انفتال
يحدث الانفتال (بالإنجليزية: volvulus) عدنما تلتف عروة معوية حول نفسها وحول المسراق الداعم لها، ما يتسبب بانسداد معوي. تتضمن الأعراض ألمًا بطنيًا، وانتفاخ البطن، وإقياءً، وإمساكًا، وبرازًا مدمى. يمكن أن يكون ظهور الأعراض سريعًا أو تدريجيًا أكثر. يمكن أن يلتف المسراق بإحكام فينقطع الجريان الدموي في جزء من الأمعاء، ما يتسبب بإقفار معوي. قد يحدث في هذه الحالة حمى أو ألم شديد عند لمس البطن (التهاب بريتوان).[1][2]
| انفتال | |
|---|---|
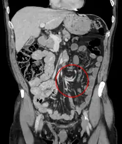
![]() تصوير مقطعي محوسب إكليلي لمنطقة البطن يظهر انفتال كما يظهر على شكل التواء بكتلة الأمعاء تصوير مقطعي محوسب إكليلي لمنطقة البطن يظهر انفتال كما يظهر على شكل التواء بكتلة الأمعاء | |
| معلومات عامة | |
| الاختصاص | جراحة عامة |
| من أنواع | انسداد معوي |
تتضمن عوامل الخطر العيب الخلقي المعروف بسوء الدوران المعوي، والقولون المتضخم، ومرض هيرشسبرونغ، والحمل، والالتصاقات البطنية. يمكن للإمساك طويل الأمد والحمية الغذائية مرتفعة الألياف أن تزيد الخطر.[3] يعد القولون السيني الجزء الأكثر إصابةً والأعور ثاني أكثر الأجزاء إصابةً. يصيب عادةً الأمعاء الدقيقة أكثر عند الأطفال.[4] يمكن أن تتأثر المعدة أيضًا.[5] يُشخص نموذجيًا عن طريق التصوير الطبي مثل الأشعة السينية، أو الحقن بالباريوم، أو التصوير المقطعي المحوسب.
يمكن أن تكون المعالجة البدئية عن طريق التنظير السيني أو حقن الباريوم. يُوصى عادة باقتطاع الأمعاء خلال اليومين التاليين، بسبب خطر الانتكاس العالي. إذا كانت الأمعاء ملتفة بشدة أو التروية الدموية مقطوعة، فيجب إجراء الجراحة فورًا. في الانفتال الأعوري، يُتطلب عادةً إزالة جزء من الأمعاء. إذا كان الأعور سليمًا، فيمكن أحيانًا إعادته إلى الوضعية السوية والخياطة.[6]
ذُكرت حالات انفتال في مصر القديمة تعود إلى وقت مبكر في عام 1550 قبل الميلاد. يكون أكثر شيوعًا في إفريقيا، والشرق الأوسط، والهند. تبلغ نسبة الانفتال في الولايات المتحدة نحو 2-3 حالة من كل 100.000 شخص في السنة. يحدث انفتال السين والأعور نموذجيًا بين عمري 30 و70.[7] ترتبط النتائج في ما إذا كان نسيج الأمعاء قد تموّت (غنغرينا) أم لم يتموت بعد. يأتي مصطلح volvulus من اللاتينية «volvere»، الذي يعني «لفة».
العلامات والأعراض
بغض النظر عن السبب، يتسبب الانفتال بالأعراض عن طريق آليتين:
- انسداد يتظاهر بتمدد بطن وإقياءات صفراوية.
- إفقار (نقص تروية) في الجزء المصاب من الأمعاء.
تختلف الأعراض تبعًا لموقع الانفتال. على سبيل المثال، عند المرضى المصابين بانفتال أعوري، تكون الأعراض المسيطرة عندهم أعراض انسداد الأمعاء الدقيقة (غثيان، وإقياء، ونقص في البراز أو أرياح)، وذلك لاقتراب نقطة الانسداد من الصمام الأعوري اللفائفي والأمعاء الدقيقة. عند المرضى المصابين بانفتال سيني، على الرغم من احتمالية وجود ألم بطني، تكون أعراض الإمساك أكثر سيطرة.
يتسبب الانفتال بألم شديد وإصابة مترقية في جدار الأمعاء، مع تراكم الغازات والسوائل في القسم المسدود من الأمعاء. في النهاية، يمكن أن يتسبب هذا بنخر في جدار الأمعاء المصاب، وحماض، والموت. يعرف بانسداد عروة مغلقة بسبب وجود عروة منعزلة («مغلقة») من الأمعاء. يتطلب الانفتال الحاد عادة تدخلًا جراحيًا فوريًا من أجل تقويم القطعة المعوية المصابة وربما اقتطاع القسم غير القابل للإنقاذ.[8]
يحدث الانفتال بشكل متكرر أكثر عند الذكور متوسطي العمر والمسنين. قد ينشأ الانفتال كاختلاط نادر عند الأشخاص الذين لديهم قولون مزيد، والذي هو تباين تشريحي سوي يسفر عن عرى قولونية إضافية.[9]
يعد الانفتال السيني الشكل الأكثر شيوعًا من انفتالات القناة الهضمية.[10] يكون مسؤولًا عن 8% من انسدادات الأمعاء جميعها. يشيع حدوث الانفتال السيني بشكل خاص عند الأشخاص المسنين ومرضى الإمساك. يعاني المرضى من ألم وتمدد بطن وإمساك تام.
يكون الانفتال الأعوري أقل شيوعًا بعض الشيء مقارنة بالانفتال السيني ويترافق بأعراض ألم بطني وانسداد في الأمعاء الدقيقة.
يمكن أن يحدث الانفتال أيضًا عند مرضى الحثل العضلي الدوشيني بسبب خلل وظيفة العضلات الملساء.
الأسباب
يحدث انفتال المعى المتوسط عند الأشخاص (الرضع عادة) المتأهبين بسبب سوء دوران الأمعاء الخلقي، ويحدث الانفتال القطعي عادةً عند الأشخاص في أي عمر عند تأهبهم بسبب وجود محتويات شاذة في الأمعاء (مثل علوص العقي) أو بسبب الالتصاقات، وتحدث انفتالات الأعور والقولون المستعرض والقولون السيني عادة عند البالغين عند وجود عوامل تأهب بسيطة فقط مثل نسيج الأمعاء المزيد (الزائد والغير مدعم جيداً) والإمساك.
الأنواع
- انفتال وليدي.
- انفتال الأمعاء دقيقة.
- انفتال المعى المتوسط (بسبب سوء دوران الأمعاء).
- انفتال الأعور.
- انفتال القولون السيني.
- انفتال القولون المستعرض.
- انفتال الثنية الطحالية، وهو الأندر.
- عقدة لفائفية أعورية.
معرض صور
المراجع
- "Anatomic Problems of the Lower GI Tract". NIDDK. July 2013. مؤرشف من الأصل في 28 يوليو 2016. اطلع عليه بتاريخ 03 أغسطس 2016. الوسيط
|CitationClass=تم تجاهله (مساعدة) - Marx, John; Walls, Ron; Hockberger, Robert (2013). "95". Rosen's Emergency Medicine - Concepts and Clinical Practice (باللغة الإنجليزية). Elsevier Health Sciences. ISBN 1455749877. مؤرشف من الأصل في 16 أغسطس 2016. الوسيط
|CitationClass=تم تجاهله (مساعدة) - Gingold, D; Murrell, Z (December 2012). "Management of colonic volvulus". Clinics in colon and rectal surgery. 25 (4): 236–44. doi:10.1055/s-0032-1329535. PMC 3577612. PMID 24294126. الوسيط
|CitationClass=تم تجاهله (مساعدة) - Feldman, Mark; Friedman, Lawrence S.; Brandt, Lawrence J. (2010). Sleisenger and Fordtran's Gastrointestinal and Liver Disease: Pathophysiology, Diagnosis, Management, Expert Consult Premium Edition - Enhanced Online Features (باللغة الإنجليزية) (الطبعة 9). Elsevier Health Sciences. صفحة 384. ISBN 1437727670. مؤرشف من الأصل في 16 أغسطس 2016. الوسيط
|CitationClass=تم تجاهله (مساعدة) - Wilkins, Lippincott Williams & (2009). Professional Guide to Diseases (باللغة الإنجليزية). Lippincott Williams & Wilkins. صفحة 283. ISBN 9780781778992. مؤرشف من الأصل في 16 أغسطس 2016. الوسيط
|CitationClass=تم تجاهله (مساعدة) - Gordon, Philip H.; Nivatvongs, Santhat (2007). Principles and Practice of Surgery for the Colon, Rectum, and Anus, Third Edition (باللغة الإنجليزية). CRC Press. صفحة 971. ISBN 9781420017991. مؤرشف من الأصل في 17 أغسطس 2016. الوسيط
|CitationClass=تم تجاهله (مساعدة) - Beck, David; Beck, David E. (2012). "23". Handbook of Colorectal Surgery: Third Edition (باللغة الإنجليزية). JP Medical Ltd. ISBN 9781907816208. مؤرشف من الأصل في 16 أغسطس 2016. الوسيط
|CitationClass=تم تجاهله (مساعدة) - Wedding, Mary Ellen; Gylys, Barbara A. (2004). Medical Terminology Systems: A Body Systems Approach (Medical Terminology (W/CD & CD-ROM) (Davis)). Philadelphia, Pa: F. A. Davis Company. ISBN 0-8036-1249-4. الوسيط
|CitationClass=تم تجاهله (مساعدة) - Mayo Clinic Staff (2006-10-13). "Redundant colon: A health concern?". Ask a Digestive System Specialist. MayoClinic.com. مؤرشف من الأصل في 29 سبتمبر 2007. اطلع عليه بتاريخ 11 يونيو 2007. الوسيط
|CitationClass=تم تجاهله (مساعدة) - Turan M, Sen M, Karadayi K, et al. (January 2004). "Our sigmoid colon volvulus experience and benefits of colonoscope in detortion process". Rev Esp Enferm Dig. 96 (1): 32–5. doi:10.4321/s1130-01082004000100005. PMID 14971995. مؤرشف من الأصل في 11 يوليو 2011. الوسيط
|CitationClass=تم تجاهله (مساعدة)
- بوابة طب



.jpg.webp)

