رداب
الرداب القولوني[1][2] أو التهاب رتجي[3] أو داء الرتوج[4] أو الرتاج[3][4][5][6] أو الرداب[3][5][6] أو البروزات المخاطية[5] (بالإنجليزية: Diverticulosis) هي الاٍصابة برتج في القولون وهي خوارج جيبية من الغشاء المخاطي للقولون والطبقة تحت المخاطية من خلال نقاط الضعف في طبقات العضلات في جدار القولون. وتظهر بشكل كبير في القولون السيني، وهو المكان الأكثر شيوعًا لزيادة الضغط.[7] يُعد المرض غير شائع قبل سن الأربعين، بينما يزداد معدل الإصابة بعد هذا السن.[8] عادة لا يسبب المرض أعراضًا إلا بعد التهاب هذه التكيسات ويُسمّى "التهاب الرتج" (بالانجليزية:التهاب الرتوج).[9] يتم التشخيص غالبًا من خلال تنظير القولون، أو يُكتَشف المرض أثناء عمل أشعة مقطعية.
| داء الردوب | |
|---|---|
![]() مخطط يُظهر القولون السيني وهو مصاب برتوج مخطط يُظهر القولون السيني وهو مصاب برتوج | |
| معلومات عامة | |
| الاختصاص | جراحة عامة |
| من أنواع | اعتلال معوي ، وداء رتجي |
| الإدارة | |
| حالات مشابهة | التهاب الردب |
العلامات والأعراض
من أعراض داء الرتوج: التقلصات، انتفاخ البطن، والتغوط غير المنتظم. إلا أنه لم يتم تحديد إذا كانت هذه الأعراض تعزى إلى داء الرتوج أو إلى متلازمة القولون العصبي المصاحبة له.[10]
يرتبط أيضًا داء الرتوج مع زيادة خطر الإصابة بسرطان القولون في الجانب الأيسر[11]
النزيف
يُعد النزيف الرتجي هو السبب الأكثر شيوعًا للنزيف الحاد من الجهاز الهضمي السفلي[12] ، فيمكن أن يشكو المريض من خروج دم أحمر عبر المستقيم ويكون النزيف غير مؤلم. ومع ذلك؛ تشير التقديرات إلى أن 80% من هذه الحالات تُشفى من تلقاء نفسها ولا تحتاج علاج محدد.[13]
التهاب الرتج
تجمُّع البراز في هذه الخوارج الجيبية بالقولون قد يؤدي إلى التهابها. يحدث هذا في 10-25٪ من الأشخاص الذين يعانون من داء الرتوج. تؤدي الالتهابات إلى تمزقات في جدار القولون ينتج عنها النزيف أو الانثقاب. وقد يحدث انسداد معوي، التهاب الصفاق، تكوُّن خرَّاج، تليُّف خلف الصفاق، الإنتان، والنواسير. نادرًا ما تتكون حصوات معوية.
من المظاهر السريرية لالتهاب الرتج: ألم مستمر في البطن، ألم شديد غير مُحتمَل في الربع السفلي الأيسر من البطن، الغثيان، التقيؤ، الإمساك أو الإسهال، الحُمّى وفرط كريات الدم البيض.[14]
من المهم الحصول على المشورة الطبية واستبعاد الحالات الأكثر خطورة مثل سرطان القولون أو المستقيم عند ظهور هذه الأعراض في شخص أكثر من 40 عام.[15][16][17][18]
عوامل الخطورة
- التقدم في العمر
- الإمساك
- اتباع نظام غذائي قليل الألياف الغذائية
- تناول كمية كبيرة من اللحوم المُصنّعة[19][20][21]
- اضطرابات النسيج الضام (مثل متلازمة مارفان ومتلازمة إهلرز دانلوس) التي قد تسبب ضعف في جدار القولون
- الاستعداد الوراثي [22]
- الفقدان الشديد للوزن
- ضعف الحالة المناعية
- التدخين والاستهلاك المفرط للكحول يُزيد من مخاطر التهاب الرتوج 2-3 مرات أكثر بالمقارنة مع الاشخاص العاديين.

لم يتضح حتى الآن بشكل كامل السبب الدقيق لداء الرتوج القولوني[23][24][25][26][27]، حيث أن التركيز الحديث على قيمة الألياف في النظام الغذائي بدأ مع نيل وآدم سميث؛ إذ قدما حجة قوية أن نقص الألياف الغذائية هو سبب المرض الرتجي. وزعموا أن عضلات القولون تحتاج للانقباض بشكل أكثر قوة لتقوم بنقل وطرد الكمية الصغيرة من البراز المرتبطة بنقص الألياف في الغذاء. وأن زيادة الضغط داخل جزء الأمعاء على مدى سنوات أدى إلى فتق عند نقطة دخول الأوعية الدموية في جدار القولون لأنها المكان الأكثر ضعفًا.
تلاحظ المعاهد الوطنية الأمريكية للصحة (NIH) أنه بالرغم من أن نظرية انخفاض الألياف كسبب لداء الرتوج هي نظرية رائدة، إلا أنها لم تثبت بعد.[28][29] وعلاوة على ذلك، وجدت دراسة في فبراير 2012 على 2104 مشارك من الذكور أن "اتباع نظام غذائي عالي الألياف أدى إلى زيادة تواتر حركات الأمعاء والذي ارتبط مع انتشار أكبر، وليس أقل، لداء الرتوج." [30]
قد يكون التغيير في قوة جدار القولون مع تقدم العمر سببًا.[31] فالنسيج الضام مساهم كبير في قوة جدار القولون. تعتمد الخواص الميكانيكية للأنسجة الضامة على مجموعة متنوعة من العوامل: نوع الأنسجة وعمرها، طبيعة الروابط التساهمية بين الجزيئات وبعضها، كمية الجليكوسامينوجليكان المرتبطة بألياف الكولاجين. تتكون الطبقة تحت المخاطية للقولون بالكامل تقريبًا من الكولاجين، النوع الأول والنوع الثالث. تختلف أعداد ألياف الكولاجين وأقطارها بين القولون الأيمن والأيسر وتتغير مع تقدم العمر وداء الرتوج القولوني.[32][33]
تنخفض قوة جميع أجزاء القولون مع التقدم في السن، عدا القولون الصاعد.[34] ويرجع ذلك إلى نقص سلامة النسيج الضام.[35] في داء الرتوج القولوني: تصبح الطبقة المخاطية أكثر مرونة وتتكسر الطبقات الخارجية الأصلب فتسمح للغشاء المخاطي المرن بالانفتاق مُكوّنًا رتج.[36][37]
التشخيص



عادة ما يتم اكتشاف داء الرتوج بشكل عَرَضي إذا لم تحدث أعراض، بينما في حالة ظهور أعراض فيمكن تشخيصه من خلال التاريخ المرضي. من المهم التأكد من التشخيص واستبعاد أمراض أخرى أخطر (خاصةً سرطان القولون والمستقيم) والمضاعفات.
الاختبارات
- قد تُظهر الأشعة السينية دلائل على وجود جدار سميك للقولون، العلوص، الإمساك، وانسداد الأمعاء الدقيقة أو وجود الهواء الحر في حالة الانثقاب. لكن الأشعة السينية غير كافية لتشخيص المرض الرتجي.[38]
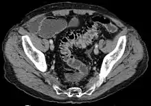
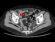
- على النقيض؛ الأشعة المقطعية هي الاختبار الأمثل في حالات النوبات الحادة لالتهاب الرتج وعند وجود مضاعفات.[39]
- يُظهر تنظير القولون الرتوج ويستبعد الورم الخبيث. يجب عمل فحص القولون بالمنظار بعد 4-6 أسابيع من النوبات الحادة.
- تلي حقنة الباريوم فحص القولون بالمنظار من حيث جودة الصورة، وعادة ما يتم إجراءها إذا كان القولون السيني متعرج بشكل مفرط حيث يصعب تنظير القولون أو يكون خطرًا.[40]
- يقدم التصوير بالرنين المغناطيسي صورة واضحة للأنسجة البطن، ولكنه مكلف وغالبا ما تفوق فوائد الأشعة المقطعية أو تنظير القولون.
من المهم أن نتجنب كلاً من حقنة الباريوم وتنظير القولون أثناء النوبات الحادة لالتهاب الرتج، فقد يتسرب الباريوم إلى تجويف البطن، ويمكن أن يسبب تنظير القولون ثقوب في جدار الأمعاء.
التشخيص التفريقي
من الضروري عمل الاختبارات اللازمة للتأكد من الإصابة بداء الرتوج وليس واحدًا من الأمراض التالية:[41]
- متلازمة القولون العصبي
- التهاب المعدة والأمعاء
- التهاب المرارة
- انسداد الأمعاء
- التهاب الزائدة الدودية
- سرطان القولون والمستقيم
- أمراض المسالك البولية
- أمراض الجهاز التناسلي للمرأة.
العلاج
العديد من المرضى الذين يعانون من داء الرتوج لديهم أعراض قليلة أو ليس لديهم أي أعراض فلا يتطلّب ذلك أي علاج محدّد.
التغذية
يُنصح بتناوُل أغذية تحتوي على نسبة عالية من الألياف لمنع الإمساك.[42][43] تُوصي جمعية التغذية الأمريكية بـ 20-35 غرامًا يوميًا. وثبت أن نخالة القمح تعمل على خفض الضغط داخل القولون.[44][45]
يقول المعهد الوطني الأمريكي للسكري وأمراض الجهاز الهضمي والكلى (NIDDK) أنه لاتوجد بيانات علمية لإثبات فرضية أن الأطعمة مثل المكسرات والفشار وبذور عباد الشمس وبذور اليقطين وبذور الكمون، ضارة للأشخاص المصابين بداء الرتوج.[46][47]
علاج المضاعفات
يجب علاج مضاعفات داء الرتوج مثل النزيف والانثقاب، قد يشمل العلاج: المضادات الحيوية المكثفة والسوائل الوريدية والجراحة. تكون المضاعفات أكثر شيوعًا في المرضى الذين يتناولون مضادات الالتهاب غير الستيرويدية أو الأسبرين، كما أنها أكثر خطورة في كبار السن.
العلاج الطبي
في حالة عدم وجود مضاعفات، يمكن علاج المرضى الذين يعانون من ألم بسيط في البطن بالأدوية. يتضمن العلاج عادة تعديل النظام الغذائي وتناول المضادات الحيوية التي ينبغي أن تغطي انواع البكتيريا اللاهوائية، مثل: ميترونيدازول، سيبروفلوكساسين و أموكسيسيلين. وقد أظهر ذلك نجاحًا في 70٪ إلى 100٪ من الحالات.[48]
الجراحة
فيما يلي بعض المؤشرات اللازمة للخضوع لعملية جراحية:[49] [50]
- التهاب الرتوج الحاد الذي لا يستجيب للعلاج الطبي
- التهاب الرتوج في المرضى الذين يعانون من ضعف جهاز المناعة
- تكرُّر الالتهابات على الرغم من اتباع نظام غذائي عالي الألياف
- الخُرّاجات التي لا يمكن علاجها بالقسطرة
- التهاب الصفاق، تكوُّن ناسور
_3.JPG.webp)
هناك استراتيجية ناشئة في السنوات الأخيرة، لعلاج التهاب الرتوج الحاد، وهي إجراء الغسل للبطن بالمنظار. ينطوي هذا الأسلوب على استخدام تقنيات المناظير لفحص البطن، واستخراج أي صديد، وغسل تجويف البطن. الهدف من ذلك هو إزالة السوائل المُعدية، وتجنُّب إزالة الجزء المصاب من القولون جراحيًا.[51] من الانتقادات الرئيسية لهذه التقنية هو بقاء الجزء الملتهب من القولون، ووضع المريض في خطر الإصابة المستمرة أو المتكررة.
أما علاج التهاب الرتوج المزمن أو المتكرر أو العلاج من مضاعفات حادة، فيتضمن عملية جراحية لإزالة الأجزاء المصابة من القولون، عادة القولون السيني، ثم إعادة ربط القولون. يمكن أن يتم ذلك إما عن طريق تقنيات المنظار أو تقنيات الفتح التقليدية.[52] الفوائد الرئيسية للجراحة بالمنظار هي حجم أصغر للشق وشفاء أسرع.
الوقاية
يمكن الوقاية من داء الرتوج أو تقليل المضاعفات الناجمة عنه، عن طريق تناول كميات مناسبة من الألياف وشرب الكثير من الماء وممارسة الرياضة بشكل منتظم. تشمل الأطعمة الغنية بالألياف: الخبز، الحبوب الكاملة، التوت، الخضروات مثل القرنبيط، والملفوف، والسبانخ، والجزر، والكوسى، والفاصولياء، والبازلاء. يُعد أيضًا الحصول على قسط كاف من الراحة والنوم من وسائل الوقاية من داء الرتوج.
علم الأوبئة

أكثر من 10٪ من سكان الولايات المتحدة الذين تزيد أعمارهم عن الـ40 عامًا و 50٪ فوق سن الـ60، مصابون بداء الرتوج. يشيع المرض في الولايات المتحدة وبريطانيا واستراليا وكندا، لكنه غير شائع في آسيا وأفريقيا.[8][53]
ترتبط الرتوج واسعة العنق بتصلب الجلد. ويكون المرض أكثر شيوعًا في أمراض الكولاجين مثل متلازمة إهلرز دانلوس.[54]
المراجع
- بنك باسم نسخة محفوظة 18 أغسطس 2017 على موقع واي باك مشين.
- المعجم الموحد نسخة محفوظة 18 أغسطس 2017 على موقع واي باك مشين.
- القاموس الطبي نسخة محفوظة 18 أغسطس 2017 على موقع واي باك مشين.
- المعجم الطبي الموحد نسخة محفوظة 18 أغسطس 2017 على موقع واي باك مشين.
- قاموس تشحيص الأمراض نسخة محفوظة 18 أغسطس 2017 على موقع واي باك مشين.
- قاموس مرعشي الطبي الكبير نسخة محفوظة 18 أغسطس 2017 على موقع واي باك مشين.
- "Diverticular Disease". www.niddk.nih.gov. September 2013. مؤرشف من الأصل في 5 يوليو 2016. اطلع عليه بتاريخ 12 يونيو 2016. الوسيط
|CitationClass=تم تجاهله (مساعدة) - Comparato G, Pilotto A, Franzè A, Franceschi M, Di Mario F (2007). "Diverticular disease in the elderly". Digestive diseases (Basel, Switzerland). 25 (2): 151–9. doi:10.1159/000099480. PMID 17468551. الوسيط
|CitationClass=تم تجاهله (مساعدة)صيانة CS1: أسماء متعددة: قائمة المؤلفون (link) - Review article: the pathophysiology and medical management of diverticulosis and diverticular disease of the colon. Tursi A1, Papa A2, Danese S3. http://onlinelibrary.wiley.com/doi/10.1111/apt.13322/abstract نسخة محفوظة 2017-02-10 على موقع واي باك مشين.
- "Clinical manifestations and diagnosis of colonic diverticular disease". Literature review. مؤرشف من الأصل في 27 مارس 2020. الوسيط
|CitationClass=تم تجاهله (مساعدة) - "Association between sigmoid diverticulitis and left-sided colon cancer: a nested, population-based, case control study". Scand J Gastroenterol. 39: 743–7. Aug 2004. doi:10.1080/00365520410003272. PMID 15513359. الوسيط
|CitationClass=تم تجاهله (مساعدة) - Acute lower gastrointestinal bleeding in 1,112 patients admitted to an urban emergency medical center. Gayer C1, Chino A, Lucas C, Tokioka S, Yamasaki T, Edelman DA, Sugawa C. http://www.surgjournal.com/article/S0039-6060(09)00481-4/pdf نسخة محفوظة 2020-09-16 على موقع واي باك مشين.
- "Management of lower gastrointestinal tract bleeding". Barnert J1, Messmann H. http://www.bpgastro.com/article/S1521-6918(07)00131-X/pdf نسخة محفوظة 2020-09-16 على موقع واي باك مشين.
- Review article: the current and evolving treatment of colonicdiverticular diseaseA. TURSI & S. PAPAGRIGORIADIS http://onlinelibrary.wiley.com/doi/10.1111/j.1365-2036.2009.04072.x/epdf نسخة محفوظة 2017-08-21 على موقع واي باك مشين.
- Shepherd NA (1992) Diverticular disease. In Oxford Textbook of Pathology, pp. 1256–1258 [J O'D McGee, PG Isaacson and NA Wright, editors]. Oxford: Oxford University Press.
- Christensen J (1991) Gross and microscopic anatomy of the large intestine. In The Large Intestine Physiology, Pathophysiology and Disease, pp. 13-35 [SF Phillips, JH Pemberton and RG Shorter, editors]. New York: Raven Press.
- West, AB (2008). "The pathology of diverticulitis". J Clin Gastroenterol. 42 (10): 1137–8. doi:10.1097/MCG.0b013e3181862a9f. PMID 18936652. الوسيط
|CitationClass=تم تجاهله (مساعدة) - Drummond, H (1916). "Sacculi of the large intestine with special reference to their relation to the blood vessels of the bowel wall". British Journal of Surgery. 4 (15): 407–413. doi:10.1002/bjs.1800041505. الوسيط
|CitationClass=تم تجاهله (مساعدة) - "Colonic diverticular disease: medical treatments for acute diverticulitis". المجلة الطبية البريطانية. 2011. 14 March 2011. PMC 3275154. PMID 21401970.
A prospective cohort study reported that consuming a vegetarian diet and a high intake of dietary fibre were associated with a lower risk of admission to hospital or death from diverticular disease. High meat intake is also a risk factor for developing diverticular disease.
الوسيط|CitationClass=تم تجاهله (مساعدة) - Grossi, Enzo; Pace, Fabio (12 May 2016). Human Nutrition from the Gastroenterologist’s Perspective (باللغة الإنجليزية). Springer. صفحة 104. ISBN 9783319303611.
It has been hypothesized that the increased consumption of animal proteins increases the risk of diverticular disease by altering the metabolism of bacteria in the colon or increasing the intake of fat.
الوسيط|CitationClass=تم تجاهله (مساعدة) - DiMarino, Anthony J.; Benjamin, Stanley B. (2002). Gastrointestinal Disease: An Endoscopic Approach (باللغة الإنجليزية). SLACK Incorporated. صفحة 863. ISBN 9781556425110. الوسيط
|CitationClass=تم تجاهله (مساعدة) - "Diverticulosis and Diverticulitis". American College of Gastroenterology. مؤرشف من الأصل في 28 أبريل 2019. الوسيط
|CitationClass=تم تجاهله (مساعدة) - Commane, DM; Arasaradnam, RP; Mills, S; Mathers, JC; et al. (2009). "Diet, ageing and genetic factors in the pathogenesis of diverticular disease". World J Gastroenterol. 15 (20): 2479–88. doi:10.3748/wjg.15.2479. PMC 2686906. PMID 19468998. الوسيط
|CitationClass=تم تجاهله (مساعدة) - Raskin, M; Raskin, JB (2008). "History, incidence, and epidemiology of diverticulosis". J Clin Gastroenterol. 42 (10): 1125–7. doi:10.1097/MCG.0b013e3181865f18. PMID 18936648. الوسيط
|CitationClass=تم تجاهله (مساعدة) - Cleave TL 1974 The Saccharine disease Wright Bristol
- Heinemann Medical Books
- Smith,. Ed. Phillips SF, Pemberton JH and Shorter RG. Raven Press. pp. 549–578
- "Understanding Diverticulosis and Diverticulitis - NIH MedicinePlus". Nlm.nih.gov. 2012-08-27. مؤرشف من الأصل (PDF) في 5 يوليو 2016. اطلع عليه بتاريخ 04 أكتوبر 2013. الوسيط
|CitationClass=تم تجاهله (مساعدة) - Peery, AF; Barrett, PR; Park, D; Rogers, AJ; et al. (February 2012). "A high-fiber diet does not protect against asymptomatic diverticulosis". Gastroenterology. 142 (2): 266–72.e1. doi:10.1053/j.gastro.2011.10.035. PMC 3724216. PMID 22062360. مؤرشف من الأصل في 24 سبتمبر 2015. الوسيط
|CitationClass=تم تجاهله (مساعدة) - Burkitt, DP; Trowell, HC, المحررون (1975). Refined Carbohydrate Foods and Disease. Some Implications of Dietary Fibre. London: Academic Press. الوسيط
|CitationClass=تم تجاهله (مساعدة) - Eastwood, MA (1998). "Structure and Function of the Colon". In Sadler, MJ; Strain, JJ; Caballero, B (المحررون). Encyclopedia of Human Nutrition. San Diego, CA: Academic Press. صفحات 945–53. الوسيط
|CitationClass=تم تجاهله (مساعدة) - Thomson, HG; Busuttil, A; Eastwood, MA; Smith, AN; et al. (1987). "Submucosal collagen changes in the normal colon and in diverticular disease". International Journal of Colorectal Disease. 2 (4): 208–13. doi:10.1007/BF01649507. PMID 3694019. الوسيط
|CitationClass=تم تجاهله (مساعدة) - Parry, DAD; Barnes, GRG; Craig, AS (1978). "A Comparison of the Size Distribution of Collagen Fibrils in Connective Tissues as a Function of Age and a Possible Relation between Fibril Size Distribution and Mechanical Properties". Proceedings of the Royal Society B. 203 (1152): 305–21. doi:10.1098/rspb.1978.0107. JSTOR 77531. PMID 33395. الوسيط
|CitationClass=تم تجاهله (مساعدة) - Flint, MH; Craig, AS; Reilly, HC; Gillard, GC; et al. (1984). "Collagen fibril diameters and glycosaminoglycan content of skins - indices of tissue maturity and function". Connective Tissue Research. 13 (1): 69–81. doi:10.3109/03008208409152144. PMID 6242397. الوسيط
|CitationClass=تم تجاهله (مساعدة) - Watter, DAK; Smith, AN; Eastwood, MA; Anderson, KC; et al. (1985). "Mechanical properties of the colon: Comparison of the features of the African and European colon in vitro". Gut. 26 (4): 384–392. doi:10.1136/gut.26.4.384. PMC 1432523. PMID 3920126. الوسيط
|CitationClass=تم تجاهله (مساعدة) - Wess, L; Eastwood, MA; Wess, TJ; Busuttil, A; et al. (1995). "Cross linkage of collagen is increased in colonic diverticulosis". Gut. 37 (1): 91–94. doi:10.1136/gut.37.1.91. PMC 1382775. PMID 7672689. الوسيط
|CitationClass=تم تجاهله (مساعدة) - Eastwood, M. "Colonic diverticula". Proceedings of the Nutrition Society 2003 Symposium on Dietary fibre in Health and disease. General Aspects of dietary fibre. 62: 1–249. الوسيط
|CitationClass=تم تجاهله (مساعدة) - Schwerk WB, Schwarz S, Rothmund M, Arnold R. Colon diverticulitis: imaging diagnosis with ultrasound—a prospective study. Z Gastroenterol
- Ambrosetti P, Grossholz M, Becker C, et al: Computed tomography in acute left colonic diverticulitis. Br J Surg
- Hulnick DH, Megibow AJ, Balthazar EJ. Diverticulitis: Evaluation by CT and contrast enema. AJR Am J Roentgenol.
- Padidar AM, Jeffrey RB Jr, Mindelzun RE, Dolph JF. Differentiating sigmoid diverticulitis from carcinoma on CT scans: mesenteric inflammation suggests diverticulitis. AJR Am J Roentgenol.
- Aldoori, WH; Giovannucci, EL; Rimm, EB; Wing, AL; et al. (1994). "A prospective study of diet and the risk of symptomatic diverticular disease in men". The American Journal of Clinical Nutrition. 60 (5): 757–64. PMID 7942584. مؤرشف من الأصل في 22 أغسطس 2016. الوسيط
|CitationClass=تم تجاهله (مساعدة) - Gear, JS; Ware, A; Fursdon, P; Mann, JI; et al. (1979). "Symptomless diverticular disease and intake of dietary fibre". Lancet. 1 (8115): 511–4. doi:10.1016/S0140-6736(79)90942-5. PMID 85104. الوسيط
|CitationClass=تم تجاهله (مساعدة) - Marlett, JA; McBurney, MI; Slavin, JL; American Dietetic, Association (2002). "Position of the American Dietetic Association: health implications of dietary fiber". Journal of the American Dietetic Association. 102 (7): 993–1000. doi:10.1016/S0002-8223(02)90228-2. PMID 12146567. الوسيط
|CitationClass=تم تجاهله (مساعدة) - Eglash, A; Lane, CH; Schneider, DM (2006). "Clinical inquiries. What is the most beneficial diet for patients with diverticulosis?". The Journal of family practice. 55 (9): 813–5. PMID 16948968. الوسيط
|CitationClass=تم تجاهله (مساعدة) - Strate, LL; Liu, YL; Syngal, S; Aldoori, WH; et al. (2008). "Nut, Corn, and Popcorn Consumption and the Incidence of Diverticular Disease". JAMA. 300 (8): 907–914. doi:10.1001/jama.300.8.907. PMC 2643269. PMID 18728264. الوسيط
|CitationClass=تم تجاهله (مساعدة) - "Eating Nuts, Popcorn Not Linked With Higher Risk of Diverticulosis". Newswise. 21 August 2008. مؤرشف من الأصل في 01 يوليو 2016. اطلع عليه بتاريخ 26 أغسطس 2008. الوسيط
|CitationClass=تم تجاهله (مساعدة); تحقق من التاريخ في:|تاريخ أرشيف=(مساعدة) - Mueller MH, Glatzle J, Kasparek MS, Becker HD, Jehle EC, Zittel TT, et al. Long-term outcome of conservative treatment in patients with diverticulitis of the sigmoid colon. Eur J Gastroenterol Hepatol.
- Patient Care Committee of the Society for Surgery of the Alimentary Tract (SSAT). Surgical treatment of diverticulitis. J Gastrointest Surg.
- Lane JS, Sarkar R, Schmit PJ, et al: Surgical approach to cecal diverticulitis. J Am Coll Surg. 1999, 188: 629-634.
- Schwandener O, Farke S, Fischer F, et al: Laparoscopic colectomy for recurrent and complicated diverticulitis: A prospective study of 396 patients. Langenbecks Arch Surg.
- Dwivedi A, Chahin F, Agrwal S, et al: Laparoscopic colectomy vs. open colectomy for sigmoid diverticular disease. Dis Colon Rectum.
- Manousos, O; Day, NE; Tzonou, A; Papadimitriou, C; et al. (1985). "Diet and other factors in the aetiology of diverticulosis: an epidemiological study in Greece". Gut. 26 (6): 544–9. doi:10.1136/gut.26.6.544. PMC 1432747. PMID 3924745. الوسيط
|CitationClass=تم تجاهله (مساعدة) - Editor David E. Beck M.D., Richard E. Karulf M.D. (Aug 2004). "Etiology and Pathophysiology of Diverticular Disease". Clin Colon Rectal Surg. 17: 147–53. doi:10.1055/s-2004-832695. PMC 2780060. PMID 20011269. الوسيط
|CitationClass=تم تجاهله (مساعدة)صيانة CS1: نص إضافي: قائمة المؤلفون (link)
وصلات خارجية
- Diverticular Resource Website
- "Position of the American Dietetic Association: health implications of dietary fiber". J Am Diet Assoc. 102 (7): 993–1000. 2002. doi:10.1016/S0002-8223(02)90228-2. PMID 12146567. مؤرشف من الأصل في 03 ديسمبر 2016. الوسيط
|CitationClass=تم تجاهله (مساعدة) - Diverticulosis—PrimeHealthChannel
- بوابة طب
.jpg.webp)