التهاب القولون الإقفاري
التهاب القولون الإقفاري (بالإنجليزية: Ischemic colitis) هوَ اضطراب يحدث نتيجة التناقص في تدفق الدم الذاهب إلى الأمعاء الغليظة (القولون),مما قد يؤدي هذا النقص في كمية الدم إلى حدوث التهابات في بعض المناطق من الكولون ، وأحيانا تحدث لدى بعض الحالات مضاعفات خطيرة قد تشكل ضرراً دائماً للقولون.الأشخاص المصابون بالتهاب القولون الإقفاري يتعرضون في أكثر الحالات إلى آلام في الجزء الأيسر من البطن وإسهال دموي وازدياد في الحركات الحووية.[1][2][3] إن التهاب القولون الإقفاري يحدث بتواتر أكبر عند كبار السن وأكثر أسباب الالتهاب شيوعاً يكون نقص التروية في الأمعاء، أو انخفاض تدفق الدم الذي من الممكن أن يشمل تغييرات في الدوران الجهازي ( انخفاض ضغط الدم ) أو العوامل المحلية مثل انقباض الأوعية الدموية أو تجلط الدم ,إغلاق الشريان المساريقي .في معظم الحالات عند التشخيص يمكن تحديد السبب لحدوث هذا الالتهاب.
| التهاب القولون الإقفاري | |
|---|---|
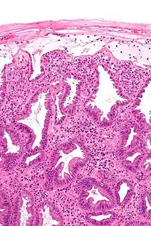
![]() صورة مجهرية تظهر التغيرات التي ترى في التهاب القولون لنقص التروية. صبغة H&E. صورة مجهرية تظهر التغيرات التي ترى في التهاب القولون لنقص التروية. صبغة H&E. | |
| معلومات عامة | |
| الاختصاص | طب الجهاز الهضمي |
| من أنواع | التهاب القولون |
الأعراض
-منع تدفق الدم إلى الأمعاء الدقيقة قد يؤدي بسرعة إلى موت الأنسجة المعوية (احتشاء أو نخر). إذا حدث هذا، فسيحتاج المريض لعملية جراحية لإزالة الانسداد وإزالة جزء من الأمعاء التي تم تدميره. ويزداد خطر حدوث الاختلاطات المرافقة لالتهاب الكولون الإقفاري عندما تستهدف الأعراض والعلامات القسم الأيمن من البطن، وذلك لأن الأوعية التي تغذي القسم الأيمن من الكولون تغذي أيضاً قسماً من المعي الدقيق، وعندما يتوقف الجريان الدموي الوارد إلى القسم الأيمن من الكولون فغالباً ما يتعرض قسم من المعي الدقيق لنقص التروية أيضاً بسبب اشتراكهما بالتروية الدموية. يكون الألم عادة أكثر شدة في هذا النوع من التهاب الكولون الإقفاري. - ألم في البطن، وايلام، أو التشنج، وعادة ما تكون محصورة في منطقة الجانب الأيسر السفلي من البطن، ويمكن أن تكون بدايتها بشكل مفاجئ أو تدريجي. - دم بلون أحمر قاني أو داكن في البراز، وفي بعض الأحيان قد يكو يحدث خروج الدم وحده دون براز. - الإسهال. - غثيان. - قيء. - شعور بالحاجة الملحة لتحريك الأمعاء والتغوط الكثير.
قد يؤدي التهاب الكولون الإقفاري غير المعالج إلى التموت النسيجي في الكولون، ويحدث الغانغرين (الغرغرينة) كنتيجة لانقطاع الجريان الدموي إلى النتطقة المستهدفة من الكولون وقد يؤدي إلى الموت إن لم تتم معالجة الحالة كما يفترض.قد يسبب التهاب الكولون الإقفاري أيضاً تمزقاً في المعي أو حدوث نزف مستمر .قد يؤدي التهاب الكولون الإقفاري حتى عند حدوث الشفاء إلى تندب الكولون وتضيقه، وقد يسبب ذلك ألماً وانسداداً هضمياً مزمناً.
الأسباب

يتضمن التهاب الكولون الإقفاري حدوث نقص في كمية الدم التي تصل إلى الكولون، وفي الحالات الحادة يكون السبب الأشيع هوَ الخثرات الدموية في الشرايين التي توصل الدم إلى الكولون . أما الحالات المزمنة فهي تترافق عادة مع تراكم ترسبات من الدهوَن (التصلب العصيدي atherosclerosis) في الأوعية الدموية التي تروي الكولون. لعمر الإنسان دور أيضا في اسباب حدوث التهاب القولون الاقفاري حيث تحدث الإصابة بتواتر أكبر لدى فئة المتقدمين بالعمر من البالغين، وإن حدثت لدى الأعمار الأصغر فهي قد تكون دليلاً على اضطراب يتعلق بتخثر الدم أو على التهاب الأوعية الدموية vasculitis. إن نقص التروية الدموية المسؤول عن التهاب الكولون الإقفاري ذو احتمال أكبر لدى الأشخاص ذوي السمات المميزة التي تترافق عادة مع أمراض القلب مثل التدخين أو ارتفاع مستويات الكولسترول, وفي بعض الحالات المرضية تصنف كمؤهبات هامة تزيد من احتمال الإصابة بالتهاب الكولون الإقفاري، أو أنها قد تكون مسؤولة عن مفاقمة الحالة عند حدوثها .تتضمن هذه الحالات العمليات الجراحية السابقة على البطن وقصور القلب وانخفاض ضغط الدم والصدمة . قد يكون التهاب الكولون الإقفاري لدى البعض من الأشخاص نتيجة أو مرافقاً لبعض من الحالات المرضية الأخرى التي تتضمن:
• التهاب الأوعية الدموية.
• تبارز عضو أو نسيج ما ضمن عضو آخر (انفتاق hernia) مما يعيق التروية الدموية الشريانية بالإضافة إلى الوريدية التي ترد وتصدر عن القسم المنفتق من المعي.
• ارتفاع السكر( الغلوكوز) في الدم (الداء السكري ).
• سهوَلة تخثر الدم (حالة فرط الخثار ).
• المعالجة الشعاعية للبطن .
• سرطان الكولون .
• إجراء عمل جراحي في الفترة القريبة، وخاصة العمليات التي تتضمن إصلاح أمهات الدم التي تصيب أوعية المغبن.
• الانتانات , مثل الشيغيللا والاشرشيا كولي والمطثيات الصعبة.
• التجفاف .
وللأثار الجانبية للأدوية لبعض الحالات دور في حدوث مضعفات الالتهاب، ومن قائمة هذه الادوية:
• مضادات الالتهاب غير الستيروئيدية NSAIDs.
• الأدوية المعيضة للاستروجين Estrogen replacement medications.
• أدوية علاج الشقيقة مثل التربتان triptan أو قلويدات الإرغوت ergot.
• بعض الأدوية المضادة للذهان Certain antipsychotic drugs.
• الأدوية الخافضة للضغط Blood pressure lowering drugs.
• البسودو إفيدرين Pseudoephedrine (مضاد احتقان يوجد كمكون للعديد من أدوية الزكام والحساسية).
• ألوسيترون alosetron وهوَ أحد علاجات متلازمة الأمعاء الهيوجة.
التشخيص والتنظير
• يتم التشخيص قبل التظير حيث يقوم الطبيب بدراسة التاريخ المرضي للمصاب .إذا كان من المدخنين .أو ان كان لديه حساسية لدى بعض الادوية .عمر المريض. • الفحص الفيزيائي السريري: , حيث يقوم الطبيب بفحص المريض في منطقة البطن ليجدد مناطق الألم ونقاط الإيلام.
•تنظير الكولون :وهذا الإجراء للتأكد بشكل ادق من الحالة، حيث يقوم الطبيب أثناءه بإدخال أنبوب التنظير وهوَ انبوب دقيق مرن مزود باضاءة وبكاميرة فيديو ويتم تمريره عبر الكولون , وتقوم الكاميرا بإرسال صور إلى جهاز عرض خارجي يمكن الطبيب من رؤية بطانة الكولون لتحري علامات التقرح أو الالتهاب النسيجي.
• الخزعة النسيجية: وتجرى كجزء من تنظير الكولون في بعض الحالات، ويتم في هذه الحالة أخذ عينة من نسيج الكولون ليتم فحصها مجهريا، وفي حالة التهاب الكولون الإقفاري فإن المنطقة المستهدفة قد يحدث تورم أو نزف تحت المخاطية فيها وبالتالي فإن تحريها واجب بأخذ خزعة نسيجية لتتم دراستها في المخبر.
يمكن لتنظير الكولون أن يفيد لنفي الأسباب الأخرى التي قد تسبب التهاب الكولون متضمنة بعض الانتانات مثل الداء المعوي الالتهابي inflammatory bowel disease, والتهاب جدران المعي (التهاب الرتوج diverticulitis) بالإضافة إلى سرطان الكولون .لدى بعض الحالات قد يكون الالتهاب شديداً فقد لا يتمكن الطبيب من رؤية كامل المعي بشكل جيد أو قد يمنعه من الحصول على الخزعات اللازمة.لذلك يتم اجراء التنظير مرة اخرى بعد ان يخف الالتهاب .
• الصور البسيطة للبطن والحوض : قد تجرى هذه الصور بالتشارك مع إعطاء حقنة الباريوم الشرجية، ويتم في هذه العملية حقن مادة ظليلة عالية التباين هي الباريوم السائل ضمن الكولون وذلك عبر المستقيم. في هذا الإجراء يتم تبطن لمعة الكولون بالمادة الظليلة ليقوم الطبيب بأخذ الصور الشعاعية ويمكن رؤية الصور على شاشة عرض وتفيد في تحري الشذوذات ضمن الكولون وتسهم في تمييز التهاب الكولون الالتهابي عن غيرها من الحالات الالتهابية. تظهر الصور التي تقترح التهاب الكولون الإقفاري وجود تسمك (انطباعات إصبعية) على جدران الكولون.
• تصوير شرايين البطن الظليل : هي صورة شعاعية بسيطة لشرايين البطن، وهي قد تبدي تضيقاً أو انسداداً في هذه الأوعية مما يقترح وجود التهاب الكولون الإقفاري، ويجرى ذلك بحقن مادة ظليلة في هذه الشرايين قبل أخذ الصور الشعاعية.
• الإيكو : يستخدم هذا الإجراء الأمواج الصوتية لرسم صور للكولون، وهوَ يفيد في نفي الاضطرابات المرضية الأخرى مثل الداء المعوي الالتهابي , ويجرى باستخدام جهاز مصدر للأمواج يمرر على بطن المريض، وترسل المعلومات التي يتلقاها المسبار إلى كمبيوتر يقوم بمعالجة المعلومات وتحويلها إلى صور.
• الطبقي المحوري : يستخدم الأطباء الطبقي المحوري في بعض الأحيان لنفي الأسباب الأخرى التي تعطي أعراضاً مشابهة لالتهاب الكولون الإقفاري، وهي تستخدم تقنية شعاعية خاصة لرسم صور مقطعية مفصلة للكولون، وقد يمكن ذلك الطبيب من تحري وجود سماكة في جدران الكولون المصاب.
•اختبارات فحص الدم: قد ترتفع كريات الدم البيضاء ,لدى المصابين بالتهاب الكولون الإقفاري، وهي ترتفع عادة عند وجود حالة التهابية في الجسم لتقوم بالتصدي للانتان، وإذا كان الطبيب يشك بوجود اضطراب تخثر لدى المريض فقد يقوم بإحالته إلى الطبيب الأخصائي بأمراض الدم , وذلك لإجراء المزيد من التحاليل الدموية الأكثر نوعية.
•تخطيط شرياني بطني : حيث يقوم باجراء فحص بالأشعة السينية للشرايين في البطن. ويمكن أن يظهر تضيق أو انسداد في هذه الاوعية، والتي قد تشير إلى التهاب القولون الاقفاري.
• التفرس المقطعي في البطن . الأطباء في بعض الأحيان يستخدمون هذا الفحص لاستبعاد الحالات التي يمكن أن تسبب أعراض مشابهة لالتهاب القولون الاقفاري. يعانون
• عينة البراز: يتم فحص عينة من البراز في المخبر وهي قد تبدي وجود جراثيم وغيرها من العوامل الانتانية الممرضة والتي تترافق أو تختلط مع الإصابة بالتهاب الكولون الإقفاري.
العلاج
يكون العلاج في التهاب الكولون الإقفاري حسب كل حالة وشدتها وتطور الالتهاب فيها، ولكن معظم حالات التهاب الكولون الإقفاري تكون خفيفة وتشفى عفوياً خلال يومين من الزمن، ولكن من المفضل ان يقوم المصاب باجراء فحوصات اولية للتاكد. عندما تكون الحالة خفيفة فقد يلجأ الطبيب إلى وصف أدوية للحفاظ على ضغط الدم في الحدود الطبيعية مما يسهم في ضمان وصول كميات مناسبة من الدم إلى الكولون. تتراجع الأعراض بتطبيق هذا العلاج المحافظ خلال 24-48 ساعة في الحالات الخفيفة ودون الحاجة إلى الاستشفاء عادة يتم الشفاء في الحالات الخفيفة خلال أسبوعين أو أقل، بينما يستغرق وقتاً أكثر من ذلك في الحالات الأشد كما أن النكس يحدث باحتمال أكبر في هذه الحالات إن كان المريض يعاني من جفاف يتم علاجه بتعويض السوائل والمواد الغذائية التي يحتاج إليها وذلك عبر الطريق الوريدي، كما قد يحتاج إلى تحديد المدخول الغذائي عبر الفم لفترة قصيرة وذلك لإعطاء الأمعاء فرصة للراحة. .إذا أصيب المريض بالتهاب الكولون الإقفاري قبل عمر ال 50 سنة أو كان قد عانى مسبقاً من تخثر في الدم قد يعمل الطبيب على علاج هذا الاضطراب باستخدام أحد مميعات الدم. يحتاج بعض الأشخاص الذين يعانون من التهاب الكولون الإقفاري المديد أو الشديد إلى العلاج الجراحي لاستئصال القسم المصاب من الكولون. كما قد يحتاج المريض إلى العلاج الجراحي عند ترافق الإصابة مع : • إيلام بطني مع ترفع حروري شديد ومعند حتى بعد المعالجة الأساسية بالسوائل والأدوية.
• حدوث انثقاب الكولون.
• غنغرينة أو خمج الدم , وتتضمن العلاجات الأخرى لهذه الحالة الخطيرة الصادات الحيوية واسعة الطيف بالإضافة إلى إعاضة الدمدم مثل الوارفرين والذي يسهم في الوقاية المستقبلية من حدوث نوبات التهاب الكولون الإقفاري.
وقاية
لا يوجد طريقة مضمونة للوقاية من التهاب الكولون الإقفاري وذلك لأن الأسباب ليست معروفة بشكل واضح، ولكن في اغلب الحالات يشفى المصاب بسرعة خلال مدة قصيرة. ولكن ينصح الأشخاص بالتوقف عن التدخين .تناول الأدوية الخافضة للكولسترول -السيطرة على الأمراض المزمنة مثل الداء السكري-ممارسة التمارين الرياضية العادية باستمرار وبشكل منتظم.
مراجع
- Lee ES, Bass A, Arko FR, et al. (2006). "Intraoperative colon mucosal oxygen saturation during aortic surgery". The Journal of surgical research. 136 (1): 19–24. doi:10.1016/j.jss.2006.05.014. PMID 16978651. الوسيط
|CitationClass=تم تجاهله (مساعدة) - Profili S, Bifulco V, Meloni G, Demelas L, Niolu P, Manzoni M (1996). "[A case of ischemic stenosis of the colon-sigmoid treated with self-expandable uncoated metallic prosthesis]". Radiol Med (Torino). 91 (5): 665–7. PMID 8693144. الوسيط
|CitationClass=تم تجاهله (مساعدة) - Hunter G, Guernsey J (1988). "Mesenteric ischemia". Med Clin North Am. 72 (5): 1091–115. PMID 3045452. الوسيط
|CitationClass=تم تجاهله (مساعدة)
وصلات خارجية
www.mayoclinic.com)
http://www.mayoclinic.com/health/ischemic-colitis/DS00794
http://www.mayoclinic.com/health/ischemic-colitis/DS00794
http://www.dababolabs.com/lab-tests/disease/I/251/Ischemic%20colitis%20/
http://www.altibbi.com/definition/ischemic+colitis
http://www.medicinenet.com/colitis/article.htm
- بوابة طب
