التهاب النخاع المستعرض
التهاب النخاع المُستَعْرِض (باللاتينية myelitis transversa هو اضطراب عصبي ناتج عن التهاب في النخاع الشوكي هذا الالتهاب يؤدي إلى إتلاف الألياف العصبية أوإلى زوال الميالين المحواري. كلمة مستعرض يرمى بها أن الالتهاب يكون في كل عرض النخاع الشوكي. يستخدم مصطلح التهاب النخاع المسعرض الجزئي للإشارة إلى الالتهاب الذي يؤثر في منطقة محددة من ثخن (مقطع ) النخاع الشوكي.[1]
| التهاب النخاع المستعرض | |
|---|---|
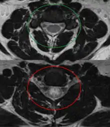
![]() صورة بالرنين المغناطيسي توضح آفة بسبب التهاب النخاع المستعرض (الآفة هي اللون الأفتح، شكلها بيضوي في المركز باتجاه اليمين)، أخذت هذه الصورة بعد 3 أشهر من تعافي المريض. صورة بالرنين المغناطيسي توضح آفة بسبب التهاب النخاع المستعرض (الآفة هي اللون الأفتح، شكلها بيضوي في المركز باتجاه اليمين)، أخذت هذه الصورة بعد 3 أشهر من تعافي المريض. | |
| معلومات عامة | |
| الاختصاص | طب الأعصاب |
| من أنواع | التهاب النخاع |
| المظهر السريري | |
| الأعراض | ضعف |
| الإدارة | |
| أدوية | |
الأعراض والعلامات
يؤدي الالتهاب إلى اضطراب في الأعصاب الحسية والحركية ، كما ويؤدي إلى خلل وظيفي في الجهاز العصبي المستقل على نفس مستوى الآفة أو أسفل منها، لذا فإنّ الأعراض والعلامات تعتمد على المنطقة التي حدثت فيها الآفة من النخاع:[2]
- الرقبي : إذا كانت الحبل الرقبي العلوي هو المتضمن في الآفة، فإن الأطراف الأربعة قد تكون متأثرة، كما أنّ خطر التعرض لشلل تنفسي يكون قائماً، ( القطاعات العصبية الرقبية الثالثة [الإنجليزية] و الرابعة [الإنجليزية] و الخامسة [الإنجليزية] تغذي الحجاب البطني ) . الآفات في المنطقة الرقبية السفلية ( من القطاع الرقبي الخامس وحتى الصدري الأول ) ستؤدي إلى مزيد من الأعراض في العصب العلوي والسفلي في الأطراف العلوية والأعصاب العلوية في الاطراف السفلية . الآفات الرقبية تشكل ما قيمته 20% من مجموع الحالات.[2]
- الصدريّ : الآفة في الحبل الشوكي الصدري ( من القطاع الأول وحتى الثاني عشر ) ستؤدي إلى ظهور الأعراض في العصب الحركي العلوي في الأطراف السفلية، وتظهر على شكل شلل مزدوج تشنجي [الإنجليزية] . إنّ هذا الموقع يشكل الموقع الأبرز لحدوث الآفة، لذا فإن معظم الأفراد سيعانون من ضعف في الأطراف السفلية.[3]
- القطني : إنّ الآفة في الجزء السلفي من الحبل الشوكي ( من القطاع القطني الأول وحتى القطاع العجزي الخامس ) يؤدي عادة إلى مزيج من الأعراض في العصب الحركي العلوي والسفلي في الأطراف السفلية . الآفات القطنية تشكل ما قيمته 10% من مجموع الحالات.[2]
العلامات تتضمن ضعفاً، واخدراراً في الأطراف، كما وتؤدي إلى اختلالات في المهارات الحسية والحركية، واخنلالاً في أنشطة المصرّة، واختلالاً في الجهاز العصبي المستقبل . تتطور الأعراض عادة خلال ساعات أو أيام، كما ويمكن أن تتقدم بعد أسابيع.[1] إن الأعراض الحسية الخاصة بالتهاب النخاع المستعرض يمكن أن تتضمن الإحساس بالإبر والدبابيس التي تنتقل من القدم (2). كما ويمكن أن يسبب ألم في الظهر على مستوى القطاع الملتهب من النخاع الشوكي.[1] تعتمد درجة ونوع فقدان الإحساس على مدى تنوع السبل الحسية المتضمنة في الالتهاب، ولكن عادة هنالك "المستوى الحسيّ " ( على المستوى القطاعي الحسي في موقع أدني حيث يكون الإحساس بالألم، أو اللمس الخفيف معطلّاً . يحدث الضعف الحركي حين تكون السبل الهرمية متضمنة في الالتهاب ويؤثر بشكل رئيسي على العضلات المستخدمة في ثني الأقدام، وتمديد الأيدي.[1] مشاركة الجهاز العصبي المستقل تعتبر شائعة، وكثيراً ما تؤدي إلى تعطل في وظيفة المثانة والأمعاء كما وقد تؤدي إلى حوادت ارتفاع في ضعط الدم.[1] شلل المثانة يحدث عادة، كما أن الاحتباس البولي يعتبر من المظاهر المبكرة .
الأسباب


إن التهاب النخاع المستعرض يعتبر اضطراباً مختلف المنشأ ، لذا فإن هنالك الكثير من الأسباب المحددة له . في بعض الأحيان يستخدم مصطلح طيف اضطرابات التهاب النخاع المستعرض.[4] ونادراً ما يكون الاضطراب غير محدد الأسباب.[5] عندما يظهر المرض كالتهاب النخاع والعصب البصري ، يُعتبر بأنّه قد حدث بسبب المناعة الذاتية من النوع (NMO-IgG) ، أما في حالات التصلب المتعدد ، فإن المرض يكون قد نشأ نتيجة للظرف الضمني نفسه الذي أدّى إلى حدوث الآفات . في بعض الحالات، يفترض بأن المرض قد حدث نتيجة لعدوى فيروسية مثل : الفيروس المضخّم للخلايا ، كما وجد أنّه مرتبط بإصابات الحبل الشوكي، والتفاعلات المناعية، وداء البلهارسيّات ، ونقصان تدفق الدم في أوعية الحبل الشوكي . التهاب النخاع الحاد يشكل ما قيمته (4-5%) من مجموع حالات داء البورليات العصبي.[6] يكون مرافقاً للالتهاب النخاع المستعرض :
- عدوى بكتيرية – التهاب الرئة المفطورة [7]
- عدوى فيروسية، مثل : فيروس هربس بسيط والهربس النطاقي، والفيروس المضخم للخلايا، وفيروس الإيدز .[8]
- المطاعيم، هناك تقرير تشير إلى ظهور التهاب النخاع المستعرض بعد عدة أيام أو عدة أشهر بعد المطاعيم .
ما بين عامي 172 و 2009 تم تسجيل 37 حالة من التهاب النخاع المستعرض التي حدثت بعد المطاعيم ( مثل المطعوم ضد التهاب الكبد الوبائي من النوع ب، والمطعوم الثلاثي الحصبة – النكاف – الحصبة الألمانية، والمطعوم الثلاثي الخناق – الكزاز – السعال الديكي وغيرهم ) [9]
الفيزيولوجيا المرضية
إن زوال صبغة الميالين مجهول السبب ينشأ بعد العدوى ، أو نتيجة للتصلب المتعدد . إحدى النظريات الرئيسية تفترض أن الالتهاب المفتعل بالمناعة يظهر كنتيجة للتعرض للمستضد الفيروسي . كما وسجلت البكتيريا المسببة للإسهال العطيفة الصائمية كأحد المسببات لالتهاب النخاع المستعرض .[11] إن الآفات التهابية، وتتضمن الحبل الشوكي على الجانبين . وفي حالة التهاب النخاع المستعرض الحاد، تكون البداية مفاجئة ويتطور المرض بسرعة في ساعات وأيام . الآفات يمكن أن تكون موجودة في أي مكان من الحبل الشوكي، رغم أنهم غالباً ما يكونون محدودين في جزء صغير .
التهاب النخاع المستعرض الطولي الشامل
تعتبر هذه الحالة، ظهوراً طبياً خاصاً، ويمكن تعريفها على أنه التهاب النخاع المستعرض الذي يتضمن آفات في الحبل الشوكي تمتد فوق أكثر من ثلاث قطاعات فقرية .[12] والأسباب المؤدية له، مغايرة المنشأ.[13] كما أن ظهور الأضداد الذاتية للخلايا الميلانية قليلة التغضن يستخدم كدليل حيوي للتمييز .[14]
التشخيص
التشخيص التفاضلي
الأعراض التي تأخذ بعين الاعتبار في التشخيص التفاضلي هي الرضح الحاد في الحبل الشوكي، والآفات الضغطية الحادة فيه، مثل : ورم الجافية التنقلي، واحتشاء الحبل الشوكي، عادة كنتيجة لعدم فاعلية الشريان الشوكي الأمامي، وبالإضافة إلى انفتاق النواة اللبية .
معايير التشخيص

في عام 2002 جمعية التهاب النخاع المستعرض، أقرت المعايير التالية لتستخدم في تشخيص التهاب النخاع المستعرض:[15]
- المعايير الشاملة
- الخلل الوظيفي الحركي أو الحسي ، أو الأوتونومي الذي يعزي للحبل الشوكي
- الأعراض والعلامات على جانبي الجسم ( التماثل ليس شرطاً )
- مستوى حسّي معرف بوضوع
- علامات الالتهاب ( كثرة خلايا السائل النخاعي ، أو زيادة في الغلوبيولين المناعي من النوع G ، أو دليل على الالتهاب في صورة الرنين المغنياطيسي المدعمة بالغادولينيوم )
- ذروة الحالة تكون ما بين 4 ساعات إلى 21 يوماً من بدء المرض .
- المعايير الاستثنائية
- ظاهرة التشعع للسيساء ( العمود الفقري ) ( مثل : العلاج بالإشعاع ) في آخر 10 سنوات من الإصابة بالمرض
- بيّنة ( علامة ) لتخثر في الشريان النخاعي الأمامي
- بينة لضغط خارج المحور في التصوير العصبي
- بينة لوجود تشوه شرياني وريدي ( تدفق غير طبيعي (فراغات )على سطح السيساء ( العمود الفقري ) )
- بينة لمرض في النسيج الضام ( مثل : الساركويد ، ذنبة حمامية مجموعية ، أو داء النسيج الضام المختلط )
- بينة لالتهاب العصب البصري ( كتشخيص للالتهاب النخاع والعصب البصري )
- بينة لعدوى ( مثل : مرض الزهري ، فيروس نقص المناعة المكتسبة ، الفيروس النطاقي الحماقي ، المفطورة ، الفيروس المضخم للخلايا (
- بينة لمرض التصلب المتعدد ( يمكن تحديد الشذوذ باستخدام صورة الرنين المغناطيسي ، وظهور الأجسام المضادة في السائل النخاعي )
الفحوص الجرثومية
يكون من الصعب جداً في العادة أن يتم تمييز التهاب النخاع الحاد من خلال الأعراض والعلامات، كما أنه من الضروري أن يصوّر المريض صورة رنين مغناطيسي طارئة، أو صورة ال ct . قبل البدء بهذه الخطوات يتم في العادة تصوير صورة بالأشعة السينية للسيساء ( العمود الفقري ) كاملاً، وذلك ليتم تحديد علامات المرض التنقلي للفقرات بشكل أساسي، وهذا يشير إلى وجود امتداد مباشر إلى حيّز فوق الجافية، والضغط على الحبل الشوكي . عادة، الآفات العظمية تكون غير ظاهر ة، وفقط التصوير بالرنين المغناطيسي أو ال CT تكشف عن وجود أو غياب الآفات العظمية . عادة، يكون الأفراد الذين يعانون من التهاب النخاع المستعرض ممن يحوّلون لمرجعة طبيب الأعصاب ، أو جراح أعصاب ، الذين يستطيع فحص المريض بشكل سريع وطارئ في المستشفى . ولكن قبل تنظيم هذا التحويل، يجب على الطبيب العام أن يتأكد من أن تنفس المريض لم يتأثر بالمرض، وخصوصاً في آفات الحبل الشوكي العليا . إذا كان هنالك أي بينة لوجود تأثير على التنفس من خلال آفات الحبل الشوكي العليا، فيجب استخدام الوسائل المساعدة على التنفس قبل التحويل وخلاله . كما يجب أن يتم قسطرة المريض، لأخذ الدم اللازم للتحاليل، وفي حال كان ضرورياً نزح مثانة مفرطة الانتفاخ . كما ويمكن إجراء البزل القطني بعد صورة الرنين المغناطيسي، وخلال وقت إجراء صورة ال CT . وتعطي بالعادة الإستيرودات بجرعات عالية، عندما تكون العلامات قد بدأت، وذلك على أمل تقليل درجة الانتفاخ والالتهاب في النخاع الشوكي، ولم يثبت حتى الآن إن كانت هذه الطريقة فعلاً ناجحة لتخفيف الالتهاب، فالأمر محل نقاش حتى الآن . من الممكن أن نجد الأجسام المضادة لمرض لايم في مرضى التهاب النخاع المستعرض ويمكن تفسير ذلك بأن الأجسام المضادة تتنقل ما بين الدم والسائل في النخاع الشوكي.[16]
توقعات سير المرض
الشفاء من مرض التهاب النخاع المستعرض متباين بين الافراد، كما ويعتمد على مسبب المرض . فمثلاُ : بعض المرضى يبدأون بالتشافي ما بين الأسبوعين الثاني والثاني عشر بعد ظهور المرض، ويمكن أن يستمر بالتحسن إلى مدة تصل لعامين . أما المرضى الآخرين، فيمكن أن لا يشفوا أبداً أو تظهر عليهم أي علامات للتشافي .[17] ومع ذلك، إذا تم علاج المرض مبكراً، فإن بعض المرضى، يشفون بشكل كامل تقريباً . كما وتعتمد الخيارات العلاجية المطروحة على المسبب للمرض، ومن أحد الخيارات المطروحة للعلاج في بعض الحالات فصادة البلازما .[18]
أما سير لمرض في التشافي الملاحظ في التهاب النخاع الحاد فهو ضعيف، و66% من الحلات، تعاني من إعاقة بليغة طويلة الأمد .2% من هؤلاء المرضى سيعانون من آفات في أجزاء أخرى من الجهاز العصبي المركزي، مثل الهجمة الأولى لمرض التصلب المتعدد.[8]
الوبائيات
وفقاً لآخر مصدر، فإن وقوع التهاب النخاع المستعرض ما بين 4.6 إلى مليون حالة، كما أنه يصيب الرجال والنساء بصورة متساوية، ويمكن يحدث في أي عمر ( على الخصوص : سن العاشرة، والعشرين، والأربعين ) .[19]
تاريخ المرض
إن أول تقرير يصف أعراض وعلامات امرض، نشر عم 1885 و 1910 عن طريق بيستان .[2] وكان شويت كايي أول من أضاف مصطلح التهاب النخاع المستعرض عام 1948.[2]
المراجع
- West, TW (October 2013). "Transverse myelitis—a review of the presentation, diagnosis, and initial management". Discovery Medicine. 16 (88): 167–177. PMID 24099672. مؤرشف من الأصل في 10 ديسمبر 2019. الوسيط
|CitationClass=تم تجاهله (مساعدة) - Dale RC; Vincent A (19 January 2010). Inflammatory and Autoimmune Disorders of the Nervous System in Children. John Wiley & Sons. صفحات 96–106. ISBN 978-1-898683-66-7. مؤرشف من الأصل في 10 ديسمبر 2019. الوسيط
|CitationClass=تم تجاهله (مساعدة) - Alexander MA; Matthews DJ; Murphy KP (28 May 2015). Pediatric Rehabilitation, Fifth Edition: Principles and Practice. Demos Medical Publishing. صفحات 523, 524. ISBN 978-1-62070-061-7. مؤرشف من الأصل في 27 يناير 2020. الوسيط
|CitationClass=تم تجاهله (مساعدة) - Pandit L (Mar–Apr 2009). "Transverse myelitis spectrum disorders". Neurol India. 57 (2): 126–33. doi:10.4103/0028-3886.51278. PMID 19439840. الوسيط
|CitationClass=تم تجاهله (مساعدة) - Greenberg BM, Frohman EM (February 2015). "Immune-mediated myelopathies". Continuum (Minneapolis, Minn). 21 (1): 121–32. doi:10.1212/01.CON.0000461088.63994.a2. PMID 25651221. الوسيط
|CitationClass=تم تجاهله (مساعدة) - Blanc F, Froelich S, Vuillemet F, et al. (November 2007). "[Acute myelitis and Lyme disease]". Rev. Neurol. (Paris) (باللغة الفرنسية). 163 (11): 1039–47. PMID 18033042. مؤرشف من الأصل في 8 مارس 2020. الوسيط
|CitationClass=تم تجاهله (مساعدة) - Atlas, Scott W. (2009-01-01). Magnetic Resonance Imaging of the Brain and Spine. Lippincott Williams & Wilkins. ISBN 9780781769853. مؤرشف من الأصل في 23 يوليو 2016. الوسيط
|CitationClass=تم تجاهله (مساعدة) - "Transverse Myelitis Fact Sheet: National Institute of Neurological Disorders and Stroke (NINDS)". www.ninds.nih.gov. مؤرشف من الأصل في 23 نوفمبر 2016. اطلع عليه بتاريخ 06 أغسطس 2015. الوسيط
|CitationClass=تم تجاهله (مساعدة) - Agmon-Levin, N; Kivity, S; Szyper-Kravitz, M; Shoenfeld, Y (November 2009). "Transverse myelitis and vaccines: a multi-analysis". Lupus. 18 (13): 1198–204. doi:10.1177/0961203309345730. PMID 19880568. الوسيط
|CitationClass=تم تجاهله (مساعدة) - Schlossberg, David (2012-12-06). Infections of the Nervous System. Springer Science & Business Media. ISBN 9781461396987. مؤرشف من الأصل في 29 أبريل 2016. الوسيط
|CitationClass=تم تجاهله (مساعدة) - Enteropathogens and Chronic Illness in Returning TravelersAllen G.P. Ross, M.D., Ph.D., et al. N Engl J Med 2013; 368:1817-1825May 9, 2013DOI: 10.1056/NEJMra1207777 http://www.nejm.org/doi/full/10.1056/NEJMra1207777 نسخة محفوظة 2018-01-04 على موقع واي باك مشين.
- Cuello JP, Romero J, de Ory F, de Andrés C "Longitudinally extensive varicella-zoster virus myelitis in a multiple sclerosis patient, Spine (Phila Pa 1976) 2013 Sep;38(20):E1282-4. doi: 10.1097/BRS.0b013e31829ecb98, ببمد 23759816
- Pekcevik Y et al. Differentiating neuromyelitis optica from other causes of longitudinally extensive transverse myelitis on spinal magnetic resonance imaging. Mult Scler. 2015; doi:10.1177/1352458515591069 ببمد 26209588
- Cobo-Calvo Á et al. Antibodies to myelin oligodendrocyte glycoprotein in aquaporin 4 antibody seronegative longitudinally extensive transverse myelitis: Clinical and prognostic implications. Mult Scler. 2015; doi:10.1177/1352458515591071 ببمد 26209592
- "Proposed diagnostic criteria and nosology of acute transverse myelitis". Neurology. Transverse Myelitis Consortium Working Group. 59 (4): 499–505. 27 August 2002. doi:10.1212/WNL.59.4.499. PMID 12236201. الوسيط
|CitationClass=تم تجاهله (مساعدة) - Walid MS, Ajjan M, Ulm AJ (2008). "Subacute transverse myelitis with Lyme profile dissociation". Ger Med Sci. 6: Doc04. PMC 2703261. PMID 19675732. مؤرشف من الأصل في 01 يونيو 2009. الوسيط
|CitationClass=تم تجاهله (مساعدة)صيانة CS1: أسماء متعددة: قائمة المؤلفون (link) - About one third of patients do not recover at all: These patients are often wheelchair-bound or bedridden with marked dependence on others for basic functions of daily living. Transverse Myelitis Fact Sheet: National Institute of Neurological Disorders and Stroke (NINDS) نسخة محفوظة 23 نوفمبر 2016 على موقع واي باك مشين.
- Cohen, Jeffrey A.; Rudick, Richard A. (2011-10-20). Multiple Sclerosis Therapeutics (باللغة الإنجليزية). Cambridge University Press. صفحة 625. ISBN 9781139502375. مؤرشف من الأصل في 10 ديسمبر 2019. الوسيط
|CitationClass=تم تجاهله (مساعدة) - Mumenthaler, Marco; Mattle, Heinrich (2011-01-01). Neurology. Thieme. ISBN 9781604061352. مؤرشف من الأصل في 25 أبريل 2016. الوسيط
|CitationClass=تم تجاهله (مساعدة)
- بوابة طب
صور وملفات صوتية من كومنز
