تمزق رئوي
التمزق الرئوي (بالإنجليزية: Pulmonary laceration) وَيقصد به إصابةُ الصدر عندما تتمزّق أنسجة الرئة أو تُقطع.[1] يمكن أن تكون هذه الإصابة أشدَّ خطورةً من الكدمة الرئوية؛ إذ يحتوي التمزّق الرئوي تهتُّكًا في بنيةِ الرئة،[2] خلافَ ما يحدث في الكدمة الرئوية.[3] عادةً ما يحدث التمزّق الرئوي بسبب جرحٍ نافذٍ، إلاّ أنه قد ينتجُ كذلك أيضًا بسبب قوى مشاركةٍ في الجرحٍ الحادٍ كجهد القطع، ممَّا يؤدي إلى امتلاء تجويف الصدر بالدم أوالهواء أو كليهما معًا.تُشخّص الإصابة عند العثور على تجمّع للهواء أو السوائل في الأشعة المقطعية للصدر. قد تكون هنالك حاجة لعملية جراحيةٍ لسد الجرح، وإزالة الدم والأجزاء المصابة من الرئة. عادةً ما تُشفى الإصابة بسرعةٍ إن عولِجَت بالعلاج المناسب، إلاّ أنها تُبقي ندوبًا في الرئة وربمّا تؤدي إلى مضاعفاتٍ أُخرى.
| التمزق الرئوي | |
|---|---|
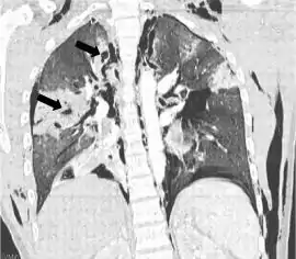
![]() مسح بالأشعة المقطعية الاكليلية يظهر فيها شفيف الأشعة (المناطق الباهتة في التصويرالشعاعي) في الرئة الناجمة عن تهتك الرئة على يسار الصورة.(الأسهم السوداء). تصنيف وموارد خارجية، تخصص طب الطوارئ. مسح بالأشعة المقطعية الاكليلية يظهر فيها شفيف الأشعة (المناطق الباهتة في التصويرالشعاعي) في الرئة الناجمة عن تهتك الرئة على يسار الصورة.(الأسهم السوداء). تصنيف وموارد خارجية، تخصص طب الطوارئ. | |
| معلومات عامة | |
| الاختصاص | طب الطوارئ |
| من أنواع | إصابة رئوية |
الأسباب
عادةً ما يحدث التمزّق الرئوي بسبب جرح نافذٍ، إلاّ أنه قد ينتجُ كذلك أيضًا بسبب إصابة حادة، أو ضلعٍ مكسور قد اخترق الرئة، أو بسبب قوى قاطعة[[4] ناتجة عن معدلات مختلفة لتسارع وتباطئ الأنسجة المختلفة للرئة.[5] يمكن أن يسبب الضغط العنيف للصدر تهتُكًا عبرَ تمزّقِ أو قطعِ أنسجة الرئة.[6] قد يحدث التمزّق الرئوي نتيجةَ قوى حادةٍ ومخترقةٍ وغالبًا ما يُرافق الكدمة الرئوية. [7]] كما يمكن أن يحدث أيضًا في أنسجة الرئة جرّاء ضغط الحويصلات الهوائية على أضلُع القفص الصدري أو العمود الفقري.[6] كما هو الحال مع الكدمات، عادة ما يحدث التمزّق الرئوي بالقرب من الهياكل الصلبة في الصدر مثل الأضلاع.[2] يُشتبه بوجود التمزّق الرئوي عند وقوع كسر في الأضلاع.[8]
التصنيف
في عام 1988، قَسّمت مجموعةٌ بقيادة ر.ب.فاغنر تمزّقات الرئة إلى أربعةِ أنواعٍ بناءً على الكيفيّة التي أُصيب بها المريض والمؤشرات المعثور عليها في الأشعة المقطعيّة.[9] في النوع الأول، والذي يحدث في منتصف منطقة الرئة، تحدث انفجاراتٌ مليئة بالهواء في الرئة نتيجة الضغط المفاجئ للصدر.[10] ويُسمّى تمزّق فتق الضغط، وهو الأكثر شيوعًا وعادةً ما يحدث في موقعٍ مركزيٍّ بالرئة.[1] تميل التمزّقاتُ إلى أن تكون كبيرةً، وتتراوح في حجمها 2-8 سم.[11] ضغطُ القطعِ في النوع الثاني ناتج عن الضغط المُفاجئ لأسفل الرئة وتحريكه المفاجئ باتجاه الأجسام الفقارية.[9][11]]كما يُسمّى ضغط القطع،[1] يميل إلى أن يحدث بالقرب من العمود الفقري، وله شكل طولي.[11] يحدث النوع الثاني عادةً مع الأشخاص الأصغر سنًا نظرًا لصدورهم المرنة.[5] تُحدِث الأضلاع المكسورة ثقوبًا مسببةّ النوع الثالث من التمزّق الرئوي، ويحدث في المنطقة القريبة لجدار الصدر والكامنة أسفل الضلع المكسور.[9] يُطلق عليه أيضًا تمزّقات اختراق الضلع، وتميلُ تمزّقات النوع الثالث إلى أن تكون صغيرة الحجم [1] ويُرافقها استِرْواحُ الصدر.[9] عادةً ما يحدث عدة تمزّقات من النوع الثالث [11] أمّا النوع الرابع، ويُسمّى كذلك تمزّق الالتصاق، يحدث في الحالات التي يكونُ فيها التصاق جنبِيّ قد حدث قبل تشكّل الإصابة، حيث يُكسر جدار الصدر أو يُدفع إلى الداخل فجأة.[11] ويقع في منطقة تحت الجَنْبَة ناتجًا عن تمزق في مواقع الالتصاق بطريق الجنبة.[12]
الفيزيولوجيا المرَضيّة
يُمكن أن يتسبب التمزّق الرئوي بتسرّب الهواء من الرئة الممزقة[13] وإلى الفراغ الجَنْبي، إذا ما مرّ التمزّق منه.[14] دائمًا ما يؤدي التمزّق الرئوي إلى استرواح الصدر ( نظرًا لتمزّق الشُعَبِ الهوائية )، تدمّي الجَنْبَة ( الناتج عن تمزّق الأوعية الدموية )، أو استرواح الصدر المُدمّى ( تواجد الدم والهواء في تجويف الصدر ).[15] خلافَ تدمّي الجنبة الذي يحدث بسبب الكدمة الرئوية، قد تكون الإصابة الناجمة عن التمزّق الرئوي كبيرةً وطويلة الأمد.[16] وبالرغم من ذلك، فإن الرئتين عادة لا تنزفان كثيرًا؛ لأن الأوعية الدموية المعنية صغيرةٌ و الضغط داخلها منخفضٌ.[17] ولذلك، عادة ما يكون استرواح الصدر أشد خطورة من تدمّي الجنبة[14] قد يتشكّل أو يتحوّل استرواح الصدر إلى استرواح الصدر الضاغط من خلال التهوية الميكانيكية، ممّا يُجبر الهواء على الخروج من الرئة المثقوبة.[16] قد يشفى التمزق ظاهرياً فقط، الذي وذلك قد يؤدي إلى اعتراض الدم واحتمال تشكّل كيسٍ أو ورمٍ دمويٍّ.[14] لأن الرئة مرنة، قد يُشكّل التمزّق ورمًا مُستديرًا يُدعى كيس الهواء الجُرحيّ الذي من الممكن أن يكون مملوءًا بالهواء، أو الدم، أو كليهما، وعادةً ما ينكمش في فترة تمتد من أسابيع إلى أشهر.[18] وتُسمّى التمزقات التي تمتلئ بالهواء بالفتق الرئوي (قيلة هوائية) ، أما التي تملتئ بالدم فتُسمّى الورم الدموي الرئوي.[19] في بعض الحالات قد تجتمع القيلة الهوائية و الورم الدموي الرئوي معًا في نفس الرئة المصابة.[20] من الممكن أن تصبح القيلة الهوائية متسعةً ؛ فعلى سبيل المثال، عندما يكون المريض مُهوى بشكلٍ ميكانيكيٍّ أو لديه متلازمة الضائقة التنفسية الحادة، في هذه الحالة قد يعيش المريض لأشهر فقط.[20] يستغرق الورم الدموي الرئوي وقتًا أطول للشفاء من القيلة الهوائية البسيطة وقد تترك ندوبًا في الرئتيْن.[19] مع مرور الوقت، تميل جدران التمزقات إلى زيادة سُمكها بسبب الوذمة والنزيف في الحواف.[1]

التشخيص
قد لا يكون التمزّق الرئوي مرئيٍّا بالأشعة السينية؛ لأن الكدمة الرئوية أو النزيف المرافقين له قد يُخفيانه.[8][21]]عندما تزول كدمة الرئة (عادة في غضون 2-4 أيام )، تصبح التمزقات مرئية على الصدر بالأشعة السينية.[3] ماسح الأشعة المقطعية أكثر حساسية و أكثر قدرة على الكشف عن التمزق الرئوي من الأشعة السينية. .[1][4][16][22]] و غالبا ما يكشف عن جروح متعددة في الحالات التي لم تُظهر الأشعة السينية غيرَ الكدمة.[16] قبل أن يُصبح ماسح الأشعة المقطعية متوافرًا على نطاق واسعٍ، لم يكن تمزق الرئة مألوفًا من قبل لأن الأشعة السينية لم تكشف عنه قبلاً.[14] في الأشعة المقطعية، تظهر تمزقاتٌ رئويةٌ تصل في منطقة الكدمة بالرئة،[8] وتظهر عادةً كتجاويف مملوءة بالسوائل أو الهواء.[23] عادة ما تكون مستديرة أو بيضاوية الشكل نظرًا لمرونة الرئة.[6] تظهر الأورام الدموية الرئوية في الصور الإشعاعية للصدر على نحوٍ سلسٍ مستديرة أو بيضاوية الشكل.[1] كمثل التمزقات، قد تخفى الأورام الدموية الرئوية على الأشعة السينية خلف الكدمة الرئوية، إلاّ أنها ما تلبث أن تظهر حالما تتماثل الكدمة للشفاء.[1] للقيلة الهوائية شكل مشابه للورم الدموي الرئوي ولكن جدرانها رقيقةٌ وملساءٌ.[24] قد تمتلئ التمزّقات بالدم بشكلٍ كاملٍ، أو تمامًا بالهواء، أو بالإثنين معًا.[6] التمزقات المملوءة بالدم والهواء تظهر بمستوى سائل هوائي مميز.[6] قد يحدث تمزّق واحد من تلقاء نفسه، أو قد تتواجد العديد من التمزقات، ممّا يخلق شكلاً يُشبه الجبن السويسري في الأشعة المقطعية للرئة.[6] وعادة ما يصاحب التمزق الرئوي نفث الدم(السعال الدموي أو البلغم الملطخ بالدماء).[25] تنظيرالصدر يمكن أن يُستخدم في تشخيص وعلاج التمزّق الرئوي.[14] قد يشبه التمزق الرئوي العقيدات الرئوية في الصورالإشعاعية، ولكن خلافا للعقيدات الرئوية، تتناقص التمزقات الرئوية في حجمها مع مرور الوقت في الصور الإشعاعية.[6]

العلاج
كما هو الحال مع إصابات الصدر الأخرى كالكدمة الرئوية، تدمّي الجَنْبَة، واسترواح الصدر، يمكن في كثير من الأحيان أن يعالج التمزق الرئوي باستخدام الأكسجين التكميلي، والتهوية، وتصريف السوائل من تجويف الصدر.[26] يُمكن استخدام أنبوب فغر الصدر لإزالة الدم و الهواء من تجويف الصدر.[27] 5٪ من الحالات تتطلب عملية جراحية، وتُدعى شقّ الصدر.[28] ومن المرجح أن تكون هناك حاجة خاصة لشق الصدر في حالة فشل الرئة، وإذا ما كان استرواح الصدر، والنزيف، أو سعال الدم متواجدين. أو من أجل إزالة الدم المتخثر من تدمي الجنبة.[28] ويشمل العلاج الجراحي: الخياطة،[28] التدبيس، و التوتيد من التمزق.[14] في بعض الأحيان، يجب على الجراحين إجراء استئصال لفص رئوي، حيث يتم إزالة فص الرئة، أو استئصال رئوي، حيث يتم إزالة الرئة بالكامل.[28]
التحذير
إن الشفاءَ الكامل مرتبطٌ بالعلاج المناسب.[29] عادةً ما يُشفى التمزّق الرئوي بسرعة بعد إدخال أنبوب في الصدر ولا يرتبط بمشاكل أخرى على المدى البعيد.[8]تُشفى التمزقات عادةً خلال 3-5 أسابيع،[16] أمّا التمزقات المملوءة بالهواء فتلتئم في غضون 1-3 أسابيع إلاّ أنها في بعض الأحيان تستغرق وقتاً أطول.[1] ومع ذلك، فإن الإصابة عادة ما تستغرق أشهرًا للشفاء، وقد تُسبب ندوبًا في الرئة.[30] تُشفى الجروح الرئوية الصغيرة في كثير من الأحيان من تلقاء نفسها إذا ما تمت إزالة المواد من الفراغ الجنبي، ولكن قد تكون هناك حاجة لعملية جراحية للتمزقات الكبيرة التي لا تلتئم بشكل صحيح أو التي تنزف.[27]
المضاعفات
ليست المضاعفات شائعة إلاّ أنها تشمل العدوى، الخراج الرئوي، والناسور القصبي الجنبي (ناسور بين الفضاء الجنبي والقصبات الهوائية).[6] عندما يكون هنالك اتصال بين التمزق، وقصيبة، وغشاءالجنب فإنّ الناسور القصبي قد يُسبب تسرّبًا للهواء في الفضاء الجنبي بالرغم من وضع أنبوب في الصدر.[6] يُمكن أن يزداد حجم التمزّق، كمثل أن يحدث اختراقٌ للصمام سامحًا للهواء بالمرور إلى التمزّق و توسيعه تدريجيًا.[6] من المضاعفات أيضًا: انسداد الهواء، حيث يدخل الهواء مجرى الدم، ومن الممكن أن يكون قاتلاً، خاصةً إذا ما حدث في الجانب الأيسر من القلب.[4] يمكن للهواء أن يدخل الدورة الدموية عن طريق الوريد المتضرر في الصدر المصاب والوصول إلى الأعضاء الأخرى، خاصةً المميتة منها كالقلب أوالدماغ.[4] قد يُسبب ضغط التهوية الإيجابي انسدادا رئويًا عن طريق إخراج الهواء من الرئتين المصابتين في الأوعية الدموية.[4]
المراجع
- Sattler S, Maier RV (2002). "Pulmonary contusion". In Karmy-Jones R, Nathens A, Stern EJ. Thoracic Trauma and Critical Care. Berlin: Springer. pp. 161–163. ISBN 1-4020-7215-5. Retrieved 2008-05-05.
- Collins J, Stern EJ (2007). Chest Radiology: The Essentials. Lippincott Williams & Wilkins. p. 120. ISBN 0-7817-6314-2. Retrieved 2008-04-26.
- Wicky S, Wintermark M, Schnyder P, Capasso P, Denys A (2000). "Imaging of blunt chest trauma". European Radiology 10 (10): 1524–1538.doi:10.1007/s003300000435. ببمد 11044920.
- Matthay RA, George RB, Light RJ, Matthay MA, ed. (2005). "Thoracic trauma, surgery, and perioperative management". Chest Medicine: Essentials of Pulmonary and Critical Care Medicine. Hagerstown, MD: Lippincott Williams & Wilkins. p. 580. ISBN 0-7817-5273-6. Retrieved 2008-04-21.
- Hollister M, Stern EJ, Steinberg KP (November 1995). "Type 2 pulmonary laceration: A marker of blunt high-energy injury to the lung". American Journal of Roentgenology 165 (5): 1126. doi:10.2214/ajr.165.5.7572488. ببمد 7572488.
- Miller LA (March 2006). "Chest wall, lung, and pleural space trauma".Radiologic Clinics of NorthAMERICA 44 (2): 213–24, viii.doi:10.1016/j.rcl.2005.10.006. ببمد 16500204.
- Ullman EA, Donley LP, Brady WJ (2003). "Pulmonary trauma emergency department evaluation and management". Emergency Medicine Clinics of NorthAMERICA 21 (2): 291–313. doi:10.1016/S0733-8627(03)00016-6. ببمد 12793615.
- Hopkins RL, Peden C, Gandhi S (2008). "Trauma radiology". Radiology for Anaesthesia and Intensive Care. Cambridge, UK: Cambridge University Press. p. 135.ISBN 0-521-69485-X.
- Radiology of the Chest and Related Conditions: Together with an Extensive Illustrative Collection of Radiographs. London: Taylor and Francis. p. 11.3.ISBN 0-415-28141-5. Retrieved 2008-05-05.
- Wright F (2002). Radiology of the Chest and Related Conditions: Together with an Extensive Illustrative Collection of Radiographs. London: Taylor and Francis. p. 11.3.ISBN 0-415-28141-5. Retrieved 2008-05-05.
- Thoongsuwan N, Kanne JP, Stern EJ (May 2005). "Spectrum of blunt chest injuries". Journal of Thoracic Imaging 20 (2): 89–97.doi:10.1097/01.rti.0000148210.89718.f5. ببمد 15818207.
- Hollister M, Stern EJ, Steinberg KP (November 1995). "Type 2 pulmonary laceration: A marker of blunt high-energy injury to the lung". American Journal of Roentgenology 165 (5): 1126. doi:10.2214/ajr.165.5.7572488. ببمد 7572488. 6. ^ Jump up to:a b c d e f g h i j Miller LA (March 2006). "Chest wall, lung, and pleural space trauma".Radiologic
- Livingston DH, Hauser CJ (2003). "Trauma to the chest wall and lung". In Moore EE, Feliciano DV, Mattox KL. Trauma. Fifth Edition. McGraw-Hill Professional. p. 532.ISBN 0-07-137069-2. Retrieved 2008-04-26.
- Miller DL, Mansour KA (2007). "Blunt traumatic lung injuries". Thoracic Surgery Clinics 17 (1): 57–61. doi:10.1016/j.thorsurg.2007.03.017. ببمد 17650697.
- Kishen R, Lomas G (2003). "Thoracic trauma". In Gwinnutt CL, Driscoll P.Trauma Resuscitation: The Team Approach. Informa Healthcare. p. 64. ISBN 1-85996-009-X. Retrieved 2008-05-03.
- Gavelli G, Canini R, Bertaccini P, Battista G, Bnà C, Fattori R (June 2002). "Traumatic injuries: imaging of thoracic injuries". European Radiology 12 (6): 1273–1294. doi:10.1007/s00330-002-1439-6. ببمد 12042932.
- Matthay RA, George RB, Light RJ, Matthay MA, ed. (2005). "Thoracic trauma, surgery, and perioperative management". Chest Medicine: Essentials of Pulmonary and Critical Care Medicine. Hagerstown, MD: Lippincott Williams & Wilkins. p. 580. ISBN 0-7817-5273-6. Retrieved 2008-04-21
- Helms CA, Brant WE (2007). Fundamentals of Diagnostic Radiology. Philadelphia: Lippincott, Williams & Wilkins. p. 557. ISBN 0-7817-6135-2. Retrieved 2008-04-29.
- White C, Stern EJ (1999). Chest Radiology Companion. Hagerstown, MD: Lippincott Williams & Wilkins. pp. 80, 176. ISBN 0-397-51732-7. Retrieved 2008-04-30.
- Gavelli G, Canini R, Bertaccini P, Battista G, Bnà C, Fattori R (June 2002). "Traumatic injuries: imaging of thoracic injuries". European Radiology 12 (6): 1273–1294. doi:10.1007/s00330-002-1439-6. ببمد 12042932
- Sattler S, Maier RV (2002). "Pulmonary contusion". In Karmy-Jones R, Nathens A, Stern EJ. Thoracic Trauma and Critical Care. Berlin: Springer. pp. 161–163. ISBN 1-4020-7215-5. Retrieved 2008-05-05
- Costantino M, Gosselin MV, Primack SL (July 2006). "The ABC's of thoracic trauma imaging". Seminars in Roentgenology 41 (3): 209–225. doi:10.1053/j.ro.2006.05.005.ببمد 16849051
- Donnelly LF (2002). "CT of Acute pulmonary infection/trauma". In Strife JL, LucayaJ.Pediatric Chest Imaging: Chest Imaging in Infants and Children. Berlin: Springer. p. 123. ISBN 3-540-43557-3. Retrieved 2008-05-01.
- Schnyder P, Wintermark M (2000). Radiology of Blunt Trauma of the Chest. Berlin: Springer. p. 62. ISBN 3-540-66217-0. Retrieved 2008-05-06.
- i Gavelli G, Canini R, Bertaccini P, Battista G, Bnà C, Fattori R (June 2002). "Traumatic injuries: imaging of thoracic injuries". European Radiology 12 (6): 1273–1294. doi:10.1007/s00330-002-1439-6. ببمد 12042932.
- H, Yoshimura H (July 2004). "Traumatic lung injury". KyobuGeka (in Japanese) 57 (8): 762–769. ببمد 15362557.
- Sartorelli KH, Vane DW (May 2004). "The diagnosis and management of children with blunt injury of the chest". Seminars in Pediatric Surgery 13 (2): 98–105.doi:10.1053/j.sempedsurg.2004.01.005. ببمد 15362279
- Kishen R, Lomas G (2003). "Thoracic trauma". In Gwinnutt CL, Driscoll P.Trauma Resuscitation: The Team Approach. Informa Healthcare. p. 64. ISBN 1-85996-009-X. Retrieved 2008-05-03
- Hara H, Yoshimura H (July 2004). "Traumatic lung injury". KyobuGeka (in Japanese) 57 (8): 762–769. ببمد 15362557.
- Collins J, Stern EJ (2007). Chest Radiology: The Essentials. Lippincott Williams & Wilkins. p. 120. ISBN 0-7817-6314-2. Retrieved 2008-04-26
- بوابة طب
