تنكس دهني
في علم الأمراض الخلوي، يتم تعريف التنكس الدهني (يسمى أيضًا التغير الدهني أو التبدل الدهني أو الاعتلال الدهني أو التدهور الدهني) بالعملية التي تصف الاحتفاظ غير الطبيعي بوصف الدهنيات داخل الخلية. فهو يعكس وجود ضعف في عمليات التركيب الطبيعية والتخلص من دهن الجرسليد الثلاثي. تتراكم الدهنيات الزائدة في الحويصلات التي تزيح الهيولي. عندما تكون الحويصلات كبيرة بما يكفي لتشويه النواة، تعرف هذه الحالة باسم تنكس الحويصلات الدهني، وتعرف أيضًا من ناحية أخرى باسم تنكس صغير الحويصلات الدهني. في حين أنه لا يعتبر ضارًا للخلية في الحالات الخفيفة، إلا أن التراكمات الكبيرة يمكن أن تعطل مكونات الخلية، وقد تنفجر الخلية في الحالات الشديدة
| تنكس دهني | |
|---|---|


وتتنوع عوامل الخطر المرتبطة بالتنكس الدهني، وتشمل السكري،[1] سوء التغذية البروتينية،[2] ارتفاع ضغط الدم[3] تسمم الخلية السمنة،[4] نقص الأكسجين[5] انقطاع النفس أثناء النوم.[6][7][8] ولأن الكبد هو العضو الرئيس لاستقلاب الدهون فإنه غالبًا ما يقترن بالتنكس الدهني، ومع ذلك فقد يحدث في أي عضو، عادة الكلى والقلب والعضلات.[5]
نشوء المرض
لا توجد آلية واحدة تؤدي إلى حدوث التنكس الدهني، بل هناك العديد من الأمراض المتنوعة تعطل حركة الدهون الطبيعية عبر الخلية وتسبب التراكم. هذه الآليات يمكن التفريق بينها بحسب تسببها في زيادة الدهون والذي لا يمكن إزالته بسرعة كافية (أكثر من اللازم)، أو تسببها في فشل توزيع الدهون (لا تستخدم بما فيه الكفاية).
وتعد الحويصلات الشكل الأكثر شيوعًا للتنكس الدهني، وقد تكون ناجمة عن زيادة مفرطة في الدهون بسبب السمنة أو توقف التنفس الانسدادي أثناء النوم (OSA)،[9] أو مقاومة الأنسولين أو الكحولية. قد تسبب أيضًا سوء التغذية تعبئة الدهون من الخلايا الدهنية وخلق فائض محلي في الكبد حيث يحدث استقلاب الشحوم. كما يمكن للكحول الزائد أن يتسبب في التنكس الدهني على مدى فترة طويلة من الزمن. ينتج توزيع كمية كبيرة من الإيثانول في المشروبات الكحولية كميات كبيرة من الطاقة الكيميائية، في شكل ثنائي نيكليوتيدة الأدنين وأميد النيكوتنك، مما يرسل إشارات إلى الخلية لمنع توزيع الأحماض الدهنية (التي تنتج الطاقة أيضًا) وتزيد في نفس الوقت تجميع الأحماض الدهنية. هذا "الشعور الزائف بالطاقة" ينتج عنه إفراز للدهنيات أكثر من اللازم.
يتميز التنكس الدهني لصغير الحويصلات بفجوات صغيرة من الدهون داخل الهيولى (الليبوزومات) تتراكم في الخلية. الأسباب الشائعة هي التتراسكلين الكبد الدهني الحاد في حالة الحمل ومتلازمة راي والتهاب الكبد الفيروسي د.
يمكن أن يؤدي فشل استقلاب الدهون أيضًا إلى الآليات التي من شأنها استخدام الدهون التي تصبح ضعيفة أو إزالتها بشكل طبيعي، مما يؤدي إلى تراكم الشحوم غير المستخدمة في الخلية. تتداخل بعض السموم، مثل الكحوليات ورباعي كلوريد الكربون والأسبرين وذيفان الخناق، مع آليات الخلوية المشاركة في استقلاب الدهون. في الذين يعانون من داء غوشيه، تفشل الأجسام الحالة في تحليل الدهنيات وينشأ التنكس الدهني من تراكم الشحم السكري. سوء التغذية البروتينية كالتي نراها في مرض كواشيوركور، هي نتاج عدم وجود البروتين الشحمي للسلائف داخل الخلية، وبالتالي فإن نسبة الدهون غير المستخدمة التي تشارك عادةً في التنكس الدهني للبروتين الدهني تبدأ في التراكم.
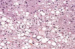
علم الأنسجة
تشريحيًا، التنكس الدهني واضح ماديًا حيث إن الدهنيات داخل الغشاء تخرج حويصلات الخلايا المتنية (parenchyma).[5] عندما يكون هذا النسيج ثابتًا وملونًا ليتم عرضه بشكل أفضل تحت المجهر، تذوب الدهون عادة من قبل المذيبات المستخدمة في إعداد العينة. على هذا النحو، ستبدو العينات التي جرى إعدادها بهذه الطريقة أن بها ثقوبًا فارغة داخل الخلايا حيث تمت إزالة الدهون. كما أن بقع الدهون الاستثنائية، مثل البقع السودانية ورباعي أكسيد الأزميوم قادرة على الاحتفاظ بقطرات الدهون وإظهارها، بالتالي تشير إلى وجود الدهون بشكل أكثر حسمًا. ويمكن أن تُظهر أيضًا التراكمات الأخرى داخل الخلايا، مثل الماء أو الجليكوجين، فجوات واضحة، وبالتالي فإنه يصبح من الضروري استخدام بقع لتحديد المواد المتراكمة بشكل أفضل.
ويسبب التنكس الدهني تضخم الأعضاء بشكل صارخ، وتفتيحًا في اللون.[5] ويرجع هذا إلى المحتوى الدهني المرتفع الذي يزيد من حجم العضو ويصبح مرئيًا بالعين المجردة. وفي الحالات الشديدة، قد يصبح العضو إلى حد كبير متضخمًا، ودهنيًا، ومصفرّ المظهر.
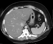
التصوير الإشعاعي

في التصوير المقطعي المحوسب (CT)، سيحد محتوى الدهون الزائد من كثافة أنسجة الكبد، مما يجعل الصورة أقل سطوعًا. عادةً تكون كثافتا الطحال والكبد متعادلتين تقريبًا. في التنكس الدهني، هناك فرق بين الكثافة وسطوع العضوين، حيث يظهر الكبد أكثر قتامة.[10] على جهاز الموجات فوق الصوتية، تبدو الدهون أكثر مولد للصدى (قادرة على عكس الموجات الصوتية). كما أن تركيبة التنكس الدهني للكبد قاتمة على الصور المقطعية المحوسبة وساطعة على جهاز الموجات فوق الصوتية، مما يعرف أحيانًا بعلامة تخبط الوجه.
انظر أيضًا
المراجع
- Araya Q AV; et al. (2006). "Glucose tolerance alterations and frequency of metabolic syndrome among patients with non alcoholic fatty liver disease". Rev Med Chil. 134 (9): 1092–1098. PMID 17167710. الوسيط
|CitationClass=تم تجاهله (مساعدة); Explicit use of et al. in:|مؤلف=(مساعدة) - Conde Martel A; et al. (1993). "Liver changes in protein malnutrition. An experimental study in rats". Nutr Hosp. 8 (6): 358–363. PMID 8373879. الوسيط
|CitationClass=تم تجاهله (مساعدة); Explicit use of et al. in:|مؤلف=(مساعدة) - MJ Brookes, BT Cooper (2007). "Hypertension and fatty liver: guilty by association?". J Hum Hypertens. 21 (4): 264–270. doi:10.1038/sj.jhh.1002148. PMID 17273155. الوسيط
|CitationClass=تم تجاهله (مساعدة) - S Saadeh (2007). "Nonalcoholic Fatty liver disease and obesity". Nutr Clin Pract. 22 (1): 1–10. doi:10.1177/011542650702200101. PMID 17242448. الوسيط
|CitationClass=تم تجاهله (مساعدة) - Cotran (1998). Robbins Pathologic Basis of Disease. Philadelphia: W.B Saunders Company. ISBN 0-7216-7335-X. الوسيط
|CitationClass=تم تجاهله (مساعدة) - MH Ahmed, CD Byrne (2010). "Obstructive sleep apnea syndrome and fatty liver: association or causal link?". World J Gastroenterol. 16 (34): 4243–52. PMID 20818807. الوسيط
|CitationClass=تم تجاهله (مساعدة) - H Singh, R Pollock, J Uhanova, M Kryger, K Hawkins, GY Minuk (2005). "Symptoms of Obstructive Sleep Apnea in Patients with Nonalcoholic Fatty Liver Disease". Digestive Diseases and Sciences. 50 (12): 2338–2343. doi:10.1007/s10620-005-3058-y. الوسيط
|CitationClass=تم تجاهله (مساعدة)صيانة CS1: أسماء متعددة: قائمة المؤلفون (link) - F Tanne, F Gagnadoux, O Chazouilleres, B Fleury, D Wendum, E Lasnier, B Labeau, R Poupon, L Serfaty (2005). "Chronic Liver Injury During Obstructive Sleep Apnea". Hepatology. 41 (6): 1290–1296. doi:10.1002/hep.20725. الوسيط
|CitationClass=تم تجاهله (مساعدة)صيانة CS1: أسماء متعددة: قائمة المؤلفون (link) - Bhattacharjee et al, 2010. http://www.ncbi.nlm.nih.gov/pmc/articles/PMC2938852/pdf/aasm.33.9.1133.pdf نسخة محفوظة 2020-06-08 على موقع واي باك مشين.
- Helms, Clyde A.; Brant, William E. (2007). Fundamentals of diagnostic radiology. Phila: Lippincott, Williams & Wilkins. ISBN 0-7817-6135-2. الوسيط
|CitationClass=تم تجاهله (مساعدة)صيانة CS1: أسماء متعددة: قائمة المؤلفون (link)
- بوابة طب