ورم الخلايا العملاقة من العظام
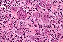
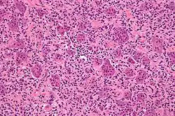
ورم الخلايا العملاقة للعظم (الاختصار بالإنجليزية: GCTOB) هو ورم غير شائع نسبياً. ويتميز بوجود خلايا عملاقة متعددة النوى (خلايا مثل ناقضة العظم). ورم الخلايا العملاقة غير شائع ويحدث في حوالي 2٪ من جميع الحالات. ومع ذلك، إذا حدث هذا النوع من الورم، فمن المرجح أن يحدث انتشار لذلك الورم إلى الرئتين. أورام الخلايا العملاقة هي عادة حميدة،[1] مع سلوك لا يمكن التنبؤ به.[2] وهو ورم غير متجانس يتتألف من ثلاثة خلايا مختلفة، خلايا انسجة الورم العملاقة (GCTSC) تشكل الخلايا الورمية،,[3] تصنف الخلايا الورمية على أساس علامات الخلايا البانية مثل فوسفاتيز القلوية و أوستيوكالسين. وعلى النقيض من ذلك، تشكل الخلايا غير الورمية خلايا النسيج المنسوي وحيدات النوى (MNHC) والكسور العملاقة متعددة النوى (MNGC). وهي مشتقة من سلالة ناقضة العظم ويعبر عنها بـ سي دي 68 (بروتين)[4][5][6] في معظم المرضى، عادة ما تكون الأورام بطيئة في التطور، ولكن قد تتكرر محليا في ما يصل إلى 50٪ من الحالات.
| ورم الخلايا العملاقة من العظام | |
|---|---|
![]() | |
| معلومات عامة | |
| الاختصاص | علم الأورام |
| من أنواع | سرطان العظم |
العلامات والأعراض

عادة ما يعاني المريض ألم مصاحب للحركة بالقرب من مكان الورم، إذا كان الورم ينمو لفترة طويلة، لا يشعر المريض بأي ألم تقريبا الا إذا حدث الكسر المرضي في مكان الورم. وعادة ما تنشأ من إبيفيسيس العظام الطويلة، ولكن في حالات نادرة، فإنها قد تنشأ من القوس الأمامي من الضلوع.[7] الأعراض قد تشمل آلام العضلات وآلام في الذراعين أو الساقين وآلام في البطن. قد يتعرض المرضى أيضا لألم عصبي ويشعر به وكأنه صدمة كهربائية بسبب تحمل الوزن.
التشخيص

يستند تشخيص أورام الخلايا العملاقة على نتائج الخزعة.
أشعة

على الأشعة السينية، أورام الخلايا العملاقة (GCTs) هي الآفات التحليلية / الواضحة، التي لها موقع مشاشي وتنمو إلى السطح المفصلي للعظم المتورط.[8] إشعاعيا قد تظهر الأورام مميزة كمظهر "فقاعة الصابون".[9] وهي مميزة عن الأورام العظمية الأخرى GCTs وعادة ما يكون لها حدود حادة. تنتشر حوالي 5٪ من أورام الخلايا العملاقة عادة إلى الرئة ،[10] عندما يُشتبه في تشخيص ورم الخلايا العملاقة، قد يكون هناك حاجة إلى تصوير الصدر ب الأشعة السينية أو التصوير المقطعي المحوسب. التصوير ب الرنين المغناطيسي يمكن استخدامه أيضا.
العلاج
لم تتغير نظم العلاج العامة كثيرا في السنوات ال 30 الماضية، ويرجع ذلك جزئيا إلى عدم وجود التجارب السريرية العشوائية.[4] أفضل علاج متاح هو الجراحة إذا تم تحديد الورم. التوسيع والكحت هي تقنية شائعة الاستخدام.[11] الوضع معقد في مريض مصاب بكسر مرضي. قد يكون من الأفضل أن تشل حركة الأطراف المتضررة ويتم انتظار الكسر حتي يُشفى بشكل كامل قبل إجراء العملية الجراحية.
المرضى الذين يعانون من الأورام التي ليست قابلة للجراحة يتم التعامل معهم باستخدام العلاج الإشعاعي.[12] ومع ذلك يتم توخي الحذر لأن غالبية الأورام التي تعود إلى المريض الذي تلقي العلاج الاشعاعي تتحول إلى اورام خبيثة، ساركوما.[13] العلاج الدوائي ل GCTOB، يشمل البايفوسفونيت مثل زوليدرونات، التي يعتقد أنها تحفز موت الخلايا المبرمج في MNGC، ومنع انحلال العظم الناجم عن الورم. في الواقع، أظهرت الدراسات في المختبر زوليدرونات فعالة في قتل الخلايا مثل ناقضة العظم.[2][4] وفي الآونة الأخيرة، تم استخدام أجسام مضادة وحيدة النسيلة متوافقة مع البشر مثل دينوسوماب في علاج GCTOB.[4]
أورام العظام الأخرى مع الخلايا العملاقة
هناك عدد من الأورام تمتلك خلايا عملاقة، ولكنها ليست أورام حميدة. وتشمل، تمدد تكيسات العظام، ورم غضروفي، كيسة عظمية، ورم العظم، ساركوما عظمية، الوَرَمُ الحُبَيبِيُّ التَّرْمِيْمِيُّ ذو الخَلاَيا العِمْلاَقَة، والوَرَمُ البُنِّيّ (في العظام في فرط نشاط الدريقات).
علم الأوبئة
يُمثل ورم الخلايا العملاقة للعظام 4-5٪ من أورام العظام الأولية وحوالي 20٪ من أورام العظام الحميدة.[14] ومع ذلك، لوحظت معدلات الإصابة أعلى بكثير في آسيا، حيث يشكل حوالي 20٪ من جميع أورام العظام الأولية في الصين.[15] هو أكثر شيوعا قليلا في الإناث، لديه ميل للمنطقة المشاشية / المشاشي للعظام الطويلة،[2][16] ويحدث عادة في العقد الثالث إلى الرابع.[17] على الرغم من تصنيفها على أنها أورام حميدة، قد لوحظ GCTOB أنه ينتشر إلى الرئتين في ما يصل إلى 5٪ من الحالات، وفي حالات نادرة (1-3٪) يمكن أن تتحول إلى النمط الظاهري الخبيث ساركوما.[2][4][18]
انظر أيضأ
مراجع
- Pai SB, Lalitha RM, Prasad K, Rao SG, Harish K (September 2005). "Giant cell tumor of the temporal bone—a case report". BMC Ear Nose Throat Disord. 5: 8. doi:10.1186/1472-6815-5-8. PMC 1253509. PMID 16162299. مؤرشف من الأصل في 24 سبتمبر 2015. الوسيط
|CitationClass=تم تجاهله (مساعدة) - Werner, M. (2006). Giant cell tumour of bone: morphological, biological and histogenetical aspects. Springer-Verlag , 30, 484-489
- Huang, l., Xu, J., Wood, D. J., & Zheng, M. H. (2000). Gene Expression of Osteoprotegerin Ligand, Osteoprotegerin, and REceptor Activator of NF-kB in Giant Cell Tumor of Bone. American Journal of Pathology , 156 (3), 761-767.
- Thomas, D. M., & Skubitz, T. (2009). Giant-cell tumour of bone. Current Opinion in Oncology , 21, 338-344
- Werner, M. (2006). Giant-cell tumour of bone: morphological, biological and histogenetical aspects. Springer-Verlag , 30, 484-489.
- Wuelling, M., Delling, G., & Kaiser, E. (2003). The Origin of the Neoplastic Stromal Cell in Giant Cell Tumor of Bone. Human Pathology , 34, 983-993.
- Dehghan A, Moaddab AH, Eskandarlou M, Moeeni A. Anterior chest wall giant cell tumor. Gen Thorac Cardiovasc Surg. 2010 Jan;58(1):39-41.
- Murphey M, Nomikos G, Flemming D, Gannon F, Temple H, Kransdorf M (2001). "From the archives of AFIP. Imaging of giant cell tumor and giant cell reparative granuloma of bone: radiologic-pathologic correlation". Radiographics : a review publication of the Radiological Society of North America, Inc. 21 (5): 1283–309. doi:10.1148/radiographics.21.5.g01se251283. PMID 11553835. الوسيط
|CitationClass=تم تجاهله (مساعدة) - essentials of skeletal radiology. Lippincott Williams & Wilkins. صفحات 1–. GGKEY:29STUY0DQ70. مؤرشف من الأصل في 16 ديسمبر 2019. اطلع عليه بتاريخ 21 يونيو 2010. الوسيط
|CitationClass=تم تجاهله (مساعدة) - "Giant-cell tumor of bone - Wheeless' Textbook of Orthopaedics". مؤرشف من الأصل في 14 يوليو 2018. الوسيط
|CitationClass=تم تجاهله (مساعدة) - Balke M, Schremper L, Gebert C, et al. (March 2008). "Giant cell tumor of bone: treatment and outcome of 214 cases". J. Cancer Res. Clin. Oncol. 134 (9): 969–78. doi:10.1007/s00432-008-0370-x. PMID 18322700. الوسيط
|CitationClass=تم تجاهله (مساعدة) - Mendenhall W, Zlotecki R, Scarborough M, Gibbs C, Mendenhall N (2006). "Giant cell tumor of bone". Am J Clin Oncol. 29 (1): 96–9. doi:10.1097/01.coc.0000195089.11620.b7. PMID 16462511. الوسيط
|CitationClass=تم تجاهله (مساعدة) - Mendenhall, W. M., Zlotecki, R. A., Scarborough, M. T., Gibbs, P. C., & Mendenhall, N. P. (2006). Giant Cell Tumor of Bone. American Journal of Clinical Oncology , 29 (1), 96-99
- Gamberi G, Serra M, Ragazzini P, Magagnoli G, Pazzaglia L, Ponticelli F, Ferrari C, Zanasi M, Bertoni F, Picci P, Benassi M (2003). "Identification of markers of possible prognostic value in 57 giant-cell tumors of bone". Oncol Rep. 10 (2): 351–6. doi:10.3892/or.10.2.351. PMID 12579271. الوسيط
|CitationClass=تم تجاهله (مساعدة) - Thomas, D. M., & Skubitz, T. (2009). Giant-cell tumour of bone. Current Opinion in Oncology , 21, 338-344.
- Dickson, B. C., Li, S.-Q., Wunder, J. S., Ferguson, P. C., Eslami, B., Werier, J. A., et al. (2008). Giant-cell tumor of bone express p63. Modern Pathology , 21, 369-375.
- Mendenhall, W. M., Zlotecki, R. A., Scarborough, M. T., Gibbs, P. C., & Mendenhall, N. P. (2006). Giant Cell Tumor of Bone. American Journal of Clinical Oncology , 29 (1), 96-99.
- Dickson, B. C., Li, S.-Q., Wunder, J. S., Ferguson, P. C., Eslami, B., Werier, J. A., et al. (2008). Giant-cell tumor of bone express p63. Modern Pathology , 21, 369-375
وصلات خارجية
- "Symposium on Giant Cell Tumor". Indian Journal of Orthopaedics. 41 (2). 2007. مؤرشف من الأصل في 27 يونيو 2017. الوسيط
|CitationClass=تم تجاهله (مساعدة) - YouTube video of patient with giant cell tumor being removed from elbow, replacement elbow installed (1 of 6 videos)
- Giant Cell Tumor Radiology
- GCT Connect- Online network for patients to share experiences
- بوابة طب
