التهاب برزخ البوق العقد
الْتِهابُ بَرْزَخِ البُوقِ العَقِد[1] (بالإنجليزية: Salpingitis isthmica nodosa واختصارها SIN)، والمعروف أيضا باسم رداب[2] أنبوب فالوب (بالإنجليزية: Diverticulosis of the fallopian tube)، هو عبارة عن سماكة عقيدية في الجزء الضيق من أنبوب الرحم؛ بسبب الالتهاب.
| التهاب برزخ البوق العقد | |
|---|---|
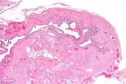
![]() صورة مجهرية لالتهاب برزخ البوق العقد تبين سمك عقدي مميز. صبغة الهيماتوكسيلين واليوزين. صورة مجهرية لالتهاب برزخ البوق العقد تبين سمك عقدي مميز. صبغة الهيماتوكسيلين واليوزين. | |
| معلومات عامة | |
| الاختصاص | طب النساء |
الأعراض
يرتبط التهاب برزخ البوق العقد بالعقم والحمل المنتبذ،[3] وقد يظهر في صورة أيا منهما كعرض له.
علم الأمراض
يتميزالتهاب برزخ البوق العقد بسماكة عقيدية في الغلالة العضلية للجزء الضيق من أنبوب فالوب (البرزخ). وفي الحالات الشديدة، فإنه يؤدي إلى انسداد كامل في تجويف قناة فالوب. ومن غير المألوف أن يحدث على الجانبين في نفس الوقت.[4]
التشخيص
يتم التشخيص باستخدام تصوير الرحم بالصبغة.
العلاج
يمكن علاج التهاب برزخ البوق العقد عن طريق إجراءات إعادة فتح القناة إما باستخدام قسطرة مع الاسترشاد بالأشعة التداخلية أو عن طريق الجراحة بالمنظار.[5]
أصل الكلمة
يشتق مصطلح التهاب برزخ البوق العقد (salpingitis isthmica nodosa) من كلمة (salpingitis) بمعنى التهاب البوق، وكلمة (isthmica) نسبة إلى جزء البرزخ الداني من قناة فالوب، وكلمة (nodosa) نسبة إلى مظهر الالتهاب العقيدي.[5]
انظر أيضا
المصادر
- isthmica nodosa&field_magal=Medical "Al-Qamoos القاموس - English Arabic dictionary / قاموس إنجليزي عربي" تحقق من قيمة
|مسار أرشيف=(مساعدة). مؤرشف من الأصل في 19 يناير 2018. اطلع عليه بتاريخ 14 يناير 2018. الوسيط|CitationClass=تم تجاهله (مساعدة); تحقق من التاريخ في:|تاريخ الوصول=(مساعدة) - القاموس الطبي نسخة محفوظة 18 أغسطس 2017 على موقع واي باك مشين.
- Jenkins, CS.; Williams, SR.; Schmidt, GE. (Oct 1993). "Salpingitis isthmica nodosa: a review of the literature, discussion of clinical significance, and consideration of patient management". Fertil Steril. 60 (4): 599–607. PMID 8405510. الوسيط
|CitationClass=تم تجاهله (مساعدة) - Skibsted, L.; Sperling, L.; Hansen, U.; Hertz, J. (Jul 1991). "Salpingitis isthmica nodosa in female infertility and tubal diseases". Hum Reprod. 6 (6): 828–31. PMID 1757522. الوسيط
|CitationClass=تم تجاهله (مساعدة) - Salpingitis isthmica nodosa | Radiology Reference Article | Radiopaedia.org نسخة محفوظة 19 يناير 2018 على موقع واي باك مشين.
روابط خارجية
- http://pubs.rsna.org/doi/abs/10.1148/radiology.154.3.3969459
- https://www.ncbi.nlm.nih.gov/pubmed/9473543
- https://emedicine.medscape.com/article/275463-overview#a3
- موارد المعلومات الأشعة للمرضى: تصوير الرحم بالصبغة RadiologyInfo - The radiology information resource for patients: Hysterosalpingography
- بوابة المرأة
- بوابة طب
