تمدد تكيسات العظام
تمدد تكيسات العظام ( ABC ) هو ورم عظمي يشبه الدم الاسفنجي، وهذا المصطلح تسميته خاطئة، لأن المرض ليس في تمدد الأوعية الدموية أو ورما.[1]
| تمدد تكيسات العظام | |
|---|---|
| معلومات عامة | |
| الاختصاص | طب الروماتزم |
| من أنواع | كيسة عظمية ، واضطراب جيني |
| الإدارة | |
| أدوية | |
العلامات والأعراض
يبدأ تمدد تكسيات العظام بنسبة ألم ضعيفة والتي تزداد بشكل سريع على مدى فترة زمنية من 6-12 أسابيع. وقد يزيد درجة حرارة الجلد حول العظام، وقد يحدث تورم عظمي ويكون بشكل واضح، وقد يتم تقييد الحركة في المفاصل المجاورة.[2]
قد يسبب التمدد إصابة في العمود الفقري مما يؤدي إلى شلل رباعي ، والمرضى الذين يعانون من تمدد التكيسات في الجمجمة قد يعانون من الصداع.
أماكن تمدد التكيسات
أكثر المواقع المتضررة : الكردوس - فقرة (تشريح), عظم مسطح, عظم فخذ و قصبة الساق.[3] وكما هو مبين النسب التقريبية لاماكن تمدد تكيسات العظام :
- الجمجمة والفك السفلي (4٪)
- العمود الفقري (16٪)
- الترقوة والضلوع (5٪)
- الطرف العلوي (21٪)
- الحوض والعجز (12٪)
- عظم الفخذ (13٪)
- أسفل الساق (24٪)
- قدم (3٪)
الأسباب
لا يوجد سبب مؤكد لتمدد تكيسات العظام منذ أن وصفه جافي وليختنشتاين في عام 1942. قد اقترح العديد من الفرضيات لتفسير سبب تمدد تكيسات العظام، وحتى وقت قريب جدا كانت الفكرة الأكثر قبولا لتفسير تمدد تكيسات العظام هي نتيجة لزيادة الضغط الوريدي يؤدي إلى تمدد وتمزق شبكة الأوعية الدموية. ولكن الدراسات التي قدمها أوليفيرا واخرون. كشفت طبيعة الأورام في تمدد تكيسات العظام. وقد اُعتبر السبب الرئيسي هو ناسور شرياني وريدي داخل العظام.[4]
قد ينشأ المرض من جديد أو قد ينشأ بشكل ثانوي ضمن سرطان العظم والذي كان موجودا من قبل، وذلك لأن العظام الغير الطبيعي يسبب تغيرات في ديناميكا الدم. وتمدد تكيسات العظام يمكن أن ينشأ من ورم أرومي غضروفي موجودة من قبل، والورم الليفي، وهو ورم بانيات العظم، وهو ورم الخلايا العملاقة، أو سوء التصنيع الليفي. يعد ورم الخلايا العملاقة هو السبب الأكثر شيوعا، ويحدث في 19٪ إلى 39٪ من الحالات. وفي قليل من الأحيان، قد ينتج من بعض الأورام الخبيثة، مثل ساركوما عظمية، وورم بطاني وعائي.
باثولوجي

تشريحيا، يتم تصنيفها إلي نوعين مختلفين.
- الشكل التقليدي (95٪) لديه انشقاقات في الدم تملأ الترابيق العظمية. (تم العثور على أنسجة عظمية في المصفوفة اللحمية).
- الشكل الصلب (5٪) ويظهر انتشار أرومي ليفي (خلية ليفية يافعة )، وإنتاج عظمية والتي تتحول إلى عناصر متكلسة.
ووفقا لكل من : Buraczewski و Dabska، يحدث تمدد تكيسات الدم على ثلاث مراحل.[1]
| المرحلة | الوصف |
|---|---|
| المرحلة الأولى (I) | انحلال العظم |
| مرحلة النمو (II) |
|
| مرحلة الاستقرار (III) | النمط الإشعاعي : كامل النمو |
يمكن أن تكون مرتبطة مع TRE17 / USP6..[5]
قد يكون تمدد التكيسات العظمية داخل العظم، والبقاء داخل نخاع العظام. أو أنها قد تبدأ من خارج العظم ( البداية على سطح العظم )، ثم تمتد إلى النخاع.
التشخيص
على صورة الأشعة، يظهر تمدد تكيسات العظم بصورة واضحة حيث يظهر التمدد، التوسع في القشرة يعطي المرض مظهرا يشبه البالون.[6]
تشخيص متباين
يتم استبعاد الشروط التالية قبل أن يتم تأكيد التشخيص:[7]
- كيس عظام أحادي الغرفة
- ورم الخلايا العملاقة
- ساركوما عظمية
- تمدد تكيسات العظام نتيجة مرض آخر
العلاج
يتم تنفيذ توسيع وكحت على بعض المرضى,[8] معدل تكرار الكحت مهم في الآفات النشطة. كما يعتبر النيتروجين السائل، الفينول، ميتاكريليت الميثيل علاجا لقتل الخلايا التي حدث بها التمدد.[4]
التنبؤ بعودة المرض
معدل تكرار الشكل الصلب أقل من الشكل التقليدي.[4]
علم الأوبئة
المرض شائع في الفئة العمرية من 10-30 سنة.[6] وهو ثاني أكثر ورم شيوعا في العمود الفقري والورم الحميد الأكثر شيوعا في منطقة الحوض في الأطفال.[4] الإصابة بالمرض أكثر في الذكورعن الإناث بمعدل (1.3: 1).[7]
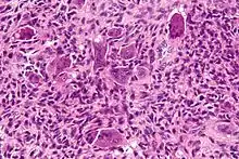
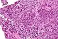
صور إضافية
صورة مجهرية عالية التكبير من تمدد تكيسات العظام
صورة مجهرية متوسطة التكبير من تمدد تكيسات العظام
انظر أيضا
- كيس العظام البسيط
- ورم الخلايا العملاقة في العظام
- كيسة رضحية عظمية
مراجع
- Maroldi, Roberto (2005). Imaging in Treatment Planning for Sinonasal Diseases. Springer. صفحات 114. ISBN 9783540266310. الوسيط
|CitationClass=تم تجاهله (مساعدة) - Zadik, Yehuda; Aktaş Alper; Drucker Scott; Nitzan W Dorrit (2012). "Aneurysmal bone cyst of mandibular condyle: A case report and review of the literature". J Craniomaxillofac Surg. 40 (8): e243–8. doi:10.1016/j.jcms.2011.10.026. PMID 22118925. مؤرشف من الأصل في 24 سبتمبر 2015. الوسيط
|CitationClass=تم تجاهله (مساعدة) - Rosai and Ackerman's surgical pathology, Volume 2, 9th ed. Mosby. 2004. صفحة 148. ISBN 9780323013420. الوسيط
|CitationClass=تم تجاهله (مساعدة) - Pediatric Orthopedics in Practice. Springer. 2007. صفحات 151–155. ISBN 9783540699644. الوسيط
|CitationClass=تم تجاهله (مساعدة) - Ye Y, Pringle LM, Lau AW, et al. (June 2010). "TRE17/USP6 oncogene translocated in aneurysmal bone cyst induces matrix metalloproteinase production via activation of NF-kappaB". Oncogene. 29 (25): 3619–29. doi:10.1038/onc.2010.116. PMC 2892027. PMID 20418905. الوسيط
|CitationClass=تم تجاهله (مساعدة) - Davies, Arthur (2002). Who Manual Of Diagnostic Imaging: Radiographic Anatomy And Interpretation Of The Muskuloskeletal System, VOlume. World Health Organization. صفحات 168–186. ISBN 9241545550. الوسيط
|CitationClass=تم تجاهله (مساعدة) - Differential Diagnosis in Surgical Pathology: Expert Consult - Online and Print, 2e. Elsevier Health Sciences. 2010. صفحات 878–879. ISBN 9781416045809. الوسيط
|CitationClass=تم تجاهله (مساعدة) - Mankin HJ, Hornicek FJ, Ortiz-Cruz E, Villafuerte J, Gebhardt MC (September 2005). "Aneurysmal bone cyst: a review of 150 patients". J. Clin. Oncol. 23 (27): 6756–62. doi:10.1200/JCO.2005.15.255. PMID 16170183. مؤرشف من الأصل في 5 يناير 2020. الوسيط
|CitationClass=تم تجاهله (مساعدة)
وصلات خارجية
- بوابة طب
صور وملفات صوتية من كومنز