خزعة بطانية رحمية
الخزعة البطانية الرحمية أو خزعة بطانة الرحم[1] هي عبارة عن إجراء طبي ينطوي على أخذ عينة من نسيج بطانة الرحم، حيث يخضع النسيج في وقت لاحق لتقييم الأنسجة التي تساعد الطبيب في التشخيص.
| خزعة بطانية رحمية | |
|---|---|
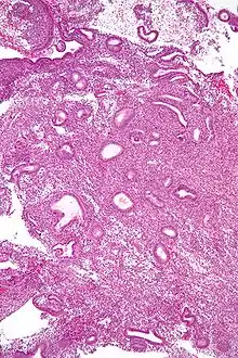
![]() صورة مجهرية توضح خزعة بطانة الرحم لعينة تُشير إلى فرط تنسج بطانة الرحم حيث نسبة الغدة إلى السدي كما هي لكن الغدد لها شكل غير منتظم و/أو مُتسعة. صبغة H&E | |
| من أنواع | خزعة |
| مدلاين بلس | 003917 |
الاستخدامات الطبية
هناك عدد من دواعي للحصول على خزعة بطانة الرحم في امرأة غير حامل:
- النساء المصابات بانقطاع الإباضة المزمن مثل المصابات بمتلازمة تكيس المبيض معرضات بشكل متزايد لخطر الإصابة بمشاكل بطانة الرحم وقد تساعد الخزعة البطانية لتقييم بطانتهن خاصةً لاستبعاد فرط تنسج بطانة الرحم أو السرطان.
- عند النساء المصابات بنزيف مهبلي غير طبيعي قد تشير الخزعة إلى وجود بطانة غير طبيعية مثل فرط تنسج بطانة الرحم أو السرطان.
- في المرضى الذين يعانون من سرطان الرحم المشتبه به قد تكتشف الخزعة وجود خلايا سرطانية في بطانة الرحم أو عنق الرحم.
- في حالة العقم عند النساء يمكن لتقييم البطانة أن يحدد إذا حدثت إباضة للمريضة -إذا تم توقيته بشكل صحيح-، ومع ذلك فإنه يمكن الحصول على نفس المعلومات عن طريق فحص دم لمستوى هرمون البروجسترون.
يتم إجراء التصوير بالموجات فوق الصوتية عبر المهبل عمومًا قبل الحصول على خزعة بطانة الرحم لأنها قد تساعد في تشخيص أمراض النساء أو حتى تجعل أخذ الخزعة زائداً عن الحاجة إذا كانت البطانة رقيقة، فإذا كانت بطانة الرحم أقل من 5 مم على التصوير بالموجات فوق الصوتية فمن غير المعتاد للغاية مواجهة سرطان بطانة الرحم.[2]
وعادة ما يتم الاختبار في النساء فوق سن 35،[3] يمكن الحصول على تقييم الأنسجة الأكثر شمولية عن طريق التوسيع والكشط والذي يتطلب تخديرًا.
موانع الاستخدام
لا يمكن عمل هذا الإجراء في حالات المحمل،[2] لذلك قد تحتاج النساء في السنوات الإنجابية إلى اختبار حمل قبل إجراء الخزعة للتأكد من عدم إجراء الاختبار أثناء الحمل، ويعد مرض التهاب الحوض والتخثر موانع أخرى.[2]
عادةً لا يمكن إجراء خزعة بطانة الرحم كإجراء مكتبي في الأطفال أو الشابات أو النساء المصابات بالتهاب المهبل أو النساء المصابات بتضيق عنق الرحم، ولكن إذا لزم الأمر فيمكن إجراء فحص تحت التخدير في الوقت الذي يمكن فيه أخذ خزعة.
المخاطر
يعتبر الإجراء آمنًا عمومًا إلا أن التشنجات أو آلام الحوض تعد من الآثار الجانبية الشائعة إذا لم تدم طويلًا، وبعد العملية قد يعاني المريض من بعض النزيف، بينما يُعتبر كل من ثقب الرحم أو العدوى مضاعفات نادرة.[3]
ألم
يُعد ألم خزعة بطانة الرحم[4] أمر شائع للغاية، السبب في أن الأطباء يرشون ليدوكائين هو المساعدة في التعامل مع بعض الألم الناتج عن العملية، حيث يمكن لرذاذ الليدوكائين أن يحترق عند رشه في المنطقة، وقد يكون المشبك الذي يتم وضعه على عنق الرحم سببًا آخر للألم والإجراء نفسه، حيث يقوم الطبيب بالحصول على قطعة من البطانة مع وجود أنبوب مؤلم، في معظم الوقت لن يكون هذا مطلوبًا إلا مرة واحدة، ولكن في بعض الأحيان قد يستلزم الإجراء حالتين أو ثلاث حالات للحصول على قطعة من بطانة الرحم.
الإجراء

عمومًا تتبع خزعة بطانة الرحم هذه العملية:
- يُطلب من المريضة الاستلقاء على الطاولة وقدميها عند الركبتين لفحص الحوض، قد تُعطى مخدر موضعي أو لا.
- يتم إدخال منظار في المهبل لإبعاد جدران المهبل وإبراز عنق الرحم، ويتم بعد ذلك تطهير عنق الرحم بمحلول مطهر.
- يتم استعمال خطاف -وهو نوع من الملاقط- لإبقاء عنق الرحم ثابتا للخزعة.
- يتم إدخال مكحت الخزعة في قاع الرحم ومع حركة تجريف ستتم إزالة بعض الأنسجة.
- يتم وضع الأنسجة التي تمت إزالتها في الفورمالين أو ما يعادلها للحفاظ عليها.
- يتم إرسال الأنسجة إلى المختبر حيث سيتم معالجتها واختبارها، وبعد ذلك يقرأها مجهريًا أخصائي علم الأمراض الذي يقدم تشخيص نسيجي.[5]
كل من تطبيق الخطاف وكذلك إزالة الأنسجة من الخزعة قد يسبب الألم، لذلك قد يرغب المرضى عمومًا في تناول بعض أدوية الألم (مثل الإيبوبروفين ) قبل العملية والاستعلام عن التخدير الموضعي.
الأدوات
هناك عدد من أدوات الخزعة قيد الاستخدام، مكحت نوفاك هو أنبوب معدني رفيع مع فتحة جانبية عند الحافة ويمكن تطبيق الشفط مع المحاقن المرفقة للمساعدة في إزالة الأنسجة، بينما بيبيل هو أنبوب بلاستيكي أكثر مرونة مع فتحة جانبية عند الحافة، يتم سحب أنبوب أصغر (مكبس داخلي) داخل البيبيل لحدوث الشفط، وفي الوقت نفسه يتم تدوير الأنابيب وتحريكها للخارج من قاع الرحم إلى قناة عنق الرحم لجمع قطع صغيرة من نسيج بطانة الرحم.[6]
ومؤخرًا تم تقديم تروتيست كوسيلة بديلة لخزعة بطانة الرحم، فبدلًا من استعمال أنبوب شفط تستعمل هذه الوسيلة فرشاة تاو لفرش بطانة الرحم بلطف، وعامةً تم ابتكار هذه الوسيلة لتكون أقل إيلامًا من وسيلة الشفط التقليدية.
مراجع
- Al-Qamoos القاموس | English Arabic dictionary / قاموس إنجليزي عربي نسخة محفوظة 13 أغسطس 2020 على موقع واي باك مشين.
- Christiane Kuntz (يناير 2007). "Endometrial biopsy". Can Fam Physician. 53 (1): 43–44. PMID 17872607. الوسيط
|CitationClass=تم تجاهله (مساعدة) - "Endometrial biopsy". The New York Times. مؤرشف من الأصل في 28 يوليو 2013. اطلع عليه بتاريخ 11 مارس 2010. الوسيط
|CitationClass=تم تجاهله (مساعدة) - "Endometrial biopsy pain". Endometrial Biopsy. مؤرشف من الأصل في 27 مارس 2012. اطلع عليه بتاريخ 4 يونيو 2011. الوسيط
|CitationClass=تم تجاهله (مساعدة) - St. Joseph’s Mercy Health Center – Diagnostic and Surgical Tests and Procedures – Endometrial Biopsy (accessed 7-10-07) نسخة محفوظة 22 أكتوبر 2008 على موقع واي باك مشين.
- Endometrial Biopsy, A Review of Sampling Techniques, Product bulletin from CooperSurgical, the producer of Pipelle. April 2012. نسخة محفوظة 22 فبراير 2014 على موقع واي باك مشين. [وصلة مكسورة]
