مرارة
المَرارَة* (بالإنجليزية: Gallbladder)، في الفقاريات، هيَ عضوٌ صغيرٌ مُجوَف، تُخزنُ وتتركزُ فيهِ العُصارةُ الصفراوية قبل إطلاقها في الأمعاء الدقيقة. في الإنسان، تقعُ المرارة كُمثرية الشكل أسفل الكبد،[2] وعلى الرغم من هذا إلا أنَّ هيكل وموقع المرارة قد يختلفُ كثيرًا بين الأنواع الحيوانية.[3] تستقبلُ المرارة وتُخزن العصارة الصفراوية المُنتجة من القناة الكبدية المُشتركة،[4] ثُم تطلقها عبر القناة الصفراوية المشتركة نحو الاثني عشري، حيثُ تعمل العصارة على المُساعدة في هضم الدهون.[5]
| المَرارَة | |
|---|---|
| الاسم اللاتيني Vesica biliaris - vesica fellea | |
![]() | |
![]() موقع المرارة أسفل الكبد. موقع المرارة أسفل الكبد. | |
| تفاصيل | |
| نظام أحيائي | الجهاز الهضمي |
| الشريان المغذي | الشريان المراري |
| الوريد المصرف | الوريد المراري |
| الأعصاب | العقد البطنية، العصب المبهم[1] |
| تصريف اللمف | العقدة اللمفية المرارية |
| سلف | المعى الأمامي |
| نوع من | عضو حيواني |
| جزء من | جهاز هضمي |
| معرفات | |
| ترمينولوجيا أناتوميكا | 05.8.02.001 |
| FMA | 7202 |
| UBERON ID | 0002110 |
| ن.ف.م.ط. | A03.159.439 |
| ن.ف.م.ط. | D005704 |
قد تتأثر المرارة بحصواتٍ صفراوية، تتكونُ من مادةٍ غير ذائبةٍ والتي غالبًا ما تكون كولسترول أو بيليروبين ناتجٌ عن تكسرِ الهيموغلوبين.[6] قد تُسبب هذه الحالة ألمًا شديدًا، خاصةً في الجانب العلوي الأيمن من البطن، وعادةً ما تُعالج بعمليةٍ تُعرف باسم استئصال المرارة.[7] قد يحدثُ التهابٌ في المرارة؛ نتيجةً لمجموعةٍ واسعةٍ من الأسباب، والتي تتضمن تأثير الحصوات الصفراوية أو الأمراض المناعية الذاتية.[8]
تُستخدم عدةُ فحوصاتٍ للبحث عن أمراض المرارة، ومنها اختبارات الدم وتقنيات التصوير الطبي خصوصًا التصوير بالموجات فوق الصوتية،[8] كما يمكن استعمال التصوير بالأشعة السينية للبطن أو التصوير المقطعي المحوسب، حيثُ قد تستخدم لفحص المرارة والأعضاء المحيطة بها.[8]
عُثر على وصفٍ للمرارة والشجرة الصفراوية في عددٍ من النماذج القديمة،[9] كما وجدَ أنَّ أمراض المرارة أثرت على الإنسان منذ العصور القديمة،[9][10] كما ربطَ البعض بين التهاب المرارة وموت الإسكندر الأكبر.[9] يُعتبر الجراح الألماني كارل لانغنبوش أول من قام بعملية استئصالٍ للمرارة لمريضٍ يعاني من التحصي الصفراوي،[10] وفي عام 1985 أُجريَ أولُ استئصالٍ للمرارة بالتنظير البطني على يد إريك موي.[11]
التسمية
المَرارَة^[12][13][14][15][16] وتسمى أيضًا:
يُعرف معجم المعاني الجامع ومعجم الغني ومعجم الوسيط المَرَارَةُ بأنها «كِيسٌ يَخْتَزِنُ الصَّفْرَاءَ، لاَصِقٌ بِالكَبِدِ، يُسَاعِدُ عَلَى هَضْمِ الدُّهْنِيَّاتِ»، وجمعُها مَرَائِرُ أو مرارات.[17] أما معجم الرائد، يُعرفها بأنها «لحمة شبه كيس لازقة بالكبد تكون فيها الصفراء».[17]
تُسمى المرارة بالإنجليزية (Gallbladder)، وهي مُكونة من كلمتين يرجع أصلهما إلى اللغة الجرمانية البدائية:
- (gall) وهي كلمة مجهولة الأصل،[18] وتعني العصارة الصفراوية (تختصر الصفراء).[19]
- (bladder) وهي كلمة تعني حويصلة أو حوصلة أو كيسٌ غشائي.[20][21]
البنية والتركيب

المرارة عبارة عن عضو مُجوف، تَقع في انخفاضِ قليل العُمق أسفل الفص الأيمن للكبد، ويكون لونها رماديًا مُزرقا أثناء حياة الشخص.[3] في البالغين، يَبلغ قياس المرارة حوالي 7-10 سم (2.8 - 3.9 إنش) في الطول، و4 سم (1.6 إنش) في القطر عندما تكون مُنتفخة بالكامل.[22] تبلغ سعة المرارة ما بين 30-50 مليلتر.[23][3]
تُشبه المرارة شكل الكمثرى، مع فتحةٍ رأسية نحو قناة المرارة.[2][23] تُقسم المرارة إلى ثلاثةِ أقسام: القاع (fundus) والهيكل (body) والعُنق (neck). القاع هو جزءٌ مُستدير يتجه بزاويةٍ تحت الحافة السُفلية للكبد، حيثُ يتصل مع جدار البطن الأمامي عند مستوى طرف الغضروف الضلعي التاسع،[23] أما الهيكل فيقعُ في انخفاضٍ على السطح السفلي للكبد، حيثُ يتجه إلى الأعلى والخلف واليسار،[23] أما العنق فهو مستدق ويستمر مع قناة المرارة، وهي جُزء من الشجرةِ الصفراوية.[3] تُوجد الحفرة المرارية أسفل منطقة اتصال القطع الكبدية الرابعة السفلية (IVB) والخامسة (V)، حيثُ يقع قاع المرارة والهيكل في هذه الحفرة.[4] تتحد قناة المرارة مع القناة الكبدية المشتركة لتُشَكِل القناة الصفراوية المشتركة. عند منطقة اتصال عُنق وقناة المرارة، هُناك جَيبٌ خارج جدار المرارة يُشكل طياتٍ مُخاطية تُعرف باسم "جَيب هَارْتمَان".[3]
يُحيطُ الغشاء المصلي البطني بقاع المرارة كاملًا، كما يربطُ هيكل وعنق المرارة مع السطح الحشوي للكبد.[23] يقابلُ المرارة من الأمام، جدار البطن الأمامي والسطح السفلي للكبد، أما من الخلف فيقابلها القولون المستعرض والأجزاء الأولى والثانية من الإثني عشر.[23]
تتغذى المرارة عبر الشريان المراري الذي يتفرعُ من الشريان الكبدي الأيمن،[24] كما يعملُ الوريد المراري على تصريف الدم من المرارة نحو الوريد البابي، ويوجد أيضًا شرايين وأوردةٌ صغيرة متعددة بين الكبد والمرارة.[23] ينزحُ السائل اللمفي من المرارة إلى العقدة اللمفية المرارية والتي تقع بالقرب من عنق المرارة، وعند هذه النقطة تعبرُ الأوعية اللمفية باتجاه العقد اللمفية الكبدية، حيثُ تكون مترافقةً مع الشريان الكبدي، وفي النهاية تصلُ إلى العُقد اللمفية البطنية.[23]
تتعصبُ المرارة عبر ألياف العصب المبهمة الودية ونظيرة الودية، والتي تخرجُ من الضفيرة البطنية. تنقبضُ المرارة استجابةً لهرمون الكوليسيستوكينين، والذي يُنتج في الغشاء المخاطي للاثني عشر، ويصل إلى المعدة عبر الطعام الدهني.[23]
التشريح المجهري

يتكونُ جدارُ المرارة من عددٍ من الطبقات، حيثُ يُبطنُ السطح الداخلي لجدار المرارة من طبقةٍ واحدة من الخلايا العمودية مع حافةٍ فُرشاتية للزغيبات، وتشبهُ كثيرًا الخلايا الامتصاصية المعوية.[3] أسفل النسيج الطلائي تقع الصفيحة المخصوصة والطبقة العضلية والطبقة الخارجية حول العضلية والغشاء المصلي. على عكسِ جميع الأماكن الأخرى في السبيل المعوي، فإنَّ المرارة لا تحتوي على صفيحةٍ عضلية مخاطية، كما أنَّ الألياف العضلية غير مُرتبةٍ في طبقاتٍ مُميزة.[25]
يُكَوِن الغشاءُ المُخاطي الجزءَ الداخلي لجدار المرارة، حيثُ يتكون من طبقةٍ واحدةٍ من الخلايا العمادية، مع خلايًا تمتلكُ ارتباطاتٍ صغيرة تُشبه الشعر وتُدعى الزغيبات،[3] حيثُ تقعُ على طبقةٍ رقيقة من النسيج الضام وتُسمى الصفيحة المخصوصة.[25] يتقوسُ الغشاء المُخاطي ويتجمعُ في جيوبٍ خارجيةٍ صغيرة تسمى بالغُضون (rugae).[3]
تقعُ الطبقة العضلية أسفل الغشاءِ المُخاطي، حيثُ تتكون من عضلةٍ ملساء مع أليافٍ تتجهُ طوليًا ومائلًا وعرضيًا، ولا تترتبُ في طبقاتٍ مُنفصلة. تتمثلُ وظيفةُ الألياف العضلية بالانقباض لإخراج العصارة الصفراوية من المرارة.[25] تحتوي المرارةُ على جيوب روكيتانسكي-آشوف والتي تُعتبر من السماتِ المميزة لها، وهيَ جيوبٌ خارجيةٌ من الغشاء المخاطي، وقد تمتدُ إلى الطبقة العضلية مما يُشيرُ إلى حدوثِ ورامٍ عضلي غُدي.[26] تُحاط الطبقة العضلية بطبقةٍ من النسيج الضام والدهني.[3]
تتغطى الطبقة الخارجية لقاع المرارة، والأسطح التي لا تتلامسُ مع الكبد، بغشاءٍ مصلي سميك، والذي يتواجهُ مع الغشاء المصلي البطني.[3] يحتوي الغشاء المصلي على الأوعية الدموية واللمفية.[25] تتغطى الأسطح المُتلامسة مع الكبد بنسيجٍ ضام.[3]
التفاوت
تتفاوتُ المرارة في حجمها وشكلها وموقعها بين الأفراد.[3] في حالاتٍ نادرة، قد تتواجد مرارتين أو ثلاثة، وإما أن تكون كأكياسٍ مُنفصلة تَصُب في قناة المرارة، أو تتشارك في فرعٍ مُشترك يصب في قناة المرارة. أيضًا، قد لا تتشكل المرارة أصلًا، وبالتالي تكون غير موجودة. قد تتواجد مرارة بِفَصين منفصلين بحاجزٍ. هذه الاضطرابات عادةً لا تؤثر على الوظيفة وغالبًا تكون بدون أعراض.[27]
قد يختلف أيضًا موقع المرارة بالنسبة للكبد، حيثُ وثقَ وجودُ المرارة بين،[28] أو أعلى، أو على الجانب الأيسر، أو خلف، أو منفصلة، أو معلقة من الكبد. هذه الاختلافات عادةً ما تكون نادرة جدًا، فمنذ 1886 حتى 1998 سُجلت فقط 110 حالة لكبد على الجهة اليسرى، كما تذكر المؤلفات العلمية بأنها تحدث بمعدل حالة واحدة في السنة.[29][30][3]
قد يحدث اختلاف بين البشر يُسمى بالقلنسوة الفريجية، وهو عبارة عن طية عديمة الضرر في قاع المرارة، وسُميت بهذا الاسم لتشابهها مع القبعة الفريجية.[31]
التطور الجنيني
تتطور المرارة من جيبٍ خارجيٍ أديميٍ باطني للأنبوب المعوي الجنيني.[32] في مرحلةٍ مبكرة من التطور الجنيني، يحتوي جنين الإنسان على ثلاثِ طبقاتِ تبرعمٍ يجاورها الكيس المحي الجنيني. خلال الأسبوع الثاني من تطور الجنين البشري ومع نمو الجنين، يبدأ بتطويق وتغليف جزءٍ من هذا الكيس، حيثُ يشكل هذا الجزء أساسَ السبيل الهضمي للبالغين، وبعدها تبدأ أجزاءٌ من هذا المعى الأمامي بالتَمايُز لتشكيل أعضاء السبيل الهضمي، مثل المريء والمعدة والقناة الهضمية.[32]
تدور المعدة خلال الأسبوع الرابع من التطور الجنيني، حيثُ تقعُ في بدايتها في الخط الناصف الجنين، فتدورُ ليصبح هيكلها على اليسار، ويؤثر هذا الدوران مباشرةً على جزء من أنبوب الجهاز الهضمي أسفل المعدة، والذي سَيُصبح فيما بعد الاثني عشر. عند نهاية الأسبوع الرابع، تبدأ الاثنا عشر النامية بإخراج جيبٍ خارجيٍ صغير على الجانب الأيمن لها، ويُسمى الرتج الكبدي، والذي سيتطور ليُشكل الشجرة الصفراوية، وأسفلهُ بقليل يخرجُ جيبٌ ثانٍ، يُسمى بالرتج المراري، والذي سيتطور في نهاية المطاف ليشكل المرارة.[32]
الوظيفة

9. المرارة، 10–11. الفصين الأيمن والأيسر للكبد. 12. الطحال.
13. المريء. 14. المعدة. 15. البنكرياس: 16. القناة البنكرياسية الإضافية، 17. قناة البنكرياس.
18. الأمعاء الدقيقة: 19. الاثنا عشر، 20. الصائم
21–22. الكليتين اليمنى واليسرة.
رُفع الحد الأمامي للكبد، حيثُ يظهر بالسهم البني.[33]
يُعتبر تخزين العصارة الصفراوية الوظيفة الأساسية للمرارة، حيثُ تستخدم في هضم الدهون من الطعام. تُنتج العصارة في الكبد، ثم تتدفق عبر أوعية صغيرة إلى قنواتٍ كبدية كبيرة، ونهايةً تتدفق عبر قناة المرارة (جزء من الشجرة الصفراوية) لتصل إلى المرارة، حيثُ تخزن فيها. في أي وقت، يُخزنُ ما بين 30 إلى 60 ملليلتر (1.0 إلى 2.0 أونصة أمريكية سائلة) من العصارة داخل المرارة.[5]
عندَ دخول الطعام المُحتوي على الدهون إلى القناة الهضمية، فإنهُ يحفز إفراز الكوليسيستوكينين (CCK) من خلايا-I في الإثني عشر والصائم، واستجابةً لهذا الإفراز، تنقبض المرارة بشكلٍ متوازن وتُطلق محتوياتها في القناة الصفراوية المشتركة، والتي تصُب في الاثني عشر. تعمل العصارة الصفراوية على استحلاب الدهون في الطعام المهضوم جزئيًا، مما يُساعد على امتصاصه. تتكون العصارة الصفراوية بشكلٍ أساسي من الماء والأملاح الصفراوية، كما تعمل العصارة على إزالة البيليروبين من الجسم، حيثُ ينتج البيليروبين من عملية أيض الهيموغلوبين.[5]
يُفرز الكبد أيضًا عصارةً صفراوية والتي تُخزن في المرارة، وهي تختلف عن العصارة الصفراوية التي تُفرزها المرارة. خلال تخزين المرارة للعصارة الصفراوية، تتركز 3-10 مرات[34] عن طريق إزالة بعض الماء والكهرليات، حيثُ تتم هذه العملية عبر النقل النشط لأيونات الصوديوم والكلور[35] عبر النسيج الطلائي للمرارة، مما يُولدُ ضغطًا إسموزيًا يؤدي إلى إعادة امتصاص الماء والكهرليات الأُخرى.[5]
الأهمية السريرية
مقالة مفصلة: أمراض المرارة
الحصوات الصفراوية
مقالة مفصلة: حصاة صفراوية

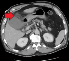
تتكون الحصوات الصفراوية عندما تَتَشبع العصارة الصفراوية، وغالبًا ما تكون إما مع الكولسترول أو البيليروبين.[6] مُعظم الحصوات الصفراوية لا تُسبب أعراضًا، حيثُ تبقى هذه الحصوات إما في المرارة أو تمر عبر الجهاز الصفراوي.[8] عندما تظهر الأعراض، فإنَّ ألمًا مغصيًا شديدًا عادةً ما يحدثُ في الجزء العلوي الأيمن من البطن.[6] قد يحدث التهابٌ في حال سدَّت الحصوة المرارة، أما إذا استقرت الحصوة في الجهاز الصفراوي، فإنهُ قد يحدث يرقان، وإذا سدت قناة البنكرياس فقد يحدث التهاب في البنكرياس.[8] تُشخص الحصوات الصفراوية باستخدام الموجات فوق الصوتية.[6] عند حدوث أعراض الحصوات الصفراوية، فإنه عادةً ما يتم التعامل معها بالانتظار حتى تمُر طبيعيًا،[8] ولكن نظرًا لاحتمال الإصابة المتكررة بالحصوات، فإنها غالبًا ما تُعالج بالإزالة الجراحية للمرارة،[8] ويُمكن أيضًا استعمال بعض الأدوية مثل حمض يوروديوكسي كوليك الذي يعمل على إذابة الحصوات. يمكن أيضًا استعمال تفتيت الحصيات، وهو عبارة عن إجراء يُستخدم لتفتيت الحصوات.[8]
التهاب المرارة
مقالة مفصلة: التهاب المرارة
التهاب المرارة (بالإنجليزية: Cholecystitis) هو التهاب في المرارة، يحدثُ عادةً بسبب انسداد القناة بالحصوات الصفراوية، وتُعرف الحالة باسم التحصي الصفراوي (Cholelithiasis). نتيجةً لهذا الانسداد، تتجمع العصارة الصفراوية وتضغطُ على جدار المرارة، مما يؤدي إلى إطلاق المواد المُسببة للالتهاب مثل الفوسفوليباز، كما أنَّ الانسداد قد يزيد من خطر حدوث العداوى البكتيرية. عادةً ما تؤدي المرارة المُلتهبة إلى ألمٍ وحُمى ومضضٍ في الزاوية العلوية اليمنى للبطن، وقد تظهرُ فيها علامة مورفي. عادةً ما يتم التعامل مع التهاب المرارة بتوصية المريض بالراحة واستعمال المضادات الحيوية، خاصةً السيفالوسبورينات، ويمكن استعمال المترونيدازول في الحالات الشديدة.[8]
على عكسَ الزائدة الدودية التي من الشائع إصابتها بالغرغرينا؛ بسبب تغذيتها عبر شريانٍ واحد، فإنَّ المرارة نادرًا ما تُصاب بالغرغرينا، لأنها تتغذى عبر الشريان المراري وشرايين أُخرى صغيرة متعددة تأتي إليها من السطح الحشوي للكبد.[23][36]


استئصال المرارة
مقالة مفصلة: استئصال المرارة

استئصال المرارة (بالإنجليزية: Cholecystectomy) هو إجراءٌ طبي يتم فيه إزالة المرارة، عادةً بسبب تكرار تكونِ الحصوات الصفراوية، وتُعتبر جراحةً اختيارية. قد يتم الاستئصال عبر الفتح أو من خلال تنظير البطن. تُزال المرارة من العُنق إلى القاع في الجراحة،[7] وبذلك تُصَرَفُ العصارة الصفراوية مباشرةً من الكبد إلى الشجرة الصفراوية. قد يُعاني حوالي 30% من المرضى من عسر الهضم بدرجاتٍ مُتفاوتةٍ بعد العملية، ونادرًا ما تحدثُ مضاعفاتٌ شديدة.[8] تؤدي حوالي 10% من الجراحات إلى حالةٍ مزمنة من المتلازمة التالية لاستئصال المرارة.[37]
يخضع حوالي 600 ألف شخص لاستئصال المرارة سنويًا في الولايات المتحدة،[38] كما أظهرَ مسحٌ إيطالي لعمليات استئصال المرارة، أنَّ حوالي 100 ألف شخص يخضعون للعملية سنويًا في إيطاليا، مع معدل مضاعفاتٍ بين 1-12%، والتي وصفها الباحثون بأنها مرتفعة.[39] في دراسةٍ أُجريت في مستشفًى في الولايات المتحدة عام 2012، كان عملية استئصال المرارة الإجراءَ الطبي الأكثر شيوعًا في غرفة العمليات.[40]
السرطان
مقالة مفصلة: سرطان الحويصلة الصفراوية
من غير الشائعِ حدوثُ سرطان المرارة والذي قد يحدثُ في مرحلةٍ متأخرة من الحياة. عندما يحدثُ هذا السرطان، غالبًا ما يؤثر على الغدد المُبطنة لسطح المرارة (سرطانة غدية).[8] يُعتقد بوجود ارتباطٍ بين الحصوات الصفراوية وتشكلُ السرطان، كما تُوجد عواملُ أخرى تزيد من احتمالية حدوث السرطان، وتتضمن سليلات المرارة الكبيرة (أكبر من 1سم)، وامتلاك مرارة خزفية مُتكلسة للغاية.[8]
قد يُسبب سرطان المرارة هجماتٍ من الألم المراري وانصباغ الجلد باللون الأصفر (يرقان) وفقدان الوزن، وإذا كانت المرارة كبير قد يُمكن لمسها في البطن، كما أنَّ اختبارات وظائف الكبد قد ترتفع، وخاصةً ناقلة الببتيد غاما غلوتاميل (GGT) والفوسفاتاز القلوي (ALP). يُمكن استخدام التصوير المقطعي المحوسب والتصوير بالموجات فوق الصوتية، واللذان أصبحا من وسائل التصوير الطبي المُفضلة في هذه الحالة.[8] يتم التعامل مع سرطان المرارة باستئصال المرارة، ولكن اعتبارًا من عام 2010 لا يزال مآل المرض ضعيفًا.[8]
قد يُعثرُ على سرطان المرارة صدفةً بعد جراحة استئصال المرارة، حيثُ أنَّ 1-3% من أنواع السرطان تُحددُ بهذه الطريقة. غالبًا ما تكون سليلات المرارة حميدةً في النمو أو تَكونُ آفاتٍ تُشبه نموًا يحدثُ في جدار المرارة،[41] وترتبط السليلات كبيرة الحُجم فقط (أكبر من 1سم) مع حدوث السرطان.[8] ترتبط السليلات الكولسترولية مع الداء الكولسترولي (المرارة الفراولية[42] أو المرارة التوتية[42] هي تغيرٌ في جدار المرارة؛ بسبب الكولسترول الزائد[43])، وعادةً لا تُسبب أي أعراضٍ، وبالتالي تُكتشف صدفةً أيضًا.[8]
الإصابة الجسدية
عندَ حدوث إصابةٍ مُغلقة أو ثاقبة للبطن، فإنَّ المرارة قد تتأثر بذلك، حيثُ قد تحدثُ رضة أو تمزق في جدار المرارة، ولكن هذا نادرًا ما يحدث (أقل من 2-8% من الحالات)، ولكن عندَ حدوثه سوف تتسرب العصارة الصفراوية إلى جوف الصفاق.[44]
الفحوصات السريرية

تُستخدم عدةُ فحوصاتٍ للبحث عن أمراض المرارة، ومنها اختبارات الدم والتصوير الطبي. قد يُظهر العد الدموي الشامل ارتفاعًا في عدد خلايا الدم البيضاء مما يُوحي بحدوث التهابٍ أو عدوى، أما اختبارات البيليروبين ووظائف الكبد قد تظهر فيما إذا كان الالتهاب يرتبط بالشجرة الصفراوية أو المرارة، ويبين أيضًا فيما إذا كان مرتبطًا بالتهابٍ في الكبد، كما قد ترتفع مستويات الليباز أو الأميلاز إذا كان هُناك التهابٌ بنكرياسي. قد يرتفع مستوى البيليروبين إذا كان هُناك انسدادٌ في تدفق العصارة الصفراوية. يُمكن التأكد من مستوى المستضد الكربوهيدراتي 19-9 (CA 19-9) للبحث عن سرطانة الأوعية الصفراوية.[8]
عادةً ما يكون التصوير بالموجات فوق الصوتية أولَ فحصٍ تصويريٍ طبيٍ يُنفذُ مع أمراض المرارة مثل الشك بوجود حصواتٍ صفراوية.[8] من طُرق التصوير الأُخرى التصوير بالأشعة السينية للبطن أو التصوير المقطعي المحوسب، حيثُ قد تستخدم لفحص المرارة والأعضاء المحيطة بها.[8] يُمكن أيضًا استعمال خياراتٍ تصويرية أُخرى مثل تصوير البنكرياس والأوعية الصفراوية بالرنين المغناطيسي (MRCP) وتصوير البنكرياس والأقنية الصفراوية بالتنظير الباطني بالطريق الراجع (ERCP) وتصوير الأوعية الصفراوية بطريق الجلد أو أثناء العملية.[8] التصوير الومضاني الصفراوي هو تصويرٌ نووي يُستعمل لتقييم حالةِ المرارة.[45]
الثقافة والمجتمع
ترتبطُ كلمة (gall) مع السلوك الجريء، أما كلمة (bile) فترتبط بطعم المرارة.[46]
في اللغة الصينية، ترتبط المرارة (بالصينية: 膽) بالشجاعة، كما ترتبط بعددٍ كبيرٍ من التعبيرات الاصطلاحية والتي تتضمن بعض المصطلحات مثل (渾身是膽)=(a body completely [of] gall) والتي تستخدم لوصف الشخص الشجاع، و(single gallbladder hero)=(孤膽英雄) والتي تستخدم لوصف البطل الوحيد.[47]
حسب نظرية زانغ-فو في الطب الصيني، فإنَّ وظيفة المرارة لا تتوقف على دورها الهضمي، وإنما تلعب دورًا في اتخاذ القرار.[47]
في الحيوانات

تمتلكُ العديدُ من الفقاريات مرارةً، ولكن شكل وترتيب القنوات الصفراوية يختلف كثيرًا من حيوانٍ إلى آخر، فمثلًا، في معظم الأنواع هُنالك عدة قنواتٍ منفصلةٍ تتجه نحو الأمعاء، وهذا بدلًا من القناة الصفراوية المشتركة في البشر. تفتقرُ العديد من الأنواع إلى وجود المرارة، والتي تتضمن أنواعًا عدة من الثدييات (مثل الخيل والأيل والجرذ واللامة)،[48][49] بالإضافة إلى أنواعٍ عدة من الطيور والجلكيات، كما أنَّ جميع اللافقاريات تفتقر إليها.[50]
تُستخدم العصارة الصفراوية المُستخلصة من عدة أنواعٍ من الدببة في الطب الصيني التقليدي، ويُحتفظ بالدببة الصفراوية حيةً في الأسر، حيثُ تستخرج منه العصارة بطرقٍ مؤلمة جميعها تتطلب تدخلًا جراحيًا،[51] وتشير التقديرات أنَّ 50-60% من الدببة تموت؛ بسبب المضاعفات الناتجة عن الجراحة أو الرعاية غير الصحيحة بعد الجراحة،[52][53] وتُصنف هذه الصناعة على أنها صناعةٌ تتميز بالقسوة على الحيوانات.[54][55]
يُعتبر الدب الأسود الآسيوي أكثر أنواع الدببة شيوعًا لأخذ العصارة الصفراوية،[56] كما تُؤخذ من أنواعٍ أقل مثل دب الشمس والدب البني وغيرها، وتُعتبر الباندا العملاقة النوع الوحيد الذي لا يخضع لهذه الممارسة كونه لا يُنتج حمض يوروديوكسي كوليك.[57][58][59]
التاريخ
عُثر على وصفٍ للمرارة والشجرة الصفراوية في النماذج البابلية منذُ 2000 قبل الميلاد، وفي النموذج الإتروسكاني منذ عام 200 قبل الميلاد، مع نماذجٍ مرتبطة بالعبادة الإلهية.[9]
أَثرت أمراضُ المرارة على البشرِ منذُ العصور القديمة، حيثُ وُجدت حصواتٌ صفراوية في مومياء أميرة طيبة أمينين، والتي تعودُ إلى عام 1500 قبل الميلاد.[9][10] يعتقدُ بعض المؤرخين أنَّ موت الإسكندر الأكبر قد يرتبطُ مع التهابٍ حادٍ في المرارة.[9] لُوحظ وجود المرارة منذ القرن الخامس، ولكنَ وظيفة وأمراض المرارة وُثقت مؤخرًا،[10] خاصةً في القرنين الأخيرين.[9]

يبدو أنَّ الأوصافَ الأولى للحصواتِ الصفراوية كانت في عصر النهضة، وذلك رُبما بسبب انخفاضِ معدل حدوث الحصوات الصفراوية في العصور السابقة؛ بسبب اتباعِ النظام الغذائي المُحتوي على مزيدٍ من الحبوب والخضروات، وكميةٍ أقل من اللحوم.[60] يُعتبر أنثونيوس بينيفينيوس أول من ربط بين وجود الحصوات الصفراوية والأعراض في عام 1506.[60] في عام 1890 قام لودفيج كورفوازييه بفحصِ عددٍ من الحالات، ثُم وضع قانونًا سماهُ قانون كورفوازييه، والذي ذكر أنهُ في المرارة المتضخمة غير المؤلمة، من غير المُحتمل أن تكون الحصوات الصفراوية هي سببُ اليرقان.[9]
كانت أولُ عمليةٍ جراحيةٍ لاستئصال حصواتٍ صفراوية في عام 1676 على يد الطبيب جوينسيوس، حيثُ قام بإزالة الحصوات من ناسورٍ مراري تلقائي الحدوث.[9] في عام 1867، أجرى ستاف هوبس أول عمليةٍ جراحية مُسجلةٍ لاستئصال المرارة،[60] ولكن هذه العملية كانت قد وُصفت سابقًا على يد الجراح الفرنسي جان-لويس بيتي في منتصف القرن الثامن عشر.[9] في عام 1882، قام الجراح الألماني كارل لانغنبوش بإجراء أول استئصالٍ للمرارة لمريضٍ يعاني من التحصي الصفراوي.[10] قبل هذه العمليات، كان تركيزُ الجراحة على إنشاء ناسورٍ لتصريف الحصوات الصفراوية.[9] ذكر كارل لانغنبوش بأنَّ الإنسان يستطيع العيش من دون مرارة، مفسِّرًا ذلك بأنَّ أنواعًا عديدة من الثدييات لا تمتلك مرارةً أصلًا.[9]
استمرَ الجدلُ حول تفضيلِ استعمال الاستئصال الجراحي للمرارة أو الحصوات الصفراوية فترةً طويلة، حتى تمت تسويته في عشرينات القرن العشرين بإجماعٍ على أنَّ إجراء الاستئصال للمرارة مُفضل.[10] في منتصف وأواخر القرن العشرين، استُعملت تقنيات التصوير الطبي مثل استخدام مواد التباين والتصوير المقطعي المحوسب في مشاهدة المرارة.[9] في ألمانيا عام 1985، أُجريَ أولُ استئصال للمرارة بالتنطير البطني على يد إريك موي، وذلك على الرغم أنَّ الجراحين الفرنسين فيليب موريت وفرانسوا دوبوا غالبًا ما يُنسب إليهما الفضل في عملياتهما في عام 1987 و1988 على التوالي.[11]
المراجع
- Ginsburg, Ph.D., J.N. (أغسطس 22, 2005). "Control of Gastrointestinal Function". In Thomas M. Nosek, Ph.D. (المحرر). Gastrointestinal Physiology. Augusta, Georgia, United State: كلية طب جورجيا مدرسة الطب. صفحات p. 30. مؤرشف من الأصل في أبريل 1, 2008. اطلع عليه بتاريخ يونيو 29, 2007. الوسيط
|CitationClass=تم تجاهله (مساعدة) نسخة محفوظة 19 سبتمبر 2008 على موقع واي باك مشين. - Nagral, Sanjay (2005). "Anatomy relevant to cholecystectomy". Journal of Minimal Access Surgery. 1 (2): 53–8. doi:10.4103/0972-9941.16527. PMC 3004105. PMID 21206646. الوسيط
|CitationClass=تم تجاهله (مساعدة) - Gray's Anatomy 2008، صفحة 1187-81.
- Shakelford's Surgery of Alimentary Tract, ed.7. 2013
- Hall, Arthur C. Guyton, John E. (2005). Textbook of medical physiology (الطبعة 11th). Philadelphia: W.B. Saunders. صفحات 802–804. ISBN 978-0-7216-0240-0. الوسيط
|CitationClass=تم تجاهله (مساعدة) - "Cholelithiasis - Hepatic and Biliary Disorders - MSD Manual Professional Edition". MSD Manual Professional Edition (باللغة الإنجليزية). مؤرشف من الأصل في 15 يناير 2019. اطلع عليه بتاريخ 18 أكتوبر 2017. الوسيط
|CitationClass=تم تجاهله (مساعدة) - Neri V; Ambrosi A; Fersini A; Tartaglia N; Valentino TP (2007). "Antegrade dissection in laparoscopic cholecystectomy". Journal of the Society of Laparoendoscopic Surgeons. 11 (2): 225–8. PMC 3015719. PMID 17761085. الوسيط
|CitationClass=تم تجاهله (مساعدة) - Britton, the editors Nicki R. Colledge, Brian R. Walker, Stuart H. Ralston; illustrated by Robert (2010). Davidson's principles and practice of medicine (الطبعة 21st). Edinburgh: Churchill Livingstone/Elsevier. صفحات 977–984. ISBN 978-0-7020-3085-7. الوسيط
|CitationClass=تم تجاهله (مساعدة) - Eachempati, Soumitra R.; II, R. Lawrence Reed (2015). Acute Cholecystitis (باللغة الإنجليزية). Springer. صفحات 1–16. ISBN 9783319148243. مؤرشف من الأصل في 20 أبريل 2020. الوسيط
|CitationClass=تم تجاهله (مساعدة) - Jarnagin, William R. (2012). Blumgart's Surgery of the Liver, Pancreas and Biliary Tract E-Book: Expert Consult - Online (باللغة الإنجليزية). Elsevier Health Sciences. صفحة 511. ISBN 978-1455746064. مؤرشف من الأصل في 6 أبريل 2020. الوسيط
|CitationClass=تم تجاهله (مساعدة) - Reynolds, Walker (يناير–March 2001). "The First Laparoscopic Cholecystectomy". Journal of the Society of Laparoendoscopic Surgeons. 5 (1): 89–94. PMC 3015420. PMID 11304004. الوسيط
|CitationClass=تم تجاهله (مساعدة) - "The Unified Medical Dictionary". ldlp-dictionary.com. مؤرشف من الأصل في 18 فبراير 2019. اطلع عليه بتاريخ 17 فبراير 2019. الوسيط
|CitationClass=تم تجاهله (مساعدة) - "Medical Dictionary". ldlp-dictionary.com. مؤرشف من الأصل في 18 فبراير 2019. اطلع عليه بتاريخ 17 فبراير 2019. الوسيط
|CitationClass=تم تجاهله (مساعدة) - "ترجمة و معنى gallbladder بالعربي في قاموس المعاني". www.almaany.com. مؤرشف من الأصل في 18 فبراير 2019. اطلع عليه بتاريخ 17 فبراير 2019. الوسيط
|CitationClass=تم تجاهله (مساعدة) - "Al-Qamoos القاموس - English Arabic dictionary / قاموس إنجليزي عربي". www.alqamoos.org. مؤرشف من الأصل في 18 فبراير 2019. اطلع عليه بتاريخ 17 فبراير 2019. الوسيط
|CitationClass=تم تجاهله (مساعدة) - يُوسف حِتّي; أحمَد شفيق الخَطيب (2008). قامُوس حِتّي الطِبي للجَيب. بيروت، لبنان: مكتبة لبنان ناشرون. صفحة 166. ISBN 995310235X. الوسيط
|CitationClass=تم تجاهله (مساعدة);|access-date=بحاجة لـ|url=(مساعدة) - "تعريف و شرح و معنى مرارة بالعربي في معاجم اللغة العربية معجم المعاني الجامع، المعجم الوسيط، اللغة العربية المعاصر، الرائد، لسان العرب، القاموس المحيط". www.almaany.com. مؤرشف من الأصل في 18 فبراير 2019. اطلع عليه بتاريخ 17 فبراير 2019. الوسيط
|CitationClass=تم تجاهله (مساعدة) - J. Morris Jones, A Welsh Grammar, Historical and Comparative (Oxford 1913), § 51 v.
- "Al-Qamoos القاموس - English Arabic dictionary / قاموس إنجليزي عربي". www.alqamoos.org. مؤرشف من الأصل في 21 فبراير 2019. اطلع عليه بتاريخ 21 فبراير 2019. الوسيط
|CitationClass=تم تجاهله (مساعدة) - "LDLP - Librairie Du Liban Publishers". ldlp-dictionary.com. مؤرشف من الأصل في 22 فبراير 2019. اطلع عليه بتاريخ 21 فبراير 2019. الوسيط
|CitationClass=تم تجاهله (مساعدة) - "LDLP - Librairie Du Liban Publishers". ldlp-dictionary.com. مؤرشف من الأصل في 22 فبراير 2019. اطلع عليه بتاريخ 21 فبراير 2019. الوسيط
|CitationClass=تم تجاهله (مساعدة) - Jon W. Meilstrup (1994). Imaging Atlas of the Normal Gallbladder and Its Variants. Boca Raton: CRC Press. صفحة 4. ISBN 978-0-8493-4788-7. الوسيط
|CitationClass=تم تجاهله (مساعدة) - Richard S. Snell (2010). snell's clinical anatomy by region (باللغة الإنجليزية) (الطبعة 9). يبينكوت وليامز ويلكنز. صفحة 199-200. ISBN 9788184736588. الوسيط
|CitationClass=تم تجاهله (مساعدة);|access-date=بحاجة لـ|url=(مساعدة) - Gray's Anatomy 2015، صفحة 331-332.
- Young, Barbara; et al. (2006). Wheater's functional histology: a text and colour atlas (الطبعة 5th). [Edinburgh?]: Churchill Livingstone/Elsevier. صفحة 298. ISBN 978-0-443-06850-8. الوسيط
|CitationClass=تم تجاهله (مساعدة) - Ross, M.; Pawlina, W. (2011). Histology: A Text and Atlas (الطبعة 6th). Lippincott Williams & Wilkins. صفحة 646. ISBN 978-0-7817-7200-6. الوسيط
|CitationClass=تم تجاهله (مساعدة) - Leeuw, Th.G.; Verbeek, P.C.M.; Rauws, E.A.J.; Gouma, D.J. (سبتمبر 1995). "A double or bilobar gallbladder as a cause of severe complications after (laparoscopic) cholecystectomy". Surgical Endoscopy. 9 (9): 998–1000. doi:10.1007/BF00188459. PMID 7482221. الوسيط
|CitationClass=تم تجاهله (مساعدة) - Segura-Sampedro, JJ; Navarro-Sánchez, A; Ashrafian, H; Martínez-Isla, A (فبراير 2015). "Laparoscopic approach to the intrahepatic gallbladder. A case report". Revista Espanola de Enfermedades Digestivas : Organo Oficial de la Sociedad Espanola de Patologia Digestiva. 107 (2): 122–3. PMID 25659400. مؤرشف من الأصل في March 4, 2016. الوسيط
|CitationClass=تم تجاهله (مساعدة) - Dhulkotia, A; Kumar, S; Kabra, V; Shukla, HS (1 مارس 2002). "Aberrant gallbladder situated beneath the left lobe of liver". HPB. 4 (1): 39–42. doi:10.1080/136518202753598726. PMC 2023911. PMID 18333151. الوسيط
|CitationClass=تم تجاهله (مساعدة) - Naganuma, S.; Ishida, H.; Konno, K.; Hamashima, Y.; Hoshino, T.; Naganuma, H.; Komatsuda, T.; Ohyama, Y.; Yamada, N.; Ishida, J.; Masamune, O. (6 مارس 2014). "Sonographic findings of anomalous position of the gallbladder". Abdominal Imaging. 23 (1): 67–72. doi:10.1007/s002619900287. PMID 9437066. الوسيط
|CitationClass=تم تجاهله (مساعدة) - Meilstrup JW; Hopper KD; Thieme GA (ديسمبر 1991). "Imaging of gallbladder variants". AJR Am J Roentgenol. 157 (6): 1205–8. doi:10.2214/ajr.157.6.1950867. PMID 1950867. مؤرشف من الأصل في 20 أبريل 2020. الوسيط
|CitationClass=تم تجاهله (مساعدة) - Gary C. Schoenwolf; et al. (2009). Larsen's human embryology (الطبعة Thoroughly rev. and updated 4th). Philadelphia: Churchill Livingstone/Elsevier. صفحات "Development of the Gastrointestinal Tract". ISBN 978-0-443-06811-9. الوسيط
|CitationClass=تم تجاهله (مساعدة) - Standring S, Borley NR, المحررون (2008). Gray's anatomy : the anatomical basis of clinical practice. Brown JL, Moore LA (الطبعة 40th). London: Churchill Livingstone. صفحات 1163, 1177, 1185–6. ISBN 978-0-8089-2371-8. الوسيط
|CitationClass=تم تجاهله (مساعدة) - KO, CYNTHIA (2005). "Biliary Sludge Is Formed by Modification of Hepatic Bile by the Gallbladder Mucosa". CLINICAL GASTROENTEROLOGY AND HEPATOLOGY. مؤرشف من الأصل في 20 أبريل 2020. الوسيط
|CitationClass=تم تجاهله (مساعدة) - Meyer, G.; Guizzardi, F.; Rodighiero, S.; Manfredi, R.; Saino, S.; Sironi, C.; Garavaglia, M. L.; Bazzini, C.; Bottà, G. (يونيو 2005). "Ion transport across the gallbladder epithelium". Current Drug Targets. Immune, Endocrine and Metabolic Disorders. 5 (2): 143–151. ISSN 1568-0088. PMID 16089346. الوسيط
|CitationClass=تم تجاهله (مساعدة) - Greenberger N.J., Paumgartner G (2012). Chapter 311. Diseases of the Gallbladder and Bile Ducts. In Longo D.L., Fauci A.S., Kasper D.L., Hauser S.L., Jameson J, Loscalzo J (Eds), Harrison's Principles of Internal Medicine, 18e
- nhs.uk, Complications of a gallbladder removal نسخة محفوظة 20 سبتمبر 2017 على موقع واي باك مشين.
- Goldman 2011، صفحات 855
- Università degli Studi di Pavia, Errore chirurgico, indice di rischio e colecistectomia videolaparoscopica, 2012 نسخة محفوظة 06 أبريل 2017 على موقع واي باك مشين.
- Lopez-Gonzalez L, Pickens GT, Washington R, Weiss AJ (أكتوبر 2014). "Characteristics of Medicaid and Uninsured Hospitalizations, 2012". HCUP Statistical Brief #183. Rockville, MD: Agency for Healthcare Research and Quality. مؤرشف من الأصل في 7 ديسمبر 2018. الوسيط
|CitationClass=تم تجاهله (مساعدة) - "Gallbladder Polyps". MayoClinic. مؤرشف من الأصل في 21 أغسطس 2013. اطلع عليه بتاريخ 19 مارس 2015. الوسيط
|CitationClass=تم تجاهله (مساعدة) - "Al-Qamoos القاموس - English Arabic dictionary / قاموس إنجليزي عربي". www.alqamoos.org. مؤرشف من الأصل في 24 فبراير 2019. اطلع عليه بتاريخ 23 فبراير 2019. الوسيط
|CitationClass=تم تجاهله (مساعدة) - Strawberry gallbladder – cancerweb.ncl.ac.uk.
- Torricelli & Zompatori, 2016 p. 241.
- "HIDA scan - Overview". Mayo Clinic (باللغة الإنجليزية). مؤرشف من الأصل في 18 أكتوبر 2017. اطلع عليه بتاريخ 18 أكتوبر 2017. الوسيط
|CitationClass=تم تجاهله (مساعدة) - J. A. Simpson (1989). The Oxford English dictionary (الطبعة 2nd). Oxford: Clarendon Press. gall, bile. ISBN 978-0-19-861186-8. الوسيط
|CitationClass=تم تجاهله (مساعدة) - Yu, Ning (1 يناير 2003). "Metaphor, Body, and Culture: The Chinese Understanding of Gallbladder and Courage". Metaphor and Symbol. 18 (1): 13–31. doi:10.1207/S15327868MS1801_2. الوسيط
|CitationClass=تم تجاهله (مساعدة) - C. Michael Hogan. 2008. Guanaco: Lama guanicoe, GlobalTwitcher.com, ed. N. Strömberg نسخة محفوظة 4 مارس 2011 على موقع واي باك مشين.
- Higashiyama, H; Sumitomo, H; Ozawa, A; Igarashi, H; Tsunekawa, N; Kurohmaru, M; Kanai, Y (2016). "Anatomy of the Murine Hepatobiliary System: A Whole-Organ-Level Analysis Using a Transparency Method". The Anatomical Record. 299 (2): 161–172. doi:10.1002/ar.23287. PMID 26559382. الوسيط
|CitationClass=تم تجاهله (مساعدة) - Romer, Alfred Sherwood; Parsons, Thomas S. (1977). The Vertebrate Body. Philadelphia, PA: Holt-Saunders International. صفحة 355. ISBN 978-0-03-910284-5. الوسيط
|CitationClass=تم تجاهله (مساعدة) - Isaccs, J. R. (2013). "Asian bear farming: breaking the cycle of exploitation". Mongabay.com. مؤرشف من الأصل في 4 يوليو 2015. اطلع عليه بتاريخ 8 أكتوبر 2013. الوسيط
|CitationClass=تم تجاهله (مساعدة) - Tsai, L. (2008). "Detailed discussion of bears used in traditional Chinese medicine". Michigan State University College of Law. مؤرشف من الأصل في 25 أبريل 2019. اطلع عليه بتاريخ 12 فبراير 2016. الوسيط
|CitationClass=تم تجاهله (مساعدة) - Li, P.J. (2004). "China's bear farming and long-term solutions". Journal of Applied Animal Welfare Science. 7 (1): 71–81. doi:10.1207/s15327604jaws0701_5. PMID 15066772. الوسيط
|CitationClass=تم تجاهله (مساعدة) - Actman, Jani (5 مايو 2016). "Inside the Disturbing World of Bear-Bile Farming". National Geographic. مؤرشف من الأصل في 5 أكتوبر 2018. اطلع عليه بتاريخ 23 أكتوبر 2017. الوسيط
|CitationClass=تم تجاهله (مساعدة) - Hance, Jeremy (9 أبريل 2015). "Is the end of 'house of horror' bear bile factories in sight?". The Guardian. مؤرشف من الأصل في 30 يناير 2019. اطلع عليه بتاريخ 23 أكتوبر 2017. الوسيط
|CitationClass=تم تجاهله (مساعدة) - Garshelis, D. L. & Steinmetz, R. (IUCN SSC Bear Specialist Group) (2016). "Ursus thibetanus". القائمة الحمراء للأنواع المهددة بالانقراض Version 2017-3. الاتحاد الدولي لحفظ الطبيعة. الوسيط
|CitationClass=تم تجاهله (مساعدة)صيانة CS1: أسماء متعددة: قائمة المؤلفون (link) CS1 maint: ref=harv (link) - Scotson, L., Fredriksson, G., Augeri, D., Cheah, C., Ngoprasert, D. & Wai-Ming, W. (2017). "Helarctos malayanus". القائمة الحمراء للأنواع المهددة بالانقراض Version 2017-3. الاتحاد الدولي لحفظ الطبيعة. الوسيط
|CitationClass=تم تجاهله (مساعدة)صيانة CS1: أسماء متعددة: قائمة المؤلفون (link) CS1 maint: ref=harv (link) - McLellan, B.N., Proctor, M.F., Huber, D. & Michel, S. (2017). "Ursus arctos". القائمة الحمراء للأنواع المهددة بالانقراض Version 2017-3. الاتحاد الدولي لحفظ الطبيعة. الوسيط
|CitationClass=تم تجاهله (مساعدة)صيانة CS1: أسماء متعددة: قائمة المؤلفون (link) CS1 maint: ref=harv (link) - Feng, Yibin; Siu, Kayu; Wang, Ning; Ng, Kwan-Ming; Tsao, Sai-Wah; Nagamatsu, Tadashi; Tong, Yao (2009-01-12). "Bear bile: dilemma of traditional medicinal use and animal protection". Journal of Ethnobiology and Ethnomedicine. 5: 2. doi:10.1186/1746-4269-5-2. PMC 2630947. PMID 19138420. الوسيط
|CitationClass=تم تجاهله (مساعدة) - Bateson, M. C. (2012). Gallstone Disease and its Management (باللغة الإنجليزية). Springer Science & Business Media. صفحات 1–2. ISBN 9789400941731. مؤرشف من الأصل في 20 أبريل 2020. الوسيط
|CitationClass=تم تجاهله (مساعدة)
كتب
- Richard Drake; A. Wayne Vogal; Adam Mitchell (2015). Gray's Anatomy for Students (باللغة الإنجليزية). إلزيفير. ISBN 9780702051326. الوسيط
|CitationClass=تم تجاهله (مساعدة);|access-date=بحاجة لـ|url=(مساعدة) - Richard S. Snell (2010). snell's clinical anatomy by region (باللغة الإنجليزية). يبينكوت وليامز ويلكنز. ISBN 9788184736588. الوسيط
|CitationClass=تم تجاهله (مساعدة);|access-date=بحاجة لـ|url=(مساعدة) - Standring S, Borley NR, المحررون (2008). Gray's anatomy : the anatomical basis of clinical practice. Brown JL, Moore LA (الطبعة 40th). London: Churchill Livingstone. ISBN 978-0-8089-2371-8. الوسيط
|CitationClass=تم تجاهله (مساعدة)
وصلات خارجية
- مخطط لمعدة ومرارة الإنسان– تشريح جسم الإنسان أون لاين على موقع MyHealthScore.com
- بوابة تشريح
- بوابة طب
- بوابة علم الأحياء
-ar.png.webp)
