فرط تنسج بطانة الرحم
فرط تنسج بطانة الرحم هو حالة التجدد الزائد ل خلايا بطانة الرحم، أو البطانة الداخلية للرحم.[1][2][3]
| Endometrial hyperplasia | |
|---|---|
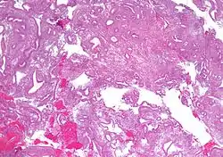
![]() صورة مجهرية showing simple endometrial hyperplasia, where the gland-to-stroma ratio is preserved but the glands have an irregular shape and/or are dilated. خزعة بطانية رحمية. صبغة الهيماتوكسيلين واليوزين. صورة مجهرية showing simple endometrial hyperplasia, where the gland-to-stroma ratio is preserved but the glands have an irregular shape and/or are dilated. خزعة بطانية رحمية. صبغة الهيماتوكسيلين واليوزين. | |
| معلومات عامة | |
| الاختصاص | طب النساء |
| الإدارة | |
| أدوية | |
معظم حالات فرط تنسج بطانة الرحم تنشأ عن ارتفاع مستويات هرمون الاستروجين، جنبا إلى جنب مع مستويات كافية من الهرمونات، مثل هرمون البروجسترون الذي - عادة ما يتم ايقاف تأثيرات الإستروجين الكثيره على هذا النسيج. هذا قد يحدث في اماكن كثيره، من ضمنها السمنة، ومتلازمة المبيض المتعدد الكيسات، هرمون الاستروجين ينتج الأورام (مثل ورم الخلايا الحبيبية ) و اشكال معينة للعلاج ببدائل الاستروجين. فرط تنسج بطانة الرحم غالبا هو أحد عوامل الخطر لتطوير أو حتى المساهمة في وجود سرطان بطانة الرحم، متابعه دقيقه جدا ومعاملة للنساء ممن يعانوا من هذا الخلل هو أمر ضروري.
التصنيف
كـ اضطرابات التجدد الزائده الأخرى، فرط تنسج بطانة الرحم تتمثل في البداية كاستجابة فسيولوجية ل أنسجة بطانة الرحم، كنتيجه لزياده هرمون الاستروجين.بالرغم من ذلك، خلايا الغدد التي تكون بطانة الرحم المتكونه قد يحدث لها تغييرات شبيهه وقد تؤدي ل التغير السرطاني. بعض الأنواع الهامشيه من التشريح المرضي لفرط تنسج بطانة الرحم يمكن التعرف عليه من قبل الطبيب الشرعي، مع آثار للعلاج والتشخيص المختلف.
النظام الأكثر شويعا لتصنيف تضخم الرحم هو منظمة الصحة العالمية، التي لديها أربع فئات : تضخم بسيط دون انمطية، تضخم معقدة دون انمطية، التضخم البسيط المعقد الغامض وتضخم غير نمطي.
فرط تنسج بطانة الرحم (البسيط أو المعقد) - الغير منتظم، والتمدد الكيسي الغددي ( البسيط) أو التكاثر وكليهما ناشئين من الغدد، دون تغييرات مقلقه في ظهور خلايا الغدة الواحده. في دراسه، 1.6% من المرضى الذين تم تشخيصهم مع اضطرابات الرحم بأن هذه التشوهات تؤدي الي السرطان في نهاية المطاف. تضخم غير نمطي لبطانة الرحم (بسيط أو معقد ) - تغييرات هيكليه بسيطة أو معقدة، مثيرة للشك، قد يكون للتغيرات في خلايا الغديه، بما في ذلك الطبقات الخلويه، تلمم، وفقدان القطبية النووي، النوي الكبير، وزيادة في النشاط الانقسامي. هذه التغييرات هي مشابهة لتلك التي ظهرت في الخلايا السرطانية الحقيقية، حيث لا يظهر تضخم غير نمطية مع الامتداد في الأنسجة الضامة، والسمة المميزة ل مرض السرطان. وكما ذكرت الدراسة ان 22% من المرضى الذين يعانون من تضخم غير نمطي، بأنه يتطور الي سرطان في نهاية المطاف.
التشخيص
تشخيص فرط تنسج بطانة الرحم عن طريق إجراء خزعة بطانة الرحم التي تتم في المكتب أو من خلال عملية كحت لتجويف بطانة الرحم للحصول على الأنسجة ل تحليل المرض. الحافز من ذلك الاجراء لمرض بطانة الرحم، هو نزيف الرحم غير طبيعي، أو وجود خلايا غدية غير طبيعيه على مسحة عنق الرحم.
العلاج
علاج تضخم بطانة الرحم الموحد، يمكن أن يشمل العلاج الهرموني، أو المستمر مثل العلاج البروجستين بشكل منتظم، أو استئصال الرحم.
المراجع
- "معلومات عن فرط تنسج بطانة الرحم على موقع disease-ontology.org". disease-ontology.org. مؤرشف من الأصل في 10 ديسمبر 2019. الوسيط
|CitationClass=تم تجاهله (مساعدة) - 621.3
- "معلومات عن فرط تنسج بطانة الرحم على موقع meshb.nlm.nih.gov". meshb.nlm.nih.gov. مؤرشف من الأصل في 27 يونيو 2019. الوسيط
|CitationClass=تم تجاهله (مساعدة)
1*
Cote, Richard; Suster, Saul; Weiss, Lawrence; et al., eds. (2002). Modern Surgical Pathology (2 Volume Set). London: W B Saunders. ISBN 0-7216-7253-1.
2*Skov, B. G.; Broholm, H; Engel, U; Franzmann, M. B.; Nielsen, A. L.; Lauritzen, A. F.; Skov, T (1997). "Comparison of the reproducibility of the WHO classifications of 1975 and 1994 of endometrial hyperplasia". International journal of gynecological pathology : official journal of the International Society of Gynecological Pathologists 16 (1): 33–7. ببمد 8986530.
3*Kurman, Robert J.; Kaminski, Paul F.; Norris, Henry J. (1985). "The behavior of endometrial hyperplasia. A long-term study of "untreated" hyperplasia in 170 patients". Cancer 56 (2): 403–12. doi:10.1002/1097-0142(19850715)56:2<403::AID-CNCR2820560233>3.0.CO;2-X. ببمد 4005805.
انظر أيضا
المصدر
- بوابة طب
