ميلانين
الميلانين هي مادة صبغية بروتينية تُفرز من قبل خلايا تدعى الخلايا الطلائية وتكون في جلد الإنسان وكذلك في بصيلات الشعر وغيرها.

وهو مصطلح واسع لمجموعة من الصبغات الطبيعية الموجودة في معظم الكائنات الحية (العنكبوتيات من المجموعات القليلة التي لم يتم الكشف عنه فيها). ويتم إنتاج الميلانين عن طريق أكسدة الحمض الأميني التيروسين، تليها البلمرة. يتم إنتاج الصبغة في مجموعة متخصصة من الخلايا المعروفة باسم الخلايا الميلانية.
يبدأ إنتاج الميلانين في الجلد بعد التعرض للأشعة فوق البنفسجية، مما يسبب اسمرار الجلد بشكل واضح. يعتبر الميلانين ممتص فعال للضوء، والصبغة قادرة على تبديد أكثر من 99.9٪ من الأشعة فوق البنفسجية الممتصة.[1] وبسبب هذه الخاصية، يعتقد أنَّ الميلانين يحمي خلايا الجلد من أضرار الأشعة ما فوق البنفسجية، وبالتالي يحد من خطر الإصابة بالسرطان. وعلاوة على ذلك، على الرغم من أنَّ التعرض للأشعة فوق البنفسجية يرتبط بزيادة خطر الإصابة بسرطان الجلد الخبيث -سرطان الخلايا الميلانية- فقد أظهرت الدراسات وجود معدلات أقل للإصابة بسرطان الجلد في الأشخاص الذين لديهم تركيز أكبر من الميلانين، أي لون بشرة أكثر قتامة. ومع ذلك، لا تزال البحوث جارية لتوضيح العلاقة بين تصبُّغ الجلد والحماية بفعل الضوء.[2]
مكان وجود الميلانين
يوجد الميلانين في عدة أجزاء من الجسم وتحديداً الجلد، والعيون، والشعر، تنتج هذه المادة في طبقة البشرة (بالإنجليزية: Epidermis) في الجلد، والأجدر بالذكر أنّ جميع الناس يمتلكون العدد نفسه من الخلايا الميلانينية تقريباً، إلا أنّ كمية الميلانين التي تنتج تختلف من شخص إلى آخر حسب على العوامل الجينية، حيث تميل البشرة للون الأغمق بازدياد كمية الميلانين المصنعة فيها، ويُذكر أنّ أصحاب البشرة الداكنة ذوي كمية الميلانين الأعلى يُعتبرون أقل عرضة للتجاعيد المصاحبة لتقدم العمر وللإصابة بسرطان الجلد مقارنة بأصحاب البشرة الفاتحة.
عملها
تعتبر هذه المادة المتحكمة في لون البشرة، فعند زيادة إفراز الميلانين يحدث إسمرار للبشرة، وعند قلته يحدث بياض في البشرة، وعند انعدامه يُسمى الشخص (أمهق) ويكون أبيض تمامًا.
تعتبر هذه المادة من أكبر المواد الواقية من حرارة الشمس أيضًا. وهذا يفسر إسمرار بشرة أي شخص يتعرض كثيرًا للشمس. فكلما كان لون الجلد أفتح كانت قدرته على الحماية والمقاومة أقل وأكثر عرضة للإصابة بمرض السرطان، وأشد تأثراً بالحروق. يرتبط أيضًا ظهور الشامة بهذه المادة.
البشر

الميلانين هو المحدِّد الأساسي للون البشرة عند البشر. كما أنَّه يوجد في الشعر والأنسجة المصطبغة الموجودة خلف قزحية العين، وفي الخطوط الوعائية في الأذن الداخلية. وفي أنسجة النخاع المستطيل والخلايا العصبية في الدماغ التي تحمل صبغة داخل مناطق جذع الدماغ، مثل الموضع الأزرق والمادة السوداء. ويوجد كذلك في المنطقة الشبكية من الغدة الكظرية.
يتم إنتاج الميلانين في الجلد عن طريق الخلايا الميلانية، والتي توجد في الطبقة القاعدية من البشرة. وعلى الرغم من أنَّ البشر، بشكل عامٍ، يمتلكون تركيز مماثل من الخلايا الميلانية في الجلد، لكن الخلايا الميلانية في بعض الأفراد والأعراق المختلفة تنتج كميات متفاوتة من الميلانين. وبعض البشر لديهم كميَّات قليلة جداً أو معدومة من الميلانين في أجسادهم، وهي حالة تعرف باسم المهق. لأنَّ الميلانين هو تجمع من جزيئات مكوِّنة أصغر، فهناك العديد من الأنواع المختلفة من الميلانين تختلف في النسب وأنماط الترابط بين هذه الجزيئات المكونة. تم العثور على كل من الفيوميلانين (pheomelanin) والميلانين السوي (Eumelanin) في الجلد البشري والشعر، ولكن الميلانين السوي (Eumelanin) هو الميلانين الأكثر وفرة في البشر، وهو من المرجَّح أن يكون النوع الناقص في المصابين بالمهق.
الميلانين السوي (Eumelanin)

منذ فترة طويلة كان يُعتقد أنَّ بوليمرات الميلانين السوي تشمل العديد من (DHI) 5,6-dihydroxyindole المربوط بأواصر متصالبة، وبوليمرات (DHICA). 5,6- dihydroxyindole-2-carboxylic acid
هناك نوعان من الميلانين السوي: البني السوي والأسود السوي، واللذانِ يختلفان كيميائياً في نمط الروابط البوليمرية. كمية صغيرة من النوع الأسود في غياب الأصباغ الأخرى تسبب الشعر الرمادي (الشيب). وكمية صغيرة من النوع البني في غياب الأصباغ الأخرى تسبَِّب اللون الأصفر (الأشقر) للشعر.
الفيوميلانين (Pheomelanin)

يضيف الفيوميلانين اللون الوردي وقد يميل إلى الاحمرار، وهذا يعتمد على التركيز. يتركَّز الفيوميلانين خاصة في الشفاه والحلمات وحشفة القضيب والمهبل.[3][4] عندما تختلط كمية صغيرة من الميلانين السوي البني في الشعر، والتي وحدها تسبب الشعر الأشقر، مع الفيوميلانين الأحمر، النتيجة تكون الشعر الأحمر.[5] كيميائياً، الفيوميلانين يختلف عن الميلانين السوي في أنَّ الهيكل قليل الوحدات يضم وحدات بنزوثيازين وبنزوثيازول التي يتم إنتاجها،[6] بدلاً من DHI وDHICA، عندما يكون الحمض الأميني L-سيستين موجودًا.
الأصباغ ثلاثية الألوان (Trichochromes)
Trichochromes (و كانت تسمى سابقاً trichosiderins) هي أصباغ تنتج من نفس المسار الأيضي الذي ينتج الميلانين السوي والفيوميلانين، ولكن خلافا لهم لدى هذه الأصباغ وزن جزيئي منخفض. وتتواجد في بعض من الشعر البشري الأحمر.[7]
الميلانين العصبي (Neuromelanin)
هو بوليمر ذو صبغة قاتمة اللون ينتج في فئات معينة من الخلايا العصبية الكاتيكولامينية في الدماغ. البشر لديهم أكبر قدر من الميلانين العصبي، وهو موجود بكميات أقل في الثدييات غير البشرية، وغائب تمامًا في الأنواع الأخرى.[8] وقد أظهر الميلانين العصبي البشري قدرته على الارتباط بالمعادن الانتقالية بكفاءة مثل الحديد، وكذلك جزيئات سامة أخرى. ومع ذلك، لا تزال وظيفته البيولوجية غير معروفة، ولكنه قد يلعب أدواراً حاسمة في موت الخلايا المبرمج ومرض باركنسون.[9]
الكائنات الحيَّة الأخرى
الأصباغ الميلانينية لها أدوار ووظائف متنوعة للغاية في الكائنات الحية المختلفة. وهناك صنف من الميلانين مسؤول عن تكوين الحبر المستخدم من قبل العديد من رأسيات الأرجل كآلية دفاع ضد الحيوانات المفترسة. الأصباغ الميلانينية تحمي أيضا الكائنات الحية الدقيقة مثل البكتيريا والفطريات، ضد الضغوط التي تؤدي إلى تلف الخلايا مثل الأشعة فوق البنفسجية من الشمس وأنواع الأكسجين التفاعلية. و يحمي الميلانين أيضاً ضدّ الأضرار الناجمة عن ارتفاع درجات الحرارة والضغوط الكيميائية (مثل المعادن الثقيلة والعوامل المؤكسدة)، والتهديدات الكيميائية الحيوية (مثل دفاعات المضيف ضد غزو الميكروبات).[10] ولذلك، في الكثير من الميكروبات المسببة للأمراض (على سبيل المثال، في الأدعومية المستخفية، نوع من الفطريات) تلعب هذه الأصباغ أدواراً مهمة في الفوعة (مقدار حدَة مسبب المرض) والإمراضية من خلال حماية الميكروب ضد الاستجابات المناعية للمضيف. في اللافقاريات، يشكل الميلانين جانباً رئيسياً من منظومة الدفاع المناعي الفطري ضد مسببات الأمراض الغازية. في غضون دقائق بعد الإصابة بالعدوى، يتم تغليف الميكروب داخل الميلانين (التصبغ)، ويعتقد أنَّ صنع منتجات ثانوية وهي الجذور الحرة خلال تشكيل هذه الكبسولة يساعد في قتل الميكروبات.[11] ويبدو أنَّ بعض أنواع الفطريات، التي تدعى بradiotrophic fungi، قادرة على استخدام الميلانين كصبغة بناء ضوئي تمكنها من التقاط أشعة غاما [12] وتسخير هذه الطاقة للنمو.[13] الميلانين مهم في تصبغ الثديات.[14] الريش الأسود للطيور يرجع لونه إلى الميلانين؛ ويتحلل بفعل البكتيريا بسرعة أقل من الريش الأبيض، أو ذاك الذي يحتوي على أصباغ أخرى مثل الكاروتينات.[15]]وفي عين الطير، هنالك عضو متخصص غني بالأوعية الدموية يدعى ممشط العين، وهو أيضاً غني بالميلانين، الذي له دور في امتصاص الضوء الساقط على القرص البصري واستخدامه في تدفئة العين. وهذا بدوره قد يحفز إفراز المواد الغذائية من ممشط العين لشبكية العين، عن طريق الخلط الزجاجي. وذلك منطقي لأنَّ شبكية العين في الطيور خالية من الأوعية الدموية الخاصة بها. في الظهارة الصبغية للشبكية، وجود كميات كبيرة من حبيبات الميلانين قد تقلل أيضاً التشتت الإرادي لضوء الصورة على شبكية العين. في بعض الفئران يُستخدم الميلانين بشكل مختلف قليلاً. على سبيل المثال في الفأر الأغوطي الشعر يبدو بنيا بسبب التبادل ما بين إنتاج الميلانين السوي الأسود ومجموعة صفراء من الفيوميلانين. إنَّ الشعر لديهم في الواقع هو تجمعات من الأسود والأصفر والناتج النهائي هو اللون البني في معظم الفئران. و يمكن لبعض المخالفات الوراثية أن تنتج فئرانا إمَّا سوداء أو صفراء تماماً.
النبات


الميلانين الذي تنتجه النباتات يشار إليه أحياناً باسم "ميلانين الكاتيكول " لأنه يمكن أنْ يسفر عن الكاتيكول عند تعريضه للانصهار القلوي. ونرى هذا عادة في الإنضاج الإنزيمي للفواكه (اكتساب اللون البني) مثل الموز. الإنتاج الحيوي يشمل أكسدة indole-5,6-quinone من قبلtyrosinase نوعه polyphenol oxidase من التيروسين والكاتيكولامينات مما يؤدي إلى تشكيل ميلانين الكاتيكول. على الرغم من ذلك، فإنَّ العديد من النباتات تحتوي على مركبات تثبط من إنتاج الميلانين.[16]
سبل التصنيع الحيوي
.svg.png.webp)
الخطوة الأولى من المسار لكل من الميلانين السوي والفيوميلانين محفزة من قبل التيروسينيز(tyrosinase): Tyrosine → DOPA → dopaquinone
يمكن أن يتحد الdopaquinoneمع السيستين فيمسارين لbenzothiazines وpheomelanins :
Dopaquinone + cysteine → 5-S-cysteinyldopa → benzothiazine intermediate → pheomelanin
Dopaquinone + cysteine → 2-S-cysteinyldopa → benzothiazine intermediate → pheomelanin



أيضا، يمكن تحويل الdopaquinone إلى leucodopachrome ويمكن أن يتبع مسارين آخرين للوصول إلى الeumelanins :
Dopaquinone → leucodopachrome → dopachrome → 5,6-dihydroxyindole-2-carboxylic acid → quinone → eumelanin
Dopaquinone → leucodopachrome → dopachrome → 5,6-dihydroxyindole → quinone → eumelanin
المسارات الأيضية المفصَّلة يمكن العثور عليها في قاعدة بيانات الKEGG.
المظهر المجهري
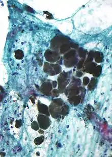
الميلانين له لون بني وهو لا يكسر الأشعة ويتكون من حبيبات ناعمة يبلغ قطر الواحدة منها أقل من 800 نانومتر. هذا يفرق الميلانين عن الأصباغ الناتجة عن تدمير خلايا الدم، والتي هي أكبر، مكتنزة، وكاسرة للأشعة، وتتراوح في اللون من الأخضر إلى الأصفر أو الأحمر المائل للبني. في الآفات المصطبغة بشكل كبير، يمكن للمجاميع الكثيفة من الميلانين أن تحجب التفاصيل النسيجية. و يعتبر المحلول المخفف من برمنجنات البوتاسيوم مبيض فعال للميلانين.
الاضطرابات الوراثية والحالات المرضية
لقد تم ربط نقص الميلانين بعدد من التشوهات الجينية المختلفة والحالات المرضية. فهناك ما يقرب من تسعة أنواع مختلفة من المهق العيني الجلدي، التي هي في معظمها اضطرابات وراثية صبغية جسدية متنحية. بعض الأعراق لديهم معدلات حدوث أعلى لبعض الأصناف المختلفة. على سبيل المثال، النوع الأكثر شيوعاً، الذي يُدعى المهق العيني الجلدي نوع 2 (OCA2)، منتشر خاصة بين المنحدرين من أصل إفريقي أسود.و هو اضطراب وراثي صبغي جسدي متنحي يتسم بانخفاض خلقي أو عدم وجود لصبغة الميلانين في الجلد والشعر والعينين. تقدر نسبة حدوث الOCA2 بين الأمريكيين من أصل أفريقي ب 1 لكل 10000، وهذا يتناقض مع نسبة حدوثه في الأميركيين البيض وهي 1لكل 36000.[17] وفي بعض الدول الإفريقية تكون نسبة حدوثه أعلى من ذلك، وتتراوح ما بين 1 لكل 2000 و 1 لكل 5000.[18] وهناك صنف آخر من المهق، "المهق العيني الجلدي الأصفر"، ولوحظ أنَّه أكثر انتشاراً بين الآميش، الذين هم من أصل سويسري وألماني. إنَّ الناس الذين لديهم هذا النوع(IB) من الاضطراب يُولدون عادةً بشعر أبيض وجلد أبيض، ولكن سريعاً ما يصبح لديهم تصبغ جلد طبيعي في مرحلة الطفولة.[18] لا يؤثر المهق العيني على تصبغ العين فقط بل على حدة البصر أيضاً. فالأشخاص المصابون بالمهق عادة ما يحصلون على نتائج سيئة في امتحان النظر، ما بين 20/60 إلى 20/400. بالإضافة إلى ذلك هناك نوعان من المهق مرتبطان بالوفيات الناجمة عن سرطان الجلد، ويتواجدان في 1 من كل 2700، وهم أكثر انتشاراً بين الناس من الأصل البورتوريكي. نسبة الوفاة تزداد أيضاً في المرضى الذين يعانون من متلازمة Hermansky-Pudlak ومتلازمةChediak-Higashi . المرضى الذين يعانون من متلازمة Hermansky-Pudlak لديهم أهبة للنزيف ناتجة عن ضعف الصفائح الدموية، ويعانون أيضاً من الأمراض المقيدة للرئة (التليف الرئوي)، وأمراض التهاب الأمعاء، وأمراض القلب، وأمراض الكلى. أمَّا المرضى الذين يعانون من متلازمة Chediak-Higashi فهم عرضة للإصابة بالعدوى، ويمكن أيضاً أن يُصابوا بالسرطان الليمفاوي المسامي (lymphofollicular malignancy) . إنَّ الدور الذي يقوم به نقص الميلانين في مثل هذه الاضطرابات لا يزال قيد الدراسة. و العلاقة بين المهق والصمم معروفة، على الرغم من أنَّها غير مفهومة بشكل جيد. في كتابه"أطروحة أصل الأنواع" عام 1859 ، لاحظ تشارلز داروين أنَّ "القطط البيضاء تماماً ولها عيون زرقاء تكون صماء عموماً".[19] و في البشر، نقص التصبُّغ والصمم يحدثان معا في متلازمة فاردينبيرغ النادرة، التي لوحظت في الغالب بين الهوبي في أمريكا الشمالية.[20] وقدرت حالات المهق في الهنود الهوبي بحوالي 1 لكل 200 شخص. ومن المثير للاهتمام أنْ نلاحظ أنَّ أنماط مماثلة من المهق والصمم قد وجدت في ثدييات أخرى، بما في ذلك الكلاب والقوارض. ومع ذلك، يلاحظ أنَّ عدم وجود الميلانين غير مسؤول بشكل مباشر عن الصمم المرتبط بنقص التصبغ، حيث أنَّ معظم الأفراد الذين يفتقرون إلى الإنزيمات اللازمة لتصنيع الميلانين تكون وظيفة السمع لديهم طبيعية.[21] لكن غياب الخلايا الصباغية في الخطوط الوعائية من الأذن الداخلية يؤدِّي إلى ضعف في القوقعة، [22] و سبب حدوث ذلك لم يُفهم بعد. في مرض باركنسون، وهو اضطراب يؤثر على الأداء الحركي، هنالك نقص في الميلانين العصبي في المادة السوداء والموضع الأزرق locus coeruleus نتيجة لفقدان عدد محدد من الخلايا العصبية الصباغية النورأدرينيلية والدوبامينية. وهذا يؤدي إلى تقليل إنتاج الدوبامين والنورادرينالين. في حين عدم ملاحظة أي علاقة بين العرق ومستوى الميلانين العصبي في المادة السوداء، ولكن معدلات الإصابة بالباركنسون التي تقل كثيراً في السود عن البيض تشير إلى أنَّ مادة الميلانين الجلدي قد تحمي بطريقة ما الميلانين العصبي في المادة السوداء في الدماغ من السموم الخارجية.[23] بالإضافة إلى نقص الميلانين، يمكن أنْ ينخفض الوزن الجزيئي لبوليمر الميلانين عن طريق عدة عوامل مثل الإجهاد التأكسدي، والتعرض للضوء، والاضطراب في ارتباطه مع البروتينيات الميلانوسومية المطرسية، والتغيرات في درجة الحموضة أو في تركيزات أيونات المعادن. وقد اقترح أن انخفاض الوزن الجزيئي أو الانخفاض في درجة بلمرة الميلانين في العين مسؤولان عن تحويل البوليمر-وهو مضاد للأكسدة في حالته الطبيعية- إلى موالي للأكسدة. وقد اقترح أنَّ الميلانين بحالته الموالية للأكسدة يشارك في تطور والتسبب بالضمور البقعي وسرطان الجلد.[24] Rasagiline، دواء مهم في المعالجة الأحادية لمرض باركنسون، لديه خصائص الارتباط بالميلانين، وخصائص تقليل ورم سرطان الجلد.[25] المستويات المرتفعة من الميلانين السوي من الممكن أن يكون لها جانب سلبي أيضاً، أكثر من مجرد زيادة احتمالية التعرض لنقص فيتامين د. البشرة الداكنة تعقد عملية إزالة البقع الخمرية في الجلد(نوع من الوحمات) بالليزر، وهذه العملية فعالة في علاج البشرة البيضاء وهي أقل نجاحاً في إزالة هذه البقع في السكان المنحدرين من أصل آسيوي أو أفريقي. التركيزات الأعلى من الميلانين في البشرة الداكنة تنتشر وتمتص أشعة الليزر، مما يعيق امتصاص الضوء من قبل الأنسجة المستهدفة. بطريقة مماثلة، يمكن للميلانين تعقيد العلاج بالليزر لحالات جلدية أخرى في الناس ذوي البشرة الداكنة. يتشكل النمش والشامات حيث يوجد تركيز موضعي من الميلانين في الجلد. ويرتبط تشكلهم إلى حدٍّ كبير بالبشرة الفاتحة. النيكوتين لديه أُلفة للأنسجة التي تحتوي على الميلانين لأنَّ لديه وظيفة في إنتاج الميلانين أو بسبب ارتباطه مع الميلانين الذي لا يعكس. وقد اقترح أنَّ هذا ما يكمن وراء زيادة الاعتماد على النيكوتين وانخفاض معدلات الإقلاع عن التدخين عند الأشخاص ذوي البشرة الداكنة.[26]
التكيف البشري
الخلايا الميلانينية تضيف حبيبات من الميلانين إلى حويصلات خلوية متخصصة تسمى الأجسام الصباغية. ثم يتم نقل هذه إلى خلايا الجلد الأخرى من البشرة. والأجسام الصباغية في كل من خلايا المتلقي تتراكم فوق نواة الخلية، حيث أنَّها تحمي الحمض النووي من الطفرات التي تسببها الإشعاعات المؤينة من أشعة الشمس فوق البنفسجية. بشكل عام، الأشخاص الذين عاش أجدادهم لفترات طويلة في مناطق بالقرب من خط الاستواء لديهم كميات أكبر من الميلانين السوي في جلودهم. وهذا يجعل لون جلودهم بنيَّاً أو أسود أو يحميهم عند التعرض لمستويات عالية من أشعة الشمس، والتي تسبب في الكثير من الأحيان سرطان الجلد لدى أصحاب البشرة الفاتحة.[27] في البشر، التعرض لأشعة الشمس يحفز الجلد على إنتاج فيتامين د. و لأنَّ مستويات الميلانين الجلدي العالية تعمل كواق طبيعي من أشعة الشمس، فمن الممكن للبشرة الداكنة أن تكون عامل خطر لنقص فيتامين د في المناطق المعروفة باسم المناطق المعتدلة الباردة، أي فوق 36 درجة من خط العرض في نصف الكرة الشمالي وأدنى من 36 درجة في نصف الكرة الجنوبي. ونتيجة لذلك، فقد أصدرت السلطات الصحية في كندا والولايات المتحدة الأمريكية توصيات لذوي البشرة الداكنة (بما في ذلك المنحدرين من أصل أوروبي جنوبي) بأن يستهلكوا ما بين 1000-2000 وحدة دولية (IU) من فيتامين د يوميا، من فصل الخريف إلى الربيع. [بحاجة لمصدر] تشير أحدث الأدلة العلمية إلى أنَّ جميع البشر نشأوا في أفريقيا،[28] ثم أهلوا بقية العالم خلال القرون المتعاقبة. ويبدو من المرجح أنَّ أول البشر المعاصرين كان لديهم أعداد كبيرة نسبيا من الخلايا الصباغية التي تنتج الميلانين السوي. وفقا لذلك، كان لديهم بشرة داكنة كما هي بشرة السكان الأصليين في إفريقيا اليوم. وبما أنَّ بعض هذه الشعوب الأصلية هاجروا واستقروا في مناطق آسيا وأوروبا، انخفض الضغط الانتقائي لإنتاج الميلانين السوي في المناخات التي كان إشعاع الشمس فيها أقل قوة.و من بين النوعين الجينيين المعروفَين بارتباطهما بشحوب جلد الإنسان،Mc1r [29] لا يبدو أنَّه خضع للانتقاء الإيجابي، في حين أن SLC24A5 [30] خضع لذلك. كما هو الحال مع الشعوب الذين هاجروا شمالاً، ذوو البشرة الفاتحة المهاجرون نحو خط الاستواء عليهم التأقلم مع الإشعاع الشمسي الأقوى بكثير.معظم جلود الناس تصبح أغمق لوناً عند تعرضها للأشعة فوق البنفسجية ،وهذا يمنحهم المزيد من الحماية عند الحاجة إليها. هذا هو الغرض الفسيولوجي للدباغة الشمسية. الناس ذوو البشرة الداكنة، الذين ينتجون كميات أكبر من الميلانين السوي لحماية الجلد لديهم قدر أكبر من الحماية ضد حروق الشمس والإصابة بسرطان الجلد (في الخلايا الصبغية)،وهو من أنواع سرطانات الجلد التي يحتمل أن تكون مميتة، فضلاً عن غيرها من المشاكل الصحية المرتبطة بالتعرض للإشعاع الشمسي القوي، بما في ذلك التحلل الضوئي لبعض الفيتامينات مثل الريبوفلافينات،الكاروتينات،توكوفيرول، وحمضالفوليك. الميلانين في العيون، في القزحية والمشيمية، يساعد على حمايتهم من الأشعة فوق البنفسجية والضوء المرئي ذو الترددات العالية. الأشخاص الذين يملكون عيوناً لونها رمادي أو أزرق أو أخضر هم أكثر عرضة لمشاكل العين المتصلة بالشمس.و إنَّ عدسة العين تصفر مع تقدم السن، موفرة حماية إضافية. لكن العدسة أيضاً تصبح أكثر جموداً مع التقدم في السن، وتفقد معظم قابليتها على التكيف – القدرة على تغيير التركيز على الأشكال من الأبعد إلى الأقرب–وهذا على الارجح سببه تشابك البروتينات بأُصر متصالبة والذي ينجم عن التعرض للأشعة فوق البنفسجية. وتشير الأبحاث الحديثة أنَّ الميلانين قد يخدم دوراً وقائيَّاً غير الحماية بفعل الضوء.[31] الميلانين قادر على أن يربط أيونات المعادن من خلال مجموعات الكربوكسيل والفينولهيدروكسيل الخاصة به ، وفي كثير من الحالات بكفاءة أكبر بكثير من العامل الخالب القوي الEDTA. وهكذا، فإنَّه قد يعمل على تنحية أيونات المعادن السامة وحماية ما تبقى من الخلية. ويدعم هذه الفرضية أنَّ فقدان الميلانين العصبي الذي لوحظ في مرض باركنسون يرافقه زيادة في مستويات الحديد في المخ.
الخصائص الفيزيائية والتطبيقات التكنولوجية
توجد أدلة لدعم وجود بوليمر ذو أصر متصالبة كثيرة heteropolymerمرتبط تساهميّاً ب matrix scaffolding melanoproteins.[32] وقد اقترح أنَّ قدرة الميلانين على القيام بدور مضاد للأكسدة يتناسب طرديَّاً مع درجة البلمرة أو الوزن الجزيئي.[33] إذا كانت الظروف دون المستوى الأمثل للبلمرة الفعالة للوحدات الأحادية للميلانين فقد يؤدي ذلك إلى تشكيل ميلانين ذي وزن جزيئي منخفض وموالي للأكسدة، والذي ربط بالتسبب بحدوث وتطور الضمور البقعي وسرطان الجلد.[34] مسارات الإشارات التي تزيد من التصبغ في الظهارة الصبغية للشبكية (RPE) قد تكون أيضاً منخرطة في التقليل من بلعمة الجزء الخارجي من القضبان في الشبكية. وقد نسبت هذه الظاهرة جزئياً إلى التجنيب النقري في الضمور البقعي.[35]
انظر ايضا
المراجع
- Meredith P, Riesz J (February 2004). "Radiative relaxation quantum yields for synthetic eumelanin". Photochemistry and Photobiology. 79 (2): 211–6. doi:10.1111/j.1751-1097.2004.tb00012.x. PMID 15068035. الوسيط
|CitationClass=تم تجاهله (مساعدة) - Brenner M, Hearing VJ (2008). "The protective role of melanin against UV damage in human skin". Photochemistry and Photobiology. 84 (3): 539–49. doi:10.1111/j.1751-1097.2007.00226.x. PMC 2671032. PMID 18435612. الوسيط
|CitationClass=تم تجاهله (مساعدة) - http://www.metacyc.org/META/NEW-IMAGE?type=COMPOUND&object=CPD-12380%7B%7Bfull%7Cdate=August 2014}}
- Vincent J. Hearing and Katsuhiko Tsakamoto (1991), "Enzymatic control of pigmentation in mammals" (PDF), The FASEB Journal, 5 (14): 2902–2909, PMID 1752358, مؤرشف من الأصل في 5 يوليو 2016 الوسيط
|CitationClass=تم تجاهله (مساعدة); الوسيط|separator=تم تجاهله (مساعدة)CS1 maint: ref=harv (link) - V.Krishnaraj, M.D, Skin Layers[استشهاد منقوص البيانات]
- Greco G, Panzella L, Verotta L, d'Ischia M, Napolitano A (April 2011). "Uncovering the structure of human red hair pheomelanin: benzothiazolylthiazinodihydroisoquinolines as key building blocks". Journal of Natural Products. 74 (4): 675–82. doi:10.1021/np100740n. PMID 21341762. الوسيط
|CitationClass=تم تجاهله (مساعدة)صيانة CS1: أسماء متعددة: قائمة المؤلفون (link) - G. Prota and A. G. Searle (1978), "Biochemical sites of gene action for melanogenesis in mammals" (PDF), Annales de génétique et de sélection animale, 10 (1): 1–8, doi:10.1186/1297-9686-10-1-1, مؤرشف من الأصل (PDF) في 16 أكتوبر 2015 الوسيط
|CitationClass=تم تجاهله (مساعدة); الوسيط|separator=تم تجاهله (مساعدة)CS1 maint: ref=harv (link) - Fedorow H, Tribl F, Halliday G, Gerlach M, Riederer P, Double KL (2005). "Neuromelanin in human dopamine neurons: comparison with peripheral melanins and relevance to Parkinson's disease". Prog Neurobiol. 75 (2): 109–124. doi:10.1016/j.pneurobio.2005.02.001. PMID 15784302. الوسيط
|CitationClass=تم تجاهله (مساعدة)صيانة CS1: أسماء متعددة: قائمة المؤلفون (link) - Double KL (2006). "Functional effects of neuromelanin and synthetic melanin in model systems". J Neural Transm. 113 (6): 751–756. doi:10.1007/s00702-006-0450-5. PMID 16755379. الوسيط
|CitationClass=تم تجاهله (مساعدة) - Hamilton AJ, Gomez BL (March 2002). "Melanins in fungal pathogens". Journal of Medical Microbiology. 51 (3): 189–91. doi:10.1099/0022-1317-51-3-189. PMID 11871612. مؤرشف من الأصل في 11 فبراير 2018. الوسيط
|CitationClass=تم تجاهله (مساعدة) - Cerenius L, Söderhäll K (April 2004). "The prophenoloxidase-activating system in invertebrates". Immunological Reviews. 198: 116–26. doi:10.1111/j.0105-2896.2004.00116.x. PMID 15199959. الوسيط
|CitationClass=تم تجاهله (مساعدة) - Castelvecchi, Davide (May 26, 2007). "Dark Power: Pigment seems to put radiation to good use". Science News. 171 (21): 325. doi:10.1002/scin.2007.5591712106. مؤرشف من الأصل في 24 أبريل 2008. الوسيط
|CitationClass=تم تجاهله (مساعدة) - "Ionizing radiation changes the electronic properties of melanin and enhances the growth of melanized fungi". Plos One. 2 (5): e457. 2007. doi:10.1371/journal.pone.0000457. PMC 1866175. PMID 17520016. الوسيط
|CitationClass=تم تجاهله (مساعدة) - Jimbow, K; Quevedo WC, Jr; Fitzpatrick, TB; Szabo, G (Jul 1976). "Some aspects of melanin biology: 1950-1975". The Journal of investigative dermatology. 67 (1): 72–89. doi:10.1111/1523-1747.ep12512500. PMID 819593. الوسيط
|CitationClass=تم تجاهله (مساعدة) - Grande, Juan Manuel (2004). "The evolution of bird plumage colouration; a role for feather-degrading bacteria?". Ardeola. 51 (2): 375–83. doi:10.1007/s00114-008-0462-0. الوسيط
|CitationClass=تم تجاهله (مساعدة) - Kim, Y.-J.; Uyama, H. (15 May 2005). "Tyrosinase inhibitors from natural and synthetic sources: structure, inhibition mechanism and perspective for the future". Cellular and Molecular Life Sciences. 62 (15): 1707–1723. doi:10.1007/s00018-005-5054-y. الوسيط
|CitationClass=تم تجاهله (مساعدة) - Oculocutaneous Albinism نسخة محفوظة 23 ديسمبر 2008 على موقع واي باك مشين.
- "Ocular Manifestations of Albinism" نسخة محفوظة 02 ديسمبر 2008 على موقع واي باك مشين.
- http://pages.britishlibrary.net/charles.darwin/texts/origin_6th/origin6th_01.html%7B%7Bdead link|date=August 2014}}
- EntrezGene 300700
- EntrezGene 606933
- Cable J, Huszar D, Jaenisch R, Steel KP (February 1994). "Effects of mutations at the W locus (c-kit) on inner ear pigmentation and function in the mouse". Pigment Cell Research. 7 (1): 17–32. doi:10.1111/j.1600-0749.1994.tb00015.x. PMID 7521050. الوسيط
|CitationClass=تم تجاهله (مساعدة)صيانة CS1: أسماء متعددة: قائمة المؤلفون (link) - Lewy Body Disease[استشهاد منقوص البيانات] نسخة محفوظة 21 يوليو 2009 على موقع واي باك مشين.
- Meyskens FL, Farmer P, Fruehauf JP (June 2001). "Redox regulation in human melanocytes and melanoma". Pigment Cell Research. 14 (3): 148–54. doi:10.1034/j.1600-0749.2001.140303.x. PMID 11434561. الوسيط
|CitationClass=تم تجاهله (مساعدة)صيانة CS1: أسماء متعددة: قائمة المؤلفون (link) - "Comparison of oral and transdermal administration of rasagiline mesylate on human melanoma tumor growth in vivo". Cutaneous and Ocular Toxicology. 31 (4): 312–7. December 2012. doi:10.3109/15569527.2012.676119. PMID 22515841. الوسيط
|CitationClass=تم تجاهله (مساعدة) - King G, Yerger VB, Whembolua GL, Bendel RB, Kittles R, Moolchan ET (June 2009). "Link between facultative melanin and tobacco use among African Americans". Pharmacology, Biochemistry, and Behavior. 92 (4): 589–96. doi:10.1016/j.pbb.2009.02.011. PMID 19268687. الوسيط
|CitationClass=تم تجاهله (مساعدة)صيانة CS1: أسماء متعددة: قائمة المؤلفون (link) - Smithsonian Human Skin Color Variation The Smithsonian National Museum of Natural History نسخة محفوظة 06 مارس 2016 على موقع واي باك مشين.
- "The genetic structure and history of Africans and African Americans". Science. 324 (5930): 1035–44. May 2009. doi:10.1126/science.1172257. PMC 2947357. PMID 19407144. الوسيط
|CitationClass=تم تجاهله (مساعدة) - Harding RM, Healy E, Ray AJ, et al. (April 2000). "Evidence for variable selective pressures at MC1R". American Journal of Human Genetics. 66 (4): 1351–61. doi:10.1086/302863. PMC 1288200. PMID 10733465. الوسيط
|CitationClass=تم تجاهله (مساعدة) - "SLC24A5, a putative cation exchanger, affects pigmentation in zebrafish and humans". Science. 310 (5755): 1782–6. December 2005. doi:10.1126/science.1116238. PMID 16357253. الوسيط
|CitationClass=تم تجاهله (مساعدة) - Liu Y, Hong L, Kempf VR, Wakamatsu K, Ito S, Simon JD (June 2004). "Ion-exchange and adsorption of Fe(III) by Sepia melanin". Pigment Cell Research. 17 (3): 262–9. doi:10.1111/j.1600-0749.2004.00140.x. PMID 15140071. الوسيط
|CitationClass=تم تجاهله (مساعدة)صيانة CS1: أسماء متعددة: قائمة المؤلفون (link) - Donatien PD, Orlow SJ (August 1995). "Interaction of melanosomal proteins with melanin". European Journal of Biochemistry. 232 (1): 159–64. doi:10.1111/j.1432-1033.1995.tb20794.x. PMID 7556145. الوسيط
|CitationClass=تم تجاهله (مساعدة) - Sarangarajan R, Apte SP (2005). "Melanin aggregation and polymerization: possible implications in age-related macular degeneration". Ophthalmic Research. 37 (3): 136–41. doi:10.1159/000085533. PMID 15867475. الوسيط
|CitationClass=تم تجاهله (مساعدة) - Meyskens FL, Farmer PJ, Anton-Culver H (April 2004). "Etiologic pathogenesis of melanoma: a unifying hypothesis for the missing attributable risk". Clinical Cancer Research. 10 (8): 2581–3. doi:10.1158/1078-0432.ccr-03-0638. PMID 15102657. الوسيط
|CitationClass=تم تجاهله (مساعدة)صيانة CS1: أسماء متعددة: قائمة المؤلفون (link) - Sarangarajan R, Apte SP (2005). "Melanization and phagocytosis: implications for age related macular degeneration". Molecular vision. 11: 482–90. PMID 16030499. مؤرشف من الأصل في 02 أغسطس 2019. الوسيط
|CitationClass=تم تجاهله (مساعدة)
وصلات خارجية
- بوابة ألوان
- بوابة الكيمياء
- بوابة تايلاند
- بوابة علم الأحياء
- بوابة علم الأحياء الخلوي والجزيئي
- بوابة علم الأحياء القديمة