اعتلال بيضاء الدماغ متعدد البؤر المترقي
اعتلال بيضاء الدماغ متعدد البؤر المترقي (بالإنجليزية: Progressive multifocal leukoencephalopathy)ويسمى ايضاً اعتلال بيضاء الدماغ متعدد البؤر التقدمي وهو التهاب نادر في الدماغ يمكن أن يؤدي إلى الموت أو الإعاقة الشديدة.
| اعتلال بيضاء الدماغ متعدد البؤر المترقي | |
|---|---|
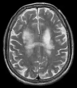
![]() تصوير بالرنين المغناطيسي يوضح الإصابة باعتلال بيضاء الدماغ متعدد البؤر المترقي تصوير بالرنين المغناطيسي يوضح الإصابة باعتلال بيضاء الدماغ متعدد البؤر المترقي | |
| معلومات عامة | |
| الاختصاص | طب الجهاز العصبي |
| من أنواع | مرض فيروسي ، واعتلال بيضاء الدماغ |
| الأسباب | |
| الأسباب | فيروس جي سي |
| الإدارة | |
| أدوية | |
الأسباب
سبب الإصابة بهذا المرض هو فيروس جي سي حيث يدمّر هذا الفيروس أغطية الأعصاب في الدماغ ويسبّب ضعفاً متزايداً وصعوبة في البلع وفقد البصر وعدم القدرة على المشي وفقد الذاكرة وصعوبة التفكير[1]
تحدث في العادة لدى الأشخاص الذين يعانون من ضعف في جهاز المناعة، لا أحد يقدر أن يتنبأ بالأشخاص الذين قد يصابون بعدوى في الدماغ[2] قد تكون احتماليات الإصابة بهذه العدوى مرتفعة في حالة كان الشخص يستخدم أدوية تضعف جهاز المناعة، كالعلاجات الأخرى لمرض التصلب العصبي حتى لو كنت تستخدم التاسابري منفردا لمرض لعلاج التصلب العصبي، فان المريض لا يزال عرضه للاصابه بعدوى الدماغ [3]
العلاج
لا توجد ادوية أو علاج فعال حالياً لهذا المرض وانما يكون العلاج لوقف تقدم المرض وعلاج الأعراض المصاحبة له. تعطى للمرضى المصابين باعتلال بيضاء الدماغ متعدد البؤر ادوية الإنترفيرون .[4] وعادة ما يستمر العلاج لعدة أشهر، ولكن 80٪ من المرضى على الاغلب يموتون في غضون تسعة أشهر. ليس هناك علاج فعال لهذا المرض على وجه الدقة، والعلاج أساسا للأعراض وداعمة لبقاء المريض أطول فترة ممكنة على قيد الحياة،[5] ولكن الوقاية من المضاعفات والعلاج من المرض الأساسي، وتحسين الوظيفة المناعية. التطبيق المبكر لسيتارابين قد سيطر على المرض، ودور تثبيط الفيروس 2 mg/Kg الجرعة، عن طريق الوريد بالتنقيط.
انظر أيضًا
المراجع
- Kean, Jaime M.; Rao, Suchitra; Wang, Michael; Garcea, Robert L. (2009). Atwood, Walter J (المحرر). "Seroepidemiology of Human Polyomaviruses". PLoS Pathogens. 5 (3): e1000363. doi:10.1371/journal.ppat.1000363. PMC 2655709. PMID 19325891. الوسيط
|CitationClass=تم تجاهله (مساعدة) - Egli, Adrian; Infanti, Laura; Dumoulin, Alexis; Buser, Andreas; Samaridis, Jacqueline; Stebler, Christine; Gosert, Rainer; Hirsch, Hans H. (2009). "Prevalence of Polyomavirus BK and JC Infection and Replication in 400 Healthy Blood Donors". The Journal of Infectious Diseases. 199 (6): 837–46. doi:10.1086/597126. PMID 19434930. الوسيط
|CitationClass=تم تجاهله (مساعدة) - Laura A. Shackelton, Andrew Rambaut, Oliver G. Pybus, and Edward C. Holmes (2006). "JC Virus evolution and its association with human populations". Journal of Virology. American Society for Microbiology. 80 (20): 9928–9933. doi:10.1128/JVI.00441-06. PMC 1617318. PMID 17005670. الوسيط
|CitationClass=تم تجاهله (مساعدة)صيانة CS1: أسماء متعددة: قائمة المؤلفون (link) - Vendrely, Aurélie; Bienvenu, Boris; Gasnault, Jacques; Thiebault, Jean Baptiste; Salmon, Dominique; Gray, Françoise (April 2005). "Fulminant inflammatory leukoencephalopathy associated with HAART-induced immune restoration in AIDS-related progressive multifocal leukoencephalopathy". Acta Neuropathol. 109 (4): 449–55. doi:10.1007/s00401-005-0983-y. PMID 15739098. الوسيط
|CitationClass=تم تجاهله (مساعدة) - Wyen, Christoph; Hoffmann, Christian; Schmeier, Norbert; Hoffmann, Andrej; Qurishi, Nazifa; Rockstroh, Jürgen; Esser, Stefan; Rieke, Ansgar; Ross, Birgit; Lorenzen, Thore; Schmitz, Karina; Stenzel, Werner; Salzberger, Bernd; Fätkenheuer, Gerd (2004). "Progressive multifocal leukencephalopathy in patients on highly active antiretroviral therapy: survival and risk factors of death". Journal of Acquired Immune Deficiency Syndrome. 37 (2): 1263–1268. doi:10.1097/01.qai.0000136093.47316.f3. PMID 15385733. الوسيط
|CitationClass=تم تجاهله (مساعدة)
وصلات إضافية
- Overview at معاهد الصحة الوطنية الأمريكية
- Overview at كليفلاند كلينك
- HIV-1 Associated Opportunistic Infections: PML في موقع إي ميديسين
- مدلاين بلس Progressive multifocal leukoencephalopathy
- PML Disease Support Website
- بوابة طب
- بوابة علم الفيروسات
