سرطانة زهمية
السرطانة الزهمية أو السرطانة الدهنية أو الورم الغدي الزهمي (بالإنجليزية: Sebaceous carcinoma) هي ورم جلدي خبيث (سرطاني) غير مألوف وعدواني. [2] طول معظمها عادة حوالي 10 ملم.[3] يُعتقد أن هذا الورم ينشأ من الغدد الدهنية في الجلد، وبالتالي قد ينشأ في أي مكان من الجسم تتواجد فيه هذه الغدد. ولأن المنطقة المحيطة بالعين غنية بهذا النوع من الغدد، فإن هذه المنطقة عادة ما ينشأ فيها هذا الورم. [4][5] سبب هذه الآفة غير معروف في الغالبية العظمى من الحالات، وفي بعض الأحيان قد تكون الحالة مرتبطة "بمتلازمة موير-توري" (بالإنجليزية: Muir–Torre syndrome). [6][7]
| سرطانة زهمية Sebaceous carcinoma | |
|---|---|
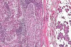
![]() صورة مجهرية للسرطانة الزهمية (يسار الصورة). انبثاث في الغدة النكافية (يمين الصورة). صبغة الهيماتوكسيلين واليوزين (H&E stain). صورة مجهرية للسرطانة الزهمية (يسار الصورة). انبثاث في الغدة النكافية (يمين الصورة). | |
| معلومات عامة | |
| الاختصاص | علم الأورام ، وطب الجلد |
| من أنواع | سرطان الجلد ، وأمراض الغدة الدهنية ، وسرطانة |
| الموقع التشريحي | غدة دهنية [1] |
هذا النوع من السرطان عادة ما يحدث فيه سوء التشخيص بسبب ارتفاع معدل الإنبثاث (بالإنجليزية: metastasis).
الفيزيولوجيا المرضية
- خلية المصدر الأصلية عادة غير معروفة.
- سرطان الغدة الدهنية يشبه بجلاء الغدد الدهنية العادية ويُعتقد أنه تنشأ عنها.
التشكّل
تميل السرطانة الزهمية "المتمايزة" و"الجيدة التمايز" إلى تشكيل فجوات داخل سيتوبلازم الخلايا السرطانية، [8] وأنسجتها قد تحاكي سرطان الخلايا القاعدية.
العلاج
هذا النوع من السرطان عادة ما يتم إدارته بالإستئصال، العلاج بالتبريد، العلاج الكيميائي الموضعي، والعلاج الإشعاعي. ثبت أن العلاج المتعدد الوسائط يحسِّن كل من التشخيص البصري وبقاء المريض على قيد الحياة.
أصبحت "جراحة موس" (بالإنجليزية: Mohs surgery) الاختيار الأمثل لعلاج هذا النوع من السرطان.
عند استخدام "جراحة موس" كطريقة العلاج الأساسية للسرطانة الزهمية في الجفن، فإنه وُجد أن "جراحة موس" أظهرت انخفاض ملحوظ في معدلات تكرار المرض.[9]
انظر أيضا
المراجع
- معرف أنطولوجية المرض: http://www.disease-ontology.org/?id=DOID:4840 — تاريخ الاطلاع: 15 مايو 2019 — الرخصة: CC0
- "Sebaceous carcinoma". J. Am. Acad. Dermatol. 33 (1): 1–15, quiz 16–8. July 1995. doi:10.1016/0190-9622(95)90001-2. PMID 7601925. مؤرشف من الأصل في 27 يونيو 2018. الوسيط
|CitationClass=تم تجاهله (مساعدة) - "Sebaceous carcinomas of the ocular adnexa: A clinicopathologic study of 104 cases, with five-year follow-up data". Hum. Pathol. 13 (2): 113–22. February 1982. doi:10.1016/S0046-8177(82)80115-9. PMID 7076199. الوسيط
|CitationClass=تم تجاهله (مساعدة) - "Sebaceous carcinoma of the ocular region: a review". Surv Ophthalmol. 50 (2): 103–22. 2005. doi:10.1016/j.survophthal.2004.12.008. PMID 15749305. مؤرشف من الأصل في 27 يونيو 2018. الوسيط
|CitationClass=تم تجاهله (مساعدة) - "Sebaceous carcinoma of the eyelid: a review of 14 cases". Dermatol Surg. 30 (8): 1164–8. August 2004. doi:10.1111/j.1524-4725.2004.30348.x. PMID 15274713. مؤرشف من الأصل في 08 ديسمبر 2019. الوسيط
|CitationClass=تم تجاهله (مساعدة) - Cohen PR (August 1992). "Sebaceous carcinomas of the ocular adnexa and the Muir-Torre syndrome". J. Am. Acad. Dermatol. 27 (2 Pt 1): 279–80. doi:10.1016/S0190-9622(08)80752-9. PMID 1430382. الوسيط
|CitationClass=تم تجاهله (مساعدة) - "Sebaceous gland tumors of the eyelids and conjunctiva in the Muir-Torre syndrome: a clinicopathologic study of five cases and literature review". Ophthal Plast Reconstr Surg. 20 (1): 31–6. January 2004. doi:10.1097/01.IOP.0000103009.79852.BD. PMID 14752307. مؤرشف من الأصل في 20 أبريل 2012. الوسيط
|CitationClass=تم تجاهله (مساعدة) - Kumar V, Abbas AK, Fausto N. Robbins and Cotran Pathologic Basis of Disease. Seventh Edition. Philadelphia: Elsevier Saunders, 2005, p. 1425.
- "Sebaceous carcinoma of the eyelid treated with Mohs micrographic surgery". J. Am. Acad. Dermatol. 44 (6): 1004–9. June 2001. doi:10.1067/mjd.2001.113692. PMID 11369914. مؤرشف من الأصل في 27 يونيو 2018. الوسيط
|CitationClass=تم تجاهله (مساعدة)
- بوابة طب
صور وملفات صوتية من كومنز
