التهاب القولون المجهري
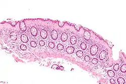
التهاب القولون المجهري (Microscopic Colitis) هوَ عبارة عن التهاب لبطانة القولون الذي يبدو فيه النسيج طبيعياً عند فحصه بالعين المجردة ولا يظهر إلا عند أخذ عينة من النسيج بواسطة المنظار وفحصها بواسطة المجهر.[1] و يصيب الأمعاء الغليظة، وتظهر أعراضه في صورة إسهال مزمن، والذي عادة ً ما يكون مائياً بمعدل أربع إلى خمس مرات يومياً، وأثناء الليل أيضاً. وإلى جانب الإسهال المائى المزمن عادةً ما يعانى المرضى أيضاً من آلام بالبطن.
| Microscopic colitis | |
|---|---|
![]() | |
| معلومات عامة | |
| الاختصاص | طب الجهاز الهضمي |
| من أنواع | التهاب القولون |
| الإدارة | |
| أدوية | |
المدخنون والنساء فوق الخمسين أكثر عُرضة للإصابة بالتهاب القولون المجهرى، وقد تم التأكيد على ضرورة إجراء منظار للقولون مع أخذ عينات من الغشاء المخاطى المبطن للأمعاء من أجل التفرقة بشكل واضح وقاطع بين التهاب القولون المجهرى والتهاب القولون العصبي.[2]
.
الأعراض
- الإسهال المزمن دون التمكن من الوصول إلى تشخيص لفترة طويلة.
- قد يصاب المريض بألم وتقلصات في البطن.
تبدأ الأعراض تدريجيا وتستمر بالاختفاء والظهوَر طيلة مدة الإصابة.
المضاعفات
- التهابات مزمنة في القولون
- الإسهال الحاد قد يؤثر على توازن المياه والأملاح في الجسم
التشخيص
يتم تشخيص هذا المرض من خلال أخذ عينات من جدار الأمعاء الغليظة بواسطة المنظار، ثم فحصها معمليا
العلاج
- جنب استخدام المسكنات ومضادات الالتهاب.
- يقوم الطبيب بتجربة استبعاد اللاكتوز من الغذاء" الحليب ومشتقاته" و الذي يودي إلى زيادة حدوث الإسهال.
- مضادات الإسهال.
- بعض الأدوية المحتوية على الكورتيزون للتحكم في الالتهاب.
- يمكن استعمال مثبتات المناعة في الحالات المتأخرة.
مراجع
- بوابة طب
صور وملفات صوتية من كومنز
