خراج الرئة
خراج الرئة هو نخر الأنسجة الرئوية وتشكُل التجاويف (أكبر من 2 سم)[3] وتحتوي على حطام نخري أو سوائل ناجمة عن العدوى الجرثومية.
| خراج الرئة | |
|---|---|
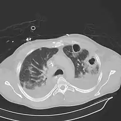
![]() تصوير مقطعي محوسب للصدر ويُلاحظ ذات الرئة ثنائية مع خراجات، انصبابات وتجاويف. لرجل عمره 37 سنة. تصوير مقطعي محوسب للصدر ويُلاحظ ذات الرئة ثنائية مع خراجات، انصبابات وتجاويف. لرجل عمره 37 سنة. | |
| معلومات عامة | |
| الاختصاص | طب الرئة |
| من أنواع | مرض رئوي ، وخراج |
| الأسباب | |
| عوامل الخطر | تدخين [1] |
| المظهر السريري | |
| الأعراض | نخر [2] |
يعتبر الإدمان على الكحول السبب الرئيسي لمرض خراج الرئة.
يُعتبر خراج الرئة أولي ويشكل 60% [4]) من الحالات عندما ينتج المرض من عملية متني الرئة الموجودة، أما الثانوي يكون كمضاعفات لانسداد وعاء دموي أو بسبب تمزق خراج خارج الرئة ودخولة في الرئة.
الأسباب
- شفط من البلعوم أو إفراز معدي.
- انصمام إنتاني.
- نخر ذات الرئة.
- التهاب وعائي:ورام حبيبي مع التهاب وعائي.
- ناخر ورمي:8% حتى 18% من الحالات بسبب نخر لجميع الفئات العمرية، وترتفع النسبة عند كبار السن، ويعتبر سرطان الخلية الحرشفية هو الأكثر شيوعًا.
الجراثيم:[5]
- كائن لاهوائي:Peptostreptococcus، عصوانية والأنواع المغزلية.
- أليف الهواء القليل عقدية:Streptococcus milleri.
- كائن هوائي:عنقودية، كليبسيللا، مستدمية، زائفة، نوكاردية، إشريكية قولونية، عقدية ومتفطرة.[6]
- فطريات:مبيضة ورشاشية.
- طفيليات:متحولة حالة للنسج.
العلامات والأعراض
ظهور الأعراض غالبا ما تكون تدريجية ولكن في التهاب العنقوديات أو سالبة الجرام مرضى الالتهابات الرئوية العصوي يمكن أن يكون مريضا بشكل حاد. السعال والحمى والارتعاش والتعرق الليلي وغالبا ما تكون موجودة. السعال يمكن أن تكون منتجة مع بلغم صديدي ذي رائحة كريهة (≈70٪) أو أقل في كثير من الأحيان مع الدم (أي نفث الدم في حالات الثلث). الأشخاص المصابون قد يشكون أيضا من آلام في الصدر وضيق في التنفس والخمول وغيرها من الميزات المزمنة المرض. المرضى هم دنفية عموما في العرض. تعجر الأصابع تكون موجود في ثلث المرضى. تسوس الأسنان أمر شائع خاصة في المشروبات الكحولية والأطفال. على فحص الصدر سيكون هناك تفاصيل تثبت مثل الثقل الموضعي عند الفحص بالطرق، صوت التنفس القصبي الخ
التشخيص

- تصوير الصدر بالأشعة السينية وأخرى
يُصيب الخراج في كثير من الأحيان جانب واحد ويشمل القطاع الخلفي من الفص العلوي والقطاعات القمية من الفص السفلي عند الإستلقاء. وجود بعض المستويات من هواء سائل يؤدي إلى تمزقات في القصبة أو في قليل من الأحيان نمو الغاز وبالتالي تكوين كائن حي.
- دراسات مخبرية
أرتفاع آثار مؤشرات الألتهاب (سرعة ترسب الدم، البروتين الارتكاسي-C). يعتبر فحص البلغم أمر ضروري ومهم. شفط عبر الرغامي من القصبة (بواسطة تنظير القصبات) لكي تُستخدم في الزرع. تُستخدم الألياف البصرية (تنظير القصبات) لإستبعاد آفة الأنسداد، كما أنه يساعد في تصريف القيح من القصبات الهوائية.
المضاعفات
قليل ما تحدث في هذه الأيام، لكنها تشمل انتشار العدوى إلى أجزاء أخرى من الرئة، توسع القصبات، دبيلة، تجرثم الدم مع النقيلة مثل خراج المخ.[4]
توقعات سير المرض
تستجيب معظم الحالات للمضادات الحيوية والتشخيص يكون ممتاز في العادة. وتبلغ نسبة الوفيات 5% بين المصابين بخراج الرئة.
معرض صور
مراجع
- https://pubmed.ncbi.nlm.nih.gov/25327229
- معرف أنطولوجية المرض: http://www.disease-ontology.org/?id=DOID:0060317 — تاريخ الاطلاع: 29 نوفمبر 2020 — الرخصة: CC0
- Bartlett JG, Finegold SM (1972). "Anaerobic pleuropulmonary infections". Medicine (Baltimore). 51 (6): 413–50. PMID 4564416. الوسيط
|CitationClass=تم تجاهله (مساعدة) - "Pneumonia and Other Pulmonary Infections: Lung Abscess, Medscape". مؤرشف من الأصل في 11 أكتوبر 2007. اطلع عليه بتاريخ 20 يونيو 2007. الوسيط
|CitationClass=تم تجاهله (مساعدة) - Bartlett JG (2005). "The role of anaerobic bacteria in lung abscess". Clin. Infect. Dis. 40 (7): 923–5. doi:10.1086/428586. PMID 15824980. الوسيط
|CitationClass=تم تجاهله (مساعدة) - Hirshberg B, Sklair-Levi M, Nir-Paz R, Ben-Sira L, Krivoruk V, Kramer MR (1999). "Factors predicting mortality of patients with lung abscess". Chest. 115 (3): 746–50. doi:10.1378/chest.115.3.746. PMID 10084487. الوسيط
|CitationClass=تم تجاهله (مساعدة)صيانة CS1: أسماء متعددة: قائمة المؤلفون (link)
- بوابة طب


.jpg.webp)
