استسقاء الرأس
استسقاء الرأس[1] أو مَواهُ الرَأس أو استسقاء الدماغ[2] (بالإنجليزية: Hydrocephalus) (من اليونانية، Hydro تعني الماء و cephalus تعني الرأس) هو مرض يتميز بتراكم السائل النخاعي في الجيوب والتجاويف الداخلية للدماغ مما قد يتسبب في ارتفاع الضّغط داخل القحف، وقد يُؤَدي ذلك إلى تضخّم الرأس، واختلاجات واختلالات عقلية.
| استسقاء الرأس | |
|---|---|
![]() تضخم حجم الرأس بشدة بسبب استسقاء الدماغ في طفلة عمرها 11 شهر تضخم حجم الرأس بشدة بسبب استسقاء الدماغ في طفلة عمرها 11 شهر | |
| معلومات عامة | |
| الاختصاص | علم الوراثة الطبية ، وطب الجهاز العصبي |
| من أنواع | ضمور الدماغ ، وفرط الضغط داخل الجمجمة |
| التاريخ | |
| وصفها المصدر | الموسوعة السوفيتية الأرمينية ، والموسوعة السوفيتية الكبرى |
ميكانيكية المرض



يحتوي المخ على مجموعة مكونة من أربعة بطينات (حجرات أو تجاويف صغيرة) كلها تحتوي على السائل الدماغي الشوكي فيما يعرف بالجهاز البطيني للمخ. تتصل البطينات الأربعة ببعضها وبالقناة المركزية الموجودة في منتصف الحبل الشوكي ويتم بداخل البطينات الأربعة وبشكل مستمر تكوين سائل مهم من سوائل الجسم يسمى السائل الدماغي الشوكي .
في الظروف العادية يتحرك السائل الدماغي الشوكي في البطينات الدماغية، والحيز تحت العنكبوتية، وقناة داخل النخاع الشوكي، ويعمل هذا السائل على حماية المخ من صلابة وقسوة عظام الجمجمة حيث يعمل كمصدات للضربات والصدمات. وبالإضافة إلى الحماية، فإن هذا السائل يعمل كوسيط ناقل للمواد المغذية للمخ والمواد التي يتخلص منها.
ويُنتج هذا السائل بمعدل يومي يتراوح بين 50 – 500 ملي لتر حسب العمر، كما أنه يمتص ويُنزَحُ من خلال الدورة الدموية بنفس المعدل. وبذلك يبقى حجمه ثابتًا لا زيادة فيه ولا نقص.[4]
ولكن لأسباب مرضية أو اختلالات في التكوين قد يحدث أن تتعطل دورة السائل الدماغي الشوكي، ويتراكم السائل في بطينات الدماغ ويضغط على الأنسجة المحيطة به بما في ذلك الدماغ والقحف.
وفي ظروف أخرى يمكن أن ينشأ استسقاء الرأس عن تكوين السائل الدماغي الشوكي بمعدلات أكبر من الطبيعية فيحدث عدم التوافق بين إنتاج السائل النخاعي وامتصاصه. مما يسبب تراكمه داخل البطينات الدماغية أيضًا. بناءً على الآلية، استسقاء الرأس يمكن أن يصنف إلى استسقاء رأس متصل وغير متصل (انسداد). كلا الشكلين يمكن أن يكون إما خلقياً أو مكتسباً.
النوع المتصل
استسقاء الرأس المتصل والذي يعرف أيضاً باستسقاء الرأس غير المسدود، يحدث نتيجة خلل في إعادة امتصاص السائل النخاعي في غياب أي انسداد لسريان السائل النخاعي بين البطينات والمنطقة تحت النخاعية. تم وضع نظرية تتضمن أن هذا يحدث نتيجة اضطراب وظيفي من الحبيبات العنبكوتية (تسمى أيضاً حبيبات باتشيوني)، والتي تقع على طول الجيب السهمي العلوي الذي هو مكان إعادة امتصاص السائل النخاعي مرة أخرى في الجهاز الوريدي. العديد من الأحداث العصبية يمكن أن تتسبب في استسقاء الرأس المتصل، بما في ذلك النزيف في المنطقة تحت العنكبوتية أو النزيف داخل بطينات الدماغ، التهاب السحايا وغياب الزغب العنكبوتية منذ الولادة. تندّب وتليّف المنطقة تحت العنكبوتية الذي يتبع الالتهابات، الأمراض المعدية، أو الأحداث التي يحدث بها نزيف يمكن أن تؤدي أيضاً إلى منع امتصاص السائل النخاعي، مؤدية إلى توسع شامل في كل البطينات.
- استسقاء الرأس سوي الضغط هو شكل معين من استسقاء الرأس الموصول، يتميز بتضخم بطينات الدماغ، مع ارتفاع ضغط السائل النخاعي بشكل متقطع. يمكن تشخيص استسقاء الرأس ذو الضغط الطبيعي فقط في الاستمرار بأخذ القياسات للضغط داخل البطينات بشكل مستمر (لمدة 24 ساعة أو أكثر)، كون القياسات اللحظية في معظم الأحيان تعطي قيماً طبيعية. قد تكون الدراسات الديناميكية مفيدة أيضاً، التغير في مرونة جدار البطينات، وأيضاً زيادة لزوجة السائل النخاعي، قد تلعب دور في التسبب في استسقاء الرأس ذو الضغط الطبيعي.
- استسقاء الرأس ex vacuo يشير إلى التضخم في نظام البطينات والمنطقة تحت العنكبوتية. وهو بالعادة يحدث نتيجة لضمور الدماغ (كما يحدث في حالات الخرف), بعد إصابات الدماغ نتجية اضربات وأيضاً في بعض الأمراض النفسية، مثل الفصام. على العكس من استسقاء الرأس، فإن هذا يحدث نتيجة توسع مناطق تواجد السائل النخاعي تعويضاً لما تم فقدانه من نسيج الدماغ – وليس نتيجة لازدياد ضغط السائل النخاعي.
غير المتصل
استسقاء الرأس غير المتصل، أو استسقاء الرأس المسدود، يحدث نتيجة انسداد في سريان السائل النخاعي.
- الانسداد في فتحة مونرو يمكن أن يؤدي إلى توسع بطين واحد أو (إذا كان الانسداد كبيراً كفاية (مثلاً في الكيس الغرواني))، توسع في كلا البطينين الجانبيين.
- قناة سلفيوس، طبيعياً تكون ضيقة، ويمكن أن تنسد نتيجة لعدد من الإصابات التي يمكن أن تكون نتيجة عوامل جينية أو مكتسبة (مثل الرتق، التهاب البطانة العصبية، نزيف، ورم) مؤدية إلى اتساع كلا البطينين الجانبيين وأيضاً البطين الرابع.
- الانسداد في البطين الرابع سيؤدي إلى توسع قناة سلفيوس وأيضاً كلا البطينين الجانبيين والبطين الرابع (مثال تشه كياري).
- فتحة لوشكا وفتحة ماجندي يمكن أن يحدث بهما انسداد نتيجة فصل خلقي في فتحهما (مثلاً، تشوه داندي ولكر).
الأسباب
بتفصيل أكثر; يفرز السائل الدماغي الشوكي من الضفيرة المشيمية (Choroid plexus) الموجودة في الجزء الداخلي من البطين الجانبي وسطح البطين الثالث و الرابع، ويأخذ السائل دورته داخل الدماغ من البطين الثالث ثم البطين الرابع ومن خلال ثقبي لوشكا وماجندي (Lusaka & Magandi) إلى المنطقة تحت العنكبوتية (Subarachroid)، حيث يمتص عن طريق الحبيبات والزغيبات العنكبوتية. تبلغ كمية السائل الدماغي الشوكي في الكبار 135 مليمتر، ويبلغ الإنتاج اليومي نصف لتر، ويكون الضغط العام للسائل 100 ملليمتر من الماء. في حال انغلاق الطريق الذي يسلكه السائل، فإن المنطقة السابقة للانغلاق سوف تتوسع ويكبر حجمها، مما يضغط على الدماغ والألياف العصبية. وقد يحدث هذا الانغلاق لأسباب خلقية أو أسباب مكتسبة [5]
أسباب خلقية
وفي هذه الحالات تظهر الأعراض فورًا بعد الولادة كما في حالات السنسنة المشقوقة (الصلب المشقوق) حيث يحدث خلل في تخليق الجهاز العصبي وفقرات العمود الفقري مما يسبب وجود فتحة في عظام العمود الفقري يخرج منها الحبل الشوكي خارج الجسم. وغالباً يكون هناك تحرك للحبل الشوكي إلى أسفل مكانه الطبيعي، ومن ثم يتحرك المخ والمخيخ إلى الأسفل كذلك، وهكذا ينغلق ثقبي لوشاكا وماجندي (Luska & Magandi) وبنغلق طريق السائل الدماغي الشوكي ويتراكم داخل بطينات المخ فتتسع وتضغط على نسيج المخ المحيط بها، ويتم علاج هذه الحالة بإجراء عملية جراحية توصيلية تسمى القسطرة الدماغية (Shunt) تقوم بنقل السائل المتراكم من داخل البطينات.
وأيضًا كما في حالة متلازمة داندي ووكر و هو عيب خلقي نادر. يصيب الدماغ، ويسبب عدم اكتمال تكوّن منطقة المخيخ والبطين الرابع. مما يسبب توسع البطين الرابع وضغطه على نسيج المخ المحيط به.
أسباب مكتسبة
كما في حالات التهابات المخ والأغشية المحيطة به (التهاب السحايا) أو حالات أورام المخ أو نتيجة إصابة بالرأس . وفي هذه الحالة تظهر الأعراض على شخص طبيعي لم يكن يعاني من أي اختلال في تكوين الجهاز البطيني أو المخ، وذلك في أي مرحلة عمرية.
الآلية
يحدث استسقاء الرأس في العادة نتيجة للانسداد في جريان السائل النخاعي في المنطقة تحت العنكبوتية على سطح الدماغ. عند الأشخاص الذين لا يعانون من استسقاء الرأس، يدور السائل النخاعي بشكل مستمرمن خلال الدماغ، البطينات والحبل الشوكي، ويذهب بشكل مستمل إلى جهاز الدوران. أيضاً يمكن أن يحدث استسقاء الرأس نتيجة لفرط في إنتاج السائل النخاعي، تشوه خلقي يسد جريان السائل النخاعي إلى الدورة الدموية، أو من مضاعفات صدمات الرأس أو الالتهابات.[6]
تراكم السوائل يمكن أن يحدث ضغطاً على الدماغ مما قد يؤدي إلى أعراض عصبية مثل التشجنجات، إعاقة ذهنية ونوبات صرع. هذة العلامات تظهر على نحو مبكر عند الكبار لأن جمجمتهم لا يمكنها التوسع لاستيعاب الحجم الزائد للسائل النخاعي. في الأجنة والرضع والأطفال الصغار الذين يعانون من استسقاء الرأس، سيحدث عندهم توسع وانتفاخات في رأسهم دون تأثر عظام الوجه، وذلك لأن عظام الجمجمة لم تلتحم مع بعضها بعد. هناك علامة أخرى تحدث عند الأطفال وهي ثبات النظرة التحتية مع بياض العين الذي يظهر فوق القزحي، على الرغم من أن الأطفال كانو يحاولون فحص الجفن السفلي الخاص بهم.[7]

قد يتسبب الضغط المرتفع داخل القحف الدماغي إلى الضغط على الدماغ، مما يؤدي إلى تلف في نسيج الدماغ ومضاعفات أخرى. الأمثلة بين الأشخاص المتضررين تختلف على نطاق واسع.
إذا كانت الفتحة في البطين الرابع أو القناة الدماغية قد أغلقت، فإن السائل النخاعي سيتراكم في البطينات. تسمى هذه الحالة استسقاء الرأس الداخلي ويسبب هذا ارتفاعاً في ضغط السائل النخاعي. انتاج السائل النخاعي سيستمر، حتى لو كان هناك إغلاق في امتصاص السائل النخاعي إلى الدورة الدموية خارج الدماغ. وبالتالي، السائل النخاعي سيتراكم داخل الدماغ، مسبباً بذلك توسع البطينات الدماغية وضغط على النسيج العصبي. عادة يؤدي الضغط على النسيج العصبي إلى تلف لا يمكن استرجاعه. إذا لم تكن عظام الجمجمة قد أكملت تحجرها والتحامها أثناء حدوث استسقاء الرأس، فإن توسع الرأس بشكل كبير سينتج من ارتفاع الضغط أيضاً. القناة الدماغية يمكن أن تكون مسدودة عند وقت الولادة أو تنسد في وقت لاحق في الحياة بسبب نمو ورم في جذع الدماغ.
استسقاء الرأس الداخلي يمكن أن يتم علاجه بطريقة ناجحة من خلال عمل توصيلة بين بطينات الدماغ وتجويف البطن لإزالة الضغط العالي داخل القحف الدماغي. هناك خطر من الإصابة بالعدوى نتيجة لإدخال هذه التوصيلة إلى الدماغ، ومع ذلك، هذه التوصيلات يجب أن يتم استبدالها مع نمو الشخص. إذا حدث نزيف في المنطقة تحت العنكبوتية يمكن أن ينتج عنه انسداد في عودة السائل النخاعي إلى الدورة الدموية.
يجب التمييز بين النوع السابق واستسقاء الرأس الخارجي. هذا النوع (الخارجي) يحدث عادة عند الأطفال الرضع ويشمل توسع مساحات السوائل أو المنطقة تحت العنكبوتية حول خارج الدماغ. في العادة يكون هذا النوع حميداً ويشفى من تلقاء نفسه في حلول العامين من عمر الطفل.[8] يمكن للدراسات التصويرية والمعرفة الجيدة بالتاريخ الطبي التميز بين استسقاء الرأس الخارجي عن النزيف في المنطقة تحت العنكبوتية أو الأعراض المزمنة نتيجة تراكم السوائل والتي يرافقها الاستفراغ والصداع والتشنجات.
معدلات الحدوث
يصيب استسقاء الدماغ طفلاً من كل 500 مولود مما يجعل ذلك المرض أحد أكثر الأمراض المسببة للإعاقة شيوعًا في حالة عدم معالجته.[4]
العلامات والأعراض

_(14786054323).jpg.webp)
.jpg.webp)
المظاهر السريرية لاستسقاء الرأس تختلف مع اختلاف مدة الإصابة. التوسع الحاد في بطينات الدماغ من المرجح أن يظهر مع علامات وأعراض غير خاصة لزيادة الضغط داخل القحف الدماغي. على العكس من التوسع المزمن (خاصة في كبار العمر) فإنه من الممكن أن يحمل مظاهرغادرة في البداية، على سبيل المثال، ثلاثي حكيم (ثلاثي آدم).
أعراض زيادة الضغط داخل القخف الدماغي قد تشمل الصداع، الاستفراغ، الغثيان، وذمة الحليمة، النعاس أو الغيبوبة. ارتفاع الضغط داخل القحف الدماغي قد يؤدي إلى فتق في أجزاء من الدماغ، وهذا يولد ضغطاً على جذع الدماغ والذي من الممكن أن يهدد الحياة. ثلاثي حكيم يتكون من اختلال في المشية، التبول اللاإرادي والخرف هي مظاهر خاصة لنوع مميز من استسقاء الرأس يسمى باستسقاء الرأس ذو الضغط الطبيعي. قد يحدث عجز عصبي موضعي أيضاً, مثل شلل في العصب الدماغي المبعد وشلل بالقدرة على النظر بشكل عمودي (متلازمة بارنويد بسبب الضغط على اللوحة الرباعية حيث توجد المراكز العصبية التي تنسق ترافق الحركة العمودية في كلتا العينين). الأعراض تعتمد على سبب الانسداد، عمر الشخص، وكمية الانسجة الدماغية التي تضررت نتيجة التورم.
في الأطفال الذين يعانون من استسقاء الرأس، السائل النخاعي يتراكم في الجهاز العصبي المركزي مما يتسبب في انتفاخ اليافوخ (بقعة لينة)، والرأس يصبح حجمه أكبر مما هو متوقع. ومن الأعراض التي يمكن أن تظهر في وقت مبكر:
- العيون المحدقة للأسفل
- التهيج
- التشنجات
- انفصال عظام الجمجمة عن بعضها
- النعاس
- الاستفراغ
الأعراض التي يمكن أن تحدث في الاطفال الأكبر سناً تشمل:
- بكاء عالي وشديد النبرة.
- تغيرات في الشخصية، الذاكرة، أو القدرة على التفكير.
- تغيرات في مظهر الرأس وتباعد العينين.
- عيون مغمضة أو حركات لاإراية في العينين.
- صعوبة في التغذية.
- النوم المفرط.
- الصداع.
- التهيج، ضعف السيطرة على الأعصاب.
- فقدان السيطرة على التبول (تبول لاإرادي).
- فقدان التناسق وصعوبة في المشي.
- تشنج في العضلات.
- تباطئ النمو (الأطفال 0-5 سنوات).
- حركة بطيئة أو مقيدة.
- الاستفراغ.[9]
بما أن استسقاء الدماغ يمكن أن يؤدي إلى أضرار في الدماغ، فإن التفكير والتصرفات يمكن أن تتأثر بصورة سلبية. صعوبات التعلم ومنها فقدان الذاكرة على المدى القصير هي أحد الأعراض الشائعة عند مرضى استسقاء الرأس، الذين يميلون إلى تسجيل درجات ذكاء لفظي أعلى من درجات الذكاء الأدائي، مما يمكن أن يعكس توزيع الأعصاب المتلفة في الدماغ. إلا أن مدى التضرر لدى المصابين يختلف اختلافاً كبيراً، فبعضهم ذوو ذكاء متوسط وبعضهم فوق المتوسط. يمكن أن يعاني بعض المرضى من مشاكل في الحركة أو الرؤية، مشاكل في التنسيق، أو يمكن أن يكون الشخص المصاب أخرقاً. يمكن أن يصل المصاب باستسقاء الرأس سن البلوغ في وقت أبكر من الأشخاص غير المصابين. ربع المصابين باستسقاء الرأس يصابون بالصرع.
التشخيص

يعتمد التشخيص على التاريخ المرضي والفحص السريري، ومعرفة الحالة المصاحبة، بالإضافة إلى بعض الفحوصات الإشعاعية مثل :
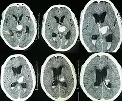
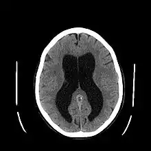
- الأشعة المقطعية : وتعطي صور واضحة عن الحالة ومكان الانسداد.
- الأشعة فوق الصوتية : وتعطي صورة عن تطور حجم البطين وتستخدم في المتابعة.
- مقياس الضغط داخل الجهاز البطيني للمخ.
- وقد يحتاج المريض إلى اختبار بزل للسائل الدماغي الشوكي للتأكد من تشخيص التهاب للسحايا والتعرف على نوعه.[10]
العلاج

.jpg.webp)
- في حالات وجود انسداد في طريق الدورة الطبيعية للسائل، فإن إيجاد مخرج لهذا السائل مهم جداً، وحيث أنه لا يمكن التدخل لعلاج الانسداد الموجود، فإن إيجاد مخرج آخر لتقليل الضغط داخل الدماغ مهم، حيث يقوم جراح الأعصاب بعمل توصيل بين بطينات المخ وتجويف القلب أو تجويف البطن لتصريف السائل فيما يعرف بالتَحْويلة الدماغِية (Cerebral shunt).[11]
يقوم الجراح بإدخال أنبوبة في البطين الجانبي، وتخرج من عظمة الجمجمة، وهناك يمكن وضع صمام للتحكم في كمية السائل المتحرك معتمداً على توازن الضغط داخل البطين، ومن هذا الصمام وتحت الجلد تكون هناك أنبوبة متصلة عبر الرقبة والصدر لتنتهي في البطن، حيث يصل السائل الدماغي الشوكي الزائد ويمتص من خلال الغشاء البريتوني، عادة تكون الأنبوبة الموصلة طويلة لكي لا يُضطر إلى تغيير الأنبوبة مع نمو الطفل.
- و هناك علاج آخر لأنواع معينة من استسقاء المخ الناجم عن انسداد الثقوب بين البطينات، وهو يعتمد على ثقب قاعدة البطين الثالث لتصريف السائل، وتتم العملية باستخدام منظار داخلي. يطلق على هذا العلاج اسم "الافتغار بالمنظار الداخلي" لقاعدة البطين الثالث (Endoscopic neostomy).[5]
- أما في حالات استسقاء الدماغ لوجود أسباب مكتسبة كالأورام والالتهابات فلابد من علاج السبب لحل مشكلة استسقاء الدماغ.[10]
مشاكل الجراحة
عادة تقوم التحويلة بعملها خير قيام ولا يؤثر أنبوب التحويلة على انشطة الطفل المعتادة، وهو لا يتضرر بالعادة عند وقوع الطفل أو تعرضه للإصابة [5]، ولكن هناك مشاكل يجب الانتباه لها وطلب استشارة الطبيب فورًا في حالة وقوعها مثل:[11]
- الانسداد : لأي سبب مما يستدعي تغييرها
- الالتهابات : تظهر على شكل ارتفاع درجة حرارة الطفل والقيء و الصداع وتورم مكان القسطرة مما يستدعي إلى العلاج المركز وقد يحتاج الأمر إلى إزالة القسطرة خلال مدة العلاج ثم تركيبها مرة أخرى.
- اختلال عمل القسطرة كزيادة تصريف السائل أو نقص تصريف السائل.
كان أول ظهور لتلك العملية عام 1960 م ورغم أن تلك الطريقة لم تتطور كثيرا منذ ظهورها إلا أنها ساعدت العديد من المصابي على ممارسة حياتهم بشكل طبيعي، حيث تناقص عدد الوفيات بسبب استسقاء الدماغ من 54% من الحالات إلى فقط 5 % خلال ربع القرن الماضي كما انخفضت الإعاقات الذهنية من 62% إلى 30 %.[4]
تاريخياً

تشير المراجع إلى أن الجماجم المصابة باستسقاء الرأس يمكن العثور عليها في الأديبيات الطبية المصرية القديمة من 2500 قبل الميلاد و 500 بعد الميلاد.[12] وقد تم وصف استسقاء الرأس بشكل أكثر وضوحاً من قبل الطبيب اليوناني القديم هيبوقراطس قي القرن الرابع قبل الميلاد، في حين أن وصفاً أكثر دقة في وقت لاحق قدم من قبل الطبيب الروماني جاين في القرن الثاني بعد الميلاد.[12]
أول وصف سريري لإجراء العملية لاستسقاء الرأس كانت في 1000 بعد الميلاد في التصريف من قبل العالم العربي، أبو القاسم، الذي وصف بدقة كيفية تفريغ السائل النخاعي من داخل الدماغ في الأطفال الذين يعانون من استسقاء الرأس.[12] ووصف ذلك في الفصل الذي يتحدث عن الأمراض الخاصة بجراحة الأعصاب، ويصف فيه أن استسقاء الرأس عند الأطفال ناجم عن الضغط الميكانيكي. كتب:[12]

في عام 1881, وبعد عدة سنين من الدراسة التاريخية لـ ريتزس وكيه، كارل فيرينك صنع ثقب في البطين وتصريفاً خارجياً للسائل النخاعي لعلاج استسقاء الرأس.[12] وبقي استسقاء الرأس مرض مستعصي إلى أن تطورت الوصلات والطرق المستعملة في جراحة الأعصاب في القرن العشرين.
هذه الحالة هي حالة طبية قليلة الشهرة، وليس لها إلا عدد قليل نسبياً من الأبحاث لتحسين العلاج، وفي الوقت الراهن لا يوجد شفاء لها. في الدول النامية، المرض يمضي دون علاج عند الولادة. من الصعب تشخيص استسقاء الرأس قبل الولادة، وليس هناك وصول للرعاية الطبية للطفل قبل الولادة. ولكن، عندما يكون انتفاخ الرأس واضحاً, يتم اخضاع الطفل لعلاج مكثف. في ذلك الوقت، يكون نسيج المخ غير متطول والجراحة تكون نادرة الحصول وصعبة كذلك. في معظم الأحيان يعيش الأطفال مع دماغ غير متطور بالكامل حتى مع ما ينتج عند ذلك من إعاقات ذهنية.
المجتمع والثقافة
الحملات التوعوية

عُيِّن شهر تسعة من كل عام على أنه الشهر العالمي للتوعية لمرض استسقاء الرأس في شهر سبعة من العام 2009 من قبل الكونغرس الأمريكي في هـ ر373. يرجع قرار هذه الحملة لتأييد عمل مؤسسة استسقاء الرأس الخاصة بطب الأطفال، قبل شهر سبعة من عام 2009, لم يكن هناك شهر توعوي خاص لمرض استسقاء الرأس. العديد من المنظمات الخاصة باستسقاء الرأس في الولايات المتحدة استخدمت تصاميم مختلفة من الشرائط كجزء من نشاطاتهم التوعوية والمالية. أيلول كان مختاراً للتوعية عن الاستسقاء الدماغي .التوعية في شهر تموز،2009 بواسطة الكونغرس الأمريكي. إقرار الحملة لتكون جزءاً من العمل الداعم لمؤسسة الاستسقاء الدماغي للأطفال، قبل تموز2009 كان لا يوجد هناك شهر توعوي لهذه الحالات. الهدف من منظمات الاستسقاء الدماغي في الولايات المتحدة هو استخدم العديد من تصاميم الربطات كجزء من التوعية وجمع التبرعات.
حالة استثنائية
إحدى الحالات المثيرة للاهتمام لمرضى اسستقاء الرأس كانت لرجل تقلص دماغه لورقة رقيقة من النسيج، وذلك بسبب تراكم السائل النخامي في جمجمته. أثناء طفولته أجربت له عملية وركبت له توصيلة، ولكن في سن الـ 14 تم إزالة هذه التوصيلة. في شهر 7 من عام 2007, في عمر 44 عام، ذهب إلى المشفى وذلك بعد شعوره بضعف خفيف في قدمه اليسرى.عندما علم الأطباء بالتاريخ المرضي له، أجروا له صورة مقطعية محوسبة (صورة رنين مغناطيسي), واندهشو لرؤية تضخم هائل للبطينين الجانبيين في الجمجمة. قال دكتور ليونيل فيولت في مستشفى دي لا نيمون في مارسيلا "هذه الصور كانت الأكثر غرابة ... لم يكن يظهر الدماغ فيها".[13] اختبارات الذكاء أظهرت أن معدل ذكاء الرجل كان 75, أقل من متوسط الدرجة الذي هو 100. يمكن اعتبار هذه القيمة على أنها "الحد الفاصل للنشاط الفكري الذهني", أعلى بقليل مما يمكن اعتباره رسمياً خللاً عقلياً. كان المريض متزوجاً وأباً لطفليين، ويعمل كموظف مدني، ويعيش حياة طبيعية، على الرغم من أن البطينات الخاصة به متضخمة وحجم الدماغ عنده قليل كما قال الدكتور ماكس، والذي هو أخصائي في خلل الدماغ عند الأطفال في مؤسسة الأبحاث العالمية للجينوم البشري, "إن الذي وجدته مدهشاً هو كيف أن الدماغ يستطيع التعامل مع شيء أنت تتصور أنه لا يمكن العيش معه". "إذا حصل شيء معين ببطئ شديد في مدة زمنية طويلة، قد تصل إلى عدة عقود، الأجزاء المختلفة من الدماغ ستقوم بعمل الوظائف التي من الطبيعي أن يقوم بعملها الأجزاء التي تم الضغط عليها ووضعها جانبا".[14][15][16]
حالات شهيرة
وُلِد شيرمان أليكسي (Sherman Alexie) المخرج وكاتب السيناريو الأمريكي مصابًا باستسقاء الدماغ وتم علاجه، كتب عن ذلك بسيرته الذاتية في رواية الأطفال اليوميات الحقيقية تماماً لهنديّ بدوام جزئيّ.[17]
روابط خارجية
انظر أيضًا
مصادر
- قاموس المورد، البعلبكي، بيروت، لبنان.
- قاموس المعاني، تاريخ الولوج 19 مايو 2015 نسخة محفوظة 20 نوفمبر 2017 على موقع واي باك مشين.
- Yadav YR, Mukerji G, Shenoy R, Basoor A, Jain G, Nelson A (2007). "Endoscopic management of hypertensive intraventricular haemorrhage with obstructive hydrocephalus". BMC Neurol. 7: 1. doi:10.1186/1471-2377-7-1. PMC 1780056. PMID 17204141. مؤرشف من الأصل في 06 نوفمبر 2015. الوسيط
|CitationClass=تم تجاهله (مساعدة)صيانة CS1: أسماء متعددة: قائمة المؤلفون (link) - "الجراحة ... العلاج الأمثل للاستسقاء الدماغي !". alriyadh.com. مؤرشف من الأصل في 23 يوليو 2018. اطلع عليه بتاريخ 04 مارس 2016. الوسيط
|CitationClass=تم تجاهله (مساعدة); تحقق من التاريخ في:|تاريخ الوصول=(مساعدة) - "استسقاء دماغي, موه الراس". webteb.com. مؤرشف من الأصل في 7 مايو 2019. اطلع عليه بتاريخ 04 مارس 2016. الوسيط
|CitationClass=تم تجاهله (مساعدة); تحقق من التاريخ في:|تاريخ الوصول=(مساعدة) - "Hydrocephalus Fact Sheet", National Institute of Neurological Disorders and Stroke. (August 2005). نسخة محفوظة 06 ديسمبر 2016 على موقع واي باك مشين.
- Cabot, Richard C. (1919) Physical diagnosis , William Wood and company, New York, 7th edition, 527 pages, page 5. (Google Books)
- Greenberg, Mark S (2010-02-15). "Handbook of Neurosurgery". ISBN 9781604063264. مؤرشف من الأصل في 27 أبريل 2020. الوسيط
|CitationClass=تم تجاهله (مساعدة); Cite journal requires|journal=(مساعدة) - Updated by: Neil K. Kaneshiro, MD, MHA, Clinical Assistant Professor of Pediatrics, University of Washington School of Medicine. Also reviewed David Zieve, MD, MHA, Bethanne Black, and the A.D.A.M. Editorial team. "Hydrocephalus". nih.gov. مؤرشف من الأصل في 5 يوليو 2016. الوسيط
|CitationClass=تم تجاهله (مساعدة)صيانة CS1: أسماء متعددة: قائمة المؤلفون (link) - "استسقاء الدماغ". sahha.net. مؤرشف من الأصل في 17 سبتمبر 2017. اطلع عليه بتاريخ 04 مارس 2016. الوسيط
|CitationClass=تم تجاهله (مساعدة); تحقق من التاريخ في:|تاريخ الوصول=(مساعدة) - "ما هو علاج استسقاء الدماغ عند الأطفال". childclinic.net. مؤرشف من الأصل في 9 ديسمبر 2016. اطلع عليه بتاريخ 04 مارس 2016. الوسيط
|CitationClass=تم تجاهله (مساعدة); تحقق من التاريخ في:|تاريخ الوصول=(مساعدة) - Aschoff A, Kremer P, Hashemi B, Kunze S (October 1999). "The scientific history of hydrocephalus and its treatment". Neurosurgical Review. 22 (2–3): 67–93, discussion 94–5. doi:10.1007/s101430050035. PMID 10547004. الوسيط
|CitationClass=تم تجاهله (مساعدة)صيانة CS1: أسماء متعددة: قائمة المؤلفون (link) - "Man with Almost No Brain Has Led Normal Life", Fox News (2007-07-25). Also see "Man with tiny brain shocks doctors", NewScientist.com (2007-07-20); "Tiny Brain, Normal Life", ScienceDaily (2007-07-24). نسخة محفوظة 20 مايو 2013 على موقع واي باك مشين. [وصلة مكسورة]
- "Man Lives Normal Life Despite Having Abnormal Brain". The Globe and Mail. July 19, 2007. مؤرشف من الأصل في 28 أغسطس 2007. اطلع عليه بتاريخ 15 يوليو 2012. الوسيط
|CitationClass=تم تجاهله (مساعدة) - "Man with tiny brain shocks doctors". New Scientist and Reuters. 20 July 2007. مؤرشف من الأصل في 12 يوليو 2015. اطلع عليه بتاريخ 08 يونيو 2013. الوسيط
|CitationClass=تم تجاهله (مساعدة) - Feuillet, L; Dufour, H; Pelletier, J (Jul 21, 2007). "Brain of a white-collar worker". Lancet. 370 (9583): 262. doi:10.1016/S0140-6736(07)61127-1. PMID 17658396. الوسيط
|CitationClass=تم تجاهله (مساعدة) - "Man of many tribes". Star Tribune. مؤرشف من الأصل في 20 مايو 2013. اطلع عليه بتاريخ 29 يناير 2014. الوسيط
|CitationClass=تم تجاهله (مساعدة)
- بوابة طب
- بوابة علوم عصبية
