PMID 25207767. مؤرشف من الأصل (PDF) في 26 ديسمبر 2014. الوسيط
|CitationClass=تم تجاهله (مساعدة) - "Pancreatic Cancer Treatment (PDQ®) Patient Version". National Cancer Institute. National Institutes of Health. 17 April 2014. مؤرشف من الأصل في 05 يوليو 2014. اطلع عليه بتاريخ 8 يونيو 2014. الوسيط
|CitationClass=تم تجاهله (مساعدة) - "Can pancreatic cancer be prevented?". American Cancer Society. 11 June 2014. مؤرشف من الأصل في 13 نوفمبر 2014. اطلع عليه بتاريخ 13 نوفمبر 2014. الوسيط
|CitationClass=تم تجاهله (مساعدة) - "Recent progress in pancreatic cancer". CA: A Cancer Journal for Clinicians. 63 (5): 318–48. September 2013. doi:10.3322/caac.21190. PMC 3769458. PMID 23856911. الوسيط
|CitationClass=تم تجاهله (مساعدة) - Vincent, A; Herman, J; Schulick, R; Hruban, RH; Goggins, M (13 Aug 2011). "Pancreatic cancer". Lancet. 378 (9791): 607–20. doi:10.1016/S0140-6736(10)62307-0. PMID 21620466. الوسيط
|CitationClass=تم تجاهله (مساعدة) - "pancreatic cancer - General Practice Notebook". www.gpnotebook.co.uk. مؤرشف من الأصل في 24 نوفمبر 2004. اطلع عليه بتاريخ 9 سبتمبر 2019. الوسيط
|CitationClass=تم تجاهله (مساعدة) - World Cancer Report 2014. World Health Organization. 2014. Chapter 5.7. ISBN 978-92-832-0429-9. الوسيط
|CitationClass=تم تجاهله (مساعدة) - "Cancer Facts & Figures 2010" (PDF). American Cancer Society. 2010. مؤرشف من الأصل (PDF) في 14 يناير 2015. اطلع عليه بتاريخ 5 ديسمبر 2014. الوسيط
|CitationClass=تم تجاهله (مساعدة) See p. 4 for incidence estimates, and p. 19 for survival percentages. - GBD 2015 Mortality and Causes of Death, Collaborators. (8 October 2016). "Global, regional, and national life expectancy, all-cause mortality, and cause-specific mortality for 249 causes of death, 1980–2015: a systematic analysis for the Global Burden of Disease Study 2015". Lancet. 388 (10053): 1459–1544. doi:10.1016/s0140-6736(16)31012-1. PMC 5388903. PMID 27733281. الوسيط
|CitationClass=تم تجاهله (مساعدة) - "What is Cancer? Defining Cancer". National Cancer Institute, National Institutes of Health. 7 March 2014. مؤرشف من الأصل في 25 يونيو 2014. اطلع عليه بتاريخ 5 ديسمبر 2014. الوسيط
|CitationClass=تم تجاهله (مساعدة) - "Pancreatic adenocarcinoma" (PDF). BMJ (Clinical Research Ed.). 344: e2476. 2012. doi:10.1136/bmj.e2476. PMID 22592847. مؤرشف من الأصل (PDF) في 9 يناير 2015. الوسيط
|CitationClass=تم تجاهله (مساعدة) - "Methods and rationale for the early detection of pancreatic cancer. Highlights from the "2010 ASCO Gastrointestinal Cancers Symposium". Orlando, FL, USA. January 22–24, 2010". Journal of the Pancreas. 11 (2): 128–30. 5 March 2010. PMID 20208319. مؤرشف من الأصل في 08 ديسمبر 2014. اطلع عليه بتاريخ أكتوبر 2020. الوسيط
|CitationClass=تم تجاهله (مساعدة); تحقق من التاريخ في:|تاريخ الوصول=(مساعدة) - "Draft Recommendation Statement: Pancreatic Cancer: Screening - US Preventive Services Task Force". www.uspreventiveservicestaskforce.org. مؤرشف من الأصل في 19 أبريل 2019. اطلع عليه بتاريخ 11 فبراير 2019. الوسيط
|CitationClass=تم تجاهله (مساعدة) - "Metastatic pancreatic cancer: the dilemma of quality vs. quantity of life". Journal of the Pancreas. 14 (4): 391–4. 10 July 2013. doi:10.6092/1590-8577/1663. PMID 23846935. الوسيط
|CitationClass=تم تجاهله (مساعدة) - "Treatment of pancreatic cancer: A narrative review of cost-effectiveness studies". Best Practice & Research. Clinical Gastroenterology. 27 (6): 881–92. December 2013. doi:10.1016/j.bpg.2013.09.006. PMID 24182608. الوسيط
|CitationClass=تم تجاهله (مساعدة) - "Cancer facts and figures · Why we exist · Pancreatic Cancer Research Fund". www.pcrf.org.uk. مؤرشف من الأصل في 26 فبراير 2019. اطلع عليه بتاريخ 5 أبريل 2019. الوسيط
|CitationClass=تم تجاهله (مساعدة) - "Pancreatic Cancer - Cancer Stat Facts". SEER (باللغة الإنجليزية). مؤرشف من الأصل في 9 سبتمبر 2019. اطلع عليه بتاريخ 4 أبريل 2019. الوسيط
|CitationClass=تم تجاهله (مساعدة) - "Pancreatic Cancer Treatment (PDQ®) Health Professional Version". National Cancer Institute. National Institutes of Health. 21 February 2014. مؤرشف من الأصل في 22 أكتوبر 2014. اطلع عليه بتاريخ 24 نوفمبر 2014. الوسيط
|CitationClass=تم تجاهله (مساعدة) "The highest cure rate occurs if the tumor is truly localized to the pancreas; however, this stage of disease accounts for less than 20% of cases. In cases with localized disease and small cancers (<2 cm) with no lymph node metastases and no extension beyond the capsule of the pancreas, complete surgical resection is still associated with a low actuarial five-year survival rate of 18% to 24%." - Harris, RE (2013). "Epidemiology of pancreatic cancer". Epidemiology of Chronic Disease. Jones & Bartlett. صفحات 181–190. ISBN 978-0-7637-8047-0. مؤرشف من الأصل في 24 يونيو 2016. الوسيط
|CitationClass=تم تجاهله (مساعدة) - "Neuroendocrine gastro-entero-pancreatic tumors: ESMO Clinical Practice Guidelines for diagnosis, treatment and follow-up". Annals of Oncology. 23 Suppl 7: vii124–30. أكتوبر 2012. doi:10.1093/annonc/mds295. PMID 22997445. مؤرشف من الأصل في 11 أكتوبر 2013. الوسيط
|CitationClass=تم تجاهله (مساعدة) (Table 5 outlines the proposed TNM staging system for PanNETs.) نسخة محفوظة 11 أكتوبر 2013 على موقع واي باك مشين. - Handbook of Pancreatic Cancer. New York: Springer. 2009. صفحة 288. ISBN 978-0-387-77497-8. مؤرشف من الأصل في 10 سبتمبر 2017. اطلع عليه بتاريخ 12 يونيو 2016. الوسيط
|CitationClass=تم تجاهله (مساعدة) - Govindan R (2011). DeVita, Hellman, and Rosenberg's Cancer: Cancer: Principles & Practice of Oncology (الطبعة 9th). Lippincott Williams & Wilkins. Chapter 35: Cancer of the Pancreas: Surgical Management. ISBN 978-1-4511-0545-2. الوسيط
|CitationClass=تم تجاهله (مساعدة) Online edition, with updates to 2014 - Cancer and its Management (الطبعة 7th). 2014. صفحة 297. ISBN 978-1-118-46871-5. الوسيط
|CitationClass=تم تجاهله (مساعدة) - "Types of Pancreas Tumors". The Sol Goldman Pancreas Cancer Research Center. Johns Hopkins Medicine. 2012. مؤرشف من الأصل في 8 أكتوبر 2014. اطلع عليه بتاريخ 18 نوفمبر 2014. الوسيط
|CitationClass=تم تجاهله (مساعدة) - "Pancreatic cystic neoplasms: management and unanswered questions". Gastroenterology. 144 (6): 1303–15. يونيو 2013. doi:10.1053/j.gastro.2013.01.073. PMID 23622140. الوسيط
|CitationClass=تم تجاهله (مساعدة) - The PanNET denomination is in line with منظمة الصحة العالمية guidelines for the classification of tumors of the digestive system "WHO classification of tumours of the digestive system – NLM Catalog – NCBI". مؤرشف من الأصل في 09 سبتمبر 2017. اطلع عليه بتاريخ 7 سبتمبر 2017. الوسيط
|CitationClass=تم تجاهله (مساعدة) published in 2010. Historically, PanNETs have also been referred to by a variety of terms, and are still commonly called "pancreatic endocrine tumors". See: Klimstra, David S.; Modlin, Irvin R.; Coppola, Domenico; Lloyd, Ricardo V.; Suster, Saul (أغسطس 2010). "The Pathologic Classification of Neuroendocrine Tumors". Pancreas. 39 (6): 707–712. doi:10.1097/MPA.0b013e3181ec124e. PMID 20664470. الوسيط|CitationClass=تم تجاهله (مساعدة) - "Neuroendocrine pancreatic tumors: guidelines for management and update". Current Treatment Options in Oncology. 13 (1): 24–34. مارس 2012. doi:10.1007/s11864-011-0172-2. PMID 22198808. الوسيط
|CitationClass=تم تجاهله (مساعدة) - The نظام فهرسة المواضيع الطبية indexing system refers to "islet cell carcinoma", which is subdivided into gastrinoma, ورم غلوكاغوني, somatostatinoma and فيبوما. See: 2014 MeSH tree at "Pancreatic Neoplasms [C04.588.322.475]" نسخة محفوظة 19 مارس 2016 على موقع واي باك مشين. 16 October 2014
- "Islet Cell Tumors of the Pancreas / Endocrine Neoplasms of the Pancreas". The Sol Goldman Pancreas Cancer Research Center. Johns Hopkins Medicine. 2012. مؤرشف من الأصل في 5 يناير 2015. اطلع عليه بتاريخ 5 يناير 2015. الوسيط
|CitationClass=تم تجاهله (مساعدة) - Cancer and its Management (الطبعة 7th). 2014. صفحة 297. ISBN 978-1-118-46871-5. الوسيط
|CitationClass=تم تجاهله (مساعدة) - Tobias Jeffrey S., Hochhauser, Daniel, Cancer and its Management, 2010 (6th edn), pp. 276-277, ISBN 1-118-71325-7, 9781118713259
- Bond-Smith, G; Banga, N; Hammond, TM; Imber, CJ (16 May 2012). "Pancreatic adenocarcinoma". BMJ (Clinical research ed.). 344: e2476. doi:10.1136/bmj.e2476. PMID 22592847. الوسيط
|CitationClass=تم تجاهله (مساعدة) - "What You Need To Know About Cancer of the Pancreas — National Cancer Institute". 2002-09-16. صفحات 4/5. مؤرشف من الأصل في 5 أكتوبر 2014. اطلع عليه بتاريخ 22 ديسمبر 2007. الوسيط
|CitationClass=تم تجاهله (مساعدة) - "Diagnosis and management of pancreatic cancer". Am Fam Physician. 89 (8): 626–632. أبريل 2014. PMID 24784121. الوسيط
|CitationClass=تم تجاهله (مساعدة) - Bond-Smith, G.; Banga, N.; Hammond, T. M.; Imber, C. J. (16 مايو 2012). "Pancreatic adenocarcinoma". BMJ. 344 (may16 1): e2476. doi:10.1136/bmj.e2476. PMID 22592847. الوسيط
|CitationClass=تم تجاهله (مساعدة) - Alberts, SR; Goldberg, RM (2009). "Chapter 9: Gastrointestinal tract cancers". In Casciato, DA; Territo, MC (المحررون). Manual of clinical oncology. Lippincott Williams & Wilkins. صفحات 188–236. ISBN 978-0-7817-6884-9. مؤرشف من الأصل في 28 يونيو 2020. الوسيط
|CitationClass=تم تجاهله (مساعدة) - Ryan, David P.; Hong, Theodore S.; Bardeesy, Nabeel (11 سبتمبر 2014). "Pancreatic Adenocarcinoma". New England Journal of Medicine. 371 (11): 1039–1049. doi:10.1056/NEJMra1404198. PMID 25207767. الوسيط
|CitationClass=تم تجاهله (مساعدة) - "New-onset diabetes: a potential clue to the early diagnosis of pancreatic cancer". The Lancet. Oncology. 10 (1): 88–95. يناير 2009. doi:10.1016/S1470-2045(08)70337-1. PMC 2795483. PMID 19111249. الوسيط
|CitationClass=تم تجاهله (مساعدة) - "Recent progress in pancreatic cancer". CA: A Cancer Journal for Clinicians. 63 (5): 318–348. سبتمبر 2013. doi:10.3322/caac.21190. PMC 3769458. PMID 23856911. الوسيط
|CitationClass=تم تجاهله (مساعدة) - Alberts, SR; Goldberg, RM (2009). "Chapter 9: Gastrointestinal tract cancers". In Casciato, DA; Territo, MC (المحررون). Manual of clinical oncology. Lippincott Williams & Wilkins. صفحات 188–236. ISBN 978-0-7817-6884-9. مؤرشف من الأصل في 27 يونيو 2020. الوسيط
|CitationClass=تم تجاهله (مساعدة) - "Chapter 15; Pancreas" (PDF). Manual for Staging of Cancer (الطبعة 2nd). American Joint Committee on Cancer. صفحات 95–98. مؤرشف (PDF) من الأصل في 29 نوفمبر 2014. الوسيط
|CitationClass=تم تجاهله (مساعدة) See p. 95 for citation regarding "... lesser degree of involvement of bones and brain and other anatomical sites." - "Metastatic tumors to the pancreas: The role of surgery". World Journal of Gastrointestinal Oncology. 6 (10): 381–392. 15 أكتوبر 2014. doi:10.4251/wjgo.v6.i10.381. PMC 4197429. PMID 25320654. الوسيط
|CitationClass=تم تجاهله (مساعدة) - World Cancer Report. World Health Organization. 2014. Chapter 5.7. ISBN 978-92-832-0429-9. الوسيط
|CitationClass=تم تجاهله (مساعدة) - "Causes of pancreatic cancer". NHS Choices. National Health Service, England. 7 أكتوبر 2014. مؤرشف من الأصل في 06 نوفمبر 2014. اطلع عليه بتاريخ 5 ديسمبر 2014. الوسيط
|CitationClass=تم تجاهله (مساعدة) - "Cigarette smoking and pancreatic cancer: an analysis from the International Pancreatic Cancer Case-Control Consortium (Panc4)". Annals of Oncology. 23 (7): 1880–1888. يوليو 2012. doi:10.1093/annonc/mdr541. PMC 3387822. PMID 22104574. الوسيط
|CitationClass=تم تجاهله (مساعدة) - Peters, ML; Tseng, JF; Miksad, RA (31 مارس 2016). "Genetic Testing in Pancreatic Ductal Adenocarcinoma: Implications for Prevention and Treatment". Clinical Therapeutics. 38 (7): 1622–1635. doi:10.1016/j.clinthera.2016.03.006. PMID 27041411. الوسيط
|CitationClass=تم تجاهله (مساعدة) - "Pancreatic cancer" (PDF). Lancet. 378 (9791): 607–620. أغسطس 2011. doi:10.1016/S0140-6736(10)62307-0. PMC 3062508. PMID 21620466. مؤرشف من الأصل (PDF) في 12 يناير 2015. الوسيط
|CitationClass=تم تجاهله (مساعدة) - "Genetic determinants and potential therapeutic targets for pancreatic adenocarcinoma". Front Physiol. 5: 87. 2014. doi:10.3389/fphys.2014.00087. PMC 3939680. PMID 24624093. الوسيط
|CitationClass=تم تجاهله (مساعدة) - Greenhalf, W.; Grocock, C.; Harcus, M.; Neoptolemos, J. (مايو 2009). "Screening of High-Risk Families for Pancreatic Cancer". Pancreatology. 9 (3): 215–222. doi:10.1159/000210262. PMID 19349734. الوسيط
|CitationClass=تم تجاهله (مساعدة) - "Cancer Facts and Figures 2014". American Cancer Society. مؤرشف (PDF) من الأصل في 18 ديسمبر 2014. اطلع عليه بتاريخ 5 يناير 2015. الوسيط
|CitationClass=تم تجاهله (مساعدة), p. 19, "Though evidence is still accumulating, consumption of red or processed meat, or meat cooked at very high temperatures, may slightly increase risk." - "Red and processed meat consumption and risk of pancreatic cancer: meta-analysis of prospective studies". Br J Cancer. 106 (3): 603–607. يناير 2012. doi:10.1038/bjc.2011.585. PMC 3273353. PMID 22240790. الوسيط
|CitationClass=تم تجاهله (مساعدة) - "Nutrition and pancreatic cancer". Anticancer Research. 34 (1): 9–21. يناير 2014. PMID 24403441. الوسيط
|CitationClass=تم تجاهله (مساعدة) - "Recent progress in pancreatic cancer". CA: A Cancer Journal for Clinicians. 63 (5): 318–348. September 2013. doi:10.3322/caac.21190. PMC 3769458. PMID 23856911. الوسيط
|CitationClass=تم تجاهله (مساعدة) - Ryan, David P.; Hong, Theodore S.; Bardeesy, Nabeel (11 September 2014). "Pancreatic Adenocarcinoma". New England Journal of Medicine. 371 (11): 1039–1049. doi:10.1056/NEJMra1404198. PMID 25207767. الوسيط
|CitationClass=تم تجاهله (مساعدة) - "Genetic and epigenetic alterations in pancreatic carcinogenesis". Curr Genomics. 12 (1): 15–24. 2011. doi:10.2174/138920211794520132. PMC 3129039. PMID 21886451. الوسيط
|CitationClass=تم تجاهله (مساعدة) - Rooney, Sarah L.; Shi, Jiaqi (October 2016). "Intraductal Tubulopapillary Neoplasm of the Pancreas: An Update From a Pathologist's Perspective". Archives of Pathology & Laboratory Medicine. 140 (10): 1068–1073. doi:10.5858/arpa.2016-0207-RA. PMID 27684978. الوسيط
|CitationClass=تم تجاهله (مساعدة) - "The human pathology proteome in pancreatic cancer – The Human Protein Atlas". www.proteinatlas.org. مؤرشف من الأصل في 29 أكتوبر 2018. اطلع عليه بتاريخ 28 سبتمبر 2017. الوسيط
|CitationClass=تم تجاهله (مساعدة) - Uhlen, Mathias; Zhang, Cheng; Lee, Sunjae; Sjöstedt, Evelina; Fagerberg, Linn; Bidkhori, Gholamreza; Benfeitas, Rui; Arif, Muhammad; Liu, Zhengtao (18 أغسطس 2017). "A pathology atlas of the human cancer transcriptome". Science (باللغة الإنجليزية). 357 (6352): eaan2507. doi:10.1126/science.aan2507. ISSN 0036-8075. PMID 28818916. الوسيط
|CitationClass=تم تجاهله (مساعدة) - "Molecular pathology and genetics of gastrointestinal neuroendocrine tumours". Current Opinion in Endocrinology, Diabetes and Obesity. 21 (1): 22–27. فبراير 2014. doi:10.1097/MED.0000000000000033. PMID 24310147. الوسيط
|CitationClass=تم تجاهله (مساعدة) - Thakker, Rajesh V.; Newey, Paul J.; Walls, Gerard V.; Bilezikian, John; Dralle, Henning; Ebeling, Peter R.; Melmed, Shlomo; Sakurai, Akihiro; Tonelli, Francesco; Brandi, Maria Luisa; Endocrine, Society. (1 سبتمبر 2012). "Clinical Practice Guidelines for Multiple Endocrine Neoplasia Type 1 (MEN1)". The Journal of Clinical Endocrinology & Metabolism. 97 (9): 2990–3011. doi:10.1210/jc.2012-1230. PMID 22723327. الوسيط
|CitationClass=تم تجاهله (مساعدة) - Sarkar FH, Banerjee S, Li Y (November 2007). "Pancreatic cancer: pathogenesis, prevention and treatment". Toxicol. Appl. Pharmacol. 224 (3): 326–36. doi:10.1016/j.taap.2006.11.007. PMC 2094388. PMID 17174370. الوسيط
|CitationClass=تم تجاهله (مساعدة)صيانة CS1: أسماء متعددة: قائمة المؤلفون (link) - "Recent progress in pancreatic cancer". CA: A Cancer Journal for Clinicians. 63 (5): 318–48. سبتمبر 2013. doi:10.3322/caac.21190. PMC 3769458. PMID 23856911. الوسيط
|CitationClass=تم تجاهله (مساعدة) - "Pancreatic adenocarcinoma". BMJ. 344 (may16 1): e2476. مايو 2012. doi:10.1136/bmj.e2476. PMID 22592847. S2CID 206894869. الوسيط
|CitationClass=تم تجاهله (مساعدة) - "Diagnosis and management of pancreatic cancer". American Family Physician. 89 (8): 626–32. أبريل 2014. PMID 24784121. الوسيط
|CitationClass=تم تجاهله (مساعدة) - "Courvoisier's gallbladder: law or sign??". World Journal of Surgery. 33 (4): 886–91. أبريل 2009. doi:10.1007/s00268-008-9908-y. PMID 19190960. S2CID 21799234. الوسيط
|CitationClass=تم تجاهله (مساعدة) - "New diagnostic imaging modalities for pancreatic disease". Current Opinion in Gastroenterology. 27 (5): 475–80. سبتمبر 2011. doi:10.1097/MOG.0b013e328349e30c. PMID 21743318. S2CID 38963685. الوسيط
|CitationClass=تم تجاهله (مساعدة) - "Pancreatic adenocarcinoma". The New England Journal of Medicine. 371 (11): 1039–49. سبتمبر 2014. doi:10.1056/NEJMra1404198. PMID 25207767. الوسيط
|CitationClass=تم تجاهله (مساعدة) - "Pancreatic adenocarcinoma: ESMO-ESDO Clinical Practice Guidelines for diagnosis, treatment and follow-up". Annals of Oncology. 23 Suppl 7: vii33-40. أكتوبر 2012. doi:10.1093/annonc/mds224. PMID 22997452. مؤرشف من الأصل في 10 سبتمبر 2020. الوسيط
|CitationClass=تم تجاهله (مساعدة) - Ghaneh P, Costello E, Neoptolemos JP (2007). "Biology and management of pancreatic cancer". Gut. 56 (8): 1134–52. doi:10.1136/gut.2006.103333. PMID 17625148. الوسيط
|CitationClass=تم تجاهله (مساعدة)صيانة CS1: أسماء متعددة: قائمة المؤلفون (link) - Eckel F, Schneider G, Schmid RM (2006). "Pancreatic cancer: a review of recent advances". Expert Opin Investig Drugs. 15 (11): 1395–410. PMID17228001. الوسيط
|CitationClass=تم تجاهله (مساعدة)صيانة CS1: أسماء متعددة: قائمة المؤلفون (link) - Aung KL, Smith DB, Neoptolemos JP. (2007). "Adjuvant therapy for pancreatic cancer". Expert Opin Pharmacother. 8 (15): 2533–41. ببمد 17931088. الوسيط
|CitationClass=تم تجاهله (مساعدة)صيانة CS1: أسماء متعددة: قائمة المؤلفون (link) - Larsson, Susanna (February 2006). "Fruit and vegetable consumption in relation to pancreatic cancer risk: a prospective study". Cancer Epidemiology Biomarkers & Prevention. 15: 301–305. ببمد 16492919. الوسيط
|CitationClass=تم تجاهله (مساعدة);|access-date=بحاجة لـ|url=(مساعدة) - "Plasma Folate, Vitamin B6, Vitamin B12, and Homocysteine and Pancreatic Cancer Risk in Four Large Cohorts -- Schernhammer et al. 67 (11): 5553 -- Cancer Research". مؤرشف من الأصل في 19 أبريل 2010. اطلع عليه بتاريخ 04 يونيو 2007. الوسيط
|CitationClass=تم تجاهله (مساعدة) - سرطان البنكرياس - ويب طب نسخة محفوظة 01 يوليو 2017 على موقع واي باك مشين.
وصلات خارجية
- Pancreatic Cancer Action Network (PanCAN)
- The Pancreatic Society of Great Britain and Ireland
- The Johns Hopkins Pancreatic Cancer Web Site
- Rare Pancreatic & Neuroendocrine Cancer Support
- Pancreatic Cancer UK
- Confronting Pancreatic Cancer (Pancreatica.org)
- Cancer of the Pancreas (Cancer Supportive Care Program)
- American Cancer Society: Detailed Guide on Pancreatic Cancer
- The National Familial Pancreas Tumor Registry
- Pancreatic Cancer Collaborative Registry (PCCR)
- The Lustgarten Foundation For Pancreatic Cancer Research
صور وملفات صوتية من كومنز
- بوابة طب



_CRUK_178-ar.svg.png.webp)

