الورم الحبيبي الأصفر اليافع
الورم الحبيبي الأصفر اليافع (JXG) (بالإنجليزية:Juvenile xanthogranuloma) هو شكل من أشكال كثرة المنسجات المصنفة ككثرة منسجات غير لانغرهانزية[1] أو بشكل أكثر تحديدا كثرة منسجات من النوع الثاني.[2]
| الورم الحبيبي الأصفر اليافع | |
|---|---|
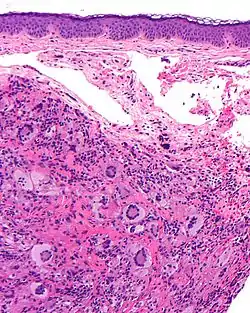
![]() صورة مجهرية للورم الحبيبي الأصفر اليافع مع خلايا توتون العملاقة .صبغة الهيماتوكسيلين والإيوسين. صورة مجهرية للورم الحبيبي الأصفر اليافع مع خلايا توتون العملاقة .صبغة الهيماتوكسيلين والإيوسين. | |
| معلومات عامة | |
| الاختصاص | علم الدم |
| من أنواع | كثرة المنسجات |
الورم الحبيبي الأصفر اليافع هو مرض أو اضطراب جلدي نادر يصيب في المقام الأول الرضع دون السنة الأولى من العمر ولكن يمكن أيضا أن يصيب الأطفال الأكبر سنا والبالغين. [3]
تم اكتشافه ووصفه للمرة الأولى في العام 1905[4] ، في 5% إلى 17% من المرضى المرض يتواجد منذ الولادة، لكن متوسط العمر لظهور المرض هو بداية من عمر السنتين.
الورم الحبيبي الأصفر اليافع هو ورم حبيبي جلدي حميد غير معروف السبب والنوع الأكثر انتشارا من أنواع كثرة المنسجات الغير لانجر هانزية [3]
الإصابة تظهر كبقع أو حطاطات برتقالية إلى حمراء وعادة ما توجد في الوجه والرقبة والجذع الأعلى ،من الممكن أيضا أن تظهر في أعلى الفخذ، كيس الصفن، القضيب، البظر، الأظافر، وباطن اليد أو القدم، والشفتين والرئتين والعظام والقلب وفي الجهاز الهضمي بشكل نادر.[4]
يظهر المرض عادة بإصابات متعددة في الرأس والرقبة في حالات الأطفال في عمر أقل من ستة أشهر. المرض عادة ما ينتهي بشكل ذاتي عفوي في فترة من عام إلى خمسة أعوام [3] أخذ الخزعات من أماكن الإصابة هو أمر مهم في تأكيد تشخيص الحالة.[5]
الورم الحبيبي الأصفر اليافع البصري يظهر في حوالي 10% من المصابين بالمرض ومن الممكن أن يؤثر على بصرهم.[3] وجود المرض في العين يمكن أن يسبب تحدمية عفوية، الجلوكوما الثانوية أو حتى العمى.[3][5] وغالبا ما يمكن ملاحظته في القزحية ولكن يمكن أن نجده على الجفن، حواف القرنية والصلبة ، شبكية العين، المشيمية، العصب البصري أو مناطق أخرى في العين.
ما نسبته 92% من المرضى بالورم الحبيبي الأصفر اليافع هم أصغر من عمر سنتين.[4]
على الرغم من أن الورم الجلدي عادة ما يختفي من تلقاء نفسه ، إلا أن الورم العيني أو البصري نادرا ما يتحسن من تلقاء نفسه ويتطلب العلاج. تشمل العلاجات المستخدمة : الاستئصال الجراحي، حقن الستيرويد داخل مكان الإصابة ، العلاج بالتبريد، العلاج الإشعاعي منخفض الجرعة. في حالة وجود مقاومة من المرض أو تكرر ظهوره يستخدم العلاج الكيميائي في هذه الحالات كعلاج. الورم الحبيبي الأصفر اليافع البصري عادة ما يكون في جانب واحد، مع وجود ورم، من أعراضه أيضا العين الحمراء مع وجود علامات التهاب القزحية، والزرق في جانب واحد، تحدمية عفوية أو تباين في لون العين،التشخيص والعلاج المبكر للمريض هو بالتأكيد أفضل للحفاظ على نظر المريض.
غالبا ما يترافق المرض مع اضطرابات أخرى مثل الورم العصبي الليفي من النوع الأول وابيضاض الدم النقوي المزمن اليافع .يمكن تمييز المرض عن الورم الأصفر عن طريق اختلاف طريقة انتشار الإصابات وعدم وجود خلل كبير في الدهون. وتشمل التشخيصات الأخرى المشابهة له : المليساء المعدية، ورم وعائي دموي وورم ليفي عصبي.[4]
المراجع
- Nakasu S, Tsuji A, Fuse I, Hirai H (2007).
- DermNet lesions/xanthogranuloma نسخة محفوظة 01 أغسطس 2016 على موقع واي باك مشين.
- Kim, Mo-Sae, So-Ah Kim, and Ho-Seok Sa. “Old-Age-Onset Subconjunctival Juvenile Xanthogranuloma without Limbal Involvement.”
- Cypel, Tatiana Karine Simon, and Ronald Melvin Zuker.
- Lau, Henry, Wilson Yip, Allie Lee, Connie Lai, and Dorothy Fan.
- بوابة طب
صور وملفات صوتية من كومنز
