انصمام رئوي
الانصمام الرئوي (بالإنجليزية: Pulmonary embolism) (PE) هو انسداد في أحد شرايين الرئتين بمادة انتقلت من مكان آخر في الجسم عبر مجرى الدم (انسداد وعائي).[6] قد تشمل أعراض الانصمام الرئوي زلة تنفسية، ألم صدري خاصة عند التنفس، ونفث دموي.[2] قد تظهر أيضاً أعراض خثرة دموية في الساق، مثل ساق حمراء، دافئة، متوذمة، ومؤلمة.[2] تشمل علامات الانصمام الرئوي انخفاض مستويات الأكسجين في الدم، تسرع التنفس، تسرع القلب، وأحياناً حمى خفيفة.[11] يمكن أن تؤدي الحالات الشديدة إلى الغيبوبة، انخفاض ضغط الدم بشكل غير طبيعي، والموت المفاجئ.[3]
| انصمام رئوي | |
|---|---|
![]() رسم توضيحي للرئة يصور الانصمام الرئوي على أنه خثرة (جلطة دموية) انتقلت من منطقة أخرى من الجسم، مسببة انسداد الشريان الرئوي القصبي، مما يؤدي إلى خثار شرياني من الفصوص العلوية والسفلية في الرئة اليسرى رسم توضيحي للرئة يصور الانصمام الرئوي على أنه خثرة (جلطة دموية) انتقلت من منطقة أخرى من الجسم، مسببة انسداد الشريان الرئوي القصبي، مما يؤدي إلى خثار شرياني من الفصوص العلوية والسفلية في الرئة اليسرى | |
| معلومات عامة | |
| الاختصاص | علم الدم، طب القلب، طب الرئة |
| الأسباب | |
| عوامل الخطر | السرطان، الراحة في الفراش لفترات طويلة، التدخين، السكتة الدماغية، بعض الحالات الوراثية، الأدوية الحاوية على هرمون الاستروجين، الحمل، البدانة، بعد الجراحة[1] |
| المظهر السريري | |
| البداية المعتادة | أعمار متقدمة [1] |
| الأعراض | ضيق النفس، ألم الصدر، نفث دموي[2] |
| المضاعفات | غشي، صدمة، الموت المفاجئ[3] |
| الإدارة | |
| التشخيص | تعتمد على الأعراض، D-dimer، تصوير مقطعي محوسب للأوعية الرئوية، تصوير الرئتين بالنظائر المشعة[4] |
| العلاج | ممعيات (هيبارين، وارفارين، مميعات فموي ذات تأثير مباشر DOAC)[5] |
| أدوية | وارفارين ، وأنيسينديون ، وفينوبروكومون ، ويوروكيناز ، ودالتيبارين الصوديوم ، وبابافيرين ، وستربتوكاينيز ، وديكومارول ، وابيكسابان ، وfondaparinux ، وإيدوكسابان ، وريفاروكسيبان ، وألتيبلاس ، وإيدوكسابان ، وهيبارين
|
| الوبائيات | |
| انتشار المرض | حوالي 450000/سنة (في الولايات المتحدة الأمريكية)، 430000 (في أوروبا)[6][7][8] |
| الوفيات | >10-12000/سنة (في الولايات المتحدة الأمريكية)،[9] >30-40000 (في أوروبا)[10] |
عادة ما يحدث الانصمام الرئوي نتيجة خثرة دموية في الساق انتقلت إلى الرئة.[6] يزداد خطر الإصابة بالخثرات الدموية عند مرضى السرطان، الراحة في الفراش لفترات طويلة، التدخين، السكتة الدماغية، بعض الحالات الوراثية، الأدوية الحاوية على هرمون الاستروجين، الحمل، البدانة، بعد الجراحة.[1] ترجع نسبة صغيرة من الحالات إلى انصمام بالهواء، أو الدهون، أو السائل الأمنيوسي.[12][13] يعتمد التشخيص على العلامات والأعراض جنباً إلى جنب مع نتائج الاختبارات.[4] إذا كان خطر الإصابة منخفضاً، فقد يستبعد الفحص الدموي المعروف باسم D-dimer الحالة.[4] وبخلاف ذلك، فإن التصوير المقطعي المحوسب للأوعية الرئوية أو تصوير الرئة بالنظائر المشعة أو الموجات فوق الصوتية للساقين قد يؤكد التشخيص.[4] يُعرف الخثار الوريدي العميق والانصمام الرئوي معاً باسم الخثار الوريدي (VTE).[14]
تشمل عوامل الوقاية من الانصمام الرئوي البدء في تحريك المريض بأسرع وقت ممكن بعد الجراحة، وتمارين الساقين أثناء فترات الجلوس، واستخدام مميعات الدم بعد بعض أنواع الجراحات.[15] يتم العلاج بمضادات التخثر مثل الهيبارين أو الوارفارين أو أحد مضادات التخثر الفموية ذات التأثير المباشر.[5] يوصى بالمميعات لمدة ثلاثة أشهر على الأقل.[5] قد تتطلب الحالات الشديدة حل الخثرة باستخدام الأدوية مثل منشط بلازمينوجين النسيجي (tPA) الذي يعطى وريدياً أو بواسطة قسطرة، وقد يتطلب البعض إجراء عملية جراحية (استئصال الخثرة الرئوية).[16] إذا كانت مميعات الدم غير مناسبة، فيمكن استخدام مرشح الوريد الأجوف المؤقت.[16]
تؤثر الصمات الرئوية على حوالي 430000 شخص كل عام في أوروبا.[8] أما في الولايات المتحدة، تصيب ما بين 300000 و 600000 شخص كل عام،[6][7] والتي تساهم في 40000 حالة وفاة على الأقل.[9] معدلات الإصابة متشابهة في الذكور والإناث.[1] تصبح أكثر شيوعاً مع تقدم الناس في السن.[1]
الأعراض والعلامات
عادة ما تظهر أعراض الانصمام الرئوي بشكل مفاجئ وقد تشمل واحد أو أكثر مما يلي: زلة تنفسية (ضيق التنفس)، تسرع التنفس (التنفس السريع)، ألم صدري جنبي "التهاب الجنبة" (يزداد سوءً بالتنفس)، سعال، ونفث دموي (سعال مدمى).[17] أما العلامات التي قد تلاحظ في الحالات الأشد: الزرقة (اللون الأزرق، عادة في الشفاه والأصابع)، الوهط، وعدم استقرار الدورة الدموية بسبب انخفاض تدفق الدم عبر الرئتين والجانب الأيسر من القلب. حوالي 15٪ من جميع حالات الوفاة المفاجئة تُعزى إلى الانصمام الرئوي.[3] في حين أن الانصمام الرئوي قد يتظاهر بغشي، إذ أقل من 1٪ من حالات الغشي تحدث بسبب الصمة الرئوية.[18]
عند الفحص السريري، عادة ما تكون الرئتان طبيعيتان. قد يُسمع أحياناً احتكاك جنبي فوق المنطقة المصابة من الرئة (غالباً في الانصمام الرئوي مع احتشاء). يوجد أحياناً انصباب جنب الذي يكون نضحياً، ويمكن اكتشافه أثناء الفحص عبر الأصمية بالقرع، خفوت أصوات التنفس، والاهتزاز الصوتي. يمكن أن نجد علامات إجهاد بطين أيمن على شكل رفعة أيسر القص، وارتفاع صوت الجزء الرئوي من صوت القلب الثاني، و/أو ارتفاع ضغط الوريد الوداجي.[3] قد توجد حمى خفيفة، خاصة إذا كان هناك نزف أو احتشاء رئوي.[19]
نظراً لأن الصمات الرئوية الأصغر تميل إلى الاستقرار في مناطق رئوية محيطية التي تفتقر الدوران الجانبي، فمن المرجح أن تسبب احتشاء رئوي وانصباب جنب صغير (كلاهما مؤلم)، ولكن لا تسبب نقص أكسجة، زلة تنفسية، وعدم استقرار هيموديناميكي مثل تسرع القلب. عادةً ما تسبب الصمات الرئوية الأكبر، التي تميل إلى الاستقرار مركزياً، زلة تنفسية، نقص أكسجة، انخفاض ضغط الدم، تسرع القلب، والإغماء، ولكنها غالباً ما تكون غير مؤلمة لعدم وجود احتشاء رئوي لتمتعها بالدوران الدموي الجانبي. غالباً ما يتم تفويت الصمات الصغيرة لأنها تسبب ألم جنبي فقط بدون أي موجودات أخرى وأيضاً غالباً ما يتم تفويت الصمات الرئوية الكبيرة لأنها غير مؤلمة وتحاكي الحالات الأخرى التي تسبب تغيرات في تخطيط القلب الكهربائي وارتفاع طفيف في مستويات التروبونين والببتيد الدماغي المدر للصوديوم.[20]
توصف الصمات الرئوية أحياناً بأنها ضخمة، تحت ضخمة، وغير ضخمة اعتماداً على العلامات والأعراض السريرية. على الرغم من أن التعريفات الدقيقة غير واضحة، إلا أن التعريف المقبول للصمة الرئوية الضخمة هو الذي يشتمل على عدم استقرار هيموديناميكي مثل انخفاض ضغط الدم المستمر، تباطؤ معدل ضربات القلب، أو توقف النبض.[21]
عوامل الخطر

حوالي 90٪ من الصمات ناتجة عن خثار الأوردة العميقة القريبة في الساق (DVTs) أو خثار أوردة الحوض.[22] تشكل الإصابة بخثار الأوردة العميقة عامل خطر لانزلاق وهجرة الخثرات إلى الدورة الدموية الرئوية. تدعى هذه الحالات عموماً بـ الصمات الخثرية الوريدية (VTE).
تعد الصمات الخثرية الوريدية أكثر شيوعاً في الأفراد الذين يعانون من نقص المناعة وكذلك المصابين بأمراض مرافقة، حيث يعود تطور الخثار بشكل كلاسيكي إلى مجموعة من الأسباب تسمى ثالوث فيرخوف (تغيرات جريان الدم، عوامل في جدار الوعاء الدموي، وعوامل تؤثر على خصائص الدم)، وغالباً، يوجد أكثر من عامل خطر واحد.
- تغيرات جريان الدم: عدم الحركة (بعد الجراحة خاصة الجراحات العظمية في أو أسفل الورك دون وقاية من الخثرات،[23][24] أو عمليات تثبيت المفاصل خاصة مفاصل الساقين،[24] الطيران لمسافات طويلة)، الإصابة، الحمل (محفز للتخثر أيضاً)، البدانة (محفز للتخثر أيضاً)، السرطان (محفز للتخثر أيضاً).
- عوامل في جدار الوعاء الدموي: الجراحة (بسبب التلف الوريدي أثناء الجراحة[24])، القثطرة تسبب إصابة مباشرة ("إصابة بطانة الوعاء").
- العوامل المؤثرة على خصائص الدم (الحالة المحفزة للتخثر): وسائل تحديد النسل الهرمونية المحتوية على الإستروجين،[24] الحمل (نظراً لأن الجسم يضع نفسه في ما يعرف باسم "حالة فرط التخثر"، لتقليل خطر حدوث نزيف أثناء الولادة وينظم ذلك من خلال زيادة التعبير عن العامل السابع، الثامن، العاشر، عامل فون ويلبراند، والفيبرينوجين[24])، أهبة التخثر الوراثية (العامل الخامس لايدن، طفرة البروثرومبين G20210A، عوز البروتين C، عوز البروتين S، عوز أنتي الثرومبين، فرط هوموسيستين الدم واضطرابات البلازمينوجين/ انحلال الفبرين)، أهبة التخثر المكتسبة (متلازمة أضداد الفوسفوليبيد، المتلازمة الكلائية، البيلة الخضابية الليلية الانتيابية)، السرطان (مرضى سرطان البنكرياس والكولون "قد تكون أشكال السرطان الأخرى أيضاً من العوامل المؤهبة خاصة الأورام عالية الدرجة، ولكن سرطان البنكرياس والكولون أكثر شيوعاً"، هذا يرجع إلى إطلاق المواد المسببة للتخثر، ويبلغ خطر الإصابة بالصمات الخثرية الوريدية (VTE) ذروته أثناء التشخيص والعلاج، ولكنه يقل في فترة الشفاء.[24])
تشمل عوامل الخطر الأخرى: دوالي وريدية محدثة بتخرب وعائي،[23] فرط ضغط الدم الرئوي،[23] داء السكري.[23]
التشخيص

من أجل تشخيص الانصمام الرئوي، يوصى بمراجعة المعايير السريرية لتحديد الحاجة إلى الاختبارات.[25] بالنسبة لأولئك ذوي الخطورة المنخفضة: عمر أقل من 50، معدل ضربات القلب أقل من 100 نبضة في الدقيقة، مستوى الأكسجين أكثر من 94٪ في هواء الغرفة، لا يوجد وذمة ساق أو نفث دموي أو جراحة أو رض في الأسابيع الأربعة الماضية أو حوادث خثرية سابقة أو استخدام لهرمون الاستروجين، عادة لا تكون هناك حاجة لمزيد من الاختبارات.[26]
في الحالات التي يكون فيها الأفراد ذوي الخطورة العالية، هناك حاجة للمزيد من الاختبارات. يعتبر تصوير الأوعية الرئوية بالطبقي المقطعي المحوسب (CTPA) الطريقة المفضلة لتشخيص الانصمام الرئوي نظراً لسهولة إجراؤه ودقته.[27] على الرغم من أن تصوير الأوعية الرئوية بالطبقي المقطعي المحوسب مفضل، إلا أن هناك اختبارات أخرى يمكن إجراؤها.[25][28][29] على سبيل المثال، يمكن استخدام الموجات فوق الصوتية الضاغطة لاستقصاء أوردة الطرف السفلي القريبة.[27] يستخدم هذا الاختبار في المقام الأول كاختبار تأكيدي، مما يعني أنه يؤكد تحليلاً سابقاً يُظهر وجود أو اشتباه في وجود انصمام رئوي.[27] وفقاً لدراسة مقطعية، فإن التصوير بالموجات فوق الصوتية الضاغطة له حساسية 41٪ ونوعية 96٪.[27]
يعتمد تشخيص الانصمام الرئوي بشكل أساسي على مزيج من معايير سريرية مع اختبارات نوعية لأن الأعراض السريرية النموذجية للانصمام الرئوي (زلة تنفسية وألم صدري) لا يمكن تمييزها بشكل قاطع عن الأسباب الأخرى لألم الصدر والزلة التنفسية. يعتمد قرار إجراء التصوير الطبي على الحالة السريرية، أي التاريخ الطبي والأعراض ونتائج الفحص السريري، متبوعاً بتقييم الحالة وفق المعايير.[3]
اختبارات احتمالية الإصابة بالانصمام الرئوي
الطريقة الأكثر شيوعاً للتنبؤ بالاحتمالية السريرية، هي معيار ويلز، وهي قاعدة تنبؤ سريري. في عام 1995، طور فيليب ستيفن ويلز قاعدة تنبؤ لاحتمالية حدوث انصمام (بناءً على بحث في الأدبيات الطبية)، بناءً على معايير سريرية.[30] تم مراجعة قاعدة التنبؤ في عام 1998،[31] كما تمت مراجعتها في عام 2000 بشكل أكبر عندما بُسَطَت لتكون فعالة بواسطة ويلز وزملاؤه.[32]
توجد قواعد تنبؤ إضافية بالانصمام الرئوي، مثل معايير جنيف. والأهم من ذلك أن استخدام أي قاعدة يرتبط بالحد من تكرر الانصمام الخثاري المتكرر.[33]
معيار ويلز للتنبؤ بالانصمام الرئوي
| المعايير | عدد النقاط |
|---|---|
| موجودات سريرية تتوافق مع خثار وريدي عميق | 3 |
| لا يوجد تشخيص بديل يفسر الأعراض | 3 |
| تسرع قلب مع نبض أكثر من 100 نبضة/دقيقة | 1.5 |
| عدم حركة (ثلاثة أيام أو أكثر) أو جراحة خلال الأربع أسابيع السابقة | 1.5 |
| سوابق خثار وريدي عميق أو سوابق انصمام رئوي | 1.5 |
| وجود نفث دموي | 1 |
| وجود خباثة | 1 |
| عدد النقاط | احتمالية الإصابة بالانصمام الرئوي[28] | نسبة احتمال الإصابة |
|---|---|---|
| >6 | عالي | (59%) |
| 2-6 | متوسط | (29%) |
| <2 | منخفض | (15%) |
- التفسير البديل
| عدد النقاط | احتمالية الإصابة بالانصمام الرئوي | الإجراء المتبع |
|---|---|---|
| >4 | الانصمام الرئوي محتمل | يجب إجراء الاختبارات التصويرية التشخيصية |
| 4 أو أقل | الانصمام الرئوي غير محتمل | يجب إجراء D-Dimer لنفي الانصمام الرئوي |
فحوصات مخبرية
من أهم التحاليل المخبرية المستخدمة في تشخيص الانصمام الرئوي فحص مستوى D-Dimer في الدم، وجود مستوى طبيعي ل D-Dimer في الدم كافٍ لنفي تشخيص الانصمام الرئوي [38]، من الفحوصات المخبرية الأخرى المستخدمة في تشخيص الانصمام الرئوي: تعداد الدم الكامل وسرعة تجلط الدم، كما تجرى بعض التحاليل الدموية كإجراء وقائي ومنها فحص وظائف الكبد والكلى ومعدلات الشوارد وسرعة تثفل الدم.
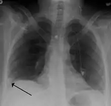
تشخيص شعاعي


أفضل تصوير شعاعي متاح لتشخيص الانصمام الرئوي هو تخطيط الأوعية الدموية في الرئة، ولكن نظرً لكون هذا الإجراء باضعاً (Invasive) وينطوي على بعض المضاعفات الجانبية فإن استخدامه يبقى محدوداً.
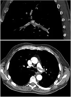
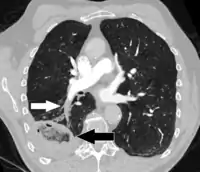
تصوير طبقي محوسب
التصوير الطبقي المحوسب للرئة والمصحوب باستخدام الصبغة المشعة في الوريد أصبح واسع الانتشار والاستخدام في تشخيص المرضى المشتبه بإصابتهم بالانصمام الرئوي، لهذا النوع من التصوير حساسية تبلغ 83% ودقة نوعية تصل إلى 96%.[39][40]
مسح التهوية والتروية الرئوي
مسح التهوية والتروية الرئوي هو شكل من التصوير الشعاعي التشخيصي هدفه تقييم التروية والتهوية في الرئتين ويستخدم في تشخيص الانصمام الرئوي، مبدأ عمله هو كالتالي:
- الجزء المتعلق بالتهوية يتم من خلال جعل المريض يستنشق هواء يحتوي على غاز الزينون أو التكنيشيوم.
- الجزء المتعلق بالتروية يتم فحصه من خلال حقن المريض بالتكنيشيوم أو أي صبغة مشعة.
- يتم تصوير الصدر بكاميرا غاما عقب ذلك.
استخدام هذه التقنية أقل شيوعاً من الالتصوير الطبقي المحوسب للرئة وذلك لعدم توفر هذه التقنية في كل المستشفيات كما أن دقة الالتصوير الطبقي المحوسب للرئة أصبحت أعلى، تستخدم هذه التقنية حالياً في حالات الحمل والحساسية للصبغات المشعة أو اليود المشع.[41]
صورة الصدر الشعاعية
تستخدم هذه التقنية لنفي وجود أي مرض صدري آخر كذات الرئة أو استرواح الصدر أو أي كسر في عظام القفص الصدري،
تصوير تصواتي (فوق صوتي)
التصوير فوق الصوتي أو التخطيط التصواتي لأوعية الساق الدموية مهم لتقييم وجود أي خثار في أوردة الساق، يعد الإثبات بالإصابة بالخثار الوريدي العميق / جلطة الساق دليلاً هاماً على القابلية العالية للإصابة بالانصمام الرئوي.
تخطيط القلب الكهربائي
تخطيط القلب الكهربائي هو إجراء روتيني لأي مريض يأتي بألم في الصدر ويستخدم لإثبات أو نفي وجود احتشاء العضلة القلبية أو الذبحة الصدرية، كما لوحظ وجود 3 علامات كلاسيكية على تخطيط القلب الكهربائي في حالات الانصمام الرئوي وهي:
- موجة S كبيرة على القطب الأول I
- موجة Q كبيرة على القطب الثالث III
- موجة T معكوسة على القطب الثالث III
تظهر هذه العلامات لدى 20% من حالات الانصمام الرئوي ولكنها قد تظهر أيضاً في أمراض صدرية أخرى مما يجعلها غير دقيقة الأمر الذي يقلل من أهميتها التشخيصية.[42][43]
العلاج
في الغالبية العظمى يكون علاج مرضى الانصمام الرئوي هو عبر الأدوية المضادة للتجلط أشهرها الهيبارين والوارفرين، أحياناً يتطلب علاج المريض بعض العلاجات المساندة كالأكسجين ومسكنات الآلام، في حالات الانصمام الرئوي التي تسبب عدم استقرار الديناميكية الدموية يكون الانصمام بالغاً وغالبا ما يكون كليا (احتشائي) ومتوضعاً في الشريان الرئوي الرئيسي، الأمر الذي يتطلب العلاج بانزيمات انحلال الخثرة لفك الاحتشاء وإعادة تدفق الدم.
مضادات التخثر
في غالبية الحالات تكون مضادات التخثر عماد العلاج، الهيبارين والهيبارين ذو الوزن الجزيئي المنخفض يكونان العقار المستخدم في البداية ثم يحول المريض إلى العلاج بالوارفرين، معظم حالات الانصمام الرئوي تستدعي الإدخال للمستشفى بهدف المراقبة والعلاج ويستوجب العلاج بالعقاقير مضادة التخثر المتابعة عبر فحوصات سرعة تجلط الدم وعدد الصفائح الدموية والفحص العالمي المعادل روبية هندية، عند العلاج بالوارفرين يجب ابقاء مستوى روبية هندية بين 2-3 وبين 2.5-3.5 في حال كان المريض قد تعرض لحالة انصمام رئوي أو خثار وريدي عميق سابقاً.
- يعطى المريض الهيبارين داخل المستشفى في المرحلة المبكرة من العلاج.
- يتم استبدال الهيبارين بالوارفرين خلال الأيام الخمسة الأولى من العلاج.
- قد يضطر المريض إلى الاستمرار على الهيبارين وعدم التحويل إلى الوارفرين في حالة الحمل أو الحساسية لعقار الوارفرين.
- يستمر العلاج بالعقاقير المضادة للتخثر لمدة 3-6 أشهر في حال عدم وجود إصابة سابقة بالانصمام الرئوي أو الخثار الوريدي العميق، وفي حال وجود إصابة سابقة بأي منهم يكون العلاج بمضادات التخثر لازماً مدى الحياة.
مصفاة الوريد الأجوف السفلي
يتم وضع مصفاة في الوريد الأجوف السفلي عندما يكون العلاج بمضادات التخثر غير ممكن، يتم وضع المصفاة عادة من خلال الولوج عبر الوريد الودجي أو الوريد الفخذي ويتم تثبيت المصفاة عادة في الوريد الأجوف السفلي قبل نقطة الالتقاء مع الوريد الكلوي.[44]
انزيمات إحلال الخثرة
يتم استخدام انزيمات إحلال الخثرة في الحالات بالغة الخطورة من الانصمام الرئوي في حال كان التدخل الجراحي متعذراً أو غير ممكن، من المضاعفات الخطرة للعلاج حصول نزيف أو جلطة دماغية.[45]
العمل الجراحي
التدخل الجراحي في حالات الانصمام الرئوي الحادة يكون عبر استئصال الخثرة من شرايين الرئة وقد تراجع استخدام هذا الحل الجراحي نظراً لخطورته ونتائجه غير المشجعة، ويبقى استعمال هذا الحل مجدياً في حالات الانصمام الرئوي المزمنة والتي تسبب ارتفاع ضغط الدم الرئوي.
الوقاية من الانصمام الرئوي
تبدأ الوقايةُ من الانصمام الرئوي بالوقاية من التخثر الوريدي العميق. ومن المهمِّ معرفةُ ما إذا كان الشخص معرضاً لخطر الإصابة بالتخثر الوريدي العميق، واتِّخاذ خطوات تخفِّف من خطر الإصابة به. للوقايةِ من الإصابة بالتخثر الوريدي العميق والانصمام الرئوي، من المهمِّ تحريكُ عضلات الساقين عندَ الجلوس لفترة طويلة في أثناء السفر. ومن الضَّروري لمريض الجراحة أو لطريح الفراش النهوضُ من السرير والمشي حالما يستطيع. كما يُمكن أيضاً تناولُ أدوية تمنع حُدوثَ الخثرات بعدَ أنواع معيَّنة من الجراحة، وذلك وفقَ توصية الطبيب. ويجب الحرصُ على الالتزام بتعاليم الطبيب للتأكُّد من فعَّالية ما تقوم به في الوقاية من الخثرات. إذا كان المريضُ قد أُصيبَ من قَبلُ بالخُثار الوريدي العميق أو بالانصمام الرئوي، فمن الممكن اتِّخاذ خطوات أخرى للوقاية من تشكُّل خَثرات دموية جديدة. يجب مراجعةُ الطبيب بصورة منتظمة. كما يجب ارتداءُ الجوارب الضاغطة للوقاية من التورُّم المُزمن في الساقين بسبب الخُثار الوريدي العميق، وذلك تبعاً لتوصيات الطبيب. يجب الاتِّصالُ بالطبيب فوراً في حال ملاحظة أيِّ عرض من أعراض الانصمام الرئوي أو الخُثار الوريدي العميق.[46]
معرض صور
انظر أيضاً
المراجع
- "Who Is at Risk for Pulmonary Embolism?". NHLBI. July 1, 2011. مؤرشف من الأصل في 15 فبراير 2016. اطلع عليه بتاريخ 12 مارس 2016. الوسيط
|CitationClass=تم تجاهله (مساعدة) - "What Are the Signs and Symptoms of Pulmonary Embolism?". NHLBI. July 1, 2011. مؤرشف من الأصل في 09 مارس 2016. اطلع عليه بتاريخ 12 مارس 2016. الوسيط
|CitationClass=تم تجاهله (مساعدة) - Goldhaber SZ (2005). "Pulmonary thromboembolism". In Kasper DL, Braunwald E, Fauci AS, et al. (المحررون). Harrison's Principles of Internal Medicine (الطبعة 16th). New York, NY: McGraw-Hill. صفحات 1561–65. ISBN 978-0-07-139140-5. الوسيط
|CitationClass=تم تجاهله (مساعدة) - "How Is Pulmonary Embolism Diagnosed?". NHLBI. July 1, 2011. مؤرشف من الأصل في 07 أبريل 2016. اطلع عليه بتاريخ 12 مارس 2016. الوسيط
|CitationClass=تم تجاهله (مساعدة) - Kearon C, Akl EA, Ornelas J, Blaivas A, Jimenez D, Bounameaux H, et al. (February 2016). "Antithrombotic Therapy for VTE Disease: CHEST Guideline and Expert Panel Report". Chest. 149 (2): 315–352. doi:10.1016/j.chest.2015.11.026. PMID 26867832. الوسيط
|CitationClass=تم تجاهله (مساعدة) - "What Is Pulmonary Embolism?". NHLBI. July 1, 2011. مؤرشف من الأصل في 12 مارس 2016. اطلع عليه بتاريخ 12 مارس 2016. الوسيط
|CitationClass=تم تجاهله (مساعدة) - Rahimtoola A, Bergin JD (February 2005). "Acute pulmonary embolism: an update on diagnosis and management". Current Problems in Cardiology. 30 (2): 61–114. doi:10.1016/j.cpcardiol.2004.06.001. PMID 15650680. الوسيط
|CitationClass=تم تجاهله (مساعدة) - Raskob GE, Angchaisuksiri P, Blanco AN, Buller H, Gallus A, Hunt BJ, et al. (November 2014). "Thrombosis: a major contributor to global disease burden". Arteriosclerosis, Thrombosis, and Vascular Biology. 34 (11): 2363–71. doi:10.1161/atvbaha.114.304488. PMID 25304324. الوسيط
|CitationClass=تم تجاهله (مساعدة) - Barco S, Valerio L, Ageno W, Cohen AT, Goldhaber SZ, Hunt BJ, et al. (October 2020). "Age-sex specific pulmonary embolism-related mortality in the USA and Canada, 2000-18: an analysis of the WHO Mortality Database and of the CDC Multiple Cause of Death database". The Lancet. Respiratory Medicine. doi:10.1016/S2213-2600(20)30417-3. PMC 7550106 تأكد من صحة قيمة
|pmc=(مساعدة). PMID 33058771 تأكد من صحة قيمة|pmid=(مساعدة). الوسيط|CitationClass=تم تجاهله (مساعدة) - Barco S, Mahmoudpour SH, Valerio L, Klok FA, Münzel T, Middeldorp S, et al. (March 2020). "Trends in mortality related to pulmonary embolism in the European Region, 2000-15: analysis of vital registration data from the WHO Mortality Database". The Lancet. Respiratory Medicine. 8 (3): 277–287. doi:10.1016/S2213-2600(19)30354-6. PMID 31615719. الوسيط
|CitationClass=تم تجاهله (مساعدة) - Tintinalli JE (2010). Emergency Medicine: A Comprehensive Study Guide (Emergency Medicine (Tintinalli)) (الطبعة 7). New York: McGraw-Hill Companies. صفحة 432. ISBN 978-0-07-148480-0. الوسيط
|CitationClass=تم تجاهله (مساعدة) - "What Causes Pulmonary Embolism?". NHLBI. July 1, 2011. مؤرشف من الأصل في 07 أبريل 2016. اطلع عليه بتاريخ 12 مارس 2016. الوسيط
|CitationClass=تم تجاهله (مساعدة) - Pantaleo G, Luigi N, Federica T, Paola S, Margherita N, Tahir M (2014). "Amniotic fluid embolism: review". Current Pharmaceutical Biotechnology. 14 (14): 1163–7. doi:10.2174/1389201015666140430161404. PMID 24804726. الوسيط
|CitationClass=تم تجاهله (مساعدة) - "Other Names for Pulmonary Embolism". July 1, 2011. مؤرشف من الأصل في 16 مارس 2016. اطلع عليه بتاريخ 12 مارس 2016. الوسيط
|CitationClass=تم تجاهله (مساعدة) - "How Can Pulmonary Embolism Be Prevented?". NHLBI. July 1, 2011. مؤرشف من الأصل في 07 أبريل 2016. اطلع عليه بتاريخ 12 مارس 2016. الوسيط
|CitationClass=تم تجاهله (مساعدة) - "How Is Pulmonary Embolism Treated?". NHLBI. July 1, 2011. مؤرشف من الأصل في 09 مارس 2016. اطلع عليه بتاريخ 12 مارس 2016. الوسيط
|CitationClass=تم تجاهله (مساعدة) - Lewis S, Dirksen S, Heitkemper M, Bucher L (2014). Medical-surgical nursing: Assessment and management of clinical problems (الطبعة 9). St. Louis, MO: Elsevier Mosby. صفحة 552. ISBN 978-0-323-08678-3. الوسيط
|CitationClass=تم تجاهله (مساعدة) - Oqab Z, Ganshorn H, Sheldon R (April 2018). "Prevalence of pulmonary embolism in patients presenting with syncope. A systematic review and meta-analysis". The American Journal of Emergency Medicine. 36 (4): 551–555. doi:10.1016/j.ajem.2017.09.015. PMID 28947223. S2CID 5012417. الوسيط
|CitationClass=تم تجاهله (مساعدة) - Stein PD, Sostman HD, Hull RD, Goodman LR, Leeper KV, Gottschalk A, et al. (March 2009). "Diagnosis of pulmonary embolism in the coronary care unit". The American Journal of Cardiology. 103 (6): 881–6. doi:10.1016/j.amjcard.2008.11.040. PMC 2717714. PMID 19268750. الوسيط
|CitationClass=تم تجاهله (مساعدة) - Pregerson DB, Quick Essentials: Emergency Medicine, 4th edition. EMresource.org
- Jaff MR, McMurtry MS, Archer SL, Cushman M, Goldenberg N, Goldhaber SZ, et al. (April 2011). American Heart Association Council on Cardiopulmonary, Critical Care, Perioperative and Resuscitation, American Heart Association Council on Peripheral Vascular Disease, American Heart Association Council on Arteriosclerosis, Thrombosis, and Vascular Biology. "Management of massive and submassive pulmonary embolism, iliofemoral deep vein thrombosis, and chronic thromboembolic pulmonary hypertension: a scientific statement from the American Heart Association". Circulation. 123 (16): 1788–830. doi:10.1161/CIR.0b013e318214914f. PMID 21422387. الوسيط
|CitationClass=تم تجاهله (مساعدة) - Ferri F (2012). Ferri's Clinical Advisor. St. Louis: Mosby's. الوسيط
|CitationClass=تم تجاهله (مساعدة) - Toplis E, Mortimore G (January 2020). "The diagnosis and management of pulmonary embolism". British Journal of Nursing. 29 (1): 22–26. doi:10.12968/bjon.2020.29.1.22. hdl:10545/624428. PMID 31917939. الوسيط
|CitationClass=تم تجاهله (مساعدة) - Turetz M, Sideris AT, Friedman OA, Triphathi N, Horowitz JM (June 2018). "Epidemiology, Pathophysiology, and Natural History of Pulmonary Embolism". Seminars in Interventional Radiology. 35 (2): 92–98. doi:10.1055/s-0038-1642036. PMC 5986574. PMID 29872243. الوسيط
|CitationClass=تم تجاهله (مساعدة) - American College of Radiology. "Five Things Physicians and Patients Should Question" (PDF). Choosing Wisely: an initiative of the اختر بحكمة. American College of Radiology. مؤرشف (PDF) من الأصل في 16 أبريل 2012. اطلع عليه بتاريخ 17 أغسطس 2012. الوسيط
|CitationClass=تم تجاهله (مساعدة) - Raja AS, Greenberg JO, Qaseem A, Denberg TD, Fitterman N, Schuur JD (November 2015). "Evaluation of Patients With Suspected Acute Pulmonary Embolism: Best Practice Advice From the Clinical Guidelines Committee of the American College of Physicians". Annals of Internal Medicine. 163 (9): 701–11. doi:10.7326/M14-1772. PMID 26414967. الوسيط
|CitationClass=تم تجاهله (مساعدة) - Ullah S, Jan SU, Rehman HU, Butt NI, Rauf MA, Shah S, Jan MY (March 2019). "Research productivity in Pakistan heart journal from 2005 to 2018: a scientometric study". Pakistan Heart Journal. 52 (2). doi:10.47144/phj.v52i2.1763 (غير نشط 2021-01-20) تأكد من صحة قيمة
|doi=(مساعدة). الوسيط|CitationClass=تم تجاهله (مساعدة) - Stein PD, Woodard PK, Weg JG, Wakefield TW, Tapson VF, Sostman HD, et al. (January 2007). "Diagnostic pathways in acute pulmonary embolism: recommendations of the PIOPED II Investigators". Radiology. 242 (1): 15–21. doi:10.1148/radiol.2421060971. PMID 17185658. الوسيط
|CitationClass=تم تجاهله (مساعدة) - Konstantinides SV, Torbicki A, Agnelli G, Danchin N, Fitzmaurice D, Galiè N, et al. (November 2014). "2014 ESC guidelines on the diagnosis and management of acute pulmonary embolism". European Heart Journal. 35 (43): 3033–69, 3069a–3069k. doi:10.1093/eurheartj/ehu283. PMID 25173341. الوسيط
|CitationClass=تم تجاهله (مساعدة) - Wells PS, Hirsh J, Anderson DR, Lensing AW, Foster G, Kearon C, et al. (May 1995). "Accuracy of clinical assessment of deep-vein thrombosis". Lancet. 345 (8961): 1326–30. doi:10.1016/S0140-6736(95)92535-X. PMID 7752753. S2CID 23107192. الوسيط
|CitationClass=تم تجاهله (مساعدة) - Wells PS, Ginsberg JS, Anderson DR, Kearon C, Gent M, Turpie AG, et al. (December 1998). "Use of a clinical model for safe management of patients with suspected pulmonary embolism". Annals of Internal Medicine. 129 (12): 997–1005. doi:10.7326/0003-4819-129-12-199812150-00002. PMID 9867786. S2CID 41389736. الوسيط
|CitationClass=تم تجاهله (مساعدة) - Wells PS, Anderson DR, Rodger M, Ginsberg JS, Kearon C, Gent M, et al. (March 2000). "Derivation of a simple clinical model to categorize patients probability of pulmonary embolism: increasing the models utility with the SimpliRED D-dimer". Thrombosis and Haemostasis. 83 (3): 416–20. doi:10.1055/s-0037-1613830. PMID 10744147. الوسيط
|CitationClass=تم تجاهله (مساعدة) - Roy PM, Meyer G, Vielle B, Le Gall C, Verschuren F, Carpentier F, et al. (February 2006). "Appropriateness of diagnostic management and outcomes of suspected pulmonary embolism". Annals of Internal Medicine. 144 (3): 157–64. CiteSeerX = 10.1.1.1032.7193 10.1.1.1032.7193. doi:10.7326/0003-4819-144-3-200602070-00003. PMID 16461959. S2CID 38894349. الوسيط
|CitationClass=تم تجاهله (مساعدة) - Neff MJ (August 2003). "ACEP releases clinical policy on evaluation and management of pulmonary embolism". American Family Physician. 68 (4): 759–60. PMID 12952389. مؤرشف من الأصل في 26 سبتمبر 2007. الوسيط
|CitationClass=تم تجاهله (مساعدة) - Wells PS, Anderson DR, Rodger M, Stiell I, Dreyer JF, Barnes D, et al. (July 2001). "Excluding pulmonary embolism at the bedside without diagnostic imaging: management of patients with suspected pulmonary embolism presenting to the emergency department by using a simple clinical model and d-dimer". Annals of Internal Medicine. 135 (2): 98–107. doi:10.7326/0003-4819-135-2-200107170-00010. PMID 11453709. S2CID 2708155. الوسيط
|CitationClass=تم تجاهله (مساعدة) - Yap KS, Kalff V, Turlakow A, Kelly MJ (September 2007). "A prospective reassessment of the utility of the Wells score in identifying pulmonary embolism". The Medical Journal of Australia. 187 (6): 333–6. doi:10.5694/j.1326-5377.2007.tb01274.x. PMID 17874979. S2CID 17476982. الوسيط
|CitationClass=تم تجاهله (مساعدة) - van Belle A, Büller HR, Huisman MV, Huisman PM, Kaasjager K, Kamphuisen PW, et al. (January 2006). "Effectiveness of managing suspected pulmonary embolism using an algorithm combining clinical probability, D-dimer testing, and computed tomography". JAMA. 295 (2): 172–9. doi:10.1001/jama.295.2.172. PMID 16403929. الوسيط
|CitationClass=تم تجاهله (مساعدة) - Bounameaux H, de Moerloose P, Perrier A, Reber G (1994). "Plasma measurement of D-dimer as diagnostic aid in suspected venous thromboembolism: an overview". Thromb. Haemost. 71 (1): 1–6. PMID 8165626. الوسيط
|CitationClass=تم تجاهله (مساعدة)صيانة CS1: أسماء متعددة: قائمة المؤلفون (link) - Schaefer-Prokop C, Prokop M (2005). "MDCT for the diagnosis of acute pulmonary embolism". European radiology. 15 Suppl 4: D37–41. PMID 16479644. الوسيط
|CitationClass=تم تجاهله (مساعدة) - Stein PD, Fowler SE, Goodman LR; et al. (2006). "Multidetector computed tomography for acute pulmonary embolism". N. Engl. J. Med. 354 (22): 2317–27. doi:10.1056/NEJMoa052367. PMID 16738268. الوسيط
|CitationClass=تم تجاهله (مساعدة); Explicit use of et al. in:|مؤلف=(مساعدة)صيانة CS1: أسماء متعددة: قائمة المؤلفون (link) - Anderson DR, Kahn SR, Rodger MA; et al. (2007). "Computed tomographic pulmonary angiography vs ventilation-perfusion lung scanning in patients with suspected pulmonary embolism". JAMA. 298 (23): 2743–53. doi:10.1001/jama.298.23.2743. PMID 18165667. الوسيط
|CitationClass=تم تجاهله (مساعدة); Explicit use of et al. in:|مؤلف=(مساعدة)صيانة CS1: أسماء متعددة: قائمة المؤلفون (link) - McGinn S, باول دودلي وايت (1935). "Acute cor pulmonale resulting from pulmonary embolism". J Am Med Assoc. 104: 1473–80. الوسيط
|CitationClass=تم تجاهله (مساعدة) - Rodger M, Makropoulos D, Turek M; et al. (2000). "Diagnostic value of the electrocardiogram in suspected pulmonary embolism". Am. J. Cardiol. 86 (7): 807–9, A10. doi:10.1016/S0002-9149(00)01090-0. PMID 11018210. الوسيط
|CitationClass=تم تجاهله (مساعدة); Explicit use of et al. in:|مؤلف=(مساعدة)صيانة CS1: أسماء متعددة: قائمة المؤلفون (link) - Decousus H, Leizorovicz A, Parent F, Page Y, Tardy B, Girard P, Laporte S, Faivre R, Charbonnier B, Barral F, Huet Y, Simonneau G (1998). "A clinical trial of vena caval filters in the prevention of pulmonary embolism in patients with proximal deep-vein thrombosis. Prévention du Risque d'Embolie Pulmonaire par Interruption Cave Study Group". N Engl J Med. 338 (7): 409–15. doi:10.1056/NEJM199802123380701. PMID 9459643. الوسيط
|CitationClass=تم تجاهله (مساعدة)صيانة CS1: أسماء متعددة: قائمة المؤلفون (link) - Dong B, Jirong Y, Liu G, Wang Q, Wu T (2006). "Thrombolytic therapy for pulmonary embolism". Cochrane Database Syst Rev (2): CD004437. doi:10.1002/14651858.CD004437.pub2. PMID 16625603. الوسيط
|CitationClass=تم تجاهله (مساعدة)صيانة CS1: أسماء متعددة: قائمة المؤلفون (link) - موسوعة الملك عبدالله بن عبدالعزيز العربية للمحتوى الصحي
- بوابة طب



