انصمام بالسائل السلوي
الانصمام بالسائل السلوي (بالإنجليزية: Amniotic fluid embolism)[1] هو أحد المضاعفات الطارئة نادرة الحدوث المرتبطة بالولادة. يتسبب وصول السائل السلوي أو خلايا الجنين إلى الدورة الدموية للأم من خلال بطانة المشيمة برد فعل للجسم يشبه الحساسية، يتسبب رد الفعل في أضرار جسيمة للقلب والرئتين ويترتب عليه حدوث اعتلال خثري. تم وصف الحالة للمرة الأولى بشكل رسمي عام 1941.[2] برغم كون الحالة نادرة الحدوث (بمعدل يتراوح بين حالة لكل 8000 - 80000 ولادة)[3] إلا أنها تحتل المركز الخامس بين أسباب وفيات الأمهات حول العالم في بعض التقديرات.[4] عند حدوث هذا النوع من الانصمام تبلغ نسبة الوفاة 60-80% غير أن تقارير حديثة تشير إلى نسبة وفاة 26.4%.[5]
| انصمام بالسائل السلوي | |
|---|---|
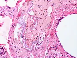
![]() عينة مجهرية تظهر وجود محتويات السائل السلوي داخل وعاء دموي | |
| معلومات عامة | |
| الاختصاص | طب التوليد |
| من أنواع | انسداد وعائي ، ومضاعفات الحمل |
الأسباب
يعتقد أن السبب يكمن في وصول السائل السلوي للدورة الدموية للأم من خلال الأوردة الرحمية، ورغم كون ذلك أمراً وارد الحدوث إلا أن بعض الأمهات يظهرن رد فعل للجسم دون غيرهن، وفي هؤلاء يعد دخول السائل السلوي للدورة الدموية ذو تأثير مباشرعلى الرئتين أو يكون سبباً في تنشيط الاستجابة المناعية للأم والذي غالباً ما تنتهي بالوفاة. هناك عوامل تساهم في دخول السائل السلوي تشمل:
- حدوث تمزق للكيس السلوي.
- تمزق الأوردة الموجودة في عنق الرحم بشكل رئيسي أو في أجزاء أخرى من الرحم.
- وجود فارق في الضغط بين الرحم (ضغط أعلى) والأوردة الرحمية (ضغط أقل).[6]
الأعراض
تحدث الأعراض بشكل فجائي وغير متوقع عند دخول السائل السلوي للدورة الدموية الصغرى (انصمام رئوي)، حيث تصاب الأم بفشل تنفسي عميق مع حدوث زرقة وصدمة في الجهاز الدوري، يتبع ذلك حدوث تشنجات وغيبوبة عميقة. تمر الأعراض في ترتيب ظهورها بمرحلتين:
- المرحلة الأولى: في المرحلة الأولى تشعر الأم بضيق النفس ويحدث لها انخفاض في ضغط الدم. يتبع ذلك حدوث فشل القلب مما يؤدي إلى نقص التغذية الدموية الواصلة للقلب والرئتين. قد يصاحب تلك الأعراض الشعور بالغثيان والتقيؤ، الارتعاش، وجود طعم غير مرغوب في الفم. بعد فترة قصيرة تفقد الأم الوعي نتيجة للصدمة الحادثة في الجهاز الدوري.
- المرحلة الثانية: تدخل نحو 40% من الناجيات من المرحلة الأولى إلى المرحلة الثانية، وفيها يفقد الدم قدرته على التخثر مما ينتج عنه حدوث نزيف شديد، يترتب على النزيف حدوث صدمة نقص حجم الدم، والتي قد تؤدي إلى وفاة الأم والجنين قبل خروجه من رحم الأم.[7]
العلاج
لا يوجد علاج مخصص للحالة، ويعد العلاج موجهاً للصدمة الدورية عن طريق الإنعاش القلبي والرئوي وتصحيح التخثر الحادث، يشمل العلاج اعطاء الأكسجين والتهوية الميكانيكية في بعض الحالات، مع إعطاء العقاقير الداعمة لانقباض عضلة القلب وتلك التي تقوم برفع ضغط الدم مثل إفيدرين، كما يشمل العلاج نقل الدم وعوامل التجلط وريدياً.[7]
تشير دراسة حديثة تم إجراؤها على حيوانات تجارب إلى أن الانصمام الناتج عن أي مادة يتبع بتحرير حبيبات الصفائح الدموية وفرط ضغط الدم الرئوي نتيجة للسيروتونين والثرومبوكسان، كما يصاحب بانخفاض ضغط الدم نتيجة لتحفيز العصب الحائر. وبناء على هذه الأساسيات أشارت تقارير إلى أن اعطاء عقاقير مثل أتروبين، ميتوكلوبراميد، أونداسيترون وكيتورولاك أدى إلى نجاة العديد من النساء من الحالة.[8]
مراجع
- Team, Almaany. "ترجمة ومعنى amniotic fluid embolism في قاموس المعاني. قاموس عربي انجليزي مصطلحات صفحة 1". www.almaany.com (باللغة الإنجليزية). مؤرشف من الأصل في 13 ديسمبر 2019. اطلع عليه بتاريخ 29 مارس 2017. الوسيط
|CitationClass=تم تجاهله (مساعدة) - Stafford I, Sheffield J (2007). "Amniotic fluid embolism". Obstet. Gynecol. Clin. North Am. 34 (3): 545–53, xii.
- Ellingsen CL, Eggebø TM, Lexow K (2007). "Amniotic fluid embolism after blunt abdominal trauma". Resuscitation. 75 (1): 180–3
- Moore J, Baldisseri MR (2005). "Amniotic fluid embolism". Crit. Care Med. 33 (10 Suppl): S279–85.
- Gilbert WM, Danielsen B (June 1999). "Amniotic fluid embolism: decreased mortality in a population-based study". Obstet Gynecol. 93 (6): 973–7.
- N J McDonnell; V Percival; M J Paech (Aug 2013). "Amniotic fluid embolism: a leading cause of maternal death yet still a medical conundrum". International journal of obstetric anesthesia.
- Hesham El Azzazi, Respiratory anesthesia, In. Flashlights on anesthesia. 2007:167-214
- Perinatology, SOAP - Society for Obstetric Anesthesia and. "SOAP - Society for Obstetric Anesthesia and Perinatology". soap.org. مؤرشف من الأصل في 09 أبريل 2016. اطلع عليه بتاريخ 29 مارس 2017. الوسيط
|CitationClass=تم تجاهله (مساعدة); تحقق من التاريخ في:|تاريخ أرشيف=(مساعدة)
- بوابة طب
صور وملفات صوتية من كومنز
