جسم حديدي
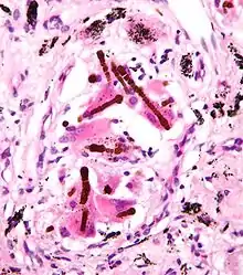
الجسم الحديدي[1] (بالإنجليزية: Ferruginous body) هو باثولوجيا الانسجة في مرض الرئة الخلالي متأثر من الأسبستوس الكبير. يرتبط هذا المرض مع بعض المهن والأعمال البنائية مثل بناء السفن، والأسطح، والسباكة، والبناء. تظهر على شكل عقيدات ذات بنية صغيرة تتمركز في حاجز الحويصلة. الأجسام الحديدية عادة ما تكون مؤشرا على إلى استنشاق معدن الأسبستوس (عندما يتم التحقق من وجود الأسبستوس تسمى "أجسام الأسبستوس"). في هذه الحالة فهي ألياف من الاسبستوس المغلفة مع مادة غنية بالحديد مشتقة من البروتينات مثل فيريتين و هيموسيديرين.[2] من المعتقد أن الأجسام الحديدية قد تكون إصابات البلاعم التي تعرضت للالتهاب وحاولت هضم الألياف.

أجسام حديدية (H&E)
المراجع
- "Al-Qamoos القاموس - English Arabic dictionary / قاموس إنجليزي عربي". www.alqamoos.org. مؤرشف من الأصل في 26 يونيو 2018. اطلع عليه بتاريخ 26 يونيو 2018. الوسيط
|CitationClass=تم تجاهله (مساعدة) - Formation of ferruginous bodies نسخة محفوظة 30 يناير 2009 على موقع واي باك مشين.
- بوابة طب
This article is issued from Wikipedia. The text is licensed under Creative Commons - Attribution - Sharealike. Additional terms may apply for the media files.