تصلب حدبي
التصلب الحدبي (باللاتينية: sclerosis tuberosa) هو مرض وراثي نادر الحدوث، وقد يصيب عدة أجهزة في جسم الإنسان كما يسبب نمو أنواع مختلفة من الأورام الحميدة في الدماغ والقلب والكلية وغيرها.[3][4][5] يحدث المرض بسبب طفرة في إحدى المورثتين: TSC1 أو TSC2 وهما مورثتان كابتتان للورم ترمزان للبروتينين هامارتين وتوبرين على التوالي. قد يتظاهر المرض بنوبات الاختلاج أو التأخر العقلي أو مشاكل سلوكية أو تغيرات جلدية (مثل بقع ورق قيقب مانيتوبا (بالإنجليزية: ash leaf spots) ناقصة الصباغ) أو غيرها. ويشار الاسم المؤلف من الكلمة اللاتينية tuber ( تورم) و الكلمة اليونانية skleros (صلب) إلى النتيجة المرضية لسُمك التلافيف وثباتها وضعفها -تسمى"الدرنات"- في أدمغة المرضى المشرحين، وقد ذكر ديزايغ ماقلويغي بيرنفيل هذه الدرنات في عام 1880م، فما زالت المظاهر القشرية في بعض الأحيان معروفة بانتسابها إلى مرض بيرنفييل.
| التصلب الحدبي | |
|---|---|
![]() تصلب حدبي | |
| معلومات عامة | |
| الاختصاص | علم الوراثة الطبية ، وطب الجهاز العصبي [1] |
| من أنواع | مرض وراثي سائد ، ومتلازمة عداسية ، ومتلازمة |
| الإدارة | |
| حالات مشابهة | سل |
| الوبائيات | |
| انتشار المرض | 0.000010511 [2] |
| التاريخ | |
| سُمي باسم | ديزري-ماغلوار بورنفيل |
العلامات والأعراض
يرجع سبب الظهور الجسماني للتصلب الحدبي إلى وجود عيب في التشكيل ( الأنسجة التالفة كالدرنات القشرية) أو أورام عابية ( أورام حميدة كاليفوم الوعائي والعقيدات تحت البطانة العصبية) أو بسبب أورام أرومية سرطانية وهي نادرة، ويؤدي تأثيرها على الدماغ إلى أعراض عصبية كنوبات فقدان الوعي والإعاقة العقلية وتأخرٌ في النمو ومشاكل سلوكية، وتتضمن الأعراض أيضاً المعاناة في المدرسة ومشاكلٌ في التركيز.
النظام العصبي المركزي
لدى حوالي 50% من المرضى المصابين بالتصلب الحدبي المعقد صعوبات في التعلم تتراوح من معتدلة إلى خطيرة، وذكرت الدراسات أن من بين 25% و 61% من المصابين يجمعون معايير التشخيص لمرض التوحد مع نسبٍ عالية تُظهر صفات مرض اضطراب النمو المتفشي بشكل أوسع، وقد ذكرت دراسة عام 2008 أن 10% من مرضى التصلب الحدبي المعقد لديهم سلوك مؤذٍ لأنفسهم، فيمكن أن تحدث سلوكيات آخرى كاضطراب فرط الحركة وتشتت الانتباه والعدوان والاندفاعات السلوكية والوسواس القهري، ويرتبط انخفاض معدل الذكاء أكثر مع الدماغ الذي صور بالرنين المغناطيسي.

فهناك ثلاثة أنواع من أورام الدماغ يمكن أن تكون مرتبطة بالتصلب الحدبي المعقد:
- الخلية النجمية العملاقة: (نمو وإحصار مجرى السائل النخاعي (CSF) الذي يؤدي إلى توسع البطينات مما يسبب الصداع والتقيؤ).
- الدرنات القشرية: ظهر بعد ما سُمي المرض بالتصلب الحدبي.
- العقيدات تحت البطانة العصبية: تتشكل في جدار البطينين.
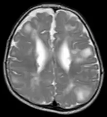
تشمل مظاهر التصلب الحدبي داخل القحف العقيدات تحت البطانة العصبية و الدرنات القشرية أو تحت القشرية. وعادةً تكون الدرنات ثلاثية التكوين مع رأس حاد بإتجاه البطينين والتي يُعتقد أنها تمثل بؤرة لانتقال الخلايا العصبية الطبيعية، وقد تخمل الإشارة T2 غير الطبيعية في مرحلة البلوغ ولكنها ستكون واضحة في تحاليل الأنسجة، من الممكن أن يتعرض مرضى التصلب الحدبي خلال التصوير بالرنين المغناطيسي لعلامات أخرى تتطابق مع انتقال الخلايا العصبية الطبيعية كمساحات المادة البيضاء الشعاعية عالية القوة على T2WIوالمادة الرمادية المغايرة. تتكون العقد تحت البطانة العصبية من خلايا غير طبيعية وخلايا الورم الدبقي و خلايا شاذة متعددة النواة التي لاتحدد أصل الدبقية أو العصبوني، ولاتوجد هناك أنسجة عصبية متوسطة، فهذه العقد تميل للتكلس بحسب عمر المريض، وتعتبر العقدة التي تنمو وتكبر بشكل ملحوظ مع مرور الوقت مشبوهه لتتحول إلى أورام نجمية ضخمة تحت البطانة العصبية (SGEA)، وعادةً تتطور الأورام النجمية الضخمة تحت البطانة العصبية في منطقة ثقب مورنو وفي هذه الحالة فهو خطر لتطور موهة الرأس الأنسدادي، فالدرجة المتغيرة التي تدل على توسع البطين إما تكون بسبب الأنسدادي ( على سبيل المثال بسبب عقدة البطانة تحت العصبية في منطقة ثقب مورنو) أو أسباب مجهولة في الطبيعة.
الكليتان
يُظهر التصوير المقطعي أورام متعددة عابية كلوية في المريض المصاب بأورام عضلية في الأوعية اللمفاوية ودموية في الرئة، فيشك في كونها تصلباً حدباً، فمن بين 60 إلى 80 % من المرضى المصابين بالتصلب الحدبي المعقد لديهم أورام حميدة في الكليتان ( أُعتقد في يومٍ ما أنها أورام عابية ولكن الآن تعتبر أوراماً حقيقية) تسمى أورام عابية كلوية (AML) وتسبب باستمرار البيلة الدموية، وتتألف الأورام من أنسجة الأوعية الدموية (angio–) وأنسجة العضلة الملساء (–myo–) والأنسجة الدهنية (–ilp-)، فإن الورم العابي الكلوي أكبر بأربع سنتيمترات في خطر احتماليتة للنزيف الكارثي سواء بشكل لا إرادي أو مع الرض البسيط بالرغم من أنه ورمٌ حميد، فقد وُجدت الأورام العابية الكلوية في حوالي 300 شخص من دون التصلب الحدبي المعقد، ولكن هي دائما منفردة في حين هي عادة متعددة وثنائية في التصلب الحدبي المعقد، وحوالي 20-30% من الأشخاص المصابين بالتصلب الحدبي المعقد سيصابون بالأكياس الكلوية التي تسبب بعض المشاكل، ولكن 2% أيضا مصابون بمرض التكيس الكلوي الوراثي، تشمل مشاكل جداً نادرة (<1%) كسرطان الخلية الكلوية وأورام المنتبجات (ورم عابي غدي حميد).
الرئتان
يمكن أن يتطور الأستبدال التدريجي لسُمك الرئة المعقد بأكياس متعددة في مريض التصلب الحدبي، وهذه العملية مشابهة لمرض أخر يدعى بورم عضلي في الأوعية اللمفاوية والدموية (AML)، فقد أظهرت التحاليل الجينية الأخيرة أن العضلة الملساء في القصبية التكاثرية في التصلب الحدبي المتعلقة بالأورام العضلية في الأوعية اللمفاوية والدموية هي أورام خبيثة وحيدة النسيلة تتعايش مع الورم العابي الكلوي، فمازالت هناك حالات للتصلب الحدبي المعقد مرتبطة مع الأورام العضلية في الأوعية اللمفاوية والدموية المتناوبة يتبعها زرع للرئة.
القلب
الأورام العضلية المخططة هي أورام حميدة توجد للعضلة المخططة، يمكن أن يُكتشف الورم العضلي المخطط القلبي في 50% تقريباً من الأشخاص المصابين بالتصلب الحدبي المعقد باستخدام تخطيط صدى القلب، ولكن قد يكون في الأطفال حديثي الولادة مرتفعاً بنسبة 90% وفي البالغيين منخفض بنسبة 20%، فقد تنمو هذه الأورام خلال النصف الثاني من الحمل و تتدهور الحالة بعد الولادة، فالعديد منها سيختفي تماماً بالتناوب وسيبقى حجم الورم ثابت كحجم القلب والذي لديه نفس الأثر. فالمشاكل التي تؤدي إلى الأورام العضلية المخططة تتضمن الانسداد واضطراب نبضات القلب والنفخة، وتحدث هذه المشاكل بالتحديد خلال الحمل أو في سنة الطفل الأولى. يمكن للموجات الفوق صوتية قبل الولادة أن تكشف الورم العضلي المخطط بعد 20 أسبوعاً باستخدام تخطيط الصدى التوليدي المخصص لأمراض القلب، فهذا الورم النادر هو مؤشر قوي للتصلب الحدبي المعقد في الأطفال، خاصةً إذا كان هناك تاريخ عائلي لمرض التصلب الحدبي المعقد،
الجلد
ستظهر بعض أشكال أمراض الجلد في 96% من الأشخاص المصابين بمرض التصلب الحدبي المعقد، لاتوجد مشاكل لأغلب الحالات ولكن قد تساعد في التشخيص، قد تتسبب بعض الحالات بالتشوهات مما يسلتزم العلاج، وتتضمن معظم تشوهات الجلد على:
- ورم ليفي وعائي في الوجه ("ورم غدي زهمي"): هو طفح جلدي كبقع أو نتوء حمراء تظهر على الأنف أوالخدين على شكل فراشة، وهي تحتوي على الأوعية الدموية والأنسجة الليفية، ومن المحتمل أن يبدأ الطفح الجلدي المحرج اجتماعياً بالظهور خلال مرحلة الطفولة و يمكن أن يزول باستخدام عملية تسحيج الجلد أو العلاج بالليزر.
- أورام ليفية محيطة بالظفر: والمعروفة ايضاً بأورام كونن، فهي أورام لحمية صغيرة تنمو حول أظافر أصابع القدم وتحتها أوأظافر الأصابع، وقد تحتاج إلى عملية جراحية لإزالتها إذا كانت تكبر أو تسبب نزيف، وهذه الحالة جداً نادرة في مرحلة الطفولة ولكن شائعة في منتصف العمر، وفهي أكثر شيوعاً على أصابع القدم من الأصابع الأخرى وتتطور عند 15-29 سنة و تشيع لدى النساء أكثر من الرجال، ويمكن أن تكون ناجمة عن إصابات الظفر.
- البقع الصبغية ("بقع ورق الدرداء"): فهي بقع بيضاء أو فاتحة على الجلد تظهر في أي مكان في الجسم نتيجة عدم وجود صبغة الميلامين، وهذه عادة تكون علامة واضحة بالأصابة بمرض التصلب الحدبي المعقد عند الولادة، فقد يتطلب من الأشخاص ذو البشرة البيضاء الكشف بمصباح وود (الأشعة الفوق بنفسجية) لرؤيته.
- اللويحات الجبينية: أماكن بارزة وغير ملونة على الجبين.
- بقع ذات ملمس خشن: فهي مناطق في الجلد سميكة مدبغة تدمل وتصبغ مثل قشرة البرتقال، وعادة توجد أسفل الظهر أو مؤخرة العنق، يمكن أيضاً أن تكون منتشرة على الجذع أوالفخذ وتبرز هذه الآفات بكثرة مع التقدم في العمر.
- صفات الجلد الأخرى لاتميز الشخص المصاب بمرض التصلب الحدبي المعقد كالمليسياء المعدية أوعلامات الجلد التي تحدث عادة خلف الرقبة والأكتاف والبقع café au lait أوالعلامات البنية المسطحة والشمط وهي بقع أو خصل الشعر الأبيض على فروة الرأس أو الجفون.
انظر أيضًا
مراجع
- العنوان : Klinická neurologie — ISBN 978-80-7387-389-9
- المؤلف: Thomas N. Darling — العنوان : Prevalence of tuberous sclerosis complex in Taiwan: a national population-based study. — المجلد: 33 — الصفحة: 335-341 — العدد: 4 — نشر في: Neuroepidemiology — https://dx.doi.org/10.1159/000254569 — https://pubmed.ncbi.nlm.nih.gov/19887839
- van Slegtenhorst M, de Hoogt R, Hermans C, Nellist M, Janssen B, Verhoef S, Lindhout D, van den Ouweland A, Halley D, Young J, Burley M, Jeremiah S, Woodward K, Nahmias J, Fox M, Ekong R, Osborne J, Wolfe J, Povey S, Snell RG, Cheadle JP, Jones AC, Tachataki M, Ravine D, Sampson JR, Reeve MP, Richardson P, Wilmer F, Munro C, Hawkins TL, Sepp T, Ali JB, Ward S, Green AJ, Yates JR, Kwiatkowska J, Henske EP, Short MP, Haines JH, Jozwiak S, Kwiatkowski DJ (1997). "Identification of the tuberous sclerosis gene TSC1 on chromosome 9q34". Science. 277 (5327): 805–8. doi:10.1126/science.277.5327.805. PMID 9242607. الوسيط
|CitationClass=تم تجاهله (مساعدة) - O'Callaghan FJ, Shiell AW, Osborne JP, Martyn CN (1998). "Prevalence of tuberous sclerosis estimated by capture-recapture analysis". Lancet. 351 (9114): 1490. doi:10.1016/S0140-6736(05)78872-3. PMID 9605811. الوسيط
|CitationClass=تم تجاهله (مساعدة) - Rott HD, Mayer K, Walther B, Wienecke R (مارس 2005). "Zur Geschichte der Tuberösen Sklerose (The History of Tuberous Sclerosis)" (PDF) (باللغة الألمانية). Tuberöse Sklerose Deutschland e.V. مؤرشف من الأصل (PDF) في 15 مارس 2007. اطلع عليه بتاريخ 8 يناير 2007. الوسيط
|CitationClass=تم تجاهله (مساعدة)
- بوابة الكيمياء الحيوية
- بوابة طب
