التهاب القولون التقرحي
التهاب القولون التقرحي[1] (بالإنجليزية: Ulcerative colitis) أو القولون التقرحي، هوَ نوع من أنواع أمراض الأمعاء الالتهابية، وهوَ مرض مزمن يتميز بالتهاب متواصل للطبقة السطحية (المخاطية، تحت المخاطية) من الغشاء المخاطي للقولون والمستقيم مع تشكل تقرحات في هذه الطبقة.[2][3]
| التهاب القولون التقرحي | |
|---|---|
![]() صورة بالتنظير الداخلي لمقطع من الأمعاء معروف باسم القولون السيني (على شكل الحرف الإنجليزي S) مصابة بالتهاب القولون التقرحي، والسطح الداخلي للقولون فيه بقع وجروح في بعض المناطق. صورة بالتنظير الداخلي لمقطع من الأمعاء معروف باسم القولون السيني (على شكل الحرف الإنجليزي S) مصابة بالتهاب القولون التقرحي، والسطح الداخلي للقولون فيه بقع وجروح في بعض المناطق. | |
| معلومات عامة | |
| الاختصاص | طب الجهاز الهضمي |
| من أنواع | التهاب القولون ، ومرض الجهاز الهضمي بالمناعة الذاتية |
| الإدارة | |
| أدوية | نيكوتين ، وأولسالازين ، وكورتيزول ، وبالسالازيد ، وآزاثيوبرين ، وسلفاسالازين ، وميسالازين ، وبريدنيزون ، وإيتانرسبت ، وسرتوليزوماب بيغول ، وبوديزونيد/فورموتيرول ، وفيدوليزوماب ، وبيوديسونيد ، وميثوتركسيت ، وغوليموماب ، وأداليموماب ، وتوفاسيتينيب ، ويوستكينيوماب ، وبريدنيزولون ، وتاكروليمس ، وإنفليكسيماب ، وبيتاميثازون ، وأولسالازين ، وبالسالازيد ، وميسالازين ، وبيوديسونيد
|
العَرَض الأساسي للمرض النشط هو ألم البطن والإسهال المختلط بالدم،[2] كما يمكن أن يحدث فقدان الوزن، والحمى، وفقر الدم.[2] وفي كثير من الأحيان، تظهر الأعراض ببطء، ويمكن أن تتراوح من خفيفة إلى شديدة. [2]وعادة ما تحدث الأعراض بشكل متقطع مع فترات من عدم وجود أعراض بين فترات توهجها.[2] وقد تشمل المضاعفات تضخم القولون، والتهاب العين أو المفاصل أو الكبد، وسرطان القولون.[2][4]
سبب التهاب القولون التقرحي غير معروف،[2] وتتضمن النظريات الاختلال الوظيفي في جهاز المناعة، والعوامل الوراثية، والتغيرات في بكتيريا الأمعاء الطبيعية، والعوامل البيئية.[2][5] وتميل المعدلات إلى أن تكون أعلى في العالم المتقدم مع اقتراح البعض أن يكون ذلك نتيجة لقلة التعرض للالتهابات المعوية، أو النظام الغذائي الغربي وأسلوب الحياة.[3][6] وقد تكون إزالة الزائدة الدودية في عمر مبكر وقائية.[6] ويكون التشخيص عادة عن طريق فحص القولون بالمنظار مع خزعات الأنسجة.[2] وهو نوع من داء الأمعاء الالتهابي (IBD) جنبا إلى جنب مع داء كرون والتهاب القولون المجهري.[2]
قد تحسن التغيرات الغذائية من الأعراض، مثل الحفاظ على نظام غذائي عالي السعرات الحرارية أو نظام غذائي خالٍ من اللاكتوز.[2] وتستخدم العديد من الأدوية لعلاج الأعراض وتحقيق المعافاة والحفاظ عليها، بما في ذلك أمينوساليسيلات مثل ميسالازين أو سلفاسالازين، والستيرويدات، ومثبطات المناعة مثل الآزاثيوبرين، والعلاج البيولوجي.[2] وقد يكون استئصال القولون عن طريق الجراحة ضروريًا إذا كان المرض شديدًا، أو لا يستجيب للعلاج، أو إذا ظهرت مضاعفات، مثل سرطان القولون،[2] كما يمكن أن يكون استئصال القولون والمستقيم علاج للمرض.[2][6]
أُصيب حوالي 11.2 مليون شخص بالتهاب القولون التقرحي في عام 2015 جنبا إلى جنب مع داء كرون.[7] ويحدث 1 إلى 20 حالة حديثة من كل 100,000 شخص كل عام، ويتأثر من 5 إلى 500 من كل 100,000 شخص.[3][6] ويكون المرض أكثر شيوعًا في أمريكا الشمالية وأوروبا مقارنة بالمناطق الأخرى،[6] وغالبًا ما يبدأ في الأشخاص الذين تتراوح أعمارهم بين 15 إلى 30 عامًا، أو بين من تجاوزوا الستين عامًا.[2] ويبدو أن الذكور والإناث يتأثرون بنسب متساوية،[3] كما أصبح أكثر شيوعًا منذ الخمسينيات.[3][6] ويؤثر التهاب القولون التقرحي وداء كرون معا على ما يقرب من مليون شخص في الولايات المتحدة،[8] ومع العلاج المناسب، فإن خطر الموت بسبب التهاب القولون التقرحي يكون مماثل لخطر الموت بين عموم السكان.[4] وحدث أول وصف لالتهاب القولون التقرحي في الخمسينيات.[6]
أسبابه
أسباب المرض غير معروفة، ولكن يعتقد الأطباء أن الجهاز المناعيّ يستجيب لتأثير فيروسي أو جرثومي معين يؤدي إلى التهاب جدار القولون، وحين يهاجم الجهاز المناعي جدار الأمعاء فإنه يمكن أن يسبب فيه التهابًا وتورمًا وتلفًا وتقيحًا.
وتشير النظريات إلى تدخل أكثر من عامل في تكوين المرض، مثل:
عوامل وراثية
- يمكن افتراض أن العامل الجيني سببا في التهاب القولون التقرحي اعتمادا على ما يلي:[9]
- وجود تاريخ مرضي للمرض في العائلات.
- يحدث في التوائم المتطابقة بمعدل 10%، والتوائم ثنائية الزيجوت بمعدل 3%.[10]
- الاختلاف الإثيني في الحدوث.
- العلامات والارتباطات الجينية.
ووُجِد أن الصبغيات 16 و12 و6 و14 و5و 19 و1 و3 لها علاقة مباشرة مع المرض،[11] كما وجد أن المرض يكثر بين أفراد العائلات المصابة بأمراض المناعة الذاتية.
عوامل بيئية
- النظام الغذائي: وجد أن العادات الغذائية تؤثر باحتمالية حدوث المرض، وقد حققت دراسات قليلة في مثل هذه العلاقة، وأظهرت دراسة ما عدم وجود ارتباط بين السكر المكرر وانتشار التهاب القولون التقرحي،[12] ووجد أن الغذاء الغني بالألياف له صفة واقية من المرض، بينما قد يزيد تناول الدهون غير المشبعة وفيتامين ب6 بكميات كبيرة من خطر الإصابة بالتهاب القولون التقرحي،[13] وتشمل العوامل الغذائية الأخرى التي قد تؤثر على تطور و/أو انتكاسة المرض بروتين اللحوم والمشروبات الكحولية،[14][15] كما تم التحقق من أن الكبريت متورط في مسببات التهاب القولون التقرحي، ولكن ذلك أمر مثير للجدل،[16] وترتبط نظرية الكبريت كعامل مسبب للمرض بالميكروبات الموجودة في الأمعاء وإزالة السموم من الكبريتيد المخاطي بالإضافة إلى النظام الغذائي.[17][18][19]
- الرضاعة الطبيعية: تتعارض بعض التقارير عن حماية الرضاعة الطبيعية من تطور مرض الأمعاء الالتهابي مع بعضها البعض، وأظهرت دراسة إيطالية وجود تأثير وقائي محتمل.[20]
- وجدت دراسة ما على الآيزوتريتينوين زيادة صغيرة في معدل التهاب القولون التقرحي.[21]
مرض مناعي ذاتي
التهاب القولون التقرحي هو أحد أمراض المناعة الذاتية التي تتميز بالخلايا التائية التي تنتشر إلى القولون.[22] وعلى النقيض من داء كرون، الذي يمكن أن يؤثر على مناطق من الجهاز الهضمي خارج القولون، فإن التهاب القولون التقرحي عادة ما يتضمن المستقيم ويقتصر على القولون، مع تورط اللفائفي في بعض الأحيان.
نظريات بديلة
تميل مستويات البكتيريا المختزلة للكبريت إلى أن تكون أعلى لدى الأشخاص المصابين بالتهاب القولون التقرحي، مما قد يشير إلى وجود مستويات أعلى من كبريتيد الهيدروجين في الأمعاء. وتقترح نظرية بديلة أن أعراض المرض قد تكون ناجمة عن التأثيرات السامة لكبريتيد الهيدروجين على الخلايا المبطنة للأمعاء.[23]
عوامل الخطر
| مرض كرون | التهاب القولون التقرحي | |
|---|---|---|
| التدخين | تزيد نسبة الإصابة في المدخنين | تقل نسبة الإصابة في المدخنين |
| العمر | بين 15 و30 | بين 15 و25 |
الأعراض والعلامات
الجهاز الهضمي
يعتمد العرض السريري[24] لالتهاب القولون التقرحي على مدى انتشار المرض. وعادة ما يعاني المرضى المصابين من:
- الإسهال المزمن : إسهال ممزوج بالدم والمخاط ذو بداية تدريجية، ويستمر لفترة طويلة (أسابيع)، ويعتبر أكثر أعراضه شيوعاً
- النزف من المستقيم.
- يؤدي الالتهاب الناجم عن المرض إلى جانب النزيف المزمن من الجهاز الهضمي إلى زيادة معدلات فقر الدم.
- قد يصاحب المرض درجات مختلفة من آلام البطن، تتراوح من الانزعاج البسيط إلى حركات الأمعاء المؤلمة أو التشنج البطني المؤلم مع حركات الأمعاء.
- التعب والإرهاق الجسدي والنفسي.
- فقدان الوزن
- فقدان الشهية
يرتبط التهاب القولون التقرحي بعملية التهابية عامة يمكن أن تؤثر على أجزاء كثيرة من الجسم. وفي بعض الأحيان، تكون هذه الأعراض المصاحبة للأمراض المعوية هي العلامات الأولية للمرض، مثل بالتهاب المفاصل المؤلم في المراهقين، والذي يمكن رؤيته أيضًا عند البالغين، ومع ذلك قد لا يتم تشخيص التهاب القولون التقرحي حتى ظهور الأعراض المعوية.
خارج الجهاز الهضمي

يُعتقد أن التهاب القولون التقرحي له أصل نظامي (أي المناعة الذاتية)، وقد يُظهِر المرضى أمراض مصاحبة تؤدي إلى أعراض ومضاعفات خارج القولون، وقد تم الإبلاغ عن تكرار مثل هذه المظاهر الخارجية بنسبة تتراوح بين 6 و47 في المئة، [25]وتشمل ما يلي:
- التهاب الفم القلاعي
- العين:
- الهيكل العظمي والعضلات:
- التهاب المفاصل السلبي المصل، الذي قد يصيب مفصل واحد كبير أو اثنين، أو يصيب المفاصل الصغيرة في اليد والقدم
- التهاب الفقار القسطي (التهاب العمود الفقري)
- التهاب المفصل العجزي الحرقفي
- الجلد:
- خثار وريدي عميق
- انصمام رئوي
- فقر الدم الانحلالي بالمناعة الذاتية
- تعجر الأصابع، وهو تشوه في نهايات الأصابع
- التهاب الأوعية الصفراوية المصلب الابتدائي، وهو مرض يسبب التهاب في القنوات الصفراوية
| مرض كرون | التهاب لأمعاء التقرحي | |
|---|---|---|
| التغوط | إسهال دهني أشبه بالعصيدة | مخاطي مصحوبا مع الدم |
| الزحير | أقل شيوعا | أكثر شيوعا |
| ارتفاع حرارة الجسم | اقل شيوعا | أكثر شيوعا |
| الناسور | غالبا | نادرا |
| فقدان الوزن | غالبا | نادرا |
التشخيص
_active.jpg.webp)
للوصول إلى التشخيص الصحيح، يحتاج المريض إلى فحص سريري شامل وإلى إجراء سلسلة من الفحوص الطبية تشتمل على:[26][27]
- اختبارات الدم التي قد توضح وجود نقص في تعداد خلايا الدم الحمراء، أي فقر الدم أو الأنيميا، مما يشير إلى حدوث نزيف من القولون. كما يمكن أن تكشف اختبارات الدم عن زيادة في عدد الكريات البيضاء، وهذا ما يشير إلى وجود التهاب، وزيادة عدد الصفيحات في بعض الأحيان.
- فحص عينة من البراز، وعمل مزرعة براز التي قد تكشف عن وجود نزف أو عدوى في القولون؛ من أجل استبعاد التهاب القولون الجرثومي.
- دراسة الكهارل واختبارات وظائف الكلى، حيث أن الإسهال المزمن قد يسبب نقص بوتاسيوم الدم ونقص مغنيسيوم الدم.
- اختبارات وظائف الكبد للكشف عن إصابة القنوات الصفراوية (التهاب الأوعية الصفراوية المصلب الابتدائي).
- تحليل البول.
- الأشعة السينية.
- قياس معدل ترسيب كرات الدم الحمراء، ويشير ارتفاع معدل الترسيب إلى وجود عملية التهابية.
- قياس البروتين المتفاعل-C، وارتفاعه يشير إلى وجود التهاب.
- تنظير القولون السيني، وهو نوع من التنظير يمكن أن يكتشف وجود القرح في الأمعاء الغليظة بعد حقنة شرجية.
وعلى الرغم من أن التهاب القولون التقرحي هو مرض سببه غير معروف، إلا أنه يجب إجراء تحقيقات حول العوامل غير الاعتيادية التي يعتقد أنها تسبب المرض.[26]
وتم إنشاء مؤشر نشاط التهاب القولون السريري البسيط في عام 1998، حيث يستخدم لتقييم شدة الأعراض.[28][29]
التنظير الداخلي
_endoscopic_biopsy.jpg.webp)
الأفضل في التشخيص هوَ رؤية ما يحدث داخل القولون عن طريق تنظير للقولون، أي إدخال المنظار عبر فتحة الشَرْج لرؤية بطانة الأمعاء الغليظة (القولون). والمنظار هوَ أنبوب طويل مرن مزود بضوء ومتصل بجهاز كمبيوتر وشاشة تلفزيون. ومن خلاله يرى الطبيب أي التهاب أو نزف، يجوز للطبيب أن يحد من نطاق الاختبار إذا واجه التهاب القولون الحاد؛ لتقليل خطر انثقاب القولون. وتتضمن نتائج التنظير الداخلي في التهاب القولون التقرحي ما يلي:
- فقدان مظهر الأوعية الدموية في القولون
- الحمامى (أو احمرار الغشاء المخاطي) وهشاشته
- تقرح سطحي، والذي قد يكون متكدس
- زوائد كاذبة
عادة ما يكون التهاب القولون التقرحي مستمرا من المستقيم مع إصابة المستقيم بشكل شبه كامل، بينما وجود المرض حول فتحة الشرج أمر نادر الحدوث. وتتراوح درجة التدخل بالتنظير الداخلي من التهاب المستقيم، إلى التهاب القولون من الجانب الأيسر، إلى التهاب البنكرياس، وهو التهاب يشمل القولون الصاعد.
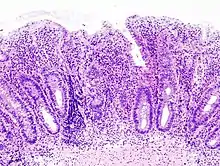
فحص الأنسجة
يتم أخذ خزعات الغشاء المخاطي للتشخيص بشكل نهائي وتمييزه عن داء كرون، الذي تتم إدارته بشكل مختلف سريريًا. وتؤخذ العينات الميكروبيولوجية في وقت التنظير الداخلي. يتضمن المرض في التهاب القولون التقرحي عادةً تشوه بنية الخبايا والتهابها، وتكون خراجات، مع وجود نزف أو خلايا التهابية في الصفيحة المخصوصة. وفي الحالات التي تكون فيها الصورة السريرية غير واضحة، غالبا ما يلعب تحليل الأنسجة وشكلها دورًا محوريًا في تحديد التشخيص وبالتالي العلاج. وعلى النقيض من ذلك، قد يكون تحليل الخزعة غير محدد، وبالتالي فإن التقدم السريري للمرض يجب أن يحدد علاجه.
التشخيص التفريقي

من الأمراض التي قد يكون لها أعراض متشابهة مع الالتهاب القولوني التقرحي:
- داء كرون
- التهاب القولون العدوائي
- التهاب القولون الإقفاري
- التهاب القولون بسبب الإشعاع
- التهاب القولون بسبب العلاج الكيميائي
- الخباثة
| كرون | التهاب الأمعاء التقرحي | |
|---|---|---|
| إصابة الجزء الأخير من المعي اللفائفي | شائع | نادرا |
| إصابة القولون | أحيانا | دائما |
| إصابة المستقيم | نادرا | أحيانا |
| إصابة منطقة حول الشرج | شائع | نادرا |
| إصابة القناة الصفراوية | لا يوجد زيادة في نسبة حدوث التهاب الأقنية الصفراوية المصلب الأولي | نسبة حدوث أعلى |
| توزع المرض | مناطق التهابية تظهر كالرقع (آفات انتقالية) | مناطق التهابية مستمرة |
| التنظير الداخلي | قرحة عميقة وساعية (مثل الأفعى) | تقرح مستمر |
| عمق الالتهاب | كامل الجدار، عميق يصل للأنسجة | سطحي، يصل للطبقة المخاطية |
| تضيق | شائع | نادر |
| ظهور روم حبيبي في الخزعة | ممكن رؤية ورم حبيبي غير ناخر ولا يصيب خباياالأمعاء | الورح الحبيبي الذي لا يصيب خبايا الأمعاء لا يمكن رؤيته |
العلاج
يعتمد العلاج الرئيسي لالتهاب القولون التقرحي على مدى انتشاره وشدة المرض، والهدف هو إحداث تقليص للمرض في البداية بالأدوية عن طريق تخفيف الأعراض ومعافاة الغشاء المخاطي لبطانة القولون، يليه استخدام أدوية لمنع الانتكاس والمضاعفات، ويتطلب التهاب القولون التقرحي الحاد الشديد دخول المستشفى، واستبعاد العدوى، واستخدام الكورتيكوستيرويدات.[30]
وللمراحل الحادة من المرض، يمكن التوصية بنظام غذائي منخفض الألياف.[31][32]
العلاج الدوائي
يمكن علاج التهاب القولون التقرحي بعدد من الأدوية، بما في ذلك عقاقير حمض 5-الأمينوساليسليك (5-ASA) مثل السلفاسالازين والميسالازين. ويمكن أيضًا استخدام الكورتيزون، مثل بريدنيزون بسبب خصائصها المثبطة للمناعة وقدرتها قصيرة المدى على المعافاة، ولكن نظرًا لأن مخاطرها تفوق منافعها، فإنها لا تستخدم على المدى الطويل في العلاج. ولا تعطى الأدوية المثبطة للمناعة، مثل الآزاثيوبرين والمواد البيولوجية، مثل إنفليكسيماب وأداليموماب إلا إذا كان المرضى لا يتحسنون مع 5-ASA والكورتيكوستيرويدات. ويقل استخدام هذه العلاجات بسبب عوامل الخطر المحتملة، بما في ذلك على سبيل المثال لا الحصر زيادة خطر الإصابة بالسرطان لدى المراهقين والبالغين،[33] والسل، وفشل القلب (هذه الآثار الجانبية نادرة). وتمت الموافقة على صياغة بيوديسونيد من قِبَل إدارة الغذاء والدواء لعلاج التهاب القولون التقرحي النشط في يناير 2013،[34] بينما لا تُظهِر الأدلة على الميثوتركسيت فائدة في شفاء الأشخاص المصابين بالتهاب القولون التقرحي.[35] وقد أظهرت بعض الاستخدامات غير المعلنة لبعض العقاقير، مثل السيكلوسبورين والتاكروليمس بعض الفوائد.[36][37] وقد أظهر فيكسوفينادين، وهو عقار مضاد للهيستامين يستخدم في علاج الحساسية، نتائج واعدة في العلاج في بعض الدراسات،[38][39] حيث أن انخفاض امتصاص الجهاز الهضمي للفيكسوفينادين يؤدي إلى زيادة تركيزه في موقع الالتهاب. وهكذا، فإن الدواء قد يقلل من إفراز الهيستامين محليا من قبل الخلايا البدينة المعوية المعنية، وتخفيف الالتهاب.
النيكوتين
خلافا لداء كرون، فإن التهاب القولون التقرحي له معدل انتشار أقل لدى المدخنين من غير المدخنين.[40][41] وقد أظهرت الدراسات التي تستخدم لصقات النيكوتين عبر الجلد تحسنا سريريا ونسيجيا.[42]
استخدام لصقات النيكوتين عبر الجلد دون إضافة العلاجات الأساسية الأخرى مثل ميسالازين لها معدلات حدوث الانتكاس مماثلة لاستخدام العلاجات الأساسية دون استخدام النيكوتين.
مكملات الحديد
يؤدي الفقدان التدريجي للدم من القناة الهضمية، بالإضافة إلى الالتهاب المزمن إلى فقر الدم، وتشير الدلائل الإرشادية المهنية إلى ضرورة المراقبة المنتظمة لفقر الدم عن طريق إجراء اختبارات للدم تتكرر كل ثلاثة أشهر في حالة المرض النشط، وسنويًا في حالة المرض المستقر.[43] وتحسن السيطرة على المرض بشكل كاف عادة من فقر الدم في الأمراض المزمنة، ولكن ينبغي علاج فقر الدم بسبب نقص الحديد بمكملات الحديد. ويعتمد الشكل الذي يتم به العلاج على شدة فقر الدم وعلى الإرشادات التي يتم اتباعها. ينصح البعض باستخدام الحديد بالحَقن أولاً؛ لأن المرضى يستجيبون له بسرعة أكبر، وهو مرتبط بعدد أقل من الآثار الجانبية المعدية المعوية، ولا يرتبط بقضايا طواعية المريض،[44] بينما يحتاج آخرون إلى استخدام الحديد عن طريق الفم أولاً، حيث يستجيب المرضى، وسيتحمل العديد منهم الآثار الجانبية.[43][45] وتنص كل الدلائل الإرشادية على أنه يجب إعطاء الحديد بالحَقن في حالات فقر الدم الشديد (مستوى هيموجلوبين أقل من 100 جم/لتر).
العلاج الجراحي
خلافا لداء كرون، يمكن بشكل عام علاج الجوانب المعوية من التهاب القولون التقرحي عن طريق الاستئصال الجراحي للأمعاء الغليظة، على الرغم من أن الأعراض خارج الجهاز الهضمي قد تستمر، وهو إجراء ضروري في حالة الاستنزاف، أو الانثقاب، أو السرطان المؤكد أو المشتبه به بدرجة كبيرة. ويُوصى بالجراحة أيضا للمرضى الذين يعانون من التهاب القولون الشديد أو تضخم القولون السام.
ويؤثر التهاب القولون التقرحي على أجزاء كثيرة من الجسم خارج الأمعاء. وفي حالات نادرة، قد تتطلب الأعراض غير المعوية للمرض إزالة القولون.[26]
فصل الكريات البيض
لا يزال فصل الكريات البيض يتطلب تجارب واسعة النطاق لتحديد ما إذا كان فعالا أم لا،[46] ولكن النتائج من التجارب الصغيرة كانت إيجابية بشكل مبدئي.[47]
الطب البديل
يستخدم حوالي 21 ٪ من مرضى داء الأمعاء الالتهابي علاجات بديلة،[48] وتُظهِر مجموعة متنوعة من العلاجات الغذائية نتائج واعدة، لكنها تحتاج إلى مزيد من البحث قبل التوصية بها.[49]
- ميلاتونين: قد يكون مفيدا طبقا لأبحاث المختبر، والدراسات على الحيوانات والبشر.[50]
- الألياف الغذائية: في النباتات، مثل البراسيكا التي لها القدرة على شفاء القرح في الجهاز الهضمي عند تناولها دون طهيها.[51]
- زيت السمك وحمض الإيكوسابنتاينويك المشتق من زيت السمك: تثبط اللوكوترايينات المسؤولة عن العملية الالتهابية، ولكن لا يوجد دراسات نهائية تدعم استخدامها أو تحدد جرعتها، ولكن يُوصى باستخدام حمض الإيكوسابنتاينويك بجرعة من 180 إلى 1500 ملغ/يوم في أمراض أخرى خاصة التي لها علاقة بالقلب،[52] كما يحتوي زيت السمك على فيتامين د الذي يكون قليلا في كثير من مرضى داء الأمعاء الالتهابي.[53]
- يتم استخدام الأدوية العشبية من قبل المرضى الذين يعانون من التهاب القولون التقرحي.
- علاج الديدان الطفيلية هو استخدام النيماتودا الطفيلية المعوية لعلاج التهاب القولون التقرحي، ويقوم على الفرضية الصحية. وقد أظهرت الدراسات أن الديدان الطفيلية تُحسن وتكون أكثر فاعلية من الكورتيكوستيرويدات اليومية في منع التهاب القولون الناجم كيميائيا في الفئران.[54][55]
- قد يكون العلاج بالكركم بالتزامن مع تناول أدوية الميسالازين أو سلفاسالازين فعالا وآمنا للحفاظ على معافاة المرضى الذين يعانون من التهاب القولون التقرحي المستقر، ولكن لا يزال تأثير العلاج بالكركم وحده على التهاب القولون التقرحي المستقر غير معروف.[56]
مضاعفات المرض

- فقدان في الوزن والنحول العام
- التهاب العين
- التهاب المفاصل
- تقرحات في الفم
- ارتفاع إنزيمات الكبد والتهاب الكبد ونادرا تليفه
- اضطرابات في النمو في مرحلة الطفولة
- فقر دم شديد
- توسعات سامة في القولون مترافقة مع التهاب الصفاق مع خطر تشكل ثقوب
- خطر الإصابة بالسرطان: خطر التسرطن في حالة هذا المرض يرتبط مع درجة إصابة القولون ومدة الإصابة[57]
مسار المرض
| داء كرون | إلتهاب القولون | ||
|---|---|---|---|
| العجز الغذائي | خطر مرتفع | ||
| خطر سرطان القولون | بسيط | متوسط | |
| نسبة المضاعفات خارج الجهاز الهضمي[58] | |||
| التهاب القزحية/التهاب العنبية | الإناث | 2.2% | 3.2% |
| الذكور | 1.3% | 0.9% | |
| التهاب الأقنية الصفراوية المصلب الأولي | الإناث | 0.3% | 1% |
| الذكور | 0.4% | 3% | |
| التهاب الفقار المقسط | الإناث | 0.7% | 0.8% |
| الذكور | 2.7% | 1.5% | |
| تقيح الجلد الغنغريني | الإناث | 1.2% | 0.8% |
| الذكور | 1.3% | 0.7% | |
| الحمامى العقدية | الإناث | 1.9% | 2% |
| الذكور | 0.6% | 0.7% | |
يتميز هذا المرض بفترات من التحسن تليها دورات مرضية عندما تشتعل الأعراض، وعادةً ما يكون لدى مرضى التهاب المستقيم أو التهاب الجانب الأيسر من القولون مسارا أكثر اعتدالًا، حيث يتطور المرض للناحية القريبة في 15٪ فقط من المرضى، ويتحسن ما يصل إلى 20٪ من الحالات دون أي علاج، بينما المرضى الذين يعانون من مرض أكثر انتشارا هم أقل عرضة لتقلص الإصابة، ومع ذلك فإن معدل التقلص مستقل عن شدة المرض.
سرطان القولون والمستقيم
يزداد خطر الإصابة بسرطان القولون والمستقيم بشكل ملحوظ في المرضى الذين يعانون من التهاب القولون التقرحي بعد مرور عشر سنوات إذا كانت الإصابة خارج ثنية الطحال، بينما لا يكون لدى المرضى الذين يعانون من التهاب المستقيم فقط أو التهاب القولون السيني والمستقيم عادة أي خطر متزايد.[26] ومن المستحسن أن يقوم المرضى بفحص القولون بالمنظار مع خزعات عشوائية للبحث عن خلل التنسج بعد ثمان سنوات من نشاط المرض، وذلك على فترات تتراوح من سنة إلى سنتين.[59]
التهاب الأوعية الصفراوية المصلب الابتدائي
التهاب القولون التقرحي له ارتباط كبير مع التهاب الأوعية الصفراوية المصلب الابتدائي، وهو اضطراب التهابي تدريجي للقنوات الصفراوية الصغيرة والكبيرة، حيث يصاب به ما يقرب من 5٪ من المرضى الذين يعانون من التهاب القولون التقرحي.[60]
الوفاة
لم تكشف الأبحاث عن أي اختلاف في المعدل الكلي لخطر الموت في المرضى الذين يعانون من التهاب القولون التقرحي من عامة الناس، وقد يكون توزيع سبب الوفاة مختلفًا عن توزيع عامة الناس.[61] ويُعتقد أن المرض يؤثر في المقام الأول على جودة الحياة، وليس على مدى الحياة.
سمات أخرى طويلة المدى
تشمل التغييرات التي يمكن رؤيتها في التهاب القولون التقرحي المزمن التحبب، وفقدان نمط الأوعية الدموية في الغشاء المخاطي، وفقدان الثنيات، وفقدان الصمام اللفائفي الأعوري، والجسور المخاطية، والتضيقات، والزوائد الكاذبة.[62]
انتشار المرض
التوزيع الجغرافي لمرضي التهاب القولون التقرحي وداء كرون متشابه في جميع أنحاء العالم[63] مع وجود أعلى عدد من الحالات الجديدة في السنة من التهاب القولون التقرحي في كندا، ونيوزيلندا، واسكتلندا، والمملكة المتحدة،[64] ويبدأ في الغالب بين سن 15 و25 سنة، بينما تكون الذروة الثانية من بداية العقد السادس من العمر.[65] وبشكل عام، توجد معدلات حدوث أعلى في المواقع الشمالية مقارنة بالمواقع الجنوبية في أوروبا[66] والولايات المتحدة.[67]
وكما هو الحال مع داء كرون، فإن معدلات حدوث التهاب القولون التقرحي تكون أكبر بين اليهود الأشكناز، وتتناقص تدريجيا في أشخاص آخرين من أصل يهودي، وغير القوقازيين غير اليهود، والأفارقة، وذوي الأصول الأسبانية، والآسيويين.[68] ويحمي استئصال الزائدة الدودية قبل عمر 20 عامًا بسبب التهاب الزائدة الدودية[69] واستخدام التبغ الحالي[70] من تطور المرض (على الرغم من أن استخدام التبغ السابق يرتبط بزيادة خطر الإصابة بالمرض.[70])
الولايات المتحدة
اعتبارا من عام 2004، كان عدد الحالات الجديدة من التهاب القولون التقرحي في الولايات المتحدة بين 2.2 و14.3 لكل 100,000 في السنة،[71] بينما يتراوح عدد الأشخاص المصابين في الولايات المتحدة بين 37 و246 لكل 100,000 شخص.[71]
كندا
في كندا، بلغ عدد الحالات الجديدة سنويا 12.9 لكل 100,000 من السكان أو 4500 حالة جديدة بين عامي 1998 و2000. وقُدِر عدد الأشخاص المتضررين بـ 211 لكل 100,000 أو 104,000 شخص.[72]
المملكة المتحدة
يُطور 10 من كل 100 ألف شخص ذلك المرض كل عام في المملكة المتحدة، في حين أن عدد الأشخاص المصابين هو 243 لكل 100,000 شخص. وتم تشخيص ما يقرب من 146,000 شخص في المملكة المتحدة بالتهاب القولون التقرحي.[73]
الأبحاث
لقد أظهر العلاج بالديدان الطفيلية باستخدام الدودة السوطية في تجربة منضبطة معشاة في ولاية أيوا فائدة في المرضى الذين يعانون من التهاب القولون التقرحي.[74] ويختبر العلاج الفرضية الصحية التي تجادل بأن غياب الديدان الطفيلية من قولون المرضى في العالم المتقدم قد يؤدي إلى التهاب. ويحث كل من العلاج الديداني والعلاج البكتيري البرازي على استجابة خلايا تي المساعدة من الخلايا البيضاء في المناطق المريضة، والتي كانت غير متوقعة بالنظر إلى أن التهاب القولون التقرحي كان ينطوي على زيادة في إنتاج خلايا ني المساعدة.[75]
أليكافورسين هو الجيل الأول من عديد النيكلوتيد منقوص الأكسجين المصمم للارتباط على وجه التحديد مع رنا رسول جزيء لاصق بين الخلايا-1 (ICAM-1) البشري من أجل قمع التعبير عن الجزيء اللاصق بين الخلايا-1،[76] وينشر ICAM-1 استجابة التهابية تشجع على تسرب وتفعيل الكريات البيض إلى الأنسجة الملتهبة.[76] وقد لوحظ زيادة التعبير عن ICAM-1 داخل الغشاء المخاطي المعوي الملتهب لمرضى التهاب القولون التقرحي، حيث يرتبط زيادة إنتاج ICAM-1 مع نشاط المرض،[77] ويشير ذلك إلى أن ICAM-1 هو هدف علاجي محتمل في علاج التهاب القولون التقرحي.[78]
يمكن أن ترتبط البكتيريا إيجابية الجرام الموجودة في التجويف امتداد وقت الانتكاس لالتهاب القولون التقرحي.[79]
وهناك سلسلة من العقاقير قيد التطوير تعمل على تعطيل عملية الالتهاب عن طريق استهداف قناة أيونية في شلال إشارات الالتهاب المعروف باسم KCa3.1.[80] وفي دراسة ما قبل السريرية في الجرذان والفئران، عطَّل تثبيط KCa3.1 إنتاج السيتوكينات إنترلوكين 2 وعامل نخر الورم، وتراجع الالتهاب القولوني بشكل فعال مثل السلفاسالازين.[80]
انظر أيضًا
المراجع
- Al-Qamoos القاموس | English Arabic dictionary / قاموس إنجليزي عربي نسخة محفوظة 20 أغسطس 2018 على موقع واي باك مشين.
- "Ulcerative Colitis". NIDDK. سبتمبر 2014. مؤرشف من الأصل في 28 يوليو 2016. اطلع عليه بتاريخ 3 أغسطس 2016. الوسيط
|CitationClass=تم تجاهله (مساعدة) - Ford, AC; Moayyedi, P; Hanauer, SB (5 February 2013). "Ulcerative colitis". BMJ (Clinical research ed.). 346: f432. doi:10.1136/bmj.f432. PMID 23386404. الوسيط
|CitationClass=تم تجاهله (مساعدة) - Wanderås, Magnus Hofrenning; Moum, Bjørn A; Høivik, Marte Lie; Hovde, Øistein (2016-05-06). "Predictive factors for a severe clinical course in ulcerative colitis: Results from population-based studies". World Journal of Gastrointestinal Pharmacology and Therapeutics. 7 (2): 235–241. doi:10.4292/wjgpt.v7.i2.235. ISSN 2150-5349. PMC 4848246. PMID 27158539. الوسيط
|CitationClass=تم تجاهله (مساعدة) - Akiho, Hirotada; Yokoyama, Azusa; Abe, Shuichi; Nakazono, Yuichi; Murakami, Masatoshi; Otsuka, Yoshihiro; Fukawa, Kyoko; Esaki, Mitsuru; Niina, Yusuke (2015-11-15). "Promising biological therapies for ulcerative colitis: A review of the literature". World Journal of Gastrointestinal Pathophysiology. 6 (4): 219–227. doi:10.4291/wjgp.v6.i4.219. ISSN 2150-5330. PMC 4644886. PMID 26600980. الوسيط
|CitationClass=تم تجاهله (مساعدة) - Danese, S; Fiocchi, C (3 November 2011). "Ulcerative colitis". The New England Journal of Medicine. 365 (18): 1713–25. doi:10.1056/NEJMra1102942. PMID 22047562. الوسيط
|CitationClass=تم تجاهله (مساعدة) - GBD 2015 Disease and Injury Incidence and Prevalence, Collaborators. (8 October 2016). "Global, regional, and national incidence, prevalence, and years lived with disability for 310 diseases and injuries, 1990-2015: a systematic analysis for the Global Burden of Disease Study 2015". Lancet. 388 (10053): 1545–1602. doi:10.1016/S0140-6736(16)31678-6. PMC 5055577. PMID 27733282. الوسيط
|CitationClass=تم تجاهله (مساعدة) - Adams, James G. (2012). Emergency Medicine E-Book: Clinical Essentials (Expert Consult -- Online) (باللغة الإنجليزية). Elsevier Health Sciences. صفحة 304. ISBN 1455733946. مؤرشف من الأصل في 16 مارس 2020. الوسيط
|CitationClass=تم تجاهله (مساعدة) - Orholm M, Binder V, Sørensen TI, Rasmussen LP, Kyvik KO (2000). "Concordance of inflammatory bowel disease among Danish twins. Results of a nationwide study". Scandinavian Journal of Gastroenterology. 35 (10): 1075–81. doi:10.1080/003655200451207. PMID 11099061. الوسيط
|CitationClass=تم تجاهله (مساعدة) - Tysk C, Lindberg E, Järnerot G, Flodérus-Myrhed B (1988). "Ulcerative colitis and Crohn's disease in an unselected population of monozygotic and dizygotic twins. A study of heritability and the influence of smoking". Gut. 29 (7): 990–996. doi:10.1136/gut.29.7.990. PMC 1433769. PMID 3396969. الوسيط
|CitationClass=تم تجاهله (مساعدة) - Inflammatory bowel disease: clinical aspects and established and evolving therapies - ScienceDirect نسخة محفوظة 25 مارس 2019 على موقع واي باك مشين.
- Järnerot G, Järnmark I, Nilsson K (1983). "Consumption of refined sugar by patients with Crohn's disease, ulcerative colitis, or irritable bowel syndrome". Scandinavian Journal of Gastroenterology. 18 (8): 999–1002. doi:10.3109/00365528309181832. PMID 6673083. الوسيط
|CitationClass=تم تجاهله (مساعدة) - Geerling BJ, Dagnelie PC, Badart-Smook A, Russel MG, Stockbrügger RW, Brummer RJ (April 2000). "Diet as a risk factor for the development of ulcerative colitis". The American Journal of Gastroenterology. 95 (4): 1008–13. doi:10.1111/j.1572-0241.2000.01942.x. PMID 10763951. الوسيط
|CitationClass=تم تجاهله (مساعدة) - Jowett SL, Seal CJ, Pearce MS, Phillips E, Gregory W, Barton JR, Welfare MR (October 2004). "Influence of dietary factors on the clinical course of ulcerative colitis: a prospective cohort study". Gut. 53 (10): 1479–84. doi:10.1136/gut.2003.024828. PMC 1774231. PMID 15361498. الوسيط
|CitationClass=تم تجاهله (مساعدة) - Andersen V, Olsen A, Carbonnel F, Tjønneland A, Vogel U (March 2012). "Diet and risk of inflammatory bowel disease". Digestive and Liver Disease. 44 (3): 185–94. doi:10.1016/j.dld.2011.10.001. PMID 22055893. الوسيط
|CitationClass=تم تجاهله (مساعدة) - Tilg H, Kaser A (1 October 2004). "Diet and relapsing ulcerative colitis: take off the meat?". Gut. 53 (10): 1399–1401. doi:10.1136/gut.2003.035287. PMC 1774255. PMID 15361484. الوسيط
|CitationClass=تم تجاهله (مساعدة) - Moore J, Babidge W, Millard S, Roediger W (January 1998). "Colonic luminal hydrogen sulfide is not elevated in ulcerative colitis". Digestive Diseases and Sciences. 43 (1): 162–5. doi:10.1023/A:1018848709769. PMID 9508519. الوسيط
|CitationClass=تم تجاهله (مساعدة) - Jørgensen J, Mortensen PB (August 2001). "Hydrogen sulfide and colonic epithelial metabolism: implications for ulcerative colitis". Digestive Diseases and Sciences. 46 (8): 1722–32. doi:10.1023/A:1010661706385. PMID 11508674. الوسيط
|CitationClass=تم تجاهله (مساعدة) - Picton R, Eggo MC, Langman MJ, Singh S (February 2007). "Impaired detoxication of hydrogen sulfide in ulcerative colitis?". Digestive Diseases and Sciences. 52 (2): 373–8. doi:10.1007/s10620-006-9529-y. PMID 17216575. الوسيط
|CitationClass=تم تجاهله (مساعدة) - Corrao G, Tragnone A, Caprilli R, Trallori G, Papi C, Andreoli A, Di Paolo M, Riegler G, Rigo GP, Ferraù O, Mansi C, Ingrosso M, Valpiani D (1998). "Risk of inflammatory bowel disease attributable to smoking, oral contraception and breastfeeding in Italy: a nationwide case-control study. Cooperative Investigators of the Italian Group for the Study of the Colon and the Rectum (GISC)" (PDF). International Journal of Epidemiology. 27 (3): 397–404. doi:10.1093/ije/27.3.397. PMID 9698126. مؤرشف من الأصل (PDF) في 11 مايو 2020. الوسيط
|CitationClass=تم تجاهله (مساعدة) - Wolverton, SE; Harper, JC (April 2013). "Important controversies associated with isotretinoin therapy for acne". American Journal of Clinical Dermatology. 14 (2): 71–6. doi:10.1007/s40257-013-0014-z. PMID 23559397. الوسيط
|CitationClass=تم تجاهله (مساعدة) - Ko IK, Kim BG, Awadallah A, Mikulan J, Lin P, Letterio JJ, Dennis JE (2010). "Targeting improves MSC treatment of inflammatory bowel disease". Mol. Ther. 18 (7): 1365–72. doi:10.1038/mt.2010.54. PMC 2911249. PMID 20389289. الوسيط
|CitationClass=تم تجاهله (مساعدة) - Roediger WE, Moore J, Babidge W (1997). "Colonic sulfide in pathogenesis and treatment of ulcerative colitis" (PDF). Digestive Diseases and Sciences. 42 (8): 1571–9. doi:10.1023/A:1018851723920. PMID 9286219. مؤرشف من الأصل (PDF) في 02 أبريل 2020. اطلع عليه بتاريخ أغسطس 2020. الوسيط
|CitationClass=تم تجاهله (مساعدة); تحقق من التاريخ في:|تاريخ الوصول=(مساعدة) - Hanauer SB (1996). "Inflammatory bowel disease". The New England Journal of Medicine. 334 (13): 841–8. doi:10.1056/NEJM199603283341307. PMID 8596552. الوسيط
|CitationClass=تم تجاهله (مساعدة) - Langan RC, Gotsch PB, Krafczyk MA, Skillinge DD (نوفمبر 2007). "Ulcerative colitis: diagnosis and treatment" (PDF). American Family Physician. 76 (9): 1323–30. PMID 18019875. مؤرشف من الأصل (PDF) في 20 مايو 2013. الوسيط
|CitationClass=تم تجاهله (مساعدة) - Kornbluth A, Sachar DB (2004). "Ulcerative colitis practice guidelines in adults (update): American College of Gastroenterology, Practice Parameters Committee". The American Journal of Gastroenterology. 99 (7): 1371–85. doi:10.1111/j.1572-0241.2004.40036.x. PMID 15233681. الوسيط
|CitationClass=تم تجاهله (مساعدة) - Ulcerative colitis في موقع إي ميديسين
- Walmsley, R S; Ayres, R C S; Pounder, R E; Allan, R N (1998). "A simple clinical colitis activity index". Gut. 43 (1): 29–32. doi:10.1136/gut.43.1.29. ISSN 0017-5749. PMC 1727189. الوسيط
|CitationClass=تم تجاهله (مساعدة) - Mardini, Houssam E.; Grigorian, Alla Y. (2014). "Probiotic Mix VSL#3 Is Effective Adjunctive Therapy for Mild to Moderately Active Ulcerative Colitis". Inflammatory Bowel Diseases. 20 (9): 1562–1567. doi:10.1097/MIB.0000000000000084. ISSN 1078-0998. PMID 24918321. الوسيط
|CitationClass=تم تجاهله (مساعدة) - Chen, J (Jul 2016). "Review article: acute severe ulcerative colitis - evidence-based consensus statements". Alimentary Pharmacology and Therapeutics. 44 (2): 127–44. doi:10.1111/apt.13670. PMID 27226344. الوسيط
|CitationClass=تم تجاهله (مساعدة) - "Should You Try a Low-Residue Diet?". WebMD. WebMD. 25 أكتوبر 2016. مؤرشف من الأصل في 16 مارس 2017. اطلع عليه بتاريخ 29 أبريل 2017. الوسيط
|CitationClass=تم تجاهله (مساعدة) - Manual of Clinical Nutrition Management (PDF). Compass Group. 2013. مؤرشف من الأصل (PDF) في 29 نوفمبر 2015. الوسيط
|CitationClass=تم تجاهله (مساعدة) - Axelrad, JE; Lichtiger, S; Yajnik, V (28 May 2016). "Inflammatory bowel disease and cancer: The role of inflammation, immunosuppression, and cancer treatment". World Journal of Gastroenterology (Review). 22 (20): 4794–801. doi:10.3748/wjg.v22.i20.4794. PMC 4873872. PMID 27239106. الوسيط
|CitationClass=تم تجاهله (مساعدة) - "Uceris Approved for Active Ulcerative Colitis". empr.com. 16 يناير 2013. مؤرشف من الأصل في 18 يناير 2013. اطلع عليه بتاريخ 16 يناير 2013. الوسيط
|CitationClass=تم تجاهله (مساعدة) - Chande, N; Wang, Y; MacDonald, JK; McDonald, JW (27 August 2014). "Methotrexate for induction of remission in ulcerative colitis". The Cochrane Database of Systematic Reviews. 8 (8): CD006618. doi:10.1002/14651858.CD006618.pub3. PMID 25162749. الوسيط
|CitationClass=تم تجاهله (مساعدة) - Krishnamoorthy, R., K. R. Abrams, N. Guthrie, S. Samuel, and T. Thomas. "PWE-237 Ciclosporin in acute severe ulcerative colitis: a meta-analysis". Gut 61, no. Suppl 2 (2012): A394-A394.
- Ogata Haruhiko; Kato Jun; Hirai Fumihito; Hida Nobuyuki; Matsui Toshiyuki; Matsumoto Takayuki; Koyanagi Katsuyoshi; Hibi Toshifumi (2012). "Double‐blind, placebo‐controlled trial of oral tacrolimus (FK506) in the management of hospitalized patients with steroid‐refractory ulcerative colitis". Inflammatory Bowel Diseases. 18 (5): 803–808. doi:10.1002/ibd.21853. PMID 21887732. الوسيط
|CitationClass=تم تجاهله (مساعدة) - Raithel, M; Winterkamp, S; Weidenhiller, M; Müller, S; Hahn, EG (2007). "Combination therapy using fexofenadine, disodium cromoglycate, and a hypoallergenic amino acid-based formula induced remission in a patient with steroid-dependent, chronically active ulcerative colitis". International Journal of Colorectal Disease. 22 (7): 833–839. doi:10.1007/s00384-006-0120-y. PMID 16944185. الوسيط
|CitationClass=تم تجاهله (مساعدة) - Dhaneshwar, S; Gautam, H (August 2012). "Exploring novel colon-targeting antihistaminic prodrug for colitis". Journal of Physiology and Pharmacology. 63 (4): 327–337. PMID 23070081. الوسيط
|CitationClass=تم تجاهله (مساعدة) - Calkins BM (1989). "A meta-analysis of the role of smoking in inflammatory bowel disease". Digestive Diseases and Sciences. 34 (12): 1841–54. doi:10.1007/BF01536701. PMID 2598752. الوسيط
|CitationClass=تم تجاهله (مساعدة) - Lakatos PL, Szamosi T, Lakatos L (2007). "Smoking in inflammatory bowel diseases: good, bad or ugly?". World Journal of Gastroenterology. 13 (46): 6134–9. doi:10.3748/wjg.13.6134. PMC 4171221. PMID 18069751. الوسيط
|CitationClass=تم تجاهله (مساعدة) - Guslandi M (أكتوبر 1999). "Nicotine treatment for ulcerative colitis". British Journal of Clinical Pharmacology. 48 (4): 481–4. doi:10.1046/j.1365-2125.1999.00039.x. PMC 2014383. PMID 10583016. مؤرشف من الأصل في 15 يونيو 2013. الوسيط
|CitationClass=تم تجاهله (مساعدة) - Goddard, A. F.; James, M. W.; McIntyre, A. S.; Scott, B. B.; British Society of Gastroenterology (2011). "Guidelines for the management of iron deficiency anaemia". Gut. 60 (10): 1309–1316. doi:10.1136/gut.2010.228874. PMC 1728199. PMID 21561874. الوسيط
|CitationClass=تم تجاهله (مساعدة) - Inflamm Bowel Dis 2007;13:1545–1553
- Mowat C, Cole A, Windsor A, Ahmad T, Arnott I, Driscoll R, Mitton S, Orchard T, Rutter M, Younge L, Lees C, Ho GT, Satsangi J, Bloom S (May 2011). "Guidelines for the management of inflammatory bowel disease in adults". Gut. 60 (5): 571–607. doi:10.1136/gut.2010.224154. PMC 1867788. PMID 21464096. الوسيط
|CitationClass=تم تجاهله (مساعدة) - Abreu, MT; Plevy, S; Sands, BE; Weinstein, R (2007). "Selective leukocyte apheresis for the treatment of inflammatory bowel disease". Journal of Clinical Gastroenterology. 41 (10): 874–88. doi:10.1097/MCG.0b013e3180479435. PMID 18090155. الوسيط
|CitationClass=تم تجاهله (مساعدة) - Vernia, P; D'Ovidio, V; Meo, D (October 2010). "Leukocytapheresis in the treatment of inflammatory bowel disease: Current position and perspectives". Transfusion and Apheresis Science. 43 (2): 227–9. doi:10.1016/j.transci.2010.07.023. PMID 20817610. الوسيط
|CitationClass=تم تجاهله (مساعدة) - Bensoussan M, Jovenin N, Garcia B, Vandromme L, Jolly D, Bouché O, Thiéfin G, Cadiot G (January 2006). "Complementary and alternative medicine use by patients with inflammatory bowel disease: results from a postal survey" (PDF). Gastroentérologie Clinique et Biologique. 30 (1): 14–23. doi:10.1016/S0399-8320(06)73072-X. PMID 16514377. مؤرشف من الأصل (PDF) في 5 ديسمبر 2019. الوسيط
|CitationClass=تم تجاهله (مساعدة) - Shah S (2007). "Dietary factors in the modulation of inflammatory bowel disease activity". Medscape General Medicine. 9 (1): 60. PMC 1925010. PMID 17435660. مؤرشف من الأصل في 7 أبريل 2011. الوسيط
|CitationClass=تم تجاهله (مساعدة) - Terry PD, Villinger F, Bubenik GA, Sitaraman SV (January 2009). "Melatonin and ulcerative colitis: evidence, biological mechanisms, and future research". Inflammatory Bowel Diseases. 15 (1): 134–40. doi:10.1002/ibd.20527. PMID 18626968. الوسيط
|CitationClass=تم تجاهله (مساعدة) - Akhtar MS, Munir M (November 1989). "Evaluation of the gastric anti-ulcerogenic effects of Solanum nigrum, Brassica oleracea and Ocimum basilicum in rats". Journal of Ethnopharmacology. 27 (1–2): 163–76. doi:10.1016/0378-8741(89)90088-3. PMID 2515396.
Brassica oleracea (leaf) powder did not affect the ulcer index significantly but its aqueous extract lowered the index and increased hexosamine levels, suggesting gastric mucosal protection.
الوسيط|CitationClass=تم تجاهله (مساعدة) - "Fish oil". MedlinePlus. مؤرشف من الأصل في 26 يوليو 2010. الوسيط
|CitationClass=تم تجاهله (مساعدة) - Del Pinto R, Pietropaoli D, Chandar AK, Ferri C, Cominelli F (April 2015). "Association Between Inflammatory Bowel Disease and Vitamin D Deficiency: A Systematic Review and Meta-analysis". Inflammatory Bowel Diseases. 21 (11): 2708–17. doi:10.1097/MIB.0000000000000546. PMC 4615394. PMID 26348447. الوسيط
|CitationClass=تم تجاهله (مساعدة) - Khan WI, Blennerhasset PA, Varghese AK, Chowdhury SK, Omsted P, Deng Y, Collins SM (2002). "Intestinal nematode infection ameliorates experimental colitis in mice". Infection and Immunity. 70 (11): 5931–7. doi:10.1128/iai.70.11.5931-5937.2002. PMC 130294. PMID 12379667. الوسيط
|CitationClass=تم تجاهله (مساعدة) - Melon A, Wang A, Phan V, McKay DM (2010). "Infection with Hymenolepis diminuta is more effective than daily corticosteroids in blocking chemically induced colitis in mice". Journal of Biomedicine and Biotechnology. 2010: 384523. doi:10.1155/2010/384523. PMC 2789531. PMID 20011066. الوسيط
|CitationClass=تم تجاهله (مساعدة) - Kumar, Sushil; Ahuja, Vineet; Sankar, Mari Jeeva; Kumar, Atul; Moss, Alan C. (2012-10-17). "Curcumin for maintenance of remission in ulcerative colitis". The Cochrane Database of Systematic Reviews. 10: CD008424. doi:10.1002/14651858.CD008424.pub2. ISSN 1469-493X. PMC 4001731. PMID 23076948. الوسيط
|CitationClass=تم تجاهله (مساعدة) - القولون التقرحي.. انتكاسات المرض تخلف إرهاقات جسدية ونفسية - جريدة الرياض نسخة محفوظة 07 مارس 2014 على موقع واي باك مشين.
- Greenstein AJ, Janowitz HD, Sachar DB (September 1976). "The extra-intestinal complications of Crohn's disease and ulcerative colitis: a study of 700 patients". Medicine (Baltimore). 55 (5): 401–12. doi:10.1097/00005792-197609000-00004. PMID 957999. الوسيط
|CitationClass=تم تجاهله (مساعدة) - Leighton JA, Shen B, Baron TH, Adler DG, Davila R, Egan JV, Faigel DO, Gan SI, Hirota WK, Lichtenstein D, Qureshi WA, Rajan E, Zuckerman MJ, VanGuilder T, Fanelli RD (2006). "ASGE guideline: endoscopy in the diagnosis and treatment of inflammatory bowel disease". Gastrointestinal Endoscopy. 63 (4): 558–65. doi:10.1016/j.gie.2006.02.005. PMID 16564852. الوسيط
|CitationClass=تم تجاهله (مساعدة) - Olsson R, Danielsson A, Järnerot G, Lindström E, Lööf L, Rolny P, Rydén BO, Tysk C, Wallerstedt S (1991). "Prevalence of primary sclerosing cholangitis in patients with ulcerative colitis". Gastroenterology. 100 (5 Pt 1): 1319–23. PMID 2013375. الوسيط
|CitationClass=تم تجاهله (مساعدة) - Jess T, Gamborg M, Munkholm P, Sørensen TI (March 2007). "Overall and cause-specific mortality in ulcerative colitis: meta-analysis of population-based inception cohort studies". The American Journal of Gastroenterology. 102 (3): 609–17. doi:10.1111/j.1572-0241.2006.01000.x. PMID 17156150. الوسيط
|CitationClass=تم تجاهله (مساعدة) - Page 481 نسخة محفوظة 9 May 2013 على موقع واي باك مشين. in: Colonic diseases. By Timothy R. Koch. 2003. (ردمك 978-0-89603-961-2) [وصلة مكسورة]
- Podolsky DK (2002). "Inflammatory bowel disease". The New England Journal of Medicine. 347 (6): 417–29. doi:10.1056/NEJMra020831. PMID 12167685. الوسيط
|CitationClass=تم تجاهله (مساعدة) - Schmidt, J. A.; Marshall, J.; Hayman, M. J. (1985-12-15). "Identification and characterization of the chicken transferrin receptor". The Biochemical Journal. 232 (3): 735–741. doi:10.1042/bj2320735. ISSN 0264-6021. PMC 1152945. PMID 3004417. الوسيط
|CitationClass=تم تجاهله (مساعدة) - Karlinger, K.; Györke, T.; Makö, E.; Mester, A.; Tarján, Z. (2000-09-01). "The epidemiology and the pathogenesis of inflammatory bowel disease". European Journal of Radiology. 35 (3): 154–167. doi:10.1016/s0720-048x(00)00238-2. ISSN 0720-048X. PMID 11000558. الوسيط
|CitationClass=تم تجاهله (مساعدة) - Shivananda S, Lennard-Jones J, Logan R, Fear N, Price A, Carpenter L, van Blankenstein M (1996). "Incidence of inflammatory bowel disease across Europe: is there a difference between north and south? Results of the European Collaborative Study on Inflammatory Bowel Disease (EC-IBD)" (PDF). Gut. 39 (5): 690–7. doi:10.1136/gut.39.5.690. PMC 1383393. PMID 9014768. مؤرشف من الأصل (PDF) في 4 يونيو 2012. الوسيط
|CitationClass=تم تجاهله (مساعدة) - Sonnenberg A, McCarty DJ, Jacobsen SJ (January 1991). "Geographic variation of inflammatory bowel disease within the United States". Gastroenterology. 100 (1): 143–9. PMID 1983816. الوسيط
|CitationClass=تم تجاهله (مساعدة) - Fauci et al. Harrison's Internal Medicine, 17th ed. New York: McGraw-Hill Medical, 2008. (ردمك 978-0-07-159991-7)
- Andersson RE, Olaison G, Tysk C, Ekbom A (March 2001). "Appendectomy and protection against ulcerative colitis". The New England Journal of Medicine. 344 (11): 808–14. doi:10.1056/NEJM200103153441104. PMID 11248156. الوسيط
|CitationClass=تم تجاهله (مساعدة) - Boyko EJ, Koepsell TD, Perera DR, Inui TS (March 1987). "Risk of ulcerative colitis among former and current cigarette smokers". The New England Journal of Medicine. 316 (12): 707–10. doi:10.1056/NEJM198703193161202. PMID 3821808. الوسيط
|CitationClass=تم تجاهله (مساعدة) - "CDC - Epidemiology of the IBD - Inflammatory Bowel Disease". www.cdc.gov (باللغة الإنجليزية). مؤرشف من الأصل في 23 فبراير 2017. اطلع عليه بتاريخ 23 فبراير 2017. الوسيط
|CitationClass=تم تجاهله (مساعدة) - Makhlouf, G. M.; Zfass, A. M.; Said, S. I.; Schebalin, M. (1978-04-01). "Effects of synthetic vasoactive intestinal peptide (VIP), secretin and their partial sequences on gastric secretion". Proceedings of the Society for Experimental Biology and Medicine. Society for Experimental Biology and Medicine (New York, N.Y.). 157 (4): 565–568. doi:10.3181/00379727-157-40097. ISSN 0037-9727. PMID 349569. الوسيط
|CitationClass=تم تجاهله (مساعدة) - "NICE clinical guideline and quality standard: Ulcerative colitis scope". National Institute for Health and Care Excellence, Ulcerative colitis: management Clinical guideline [CG166] (PDF). 5 سبتمبر 2011. مؤرشف من الأصل في 24 فبراير 2017. اطلع عليه بتاريخ 24 فبراير 2017. الوسيط
|CitationClass=تم تجاهله (مساعدة) - Summers RW, Elliott DE, Urban JF, Thompson RA, Weinstock JV (أبريل 2005). "Trichuris suis therapy for active ulcerative colitis: a randomized controlled trial" (PDF). Gastroenterology. 128 (4): 825–32. doi:10.1053/j.gastro.2005.01.005. PMID 15825065. مؤرشف من الأصل (PDF) في 14 يناير 2015. اطلع عليه بتاريخ 22 ديسمبر 2012. الوسيط
|CitationClass=تم تجاهله (مساعدة) - Summers RW, Elliott DE, Urban JF, Thompson RA, Weinstock JV (2005). "Trichuris suis therapy for active ulcerative colitis: a randomized controlled trial". Gastroenterology. 128 (4): 825–32. doi:10.1053/j.gastro.2005.01.005. PMID 15825065. الوسيط
|CitationClass=تم تجاهله (مساعدة) - Bennett CF, Condon TC, Grimm S, Chan H, Chiang MY (1994). "Inhibition of endothelial cell-leukocyte adhesion molecule expression with antisense oligonucleotides". The Journal of Immunology. 152 (1): 3530–40. الوسيط
|CitationClass=تم تجاهله (مساعدة) - Jones SC, Banks RE, Haidar A, Gearing AJ, Hemingway IK, Ibbotson SH, Dixon MF, Axon AT (1995). "Adhesion molecules in inflammatory bowel disease". Gut. 36 (5): 724–30. doi:10.1136/gut.36.5.724. PMC 1382677. PMID 7541009. الوسيط
|CitationClass=تم تجاهله (مساعدة) - van Deventer SJ, Wedel MK, Baker BF, Xia S, Chuang E, Miner PB (2006). "A Phase II dose ranging, double-blind, placebo-controlled study of alicaforsen enema in subjects with acute exacerbation of mild to moderate left-sided ulcerative colitis". Alimentary Pharmacology & Therapeutics. 23 (10): 1415–25. doi:10.1111/j.1365-2036.2006.02910.x. PMID 16669956. الوسيط
|CitationClass=تم تجاهله (مساعدة) - Ghouri, Yezaz A; Richards, David M; Rahimi, Erik F; Krill, Joseph T; Jelinek, Katherine A; DuPont, Andrew W (9 December 2014). "Systematic review of randomized controlled trials of probiotics, prebiotics, and synbiotics in inflammatory bowel disease". Clin Exp Gastroenterol. 7: 473–487. doi:10.2147/CEG.S27530. PMC 4266241. PMID 25525379. الوسيط
|CitationClass=تم تجاهله (مساعدة) - Strøbæk D.; Brown D. T.; Jenkins D. P.; Chen Y. J.; Coleman N.; Ando Y.; Christophersen P. (2013). "NS6180, a new KCa3. 1 channel inhibitor prevents T‐cell activation and inflammation in a rat model of inflammatory bowel disease". British Journal of Pharmacology. 168 (2): 432–444. doi:10.1111/j.1476-5381.2012.02143.x. PMC 3572569. PMID 22891655. الوسيط
|CitationClass=تم تجاهله (مساعدة)
روابط خارجية
- التهاب القولون التقرحي على مشروع الدليل المفتوح
- MedlinePlus ulcerative colitis page
- Ulcerative colitis information page at Crohn's & Colitis Foundation of America
- Torpy JM, Lynm C, Golub RM (2012). "JAMA patient page. Ulcerative colitis" (PDF). JAMA. 307 (1): 104. doi:10.1001/jama.2011.1889. PMID 22215172. مؤرشف من الأصل (PDF) في 16 مارس 2012. الوسيط
|CitationClass=تم تجاهله (مساعدة)
- بوابة طب
