تملن المدخنين
تملن المدخنين (بالإنجليزية: Smoker's melanosis)، هو تصبغ الأنسجة الفموية بلون واضح للعين المجردة يتراوح بين البني والأسود.[1] قد يظهر هذا التصبغ في اللثة أو باطن الخدين أو الحنك،[2] وقد يظهر على مخاطية الحنجرة كذلك،[3][4] ولكن بشكل عام، يكون التملن في معظم الأحيان في اللثة الشفوية السفلية لمستخدمي التبغ، ويكون العثور عليه سهلًا في القوقازيين؛ بسبب افتقارهم إلى التصبغ الميلانيني الوراثي.[5][6]
| تملن المدخنين | |
|---|---|
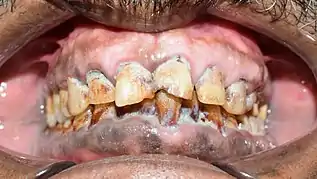
![]() التملن في قاعدة اللثة التملن في قاعدة اللثة | |
| معلومات عامة | |
| من أنواع | الآثار الصحية للتدخين |
يعود هذا التصبغ البني أو الأسود إلى الميلانين الذي تتركز وظيفته في الجلد على منع الأشعة فوق البنفسجية الضارة من الوصول إلى الأجزاء العميقة والحساسة للأنسجة. عند دخول الأشعة فوق البنفسجية الجلد، سترتبط المواد السامة الناجمة عن دخولها بالخلايا الميلانينية في الطبقة الظهارية لتهاجر بعد ذلك مع الخلايا الهرمة إلى سطح الجسم. تحمي بهذه الطريقة الخلايا الميلانينية والخلايا الكيراتينية النسيج معًا، وهكذا يعمل الميلانين كعامل دفاع وتنظيف سام.
يحدث الأمر نفسه في الغشاء المخاطي للفم حيث تتحرك الخلايا الظهارية الهرمة بشكل أسرع إلى السطح مقارنةً بالجلد؛ إذ تعمل هذه الآلية الدفاعية على تنظيف الغشاء المخاطي من المواد الكيميائية السامة المختلفة التي تخترق الظهارة. تسبب المواد الكيميائية الموجودة في التبغ تصبغًا فمويًا وكذلك الأمر مع الأدوية المضادة للملاريا. تشابه آلية تملن المدخنين التصبغ الميلانيني الوراثي؛ فكلاهما عمليًا عبارة عن نظام دفاعي.
يُظهِر المجهر اتسام تملن المدخنين بفرط تصبغ ميلانيني في الأجزاء الدنيا من ظهارة الفم، على غرار الجلد المسمر من الشمس. يتكون فرط التصبغ من حبيبات ميلانينية التي لها شكل ولون «حبوب البن» تنتجها خلايا ميلانينية شبيهة بالأخطبوط تقع بين الخلايا الظهارية بالقرب من الحدود بين النسيج الظهاري والضام.[7]
تتنبه الخلايا الميلانينية لدى مستخدمي التبغ لتنتج حبيبات الميلانين وتوزعها على الخلايا الظهارية المحيطة بها لنقل المواد السامة إلى سطح الغشاء المخاطي؛ أي كالآلية الموجودة في الجلد المصطبغ بالميلانين.
قد تشاهد كميات صغيرة من حبيبات شبيهة بالحبيبات الميلانينية وجزيئات كثيفة الإلكترونات داخل معقدات الميلانوزوم الكبيرة في النسيج الضام.[8] لكن من غير المعروف إن كانت تلك الحبيبات مشتقة من الظهارة، مع ذلك، تدعى هذه الظاهرة باسم سلس الميلانين.[9] لا يُتوقع أن تؤثر هذه الحبيبات على درجة التملن الملاحظة سريريًا لدى القوقازيين.
الأسباب

التدخين أو استخدام المواد الحاوية على النيكوتين هو سبب الإصابة بتملن المدخنين.[10][11] ومن المعروف أيضًا أن مكونات القطران (البنزوبيرين) تحفز الخلايا الميلانينية لإنتاج الميلانين، وقد تكون العوامل السامة الأخرى غير المعروفة في التبغ من أسباب التملن أيضًا. تمتلك هذه العوامل الكيميائية بنية متعددة الحلقات تشبه السلسلة. يسبب التدخين البيئي للتبغ (أو ما يعرف بالتدخين السلبي) التملن لدى الأطفال.[12][13] يسبب استنشاق بودرة التبغ السويدية ارتفاعًا بسيطًا في تملن الأنسجة المخاطية لدى الأفراد من 3.0% إلى 4.7٪.[2] تحفز كذلك أقراص النيكوتين اصطباغ الغشاء المخاطي للفم بالميلانين.[11]
العلاج والتشخيص
تختفي الآفات عادةً بين 3 أشهر و3 سنوات لدى من يتوقف عن التدخين.[2][14] تملن المدخنين هو تفاعل فسيولوجي طبيعي حميد لا يتطور إلى سرطان. ولكن إن لم تختفي الآفات بعد ذلك يمكن إجراء خزعة للتأكد من التشخيص. إذا سبب التدخين المفرط أذية في التملن كما هو الحال في الحنك الصلب للمدخنين العكسيين الذين يضعون الجزء المتوهج من السيجارة داخل الفم لأسباب مختلفة، سيظهر سطح شاحب غير مصطبغ يشير إلى فقدان الميلانين الواقي، وقد يحدث بعد ذلك التهاب أحمر في بعض الأحيان، ومن ثم قد يتبعه تطور السرطان.[15] من المهم أن تُفحَص مناطق التملن عند المدخنين العكسيين بانتظام للكشف عن أي تلف في الميلانين للتوقف عن التدخين في الوقت المناسب وتدارك حدوث السرطان.
الوبائيات
أظهرت دراسة أجريت في السويد[2] أن 21.5% من المدخنين و3% من غير المدخنين (تصبغ وراثي أو لسبب غير معروف) يملكون آفات يمكن تصنيفها على أنها تصبغ ملانيني فموي. وُضِعَ مؤشر ميلانين اللثوي يتألف من 4 درجات.[5] وجد الباحثون التملن لدى 9.3% من جميع الأشخاص المفحوصين (20.333 شخص) الذين يستهلكون 1-3 سيجارة، وتقدّر نسبة مدخني الغليون المصابين بالتملن بنحو 16.8 ٪. يظهر تملن المدخنين الواضح سريريًا بعد مرور عام واحد على بدء تدخين لدى 12.3% من النساء و17% من الرجال.
يصبح تواتر رؤية التملن أقل بعد 2-3 أشهر من التوقف عن التدخين، ولكن قد يشاهد لدى عدد قليل من المدخنين السابقين بعد ثلاث سنوات من التوقف عن التدخين.
قد تشاهد تصبغات ميلانينية واضحة سريريًا في الفم في عدة مجموعات عرقية، ولكن ستشاهد تلك التصبغات في أنحاء أكثر في المخاطية الفموية إن استُخدِمَت منتجات التبغ. ينتشر تملن المدخنين في الهند[12][15] وإيطاليا[16] واليابان[17] ونيجيريا[18] والسويد وتركيا[19][20] والولايات المتحدة[21][22] وعدة دول أخرى.[23]
قد يظهر تملن المدخنين أيضًا في أسطح الأنسجة الأخرى المعرضة للتبغ ودخان التبغ كالشفاه وجلد الأصابع التي تحمل السيجارة. ستُظهر الدراسات المستقبلية ما إذا كان استخدام التبغ سيؤدي إلى زيادة تصبغ الجلد.
انظر أيضًا
مراجع
- Hedin CA: Smoker's Melanosis. An epidemiologic, morphologic and experimental study of oral melanin pigmentation caused by tobacco. Thesis, University of Lund, Sweden 1986.
- Axéll T, Hedin CA: Epidemiologic study of excessive oral ميلانين pigmentation with special reference to the influence of tobacco habits. Scand J Dent Res 1982; 90:434-442.
- Gonzalez-Vela MC, Fernandez FA, Mayorga M, Rodriguez-Iglesias J, Val-Bernal JF: Laryngeal melanosis: report of four cases and literature review. Otolaryngol Head Neck Surg 1997; 117:708-712.
- Cordes S, Halum S, Hansen L: Laryngeal melanosis. Otolaryngol Head Neck Surg 2013; 149:733-738.
- Hedin CA: Smoker's Melanosis. Occurrence and localization in the attached gingiva. Arch Dermatol 1977; 113:1533-1538.
- https://commons.wikimedia.org/wiki/File:Smokers_melanosis.jpg
- Hedin CA, Larsson Å: The ultrastructure of the gingival epithelium in smoker's melanosis. J Periodont Res 1984; 19:177-190.
- Hedin CA, Larsson Å: Large melanosome complexes in the human gingival epithelium. J Periodont Res 1987; 22:108-113.
- Sapp JP, Eversole LR, Wysock GPi: Contemporary Oral and Maxillofacial Pathology. Chapter 6 - Epithelial Disorders. Published by Mosby,1997; St. Louis, MO.
- Hedin CA, Larsson Å: In vitro activation of amphibian dermal melanocytes by nicotine. Scand J Dent Res 1986; 94:57-65.
- Wallstrom M, Sand L, Nilsson F, Hirsch JM: The long-term effect of nicotine on the oral mucosa. Addiction 1999; 94:417-423.
- Sridharan S, Ganiger K, Satyanarayana A, Rahul A, Shetty S: Effect of environmental tobacco smoke from smoker parents on gingival pigmentation in children and young adults: a cross-sectional study. J Periodontol 2011; 82:956-962.
- Hanioka T, Tanaka K, Ojima M, Yuuki K: Association of melanin pigmentation in the gingiva of children with parents who smoke. Pediatrics 2005; 116:186-190.
- Hedin CA, Pindborg JJ, Axéll T: Depigmentation of smoker's melanosis after smoking-stop. J Oral Pathol Med 1993;22:228-230.
- Hedin CA, Pindborg JJ, Daftary DK, Mehta FS: Melanin depigmentation of the palatal mucosa in reverse smokers. J Oral Pathol Med 1992; 21:440 444.
- Pentenero M, Broccoletti R, Carbone M, Conrotto D, Gandolfo S: The prevalence of oral mucosal lesions in adults from the Turin area. Oral Dis 2008; 14:356-366.
- Araki S, Murata K, Ushio K, Sakai R: Dose-Response relationship between tobacco consumption and melanin pigmentation in the attached gingiva. Arch Environ Health 1983; 38:375-378.
- Nwhator SO, Winfunke-Savage K, Ayanbadejo P, Jeboda SO: Smoker's melanosis in a Nigerian population: a preliminary study. J Contemp Dent Pract 2007; 1:68-75.
- Unsal E, Pakosy C, Soykan E, Elhan AH, Sahin M: Oral melanin pigmentation related to smoking in a Turkish population. Community Dent Oral Epidemiol 2001; 29:272.277.
- Marakoglu K, Gursoy UK, Toker HC, Demirer S, Sezer RE, Marakoglu I: Smoking status and smoke-related gingival melanin pigmentation in army recruitments. Mil Med 2007; 172:110-113.
- Natali C, Curtis JL, Suarez L, Millman EJ: Oral mucosa pigment changes in heavy drinkers and smokers. J Natl Med Assoc 1991; 83:434-438.
- Taybos G: Oral changes associated with tobacco use. Am J Med Sci 2003; 326:179-182.
- Hedin CA, Axéll T: Oral melanin pigmentation in 467 Thai and Malaysian people with special emphasis on smoker's melanosis. J Oral Pathol Med 1991; 20:8-12.
- بوابة طب
- بوابة صحة
صور وملفات صوتية من كومنز
