التهاب المرارة
التهاب المرارة (بالإنجليزية: Cholecystitis) هو التهاب الحويصلة الصفراوية.يؤدي التهاب المرارة إلى ألم البطن الأيمن العلوي وأعراض أخرى كالحرارة والقيئ.قد يؤدي التهاب المرارة إلى مضاعفات عديدة مثل ثقب المرارة أو موت الخلايا في جهاز المرارة. يمكن أن يكون التهاب المرارة حاد أو مزمن، وغالبا ما يصيب كبار السن. يحتاج التهاب المرارة إلى العلاج الفوري بالسوائل وتهدئة الالتهاب بالإضافة إلى المعالجة الجراحية في بعض الأحيان.
| التهاب المرارة | |
|---|---|
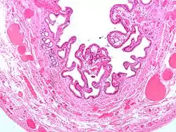
![]() صورة مجهرية لكيس مرارة ملتهب صورة مجهرية لكيس مرارة ملتهب | |
| معلومات عامة | |
| الاختصاص | طب الجهاز الهضمي ، وجراحة عامة |
| من أنواع | التهاب الأقنية الصفراوية الصاعد |
| المظهر السريري | |
| الأعراض | التهاب [1] |
كيف يحدث التهاب المرارة
بغض النظر عن سبب التهاب المرارة، فإن الالتهاب هو نتيجة لانسداد في المرارة يؤدي إلى وقف جريان الصفراء. غالبا ما يكون هذا الانسداد حصوة في المرارة، لكن توجد اسباب اخرى: نتيجة الانسداد تحدث عدة امور: اولا تنفتخ المرارة وتبدأ بالالتهاب مما يزيد انتفاخها. تفرز المرارة مواد تهيج الالتهاب وتزيده. بسبب الانسداد والالتهاب، يضعف نسيج المرارة مما يجعل الجراثيم الموجوده في المرارة والامعاء طبيعيا إلى استغلال الفرصة للتكاثر في المرارة، وبدورها تؤدي إلى التهاب اخر، غالبا تكون الجراثيم من فئات غرام سلبي. نتيجه جميع هذه التغيرات يحصل التهاب المرارة والذي يؤدي للاعراض.
الأسباب وعوامل الخطورة
الحصوات الصفراوية هي أكثر أسباب التهاب المرارة شيوعاً، عندما تقوم الحصاة بسد المرارة مباشرة. مما يؤدي إلى تكاثف العصارة الصفراوية وركودها مما يجعلها بيئة خصبة لتكاثر أنواع من الجراثيم وحصول عدوى ثانوية سببها كائن معوي، بشكل خاص بكتيريا الإشريكية القولونية. يصبح بعد ذلك جدار المرارة ملتهب، (وفي بعض الحالات النادرة قد يصحب الحالة موت بعض الأنسجة المكونة للجدار وقد ينتهي ذلك بانفجار المرارة.) وفي حالة حصول الالتهاب ينتشر إلى الأنسجة المجاورة كالحجاب الحاجز والقولون والكبد.
وفي حالات أخرى قد يحدث التهاب في المرارة بدون وجود حصوات وتعرف الحالة بالتهاب المرارة اللاحصوي.
الالتهاب بشكل عام يكون منخفض الخطورة في الجسم ككل مما يحدث التهاب مزمن في المرارة وقد تتليف أو تتصلب. الجنس: حيث أن الحصى تتكون أكثر لدى النساء. السمنة والوزن الزائد. الكوليسترول المرتفع. الحمل. التاريخ العائلي لحصى المرارة. بعض الأدوية والأمراض المزمنة.
الأعراض

يظهر التهاب المرارة كألم في الربع العلوي الأيمن من البطن. عادةً يكون هذا الألم شديد وثابت. خلال المراحل الأولية قد يشعر المريض بالألم في مكان منفصل تماماً عن الموقع العلمي. قد يحدث في منطقة الكتف الأيمن. يشعر المريض بالألم بعد تناول الأطعمة الدهنية مثل الحلويات والفطائر والمقالي. وذلك يترافق مع ارتفاع طفيف في درجة حرارة الجسم، الإسهال، الغثيان، التقيؤ ,فقدان الشهية، ارتفاع دقات القلب. وقد تصبح المرارة مؤلمة عند اللمس ومنتفخه.
وفي حال كون الالتهاب شديد من الممكن أن تحدث أعراض أقوى كـ ارتفاع شديد في درجة الحرارة، اصفرار الجلد والعينين وقد يتكون خُرّاج مما يؤدي إلى انفجار الحويصلة أو التهاب القناة الصفراوية العامة الصاعد.يعني انسداد القناة الصفراء وليس المرارة نفسها. ومن أخطر المضاعفات أيضاً هو خروج الحصوة عن طريق القناة العامة لتسبب انسداد في الأمعاء الدقيقة وهي حالة شديدة الخطورة على حياة المريض.
التشخيص
تشخيص الالتهاب عادة يقوم على معرفة التاريخ المرضي وحدوث الأعراض السابق ذكرها والفحص السريري كالتالي :
- ارتفاع في درجة الحرارة وعادةً تكون درجة منخفضة في الحالات غير المعقدة أو المتقدمة.
- ألم في الربع العلوي الأيمن من البطن.
- وجود ألم تحت الكتف الأيمن.
- تأكيد التشخيص بإكمال تحاليل الدم والتصوير عن طريق الموجات الصوتية.
التحاليل المخبرية والتصوير الإشعاعي
تحاليل الدم
وجود ارتفاع في معدلات وظائف الكبد و نسبة الإصفرار مع ارتفاع في عدد خلايا الدم البيضاء وأحياناً ارتفاع البروتين المؤشر لوجود مرض مزمن.كل ما سبق يؤكد وجود التهاب في المرارة ما عدا في الحالات المزمنة حيث أن الجسم يتكيف مع الالتهاب ويعيد النسب إلى طبيعتها.
التصوير الإشعاعي
استخدام الموجات الفوق صوتية هو أهم خطوة من خطوات التصوير الإشعاعي ومن ثم التصوير المقطعي.
مسح المرارة (Gahhbhadder Scan)
قبل الاختبار يتناول المريض مادة مشعة، والتي تمر بالمرارة وتستطيع المرارة إفرازها.بعدها يتم مسح المرارة أي تصويرها بجهاز خاص يستطيع التقاط الأشعة النابعة من المادة المشعة. نادر ما يستخدم هذا الاختبار.
Mild gallbladder wall thickening of 3.5 mm in a person with acute cholecystitis as seen on ultrasound
Acute cholecystitis as seen on ultrasound. The closed arrow points to gallbladder wall thickening. Open arrow points to stones in the GB
Acute cholecystitis with gallbladder wall thickening, a large gallstone, and a large gallbladder
العلاج
بكل تأكيد ان العلاج الأمثل لهذه الحالة هو استئصال المرارة باستخدام المنظار وقد يضطر الجرّاح إلى تحويل مسار العملية إلى عملية مفتوحة. بعض من الحالات يتطلب استخدام المضادات الحيوية قبل الجراحة لتغطية الالتهاب.
وفي حالات أٌخَرى حيث الالتهاب أشد أو كون المريض لا يتحمل التخدير يضطر الطبيب المعالج لوضع أنبوب عبر الجلد لتحويل مسار العصارة الصفراوية حتى تستقر حالة المريض ومن ثم تحويلة للجراحة.
التعايش مع التهاب المرارة
يجب على المريض أخذ التدابير والاحتياطات التالية للتعايش مع التهاب المرارة:[3]
- تجنب تناول الغذاء الغني بالدهون
- تناول غذاء صحي ومتوازن و الإكثار من الخضار والفواكه يومياً
- مراجعة الطبيب بشكل دوري
- ممارسة التمارين الرياضية باستمرار
- تجنب التدخين واستهلاك المشروبات الكحولية
- شرب كمية كافية من الماء يومياً، ما يعادل 6-8 أكواب
- النوم لمدة كافية
- التغذية المتوازنة لمنع مرض الانيميا من خلال تناول مواد الغذائية الغنية بفيتامينB12 وفيتامينc
المضاعفات
مضاعفات الالتهاب
حدوث انفجار في المرارة أو تكون التهاب صاعد في القناة المرارية.
مضاعفات الاستئصال
التهابات بكتيرية في مكان الجرح أو حدوث نزف أو تسرب العصارة الصفراوية داخل الغشاء البريتوني.
مراجع
- معرف أنطولوجية المرض: http://www.disease-ontology.org/?id=DOID:1949 — تاريخ الاطلاع: 30 نوفمبر 2020 — الرخصة: CC0
- "UOTW #30 - Ultrasound of the Week". Ultrasound of the Week. 23 December 2014. مؤرشف من الأصل في 22 مايو 2019. اطلع عليه بتاريخ 27 مايو 2017. الوسيط
|CitationClass=تم تجاهله (مساعدة) - التهاب المرارة ( Cholecystitis ) | اسباب اعراض علاج | القاموس الطبي نسخة محفوظة 4 أكتوبر 2016 على موقع واي باك مشين.
- بوابة طب
