التهاب المفصل في الصدفية
التهاب المفصل في الصدفية[1] (بالإنجليزية: Psoriatic arthritis) التهاب المفاصل الصدافي يصيب 1 من كل 1000 من الناس، كما يصيب 7% من الأشخاص المصابين بالصداف.[2] كما باقي أنواع التهاب المفاصل سلبي المصل (بالإنجليزية: seronegative spondyloarthropathy) (مثل التهاب الفقار المقسط) معظم المرضى يحملون جين HLA-B27. يصيب المرض جميع الأعمار ولكن عادة ما تظهر الأعراض 10 سنوات بعد بداية صداف الجلد. 70٪ من مرضى الصداف تظهر أعراض المفاصل فيهم بعد الصداف، 20٪ تظهر أعراض الجلد فيهم قبل أعراض المفاصل، وأحياناً تظهر أعراض الجلد وأعراض المفاصل بشكل متزامن.[2] 80٪ من المرضى لديهم تغيرات في الأظافر مثل التنقرات الظفرية (pitting nail) وانفكاك الظفر (onycholysis). ولدى 20٪ من المرضى التهابات في العين.
| التهاب المفصل في الصدفية | |
|---|---|
![]() التهاب المفاصل الحاد في الصدفية لكلا القدمين والكاحلين. لاحظ التغيرات في الأظافر. التهاب المفاصل الحاد في الصدفية لكلا القدمين والكاحلين. لاحظ التغيرات في الأظافر. | |
| معلومات عامة | |
| الاختصاص | طب الرثية |
| من أنواع | التهاب المفاصل ، ومتلازمة ، وأمراض الجلد والنسيج الرابط بالمناعة الذاتية |
| الإدارة | |
| أدوية | |
العلامات والأعراض
- آلام، تورم, تيبس في مفصل أو أكثر.[3]
- التهاب عدد قليل من المفاصل الغير متناظرة بنسبة 70% ( من ضمنها العقد المفصلية الطرفية؛ و هي صفة مميزة لهذا المرض )
- التهاب المفصل العجزي الحرقفي [الإنجليزية], التهاب الفقار بنسبة 40%.
- التهاب المفاصل المتناظرة ذو العوامل الالتهابية السلبية بنسبة 15%.
- التهاب العقد المفصلية الطرفية بنسبة 15%.
- مفاصل اليد التي تصاب بهذا المرض، هي : ا لعقد المفصلية المركزية, الطرفية، ما بين الأصابع [الإنجليزية] والكف والرسغ.
- المفاصل التي تكون مصابة تكون حمراء ودافئة عند اللمس[3]
- تورم أصابع اليد والأقدام بحيث تصبح شبيهة ب السجق.[3]
- ألم في الأقدام والكاحل وحولهما, التهاب الأوتار خاصة الوتر العرقوبي ( اخيلس ), أو التهاب الأوتار في راحة القدم.[3]
- التغيرات في الأظافر، مثل: التآكل، أو الانفصال عن المخدة الظفرية.[3]
- ألم في المنطقة العجزية فوق العصعوص.[3]
- و مع كل ما ذكر من الألم والالتهاب، فهناك إجهاد شديد لا يتحسن أو يذهب مع الراحة الكافية، وهذا الإجهاد قد يستمر لأيام أو أسابيع بدون انحسار. التهاب المفاصل الصدفي قد يبقى خفيفا أو قد يتطور إلى مرض مدمر للمفصل. فترات نشاط المرض أو اشتعاله تتناوب عادة مع فترات خمود المرض أو النشاط الالتهابي مما يشكل نموذج للمرض.
في الحالات الشديدة من الالتهاب المفصلي الصدفي قد يتطور إلى التهاب مفصل مشوه [4] والذي يظهر في الصورة الشعاعية على شكل قلم داخل فنجان.
- بما أن استمرار الالتهاب لفترات طويلة يؤدي إلى تدمير المفصل، لذلك ينصح بتشخيص المرض المبكر وعلاجه مما يؤدي إلى بطء ومنع دمار المفصل.[5]
- الآفات الجلدية الحرشفية ترى على الأسطح الباسطة، مثل: فروة الراس، سقف الحلق المشقوق، السرة.
- التغيرات في الأظافر تكون: تآكل، التهاب قاعدة الظفر، تغير لون الزاوية الظفرية، استقامة نهاية الظفر.[6]
المسببات
إلى الآن السبب غير واضح ويحتمل أن يكون جينياً، إذ إن المرض له علاقة بوجود الجين HLA-B27.
التشخيص

لا يوجد فحص معين لتشخيص هذا المرض بشكل مؤكد، الأعراض قد تماثل أمراضًا أخرى بما فيها التهاب المفاصل الرثوي. أخصائي الرثويات ( الطبيب المتخصص في امراض المفاصل ) قد يستعمل الفحص السريري، التاريخ الصحي، فحوصات الدم، الفحص الشعاعي ليشخص التهاب المفاصل الرثوي بشكل دقيق. العوامل التي تساعد في تشخيص التهاب المفاصل الصدفي هي:
- وجود الصدفية عند المريض أو تاريخ عائلي إيجابي بوجود الصدفية أو التهاب المفاصل الصدفي.
- نتيجة سلبية لاختبار العامل الرثوي، وهو فحص للدم يثبت وجود عامل ملازم لالتهاب المفاصل الرثوي
- علامات التهاب المفاصل في المفاصل الطرفية للعقد الإصبعية والقريبة في نهاية الأصابع، و التي ليست مميزة لالتهاب المفاصل الرثوي.
- تآكل واستقامة حواف الأظافر لأصابع اليد والقدم والتي تترافق مع التهاب المفاصل الصدفي.
- صور إشعاعية تؤشر إلى تغيرات في المفصل.
أعراض أخرى مميزة لهذا النوع من الالتهاب من أنواع التهاب المفاصل عن الأنواع الأخرى هي : التهاب الوتر العرقوبي ( اخيلس ), والاوتار في راحة القدم, و التهاب الأصابع حيث ينتفخ الإصبع ويصبح على شكل سجق.[7]
Magnetic resonance image of the سبابة in psoriatic arthritis (mutilans form). Shown is a T2 weighted fat suppressed sagittal image. Focal increased signal (probable erosion) is seen at the base of the middle سلامى (تشريح) (long thin arrow). There is synovitis at the proximal interphalangeal joint (long thick arrow) plus increased signal in the overlying soft tissues indicating استسقاء (طب) (short thick arrow). There is also diffuse bone oedema (short thin arrows) involving the head of the proximal phalanx and extending distally down the shaft.
Magnetic resonance images of the fingers in psoriatic arthritis. Shown are T1 weighted axial (a) pre-contrast and (b) post-contrast images exhibiting التهاب الأصبع due to مصطلحات تشريحية التهاب زليل الوتر at the second finger with enhancement and thickening of the tendon sheath (large arrow). Synovitis is seen in the fourth proximal interphalangeal joint (small arrow).
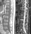
(a) T1-weighted and (b) short tau inversion recovery (STIR) magnetic resonance images of منطقة قطنية and lower صدر الإنسان spine in psoriatic arthritis. Signs of active inflammation are seen at several levels (arrows). In particular, قائمة مصطلحات تشريح المواضع (طب) spondylitis is seen at level L1/L2 and an inflammatory Andersson lesion at the upper vertebral endplate of L3.
Magnetic resonance images of مفصل عجزي حرقفيs. Shown are T1-weighted semi-coronal magnetic resonance images through the sacroiliac joints (a) before and (b) after intravenous contrast injection. Enhancement is seen at the right sacroiliac joint (arrow, left side of image), indicating active التهاب المفصل العجزي الحرقفي .
التصنيف
هناك خمسة أنواع لهذا المرض:
- غير المتناظر: هذا يصيب 70% من المرضى، وغالبا ما يكون خفيفا، وهو لا يصيب ذات المفاصل من الجهتين في الجسم، وعادة يصيب أقل من ثلاث مفاصل.
- المتناظر: هذا النوع يشكل 25% من الحالات، ويصيب ذات المفاصل في الجهتين من الجسم، وهو أكثر شبها لالتهاب المفاصل الرثوي , ويصيب بالعجز 50% من الناس.
- التهاب المفاصل المشوه : وهو يصيب أقل من 5% من المرضى وهو شديد ويشوه شكل المفصل ويدمره، قد يتطور على مدى شهور أو سنوات ويسبب تدمير شديد بالمفاصل، وقد يسمى أيضا التهاب المفصل الماص، قد يشاهد في مرضى الالتهاب الرثوي.
- التهاب المفاصل للفقرات الظهرية: يميزه تصلب الظهر أو الرقبة، وقد يصيب الأيدي والأقدام بشكل يشابه النوع المتناظر من المرض.
- التهاب المفاصل الطرف إصبعية السائدة : يوجد في 5% من المرضى، يتميز بالتهاب وتصلب المفاصل الأقرب إلى نهاية أصابع الأيدي والأقدام. وتغيرات الأظافر غالبا يكون ملحوظا.
العلاج
العملية الأساسية في التهاب المفاصل الصدافي هو الالتهاب، لذلك فإن العلاجات تتجه نحو التخفيف والسيطرة على الالتهاب. يمكن معالجة الحالات الخفيفة باستخدام المسكنات ومضادات الالتهاب اللاستيرويدية فقط. ولكن هناك اتجاهاً لاستخدام الأدوية المضادة للروماتيزم أو معدلات الاستجابة البيولوجية لمنع تدمير المفاصل.
مضادات الاتهابات الغير استيرودية
يستخدم بداية للمرضى مثل ( إيبوبروفين )و ( نابروكسين ), و للحالات الأشد ( ديكلوفيناك ), ( إندوميتاسين ), مع التنويه إلى وجود مضاعفات عند الاستخدام الطويل في هذه المجموعة مثل : تقرحات المعدة والامعاء و النزف المعوي.[8][9] و له تأثيرات جانبية، منها: تدمير الكلى، وجهاز القلب الدوراني.
مضادات الرثويات المعدلة لشكل المرض
تستخدم المضادات في الحالات المعندة والخالية من هجمات ثورانية للمرض، وليس فقط للتخفيف من الأم والتهيج. هذه المجموعة تساعد على التخفيف من دمار المفاصل، ويبدأ تأثيرها ببطئ، لذلك تحتاج لوقت طويل ( أسابيع وأشهر ) لتقوم بتأثيرها كاملا، مثال ( ميثوتركسيت ). و هذه المجموعة تقلل من الأعراض الجلدية للمرض لكنها قد تؤدي إلى أذية كبدية والتهابات جرثومية خطيرة.
المجموعة المعدلة لأشكال الاستجابات البيولوجية
طورت هذه المجموعة باستخدام تكنولوجيا العامل الوراثي المؤتلفة, و هي مشتقة من خلايا حية زرعت في المختبر، ولا تؤثر على الجهاز المناعي كاملا كمضادات الرثويات المعدلة لشكل المرض، إنما تستهدف أجزاء معينة منه، وتعطى عن طريق الحقن أو بشكل بطيء عن طريق الوريد. و من مضاعفاتها أنها قد تؤدي إلى عدوى خفيقه أو شديده، ونادرا قد تترافق مع خلل في الجهاز العصبي وأمراض الدم وبعض أنواع السرطانات.
علاجات اخرى
- ريتينويد ايتيرنيت 30 ملغ لكل يوم، ويستخدم لالتهاب المفاصل والجلد.
- العلاج الضوئي الكيماوي والأشعة فوق البنفسجية، وتستخدم لإصابات الجلد الشديدة.
- كذلك يمكن الاستعانة ب جراحة المفاصل والعظام لتصحيح تشوهات المفاصل، مثل: استبدال المفاصل. وهذه الطريقة فعالة لإزالة الآلام، تصحيح التشوه واستعادة حركة وقوة المفاصل.
وبائيات المرض
70% من المصابين بالتهاب المفاصل الصدفي يظهر عندهم المرض بداية على شكل آفة جلدية حرشفية, 15% منهم توافق ظهور الآفة الجلدية مع الالتهاب المفصلي, 15% ظهرت الآفة الجلدية بعد ظهور التهيج المفصلي.[10] التهاب المفاصل الصدفي يمكن أن يتطور عند الأشخاص الذين لديهم أي مستوى من آفة الجلد الصدفية من خفيف إلى شديد.[11]
معظم الالتهابات المفصلية الصدفية تظهر بعد 10 سنوات من ظهور الآفة الجلدية ما بين عمر 30-55 عام، وقد يظهر ويصيب الأطفال، وظهور الالتهاب المفصلي الصدفي قبل الآفة الجلدية أكثر شيوعا عند الأطفال منه عند البالغين.[12]
أكثر من 80% من المصابين بالتهاب المفاصل الصدفية يعانون من أعراض بالأظافر، يميزها تآكل الأظافر وانفصالها عن الأنسجة التحتية، استقامة حافة الأظفر، تشقق الأظافر وقد يصل إلى فقدان الأظفر بذاته.[13]
الإصابة عند الذكور والإناث بنفس النسبة. المرض أكثر شيوعا عند الشعب القوقازي منه في الشعوب الإفريقية والآسيوية كما الحال في الآفة الجلدية الحرشفية.[13]
المراجع
- المعجم الطبي الموحد.
- Davidson's Principles & practice of Medicine، ص.1095، الطبعة 21، ردمك 9780702030840 نسخة محفوظة 1 فبراير 2014 على موقع واي باك مشين. [وصلة مكسورة]
- Amherd-Hoekstra A, Näher H, Lorenz HM, Enk AH (May 2010). "Psoriatic arthritis: a review". Journal of the German Society of Dermatology. 8 (5): 332–9. doi:10.1111/j.1610-0387.2009.07334.x. PMID 20015187. الوسيط
|CitationClass=تم تجاهله (مساعدة)صيانة CS1: أسماء متعددة: قائمة المؤلفون (link) - Davidson's principles and practice of medicine (الطبعة 21st). Edinburgh: Churchill Livingstone/Elsevier. 2010. صفحة 1096. ISBN 978-0-7020-3084-0. الوسيط
|CitationClass=تم تجاهله (مساعدة); الوسيط|firstالأول=يفتقد|lastالأول=في الأول (مساعدة) - Farragher TM, Lunt M, Plant D, Bunn DK, Barton A, Symmons DP (May 2010). "Benefit of early treatment in inflammatory polyarthritis patients with anti-cyclic citrullinated peptide antibodies versus those without antibodies". Ann. Rheum. Dis. 62 (5): 664–75. doi:10.1002/acr.20207. PMC 2962800. PMID 20461787. الوسيط
|CitationClass=تم تجاهله (مساعدة)صيانة CS1: أسماء متعددة: قائمة المؤلفون (link) - "Psoriatic Arthritis". Arthritis Action. مؤرشف من الأصل في 4 مارس 2016. اطلع عليه بتاريخ 12 أغسطس 2015. الوسيط
|CitationClass=تم تجاهله (مساعدة) - "Psoriatic Arthritis". The Johns Hopkins University School of Medicine and the Johns Hopkins Arthritis Center. مؤرشف من الأصل في 10 مايو 2012. اطلع عليه بتاريخ 04 مايو 2011. الوسيط
|CitationClass=تم تجاهله (مساعدة); Cite journal requires|journal=(مساعدة) - Warner TD, Giuliano F, Vojnovic I, Bukasa A, Mitchell JA, Vane JR (1999). "Nonsteroid drug selectivities for cyclo-oxygenase-1 rather than cyclo-oxygenase-2 are associated with human gastrointestinal toxicity: a full in vitro analysis". Proc Natl Acad Sci U S A. 96 (13): 7563–8. doi:10.1073/pnas.96.13.7563. PMC 22126. PMID 10377455. الوسيط
|CitationClass=تم تجاهله (مساعدة)صيانة CS1: أسماء متعددة: قائمة المؤلفون (link) - Scholer DW, Ku EC, Boettcher I, Schweizer A (April 1986). "Pharmacology of diclofenac sodium". Am. J. Med. 80 (4B): 34–8. doi:10.1016/0002-9343(86)90077-X. PMID 3085490. الوسيط
|CitationClass=تم تجاهله (مساعدة)صيانة CS1: أسماء متعددة: قائمة المؤلفون (link) - "Psoriatic Arthritis". The Johns Hopkins University School of Medicine and the Johns Hopkins Arthritis Center. مؤرشف من الأصل في 31 يوليو 2012. اطلع عليه بتاريخ 04 مايو 2011. الوسيط
|CitationClass=تم تجاهله (مساعدة); Cite journal requires|journal=(مساعدة) - "Who's At Risk". National Psoriasis Foundation and Arthritis Foundation. مؤرشف من الأصل في 20 أغسطس 2013. اطلع عليه بتاريخ 04 مايو 2011. الوسيط
|CitationClass=تم تجاهله (مساعدة); Cite journal requires|journal=(مساعدة) - "Psoriatic Arthritis". ويبمد. مؤرشف من الأصل في 08 فبراير 2014. اطلع عليه بتاريخ 04 مايو 2011. الوسيط
|CitationClass=تم تجاهله (مساعدة); Cite journal requires|journal=(مساعدة) - "Epidemiology of Psoriatic Arthritis". ويبمد. مؤرشف من الأصل في 08 فبراير 2014. اطلع عليه بتاريخ 04 مايو 2011. الوسيط
|CitationClass=تم تجاهله (مساعدة); Cite journal requires|journal=(مساعدة)
- بوابة طب
