اعتلال وعائي نشواني مخي
اعتلال وعائي نشواني مخي (بالإنجليزية: Cerebral amyloid angiopathy) (اختصارًاCAA) ويُعرف أيضًا باسم اعتلال الأوعية الدموية الخلقي،[1] هو اعتلال وعائي نشواني دماغي هو الأعتلال الوِعائي الذي يتميز بتكدس راسب من مواد نشَوانِية في جدران الأوعية الدموية، مما يتسبب في أحيان كثيرة بنزف وعائي دماغي، ويمكن مشاهدة رواسب البروتين النشواني تحت المجهر.
| اعتلال وعائي نشواني مخي | |
|---|---|
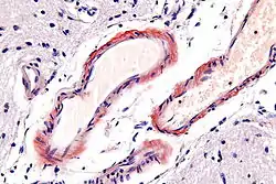
![]() صورة مجهرية للاعتلال الوعائي نشوي الدماغي باستخدام لون أحمر كونغو صورة مجهرية للاعتلال الوعائي نشوي الدماغي باستخدام لون أحمر كونغو | |
| معلومات عامة | |
| الاختصاص | طب الجهاز العصبي |
| من أنواع | داء نشواني |
العلامات والأعراض
نظرًا لأن هذا يمكن أن يكون ناتجًا عن نفس بروتين الأميلويد المرتبط بخرف الزهايمر، فإن نزيف الدماغ[2] أكثر شيوعًا عند الأشخاص الذين لديهم تشخيص لمرض الزهايمر. ومع ذلك، يمكن أن تحدث أيضا عند أولئك الذين ليس لديهم تاريخ من الخرف. عادةً ما يقتصر النزيف داخل المخ على الفص المعين[3] وهذا يختلف قليلاً مقارنة بنزيف الدماغ الذي يحدث نتيجة لارتفاع ضغط الدم (ارتفاع ضغط الدم) - وهو سبب أكثر شيوعًا لسكتة دماغية نزفية (أو نزيف في الدماغ).[4]
التشخيص
على الرغم من أنه لا يمكن إجراء التشخيص النهائي إلا من خلال التحليل النسيجي، فإن التصوير العصبي والبيانات السريرية المرتبطة به يمكن أن تقدم لنا تشخيصًا افتراضيًا موثوقًا به. في التصوير المقطعي المحوسب جمجمي CT، سنشهد وجود نزيف في الفك والتدخل القشري مع أو بدون امتداد إلى منطقة تحت العنكبوتية أو أن فتح البطينين يدل على حدوث نزيف دماغي مرتبط باعتلال الأوعية الدموية الدماغية. في حالات نادرة، قد يؤثر النزيف أيضًا على الهياكل العميقة. عند المرضى الذين يعانون من ضعف الإدراك، قد يحدث اعتلال بيضاء منتشر في الدماغ وضمور متني.[5] في التصوير بالرنين المغناطيسي الجمجمي، يمكننا ملاحظة نزيف بيتيكال القشري وشبه القشري المتعدد. وترسب هيموسيديرين من نزيف قديم في T2[6]
أسباب

تم التعرف على CAA على أنه يحدث بصورة فُرَادِيّة (بشكل عام عند كبار السن)[7] أو في أشكال عائلية مثل أنواع الفلمنكية وأيوا والهولندية. في جميع الحالات، يتم تعريفه بترسب Aβ في جدران الوعاء الدموي الظهري والدماغي.[8] وقد لوحظ أن الجهاز المركزي للمحاسبات الذي يحدث في النوع الفلمنكي مرتبط بلوحات كثيفة النواة كبيرة لوحظت في هذه النسب.[9]
لا يزال سبب زيادة ترسب Aβ في الجهاز العصبي المركزي المتقطع غير واضح، حيث تم اقتراح زيادة في إنتاج الببتيد والتطهير غير الطبيعي كأسباب محتملة.[10] في ظل علم وظائف الأعضاء الطبيعي يتم مسح Aβ من الدماغ بأربعة مسارات: (1)التسمم الخلوي بالخلايا النجمية والخلايا الجليدية، (2) التحلل الأنزيمي بواسطة النيبريليسين أو الأنسولين (3) الذي يتم إزالته عن طريق حاجز الدماغ في الدم أو (4) استنزفت على طول المساحات المحيطة. وقد تم ربط تشوهات في كل من هذه المسارات التي تم تحديدها التخليص إلى الجهاز المركزي للمحاسبات.[11][12]
في الأشكال العائلية من الجهاز المركزي للمحاسبات، من المحتمل أن يكون سبب تراكم Aβ هو زيادة الإنتاج بدلاً من سوء التطهير.[13] الطفرات في بروتينات السلائف الأميلويد (APP)، جينات Presenilin (PS) 1 وPS2 يمكن أن تؤدي إلى زيادة معدلات انقسام APP إلى Aβ. كما تم اقتراح آلية مناعية.[14][15]
الإدارة
الهدف من اعتلال الأوعية نشواني الدماغي هو علاج الأعراض، حيث لا يوجد علاج حالي. قد يكون العلاج البدني والمهني أو الكلام مفيدًا في إدارة هذه الحالة.[16]
مراجع
- Exley C, Esiri MM (July 2006). "Severe cerebral congophilic angiopathy coincident with increased brain aluminium in a resident of Camelford, Cornwall, UK". J. Neurol. Neurosurg. Psychiatry. 77 (7): 877–9. doi:10.1136/jnnp.2005.086553. PMC 2117501. PMID 16627535. الوسيط
|CitationClass=تم تجاهله (مساعدة) - Godefroy, Olivier (2013-02-28). The Behavioral and Cognitive Neurology of Stroke. Cambridge University Press. ISBN 9781107310896. مؤرشف من الأصل في 25 يناير 2020. الوسيط
|CitationClass=تم تجاهله (مساعدة) - Coleman, William B.; Tsongalis, Gregory J. (2010-02-16). Essential Concepts in Molecular Pathology. Academic Press. ISBN 9780080922188. مؤرشف من الأصل في 25 يناير 2020. الوسيط
|CitationClass=تم تجاهله (مساعدة) - "Brain Basics: Preventing Stroke: National Institute of Neurological Disorders and Stroke (NINDS)". www.ninds.nih.gov. مؤرشف من الأصل في 5 ديسمبر 2016. اطلع عليه بتاريخ 27 مايو 2015. الوسيط
|CitationClass=تم تجاهله (مساعدة) - Miller JH, Wardlaw JM, Lammie GA. Intracerebral haemorrhage and cerebral amyloid angiopathy: CT features with pathological correlation. (1999).Clin Radiol. 54: 422–29.
- Greenberg SM, Finklestein SP, Schaefer PW. (1996). Petechial hemorrhages accompanying lobar hemorrhage: detection by gradient-echo MRI. Neurology. 46(6):1751-4.
- Sirven, Joseph I.; Malamut, Barbara L. (2008). Clinical Neurology of the Older Adult. Lippincott Williams & Wilkins. ISBN 9780781769471. مؤرشف من الأصل في 25 يناير 2020. الوسيط
|CitationClass=تم تجاهله (مساعدة) - Ettinger, Alan B.; Weisbrot, Deborah M. (2014-04-17). Neurologic Differential Diagnosis: A Case-Based Approach. Cambridge University Press. ISBN 9781107014558. مؤرشف من الأصل في 25 يناير 2020. الوسيط
|CitationClass=تم تجاهله (مساعدة) - Kumar-Singh, S.; Cras, P.; et al. (2002). "Dense-core senile plaques in the Flemish variant of Alzheimer's disease are vasocentric". American Journal of Pathology. 161 (2): 507–20. doi:10.1016/S0002-9440(10)64207-1. PMC 1850756. PMID 12163376. الوسيط
|CitationClass=تم تجاهله (مساعدة) - Tolnay, Markus; Probst, Alphonse (2012-12-06). Neuropathology and Genetics of Dementia. Springer Science & Business Media. ISBN 9781461512493. مؤرشف من الأصل في 25 يناير 2020. الوسيط
|CitationClass=تم تجاهله (مساعدة) - Subramaniam, Rathan; Barrio, Jorge (2013-10-15). Novel Imaging Techniques in Neurodegenerative and Movement Disorders, an Issue of Pet Clinics. Elsevier Health Sciences. ISBN 9780323227353. مؤرشف من الأصل في 25 يناير 2020. الوسيط
|CitationClass=تم تجاهله (مساعدة) - Brain Extracellular Matrix in Health and Disease. Elsevier. 2014-10-30. ISBN 9780444634948. مؤرشف من الأصل في 26 يناير 2020. الوسيط
|CitationClass=تم تجاهله (مساعدة) - Hall, Tim (2013-09-17). PACES for the MRCP: with 250 Clinical Cases. Elsevier Health Sciences. ISBN 978-0702054662. مؤرشف من الأصل في 25 يناير 2020. الوسيط
|CitationClass=تم تجاهله (مساعدة) - Mental Disorders: New Insights for the Healthcare Professional: 2011 Edition. ScholarlyEditions. 2012-01-09. ISBN 9781464900853. مؤرشف من الأصل في 25 يناير 2020. الوسيط
|CitationClass=تم تجاهله (مساعدة) - Advances in Dementia Research and Treatment: 2012 Edition. ScholarlyEditions. 2012-12-26. ISBN 9781464991721. مؤرشف من الأصل في 25 يناير 2020. الوسيط
|CitationClass=تم تجاهله (مساعدة) - "Cerebral amyloid angiopathy: MedlinePlus Medical Encyclopedia". www.nlm.nih.gov. مؤرشف من الأصل في 5 يوليو 2016. اطلع عليه بتاريخ 27 مايو 2015. الوسيط
|CitationClass=تم تجاهله (مساعدة)
صور وملفات صوتية من كومنز
- بوابة طب
