استرواح الصدر
الاسترواح الصدري أو انكماش الرئتين أو الصدر المثقوب (بالإنجليزية: Pneumothorax) هو تجمع غير طبيعي من الهواء في الحيز الجنبي يفصل الرئة عن جدار الصدر.[2] وعادة ما تتضمن الأعراض الإحساس بألم مفاجئ حاد على جانب واحد من الصدر، وضيق في التنفس.[4] وقد تزداد كمية الهواء في الصدر، عندما تعمل الأنسجة التالفة كصمام أحادي الاتجاه يدخل منه الهواء في عدد قليل من الحالات، مما يؤدي إلى حدوث استرواح الصدر الضاغط. وقد تسبب هذه الحالة نقص الأكسجين، وانخفاض ضغط الدم، مما يؤدي إلى الوفاة[2] إذا لم يتم السيطرة على الحالة بالعلاج الفعال. ومن النادر أن تتأثر كلا الرئتين باسترواح الصدر.[6] وإذا حدث، تسمى هذه الحالة بانخماص الرئة.[1]
| استرواح الصدر | |
|---|---|
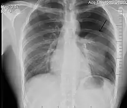
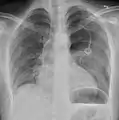
![]() تبين الأشعة السينية للصدر وجود استرواح الصدر على اليمين (يسار الصورة)، حيث تبين أيضًا غياب علامات الرئة لوجود هواء حر داخل الصدر. A large right-sided spontaneous pneumothorax (left in the image). An arrow indicates the edge of the collapsed lung | |
| تسميات أخرى | collapsed lung[1] |
| معلومات عامة | |
| الاختصاص | طب الصدر، جراحة القلب والصدر |
| من أنواع | مرض غشاء الجنب ، والاسترواح |
| الأسباب | |
| الأسباب | غير معروف، صدمة [2] |
| عوامل الخطر | داء الانسداد الرئوي المزمن، سل، التدخين[3] |
| المظهر السريري | |
| البداية المعتادة | sudden[2] |
| الأعراض | ألم الصدر، ضيق النفس، إعياء[4] |
| الإدارة | |
| الوقاية | إقلاع عن التدخين[2] |
| التشخيص | تصوير الصدر بالأشعة السينية، موجة فوق صوتية، تصوير مقطعي محوسب[5] |
| العلاج | معالجة تحفظية، Needle aspiration، أنبوب صدري، pleurodesis[2] |
| أدوية | |
| حالات مشابهة | lung bullae،[2] صدر مدمى[4] |
| الوبائيات | |
| انتشار المرض | 20 per 100,000 per year[2][5] |
| التاريخ | |
| وصفها المصدر | الموسوعة السوفيتية الأرمينية ، وقاموس موسوعة سطح المكتب |
استرواح الصدر الأولي هو ذلك الذي يحدث دون سبب واضح، وفي عدم وجود أي مرض رئوي خطير، في حين أن استرواح الصدر الثانوي يحدث في وجود أمراض رئوية أخرى.[2] يزيد التدخين من خطر الإصابة بأمراض الرئة بما في ذلك داء الانسداد الرئوي المزمن، والربو، والسل.[2][3] يمكن أن يكون استرواح الصدر أيضا بسبب جرح أو طعنة في الصدر (بما في ذلك إصابات الانفجار)، أو كمضاعفات تدخل الرعاية الصحية، وفي هذه الحالة يطلق عليه استرواح الصدر الرضحي.[7][8]
تشخيص استرواح الصدر عن طريق الفحص الجسمي وحده أمر صعب (لا سيما في استرواح الصدر الصغير).[9] وعادة يتم استخدام الأشعة السينية على الصدر، أو التصوير المقطعي المحوسب، أو الموجات فوق الصوتية لتأكيد وجوده.[5] من الحالات الأخرى التي يمكن أن تؤدي إلى أعراض مشابهة: الصدر المدمى (تراكم الدم في التجويف الجنبي)، والانصمام الرئوي، والنوبات القلبية.[4][10] وإذا ما وجد فقاعة هواء كبيرة في الرئة فإنها تبدو مشابهة لاسترواح الصدر في الأشعة السينية.[2]
وعادة ما ينصرف استرواح الصدر التلقائي الذي يكون كميته صغيرة دون علاج، ويتطلب المتابعة فقط. قد يكون هذا النهج هو الأنسب في الناس الذين ليس لديهم أمراض كامنة في الرئة. أما إذا كان هناك استرواح صدر بكمية كبيرة، أو ضيق النفس يمكن إزالة الهواء باستخدام سرنجة أو أنبوب صدري متصل بنظام صمام ذو اتجاه واحد. في بعض الأحيان، قد يكون هناك حاجة لعملية جراحية إذا كان صرف الهواء بالأنبوب غير ناجح، أو كإجراء وقائي، إذا كان هناك نوبات متكررة. وتتضمن العلاجات الجراحية إحداث التصاق بين طبقات الغشاء الجنبي معا، أو استئصال الجنبة (الاستئصال الجراحي للغشاء الجنبي).[2] يحدث حوالي 17-23 حالة استرواح الصدر لكل 100,000 شخص سنويا.[2][5] ويكون أكثر شيوعا في الرجال عن النساء.[2]
أعراض وعلامات

غالبا ما يحدث استرواح الصدر التلقائي الأولي (بالأنجليزية:(primary spontaneous pneumothorax (PSP) في شخص بالغ ليس لديه مشاكل رئوية كامنة، وعادة ما يسبب أعراض محدودة. ويعتبر ألم الصدر، وأحيانا عدم القدرة على التنفس من أبرز الأعراض التي تحدث عادة.[11][12] وغالبا لا يدرك المرضى المصابون بالاسترواح الصدري الأولي خطورة الأمر، وربما ينتظرون عدة أيام قبل الذهاب إلى الطبيب.[13] يحدث الاسترواح الصدري الأولي عادة أثناء تغيرات الضغط الجوي، مما يفسر حدوثه في مجموعات.[12] ومن النادر أن يسبب هذا النوع الاسترواح الصدري الضاغط.[11]
بينما يحدث الاسترواح الصدري الثانوي (بالأنجليزية:(Secondary spontaneous pneumothoraces (SSPs) (حسب التعريف) في الأفراد الذين يعانون من أمراض رئوية كامنة. وتكون الأعراض أكثر شدة مما كانت عليه في الاسترواح الصدري الأولي، حيث أن الرئة السليمة بشكل عام تكون غير قادرة على تعويض فقدان وظيفة الرئة المصابة. وعادة ما يكون هناك نقص في الأكسجين (انخفاض مستويات الأكسجين في الدم)، ويمكن ملاحظته في تلون الشفاه والجلد باللون الأزرق، وأيضا تراكم ثاني أكسيد الكربون في الدم في بعض الأحيان. مما قد يسبب التشوش الذي قد يصل إلى غيبوبة إذا كان شديدا جدا. وينبغي إجراء الفحوصات في الحال إذا ما عانى شخص مصاب بمرض الانسداد الرئوي المزمن، أو التليف الكيسي، أو غيرها من أمراض الرئة الخطيرة بصعوبة في التنفس، وذلك لتحديد إذا ما حدث استرواح صدر أم لا.[11][13]
يحدث استرواح الصدر الرضحي عندما يتم ثقب جدار الصدر بجرح طعني، أو جرح بسبب طلقة مما يسمح بدخول الهواء في الحيز الجنبي، أو بسبب بعض الإصابات الميكانيكية الأخرى التي تسبب اختلال في تكامل التراكيب الموجودة في القفص الصدري. ولقد وجد أن استرواح الصدر الرضحي يحدث في تقريبا نصف الحالات المصابة بجروح أو طعنات في الصدر. ويمكن أن يكون استرواح الصدر خفي (ليس واضحا) في نصف هذه الحالات، ولكن قد يزداد، خاصة إذا كان هناك حاجة للتنفس الصناعي.[12] كما أنه يحدث في المرضى الذين يتلقون بالفعل تنفس اصطناعي لأي لسبب آخر.[12]
عند الفحص الجسمي، قد تنخفض أصوات التنفس (المسموعة بالسماعة الطبية) على الجانب المصاب، ويرجع ذلك جزئيا إلى أن الهواء في الفضاء الجنبي يخفف من انتقال الصوت. كما يمكن أن تتغير قياسات توصيل الاهتزازات الصوتية إلى سطح الصدر. ويصبح قرع الصدر رنان (مثل طبل مزدهر)، وينخفض الرنين الصوتي، والحسيس اللمسي على حد سواء بشكل ملحوظ. الأهم من ذلك، أن حجم استرواح الصدر يمكن ألا يتناسب مع شدة الأعراض التي يعاني منها المريض،[13] وقد لا تكون العلامات الجسدية واضحة إذا كان استرواح الصدر صغير نسبيا.[12][13]
استرواح الصدر الضاغط
على الرغم من وجود تعريفات متعددة، إلا أن استرواح الصدر الضاغط عادة ما يكون موجودا عندما يؤدي استرواح الصدر (تلقائي أولي، تلقائي ثانوي، أو رضحي) إلى خلل كبير في التنفس و/أو الدورة الدموية.[14] عادة ما يحدث استرواح الصدر الضاغط في مواقف إكلينيكية مثل التنفس الصناعي، أوالإنعاش، أوالصدمات، أو في المرضى الذين يعانون من أمراض رئوية.[13] ومن أكثر العلامات التي تم ملاحظتها في الأشخاص الذين يعانون من استرواح الصدر الضاغط ألم في الصدر، وضيق في التنفس، مع زيادة معدل ضربات القلب في كثير من الأحيان، والتنفس السريع في المراحل الأولية. وقد تتضمن العلامات الأخرى أن تكون أصوات التنفس أكثر هدوءا على جانب واحد من الصدر، وانخفاض مستويات الأكسجين، وانخفاض ضغط الدم، وانحراف القصبة الهوائية بعيدا عن الجانب المصاب. نادرا ما يكون هناك زرقة (تلون الجلد باللون الأزرق بسبب انخفاض مستويات الأكسجين)، وتغير مستوى الوعي، ويصبح صوت القرع رنانا عند فحص الجانب المصاب مع انخفاض توسع هذا الجانب، وقلة حركته، وألم في المنطقة فوق المعدية (الجزء العلوي من البطن)، وتغير مكان نبضة القمة (ضربات القلب)، والصوت الرنان عند القرع على عظمة القص.[14] ويعتبر استرواح الصدر الضاغط حالة طبية طارئة تتطلب معالجة فورية دون مزيد من الفحوصات (انظر أدناه).[13][14]
قد يحدث استرواح الصدر الضاغط أيضا في الشخص الذي يتلقى تنفس صناعي، وفي هذه الحالة قد يكون من الصعب تشخيصه، بسبب المهدئات التي يتناولها هذا الشخص، وغالبا ما يتم تشخيصها عند ملاحظة التدهور المفاجئ في الحالة.[14] ولقد أظهرت الدراسات الحديثة أن تطور علامات الاسترواح الصدري الضاغط قد لا يكون دائما سريعا كما كان يعتقد سابقا. كما أنه لا يمكن الاعتماد على انحراف القصبة الهوائية إلى جانب واحد، وارتفاع الضغط الوريدي الوداجي المتزايد (انتفاخ الأوردة العنقية) كعلامات إكلينيكية.[14]
الأسباب

تلقائي أولي
ينقسم الاسترواح الصدري الأولي إلى نوعين: أولي: يحدث في حالة عدم وجود أي مرض رئوي آخر معروف، وثانوي: يحدث في الشخص المصاب بمرض رئوي آخر.[15] سبب استرواح الصدر التلقائي الأولي غير معروف، ولكن هناك عوامل خطر تساعد على حدوثه تشمل: الجنس (الذكور)، والتدخين، ووجود تاريخ مرضي لاسترواح الصدر في العائلة.[16] ويزيد التدخين سواء القنب أو التبغ من خطر الإصابة بالمرض.[2] وسوف تناقش آليات العمل المتنوعة أدناه.[11][12]
تلقائي ثانوي
يحدث استرواح الصدر التلقائي الثانوي في وجود مجموعة متنوعة من أمراض الرئة، أكثرها شيوعا هو مرض الانسداد الرئوي المزمن (COPD)، الذي يمثل حوالي 70٪ من الحالات.[16] من أمراض الرئة المعروفة التي قد تزيد بشكل كبير من خطر الإصابة باسترواح الصدر هي
| النوع | الأسباب |
|---|---|
| أمراض الشعب الهوائية[11] | داء الانسداد الرئوي المزمن (خاصة مع وجود انتفاخ رئوي، وفقاقيع بالرئة)، والربو الحاد، والتليف الكيسي |
| عدوى الرئة[11] | ذات الرئة بالمتكيسة الجؤجؤية، والسل، وذات الرئة الناخر |
| مرض رئوي خلالي[11] | غرناوية (ساركويد)، وتليف رئوي مجهول السبب، وكثرة المنسجات لخلايا لانغر هانز، وتوسع القصبات |
| مرض النسيج الضام[11] | التهاب المفاصل الروماتويدي، والتهاب الفقار القسطي، والتهاب العضلات، والتهاب العضلات والجلد، ومتلازمة مارفان، ومتلازمة إهلرز-دانلوس |
| سرطان[11] | سرطان الرئة، ساركومة في الرئة |
| متفرقات[12] | استرواح الصدر الحيضي (مرتبط بالدورة الشهرية)، ويرجع إلى انتباذ بطاني رحمي في الصدر |
وهناك أسباب إضافية في الأطفال تشمل الحصبة، وداء المشوكات، واستنشاق جسم غريب، وبعض التشوهات الخلقية.[17]
وجد أن 11.5٪ من الناس الذين يعانون من استرواح الصدر التلقائي يكون لديهم أحد أفراد الأسرة سبق وأصيب باسترواح الصدر. كما أن الحالات الوراثية مثل متلازمة مارفان، والبيلة الهوموسيستينية، ومتلازمة إهلرز-دانلوس، وعوز ألفا1 أنتيتريبسين (الذي يؤدي إلى انتفاخ الرئة)، ومتلازمة بيرت-هوغ-دوبي كلها مرتبطة بالاسترواح العائلي.[18] وعامة، تسبب هذه الحالات علامات وأعراض أخرى أيضا، وعادة لا يكون استرواح الصدر هو الذي حدث أولا.[18] تحدث متلازمة بيرت-هوغ-دوبي عن طريق طفرات في الجين FLCN (الموجود على الكروموسوم 17p11.2)، الذي يشفر بروتين يسمى فوليكولين.[17][18] كما تم التعرف على طفرات FLCN، وبعض الأمراض الرئوية في الحالات العائلية المصابة باسترواح الصدر، والتي لا يظهر فيها أعراض متلازمة بيرت-هوغ-دوبي.[17] بالإضافة إلى الأسباب الوراثية، يعتبر مستضد الكريات البيضاء البشرية A2B40 هو أيضا قد يسبب المرض.[19][20]
رضحي
قد ينتج استرواح الصدر الرضحي إما من طعنة حادة، أو إصابة تخترق جدار الصدر.[12] الآلية الأكثر شيوعا لحدوث استرواح الصدر في هذه الحالة هي التي يرجع سببها إلى تغلغل الأطراف الحادة لضلع مكسور في الصدر، مما يؤدي إلى تلف أنسجة الرئة.[16] ويمكن أيضا ملاحظة استرواح الصدر الرضحي مع الأشخاص الذين يتعرضون للانفجارات، حتى مع عدم وجود إصابة واضحة في الصدر.[8]
وقد تؤدي الإجراءات الطبية مثل إدخال قسطر وريدي مركزي في أحد عروق الصدر، أو أخذ عينات خزعة من أنسجة الرئة إلى استرواح الصدر. كما يمكن أن تسبب التهوية بالضغط الإيجابي، إما عن طريق التنفس الصناعي أو التهوية الغير جائرة إلى رضح ضغطي (إصابة بسبب الضغط) مما يؤدي إلى استرواح الصدر.[12]
يتم تزويد الغواصين الذين يتنفسون من جهاز تحت الماء بغاز تنفس ضغطه يساوي الضغط المحيط، مما يؤدي إلى احتواء الرئتين على غاز ضغطه أعلى من الضغط الجوي. وقد يعاني الغواصون الذين يتنفسون هواء مضغوط من استرواح الصدر نتيجة للرضح الضغطي الذي يحدث عند الارتفاع واحد متر (3 قدم) مع كتمان النفس بينما تكون الرئتان منفوختين تماما.[21] وهناك مشكلة إضافية في هذه الحالات هي أن أولئك الذين يعانون من أعراض تخفيف الضغط عادة ما يتم علاجهم في غرفة الغوص عن طريق المعالجة بالأكسجين عالي الضغط. وهذا يمكن أن يؤدي إلى استرواح الصدر بكميات صغيرة تزداد بسرعة، وتسبب أعراض استرواح الصدر الضاغط.[21]
آلية العمل

التجويف الصدري هو الفضاء داخل الصدر الذي يحتوي على الرئتين، والقلب، والعديد من الأوعية الدموية الرئيسية. ويوجد على كل جانب من التجويف غشاء جنبي يغطي سطح الرئة (الغشاء الجنبي الحشوي) وغشاء يبطن الجدار الداخلي للصدر (الجنبة الجدارية). وعادة، يوجد كمية صغيرة من سائل مصلي تفصل بين الطبقتين. وتكون الرئتان منتفختين تماما داخل التجويف لأن الضغط داخل الشعب الهوائية أعلى من الضغط داخل الفضاء الجنبي. على الرغم من أن الضغط منخفض في الفضاء الجنبي، إلا إن الهواء لا يدخله لأنه لا يوجد وصلات طبيعية بينه وبين ممرات الهواء، كما أن ضغط الغازات الموجودة في مجرى الدم منخفض جدا لكي يدفعهم داخل الفضاء الجنبي.[12] لذلك، فإن استرواح الصدر يحدث فقط إذا سُمح للهواء بالدخول من الخارج من خلال تلف جدار الصدر، أو من الداخل من خلال تلف الرئة نفسها، أو لأن الكائنات الدقيقة الموجودة في الفضاء الجنبي تنتج غازات في بعض الأحيان.[12]
وعادة ما تحدث عيوب جدار الصدر في حالات إصابة جدار الصدر بطعنات أو طلقات نارية ("استرواح الصدر المفتوح"). في استرواح الصدر التلقائي الثانوي، تنشأ الثغرات في أنسجة الرئة عن طريق عدة أسباب منها تمزق الفقاعات (التي تحتوي على الهواء) الموجودة في حالات انتفاخ الرئة الحاد. كما يمكن أن تساهم مناطق النخر (أنسجة ميتة) في حدوث نوبات من استرواح الصدر، على الرغم من أن الآلية الدقيقة لذلك ما زالت غير واضحة.[11] وقد اعتقد لسنوات عديدة أن سبب استرواح الصدر التلقائي الأولي هو وجود "بثور" (فقاعات صغيرة مملوءة بالهواء تحت سطح الجنبة)، والتي يفترض أنها تكون أكثر شيوعا في الأشخاص المعرضين للإصابة باسترواح الصدر (مثل الذكور طوال القامة) بسبب وجود عوامل ميكانيكية. يمكن العثور على بثور في 77٪ من الحالات المصابة باسترواح الصدر الأولي، بينما توجد البثور في 6٪ من عامة الناس الذين لا يوجد في تاريخهم المرضي إصابة باسترواح الصدر الأولي.[22] وبما أن البثور لا تتطور في هؤلاء الأشخاص الأصحاء إلى استرواح الصدر، فإن هذه الفرضية قد لا تكون كافية لشرح سبب كل النوبات. وعلاوة على ذلك، فإن استرواح الصدر قد يتكرر حتى بعد العلاج الجراحي من لهذه البثور.[12] كما أن هناك افتراض بأن استرواح الصدر الأولي قد ينتج من خلل في بعض المناطق في الطبقة الجنبية (مسامية)، مما يجعلها عرضة للتمزق.[11][12][22] كما يؤدي التدخين إلى التهاب وانسداد في الممرات الهوائية الصغيرة، مما يجعل المدخنين أكثر عرضة للاسترواح الصدري الأولي.[13] ولكن عندما يتوقف دخول الهواء في التجويف الجنبي، يتم امتصاصه تدريجيا.[13]
يحدث استرواح الصدر الضاغط عندما تسمح الفتحة للهواء بالدخول إلى الفضاء الجنبي حيث تعمل كصمام واحد الاتجاه، مما يسمح لمزيد من الهواء بالدخول مع كل نفس ولكن لا يسمح له بالهروب. ولكن عند محاولة الجسم لتعويض ذلك الخلل عن طريق زيادة معدل التنفس، وزيادة حجم الهواء في كل نفس تتفاقم المشكلة. إذا لم يتم تصحيح المشكلة ومعالجتها، ينتهي الأمر بنقص في الأكسجين (انخفاض مستويات الأوكسجين) وتوقف الجهاز التنفسي.[14]
التشخيص
يمكن أن تكون أعراض استرواح الصدر غامضة وعامة، وخاصة عندما يكون بكمية قليلة. وعادة ما يتم التأكد باستخدام التصوير الطبي.[13] على النقيض من ذلك، فإن استرواح الصدر الضاغط يعتبر حالة طبية طارئة ويمكن معالجتها قبل التصوير، وخاصة إذا كان هناك نقص شديد في الأكسجين، أوانخفاض شديد في ضغط الدم، أو تدهور في مستوى الوعي. قد تكون الأشعة السينية مطلوبة في بعض الأحيان في الاسترواح الصدري الضاغط إذا كان هناك شك حول الموقع التشريحي للاسترواح الصدر.[14][16]
الأشعة السينية على الصدر


عادة ما يكون التصوير الشعاعي العادي للصدر، بإشعاع الأشعة السينية من الخلف (من الخلف للأمام) هو أنسب فحص في البداية. وعادة ما يتم تنفيذ ذلك خلال الشهيق (مع كتم النَفَس). لأن التصوير بالأشعة السينية أثناء الزفير (بعد خروج الهواء) لا يعطي أي معلومات إضافية.[12][13] إذا لم تُظهر الأشعة السينية الساقطة من الخلف للأمام استرواح صدري، ولكن كان هناك شكوك قوية في وجوده، يتم عمل أشعة سينية جانبية ( بإسقاط الأشعة من الجانب)، ولكن هذه ليست الطريقة الروتينية.[13][17] ومن المألوف وجود انحراف المنصف (التركيب بين الرئتين التي يحتوي على القلب، والأوعية الدموية الكبيرة، والممرات الهوائية الكبيرة) بعيدا عن الرئة المتضررة بسبب اختلافات الضغط. لذا فإن هذا الانحراف ليس دليلا على حدوث استرواح الصدر الضاغط، إنما يتحدد أساسا عن طريق مجموعة من الأعراض بالإضافة إلى نقص الأكسجين، والصدمة.[12]
يمكن تحديد حجم استرواح الصدر (أي حجم الهواء في الفضاء الجنبي) بدرجة معقولة من الدقة عن طريق قياس المسافة بين جدار الصدر والرئة، ويتم على أساسه تحديد العلاج، لأنه يتم التعامل مع وجود استرواح صدري أصغر بشكل مختلف. وجود طبقة رقيقة من الهواء حجمها 2 سم يعني أن استرواح الصدر يحتل حوالي 50٪ من نصف الصدر.[13] وقد ذكرت المبادئ التوجيهية المهنية البريطانية أن القياس يجب أن يتم على مستوى باب الرئة (مكان دخول الأوعية الدموية والمسالك الهوائية في الرئة) باعتبار 2سم كنقطة فاصلة،[13] في حين تنص المبادئ التوجيهية الأمريكية أن القياس ينبغي أن يتم من قمة الرئة مع التفريق بين استرواح الصدر "الصغير" و "الكبير" بفاصل 3سم.[23] ولكن قد تبالغ الطريقة الأخيرة في حجم استرواح الصدر إذا كان يقع أساسا في القمة، وهو أمر شائع.[13] الروابط بين طرق القياس المختلفة ضعيفة، ولكن هي أفضل الطرق المتاحة السهلة لتقدير حجم استرواح الصدر.[13][17] يمكن أن يساعد المسح المقطعي (انظر أدناه) في تحديد حجم استرواح الصدر بدقة أكبر، ولكن لا يوصى باستخدامه الروتيني مع هذه الحالات.[23]
ليس كل استرواح صدري مثل الآخر، فقد لا يشكل بعضها سوى تجويف من الهواء في مكان معين في الصدر فقط.[13] كما يمكن ملاحظة كميات صغيرة من السوائل في الأشعة السينية على الصدر (استرواح الصدر الموهي)، وقد يكون هذا السائل دم.[12] في بعض الحالات، قد يكون الشيء الوحيد غير الطبيعي في الأشعة هو "علامة التلم العميق"، التي تظهر فيها المساحة الصغيرة الموجودة عادة بين جدار الصدر والحجاب الحاجز كبيرة بسبب الوجود غير الطبيعي للسوائل.[14]
الأشعة المقطعية

التصوير المقطعي بالكمبيوتر ليس ضروريا لتشخيص استرواح الصدر، ولكن يمكن أن يكون مفيدا في حالات معينة. في بعض أمراض الرئة، وخاصة انتفاخ الرئة، يمكن أن يوجد مناطق من الرئة غير طبيعية مثل وجود فقاعات (كيس كبير مملوء بالهواء) يكون لها نفس مظهر استرواح الصدر بالأشعة السينية على الصدر، وقد لا يكون آمنا تطبيق أي علاج قبل القيام بالتمييز، وتحديد الموقع الدقيق، وحجم استرواح الصدر.[13] في حالة الخبطات أو الطعنات، قد لا يكون من الممكن إجراء فيلم في الوضع القائم، وقد لا يتمكن التصوير الشعاعي للصدر من تصوير ما يصل إلى ثلث استرواح الصدر، لذا يكون التصوير المقطعي بالكمبيوتر هو الأفضل في هذه الحالة.[16]
وهناك استخدام آخر للأشعة المقطعية هو في تحديد أي أمراض أخرى كامنة في الرئتين. حيث يمكن أن يساعد على تحديد البثور أو الأمراض الكيسية (تحسبا للعلاج، انظر أدناه) في حالة استرواح الصدر الأولي، كما يمكن أن يساعد على تحديد معظم الأسباب المذكورة أعلاه في حالة استرواح الصدر الثانوي.[13][17]
الموجات فوق الصوتية
تستخدم الموجات فوق الصوتية عادة في تقييم الأشخاص الذين أصيبوا بخبطة بدنية.[24] وقد تكون الموجات فوق الصوتية أكثر حساسية من الأشعة السينية على الصدر في تحديد استرواح الصدر بعد خبطة حادة في الصدر.[25] كما يمكن أن تساعد أيضا على التشخيص السريع في الحالات الطارئة الأخرى، وتحديد حجم استرواح الصدر. كما أن هناك العديد من السمات الخاصة للموجات فوق الصوتية على الصدر يمكن استخدامها لتأكيد أو استبعاد التشخيص.[26]
العلاج
يعتمد علاج استرواح الصدر على عدة عوامل، حيث يمكن ألا تتطلب الحالة أكثر من المتابعة في وقت مبكر بعد الخروج من المستشفى، أو قد تحتاج إلى إبرة إزالة الضغط في الحال أو إدخال أنبوب صدر في حالات أخرى. يتم تحديد العلاج من خلال شدة الأعراض، والمؤشرات التي تدل على حدة المرض، ووجود أمراض كامنة في الرئة، والحجم المقدر لاسترواح الصدر في الأشعة السينية، والتفضيل الشخصي للشخص المعني في بعض الحالات.[13]
عادة ما يتم إدراج أنابيب الصدر في حالات استرواح الصدر الرضحي. وتزيد الحاجة إلى التنفس الصناعي من خطر استرواح الصدر الضاغط، ويصبح إدخال أنبوب الصدر إلزامي.[12][27] وينبغي تغطية أي جرح مفتوح في الصدر بغطاء محكم، لأنه قد يؤدي إلى استرواح الصدر الضاغط بنسبة كبيرة. يجب استخدام ضمادة تسمى "ختم أشِرمان"، لأنه اتضح أنها أكثر فعالية من الضمادة "ثلاثية الجوانب" المتعارف عليها. وختم أشرمان هو جهاز مصمم خصيصا يلتصق بجدار الصدر، ومن خلال آلية تشبه الصمام، يسمح للهواء بالهروب ولا يسمح له بدخول الصدر.[28]
عادة ما يتم علاج استرواح الصدر الضاغط باستخدام إبرة إزالة الضغط. وقد يكون ذلك ضروريا قبل نقل المريض إلى المستشفى، ويمكن أن يقوم بها طبيب الطوارئ أو غيره من المهنيين المدربين.[14][28] وتترك الإبرة أو القنية في مكانها حتى يمكن إدراج أنبوب الصدر.[14][28] إذا أدى استرواح الصدر الضاغط إلى السكتة القلبية، يتم استخدام إبرة إزالة الضغط كجزء من الإنعاش؛ لأنها قد تساعد في استعادة النتاج القلبي.[29]
علاج تحفظي
عادة لا تتطلب استرواحات الصدر الصغيرة العلاج، حيث أنها لا تتطور إلى الفشل التنفسي أو استرواح الصدر الضاغط، وغالبا يمتص الهواء بشكل تلقائي. وهذا النهج هو الأنسب في العلاج، إذا كان الحجم المقدر من استرواح الصدر صغير (<50٪ من حجم نصف الصدر)، وليس هناك ضيق في التنفس، ولا أي مرض آخر كامن في الرئة.[17][23] وقد يكون من المناسب علاج الاسترواح الصدري الكبير التلقائي الأولي بعلاج تحفظي إذا كانت الأعراض محدودة.[13] وغالبا لا تكون هناك حاجة إلى دخول المستشفى، طالما يتم إعطاء تعليمات واضحة للعودة إلى المستشفى إذا ساءت الأعراض. ويمكن إجراء المزيد من الفحوصات للمريض في العيادات الخارجية مثل تكرار الأشعة السينية للمتابعة والتأكد من التحسن، وتقديم المشورة فيما يتعلق بمنع تكرارها (انظر أدناه).[13] وتتراوح معدلات الارتشاف يوميا بين 1.25٪ و 2.2٪ من حجم التجويف. وهذا يعني أن حتى استرواح الصدر الكامل يمكن أن يمتص على مدار حوالي 6 أسابيع.[13] ولكن مع ذلك، ليست هناك أدلة عالية الجودة تقارن العلاج التحفظي بالعلاج الغير تحفظي.[30]
يتم التعامل مع استرواحات الصدر الثانوية بعلاجات تحفظية فقط إذا كان حجمها صغيرا جدا (1 سم أو أقل)، وإذا كانت الأعراض محدودة. ولكن يوصى عادة بالدخول إلى المستشفى. وقد يسرّع إعطاء الأكسجين بمعدل تدفق عالي الارتشاف إلى مقدار يصل إلى أربعة أضعاف.[13][31]
شفط
توصي بعض المبادئ التوجيهية المهنية في استرواحات الصدر الأولية الكبيرة (> 50٪)، أو المرتبطة بضيق تنفس، بأن خفض حجم الهواء عن طريق الشفط هي طريقة فعالة تماما مثل إدراج أنبوب الصدر. ويتم ذلك على طريق إعطاء مخدر موضعي، وإدخال إبرة متصلة بنقرة ثلاثية. ويتم إزالة ما يقرب من 2.5 لتر من الهواء (في البالغين). إذا أظهرت الأشعة السينية بعد ذلك أن هناك انخفاض كبير في حجم استرواح الصدر، ما تبقى من العلاج يمكن أن يكون تحفظيا. وقد ثبت أن هذا النهج فعال في أكثر من 50٪ من الحالات.[11][13][17] بالمقارنة مع أنبوب الصرف، ووجد أن استخدام طريقة الشفط كخط أول في علاج استرواح الصدر التلقائي الأولي يقلل من عدد الأشخاص الذين يحتاجون إلى دخول المستشفى بشكل ملحوظ، دون زيادة خطر حدوث مضاعفات.[32]
ويمكن أيضا استخدام الشفط مع استرواح الصدر الثانوي متوسط الحجم (طبقة الهواء 1-2 سم) دون ضيق في التنفس، مع فرق أنه يتطلب مراقبة مستمرة في المستشفى حتى بعد نجاح الإجراء.[13] تنص المبادئ التوجيهية المهنية الأمريكية على أن جميع استرواحات الصدر الكبيرة الحجم - حتى تلك الناجمة عن الاسترواح الصدري الأولي - ينبغي أن تعالج باستخدام أنبوب الصدر.[23] بينما قد تعالج استرواحات الصدر الرضحية الناجمة من الإجراءات الطبية معتدلة الحجم في البداية باستخدام الشفط.[12]
أنبوب الصدر

يعتبر أنبوب الصدر هو بداية العلاج الأولي لاسترواح الصدر. وعادة ما يتم إدراجه في منطقة تحت الإبطين (الإبط) تسمى "المثلث الآمن"، لتجنب الإضرار بالأعضاء الداخلية. يتم تحديد ذلك المكان بواسطة خط أفقي في مستوى الحلمة، واثنين من عضلات جدار الصدر (العضلة الظهرية العريضة، والعضلة الصدرية الكبيرة)، مع إعطاء مخدر موضعي. ويمكن استخدام نوعين من الأنابيب. في استرواح الصدر التلقائي، يمكن إدخال أنابيب صغيرة (قطرها أصغر من 14ف، 4.7مم) عن طريق تقنية سيلدينجر، ولا تمتلك الأنابيب الأكبر ميزة في هذه الحالة.[13] بينما تستخدم أنابيب أكبر (28ف، 9.3مم) في استرواح الصدر الرضحي.[28]
يجب استخدام أنابيب الصدر في حالات الاسترواح الصدري الأولي التلقائي التي لم تستجب لإبرة الشفط، وفي استرواحات الصدر كبيرة الحجم (> 50٪)، وفي حالات استرواح الصدر الضاغط. وتكون متصلة بنظام صمام أحادي الاتجاه يسمح للهواء بالخروج من الصدر، ولا يسمح له بإعادة الدخول. وقد تتضمن هذه الطريقة زجاجة ماء تعمل كمصيدة للمياه، أو كصمام هيمليتش. وهي لا ترتبط عادة بدائرة ضغط سلبي، لأن ذلك سيؤدي إلى إعادة توسع سريعة في الرئة مما يعرضها لخطر الوذمة الرئوية ("الوذمة الرئوية التوسعية"). ويبقى الأنبوب في مكانه حتى يتوقف خروج الهواء منه لفترة من الزمن، ويتم تأكيد إعادة توسع الرئة بالأشعة السينية.[13][17][23]
يوجد خيارات متنوعة متاحة، إذا كان لا يزال هناك دليل على تسرب الهواء بعد 2-4أيام. قد يتم محاولة الشفط بالضغط السلبي (عند ضغط منخفض من -10 إلى -20 سم ماء) بمعدل تدفق عال، وخاصة في استرواح الصدر التلقائي الأولي، حيث يعتقد أن ذلك قد يسرع من الشفاء. وفي حالة فشل ذلك، قد يكون هناك حاجة لعملية جراحية، وخاصة في استرواح الصدر التلقائي الثانوي.[13]
وتستخدم أنابيب الصدر كخط أول في العلاج عندما يحدث استرواح الصدر في الأشخاص المصابين بالإيدز، (الذي يحدث عادة بسبب مرض ذات الرئة بالمتكيسة الجؤجؤية)، لأن هذه الحالة تكون مرتبطة بتسرب الهواء لفترات طويلة. استرواح الصدر الثنائي (الذي يكون على جانبي الصدر) شائع نسبيا في الأشخاص الذين يعانون من مرض ذات الرئة بالمتكيسة الجؤجؤية، وغالبا ما تكون الجراحة مطلوبة.[13]
ومن الممكن أن يعالج المريض الذي لديه أنبوب صدر خارج المستشفى عن طريق استخدام صمام هيمليتش، على الرغم من أن البحوث التي تثبت أن ذلك يكون بنفس كفاءة العلاج في المستشفى محدودة.[33]
التصاق طبقتي الحيز الجنبي والجراحة
التصاق الجنبة هو الإجراء الذي يلغي الفضاء الجنبي بشكل كامل، ويلصق الرئة بجدار الصدر. ولم يتم إجراء دراسة طويلة الأجل (20 سنة أو أكثر) على عواقبها. ولكن تم تحقيق نتائج جيدة على المدى القصير مع بضع الصدر (فتح الصدر جراحيا)، وتحديد مصدر تسرب الهواء، وتدبيس البثور، ثم استئصال الطبقة الجنبية الخارجية، وكشط الطبقة الداخلية. وخلال عملية الشفاء، تلتصق الرئة بجدار الصدر، فتغلق الفضاء الجنبي. وتكون معدلات التكرار حوالي 1٪.[11][13] وآلام ما بعد فتح الصدر هو أمر شائع نسبيا.

وهناك نهج أقل إجارة هو تنظير الصدر، وعادة يكون في شكل إجراء يسمى جراحة تنظير الصدر بمساعدة الفيديو. ووجد أن نتائج كشط الجنبة القائم على تنظير الصدر بمساعدة الفيديو هي أسوأ قليلا من تلك التي تحققت باستخدام بضع الصدر على المدى القصير، ولكنها تسبب ندبات أصغر في الجلد.[11][13] وبالمقارنة مع بضع الصدر المفتوح، فإن جراحة تنظير الصدر تسمح بالإقامة في المستشفى لفترة أقصر بعد العملية، ويكون هناك حاجة أقل للسيطرة على الألم بعد العملية الجراحية، مع انخفاض نسبة حدوث مخاطر مشاكل الرئة بعد الجراحة.[13] ويمكن أيضا أن يستخدم تنظير الصدر لتحقيق التصاق الجنبة الكيميائي عن طريق نفخ التالك، الذي ينشط رد فعل التهابي يسبب التصاق الرئة بجدار الصدر.[11][13]
إذا ما تم وضع أنبوب الصدر في مكانه بالفعل، يمكن حينها إدخال مواد مختلفة من خلاله لإحداث التصاق جنبي كيميائي، مثل التالك، والتيتراسايكلن، والمينوسيكلين، والدوكسيسايكلين. وجد أن نتائج إلصاق الجنبة الكيميائي تكون أسوأ من نتائج استخدام الطرق الجراحية،[11][13] ولقد وجد أن استخدام التالك لإلصاق الجنبة يكون له عواقب سلبية على المدى الطويل في الشباب.[11]
رعاية ما بعد العملية
إذا حدث استرواح الصدر في شخص مدخن، فإن هناك فرصة لتكرار الإصابة به إذا استمر الشخص في التدخين، على عكس الذين يتوقفوا عن التدخين، لذا فإن الإقلاع عن التدخين له فوائد عديدة.[13] قد يكون من المستحسن أن يبقى الشخص بعيدا عن العمل لمدة تصل إلى أسبوع بعد حدوث استرواح الصدر التلقائي. أما إذا كان الشخص عادة ما يؤدي أعمال يدوية ثقيلة، قد يتطلب الأمر عدة أسابيع. بينما يحتاج أولئك الذين خضعوا لإلصاق الجنبة إلى 2-3 أسابيع بعيدا عن العمل للتعافي.[34]
كما ينبغي الابتعاد عن السفر الجوي لمدة تصل إلى سبعة أيام بعد الامتصاص الكامل لاسترواح الصدر إذا لم يتكرر.[13] ويعتبر الغوص تحت الماء غير آمن بعد الإصابة بنوبة استرواح الصدر ما لم يتم تنفيذ إجراء وقائي. وتشير الدلائل الإرشادية المهنية إلى أنه يجب إجراء عملية استئصال للجنبة من على كلا الرئتين، وعمل اختبارات وظائف الرئة، وأشعة مقطعية قبل استئناف الغوص.[13][23] كما أنه قد يتطلب الأمر أيضا تقييم طياري الطائرات بعد الجراحة قبل استئناف العمل.[13]
وقاية
من المستحسن القيام بإجراء وقائي (بضع الصدر، أو تنظير الصدر مع إحداث الالتصاق الجنبي) بعد الإصابة بنوبة استرواح صدري؛ لمنع تكرار النوبة. ولا تزال الأدلة على العلاج الأكثر فعالية متضاربة في بعض المناطق، وهناك تباين بين العلاجات المتاحة في أوروبا والولايات المتحدة.[11] ليس كل نوبات استرواح الصدر تتطلب مثل هذه التدخلات. فإن القرار يعتمد إلى حد كبير على تقدير نسبة خطر التكرار. وغالبا ما يوصى بهذه الإجراءات بعد حدوث استرواح الصدر الثاني.[35] وقد توضع الجراحة في الاعتبار إذا أصيب الشخص باسترواح الصدر على كلا الجانبين ("الثنائي")، أو أصيب بنوبات متتابعة على كلا الجانبين، أو إذا كانت النوبة مرتبطة بالحمل.[13]
وباء
يعتقد أن معدل حدوث استرواح الصدر التلقائي الأولي السنوي المرتبط بالعمر من ثلاث إلى ست مرات أعلى في الذكور عن الإناث. وتشير المعدلات السنوية في فيشمان[36][37] إلى حدوث الاسترواح الصدري في 7.4 و 1.2 حالة لكل 100,000 شخص في السنة بين الذكور والإناث، على التوالي. كما أن ارتفاع متوسط الطول أيضا يرتبط بزيادة خطر الإصابة في الأشخاص طوال القامة الذين لا يقل طولهم عن 76 بوصة (1.93 متر)، ومعدل الحدوث السنوي بينهم حوالي 200 حالة لكل 100,000 شخص في السنة. كما يبدو أن الجسم النحيف أيضا يزيد من خطر الإصابة باسترواح الصدر.[36]
ويزداد خطر الإصابة باسترواح الصدر التلقائي الأولي بين المدخنين الذكور والإناث بعوامل تقارب 22 و 9 على التوالي، مقارنة مع غير المدخنين من نفس الجنس.[38] والأفراد الذين يدخنون بكثافة أعلى هم عرضة للخطر بنسبة أعلى؛ حيث يكون الرجال الذين يدخنون 10 سجائر يوميا عرضة لخطر الإصابة 20 مرة أكثر من غير المدخنين، في حين أن المدخنين الذين يستهلكون 20 سيجارة يوميا عرضة للإصابة بنحو 100 مرة أكثر من غيرهم.[36]
في استرواح الصدر التلقائي الثانوي، يقدر معدل الحدوث السنوي المرتبط بالسن ب 6.3 و 2.0 حالة لكل 100,000 شخص في السنة للذكور والإناث،[19][39] على التوالي، مع وجود خطر تكرار الإصابة اعتمادا على وجود وشدة أي مرض رئوي كامن. وبمجرد حدوث نوبة ثانية، يكون هناك احتمال كبير لنوبات أخرى لاحقة.[11] لم يتم دراسة حالات الإصابة في الأطفال بشكل جيد،[17] ولكنها قدرت بين 5 و 10 حالات لكل 100,000 شخص في السنة.[40]
الموت من استرواح الصدر نادر (باستثناء استرواح الصدر الضاغط). وتُظهر الإحصاءات البريطانية معدل وفيات سنوي يبلغ 1.26 و 0.62 حالة وفاة لكل مليون شخص في السنة للرجال والنساء على التوالي.[13] وهناك زيادة كبيرة في خطر الوفاة في المرضى الأكبر سنا، وفي أولئك الذين يعانون من الاسترواح الثانوي.[11]
تاريخ
ظهر أول وصف لاسترواح الصدر الرضحي الناتج من كسور الضلوع في الجراحة الإمبراطورية من قبل الجراح التركي شرف الدين صابونجي أوغلي (1385-1468)، وهو الذي أوصي أيضا بطريقة الشفط البسيط.[41]
تم وصف استرواح الصدر في عام 1803 من قبل جان مارك غاسبارد إيتارد، وهو طالب من من طلاب رينيه لينيك، الذي قدم وصفا واسعا للصورة الإكلينيكية للمرض في عام 1819.[42] وعندما أدرك إيتارد ولينيك أن بعض الحالات لم تكن بسبب السل (السبب الأكثر شيوعا)، كان قد تم التعرف مفهوم استرواح الصدر التلقائي في عدم وجود السل (استرواح الصدر الأولي) من قبل الطبيب الدنماركي هانز كيرجارد في عام 1932.[13][22][43] وفي عام 1941، قدم الجراحان تايسون وكراندال طريقة الكشط الجنبي لعلاج استرواح الصدر.[13][44]
قبل ظهور الأدوية المضادة للسل، كان يحدث استرواح الصدر عمدا من قبل مقدمي الرعاية الصحية في الأشخاص الذين يعانون من السل كمحاولة لاخماص الفص، أو الرئة بأكملها، حول مكان التجويف. وعرف ذلك باسم "إراحة الرئة". وقد قدمه الجراح الإيطالي كارلو فورلانيني في عام 1888، ونشره الجراح الأمريكي جون بنجامين ميرفي في أوائل القرن العشرين (بعد اكتشاف نفس الإجراء بشكل مستقل). وقد استخدم مورفي بعد ذلك تكنولوجيا الأشعة السينية التي اُكتشفت مؤخرا لخلق استرواح صدري بحجم صحيح.[45]
أصل الكلمة
كلمة استرواح الصدر أصلها من اليونانية pneumo بمعنى هواء، وthorax بمعنى الصدر.[46] وجمعها هو الاسترواحات الصدرية (pneumothoraces).
الإسترواح الصدري لدى الحيوانات
يمكن أن تصاب الحيوانات غير البشرية بكل من استرواح الصدر التلقائي، والرضحي. ويصنف الاسترواح التلقائي -كما هو الحال في البشر- على أنه أولي أو ثانوي، في حين ينقسم استرواح الصدر الرضحي إلى استرواح مفتوح، ومغلق (مع أو بدون تلف جدار الصدر).[47] قد يكون التشخيص واضحا للطبيب البيطري عندما يظهر الحيوان صعوبة في التنفس، أو يكون لديه تنفس ضحل. قد تنشأ الاسترواحات الصدرية من آفات الرئة (مثل البثور) أو من خبطة في جدار الصدر.[48] في الخيول، يمكن أن يتضمن استرواح الصدر الرضحي نصفي الصدر معا، حيث أن المنصف غير مكتمل، وهناك اتصال مباشر بين نصفي الصدر.[49] يتم التعامل مع استرواح الصدر الضاغط - قد يشتبه في وجوده بسبب التدهور السريع في وظيفة القلب، وغياب أصوات الرئة في جميع أنحاء الصدر، ويكون الصدر على شكل برميل - عن طريق عمل شق في صدر الحيوان لتخفيف الضغط، يليه إدخال أنبوب الصدر.[50]
معرض صور
انظر أيضاً
مراجع
- Orenstein, David M. (2004). Cystic Fibrosis: A Guide for Patient and Family (باللغة الإنجليزية). Lippincott Williams & Wilkins. صفحة 62. ISBN 9780781741521. مؤرشف من الأصل في 26 يناير 2020. الوسيط
|CitationClass=تم تجاهله (مساعدة) - Bintcliffe, O; Maskell, N (8 May 2014). "Spontaneous pneumothorax". BMJ (Clinical research ed.). 348: g2928. doi:10.1136/bmj.g2928. PMID 24812003. الوسيط
|CitationClass=تم تجاهله (مساعدة) - "What Causes Pleurisy and Other Pleural Disorders?". NHLBI. 21 September 2011. مؤرشف من الأصل في 5 أكتوبر 2017. اطلع عليه بتاريخ 31 أكتوبر 2016. الوسيط
|CitationClass=تم تجاهله (مساعدة) - "What Are the Signs and Symptoms of Pleurisy and Other Pleural Disorders". www.nhlbi.nih.gov. 21 September 2011. مؤرشف من الأصل في 5 أكتوبر 2017. اطلع عليه بتاريخ 31 أكتوبر 2016. الوسيط
|CitationClass=تم تجاهله (مساعدة) - Chen, L; Zhang, Z (August 2015). "Bedside ultrasonography for diagnosis of pneumothorax". Quantitative imaging in medicine and surgery. 5 (4): 618–23. doi:10.3978/j.issn.2223-4292.2015.05.04. PMC 4559988. PMID 26435925. الوسيط
|CitationClass=تم تجاهله (مساعدة) - Morjaria, JB; Lakshminarayana, UB; Liu-Shiu-Cheong, P; Kastelik, JA (November 2014). "Pneumothorax: a tale of pain or spontaneity". Therapeutic advances in chronic disease. 5 (6): 269–73. doi:10.1177/2040622314551549. PMC 4205574. PMID 25364493. الوسيط
|CitationClass=تم تجاهله (مساعدة) - Slade, M (December 2014). "Management of pneumothorax and prolonged air leak". Seminars in respiratory and critical care medicine. 35 (6): 706–14. doi:10.1055/s-0034-1395502. PMID 25463161. الوسيط
|CitationClass=تم تجاهله (مساعدة) - Wolf SJ, Bebarta VS, Bonnett CJ, Pons PT, Cantrill SV (August 2009). "Blast injuries". Lancet. 374 (9687): 405–15. doi:10.1016/S0140-6736(09)60257-9. PMID 19631372. الوسيط
|CitationClass=تم تجاهله (مساعدة) - Yarmus, L; Feller-Kopman, D (April 2012). "Pneumothorax in the critically ill patient". Chest. 141 (4): 1098–105. doi:10.1378/chest.11-1691. PMID 22474153. الوسيط
|CitationClass=تم تجاهله (مساعدة) - Peters, Jessica Radin; (MD.), Daniel Egan (2006). Blueprints Emergency Medicine (باللغة الإنجليزية). Lippincott Williams & Wilkins. صفحة 44. ISBN 9781405104616. مؤرشف من الأصل في 13 أغسطس 2018. الوسيط
|CitationClass=تم تجاهله (مساعدة) - Tschopp JM, Rami-Porta R, Noppen M, Astoul P (September 2006). "Management of spontaneous pneumothorax: state of the art". European Respiratory Journal. 28 (3): 637–50. doi:10.1183/09031936.06.00014206. PMID 16946095. مؤرشف من الأصل في 3 ديسمبر 2019. الوسيط
|CitationClass=تم تجاهله (مساعدة) - Noppen M, De Keukeleire T (2008). "Pneumothorax". Respiration. 76 (2): 121–7. doi:10.1159/000135932. PMID 18708734. مؤرشف من الأصل في 5 ديسمبر 2019. الوسيط
|CitationClass=تم تجاهله (مساعدة) - MacDuff A, Arnold A, Harvey J, BTS Pleural Disease Guideline Group (December 2010). "Management of spontaneous pneumothorax: جمعية الصدر البريطانية pleural disease guideline 2010". Thorax. 65 (8): ii18–ii31. doi:10.1136/thx.2010.136986. PMID 20696690. الوسيط
|CitationClass=تم تجاهله (مساعدة) - Leigh-Smith S, Harris T (January 2005). "Tension pneumothorax—time for a re-think?". Emergency Medicine Journal. 22 (1): 8–16. doi:10.1136/emj.2003.010421. PMC 1726546. PMID 15611534. الوسيط
|CitationClass=تم تجاهله (مساعدة) - Lyra Rde M (May–Jun 2016). "Etiology of primary spontaneous pneumothorax". J Bras Pneumol. 42 (3): 222–6. doi:10.1590/S1806-37562015000000230. PMID 27383937. الوسيط
|CitationClass=تم تجاهله (مساعدة)صيانة CS1: تنسيق التاريخ (link) - Marx J (2010). Rosen's emergency medicine: concepts and clinical practice (الطبعة 7th). Philadelphia, PA: Mosby/Elsevier. صفحات 393–396. ISBN 978-0-323-05472-0. الوسيط
|CitationClass=تم تجاهله (مساعدة) - Robinson PD, Cooper P, Ranganathan SC (September 2009). "Evidence-based management of paediatric primary spontaneous pneumothorax". Paediatric Respiratory Reviews. 10 (3): 110–7. doi:10.1016/j.prrv.2008.12.003. PMID 19651381. الوسيط
|CitationClass=تم تجاهله (مساعدة) - Chiu HT, Garcia CK (July 2006). "Familial spontaneous pneumothorax". Current Opinion in Pulmonary Medicine. 12 (4): 268–72. doi:10.1097/01.mcp.0000230630.73139.f0. PMID 16825879. الوسيط
|CitationClass=تم تجاهله (مساعدة) - Levine DJ, Sako EY, Peters J (2008). Fishman's Pulmonary Diseases and Disorders (الطبعة 4th). McGraw-Hill. صفحة 1520. ISBN 0-07-145739-9. الوسيط
|CitationClass=تم تجاهله (مساعدة) - Light RW (2007). Pleural diseases (الطبعة 5th). Lippincott Williams & Wilkins. صفحة 307. ISBN 0-7817-6957-4. الوسيط
|CitationClass=تم تجاهله (مساعدة) - Neuman TS (2003). "Arterial gas embolism and pulmonary barotrauma". In Brubakk AO, Neuman TS (المحررون). Bennett and Elliott's physiology and medicine of diving (الطبعة 5th Rev). United States: Saunders. صفحات 558–561. ISBN 0-7020-2571-2. الوسيط
|CitationClass=تم تجاهله (مساعدة) - Grundy S, Bentley A, Tschopp JM (2012). "Primary spontaneous pneumothorax: a diffuse disease of the pleura". Respiration. 83 (3): 185–189. doi:10.1159/000335993. PMID 22343477. مؤرشف من الأصل في 13 أغسطس 2018. الوسيط
|CitationClass=تم تجاهله (مساعدة) - Baumann MH, Strange C, Heffner JE, Light R, Kirby TJ, Klein J, Luketich JD, Panacek EA, Sahn SA (February 2001). "Management of spontaneous pneumothorax: an American College of Chest Physicians Delphi consensus statement". Chest. 119 (2): 590–602. doi:10.1378/chest.119.2.590. PMID 11171742. مؤرشف من الأصل في 16 مارس 2020. اطلع عليه بتاريخ أغسطس 2020. الوسيط
|CitationClass=تم تجاهله (مساعدة); تحقق من التاريخ في:|تاريخ الوصول=(مساعدة) - Scalea TM, Rodriguez A, Chiu WC, Brenneman FD, Fallon WF, Kato K, McKenney MG, Nerlich ML, Ochsner MG, Yoshii H (1999). "Focused Assessment with Sonography for Trauma (FAST): results from an international consensus conference". Journal of Trauma. 46 (3): 466–72. doi:10.1097/00005373-199903000-00022. PMID 10088853. الوسيط
|CitationClass=تم تجاهله (مساعدة) - Wilkerson RG, Stone MB (January 2010). "Sensitivity of bedside ultrasound and supine anteroposterior chest radiographs for the identification of pneumothorax after blunt trauma". Academic Emergency Medicine. 17 (1): 11–17. doi:10.1111/j.1553-2712.2009.00628.x. PMID 20078434. الوسيط
|CitationClass=تم تجاهله (مساعدة) - Volpicelli G (February 2011). "Sonographic diagnosis of pneumothorax". Intensive Care Medicine. 37 (2): 224–32. doi:10.1007/s00134-010-2079-y. PMID 21103861. الوسيط
|CitationClass=تم تجاهله (مساعدة) - Keel M, Meier C (December 2007). "Chest injuries - what is new?". Current Opinion in Critical Care. 13 (6): 674–9. doi:10.1097/MCC.0b013e3282f1fe71. PMID 17975389. الوسيط
|CitationClass=تم تجاهله (مساعدة) - Lee C, Revell M, Porter K, Steyn R, Faculty of Pre-Hospital Care (March 2007). "The prehospital management of chest injuries: a consensus statement. Faculty of Pre‐hospital Care, Royal College of Surgeons of Edinburgh". Emergency Medicine Journal. 24 (3): 220–4. doi:10.1136/emj.2006.043687. PMC 2660039. PMID 17351237. الوسيط
|CitationClass=تم تجاهله (مساعدة) - Neumar RW, Otto CW, Link MS, Kronick SL, Shuster M, Callaway CW, Kudenchuk PJ, Ornato JP, McNally B, Silvers SM, Passman RS, White RD, Hess EP, Tang W, Davis D, Sinz E, Morrison LJ (November 2010). "Part 8: adult advanced cardiovascular life support: 2010 American Heart Association Guidelines for Cardiopulmonary Resuscitation and Emergency Cardiovascular Care". Circulation. 122 (18 Suppl 3): S729–67. doi:10.1161/CIRCULATIONAHA.110.970988. PMID 20956224. مؤرشف من الأصل في 26 يونيو 2018. الوسيط
|CitationClass=تم تجاهله (مساعدة) - Ashby, M; Haug, G; Mulcahy, P; Ogden, KJ; Jensen, O; Walters, JA (18 December 2014). "Conservative versus interventional management for primary spontaneous pneumothorax in adults". The Cochrane database of systematic reviews. 12: CD010565. doi:10.1002/14651858.CD010565.pub2. PMID 25519778. الوسيط
|CitationClass=تم تجاهله (مساعدة) - Light RW (2007). Pleural diseases (الطبعة 5th). Lippincott Williams & Wilkins. صفحات 310. ISBN 0-7817-6957-4. الوسيط
|CitationClass=تم تجاهله (مساعدة) - Wakai A, O'Sullivan RG, McCabe G (2007). Wakai A (المحرر). "Simple aspiration versus intercostal tube drainage for primary spontaneous pneumothorax in adults". Cochrane Database of Systematic Reviews (1): CD004479. doi:10.1002/14651858.CD004479.pub2. PMID 17253510. مؤرشف من الأصل في 16 أبريل 2020. الوسيط
|CitationClass=تم تجاهله (مساعدة) - Brims FJ, Maskell NA (2013). "Ambulatory treatment in the management of pneumothorax: a systematic review of the literature". Thorax. 68 (7): 664–9. doi:10.1136/thoraxjnl-2012-202875. PMID 23515437. الوسيط
|CitationClass=تم تجاهله (مساعدة) - Brown I, Palmer KT, Robin C (2007). Fitness for work: the medical aspects. Oxford: Oxford University Press. صفحات 481–2. ISBN 0-19-921565-0. الوسيط
|CitationClass=تم تجاهله (مساعدة) - Baumann MH, Noppen M (June 2004). "Pneumothorax". Respirology. 9 (2): 157–64. doi:10.1111/j.1440-1843.2004.00577.x. PMID 15182264. الوسيط
|CitationClass=تم تجاهله (مساعدة) - Levine DJ, Sako EY, Peters J (2008). Fishman's Pulmonary Diseases and Disorders (الطبعة 4th). McGraw-Hill. صفحة 1519. ISBN 0-07-145739-9. الوسيط
|CitationClass=تم تجاهله (مساعدة) - Light RW (2007). Pleural diseases (الطبعة 5th). Lippincott Williams & Wilkins. صفحات 306. ISBN 0-7817-6957-4. الوسيط
|CitationClass=تم تجاهله (مساعدة) - Bense L, Eklund G, Wiman LG (1987). "Smoking and the increased risk of contracting spontaneous pneumothorax". Chest. 92 (6): 1009–12. doi:10.1378/chest.92.6.1009. PMID 3677805. الوسيط
|CitationClass=تم تجاهله (مساعدة) - Light RW (2007). Pleural diseases (الطبعة 5th). Lippincott Williams & Wilkins. صفحة 315. ISBN 0-7817-6957-4. الوسيط
|CitationClass=تم تجاهله (مساعدة) - Sahn SA, Heffner JE (2000). "Spontaneous pneumothorax". New England Journal of Medicine. 342 (12): 868–74. doi:10.1056/NEJM200003233421207. PMID 10727592. الوسيط
|CitationClass=تم تجاهله (مساعدة) - Kaya SO, Karatepe M, Tok T, Onem G, Dursunoglu N, Goksin I (September 2009). "Were pneumothorax and its management known in 15th-century anatolia?". Texas Heart Institute Journal. 36 (2): 152–153. PMC 2676596. PMID 19436812. الوسيط
|CitationClass=تم تجاهله (مساعدة) - Laennec RTH (1819). Traité de l'auscultation médiate et des maladies des poumons et du coeur - part II (باللغة الفرنسية). Paris. الوسيط
|CitationClass=تم تجاهله (مساعدة) - Kjærgard H (1932). "Spontaneous pneumothorax in the apparently healthy". Acta Medica Scandinavica. 43 Suppl: 1–159. doi:10.1111/j.0954-6820.1932.tb05982.x. الوسيط
|CitationClass=تم تجاهله (مساعدة) - Tyson MD, Crandall WB (1941). "The surgical treatment of recurrent idiopathic spontaneous pneumothorax". Journal of Thoracic Surgery. 10: 566–70. الوسيط
|CitationClass=تم تجاهله (مساعدة) - Herzog H (1998). "History of tuberculosis" (PDF). Respiration. 65 (1): 5–15. doi:10.1159/000029220. PMID 9523361. مؤرشف من الأصل (PDF) في 1 أكتوبر 2012. الوسيط
|CitationClass=تم تجاهله (مساعدة) - Stevenson, Angus (2010). Oxford Dictionary of English (باللغة الإنجليزية). OUP Oxford. صفحة 1369. ISBN 9780199571123. مؤرشف من الأصل في 20 ديسمبر 2019. الوسيط
|CitationClass=تم تجاهله (مساعدة) - Pawloski DR, Broaddus KD (2010). "Pneumothorax: a review". J Am Anim Hosp Assoc. 46 (6): 385–97. PMID 21041331. الوسيط
|CitationClass=تم تجاهله (مساعدة) - "Causes of Respiratory Malfunction". Merck Veterinary Manual, 9th edition (online version). 2005. مؤرشف من الأصل في 4 مارس 2016. اطلع عليه بتاريخ 05 يونيو 2011. الوسيط
|CitationClass=تم تجاهله (مساعدة) - "Equine trauma and first aid: wounds and lacerations". Merck Veterinary Manual, 9th edition (online version). 2005. مؤرشف من الأصل في 4 مارس 2016. اطلع عليه بتاريخ 05 يونيو 2011. الوسيط
|CitationClass=تم تجاهله (مساعدة) - "Primary survey and triage - breathing". Merck Veterinary Manual, 9th edition (online version). 2005. مؤرشف من الأصل في 14 أبريل 2016. اطلع عليه بتاريخ 05 يونيو 2011. الوسيط
|CitationClass=تم تجاهله (مساعدة)
- بوابة طب
- بوابة غوص



