ورم وعائي دموي
ورم وعائي دموي أو ورم عرقي دموي أو ورم وعائي أو ورم دموي (بالإنجليزية: Hemangioma)[1] هي ورم خلقي حميد، تتكون من مجموعة كثيفة من الأوعية الدموية. ،وهي من الأورام التي تتلاشى مع مرور الزمن وحدها، 10 % من هذه الأورام مرتبطة بالعرق القوقازي، تتواجد هذه الاروام على شكلين شكل سطحي يظهر على الجلد والأخر داخلي في الأعضاء الداخلية وأحيانا الشكلين في آن واحد، 80% منها تصيب الوجه والرقبة والنسبة الأكبر التي تليها للكبد مع انها حميدة إلا انها لها مضاعفات خطيرة.
| ورم وعائي دموي | |
|---|---|
| معلومات عامة | |
| الاختصاص | علم الأورام |
| من أنواع | ورم وعائي ، ونمط خلوي لورم حميد ، ومرض وعائي |
| التاريخ | |
| وصفها المصدر | الموسوعة السوفيتية الكبرى |

الأورام الوعائية الدموية البشروية
ولها عدة أنواع
الورم الوعائي الثؤلولية
تشكلات ثؤلولية قاسية مرتفعة عن سطح الجلد بلون بني متسخ
الورم الوعائي الزهمي
تشوه وحماني ظهاري تصيب فروة الرأس بشكل انتقائي، تشاهد منذ الولادة على شكل بقعة مسطحة مرتفعة قليلاً وطرية، سطحها لماع حليمومي بلون أصفر، تخلو من الأشعار، يظهر التشريح المرضي لها وجود فصيصات الغدد الزهمية وتزايد الغدد المفترزة, مع امكان حدوث تحولات خبيثة لذا ينصح باستئصالها.[2]
الورم الوعائي العرقي
ورم وحماني شائع يحدث عند النساء، إما أن يتوضع حول الحجاج وعلى الأجفان السفلية أو أن ينتشر ويتوضع على الأجفان والعنق والصدر.

الاصطلاح
كان يستعمل مصطلح "الورم الوعائي الدموي" لوصف العيوب الوعائية والانتفاخات أو أي أورام متعلقة بالأوعية الدموية بغض النظر عن فترة ظهورها؛ سواء كانت في فترة الطفولة أو ظهرت لاحقًا في حياة الإنسان. لكن العالم "روبرت موليكن" صنف هذه الحالات إلى صنفين، صنف الأورام الحميدة والعلامات التي تتلاشى بنفسها، وصنف العلامات أو التشوهات الخلقية التي تبقى موجودة طيلة الحياة. أهمية هذا التصنيف أنه يساعد على التفريق بين أنواع الوحمات عند الولادة; إن كانت من الصنف الذي يتلاشى أو الصنف الذي يبقى إلى الأبد. ومن الأمثلة على الصنف الدائم؛ الوحمات خمرية اللون (تشوه شعيري وعائي) وتكتل الأوردة المنتفخة (تشوه وريدي).[3] حيث أُكدت لاحقاٌ صحة تصنيف العالم موليكن عقب اكتشاف فحص ناقل الغلوكوز -1.
الأعراض والعلامات
الأورام الوعائية الدموية مرتبطة بالجهاز الوعائي وشكلها يعتمد على مكان ظهورها بالجسم؛ فإذا ظهرت على سطح الجلد يكون شكلها يشبه شكل حبة الفراولة الناضجة (لذلك أحيانًا يطلق عليها مسمى "ورم الفراولة الوعائي الدموي")، لكن إن وجدت تحت الجلد تظهر كالتورم المزرق. توجد الأورام الوعائية الدموية أحيانا في الأعضاء الداخلية مثل الكبد والحنجرة والأمعاء الدقيقة أو الغليظة.[4] وفي معظم الحالات تتلاشى الأورام الوعائية الدموية من تلقاء نفسها مع الزمن، وبعضها يتطور لدى الجنين خلال الحمل وتلك تسمى الأورام الوعائية الدموية الخلقية؛ ووحمات الأطفال هي من أكثر أنواعها انتشارًا والتي بالعادة يُخطأ في تشخيصها على أنها خدش أو كدمة لكن يتضح التشخيص الصحيح عندما يكبر الطفل. يظهر الورم الوعائي الدموي إجمالًا في المراحل الأولى كمنطقة حمراء مزرقة تصاحبها أوعية دموية واضحة تعتريها الشحوب. وأحيانًا يظهر كبقع حمراء أو زهرية مسطحة. يعتبر الورم الوعائي الدموي أكثر أنواع الأورام انتشارًا في مرحلة الطفولة ويظهر الورم في حوالي 10 % من الأشخاص المنتمين للعرق القوقازي ويكون أقل شيوعًا بين الأعراق الأخرى.
الإناث عرضة للإصابة 3-5 مرات أكثر من الذكور، الأورام الوعائية الدموية أكثر شيوعًا أيضًا في حالات حمل التوأم والرضع المولودين قبل أوانهم والتي تكون أوزانهم قليلة.[5] 80% من هذه الأورام تصيب الوجه والرقبة أو الرجلين والذراعين، والنسبة الأكبر التي تليها للكبد. وفي الرضع تظهر الأورام الوعائية الدموية بعد الولادة وتختلف عن التشوهات الوعائية الأخرى، وتصل إلى 80% من حجمها النهائي في أول ثلاثة أشهر ومعظمها تصل إلى حجمها النهائي عند عمر خمسة شهور.[6]
ورمم وعائي دموي على الجبهة يظهرعلامات التلاشي المبكر.
ورم وعائي دموي على فروة الرأس لمريضة أنثى عمرها سنتين وتظهر في مرحلة الركود أو الراحة.
ورم وعائي دموي في الكبد كما يظهر في صورة الأمواج فوق الصوتية.
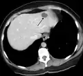
ورم وعائي دموي في الكبد كما يظهر في صورة الأشعة المقطعية.
الأسباب
الأسباب التي تؤدي إلى ظهور الأورام الوعائية الدموية غير معروفة في الوقت الحالي، لكن هناك عدة دراسات أظهرت علاقة وأهمية هرمون الاستروجين في تطور الورم، وفي عام 2007 أكدت دراسة من مختبر ستانفورد الجراحي للأطفال أن نقص تأكسج الأنسجة الرقيقة المصحوب بارتفاع معدل هرمون الاستروجين في الدم بعد الولادة قد يكون محفزًا لظهورها.[7]
هناك أيضًا فرضية نشرها باحثون من جامعة هارفارد وجامعة أركنساس أن مشيمة الأمقد تسبب انسداد دموي في نسيج البشرة عند الجنين أثناء الحمل بالتالي يؤدي لظهور هذا النوع من الأورام.[8][9] لكن الدراسة التي قام بها باحثين من جامعة ديوك حيث قاموا بعمل تحليل المادة الوراثية للتغيرات متعددة الأشكال للنيوكليوتيد الواحد من خلايا الجنين المصابة ومقارنتها بالحمض النووي الخاص بالأم تعارض هذه الفرضية.[10] نحتاج المزيد من الدراسات والأبحاث حتى يتم فهم الطبيعة المفاجئة لكيفية وأسباب ظهور الورم الوعائي الدموي على أمل البدء في عمل دراسات وأبحاث موجهة لإيجاد علاج ومداواة أصعب وأعقد الحالات.
التشخيص

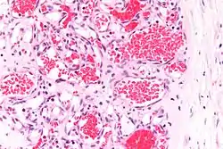
يبدو الورم الوعائي الدموي تحت المجهر على شكل تكتلات من الشعيرات الدموية غير المغلفة والمتراصة بشكل وثيق وتكون رقيقة الجدران ومبطنة ببطان غشائي، تفصل الأوعية الدموية المليئة بالدم عن بعضها بكمية ضئيلة من الأنسجة الضامة، وتجويفها يمكن أن يكون متخثر ومنظم، يمكن أيضًا ملاحظة صبغة الهيموسيديرين بسبب انفجار بعض الأوعية.[11] ناقل الغلوكوز -1 هو مؤشر نسيجي كيميائي ويعد مميِز بدقة للأورام الوعائية الدموية ويستخدم للتفريق بين الأورام والتشوهات الوعائية.[12]
الأنواع
يوجد هناك ثلاثة أنواع من الأورام الوعائية الدموية، صنفت اعتمادًا على نوع الوعاء الدموي المرتبط بالورم:
- الورم السطحي.
- الورم الداخلي (العميق).
- الورم المختلط (يتكون من جزء سطحي وآخر داخلي).[13]
المضاعفات والعلاج
الأغلبية الواسعة من الأورام الوعائية الدموية لا تسبب مضاعفات لكن هناك أنواع قد تسبب، بعضها قد يشق أو يجرح سطحه ويسبب تقرحات، وفي حالات نادرة؛ إن كانت تلك التقرحات عميقة قد تسبب نزيف حاد وتكون مؤلمة وقد تسبب إشكاليات أخرى. إذا ظهرت هذه الأورام في الحنجرة قد تؤثر على التنفس، وفي حالات الأورام التي تظهر بالقرب من العين قد تكبر بشكل واضح وتغطي على العين أو تسد الرؤية وتسبب الغمش (ضعف الرؤية المركزية). في بعض الحالات النادرة جدًا قد يتسبب الورم الوعائي الدموي الكبير جدا بفشل القلب نتيجة ضخه كمية كبيرة من الدم للورم. أما الأورام القريبة من العظم قد تسبب في تآكله.
أكثر شكاوي المرضى المتعلقة بالأورام الوعائية الدموية تنبع من مضاعفاته النفسية والاجتماعية؛ ففي بعض حالاته يؤثر المرض على مظهر المريض ويستدعي انتباه الآخرين وردود أفعالهم التي تكون بغيضة في معظم الأوقات. وقد تظهر مشكلة خاصة إذا كان الورم أو التشوه يتضمن الشفاه أو الأنف حيث تكمن صعوبة في التدخل الجراحي، واحتمالية حصول ضرر نفسي تزداد بدخول المريض المدرسة، لذلك فإنه من المهم الأخذ بعين الاعتبار خيار معالجة الورم قبل عمر المدرسة إذا لم تتحسن الحالة تلقائياً بشكل كافي.
الأطفال المصابون بكمية كبيرة من الأورام الوعائية الدموية التي تغطي الرأس والرقبة قد يعانون من متلازمة (PHACES) وهي متلازمة تضم عدد من التشوهات الخلقية.[14][15]
معظم الأورام تختفي من تلقاء نفسها دون علاج وتترك وراءها أثر ضئيل أو لا أثر على الإطلاق وقد يأخذ ذلك عدة سنين، أما الأورام كبيرة الحجم قد تخلف وراءها آثار مرئية على الجلد تتراوح بين آثار ثانوية إلى تجعدات أو تشققات جلدية وأضرار حادة.
إذا أثر الورم على النظر أو التنفس أو سبب أي تشوهات كبيرة (تحديدًا في الوجه وخاصة الشفاه والأنف) في العادة يمكن معالجتها لكن يجب أن تبدأ المعالجة في أقرب وقت ممكن للحصول على أفضل النتائج. في الفترة بين تشرين الثاني/2009 وتموز/2013 عالج مستشفى منيسوتا للأطفال أكثر من 180 حالة بنسبة نجاح تصل إلى 98% مستعملة دواء ضغط الدم؛ بروبرانولول (Propranolol)، وتكون أكبر فعالية للبروبرانولول في أول 6 أشهر من فترة ظهور الورم. اكتشف هذا العلاج عام 2008 من قبل مجموعة فرنسية، ويظهر نسب نجاح عالية منذ اكتشافه.[16]
حتى مؤخرًا كان العلاج المستخدم هو العلاج بالكورتيكوستيرويد الفموية (Corticosteroid)، لكن يوجد حالياً علاجات بديلة. أظهرت دراسة عشوائية أن البروبرانولول، مانع مستقبل البيتا (Beta-blocker Propranolol) خفف الأورام الشديدة عند الرضع.[17] المحلول/الهلام (الجل) الموضعي تمولول (Timolol) تتم تجربته ودراسته لمعالجة الأورام الصغيرة في الوجه التي قد تكفيها العلاجات الموضعية.[18] هناك أدوية أخرى مثل: انترفيرون (Interferon)[19] أو فينكريستين (Vincristine) التي يمكن استخدامها عندما تفشل خيارات العلاج الأولية.
قد يكون التدخل الجراحي خياراً جيداًخاصة عندما يتأخر العلاج الموضعي الأولي وتصبح التغيرات في بنية الورم لا يمكن عكسها. و قد تكون الجراحة ضرورة خاصة في حالات تصحيح تشوهات الوجه نتيجة الورم؛ وطبعاً ذلك في حال فشل التدخل الطبي الأولي، وفي حالة انسداد مجرى التنفس بسبب الورم تجرى عملية ثقب أو فتح القصبة الهوائية، وهي عملية جراحية يقوم بها المختص بإدخال مجرى هواء خارجي مثل أنبوب خلال ثقب في الرقبة إلى القصبة الهوائية تحت مستوى منطقة الانسداد.
في حالة الأورام الصغيرة المرتفعة فوق سطح الجلد، تعالج أحياناً بحقن الكورتيكوستيرويد مباشرة إلى الورم. يستعمل ليزر نبضي صبغي (Pulsed Dye Laser) للمعالجة المبكرة للوحمات المسطحة إذا كانت في مناطق تؤثر بمظهر الشخص مثل الوجه أو إذا خلف الورم وراءه أوعية دموية في حالات التلاشي غير المكتمل.[20] يمكن أن يستعمل الليزر النبضي الصبغي أيضًا لتسريع عملية الشفاء.
للأسف، الأورام المرتفعة فوق سطح الجلد أو تلك تحت سطح الجلد لا تستجيب لعلاج الليزر. تعالج التقرحات باستعمال الأدوية الموضعية وتضميد خاص تحت العناية الطبية، بالإضافة أن ممارسة الضغط المباشر على الورم غير فعال ولذلك لا ينصح به.
التطور
تمر الأورام الوعائية الدموية بثلاث مراحل من التطور والاضمحلال:
- في مرحلة التكاثر ينمو الورم بسرعة كبيرة. قد تستمر هذه المرحلة حتى 12 شهرًا.
- في مرحلة الخمول أو الراحة لا يتغير الكثير في مظهر الورم، وتستمر هذه المرحلة حتى عمر السنة أو السنتين.
- في مرحلة التلاشي أو النكوص يبدأ الورم بالاختفاء، 50% من الأورام تختفي بعمر الخامسة، والنسبة الأكبر تختفي بعمر العاشرة.
- في بعض الحالات لا يختفي الورم.
المراجع
- "Al-Qamoos القاموس - English Arabic dictionary / قاموس إنجليزي عربي". مؤرشف من الأصل في 05 فبراير 2017. اطلع عليه بتاريخ 4 فبراير 2017. الوسيط
|CitationClass=تم تجاهله (مساعدة); تحقق من التاريخ في:|تاريخ أرشيف=(مساعدة) - كتاب الأمراض الجلدية والزهرية, منشورات جامعة دمشق
- Mulliken JB, Glowacki J (March 1982). "Hemangiomas and vascular malformations in infants and children: a classification based on endothelial characteristics". Plast. Reconstr. Surg. 69 (3): 412–22. doi:10.1097/00006534-198203000-00002. PMID 7063565. الوسيط
|CitationClass=تم تجاهله (مساعدة) - GI Associated Hemangiomas & Vascular Malformations نسخة محفوظة 21 يونيو 2018 على موقع واي باك مشين.
- Hemangiomas (Infantile) نسخة محفوظة 25 يونيو 2016 على موقع واي باك مشين.
- Oakley, Amanda. "Infantile haemangioma". DermNet NZ. مؤرشف من الأصل في 18 يوليو 2016. اطلع عليه بتاريخ 11 فبراير 2013. الوسيط
|CitationClass=تم تجاهله (مساعدة); روابط خارجية في|ناشر=(مساعدة) - Kleinman ME, Greives MR, Churgin SS, et al. (December 2007). "Hypoxia-induced mediators of stem/progenitor cell trafficking are increased in children with hemangioma". Arterioscler. Thromb. Vasc. Biol. 27 (12): 2664–70. doi:10.1161/ATVBAHA.107.150284. PMID 17872454. مؤرشف من الأصل في 15 يونيو 2011. الوسيط
|CitationClass=تم تجاهله (مساعدة) - Barnés CM, Huang S, Kaipainen A, et al. (December 2005). "Evidence by molecular profiling for a placental origin of infantile hemangioma". Proc. Natl. Acad. Sci. U.S.A. 102 (52): 19097–102. doi:10.1073/pnas.0509579102. PMC 1323205. PMID 16365311. الوسيط
|CitationClass=تم تجاهله (مساعدة) - North PE, Waner M, Brodsky MC (April 2002). "Are infantile hemangiomas of placental origin?". Ophthalmology. 109 (4): 633–4. doi:10.1016/S0161-6420(02)01071-0. PMID 11949625. مؤرشف من الأصل في 16 ديسمبر 2019. الوسيط
|CitationClass=تم تجاهله (مساعدة)صيانة CS1: أسماء متعددة: قائمة المؤلفون (link) - Pittman KM, Losken HW, Kleinman ME, et al. (November 2006). "No evidence for maternal-fetal microchimerism in infantile hemangioma: a molecular genetic investigation". J. Invest. Dermatol. 126 (11): 2533–8. doi:10.1038/sj.jid.5700516. PMID 16902414. مؤرشف من الأصل في 23 أكتوبر 2012. الوسيط
|CitationClass=تم تجاهله (مساعدة) - Kumar Vinay, Robbins and Coltran pathologic basis of disease 8ed. pp. 520-521 Philadelphia: Saunders Elsevier, 2010. ISBN 978-0-8089-2402-9
- North PE, Waner M, Mizeracki A, Mihm MC Jr. (Jan 2000). "GLUT1: a newly discovered immunohistochemical marker for juvenile hemangiomas". Hum Pathology. 31 (1): 11–22. doi:10.1016/S0046-8177(00)80192-6. PMID 10665907. الوسيط
|CitationClass=تم تجاهله (مساعدة)صيانة CS1: أسماء متعددة: قائمة المؤلفون (link) - dermnetnz.org/vascular/haemangioma.html
- Oza VS, Wang E, Berenstein A, et al. (April 2008). "PHACES association: a neuroradiologic review of 17 patients". AJNR Am J Neuroradiol. 29 (4): 807–13. doi:10.3174/ajnr.A0937. PMID 18223093. مؤرشف من الأصل في 16 ديسمبر 2019. الوسيط
|CitationClass=تم تجاهله (مساعدة) - Heyer GL, Dowling MM, Licht DJ, et al. (February 2008). "The cerebral vasculopathy of PHACES syndrome". Stroke. 39 (2): 308–16. doi:10.1161/STROKEAHA.107.485185. PMID 18174492. مؤرشف من الأصل في 1 مايو 2020. اطلع عليه بتاريخ أكتوبر 2020. الوسيط
|CitationClass=تم تجاهله (مساعدة); تحقق من التاريخ في:|تاريخ الوصول=(مساعدة) - Hunzeker C, Geronemus R (2010). ") "Treatment of Superficial Infantile Hemangiomas of the Eyelid Using the 595-nm Pulsed Dye Laser" (PDF). Dermatol. Surg. 36 (5): 590–597. doi:10.1111/j.1524-4725.2010.01511.x. PMID 20384759. مؤرشف من الأصل (PDF) في 9 أغسطس 2017. اطلع عليه بتاريخ أغسطس 2020. الوسيط
|CitationClass=تم تجاهله (مساعدة); تحقق من التاريخ في:|تاريخ الوصول=(مساعدة) - Hogeling M; et al. (August 2011). "A randomized controlled trial of propranolol for infantile hemangiomas". Pediatrics. 128 (2): e259–e266. doi:10.1542/peds.2010-0029. PMID 21788220. مؤرشف من الأصل في 04 مايو 2015. الوسيط
|CitationClass=تم تجاهله (مساعدة); Explicit use of et al. in:|مؤلف=(مساعدة); الوسيط|firstالأول2=يفتقد|lastالأول2=في الأول2 (مساعدة); الوسيط|firstالأول3=يفتقد|lastالأول3=في الأول3 (مساعدة) - Guo S, Ni N (February 2010). "Topical treatment for capillary hemangioma of the eyelid using beta-blocker solution". Arch. Ophthalmol. 128 (2): 255–6. doi:10.1001/archophthalmol.2009.370. PMID 20142555. الوسيط
|CitationClass=تم تجاهله (مساعدة); Pope E, Chakkittakandiyil A (May 2010). "Topical timolol gel for infantile hemangiomas: a pilot study". Arch Dermatol. 146 (5): 564–5. doi:10.1001/archdermatol.2010.67. PMID 20479314. الوسيط|CitationClass=تم تجاهله (مساعدة) - Wilson MW, Hoehn ME, Haik BG, Rieman M, Reiss U (May 2007). "Low-dose cyclophosphamide and interferon alfa 2a for the treatment of capillary hemangioma of the orbit". Ophthalmology. 114 (5): 1007–11. doi:10.1016/j.ophtha.2006.11.031. PMID 17337066. مؤرشف من الأصل في 17 يونيو 2018. الوسيط
|CitationClass=تم تجاهله (مساعدة)صيانة CS1: أسماء متعددة: قائمة المؤلفون (link) - Rizzo C, Brightman L, Chapas A, Hale E, Cantatore-Francis J, Bernstein L, Geronemus R (2009). "Outcomes of Childhood Hemangiomas Treated with the Pulsed Dye Laser with Dynamic Cooling: A Retrospective Chart Analysis" (PDF). Dermatol. Surg. 35 (12): 1947–1954. doi:10.1111/j.1524-4725.2009.01356.x. PMID 19889007. مؤرشف من الأصل (PDF) في 9 أغسطس 2017. اطلع عليه بتاريخ أغسطس 2020. الوسيط
|CitationClass=تم تجاهله (مساعدة); تحقق من التاريخ في:|تاريخ الوصول=(مساعدة)صيانة CS1: أسماء متعددة: قائمة المؤلفون (link)
وصلات خارجية
- Hemangioma Investigator Group
- Hemangioma - Children's Hospital Los Angeles
- Hemangioma - at Web MD
- Hemangioma - Children's Hospital Boston
- Humpath #1990 (Pathology images) at humpath.com
- مدلاين بلس Hemangioma
- Hepatic Hemangioma at medicinenet.com
- Haemangiomas of infancy at rch.org.au
- Liver Hemangioma at USUHS - MedPix
- Infantile Hemangiomas - Cincinnati Children's Hospital
- بوابة طب