قائمة مصطلحات تشريح الأعصاب (طب)
تحاول هذه المقالة توفير تعريفات لعدد من المصطلحات التشريحية والتعاريف والمختصرات ذات الصلة لوصف الجهاز العصبي المركزي، وخاصة في البشر.
| جزء من سلسلة مقالات حول |
| مصطلحات تشريحية |
|---|
![]() |
|
الحركة • المواضع • العضلات • العظام • الأعصاب • الأسنان • الجنين • قائمة المصطلحات الطبية |
| بوابة تشريح |

التوضّع التشريحي
مقالة مفصلة: قائمة مصطلحات تشريح المواضع (طب)
لفهم المصطلحات المستخدمة للتوضّع التشريحي، افترض حيواناً له جهاز عصبي مركزي (CNS) منبسط مستقيم، مثل سمكة أو سحلية ؛ في مثل هذه الحيوانات تكون مصطلحات "منقاري"، "ذيلي"، "بطني" و "ظهري" تعني على التوالي "نحو المِنقار" ، "نحو الذيل"، "نحو البطن" و "نحو الظهر". لتوضيح كامل لهذه المصطلحات، انظر قائمة مصطلحات تشريح المواضع. لأغراض الوصف التشريحي المتعددة، تكون المواضع والاتجاهات منسوبة إلى المستويات و المحاور التشريحية القياسية. وتسمى الإشارة إلى المستويات والمحاور التشريحية بالنهج التَّوْضِيعِي التَّجْسِيمِيّ (بالإنجليزية: Stereotaxy) ، الذي هو أي أسلوب ينطوي على تسجيل وتصوير معلومات ثلاثية الأبعاد لمسية، أو خلق الوهم البصري لحاسة اللمس للإحساس بالعمق من خلال سطح مفلطح (الشاشة مثلاً).
أما في الإنسان و الرئيسيات الأخرى فيكون محور الجهاز العصبي المركزي (CNS) منحنيا وليس مستقيما، بينما الوجه (المِنْقار) لا يكون على استقامة واحدة مع الذيل في نهاية المحور المنقاري-الذيلي من الجسم. و من هنا، يتطلب الوضع البشري المنتصب إدخال تعديلات على شروط ومعاني الأوصاف التي تنطبق على معظم الفقاريات الحيوانية الأخرى، ولكن تلك التعديلات تكون ضرورية وأكبر عندما نأتي لوصف الجهاز العصبي المركزي. المستويات التي تحدد التموضع التشريحي لدماغ الإنسان مماثلة للمستويات التي تنطبق على الجسم ولكن مع وجود اختلافات رئيسية معينة تعكس التحوّر في أدمغة القردة العليا في تكيفها مع الحياة على قدمين. هناك بعض الرسوم التوضيحية المرفقة والشروحات لتوضيح ذلك. بشكل خاص، تحتاج مصطلحات المستويات والمحاور التشريحية التي تنطبق على الجهاز العصبي لمعظم الفقاريات إلى تعديل كبير لكي يمكن استخدامها في وصف الدماغ البشري. على سبيل المثال، بالنسبة إلى الدماغ البشري، المصطلح "منقاري" لا يزال يعني "نحو الوجه"، أو إلى داخل تجويف الجمجمة خلف الوجه. ومع ذلك، فإن مصطلح "الذيلي" في الدماغ لا يعني "نحو الذيل"، ولكن "نحو الجزء الخلفي من تجويف الجمجمة". هناك مصطلحات بديلة لمصطلح "المحور المنقاري-الذيلي" (بالإنجليزية: rostro-caudal axis) مثل "وسطي" أو "محور أمامي-خلفي" (بالإنجليزية: antero-posterior axis).
"ظهري" تشير إلى الاتجاه بعيدا عن الحبل الشوكي (النخاع الشوكي)، أي في اتجاه سقف تجويف الجمجمة. "بطني" تشير إلى الإتجاه للأسفل نحو الأرض من تجويف الجمجمة ومن ثم إلى الجسم. هناك ثلاثة محاور للدماغ:
- محور علوي-سفلي (بالإنجليزية: superior-inferior axis) أو قحفي-ذيلي (بالإنجليزية: cranio-caudal axis)
- محور ظهري-بطني (بالإنجليزية: Dorsoventral axis).
- محور يسار-يمين (بالإنجليزية: left-right axis) ، أو محور جانبي (بالإنجليزية: lateral axis) ، وهو يمر عبر الأذنين.
هذه المحاور الثلاثة للدماغ البشري تطابق المستويات الثلاثة التي تقع فيها تلك المحاور، حتي أن أسماء المستويات لم تتغير بالنسبة لأسماء مستويات الجسم. المستويات الأكثر شيوعا واستخداما كمراجع هي:
- المستوى المحوري (بالإنجليزية: Axial)، هو المستوى الأفقي الموازي لمستوى محور الجسم في الوضع التشريحي القياسي. وهو يحتوي على المحور الجانبي (بالإنجليزية: lateral) والمحور الوسطي (بالإنجليزية: medial) من الدماغ.
- المستوى الإكليلي (بالإنجليزية: Coronal)، هو مستوىً رأسيّ يمُر عبر كلتا الأذنين، ويحتوي على المحور الجانبي (بالإنجليزية: lateral) و المحور الظهري-البطني (بالإنجليزية: dorsoventral).
- المستوى السهمي (بالإنجليزية: Sagittal)، هو مستوىً رأسيّ يمُر بين فتحتي الأنف، وبين نصفي الكرة الدماغية، ويقسم الدماغ إلى نصفين : النصف الأيسر والنصف الأيمن، ويحتوي على المحور الوسطي (بالإنجليزية: medial) و المحور الظهري-البطني (بالإنجليزية: dorsoventral) للدماغ. المستوى المجاور للسهمي (بالإنجليزية: parasagittal plane) هو أي مستويً موازٍ للمستوى السهمي.

أسماء المناطق المبينة بالأرقام كما يلي:
1) القطب الجبهي ( Polus frontalis)
2) القطب القذالي ( Polus occipitalis )
3) الشق الطولاني للمخ ( Fissura longitudinalis cerebri)
4) التلفيف الجبهي العلوي ( Gyrus frontalis superior)
5) التلفيف الجبهي الوسطي ( Gyrus frontalis medius)
6) التلفيف الجبهي السفلي ( Gyrus frontalis inferior)
7) الثلم الجبهي العلوي ( Sulcus frontalis superior)
8) الثلم الجبهي السفلي ( Sulcus frontalis inferior)
9) الثلم أمام المركزي ( Sulcus praecentralis)
10) التلم المركزي ( Sulcus centralis)
11) الثلم خلف المركزي ( Sulcus postcentralis)
12) الثلم داخل الفص الجداري ( Sulcus intraparietalis)
13) الثلم الوحشي (شق سلفيوس) ( Sulcus lateralis (Fissura Sylvii))
14) التلفيف أمام المركزي ( Gyrus praecentralis)
15) التلفيف خلف المركزي ( Gyrus postcentralis)
16) الفصيص الجداري العلوي ( Lobulus parietalis superior)
17) الفصيص الجداري السفلي ( Lobulus parietalis inferior)
18) الفص القذالي ( Lobus occipitalis)
19) التلفيف الصدغي العلوي ( Gyrus temporalis superior)
20) التلفيف فوق الهامشي (؟) ( Gyrus supramarginalis)
الفص الجبهي (Frontal lobe)
الفص الصدغي (Temporal lobe)
الفص الجداري (Parietal lobe)
الفص القذالي (Occipital lobe)
الفص الحوفي (Limbic lobe)
الجَزيرَة (Insula)
حرف A

ثلاثة محاور:
- d: Axial, Superior-inferior or Dorsoventral axis (yellow)
- l: Left-right, or Lateral axis (cyan, blue-green)
- m: Medial, Antero-posterior or Rostral-to-caudal axis (magenta)
- a: Axial, Transverse or Horizontal plane (blue), containing the lateral axis and also the Medial axis
- c: Coronal plane (green), containing the axial axis and the lateral axis
- s: Sagittal plane (red), containing the axial axis and the medial axis
- e: The eye at the anterior end of the brain
- p: A Parasagittal plane (yellow) through one eye; parasagittal planes comprise the class of planes parallel to (and therefore lateral to) the sagittal plane.
الصوار الأمامي (بالإنجليزية: Anterior commissure) أو AC
عصب وارد (بالإنجليزية: Afferent)
- العصب الوارد الليفي هو أحد الألياف التي تنشأ عند نقطة ما. على سبيل المثال العصب الوارد المخطّط (بالإنجليزية: striatal afferent) هو عصب وارد ناشئ في الجسم المخطط (أو النواة المخططية). انظر (Efferent).
تشريح (بالإنجليزية: Anatomy)
- التشريح هو دراسة الجسم، حيث يتم تحديد المناطق في الكائن الحي التي سيتم اعتبارها "أجزاء" ذلك الجسم. الاسم الإنجليزى (باللاتينية: Anatomy) و اللفظ اللاتينى (باللاتينية: anatomia) بمعنى تشريح، ومن اليونانية القديمة (الإغريقية) anatome، حيث ana تعني "لأعلى up"، و temnein تعني "أن يقطع to cut".
الوضع التشريحي (بالإنجليزية: Anatomical Position)
- هو المرجعية القياسية للجسم في علم التشريح أي الوضع المتفق عليه للجسم بحيث يتم وصف الأجزاء نسبةً لهذا الوضع، وهو أن يكون جسم الإنسان واقفاً منتصباً، يواجه المراقِب والذراعين على الجانبين، وتكون راحة اليدان مواجهتان إلى الأمام.

1) المستوى السهمي (sagittal plane)، أو المستوى الطولي (longitudinal plane).
2) المستوى الإكليلي (coronal plane)، أو المستوى الجبهي (frontal plane).
3) المستوى المستعرض (transverse plane)، أو المقطع العرضي (cross-section).
- يلتوي المحور الأحمر جراء انثناء الرأس إلى الأمام في البشر ، فتكون الإتجاهات كما هى مبينة على الرسم باللون الأحمر:
- c: ذيلي
- r: منقاري
- تُظهر المحاور الصفراء العُرف المعمول به لتسمية الاتجاهات في ذات الدماغ (المخ):
- c: ذيلي(ولكن ليس في اتجاه الذيل),
- d: ظهري
- r: منقاري(لا يوجد تغيير)
- v: بطني(ولكن ليس في اتجاه البطن)
تلفيف رابط (بالإنجليزية: Annectent Gyrus)
أمامي (بالإنجليزية: Anterior)
- الجزء الأمامي من الجسم، أو لأحد أعضاء الجسم.
المستوى المحوري (بالإنجليزية: Axial plane)
- هو المستوى المتعامد على المحور العلوي-السفلي، ويُسمّى أيضا المستوى المستعرض (بالإنجليزية: Transverse plane) أو المستوى الأفقي (بالإنجليزية: Horizontal plane). في الدماغ البشرية، وعلى النقيض من السحالي، يشمل المستوى المحوري المحور الأيسر-الأيمن، و المحور المنقاري-الذيلي (المحور بين الجزء الخلفي من الرأس والوجه).
حرف C
ثلم مهمازي CalcS
- الثلم المهمازي (بالإنجليزية: Calcarine Sulcus) ، يمتد من قذالي الدماغ إلى الشق القذالي.
- تأتي تسميته من (المهماز) و هو السيخ الذي تُنعر به الدّابة أثناء المشي. باللاتينية (calcar) تُعني: مِهْماز.
- يشكل مع الجداري القفوي شكل V.
- تنتهي فيه السيالة البصرية (انطباع الصور المنقولة من كرة العين يكون على سفتي وعمق الثلم المهمازي).
الثلم المهمازي مُبيّن باللون الأحمر.
ذيلي (بالإنجليزية: Caudal)
- في الإتجاه نحو الذيل أو الأقرب إلى الذيل.
جسم ثفني (بالإنجليزية: Corpus Callosum) أو CC
- الجسم الثفني أو الصوار (بالإنجليزية: Corpus Callosum) ، و يُعرف أيضاً باسم "المُقْرِن الأعظم" ، هو حزمة مسطحة واسعة بيضاء اللون، تمتد عدة سنتيمترات من الأمام إلى الخلف، وهو أكبر هيكل من المادة البيضاء في الدماغ، ويتكون من ملايين الألياف العصبية التي تربط بين النصفين الكرويين في الدماغ حيث تنتقل المعلومات بينهما على هيئة إشارات كهربائية.

تَصالُبَة (بالإنجليزية: Chiasm)
- التصالب (بالإنجليزية: Chiasm) أو Chiasma ، ويتقارب معها مصطلح التقاطع (بالإنجليزية: decussation) ، هو مَعبر على شكل X من الألياف العصبية بين نصفي الكرة المخية. أكبر مثال في الدماغ البشري هو التصالب البصري (بالإنجليزية: Optic chiasm). والفرق الرئيسي بين هذا التصالب والتقاطع هو أن ليس كل الألياف العصبية التي تدخل في تصالبة تعبر إلى الجهة الأخرى، بينما في التقاطع ينبغي أن يكون هناك معبر كامل بمعنى أن يتخطى ويعبر إلى الجهة الأخرى. انظر أيضاً : التصالبة البصرية (بالإنجليزية: Optic chiasm) في هذه المقالة.
ثلم حزامي CingS
- الثلم الحزامي (بالإنجليزية: Cingulate Sulcus) ، يوازي أقسام الجسم الثفني (يكون بشكل حرف S) أي بشكل حزام حول الجسم الثفني.[1] و هو ثلـم ناشئ عـلى السطـح الأوسـط باتجـاه الخلف بموازاة الجسـم الثقفي الـذي هـو عبـارة عـن أليـاف تربط كـرتي المخ بعضها ببعـض وتوجد أسفله منطقة والانفعال.[2]

صوار (بالإنجليزية: Commissure)
- هو مجموعة من الألياف العصبية التي تجتاز المستوى السهمي وموازية للمحور الجانبي، وبالتالي لا تكوّن شكل الصليب. قارن هذا مع التصالب (بالإنجليزية: Chiasm) أو التقاطع (بالإنجليزية: decussation)، حيث لا تكون بداية ونهاية كل حزمة على نفس المحور الأفقي، بل تعبر كل حزمتين اثنتين عبر بعضها البعض بشكل مائل. في دماغ الوحشيات الحقيقية تعبُر الألياف العصبية عبر الشق الطولي الوسطي (بالإنجليزية: Medial longitudinal fissure)، الذي يكوّن أَصْوِرَةُ بين نصفي الكرة المخية: هي الصوار الأمامي (بالإنجليزية: anterior commissure)، الصوار الخلفي (بالإنجليزية: posterior commissure)، الجسم الثفني (بالإنجليزية: corpus callosum)، صوار الحصين (صوار القبو) (بالإنجليزية: hippocampal commissure)، و الصوار العناني (بالإنجليزية: habenular commissure). يحتوي النخاع الشوكي أيضا على صوار هو: الصوار الأبيض الأمامي (بالإنجليزية: anterior white commissure).

الجانب المقابل (بالإنجليزية: Contralateral)
- أي الموضع المقابل على الجانب الإنسي (الجانبيّ) للمستوى السهمي، أي يميناً بدلاً من اليسار أو يساراً بدلاً من اليمين، كما هو الحال مثلاً عند وجود عدوى في أحد اللوزتين ثم تمتد العدوى إلى اللوزة المقابلة (على الجانب المقابل).
- الجزء المقابل قد يُشير أيضا إلى الجانب الآخر وظيفياً، كما هو الحال مثلاً عند وجود إصابة في إحدى جانبيّ الرأس تُنتج شللاً أو تشنجات على الجانب المقابل للجسم.
- انظر أيضا "بنفس الجانب" (بالإنجليزية: ipsilateral).
إكليلي (بالإنجليزية: Coronal)
- المستوى الإكليلي هو مستوىً متعامد على المحور الأمامي-خلفي. وبالتالي فإنه يحتوي على المحور الجانبي والمحور الظهري-بطني. في الدماغ، يدل المستوى الإكليلي على اليسار واليمين، في الجزء العلوي من الرأس والرقبة.
ثلم مركزي CS
- الثلم المركزي (بالإنجليزية: Central Sulcus) هو طيّة في قشرة مخ الفقاريات وهومعلم بارز في الدماغ، حيث يفصل ما بين الفص الجداري والفص الجبهي، ويفصل أيضًا بين القشرة الحركية الأولية والقشرة الحسيّة الجسديّة الأولية. انظر أيضاً الثلم خلف المركزي (postCS) و الثلم أمام المركزي (preCS) في هذه المقالة.

حرف D

عرض بطني، يبيّن تقاطع السُّوَيقَةُ العُلْوِيَّة (decussation of superior peduncle)
و تقاطع الفتيل (decussation of the lemniscus).
تقاطع (بالإنجليزية: Decussation)
- يحدث التقاطع عندما تعبر الألياف العصبية بشكل مائل من أحد الأجزاء الجانبية للدماغ عبوراً إلى الجانب آخر، فيقال أنها تعبر في مستوى آخر غير مستواها الأصلي الذي ابتدئت منه، وذلك على النقيض من الصوار (بالإنجليزية: Commissure). راجع أيضا التصالب (بالإنجليزية: Chiasm).
بعيد (أو قاصي) (بالإنجليزية: Distal)
- بعيدا عن الجذع (بالإنجليزية: torso) بشكل عام، أو عن المحور المحوري (بالإنجليزية: axial axis) على وجه الخصوص. انظر أيضاُ مصطلح "القريب" (بالإنجليزية: Proximal).
ظهري (بالإنجليزية: Dorsal)
- يتعلق بالظهر أو بالجانب العلوي، اعتمادا على السياق. في معظم الفقاريات التي لها عمود فقري الأفقي يُشير مصطلح "ظهري" إلى الظهر، على سبيل المثال "الحصان". أما في الدماغ البشري فإن مصطلح "ظهري" يعني "لأعلى" أي نحو الجزء العلوي من الرأس أو الجمجمة، بعيدا عن الحبل الشوكي الذي يخرج من الجمجمة عند الثقبة العظمى (بالإنجليزية: foramen magnum) في العظم القذالي (بالإنجليزية: occipital bone).
تصوير الانتِشار المُوَتِّر DTI
- تصوير الانتِشار المُوَتِّر (بالإنجليزية: Diffusion tensor imaging) [3] (DTI) هو تقنية للتصوير العصبي قائم على التصوير بالرنين المغناطيسي، تجعل من الممكن تصوّر موقع، وتوجّه، وتباين مساحات المادة البيضاء في الدماغ [4] مما يعطي القدرة على تصور الروابط التشريحية بين الأجزاء المختلفة من الدماغ.
التصوير ذوالثقل بالانْتِشار DWI
- التصوير ذوالثقل بالانْتِشار (بالإنجليزية: Diffusion weighted imaging) [3] هو شكل من أشكال التصوير بالرنين المغناطيسي، حيث يتم التصوير بناء على قياس الحركة البراونية العشوائية لجزيئات الماء داخل فوكسل (عنصر حجمي) من الأنسجة. العلاقة بين الأنسجة والإنتشار معقدة، ولكن بصفة عامة، الأنسجة الخلوية الكثيفة أو المتورمة لديها معامل انتشار منخفض، وبالتالي يكون تصوير الإنتشار مفيد بشكل خاص في توصيف الورم واحتباس الدم في المخ [5].
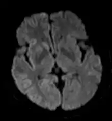
صورة لدماغ مريض ، مأخوذة بتقنية التصوير ذوالثقل بالانْتِشار DWI. هذا المريض ظهرت له أعراض متزايدة و متسارعة من الخرف (dementia) (الذي هو تدهور مستمر في وظائف الدماغ ينتج عنه اضطراب في القدرات الإدراكية)، مع الهلوسة الأولية وتغير في السلوك. تَقَدّم المرض إلى حالة تعذر الحركة مع رَمَعٌ عَضَلِيّ (myoclonus). أظهر مخطط كهربية الدماغ (EEG) موجات حادة دورية على نطاق واسع. وتُظهر صورة الرنين المغناطيسي المأخوذة بتقنية التصوير ذوالثقل بالانْتِشار DWI إشارة عالية في القشرية الدماغية والجسم المخطط، بما يتفق مع تشخيص مرض كروتزفيلد جاكوب (sCJD) من النوع المتقطّع.
حرف E
صادر (بالإنجليزية: Efferent)
- الليف العصبي الصادر هو الليف الذي يصل إلى نقطة ما (وليس الذي يصدر عنها). على سبيل المثال، صادر القشرة الدماغية هو الليف العصبي الذي يأتي إليها من مكان آخر ويصل إلى القشرة. يُلاحَظ أن هذا هو عكس الاتجاه الذي تجري فيه إشارات الألياف العصبية. انظر أيضا "وارد" (بالإنجليزية: Afferent).
غمد الليف العضلي (بالإنجليزية: Endomysium)
- النسيج الضام الرقيق المحيط بكل الخلايا العضلية.
تَصْوير الصَدَى المُستوي EPI
- تَصْوير الصَدَى المُستوي (بالإنجليزية: Echo-planar imaging) هو أحد تقنيات التصوير بالرنين المغناطيسي (MRI) التي تتيح الحصول على شريحة بتصوير سريع خلال إطار زمني ما بين 50-100 ميللي ثانية لتقليل أثر حركة الجزء المراد تصويره. فبدلا من قياس صدى (بالإنجليزية: Echo) واحد فقط بعد كل نبضة إستثارة وانتظار اضمحلال المغنطة قبل إرسال النبضة التالية، يتم التصوير بالعديد من الأصداء المتتالية مع تغيير التردد، وبذلك يتم التصوير سريعا بدون انتظار فترة الإضمحلال. تستخدم هذه التقنية خاصة في مسح الدماغ أو في الحالات التي تستدعي التصوير بشكل سريع جدا.
حرف F
شق (بالإنجليزية: Fissure)
- الشق عامةً هو أخدود عميق أو انقسام طبيعي أو ثلم عميق أو فلج ممدود أو تمزق في أجزاء مختلفة من الجسم.
- أخدود عميق ينتجه عملية "التوصيد" (بالإنجليزية: opercularisation). مثال عليه "الثلم الوحشي" (بالإنجليزية: Sylvian Fissure).
- أخدود عميق ينتجه التمايز بين حويصلات الدماغ الانتهائي (بالإنجليزية: telencephalic vesicles). مثال عليه "الشق الطولي الوسطي" (بالإنجليزية: Medial longitudinal fissure)، الذي يُعرف أيضاُ باسم "الشق النصفي" أو "الشق بَينَ نِصْفَي المُخّ" (بالإنجليزية: interhemispheric fissure).


قاع (بالإنجليزية: Fundus)
- هو الجزء السفلي (القاع) لثنيّة مَطْوِيّة نحو الداخل، والجمع: قيعان (بالإنجليزية: Fundi). انظر أيضاً: قاع الثلم (Sulcal fundus) و ثلم (Sulcus).
حرف G

تاج التلفيف (بالإنجليزية: Gyral Crown)
- هو الجزء العلوي من التلفيف. انظر أيضاً: جدار الثلم (بالإنجليزية: Sulcal Wall) ، قاع الثلم (بالإنجليزية: Sulcal Fundus) ، تلفيف (بالإنجليزية: Gyrus)، ثلم (بالإنجليزية: Sulcus).
تلفيف (بالإنجليزية: Gyrus)
- التلفيف هو ثنية مطوية للخارج (هضبة) ، و الجمع : تلافيف (بالإنجليزية: Gyri) كما هو الحال مثلا في التلافيف المُخَيخِيَّة أو قشرة الدماغ (قشرة المخ). من التلافيف المهمة على سبيل المثال: التلفيف أمام المركزي (بالإنجليزية: precentral gyrus) و التلفيف خلف المركزي (بالإنجليزية: postcentral gyrus).

حرف H
أفقي (بالإنجليزية: Horizontal)
- هو المستوى المتعامد على المحور العلوي-السفلى. في الدماغ يكون هذا المستوى هو: أيمن وأيسر و مقدمة (وجه) و مؤخرة الرأس، أي ما يعادل المحوري (بالإنجليزية: Axial). أنظر "التوضّع التشريحي" في بداية هذه المقالة.
حرف I
التلفيف الجبهي السفلي IFG
- التلفيف الجبهي السفلي IFG (بالإنجليزية: Inferior frontal gyrus) هو تلفيف يقع في الفصّ الجبهي من الدماغ (المخ).

الثلم الجبهي السفلي IFS
- الثلم الجبهي السفلي IFS (بالإنجليزية: Inferior frontal sulcus) هو ثلم (شق) يقع بين التلفيف الجبهي المتوسط (بالإنجليزية: Middle frontal gyrus) و التلفيف الجبهي السفلي (بالإنجليزية: Inferior frontal gyrus) من الدماغ (المخ).


سفلي (بالإنجليزية: Inferior)
- بعيدا عن الجزء العلوي من الرأس، إلى أسفل. عادة عند مقارنة مع جزء آخر أقرب إلى الرأس (الشفاه تقع في مكان سفليّ من الأنف).
بين نصفي المخ (بالإنجليزية: Interhemispheric)
- بين نصفي الكرة المخية أو أن يصل بينهما، على سبيل المثال: صوار بين نصفي المخ (interhemispheric commissure).
الثلم داخل الفص الجداري IPS
- الثلم داخل الفص الجداري IPS (بالإنجليزية: Intraparietal sulcus) هو شق يقع على السطح الجانبي من الفص الجداري (بالإنجليزية: parietal lobe)، ويتكون من جزء مائل وآخر الأفقي. مهامه الرئيسية لتنسيق الإدراك الحسي الحركي، على سبيل المثال، توجيه حركات العين والوصول إلى الشئ، والانتباه والتوجيه البصري الذي يسمح بالإشارة والتَسْدِيد و التَصْوِيب المُوجّه بصريا، والتعامل مع الأشياء الذي يمكن أن يؤدي إلى النتيجة المرجوة. ويُعتقد أيضا أن الثلم داخل الفص الجداري IPS يلعب دورا في وظائف أخرى، بما في ذلك معالجة المعلومات الرقمية رمزية، الذاكرة العاملة للإبصار الفراغي وتفسير نوايا الآخرين.

بنفس الجانب (بالإنجليزية: Ipsilateral)
- أن يكون على نفس الجانب. على سبيل المثال: الذراع الأيسر على نفس الجانب مع الساق اليسرى، والزائدة الدودية (بالإنجليزية: appendix vermiformis) على نفس الجانب مع الكبد. انظر أيضا "الجانب المقابل" (بالإنجليزية: Contralateral).
الثلم الصدغي السفلي ITS
- الثلم الصدغي السفلي (بالإنجليزية: Inferior temporal sulcus) هو ثلم (شق) يقع بين التلفيف الصدغي المتوسط (بالإنجليزية: Middle frontal gyrus) و التلفيف الصدغي السفلي (بالإنجليزية: Inferior frontal gyrus) من الدماغ (المخ).



حرف L
العظم الدمعي (بالإنجليزية: Lacrimal Bone)
- هو عظم من الجمجمة صغير يقارب أبعاد ظُفُر الإِصْبَع، وهو أصغر عظام الوجه، مُستطيل الشكل وأكثرها قابلية للكسر.

جانبي (بالإنجليزية: Lateral)
- جانبي أو وحشي أو طرفي ، أي أقرب للجانب الخارجي وبعيداُ عن الخَطّ النَّاصِف للجِسْم .أنظر "التوضّع التشريحي" في بداية هذه المقالة.
حرف M
وسطي (بالإنجليزية: Medial)
- وسطيّ أو إنسيّ ، أي في الوسط. أقرب للخَطّ النَّاصِف للجِسْم .أنظر "التوضّع التشريحي" في بداية هذا المقال.
المسال الدماغي (بالإنجليزية: mesencephalic duct)
- المسال الدماغي يُعرف أيضاً باسم (بالإنجليزية: Cerebral aqueduct) أو مسال سلفيوس (بالإنجليزية: aqueduct of Sylvius) أو " قناة سلفيوس" ، و هو قناة ضيقة تقع ضمن الدماغ المتوسط وتصل بين البطين الثالث مع البطين الرابع للدماغ. إن انسداد هذه القناة يسبب مواه الرأس.



وسطي (بالإنجليزية: Mesial)
- يتجه نحو الوسط.
التصوير بالرنين المغناطيسي MRI
- التصوير بالرنين المغناطيسي (بالإنجليزية: Magnetic Resonance Imaging) ، ويُقال مجازا إجراء الأشعة المغناطيسية. هي وسيلة تصوير طبي لتوضيح التغييرات الباثولوجية في الأنسجة الحية. يعتبر من الفحوص المكلفة وغير متوفرة بشكل دائم في كثير من المستشفيات، وهناك صعوبات عند عمل هذا التصوير لمرضى الذين يخافون الأماكن المغلقة أو الذين يشتكون من سمنة مفرطة.


لييفة عضلية (بالإنجليزية: Myofibril)
- حزمة مثل القضيب من الخيوط العضلية المُتَقَلّصة توجد في سيتوبلازم خلية العضلات الهيكلية، تتكوّن من قطاعات متكررة تُدعى القسيمات العضلية (بالإنجليزية: Sarcomeres).

1. محوار (Axon).
2. وصلة مَشْبَكِيّة (Synaptical junction).
3. ليفة عضلية (Muscle fiber).
4. لييفات عضلية (Myofibrils).
حرف O
التوصيد (بالإنجليزية: Opercularisation)
- هو تشكيل الوِصاد الدماغي [الجمع: أوصدة] (بنية تشريحية تغلق ما تحتها مثل الغطاء) أثناء تطور الدماغ (المخ) داخل الرحم. في تشريح الدماغ البشري يكون الوصاد إمّا الوصاد الجبهي (بالإنجليزية: frontal operculum) ، أو الوصاد الصدغي (بالإنجليزية: temporal operculum) ، أو الوصاد الجداري (بالإنجليزية: parietal operculum) ، وهم ثلاثتهم يغلقون مَعَاً وِصادُ الجَزيرَة (بالإنجليزية: operculum of insula ).
_section_description2.JPG.webp)
و الوصاد الصدغي (بالإنجليزية: temporal operculum) (الأزرق)،
و قشرة الجزيرة (بالإنجليزية: insular cortex) (البني).
الصورة الصغيرة ذات الخلفية الحمراء تبين مكان قطع الشريحة من الدماغ.
وِصاد (بالإنجليزية: Operculum)
- وِصاد (بالإنجليزية: Operculum) ، و الجمع: أوصدة (بالإنجليزية: Opercula). هى بنية تشريحية تُغلق ما تحتها، وفي سياق التشريح العصبي فإن "الوِصاد" يشير عادة إلى وِصاد دماغي (بالإنجليزية: cerebral operculum) الذي هو جزء من القشرة المخية (بالإنجليزية: Cerebral cortex) التي تعتلي فوق أجزاء من الفص الجبهي (بالإنجليزية: frontal lobe) ، و الفص الصدغي (بالإنجليزية: temporal lobe) ، و الفص الجداري (بالإنجليزية: parietal lobe) ، بمحاذاة شق سيلفيوس (الثلم الوحشي للمخ) (بالإنجليزية: sylvian fissure) ، و فوق القشرة الجزيرية (بالإنجليزية: Insular cortex).
- يشتمل الوصاد على المناطق القشرية المعنية بمدركات اللغة المنطوقة، وبالوظائف الحركية اللازمة لكفائة الخِطَاب والتَحَادُث.[6]


التصالبة البصرية (بالإنجليزية: Optic chiasm)
- هى التصالبة الرئيسية في الدماغ البشري، وهي معبر على شكل X من الألياف العصبية بين نصفي الكرة المخية. وفيها يتم توجيه المعلومات من المجال البصري لكل عين، إلى القشرة البصرية الخاصة بها في نصف الكرة المخية بالجهة المقابلة. انظر أيضًا: تَصالُبَة (بالإنجليزية: Chiasm) في هذه المقالة.



حرف P
راحيّ (بالإنجليزية: Palmar)
- نسبة إلى راحة اليد (الكف). يُستخدم للجزء الأمامي من اليد (حسب الوضعية التشريحية القياسية).
مجاور السهمي (بالإنجليزية: Parasagittal)
- هو جميع المستويات السهمية التي توازي المستوي السهمي (بالإنجليزية: sagittal plane) الذي هو المستوى الناصف الطولي الذي ينصّف الجسم إلى يمين ويسار.
أخمصيّ (بالإنجليزية: Plantar)
- نسبة إلى أخمص القدم ، الجزء السفلي من القدم.
الصوار الخلفي المخّي PC
- الصوار الخلفي المخّي (بالإنجليزية: Posterior Commissure) و يُعرف أيضاً باسم (بالإنجليزية: epithalamic commissure). هو حزمة مستديرة من ألياف بيضاء تعبر خط الوسط على الجانب الظهري من الطرف العلوي للمسال الدماغي ، و هو مهم في إسْتِجابَة حَدَقَة العين للضوء (بالإنجليزية: Pupillary light reflex) على الجانبين. انظر صوار (بالإنجليزية: Commissure).


علم وظائف الأعضاء (بالإنجليزية: Physiology)
- دراسة وظائف أعضاء الجسم، أو الفسيولوجيا ، وهو علم دراسة وظائف الأعضاء والأجهزة الحيوية ويتضمن ذلك كيف تقوم الأجهزة العضوية، والخلايا، والجزيئات الحيوية بالعمليات الكيميائية والفيزيائية في الكائنات الحية.
مكبوب (بالإنجليزية: Prone)
- مَكْبوب، أو مُنْبَطِح، أو مُبْطوح. مستلق ووجهه لأسفل.
(بالإنجليزية: Proximal) (بالإنجليزية: Proximal)
- قريب معناه أقرب إلى الجذع، أو بشكل أعمّ: أقرب إلى المحور المحوري (بالإنجليزية: axial axis) ، أو أقرب إلى جذر الطرف (منشأ الطرف). ويطلق عليه مصطلح آخر هو: الدانِ أو المتاخم أو المحاذِ.
القشرة أمام الجبهية PV
- القشرة أمام الجبهية [7] و يرمز لها اختصاراً بـ PFC. هي القشرة المخية التي تغطي القسم الأمامي من الفص الجبهي، وهي تحوي بعض باحات برودمان.
_animation.gif)

الثلم خلف المركزي postCS
- الثلم خلف المركزي (بالإنجليزية: Postcentral Sulcus).

الثلم أمام المركزي preCS
- الثلم أمام المركزي (بالإنجليزية: Precentral Sulcus).



البطامة Pu
- البطامة (بالإنجليزية: Putamen) هى بنية تشريحية عصبية مستديرة تقع في الدماغ الأمامي (الدماغ الانتهائي).


حرف R
منقاري (بالإنجليزية: Rostral)
- متوجه إلى الوجه. أنظر "التوضّع التشريحي" في بداية هذه المقالة.
حرف S
سهمي (بالإنجليزية: Sagittal)
المستوى السهمي (sagittal plane) ويُسمّى أيضاً المستوى الطولي (longitudinal plane) هو المستوى الذي يقسم الجانبين الأيسر والأيمن لكائن متماثل أو لعضو مثل الدماغ. انظر أيضا مجاور السهمي (بالإنجليزية: Parasagittal) ، و التوضّع التشريحي أعلى هذه المقالة، وانظر "المستويات" في قائمة مصطلحات تشريح المواضع.
الهيولى العضلية (بالإنجليزية: Sarcoplasm)
الهَيولَى العَضَلِيَّة هى سيتوبلازم الخلية العضلية.
التصالب الحسي (بالإنجليزية: Sensory decussation)
التصالب الحسي يُسمّى أيضاً: تصالب فتيلي (بالإنجليزية: decussation of the lemniscus) هو تصالب (مَعبر على شكل X من الألياف العصبية بين نصفي الكرة المخية - انظر تَصالُبَة Chiasm في هذه المقالة) بين المحاور العصبية (بالإنجليزية: axons) للنواة الناحلة (بالإنجليزية: gracile nucleus) (التي تشارك في احساس اللمس و استقبال الحس العميق للجزء السفلي من الجسم: الأرجل والجذع) و النواة الاسفينية (بالإنجليزية: cuneate nucleus) (التي تشارك في احساس اللمس و استقبال الحس العميق للجزء العلوي من الجسم) .
قاع الثلم (بالإنجليزية: Sulcal Fundus)
- الجزء الأدنَى (القاع) من الثلم، والجمع: قيعان الأثلام (بالإنجليزية: Sulcal Fundi) ، وهو ثنيّة مَطْوِيّة نحو الداخل (في القشرة الدماغية على وجه الخصوص). انظر أيضًا: ثلم (Sulcus) و قاع (Fundus).
الجدار الثلمي (بالإنجليزية: Sulcal Wall)
هو أحد جانبيّ الثلم (ثنيّة نحو الداخل). انظر أيضا ثلم Sulcus.
ثلم (بالإنجليزية: Sulcus)
الجمع : أثلام (بالإنجليزية: Sulci). ثنيّة نحو الداخل (وادٍ أو أُخْدُوْد)، كما هو الحال مثلا في الثلم المركزي CS (بالإنجليزية: Central Sulcus) و الثلم المهمازي CalcS (بالإنجليزية: Calcarine Sulcus) من القشرة الدماغية. انظر: ثلم. انظر أيضا: شق (Fissure) في هذه المقالة.
علوي (بالإنجليزية: Superior)
نحو الرأس.
مستلق ( مستلقي) (بالإنجليزية: Supine)
متمدد والوجه لأعلى.
حرف T
وتر (بالإنجليزية: Tendon)
- الوتر (بالإنجليزية: Tendon) هو شريط متين من الأنسجة الضامة الليفية في شكل حبل لربط العضلات بالعظام. فالوتر يربط عضلة معينة بجزء آخر من الجسم، عادة إلى عظم معين [8] ، و في حالات معينة يربط عضلة بعضلة أخرى. ويمتاز الوتر بقدرته على تحمل الضغط.
مهاد (بالإنجليزية: Thalamus) أو Th
- المِهاد أو الثلاموس (باللاتينية: Thalamus) هو الجزء الأكبر من الدماغ البيني يقع على جانبي البطين الثالث بصورة جسمين ذوي شكل بيضاوي. يقع المهاد فوق الوطاء (تحت المهاد) بجانب وسط نصف كرتي المخ. يعمل كمحطة توصيل بين كثير من المعلومات التي تدخل قشرة المخ وتخرج منها.[9]



تلفيف انتقالي (بالإنجليزية: Transition Gyrus)
- انظر تلفيف رابط (بالإنجليزية: Annectent gyrus) ، تلفيف (بالإنجليزية: Gyrus) ، و ثلم (بالإنجليزية: Sulcus).
حرف V
بطناني أو بطني (بالإنجليزية: Ventral)
- في الإتجاه نحو البطن أو الأقرب إلى البطن.
حرف Z
القوس الوجنية (بالإنجليزية: Zygomatic arch)
- هى التي تشكّل عظمة الوجنة (الخد).
المراجع
- دماغ ، من طِبُّنا، المرجع الطبي العربي الحر.
- شرح مراكز الاحساس في خريطة برودمان. أكاديمية علم النفس © (جميع الحقوق محفوظة)، Copyright ©2000 - 2015, Jelsoft Enterprises Ltd نسخة محفوظة 22 ديسمبر 2015 على موقع واي باك مشين.
- سلسلة مكتبة الأشعـة والتصـوير الطبـي ، التَّصْويرُ بالرَّنينِ المِغْناطيسِيّ magnetic resonance imaging MRI ، ماهر محمدى يس - خبير تقني الأشعة والتصويرالطبي ، الطبعة الرابعة 2012 CAIRO – EGYPT ، مرجع في الرنين المغناطيسي باللغة العربية مع المحافظة على المصطلح الطبي باللغة الإنجليزية – مبسط شامل كل مايخص التصوير بالرنين المغناطيسي نسخة محفوظة 04 مارس 2016 على موقع واي باك مشين.
- Imagilys, Diffusion tensor imaging - Fiber Tracking نسخة محفوظة 18 أكتوبر 2017 على موقع واي باك مشين.
- http://radiopaedia.org - Diffusion weighted imaging, Dr Henry Knipe and Dr Usman Bashir et al. نسخة محفوظة 12 يوليو 2017 على موقع واي باك مشين.
- Cheng-Yu Chen, Robert A. Zimmerman, Scott Faro, Beth Parrish, Zhiyue Wang, Larissa T. Bilaniuk, Ting-Ywan Chou. MR of the Cerebral Operculum. AJNR 16:1677–1687, Sep 1995 0195-6108/95/1608–1677 American Society of Neuroradiology
- ترجمة Prefrontal cortex (بالإنجليزية: Prefrontal Cortex) حسب المعجم الطبي الموحد نسخة محفوظة 07 يناير 2018 على موقع واي باك مشين.
- eMedicine/Stedman Medical Dictionary Lookup! [وصلة مكسورة]
- Thalamus - Brainmaps.Org - Brain Atlas, Brain Maps, Brain Structure, Neuroinformatics, Brain, Stereotaxic Atlas, Neuroscience نسخة محفوظة 24 يناير 2018 على موقع واي باك مشين.
- بوابة طب
- بوابة علم الحيوان
- بوابة تشريح
- بوابة علم الأحياء






