تحت المهاد
تحت المهاد[1][2][3][4][5][6] أو الوِطَاء[1][2][3][4][7] أو الهايبوثلاموس[8] (بالإنجليزية: hypothalamus)، يعتبر تحت المهاد حلقة الوصل بين الجهاز العصبي الذاتي والجهاز الإفرازي من خلال الغدة النخامية، يحتل تحت المهاد الجزء الأكبر من الدماغ البيني حيث يقع أسفل المهاد وفوق ساق الدماغ، ويوجد تحت المهاد في أدمغة جميع الثدييات والبشر.
| الوطاء هايبوثلامس تحت المهاد | |
|---|---|
| الاسم اللاتيني Hypothalamus | |
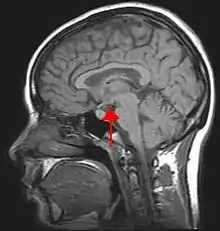
![]() موقع تحت المهاد في الدماغ البشري | |
![]() الدماغ البيني الدماغ البيني | |
| تفاصيل | |
| يتكون من | تصالبة بصرية ، والسبيل البصري ، وحدبة رمادية ، والغدة النخامية الخلفية ، وجسم حلمي |
| جزء من | دماغ بيني |
| معرفات | |
| غرايز | ص |
| ترمينولوجيا أناتوميكا | 14.1.08.401 و A14.1.08.901 |
| FMA | 62008 |
| معلومات عصبية | braininfo |
| UBERON ID | 0001898 |
| نيوروليكس | Hypothalamus |
| ن.ف.م.ط. | A08.186.211.730.385.357 |
| ن.ف.م.ط. | D007031 |

يؤدي تحت المهاد وظائف حيوية للجسم حيث يضبط بعض عمليات الأيض، وبعض الأفعال اللاإرادية، ويقوم أيضا بإنتاج وإفراز الهرمونات المحررة التي تقوم بدورها بضبط عملية إفراز الهرمونات في الفص الأمامي للغدة النخامية ،كما يحتوي على مراكز التحكم بالجوع والعطش ودرجة حرارة الجسم، يرتبط تحت المهاد بالجهاز الحوفي الذي يعتبر المسؤول الرئيسي عن التحكم بالعواطف والأنشطة الجنسية من خلال العصبونات المفرزة للهرمون المحرر لموجهة الغدد التناسلية.
التسميات العربية
تختلف ترجمة المصطلح hypothalamus حسب الدول العربية حيث تستخدم تسمية تحت المهاد في مصر[9] وفلسطين[10] والأردن[11] والكويت[12] والإمارات[13] واليمن[14] وليبيا.[15] وتستخدم تسمية تحت السرير البصري في الجزائر[16] فيما تستخدم تسمية وطاء في سوريا إلى جانب تحت المهاد.[17]

التغذية الدموية
تأتي التروية الدموية للغدة النخامية من الشريان السباتي، والغدة النخامة الخلفية من الشريان النخامي السفلي، يغذي الجزء الأسفل من الوطاء مع السويقة النخامية الشريان النخامي العلوي، والذي يكون في هذه المنطقة سريرا شعريا، وتعود وتتحد في أوعية جديدة تصل إلى النخامية الأمامية، وهنا تتحول مرة أخرى إلى سرير شعري يغذي النخامية الأمامية. هذا الشكل التشريحي يسمى بالجهاز البابي الوطائي -النخامي وعن طريقه يتم تحكم تحت المهاد بواسطة هرموناته المطلقة في النخامة الأمامية.
توجد عصبونات منتشرة في منطقة تحت المهاد ولكنها تختلف عن عصبونات الجهاز العصبي المركزي بانها لا تحمل الإشارات العصبية.
حيث تقوم هذه النهايات العصبية بإفراز هرمونات يطلق عليها اسم العوامل المطلِقة أو هرمونات تحت المهاد المفرزة، وحيث أن نهايات هذه العصبونات تصل إلى البارزة ناصفة وتفرز هناك حيث يحملها الجهاز البابي الوطائي-النخامي إلى أنسجة النخامية الأمامية مؤثرا عليها.
دور الوطاء في تنظيم درجة حرارة الجسم
عندما تكتشف مراكز الوطاء لدرجات الحرارة بأن درجة حرارة الجسم حارة جدا أو باردة جدا، فإنها تنظم عمليات مناسبة لتقلل أو تزيد درجة حرارة الجسم.
فيما يلي بعض المظاهر الخاصة لهذه الفعالية:
آليات إنقاص درجة الحرارة عندما يكون الجسم حارا جدا
يستخدم نظام التحكم في درجات الحرارة بالجسم ثلاث آليات مهمة لتقليل درجة حرارة الجسم عندما تصبح درجة حرارته مرتفعة جدا:
- توسع الأوعية الدموية توسيع وعائي: تتوسع الأوعية الدموية في الجلد كثيرا في كل أجزاء الجسم تقريبا.
وينتج ذلك عن تثبيط المراكز العصبية في الوطاء الخلفي التي تسبب تضيق الأوعية الدموية. ويمكن أن يزيد توسع الأوعية الدموية التام من سرعة نقل الحرارة من لب الجسم الداخلي إلى الجلد بقدار ثمانية أضعاف.
- التعرق: لزيادة درجة الحرارة تأثيرا يسبب زيادة حادة في سرعة فقدان الحرارة بالتبخر الذي يتولد من التعرق، والذي يحدث عندما ترتفع درجة حرارة لب الجسم الداخلي إلى أعلى من مستوى درجة الحرارة الحرجة 37 درجة مئوية (98.6 درجة فهرنهيت). وتسبب زيادة 1 درجة مئوية إضافية في درجة حرارة الجسم تعرقا كافيا لإزالة عشرة أضعاف المعدل الأساسي لتوليد الحرارة في الجسم.
- تقليل توليد الحرارة: تثبط بشدة كل الآليات التي تولد الحرارة بإفراط، مثل القشعريرة وتوليد الحرارة الكيميائي المنشأ.
آليات زيادة درجة الحرارة عندما يكون الجسم باردا جدا
عندما يكون الجسم باردا جدا، يبدأ نظام التحكم بدرجة الحرارة إجراءات معاكسة تماما، وهي كما يلي:
- تضيق الأوعية الدموية في كل أنحاء الجسم: ويتولد تضيق الأوعية الدموية بتنبيه المراكز المسؤولة عن ذلك في الوطاء الخلفي.
- انتصاب الشعر: انتصاب الشعرة يعني وقوفها على نهايتها، ويؤدي التنبيه العصبي اللاإردي إلى انقباض العضلات الناصبة للشعر التي ترتكز على جريبات الشعر فتنصبها.
وهذا ليس مهما في الإنسان بصفة عامة، ولكن انتصاب الشعر في الحيوانات الدنيا يجعلها تحصر طبقة كثيفة من الهواء العازل بجوار الجلد مما يثبط نقل الحرارة إلى المحيط الخارجي لدرجة كبيرة.
- زيادة توليد الحرارة: يزداد توليد الحرارة بالأنظمة الاستقلابية بتحفيز كل من: القشعريرة، أو استثارة الجهاز العصبي اللاإرادي لتوليد الحرارة أو إفراز هرمون الثيروكسين من الغدة الدرقية. تقتضي هذه الطرق في زيادة درجة الحرارة توضيحا إضافيا، كما يلي:
- التنبيه الوطائي للقشعريرة
توجد في الجزء الظهري الأنسي من الوطاء الخلفي بالقرب من جدار البطين الثالث في الدماغ باحة تسمى المركز الحركي الأولي للقشعريرة. ويتم تثبيط هذه الباحة عادة بإشارات من مركز الحرارة في الباحة الوطائية الأمامية (أمام البصرية) ولكنها تستثار بإشارات البرد من الجلد والنخاع. ولهذا يتم تنشيط هذا المركز بالزيادة المفاجئة في توليد الحرارة عندما تهبط درجة حرارة الجسم إلى ما دون مستوى درجة الحرارة الحرجة. و تنقل منه عندئذ إشارات تسبب القشعريرة خلال سبل بالجانبين تنزل في جذع الدماغ إلى العمودين الجانبين للنخاع، وأخيرا إلى العصبونات الحركية الأمامية. وهذه الإشارات هي إشارات لانظمية لا تولد اهتزازا حقيقيا في العضلات، بل تزيد توتر العضلات الهيكلية في سائر أنحاء الجسم. وعندما يرتفع التوتر إلى أعلى من مستوى حرج معين، تبدأ القشعريرة. ومن الممكن أن يرتفع توليد الحرارة أثناء القشعريرة القصوية إلى ما يصل إلى أربعة أو خمسة أضعاف الحد السوي.
- الاستثارة الكيميائية لتوليد الحرارة
يمكن لكل من الأدرينالين والنورإبينفرين الدورانيين في الدم أن يولد زيادة فورية في سرعة الاستقلاب الخلوي؛ ويسمى هذا التأثير توليد الحرارة الكيميائي chemical thermogenesis، وهو ينتج على الأقل جزئيا من مقدرة الأدرينالين والنورإبينفرين على فك ارتباط الفسفرة المؤكسدة التي تعني أن مواد غذائية إضافية تؤكسد وتحرر بذلك طاقة على شكل حرارة ولكنها لا تسبب توليد أدينوزين ثلاثي الفوسفات. وتتناسب درجة التوليد الحراري الكيميائي الذي يتم في حيوان تناسبا طرديا تقريبا مع كمية الدهن البني brown fat الذي يوجد في أنسجة الحيوان. وهذا نوع من الدهن يحوي أعدادا كبيرة من متقدرات خاصة حيث تتم فيها الأكسدة المزيلة للارتباط الكيميائي الخلوي. وتتلقى هذه الخلايا عادة تغذية عصبية لاإرادية قوية جدا.
وتؤثر عملية التكيف لدرجة كبيرة على شدة توليد الحرارة الكيميائي. فقد أظهرت بعض الحيوانات كالفئران التي تعرضت لأسابيع عديدة إلى محيط بارد جدا ما مقداره 100 - 500 % زيادة في توليد الحرارة عندما تعرضت للبرد رأسا، بعكس الحيوانات غير المتأقلمة التي استجابت عند تعريضها للبرد بزيادة حوالي ثلث هذه الكمية.
وفي الإنسان البالغ الذي لا يملك دهنا بنيا تقريبا، فمن النادر أن يزيد توليد الحرارة الكيميائي من سرعة الحرارة لأكثر من 10 - 15%. ولكن في الرضع الذين يملكون كمية صغيرة من الدهن البني في الحيز بين الكتفين، يمكن أن يزيد التوليد الحراري الكيميائي من سرعة توليد الحرارة بما يبلغ 100%. ويحتمل أن يكون ذلك عاملا مهما في المحافظة على درجة حرارة الجسم السوية في الأطفال.
- زيادة إنتاج هرمون الثيروكسين من الغدة الدرقية كسبب طويل الأمد لزيادة توليد الحرارة
يزيد تبريد الباحة الوطائية الأمامية للوطاء من توليد هرمون إفرازي عصبي - أي الهرمون المحرر للثيروتروبين (هرمون مطلق لموجهة الدرقية)- من الوطاء. ويحمل هذا الهرمون بطريق الأوردة الوطائية البابية إلى الغدة النخامية أمامية حيث ينبه بدوره إفراز الهرمون منبه الدرقية. وينبه هذا بدوره زيادة في إنتاج هرمون الثيروكسين من الغدة الدرقية. وتؤدي زيادة هرمون الثيروكسين إلى زيادة في سرعة استقلاب الخلايا في كل أنحاء الجسم. وهذه هي آلية أخرى للتوليد الحراري الكيميائي. ولكن هذه الزيادة في الاستقلاب لا تحدث مباشرة ولكنها تحتاج إلى عدة أسابيع لكي تتضخم الغدة الدرقية قبل أن تصل إلى مستواها الجديد في إفراز هرمون الثيروكسين. ومن الممكن أن يسبب تعرض الحيوان للبرودة لعدة أسابيع إلى زيادة في حجم غدته الدرقية بما يصل إلى 20 - 40%. ولكن الإنسان نادرا ما يعرض نفسه لنفس درجة البرودة التي تتعرض لها الحيوانات، ولذلك حتى الآن ما زالت غير معروفة كميا درجة أهمية طريقة الغدة الدرقية في التلاؤم للبرد في الإنسان. ومع ذلك فقد أظهرت قياسات متفرقة بأن الأشخاص العسكريين الذين يبقون لعدة أشهر في المنطقة القطبية يولدون زيادة في معدلات الاستقلاب. كما أن الأسكيمو لديهم معدلات استقلاب أساسية عالية غير اعتيادية. وكذلك يحتمل أن يوضح التأثير التنبيهي المستمر للبرد على الغدة الدرقية المعدل العالي جدا للإصابات بتضخم الغدة الدرقية السام لدى الأشخاص الذين يعيشون في مناخ بارد أكثر من أولئك الذين يعيشون في مناخ حار.
دور الوطاء في تنظيم درجة حرارة الجسم
تنظم درجة حرارة الجسم بصورة تامة تقريبا بآليات التلقيم الارتجاعي العصبي، وتعمل هذه كلها تقريبا خلال مراكز تنظيم درجة الحرارة الواقعة في الوطاء (تحت المهاد) تحت المهاد. ولكن لكي تعمل آليات التلقيم الراجع هذه، يتحتم وجود مكشافات لدرجة الحرارة لتعين متى ما تصبح هذه الدرجة عالية جدا أو قليلة جدا.
الكشف عن درجة الحرارة بمنظم الحرارة في الوطاء
لقد أجريت بعض التجارب التي سخنت أو بردت فيها بعض الباحات الصغيرة في الدماغ باستعمال ما يسمى المسرى الحراري thermode. وتسخن هذه الأداة الإبرية الشكل بوسيلة كهربائية، أو بإمرار ماء ساخن خلالها، أو تبرد بإمرار ماء بارد فيها. وتتكون البارحة الرئيسية في الدماغ - التي تؤثر فيها على التحكم بدرجة حرارة الجسم - من النوى أمام البصرية والوطائية الأمامية في الوطاء. وباستعمال المسرى الحراري وجد أن باحة الوطائية الأمامية تحتوي على أعداد كبيرة من العصبونات الحساسة للحرارة وحوالي ثلث عددها من العصبونات الحساسة للبرودة. ويعتقد أن هذه العصبونات تعمل كمحسات مستشعر للتحكم بدرجة حرارة الجسم. وتزداد سرعة إطلاق العصبونات الحساسة للحرارة لحوالي الضعفين إلى عشرة أضعاف عند ارتفاع درجة حرارة الجسم 10 درجات مئوية. وعلى العكس من ذلك فإن العصبونات الحساسة للبرودة تزيد من سرعة إطلاقها عندما تهبط درجة حرارة الجسم. وعند تسخين الباحة أمام البصرية يبدأ الجلد بالتعرق عرقا شديدا بينما تتمدد الأوعية الدموية في كل أنحاء الجسم بنفس الوقت لدرجة كبيرة. وبهذا فإن هذه هي الاستجابة الفورية التي تؤدي إلى فقدان الحرارة من الجسم، فتساعد بذلك على عودة درجة حرارة الجسم نحو المستوى السوي، وبالإضافة لذلك يثبط توليد الحرارة الفائضة في الجسم. ولهذا يتضح بأن للباحة أمام البصرية في الوطاء المقدرة على القيام بمركز التحكم كمنظم لدرجة حرارة الجسم.
الكشف عن درجة الحرارة بمستقبلات في الجلد وفي أنسجة الجسم العميقة
بالرغم من أن الإشارات التي تتولد بواسطة مستقبلات درجة الحرارة في الوطاء شديدة التحكم جدا بدرجة حرارة الجسم، فإن هناك مستقبلات في أقسام أخرى من الجسم تقوم بأدوار مهمة في تنظيم درجة الحرارة. ويصح ذلك بصورة خاصة في مستقبلات درجة الحرارة الموجودة في الجلد وفي بعض الأنسجة العميقة الخاصة في الجسم. فالجلد مجهز بمستقبلات حسية للبرودة وأخرى للدفء. ولكن هناك مستقبلات برودة أكثر بكثير من مستقبلات الدفء، وفي الحقيقة بعشرة أضعافها في الكثير من أقسام الجسم؛ ولهذا فإن الكشف المحيطي لدرجة الحرارة يعنى بصورة رئيسية بالكشف عن البرودة والبرد بدلا من درجات حرارة الدفء، وعندما يبرد الجلد في كل أنحاء الجسم تستثار رأسا تأثيرات منعكسية تزيد من درجة حرارة الجسم بعدة طرق:
- بتوفير منبه قوي لتوليد القشعريرة التي تسبب زيادة في سرعة توليد الحرارة بالجسم.
- بتثبيط عملية التعرق إذا ما حصل أي تعرق.
- بتحفيز تضيق الأوعية الدموية في الجلد لتقليل انتقال حرارة الجسم إلى الجلد.
كما توجد مستقبلات حرارية عميقة أيضا في بعض أقسام الجسم - وخاصة النخاع - وفي الأحشاء البطنية، وفي الأوردة الكبيرة أو حولها. ولكن هذه المستقبلات العميقة تعمل بطريقة مختلفة عن تلك التي في الجلد لأنها معرضة لدرجة حرارة لب الجسم الداخلي بدلا من درجة حرارة سطحه الخارجي. ومع ذلك فهي مثل مستقبلات درجة حرارة الجلد تكشف بدرجة رئيسية عن البرودة بدلا من الحرارة. ويحتمل بأن كلا من مستقبلات الحرارة في الجسم تعنى بمنع التبريد سواء كانت تلك المستقبلات جلدية أو مستقبلات عميقة أي تمنع هبوط درجة حرارة الجسم.
دور الوطاء الخلفي في استقبال الإشارات الحسية لدرجات الحرارة المركزية والمحيطية
بالرغم من أن العديد من الإشارات الحسية لدرجات الحرارة ينشأ في المستقبلات المحيطية، فإن هذه الإشارات تساهم في التحكم بدرجة حرارة الجسم وبصورة رئيسية خلال الوطاء. ولكن باحة الوطاء التي تنبهها هذه الإشارات هي باحة تقع بالجهتين في خلف الوطاء وفي مستوى الأجسام الثديية تقريبا. كما تنقل الإشارات الحسية لدرجة الحرارة من الباحة الوطائية الأمامية إلى هذه الباحة الوطائية الخلفية، وهنا تتحد الإشارات من الباحة أمام البصرية مع الإشارات من محيط الجسم للتحكم في استجابات توليد الحرارة مع استجابات الاحتفاظ بحرارة الجسم.
أقسام الجهاز العصبي المركزي

| جهاز عصبي مركزي |
دماغ | دماغ أمامي | الدماغ الانتهائي (المخ) |
دماغ شمي، أميغدالا = لوزة عصبية، حصين، قشرة جديدة، بطينات جانبية |
|
| دماغ بيني |
فوق المهاد، مهاد، الوطاء أو تحت المهاد، مهاد تحتاني ، غدة نخامية، غدة صنوبرية، البطين الثالث |
||||
| دماغ متوسط |
سقف (تشرح عصبي)، سويقة مخية، برتيكتوم Pretectum، المسال الدماغي |
||||
| دماغ خلفي | دماغ تالي | المخيخ، الجسر | |||
| دماغ بصلي | النخاع المستطيل | ||||
| نخاع شوكي | |||||
معرض صور
انظر أيضًا
مراجع
- القاموس الطبي. نسخة محفوظة 31 ديسمبر 2017 على موقع واي باك مشين.
- قاموس مرعشي الطبي الكبير. Grand Medical Dictionary (En/Fr/Ar)/hypothalamus نسخة محفوظة 10 2يناير8 على موقع واي باك مشين.
- قاموس العلوم الموضح الجديد. نسخة محفوظة 31 ديسمبر 2017 على موقع واي باك مشين.
- مجلة العلوم. نسخة محفوظة 12 مارس 2017 على موقع واي باك مشين.
- الموسوعة العربية. نسخة محفوظة 05 2يناير7 على موقع واي باك مشين. [وصلة مكسورة]
- علم الأحياء بواسطة بيتر هـ. ريفن،جورج ب. جونسون،جوناثان ب. لوسوس،كينيث أ. ماسون،سوزان ر. سنجر، صفحة 931، العبيكان للنشر. نسخة محفوظة 8 يناير 2020 على موقع واي باك مشين.
- المعجم الطبي الموحد.
- قاموس المورد، البعلبكي، بيروت، لبنان.
- كتاب الأحياء، للصف الثالث الثانوي، طبعة عام 2015-2016، صفحة 32، جمهورية مصر العربية. نسخة محفوظة 13 أغسطس 2020 على موقع واي باك مشين.
- كتاب العلوم الحياتية للصف الأول ثانوي، الفرع العلمي، صفحة 90، دولة فلسطين. نسخة محفوظة 18 ديسمبر 2017 على موقع واي باك مشين.
- كتاب العلوم الحياتية، المستوى الثالث، الفرع العلمي، صفحة 108، الطبعة الأولى لعام 2010، المملكة الأردنية الهاشمية.
- كتاب الأحياء للصف الثاني عشر، الجزء الأول، الطبعة الأولى 2014-2015، صفحة 41، دولة الكويت نسخة محفوظة 26 نوفمبر 2016 على موقع واي باك مشين.
- كتاب المعلم لمادة الأحياء، الصف الثاني عشر، الفرع العلمي، الجزء الأول، صفحة 94، دولة الإمارات العربية المتحدة. نسخة محفوظة 12 يوليو 2017 على موقع واي باك مشين.
- كتاب الأحياء للصف الثالث الثانوي، صفحة 51، الجمهورية اليمنية، طبعة عام 2014. نسخة محفوظة 05 مايو 2017 على موقع واي باك مشين. [وصلة مكسورة]
- كتاب الأحياء، السنة الثانية لمرحلة التعليم الثانوي، القسم العلمي، الطبعة السادسة لعام 2014، صفحة 125، الجماهيرية الليبية. نسخة محفوظة 12 مارس 2017 على موقع واي باك مشين.
- كتاب علوم الطبيعة والحياة، السنة الأولى من التعليم الثانوي، صفحة 212، جمهورية الجزائر نسخة محفوظة 09 يوليو 2017 على موقع واي باك مشين.
- كتاب الأحياء للصف الثالث الثانوي، الفرع العلمي، صفحة 20، الجمهورية العربية السورية. [وصلة مكسورة] نسخة محفوظة 05 يوليو 2017 على موقع واي باك مشين.
- بوابة تشريح
- بوابة صحة المرأة
- بوابة طب
- بوابة علم وظائف الأعضاء
- بوابة علوم عصبية




