تحول نسيجي
التحول النسيجي[1][2][3] أو الحؤول[3] (Metaplasia) هو استبدال خلايا متمايزة من نوع معين بخلايا متمايزة من نوع آخر. الحؤول مختلف عن خلل التنسج كما أنه مختلف عن السرطان.
| Metaplasia | |
|---|---|
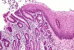
![]() صورة مجهرية للوصلة المعدية-المريئية ويظهر التحول النسيجي العنيبي البنكرياسي. تظهر الطبقة المخاطية المريئية (المكونة من نسيج طلائي حرشفي طبقي) على يمين الصورة. فيما تظهر الطبقة المخاطية للمعدة (والمكونة من نسيج طلائي عمادي بسيط) على يسار الصورة. النسيج الطلائي المتحول نسيجيا يظهر عند الوصلة المعدية المريئية (في منتصف الصورة) ويمتلك سيتوبلازم حمضي بشكل شديد (وردي ساطع). صبغة H&E. صورة مجهرية للوصلة المعدية-المريئية ويظهر التحول النسيجي العنيبي البنكرياسي. تظهر الطبقة المخاطية المريئية (المكونة من نسيج طلائي حرشفي طبقي) على يمين الصورة. فيما تظهر الطبقة المخاطية للمعدة (والمكونة من نسيج طلائي عمادي بسيط) على يسار الصورة. النسيج الطلائي المتحول نسيجيا يظهر عند الوصلة المعدية المريئية (في منتصف الصورة) ويمتلك سيتوبلازم حمضي بشكل شديد (وردي ساطع). صبغة H&E. | |
| التاريخ | |
| وصفها المصدر | الموسوعة السوفيتية الأرمينية |
يؤدي الحؤول إلى تغيير مآل الخلايا في مطلع حياتها ولا يغير الخلايا المتمايزة.
الحؤول عكوس وينجم عادة كاستجابة لالتهاب وتخريش مزمن، ويتيح استبدال الخلايا بأخرى أقدر على العيش في ظروف لا تحتملها الخلية الأصلية. والحؤول ليس ضارا في حد ذاته ولكنه يمكن أن يؤثر على بطانة أعضاء مختلفة كالقصبات (الطرق الهوائية) والمثانة. فالحؤول في عنق الرحم يحدث تآكلا يمكن الكشف عنه باختبار لطاخة عنق الرحم.
الأهمية الطبية للحؤول، هو أن الخلايا قد تتطور من حؤول إلى خلل تنسج ومن ثم إلى سرطان. ويحدث ذلك في مواقع عديدة من الجسم كالمثانة وعنق الرحم وأسفل المريء. وعندما يكتشف الحؤول في هذه المواقع، نسعى سعيا جادا لإزالة العوامل المسببة، وبذلك نقلل من خطر ترقي الحؤول إلى آفة خبيثة. ينبغي متابعة الناحية المصابة بالحؤول متابعة دقيقة لضمان كشف بدايات أي خلل تنسج الذي إن تطورت في العضو تطورا ملحوظا يستطب حينها إزالة المنطقة المصابة لمنع تطورها إلى سرطان.
المراجع
- بنك باسم الآلي للمصطلحات، مجال التقنية الحيوية.<ref>Abrams, Gerald. "Neoplasia I". مؤرشف من الأصل في 31 أكتوبر 2015. اطلع عليه بتاريخ 23 يناير 2012. الوسيط
|CitationClass=تم تجاهله (مساعدة) - [httphttp://basm.kacst.edu.sa/ViewTerm.aspx?termid=480277 بنك باسم الآلي للمصطلحات، مجال علوم الحياة]. نسخة محفوظة 26 سبتمبر 2017 على موقع واي باك مشين.
- بنك باسم الآلي للمصطلحات، مجال علم الأمراض. نسخة محفوظة 26 سبتمبر 2017 على موقع واي باك مشين.
- بوابة طب
