مرض رئوي خلالي
مرض رئوي خلالي (بالإنجليزية: Interstitial lung disease)، يشير إلى مجموعة من الأمراض الرئوية التي تصيب النسيج الخلالي الرئوي (النسيج والفراغ حول الحويصلات الهوائية الرئوية).[2] المرض الرئوي الخلالي قد يؤدي إذا كان مزمناً إلى تليف رئوي.
| مرض رئوي خلالي | |
|---|---|
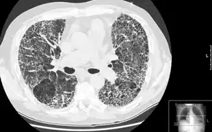
![]() مرض رئوي خلالي - يثمثل في رئة شبيهة بعش النحل مرض رئوي خلالي - يثمثل في رئة شبيهة بعش النحل | |
| معلومات عامة | |
| الاختصاص | طب الرئة |
| من أنواع | مرض رئوي ، وإلتهاب رئوي ، ومرض النسيج الضام |
| المظهر السريري | |
| الأعراض | التهاب [1] |
| الإدارة | |
| أدوية | بريدنيزون ، وريتوكسيماب ، وبيرفنيدون ، وسيكلوسبورين ، ونينتيدانيب ، وميكوفينولات موفيتل ، وبريدنيزولون ، وميثيلبريدنيزولون ، وتاكروليمس
|
الأسباب
المرض الرئوي الخلالي يمكن تصنيفه حسب السبب وأحد التصانيف المستخدمة:[3]
.JPG.webp)

- مواد مستنشقة
- لا عضوية
- سحار سيليسي
- مرض الأسبست
- تسمم بالبريليوم
- عضوية
- التهاب رئوي بفرط التحسس
- لا عضوية
- بفعل الأدوية
- بسبب مرض الأنسجة الضامة
- بسبب عدوى
- التهاب رئوي لانموذجي
- مرض المتكيسات الرئوية
- السل
- فيروس مخلوي تنفسي
- مجهول السبب
- بسبب سرطان خبيث
- السرطان اللمفاوي
الفحوصات

الفحوصات تتضمن تحاليل دم وصورة أشعة للصدر وفحص وظائف الرئة وصورة طبقية عالية الجودة لمنطقة الظهر. قد يتم أخذ خزعة من الرئة إذا لم يستطع الطبيب معرفة السبب عبر السيرة المرضية أو لا يمكن إستثناء أية سرطانات.
العلاج
المرض الرئوي الخلالي ليس مرض وحيداً بل عبارة عن مجموعة من لاأمراض ويتولد المرض بطرق عديدة، فبذلك يختلف العلاج حسب طريقة تولد المرض.
إذا كان سبب تولد المرض هو التعرض لبعض المواد المعينة (مثل إستنشاق المواد الاعضوية) فعلا المريض تجنب البيئة التي تعرضه لهذه المادة. وبنفس المبدأ، إذا كان دواء معين يسيي المرض فعليه إيقافه.
العديد من الأسباب المجهولة وأمراض النسيج الضام المسببة للمرض الرئوي العلاجي يتم علاجهم بستيرويد قشري.[4] وبعض المرضى يستجيبوا لعلاج تثبيط مناعي.
المراجع
- معرف أنطولوجية المرض: http://www.disease-ontology.org/?id=DOID:3082 — تاريخ الاطلاع: 30 نوفمبر 2020 — الرخصة: CC0
- "Frequently Asked Questions About Interstitial Lung Disease - University of Chicago Medical Center".
- Bourke SJ (August 2006). "Interstitial lung disease: progress and problems". Postgrad Med J 82 (970): 494–9. doi:10.1136/pgmj.2006.046417. PMC 2585700. ببمد 16891438.
- "Interstitial lung disease: Treatments and drugs - MayoClinic.com".
- بوابة طب
.jpg.webp)