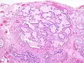
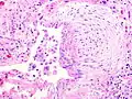
التهاب الرئة الخلالي المعتاد
التهاب الرئة الخلالي المعتاد (بالإنجليزية: Usual interstitial pneumonia) هو أحد أمراض الرئتين حيث يتميز بتندب في كلا الرئتين.[1] التندب عبارة عن تليف يشمل النسيج الخلالي للرئتين، لذا يصنف التهاب الرئة الخلالي المعتاد بصفته أحد أنواع الالتهاب الرئوي الخلالي، وأضيفت كلمة المعتاد لكونه أكثرهت شيوعا.
| التهاب الرئة الخلالي المعتاد Usual Interstitial Pneumonia | |
|---|---|
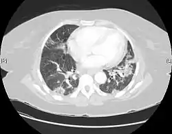
![]() منظر لالتهاب الرئة الخلالي المعتاد تحت الأشعة المقطعية. تليف منخر يظهر في كلتي الرئتين. منظر لالتهاب الرئة الخلالي المعتاد تحت الأشعة المقطعية. تليف منخر يظهر في كلتي الرئتين. | |
| معلومات عامة | |
| من أنواع | مرض رئوي خلالي |
استخدمت المصادر البريطانية سابقا مصطلح التهاب الأسناخ الرئوية المليف مجهول السبب للتعبير عن المرض، لكن هذه التسمية أهملت لكون الأساس المرضي تليفا وليس التهابا.
معرض صور
المصادر
- Travis WD, King TE, Bateman ED; et al. (2002). "ATS/ERS international multidisciplinary consensus classification of idiopathic interstitial pneumonias. General principles and recommendations". American Journal of Respiratory and Critical Care Medicine. 165 (5): 277–304. doi:10.1164/ajrccm.165.2.ats01. PMID 11790668. الوسيط
|CitationClass=تم تجاهله (مساعدة); Explicit use of et al. in:|المؤلف=(مساعدة)صيانة CS1: أسماء متعددة: قائمة المؤلفون (link)
في كومنز صور وملفات عن: التهاب الرئة الخلالي المعتاد
- بوابة طب
This article is issued from Wikipedia. The text is licensed under Creative Commons - Attribution - Sharealike. Additional terms may apply for the media files.
-CT_scan.jpg.webp)


