معدة
المعدة (بالإنجليزية: Stomach) هي عضو عضلي أجوف، تشكل جزء من الجهاز الهضمي للبشر والعديد من الحيوانات، بما في ذلك العديد من اللافقاريات. تكون المعدة ذات بنية قابلة للتوسع، ولها دور هام في عملية الهضم، إذ تشارك في المرحلة الثانية منها بعد المضغ.
| معدة | |
|---|---|
| الاسم اللاتيني Ventriculus | |
![]() المعدة وأجزاؤها 1.المريء 2.الفؤاد 3.القاع 4.الغشاء المخاطي 5.الطبقة العضلية 6.طيات معدية 7.الجسم 8.الغار 9.البواب 10.العفج | |
![]() موقع المعدة في جسم الإنسان موقع المعدة في جسم الإنسان | |
| تفاصيل | |
| نظام أحيائي | الجهاز الهضمي |
| الشريان المغذي | الشرايين المعدية، الشرايين المعدية الثربية، الشرايين المعدية القصيرة. |
| الوريد المصرف | الأوردة المعدية، الأوردة المعدية الثربية، الأوردة المعدية القصيرة. |
| الأعصاب | الودي:الضفيرة البطنية، النظير ودي:العصب المبهم[1] |
| تصريف اللمف | العقد اللمفاوية البطنية[2] |
| سلف | المعى الأمامي |
| يتكون من | قاع ، وجسم المعدة ، وفؤاد المعدة |
| نوع من | عضو حيواني |
| جزء من | السبيل الهضمي |
| معرفات | |
| غرايز | ص |
| ترمينولوجيا أناتوميكا | 05.5.01.001 |
| FMA | 7148 |
| UBERON ID | 0000945 |
| ن.ف.م.ط. | |
| ن.ف.م.ط. | D013270 |
| دورلاند/إلزيفير | Stomach |
عند البشر والعديد من الحيوانات، تقع المعدة بين المريء والأمعاء الدقيقة. تفرز المعدة الأنزيمات الهضمية والحمض المعدي للمساعدة في هضم الطعام. تتحكم العضلة العاصرة البوابية بمرور الأطعمة المهضومة جزئياً (الكيموس) من المعدة إلى العفج إذ يتولى التمعج تحريكه عبر بقية الأمعاء.
التسمية
اشتقت لفظة المعدة (بالإنجليزية: Stomach) من اللاتينية (باللاتينية: Stomachus) المشتقة بدورها من الكلمة اليونانية (باليونانية: στόμαχος)، والمشتقة في نهاية المطاف من Stoma (باليونانية: στόμα)، التي تعني "الفم".[3]
اشتقت كلتا كلمتي (gastro-) (gastric) اللتان تعنيان (مرتبط بالمعدة "معدي") من الكلمة اليونانية gaster (باليونانية: γαστήρ)، التي تعني "البطن".[4][5][6]
البنية
الموقع التشريحي
في البشر، تأخذ المعدة شكل حرف (J)، وتتوضع داخل الصفاق بين المريء والعفج (الجزء الأول من الأمعاء الدقيقة). تقع المعدة في الجزء العلوي الأيسر من تجويف البطن، حيث تشغل الشرسوف والمنطقة السرية من أرباع البطن. يختلف الموقع، الحجم، والشكل من شخص لآخر، وكذلك يختلف حسب وضعية الجسم والتنفس.[7]
الأعضاء المجاورة
.jpg.webp)
يجاور المعدة:[7]
| العلاقة التشريحية | البنى |
|---|---|
| من الأعلى | المريء والقبة اليسرى للحجاب الحاجز. |
| من الأمام | الحجاب الحاجز، الثرب الكبير، جدار البطن الأمامي، الفص الأيسر من الكبد، والمرارة. |
| من الخلف | البنكرياس، الكلية اليسرى، الكظر الأيسر، الطحال، الشريان الطحالي، مسراق القولون المستعرض. |
يتدلى من الانحناء الكبير للمعدة طية مضاعفة من الصفاق الحشوي تسمى بالثرب الكبير.
تحافظ اثنان من العضلات العاصرة على محتويات المعدة ضمنها، وهي المصرة المريئية السفلية (الموجودة في المنطقة الفؤادية عند منطقة اتصال المريء بالمعدة)، والعضلة العاصرة البوابية عند منطقة اتصال المعدة بالعفج.
تحاط المعدة بالضفائر النظيرة ودية (المنبهة) والودية، التي تنظم كل من النشاط الإفرازي للمعدة والنشاط الحركي لعضلاتها.
حجم المعدة
لدى البشر البالغين، يشكل حجم المعدة المسترخية، الفارغة حوالي 75 ميلي لتر.[8] ولأنها عضو قابل للتوسع، فإنها تتمدد عادة لتحتوي حوالي لتر واحد من الطعام.[9] تكون معدة حديث الولادة قادرة على الاحتفاظ بحوالي 30 ميلي لتر فقط، بينما يتراوح الحد الأقصى لحجم المعدة عند البالغين ما بين 2 و 4 لترات.[10][11]
أقسام المعدة

في علم التشريح العياني، تقسم المعدة البشرية إلى أربعة أجزاء، تبدأ من الفؤاد،[12] لكل منها خلايا ووظائف مختلفة:
- الفؤاد (Cardia): حيث تُفرغ محتويات المريء في المعدة.[13] يقابل الفقرة الصدرية T11.
- القاع (Fundus): (من اللاتينية) يتوضع في الجزء العلوي المنحني، مملوء غالباً بالغاز.
- الجسم (Body): هو المنطقة المركزية الرئيسية للمعدة.
- البواب (Pylorus): (من اليونانية، ومعناها "حارس البوابة") هو الجزء السفلي من المعدة الذي يُفرغ المحتويات في العفج. يقسم إلى غار البواب، القناة البوابية، والعاصرة البوابية. تقابل العاصرة البوابية الفقرة القطنية L1.
يتم تعريف الفؤاد على أنه المنطقة التي تلي الخط Z) Z-line) من الوصل المريئي المعدي، وهي النقطة التي تتغير عندها الظهارة من حرشفية مطبقة إلى عمودية. بالقرب من الفؤاد تتوضع العضلة العاصرة المريئية السفلية.[13] أظهرت الأبحاث الحديثة أن الفؤاد ليس منطقة تشريحية مميزة من المعدة، ولكنها جزء من بطانة المريء التي تضررت بسبب القلس.[14]
انحناءات المعدة
مقالة مفصلة: انحناءات المعدة
تشكل الحافة الأنسية للمعدة والحافة الوحشية لها الانحناء الصغير والانحناء الكبير على الترتيب.
التروية الدموية والتعصيب[7]
التروية الشريانية

الانحناء الكبير والقاع
هناك ثلاثة شرايين تغذي الانحناء الكبير :
- الجزء العلوي من الانحناء: الشرايين المعدية القصيرة (تنشأ من الشريان الطحالي)، وتغذي قاع المعدة أيضاً.
والأوعية المعدية الثربية:
- الجزء الأوسط من الانحناء: فروع معدية من الشريان المعدي الثربي الأيسر.
- الجزء السفلي من الانحناء: فروع معدية من الشريان المعدي الثربي الأيمن.
الانحناء الصغير والفؤاد
هناك شريانين يغذيان الانحناء الصغير:
- الجزء العلوي من الانحناء: الشريان المعدي الأيسر، والذي يغذي أيضاً منطقة الفؤاد.
- الجزء السفلي من الانحناء: الشريان المعدي الأيمن.
العود الوريدي

تسير الأوردة في المعدة بالتوازي مع الشرايين. الأوردة المعدية اليمنى واليسرى تنزح إلى الوريد البابي الكبدي. الوريد المعدي القصير، الأوردة المعدية الثربية اليسرى واليمنى تنزح في النهاية إلى الوريد المساريقي العلوي.
التعصيب
تستمد المعدة تعصيبها من الجهاز العصبي الذاتي:
- ينشأ التعصيب النظير الودي من الجذوع الأمامية والخلفية للمبهم، المشتقة من العصب المبهم.
- ينشأ التعصيب الودي من قطع النخاع الشوكي T6-T9 ويمر إلى الضفيرة البطنية عبر العصب الحشوي الأكبر. كما يحمل بعض الألياف التي تنقل الألم.
النزح اللمفاوي
تنتقل الأوعية اللمفاوية المعدية مع الشرايين على طول الانحناء الكبير والصغير للمعدة. ينزح السائل اللمفاوي إلى العقد اللمفاوية المعدية والمعدية الثربية الموجودة في الانحناءات.
الأوعية اللمفاوية الصادرة عن هذه العقد تتصل بالعقد اللمفاوية البطنية، وتقع على جدار البطن الخلفي.
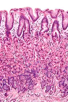
التشريح المجهري

الجدار
يتكون الجدار من الطبقات التالية (من اللمعة إلى الخارج):
- الغشاء المخاطي
- الطبقة تحت المخاطية
- الطبقة العضلية
- الطبقة المصلية
1. الغشاء المخاطي

يتكون الغشاء المخاطي بحد ذاته من ثلاث طبقات:[15]
- الظهارة: هي ظهارة بسيطة أسطوانية، تتم بفضلها عملية الهضم، الإفراز، والامتصاص.
- الصفيحة المخصوصة: هي طبقة من نسيج ضام، مع أوعية دموية، لمفاوية، وأعصاب متفرعة في المخاطية والطبقة العضلية.
- الصفيحة العضلية المخاطية: هي طبقة رقيقة من الألياف العضلية الملساء.
تقوم المعدة بتوليد طبقة جديدة من المخاطية كل أسبوعين، وإلا قد يحدث تلف في الظهارة.
2. الطبقة تحت المخاطية
تتكون من نسيج ضام ليفي، وتحوي ضفيرة مايسنر.
3. الطبقة العضلية
تتكون الطبقة العضلية للمعدة من ثلاث طبقات:
- الطبقة المائلة الداخلية: هذه الطبقة مسؤولة عن توليد حركة تخض وتكسر الطعام. تعد هذه الطبقة مميزة للمعدة إذ أنها لا تظهر في أجزاء أخرى من الجهاز الهضمي. تكون هذه الطبقة أثخن في الغار إذ تقوم بتقلصات أكثر قوة من القاع.
- الطبقة الدائرية الوسطى: في هذه الطبقة، يُحاط البواب بجدار عضلي سميك دائري يشكل العضلة العاصرة البوابية الوظيفية، التي تتحكم في حركة الكيموس إلى العفج. هذه الطبقة متحدة المركز على المحور الطولي للمعدة. تم العثور على ضفيرة أورباخ (الضفيرة العضلية المعوية) بين الطبقة الطولانية الخارجية والطبقة الدائرية الوسطى وهي مسؤولة عن تعصيب كلاهما (مسببةً التمعج والامتزاج).
- الطبقة الطولية الخارجية: هي المسؤولة عن تحريك الطعام نحو بواب المعدة.
4. الطبقة المصلية / الغلالة البرانية[15][16]
الطبقة الخارجية للجدار المعدي تتكون من عدة طبقات من النسيج الضام وهي إما أن تكون طبقة مصلية أو غلالة برانية.
- الطبقة المصلية: تغطى المناطق داخل الصفاق التي تشمل معظم المعدة بالطبقة المصلية، التي تتكون من نسيج ضام مغطى بظهارة حرشفية بسيطة تسمى الظهارة المتوسطة، مما يقلل من قوى الاحتكاك أثناء حركات الجهاز الهضمي. في هذه الأجزاء من القناة الهضمية هناك حدود واضحة بين الأعضاء الهضمية والأنسجة المحيطة بها، كما تملك مساريقا خاصة بها.
- الغلالة البَرَّانِيَّة: تغطى المناطق خلف الصفاق التي تشمل بواب المعدة بالغلالة البرانية. تندمج هذه المناطق مع الأنسجة المحيطة بها وتكون مثبتة في وضعية معينة.
الغدد المعدية
مقالة مفصلة: غدة معدية

في البشر، توجد أنواع مختلفة من الخلايا في الطبقات المختلفة للغدد المعدية. الأنواع الثلاثة من الغدد توجد كلها في الغشاء المخاطي للمعدة تحت الوهدات المعدية. يوجد في الغشاء المخاطي عدد لانهائي من الوهدات المعدية التي تشكل مقر الغدد المعدية.
أنواع الغدد المعدية
- الغدد الفؤادية: توجد الغدد الفؤادية فقط في الفؤاد وتفرز بشكل أساسي المخاط.[17] وعدد خلاياها أقل عدداً من خلايا الغدد المعدية الأخرى كما تتوضع سطحياً في الغشاء المخاطي. هناك نوعان لها إما وهدة أنبوبية بسيطة ذات قنوات قصيرة أو مركبة سنخية شبيهة بغدد برونر في العفج.
- الغدد القاعدية: توجد في قاع وجسم المعدة. وهي أنبوبية مستقيمة بسيطة، اثنان منها أو أكثر تفتح في قناة واحدة. وتفرز حمض كلور الماء (HCl) والعامل الداخلي.[17]
- الغدد البوابية: توجد في غار البواب. تفرز الغاسترين التي تنتجها خلايا G الخاصة بها.[18]
أنواع الخلايا الموجودة في الغدد[19]

- الخلايا الرئيسية (Chief cells): تفرز أنزيم الببسين (الذي يهضم البروتين).
- الخلايا الجدارية (Parietal cells): تفرز حمض كلور الماء (الضروري لتفعيل الأنزيمات الأخرى)، كما تفرز العامل الداخلي (الضروري لامتصاص فيتامين B12). الحمض المعدي يقتل أيضا أي بكتيريا تدخل المعدة مع الغذاء، وإذا زاد عدد البكتيريا الضارة في المعدة نشعر بألم في البطن وربما يحدث تقيء وإسهال.
- الخلايا المخاطية (Mucous cells): تفرز المخاط الذي يحمي الجدار الداخلي للمعدة من التآكل بسبب حمض المعدة والإنزيمات.
- الخلايا الغدية الصماء (Endocrine cells): تفرز (G cell) الغاسترين. يحتوي الغاسترين أيضا على ببسينوجين ؛ وتعمل عصارة المعدة على تنشيط هذا الإنزيم "الخامل" فيتحول على إنزيم ببسين الذي يفكك بروتينات الغذاء.
تشكل مفرزات الغدد المعدية الخارجية الإفراز -المكونة من الخلايا الرئيسية، الجدارية، والمخاطية- العصارة المعدية. بينما يتم طرح مفرزات الخلايا الغدية الصماء مباشرة في مجرى الدم ولا تشكل جزءً من العصارة المعدية.[20]
التعبير المورثي والبروتيني
يتم التعبير عن حوالي 20000 مورثة مرمزة للبروتين في الخلايا البشرية. حوالي 70٪ من هذه المورثات يتم التعبير عنها في المعدة الطبيعية.[21][22] يتم التعبير عن أكثر من 150 من هذه المورثات بشكل أكثر تحديداً في المعدة مقارنة بالأعضاء الأخرى، مع وجود حوالي 20 مورثة فقط نوعية للمعدة بشدة. البروتينات النوعية المعبرة في المعدة تشارك بشكل رئيسي في إنشاء بيئة مناسبة لعملية هضم الطعام لقبط المغذيات. تشمل البروتينات العالية النوعية للمعدة GKN1، والتي يتم التعبير عنها في الغشاء المخاطي. Pepsinogen PGC والليباز LIPF، يُعبر عنها في الخلايا الرئيسية. أتيباز المعدي ATPase ATP4A والعامل الداخلي المعدي GIF، يُعبر عنه في الخلايا الجدارية.[23]
التطور الجنيني
في تطور الجنين البشري المبكر، يتاخم الجزء البطني من الجنين الكيس المحي. خلال الأسبوع الثاني من التطور، مع نمو الجنين، يبدأ تطويق أجزاء من الكيس. تشكل الأجزاء المغلفة أساساً للجهاز الهضمي البالغ.[24] الكيس محاط بشبكة من الشرايين المحية. مع مرور الوقت، تتجمع هذه الشرايين في ثلاث شرايين رئيسية تروي الجهاز الهضمي النامي: الشريان الزلاقي، الشريان المساريقي العلوي، والشريان المساريقي السفلي. يتم استخدام المناطق المرواة بالشرايين السابقة لتحديد المعي الأمامي، المعي المتوسط، والمعي الخلفي.[24] يشكل الكيس المحاط أمعاء بدئية. تبدأ أجزاء من هذا الأمعاء بالتمايز إلى أعضاء السبيل الهضمي، إذ يتشكل المريء والمعدة من المعي الأمامي.[24]
الوظيفة
الهضم

- في الجهاز الهضمي البشري، تدخل اللقمة (كتلة صغيرة مستديرة من الطعام الممضوغ) إلى المعدة عبر المريء بواسطة العضلة العاصرة المريئية السفلية.
- تطلق المعدة البروتياز (إنزيمات هضم البروتين مثل الببسين الذي يحطم البروتينات إلى عديدات بيبتيد) وحمض كلور الماء.
- يتم تحريك الطعام عن طريق المعدة من خلال تقلصات عضلات الجدار التي تسمى بـ التمعج، مما يقلل من حجم اللقمة، قبل الوصول للقاع[25] وجسم المعدة حيث يتم تحويل اللقم إلى كيموس (غذاء مهضوم جزئياً). يمر الكيموس ببطء عبر العضلة العاصرة البوابية إلى العفج ثم الأمعاء الدقيقة، حيث يبدأ استخراج المغذيات.
- تهضم المعدة الطعام إلى كيموس في مدة تتراوح بين أربعين دقيقة إلى عدة ساعات، حسب كمية الوجبة ومحتوياتها.
وظائف حمض كلور الماء
- يقتل الجراثيم أو يثبطها.
- يوفر وسط حامضي (PH=2) لعمل البروتياز.
- يقوم بتنشيط الشكل غير الفعال من الأنزيم (ببسينوجين) إلى الشكل الفعال (البيبسين).
الامتصاص
على الرغم من أن الامتصاص في الجهاز الهضمي البشري وظيفة الأمعاء الدقيقة بشكل أساسي، إلا أن بعض الامتصاص لبعض الجزيئات الصغيرة يحدث في المعدة عبر بطانتها. هذا يشمل:
- الماء، إذا كان الجسم يعاني من التجفاف.
- الأدوية، مثل الأسبرين.
- الأحماض الأمينية.[26]
- 10-20% من الإيثانول المبتلع (على سبيل المثال من المشروبات الكحولية)[27]
- الكافئين.[28]
- الفيتامينات القابلة للذوبان في الماء (يتم امتصاص معظمها في الأمعاء الدقيقة).[29]
الخلايا الجدارية للمعدة هي المسؤولة عن إنتاج العامل الداخلي، الضروري لامتصاص فيتامين B12، الذي يستخدم في الاستقلاب الخلوي وهو ضروري لإنتاج الخلايا الدموية، وعمل الجهاز العصبي.
السيطرة على الإفراز والحركة
يتم التحكم في حركة وتدفق المواد الكيميائية إلى المعدة عن طريق كل من الجهاز العصبي الذاتي والهرمونات الهضمية المختلفة في الجهاز الهضمي:
| الهرمون الهضمي | دوره | الخلايا المفرزة له |
|---|---|---|
| الغاسترين | يؤدي هرمون الغاسترين إلى زيادة إفراز حمض كلور الماء من الخلايا الجدارية، والبيبسينوجين من الخلايا الرئيسية في المعدة، كما أنه يسبب زيادة حركية المعدة. | يتم إطلاق الغاسترين بواسطة الخلايا G في المعدة استجابة لتمدد الغار والمنتجات الهضمية (خاصة الكميات الكبيرة من البروتينات غير المهضومة بشكل كامل). يتم تثبيطه بواسطة درجة حموضة عادة أقل من 4 (حموضة عالية)، وكذلك هرمون السوماتوستاتين. |
| كوليسيستوكينين CCK | له تأثير كبير على المرارة، مما يسبب تقلصات في المرارة، ولكنه يقلل أيضاً من إفراغ المعدة ويزيد من إفراز عصارة البنكرياس، التي تجعل الكيموس قلوياً. | يتم تصنيع كوليسيستوكينين بواسطة الخلايا I في ظهارة الغشاء المخاطي للأمعاء الدقيقة. |
| سيكريتين | يكون تأثيره الأكبر على البنكرياس، ويقلل من إفراز الحمض المعدي. | يتم تصنيع السيكرتين بواسطة خلايا S الموجودة في الغشاء المخاطي للعفج وبأعداد أقل في الغشاء المخاطي للصائم. |
| عديد الببتيد المعدي المثبط GIP | يقلل عديد الببتيد المعدي المثبط من إفراز الحمض المعدي وحركة المعدة. | يتم تصنيع GIP بواسطة الخلايا K الموجودة في الغشاء المخاطي للعفج والصائم. |
| الغلوكاغون المعوي | يقلل كل من إفراز الحمض المعدي وحركة المعدة. |
بخلاف الغاسترين، تعمل كل هذه الهرمونات على إيقاف عمل المعدة. تقوم المعدة بدفع الطعام إلى الأمعاء الدقيقة فقط عندما لا تكون الأمعاء مشغولة. بينما عندما تكون الأمعاء ممتلئة ولا تزال تهضم الطعام، فإن المعدة تعمل كحافظة للطعام.
تأثيرات عامل نمو البشرة
يؤدي عامل نمو البشرة (EGF) إلى تكاثر الخلايا وتمايزها وبقائها.[30] عامل نمو البشرة هو ببتيد منخفض الوزن الجزيئي استخلص لأول مرة من الغدة تحت الفك لفأر، ولكن منذ ذلك الحين وجد في العديد من الأنسجة البشرية بما في ذلك الغدة تحت الفك، والغدة النكفية. يلعب عامل نمو البشرة الموجود في اللعاب -الذي يبدو أيضاً أنه ينظمه اليود غير العضوي الغذائي- دوراً فيزيولوجياً مهماً في الحفاظ على سلامة الأنسجة الفموية المريئية والمعدية. تشمل التأثيرات البيولوجية لعامل نمو البشرة اللعابي التئام القرحة الفموية والمرئية المعدية، تثبيط إفراز حمض المعدة، تحفيز بناء الحمض النووي DNA، وحماية الغشاء المخاطي من العوامل الضارة المؤذية الموجودة داخل اللمعة مثل حمض المعدة، الأحماض الصفراوية، البيبسين، والتربسين، العوامل البكتيرية، الكيميائية، والفيزيولوجية.[31]
المعدة ومستشعر التغذية
يمكن للمعدة البشرية "تذوق" غلوتامات الصوديوم باستخدام مستقبلات الغلوتامات[32] ويتم تمرير هذه المعلومات إلى الوطاء الجانبي والجهاز الحوفي في الدماغ كإشارة استساغة عبر العصب المبهم.[33] يمكن للمعدة أن تشعر أيضاً، بشكل مستقل عن مستقبلات التذوق في اللسان والفم، بالغلوكوز،[34] السكريات،[35] البروتينات،[35] والدهون.[36] هذا يسمح للدماغ بربط القيمة الغذائية للأطعمة بمذاقها.[34]
الأهمية السريرية
الاستقصاءات والأمراض
مقالة مفصلة: أمراض المعدة

- يستخدم تصوير المعدة الظليل للتحري عن اضطرابات متعددة، تشمل في كثير من الأحيان ابتلاع الباريوم.
- يعد التنظير الهضمي طريقة أخرى لفحص المعدة.
- يعتبر فحص تفريغ المعدة بواسطة التصوير الومضاني المعيار الذهبي لتقييم معدل إفراغ المعدة.[37]
- أشارت العديد من الدراسات إلى أن معظم حالات القرحة الهضمية والتهاب المعدة لدى البشر تسببها عدوى بالملتوية البوابية، ولوحظ ارتباطها بتطور سرطان المعدة.[38]
الجراحة
لدى البشر، العديد من جراحات البدانة التي تهدف لإنقاص الوزن تشمل المعدة، تتضمن الجراحات المجراة على المعدة:

- إجراء ربط المعدة وهي عملية جراحية تتضمن وضع شريط معدي حول منطقة الفؤاد، يمكن ضبطه للحد من المدخول الغذائي.
- قد يتم تعديل تشريح المعدة مثل عملية تكميم المعدة.
- قد يتم تجاوز المعدة بالكامل مثل جراحة المجازة المعدية.
- يسمى الاستئصال الجراحي للمعدة بالاستئصال المعدي (بالإنجليزية: Gastrectomy)، واستئصال منطقة الفؤاد تسمى بالاستئصال الفؤادي (بالإنجليزية: Cardiectomy). يستخدم مصطلح "استئصال الفؤاد" أيضاً لوصف استئصال القلب.[39][40][41] قد يتم استئصال المعدة بسبب سرطان المعدة أو فرط تكاثر شديد في جدار المعدة.
- عملية طي قعر المعدة لنيسين هي عملية جراحية في المعدة حيث يتم فيها لف قعر المعدة حول الجزء السفلي للمريء وخياطتها في المكان. تستخدم لعلاج مرض الجزر المعدي المريئي (GERD).[42]
تاريخياً
كانت هناك بيانات متضاربة سابقاً في مجتمع التشريح الأكاديمي[43][44][45] حول ما إذا كان الفؤاد جزءاً من المعدة أو جزءاً من المريء أو كياناً مميزاً.
اتفقت الكتب المدرسية الجراحية والطبية الحديثة على "تعتبر أمراض الفؤاد الآن جزءاً من المعدة".[46][47]
الحيوانات الأخرى
![]() مقارنة المناطق الغدية في المعدة عند عدة أنواع من الثدييات. قد يختلف تواتر الغدد بشكل أكثر سلاسة بين المناطق عن المخطط هنا. تمثل علامة النجمة في الشكل (عند المجتر (بالإنجليزية: ruminant)) "القِبَة أو أمُّ التَّلافِيْف، أي الكرش الثالثة للمجترات"، وهي غائبة في ساديات الأقدام (بالإنجليزية: Tylopoda) (يوجد أيضاً في ساديات الأقدام بعض الغدد الفؤادية التي تفتح على القلنسوة والكرش[48]). كما يوجد العديد من الاختلافات الأخرى بين الثدييات.[49][50] |
|
على الرغم من اختلاف شكل وحجم المعدة بشكل واسع بين الفقاريات المختلفة، إلا أن المواضع النسبية للفتحات المريئية والعفجية تظل ثابتة نسبياً. نتيجة لذلك، ينحني العضو دائماً، إلى حد ما، إلى اليسار قبل تقوسه نحو الخلف ليلتقي بالعضلة العاصرة البوابية.
ومع ذلك، فإن الجلكيات، الأسماك المخاطية، الخرافيات، الأسماك الرئوية، وبعض أسماك العظميات ليس لديها معدة على الإطلاق، إذ يفتح المريء مباشرة على فتحة الشرج. تستهلك هذه الحيوانات جميعها أطعمة تتطلب إما حجم صغير لتخزين الطعام، أو لا تتطلب مرحلة ما قبل هضم بواسطة العصارة المعدة، أو كليهما.[51]
عادة ما يتم تقسيم بطانة المعدة إلى منطقتين، جزء أمامي تصطف عليه الغدد القاعدية، وجزء خلفي مع غدد بوابية. تعتبر الغدد الفؤادية نادرة عند الثدييات، وحتى غائبة في عدد من الأنواع. يختلف توزيع هذه الغدد باختلاف الأنواع، ولا تتوافق دائماً مع نفس المناطق الموجودة في البشر.
علاوة على ذلك، في العديد من الثدييات غير البشرية، تبطن جزء من المعدة الأمامية بظهارة مماثلة لبطانة المريء. تملك المجترات، على وجه الخصوص، معدة معقدة، إذ تبطن الحجرات الثلاثة الأولى بمخاطية مريئية.[51]
في الطيور والتماسيح، تقسم المعدة إلى منطقتين. الأمامية هي منطقة أنبوبية ضيقة، المعدة الغدية، مبطنة بغدد قاعدية، وتربط المعدة الحقيقية بالحوصلة. تحت الطبقات القوية العضلية للقانصة، تصطف غدد بوابية، وفي بعض الأنواع، تحوي على حصى يبتلعها الحيوان للمساعدة في طحن الطعام.[51]
تملك الحشرات أيضاً حوصلة، تسمى معدة الحشرات بالمعي المتوسط.
يمكن الاطلاع على معلومات حول معدة شوكيات الجلد أو الرخويات في المقالات الخاصة بها.
صور إضافية
الثرب الكبير والمعدة (عند البشر).
صورة ترسيمية، تظهر الشريان الزلاقي وفروعه (عند البشر)، تم رفع الكبد، والثرب الصغير وأزيلت الطبقة الأمامية للثرب الكبير.
تشريح للمعدة البشرية، تظهر الطيات المتعددة (غُضون المعدة) في المعدة.
معدة (عند البشر).
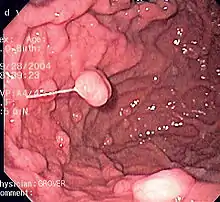
صورة تنظيرية لداء البوليبات الغدي.
انظر أيضًا
المراجع
- فسيولوجيا: 6/6ch2/s6ch2_30 - أساسيات فسيولوجيا الإنسان
- دَرس تَشريحي عَن stomach مُعَد بِواسطة ويسلي نورمان (جامعة جورجتاون).
- Simpson, J. A. (1989). The Oxford English dictionary (الطبعة 2nd). Oxford: Clarendon Press. Stomach. ISBN 9780198611868. الوسيط
|CitationClass=تم تجاهله (مساعدة) - gasth/r. The New Testament Greek Lexicon نسخة محفوظة 16 نوفمبر 2018 على موقع واي باك مشين.
- gaster. dictionary.reference.com نسخة محفوظة 06 أكتوبر 2015 على موقع واي باك مشين.
- Simpson, J. A. (1989). The Oxford English dictionary (الطبعة 2nd). Oxford: Clarendon Press. Gastro, Gastric. ISBN 9780198611868. الوسيط
|CitationClass=تم تجاهله (مساعدة) - "The Stomach". TeachMeAnatomy. 2013-09-24. مؤرشف من الأصل في 06 أكتوبر 2018. اطلع عليه بتاريخ 26 أبريل 2019. الوسيط
|CitationClass=تم تجاهله (مساعدة); تحقق من التاريخ في:|تاريخ أرشيف=(مساعدة) - Key to way stomach expands found. BBC (3 March 2008) نسخة محفوظة 29 يوليو 2017 على موقع واي باك مشين.
- Sherwood, Lauralee (1997). Human physiology: from cells to systems. Belmont, CA: Wadsworth Pub. Co. ISBN 978-0-314-09245-8. OCLC 35270048. مؤرشف من الأصل في 10 يناير 2020. الوسيط
|CitationClass=تم تجاهله (مساعدة) - "Respiratory system compliance decreases after cardiopulmonary resuscitation and stomach inflation: impact of large and small tidal volumes on calculated peak airway pressure". Resuscitation. 38 (2): 113–8. 1998. doi:10.1016/S0300-9572(98)00095-1. PMID 9863573. الوسيط
|CitationClass=تم تجاهله (مساعدة) - Curtis, Helena & N. Sue Barnes (1994). Invitation to Biology (الطبعة 5). Worth. الوسيط
|CitationClass=تم تجاهله (مساعدة) - صور تشريحية:37:06-0103 في مركز داونستيت الطبي التابع لجامعة نيويورك – "Abdominal Cavity: The Stomach"
- Brunicardi, F. Charles; Andersen, Dana K.; et al., المحررون (2010). Schwartz's principles of surgery (الطبعة 9th). New York: McGraw-Hill, Medical Pub. Division. ISBN 978-0071547703. الوسيط
|CitationClass=تم تجاهله (مساعدة) - Lenglinger, J.; et al. (2012). "The cardia: esophageal or gastric? Critical reviewing the anatomy and histopathology of the esophagogastric junction". Acta Chir Iugosl. 59 (3): 15–26. PMID 23654002. الوسيط
|CitationClass=تم تجاهله (مساعدة) - Wheater's functional histology : a text and colour atlas (الطبعة 5th ed). [Edinburgh?]: Churchill Livingstone/Elsevier. 2006. ISBN 044306850X. OCLC 62891495. مؤرشف من الأصل في 15 مارس 2020. الوسيط
|CitationClass=تم تجاهله (مساعدة)صيانة CS1: نص إضافي (link) - Color atlas and text of histology (الطبعة 6th ed). Philadelphia: Wolters Kluwer Health/Lippincott Williams & Wilkins. 2014. ISBN 9781451113433. OCLC 805647217. مؤرشف من الأصل في 14 مارس 2020. الوسيط
|CitationClass=تم تجاهله (مساعدة)صيانة CS1: نص إضافي (link) - Dorland's (2012). Dorland's Illustrated Medical Dictionary (الطبعة 32nd). Elsevier. صفحة 777. ISBN 978-1-4160-6257-8. الوسيط
|CitationClass=تم تجاهله (مساعدة) - Dorland's (2012). Dorland's Illustrated Medical Dictionary (الطبعة 32nd). Elsevier. صفحة 762. ISBN 978-1-4160-6257-8. الوسيط
|CitationClass=تم تجاهله (مساعدة) - "Gastric gland | anatomy". Encyclopedia Britannica (باللغة الإنجليزية). مؤرشف من الأصل في 27 أبريل 2019. اطلع عليه بتاريخ 30 أبريل 2019. الوسيط
|CitationClass=تم تجاهله (مساعدة) - "Stomach | SEER Training". training.seer.cancer.gov. مؤرشف من الأصل في 30 أبريل 2019. اطلع عليه بتاريخ 30 أبريل 2019. الوسيط
|CitationClass=تم تجاهله (مساعدة) - "The human proteome in stomach - The Human Protein Atlas". www.proteinatlas.org. مؤرشف من الأصل في 16 أغسطس 2018. اطلع عليه بتاريخ 25 سبتمبر 2017. الوسيط
|CitationClass=تم تجاهله (مساعدة) - Uhlén, Mathias; Fagerberg, Linn; Hallström, Björn M.; Lindskog, Cecilia; Oksvold, Per; Mardinoglu, Adil; Sivertsson, Åsa; Kampf, Caroline; Sjöstedt, Evelina (2015-01-23). "Tissue-based map of the human proteome". Science (باللغة الإنجليزية). 347 (6220): 1260419. doi:10.1126/science.1260419. ISSN 0036-8075. PMID 25613900. مؤرشف من الأصل في 9 ديسمبر 2019. الوسيط
|CitationClass=تم تجاهله (مساعدة) - Gremel, Gabriela; Wanders, Alkwin; Cedernaes, Jonathan; Fagerberg, Linn; Hallström, Björn; Edlund, Karolina; Sjöstedt, Evelina; Uhlén, Mathias; Pontén, Fredrik (2015-01-01). "The human gastrointestinal tract-specific transcriptome and proteome as defined by RNA sequencing and antibody-based profiling". Journal of Gastroenterology (باللغة الإنجليزية). 50 (1): 46–57. doi:10.1007/s00535-014-0958-7. ISSN 0944-1174. PMID 24789573. الوسيط
|CitationClass=تم تجاهله (مساعدة) - Gary C. Schoenwolf (2009). "Development of the Gastrointestinal Tract". Larsen's human embryology (الطبعة 4th). Philadelphia: Churchill Livingstone/Elsevier. ISBN 978-0-443-06811-9. الوسيط
|CitationClass=تم تجاهله (مساعدة) - Richard M. Gore; Marc S. Levine. (2007). Textbook of Gastrointestinal Radiology. Philadelphia, PA.: Saunders. ISBN 978-1-4160-2332-6. الوسيط
|CitationClass=تم تجاهله (مساعدة) - Krehbiel, C.R.; Matthews, J.C. "Absorption of Amino acids and Peptides" (PDF). In D'Mello, J.P.F. (المحرر). Amino Acids in Animal Nutrition (الطبعة 2nd). صفحات 41–70. الوسيط
|CitationClass=تم تجاهله (مساعدة) - "Alcohol and the Human Body". Intoximeters, Inc. مؤرشف من الأصل في 08 مارس 2018. اطلع عليه بتاريخ 30 يوليو 2012. الوسيط
|CitationClass=تم تجاهله (مساعدة); تحقق من التاريخ في:|تاريخ أرشيف=(مساعدة) - Debry, Gérard (1994). Coffee and Health. Montrouge: John Libbey Eurotext. صفحة 129. ISBN 9782742000371. مؤرشف من الأصل (PDF (eBook)) في 4 فبراير 2017. اطلع عليه بتاريخ 26 أبريل 2015. الوسيط
|CitationClass=تم تجاهله (مساعدة) - McGuire, Michelle; Beerman, Kathy (2012-01-01). Nutritional Sciences: From Fundamentals to Food (الطبعة 3). Cengage Learning. صفحة 419. ISBN 978-1133707387. مؤرشف من الأصل في 4 فبراير 2017. الوسيط
|CitationClass=تم تجاهله (مساعدة) - Herbst RS (2004). "Review of epidermal growth factor receptor biology". International Journal of Radiation Oncology, Biology, Physics. 59 (2 Suppl): 21–6. doi:10.1016/j.ijrobp.2003.11.041. PMID 15142631. الوسيط
|CitationClass=تم تجاهله (مساعدة) - Venturi S.; Venturi M. (2009). "Iodine in evolution of salivary glands and in oral health". Nutrition and Health. 20 (2): 119–134. doi:10.1177/026010600902000204. PMID 19835108. الوسيط
|CitationClass=تم تجاهله (مساعدة) - Uematsu, A; Tsurugizawa, T; Kondoh, T; Torii, K. (2009). "Conditioned flavor preference learning by intragastric administration of L-glutamate in rats". Neurosci. Lett. 451 (3): 190–3. doi:10.1016/j.neulet.2008.12.054. PMID 19146916. الوسيط
|CitationClass=تم تجاهله (مساعدة) - Uematsu, A; Tsurugizawa, T; Uneyama, H; Torii, K. (2010). "Brain-gut communication via vagus nerve modulates conditioned flavor preference". Eur J Neurosci. 31 (6): 1136–43. doi:10.1111/j.1460-9568.2010.07136.x. PMID 20377626. الوسيط
|CitationClass=تم تجاهله (مساعدة) - De Araujo, Ivan E.; Oliveira-Maia, Albino J.; Sotnikova, Tatyana D.; Gainetdinov, Raul R.; Caron, Marc G.; Nicolelis, Miguel A.L.; Simon, Sidney A. (2008). "Food Reward in the Absence of Taste Receptor Signaling". Neuron. 57 (6): 930–41. doi:10.1016/j.neuron.2008.01.032. PMID 18367093. الوسيط
|CitationClass=تم تجاهله (مساعدة) - Perez, C.; Ackroff, K.; Sclafani, A. (1996). "Carbohydrate- and protein conditioned flavor preferences: effects of nutrient preloads". Physiol. Behav. 59 (3): 467–474. doi:10.1016/0031-9384(95)02085-3. PMID 8700948. الوسيط
|CitationClass=تم تجاهله (مساعدة) - Ackroff, K.; Lucas, F.; Sclafani, A. (2005). "Flavor preference conditioning as a function of fat source". Physiol. Behav. 85 (4): 448–460. doi:10.1016/j.physbeh.2005.05.006. PMID 15990126. الوسيط
|CitationClass=تم تجاهله (مساعدة) - Masaoka, Tatsuhiro; Tack, Jan (30 September 2009). "Gastroparesis: Current Concepts and Management". Gut and Liver. 3 (3): 166–173. doi:10.5009/gnl.2009.3.3.166. PMC 2852706. PMID 20431741. الوسيط
|CitationClass=تم تجاهله (مساعدة) - Brown, LM (2000). "Helicobacter pylori: epidemiology and routes of transmission". Epidemiologic Reviews. 22 (2): 283–97. doi:10.1093/oxfordjournals.epirev.a018040. PMID 11218379. الوسيط
|CitationClass=تم تجاهله (مساعدة) - cardiectomy at dictionary.reference.com نسخة محفوظة 04 مارس 2016 على موقع واي باك مشين.
- Barlow, O. W. (1929). "The survival of the circulation in the frog web after cardiectomy". Journal of Pharmacology and Experimental Therapeutics. 35 (1): 17–24. مؤرشف من الأصل في 29 أبريل 2009. اطلع عليه بتاريخ 24 فبراير 2008. الوسيط
|CitationClass=تم تجاهله (مساعدة) - Meltzer, S. J. (1913). "The effect of strychnin in cardiectomized frogs with destroyed lymph hearts; a demonstration". American Journal of Physiology. 10 (2): 23–24. doi:10.3181/00379727-10-16. مؤرشف من الأصل في 21 فبراير 2020. الوسيط
|CitationClass=تم تجاهله (مساعدة) - Minjarez, Renee C.; Jobe, Blair A. (2006). "Surgical therapy for gastroesophageal reflux disease". GI Motility online. doi:10.1038/gimo56. مؤرشف من الأصل في 8 مارس 2018. الوسيط
|CitationClass=تم تجاهله (مساعدة) - Digestive Disease Library. hopkins-gi.nts.jhu.edu [وصلة مكسورة] نسخة محفوظة 02 20سبتمبر على موقع واي باك مشين.
- Department of Physiology and Cell Biology. physio.unr.edu نسخة محفوظة 05 يناير 2007 على موقع واي باك مشين.
- Esophagogastroduodenoscopy. إي ميديسين نسخة محفوظة 01 يوليو 2018 على موقع واي باك مشين.
- Barrett KE (2006) "Chapter 7. Esophageal Motility" نسخة محفوظة 2013-06-02 على موقع واي باك مشين. in Gastrointestinal Physiology. Lange Medical Books/McGraw-Hill. (ردمك 0071104968) [وصلة مكسورة]
- Sugarbaker, David J.; et al. (2009). Adult chest surgery. with Marcia Williams and Ann Adams. New York: McGraw Hill Medical. ISBN 978-0071434140. الوسيط
|CitationClass=تم تجاهله (مساعدة) - William O. Reece (2005). Functional Anatomy and Physiology of Domestic Animals. ISBN 978-0-7817-4333-4. مؤرشف من الأصل في 30 أبريل 2013. الوسيط
|CitationClass=تم تجاهله (مساعدة) - Finegan, Esther J. & Stevens, C. Edward. "Digestive System of Vertebrates". مؤرشف من الأصل في 01 ديسمبر 2008. الوسيط
|CitationClass=تم تجاهله (مساعدة) - Khalil, Muhammad. "The anatomy of the digestive system". onemedicine.tuskegee.edu. مؤرشف من الأصل في 30 نوفمبر 2010. الوسيط
|CitationClass=تم تجاهله (مساعدة) - Romer, Alfred Sherwood; Parsons, Thomas S. (1977). The Vertebrate Body. Philadelphia, PA: Holt-Saunders International. صفحات 345–349. ISBN 978-0-03-910284-5. الوسيط
|CitationClass=تم تجاهله (مساعدة)
روابط خارجية
- Stomach at the Human Protein Atlas
- "Stomach" article from the Encyclopedia of Nursing & Allied Health, from enotes.com
- Digestion of proteins in the stomach or tiyan
- Site with details of how ruminants process food
- بوابة تشريح
- بوابة طب
- بوابة علم وظائف الأعضاء


