خلل التنسج الليفي للعظم
خلل التنسج الليفي هو اضطراب حيث العظام و نخاع العاديين يتم استبدالهما بالأنسجة الليفية، مما يؤدي إلى تشكيل العظام الضعيفة والمعرضة للتوسع. نتيجة لذلك، تنجم معظم المضاعفات عن الكسر والتشوه والضعف الوظيفي والألم. [1] يحدث المرض على طول الطيف الإكلينيكي الواسع بدءاً من الآفات العرضية بدون أعراض إلى المرض المعوق الحاد. يمكن أن يؤثر المرض على عظمة واحدة ( أحاديية التكاثر ) أو متعدد (تعدد الأصوات) ويمكن أن يحدث بمعزل أو بالاشتراك مع بقع القهوة بالحليب ومع أمراض الغدد الصماء مفرطة الوظائف، والتي تسمى متلازمة ماكيون أولبرايت. [1] نادراً أكثر، قد يرتبط خلل التنسج الليفي بالورم العضلي، الذي يسمى متلازمة مازابراود. [2] خلل التنسج الليفي نادر جدًا ولا يوجد علاج معروف له. خلل التنسج الليفي ليس من أشكال السرطان.
| خلل التنسج الليفي | |
|---|---|
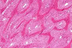
![]() صورة مجهرية تُظهر خلل التنسج الليفي مع السمة الرفيعة غير المنتظمة (الطابع الصيني - مثل) و الترابيق العظمية و ليفي] النخاع العظمي. H&E وصمة عار. صورة مجهرية تُظهر خلل التنسج الليفي مع السمة الرفيعة غير المنتظمة (الطابع الصيني - مثل) و الترابيق العظمية و ليفي] النخاع العظمي. H&E وصمة عار. | |
| معلومات عامة | |
| الاختصاص | علم الوراثة الطبية |
| من أنواع | مرض تجدد العظام |
العرض

خلل التنسج الليفي هو مرض فسيفساء يمكن أن يشمل أي جزء أو مجموعة من الهيكل العظمي القحفي والإبطي و / أو الزائدي. [3] لذلك يعتمد نوع وشدة المضاعفات على موقع ومدى الهيكل العظمي المتأثر. الطيف الإكلينيكي واسع للغاية، يتراوح من آفة أحادية معزولة، بدون أعراض تم اكتشافها بالمصادفة، إلى مرض شديد معوق يشمل عملياً الهيكل العظمي بأكمله ويؤدي إلى فقدان الرؤية والسمع و / أو الحركة.
تظهر آفات العظام الفردية عادة خلال السنوات القليلة الأولى من الحياة وتتوسع أثناء الطفولة. الغالبية العظمى من الآفات العظمية المهمة سريريًا يمكن اكتشافها في سن 10 سنوات، مع ظهورعدد قليل من الآفات العظمية الجديدة والغير المهمة سريريا تقريبًا بعد سن ال15. [4] يعد تصوير الجسم الكلي مفيدًا في تعريف وتحديد مدى آفات العظام، ويجب إجراؤه في جميع المرضى الذين يعانون من خلل التنسج الليفي المشتبه به. [1]
الأطفال الذين يعانون من خلل التنسج الليفي في الهيكل العظمي الزائدي يصابون عادةً بالكسور والعرج والألم و / أو الكسور المرضية. قد تؤدي الكسور المتكررة والتشوه التدريجي إلى صعوبات في التمويه وضعف الحركة. في الهيكل العظمي القحفي، قد يظهر خلل التنسج الليفي على أنه "كتلة" غير مؤلمة أو عدم تناسق في الوجه. توسيع الآفات القحفية قد يؤدي إلى تشوه الوجه التدريجي. في حالات نادرة، قد يصاب المرضى بفقدان الرؤية و / أو السمع بسبب تناقص الأعصاب البصرية و / أو القنوات السمعية، وهو أمر شائع أكثر في المرضى الذين يعانون من زيادة هرمون النمو المرتبطة بمتلازمة ماكون-أولبرايت. [5] خلل التنسج الليفي عادة ما يشتمل على العمود الفقري، وقد يؤدي إلى الإصابة بالجنف، والذي قد يكون شديد في حالات نادرة. [6] الجنف التدريجي غير المعالج هو أحد الميزات القليلة لخلل التنسج الليفي الذي يمكن أن يؤدي إلى الوفاة المبكرة.
ألم العظام هو أحد المضاعفات الشائعة لخلل التنسج الليفي. قد تظهر في أي عمر، ولكنها تتطور بشكل شائع أثناء فترة المراهقة وتتطور إلى مرحلة البلوغ. [3]
تنتج خلايا انسجة النخاع العظمي في خلل التنسج الليفي كميات زائدة لهرمون عامل نمو الخلايا الليفية-23 (FGF23) الخافض للفوسفات، مما يؤدي إلى فقدان الفوسفات في البول. [7] المرضى الذين يعانون من نقص فوسفات الدم قد يصابون بالكساح / هشاشة العظام وزيادة الكسور وآلام العظام. [8]

الفيزيولوجيا المرضية
خلل التنسج الليفي هو مرض فسيفساء الناتج عن طفرات تفعيل البعد الاقحي من GNAS مكان في 20q13.2-q13.3، التي تشفر للوحدة الفرعية α من G s مستقبلات البروتين المقترنة بG. [9] في العظم، ينتج عن إشارات G s α التأسيسية ضعف التمايز وانتشار خلايا انسجة النخاع العظمي. [10] انتشار هذه الخلايا يؤدي إلى استبدال العظام الطبيعية ونخاع الأنسجة ليفية. الترابيق العظمية رقيقة بشكل غير طبيعي وغير منتظم، وغالبًا ما تشبه المقاطع الصينية (الشويكات العظمية على الخزعة).
خلل التنسج الليفي ليس وراثيًا، ولم تحدث أي حالة انتقال من الأب إلى الطفل.
التشخيص
الأشعة ببلي السينية للآفة الخلوية / اختبارات التصوير الزجاجي الأرضي. يمكن استخدام التصوير المقطعي المحوسب أو التصوير بالرنين المغناطيسي لتحديد مدى تأثر عظامك. فحص العظام. يستخدم هذا الاختبار أجهزة تتبع إشعاعية، يتم حقنها في مجرى الدم. تستهلك الأجزاء التالفة من عظامك المزيد من أجهزة التتبع، والتي تظهر بشكل أكثر سطوعًا على المسح. خزعة. يستخدم هذا الاختبار إبرة مجوفة لإزالة قطعة صغيرة من العظام المصابة للتحليل المختبري.
العلاج
العلاج في خلل التنسج الليفي هو في الأساس مسكن للآلام، ويركز على إدارة الكسور ومنع التشوه. لا توجد أدوية قادرة على تغيير مسار المرض. قد يكون البايفوسفونيت عن طريق الوريد مفيدًا لعلاج آلام العظام، ولكن لا يوجد دليل واضح على أنها تقوي الآفات النخرية للعظام أو تمنع الكسور. [11] [12] التقنيات الجراحية الفعالة في الاضطرابات الأخرى، مثل ترقيع العظام، والكشط، والصفائح والبراغي، غالبًا ما تكون غير فعالة في خلل التنسج الليفي ويجب تجنبها. [13] [14] يفضل بشكل عام استخدام قضبان داخل النخاع لإدارة الكسور والتشوه في الأطراف السفلية. [14] عموما يمكن إدارة الجنف التدريجي مع الأجهزة القياسية وتقنيات الانصهار. [15] الإدارة الجراحية في الهيكل العظمي القحفي معقد بسبب نمو FD المتكرر بعد العملية الجراحية، وينبغي أن تركز على تصحيح التشوهات الوظيفية. [16] يزيد تخفيف الضغط العصبي البصري الوقائي من خطر فقد الرؤية وهو بطلان. [17]
تعد إدارة أمراض الغدد الصماء عنصرا حاسما في الإدارة في FD. يجب تقييم جميع المرضى الذين يعانون من خلل التنسج الليفي وعلاجهم من أمراض الغدد الصماء المرتبطة بمتلازمة ماكون أولبرايت. على وجه الخصوص زيادة إفراز هرمون النمو قد يؤدي إلى تفاقم خلل التنسج الليفي القحفي ويزيد من خطر العمى. [18] نقص فوسفات الدم غير المعالج يزيد من آلام العظام وخطر الكسور. [19]
انظر أيضًا
المراجع
- Boyce, Alison M.; Collins, Michael T. (1993-01-01). Pagon; Adam; Ardinger; Wallace; Amemiya; Bean; Bird; Fong; Mefford (المحررون). Fibrous Dysplasia/McCune-Albright Syndrome. Seattle (WA): University of Washington, Seattle. PMID 25719192. مؤرشف من الأصل في 18 ديسمبر 2019. الوسيط
|CitationClass=تم تجاهله (مساعدة) - Cabral, C. E.; Guedes, P.; Fonseca, T.; Rezende, J. F.; Cruz Júnior, L. C.; Smith, J. (1998-05-01). "Polyostotic fibrous dysplasia associated with intramuscular myxomas: Mazabraud's syndrome". Skeletal Radiology. 27 (5): 278–282. doi:10.1007/s002560050381. ISSN 0364-2348. PMID 9638839. مؤرشف من الأصل في 18 ديسمبر 2019. الوسيط
|CitationClass=تم تجاهله (مساعدة) - Kelly, M. H.; Brillante, B.; Collins, M. T. (2008-01-01). "Pain in fibrous dysplasia of bone: age-related changes and the anatomical distribution of skeletal lesions". Osteoporosis International. 19 (1): 57–63. doi:10.1007/s00198-007-0425-x. ISSN 0937-941X. PMID 17622477. مؤرشف من الأصل في 18 ديسمبر 2019. الوسيط
|CitationClass=تم تجاهله (مساعدة) - Hart, Elizabeth S.; Kelly, Marilyn H.; Brillante, Beth; Chen, Clara C.; Ziran, Navid; Lee, Janice S.; Feuillan, Penelope; Leet, Arabella I.; Kushner, Harvey (2007-09-01). "Onset, progression, and plateau of skeletal lesions in fibrous dysplasia and the relationship to functional outcome". Journal of Bone and Mineral Research. 22 (9): 1468–1474. doi:10.1359/jbmr.070511. ISSN 0884-0431. PMID 17501668. الوسيط
|CitationClass=تم تجاهله (مساعدة) - Cutler, Carolee M.; Lee, Janice S.; Butman, John A.; FitzGibbon, Edmond J.; Kelly, Marilyn H.; Brillante, Beth A.; Feuillan, Penelope; Robey, Pamela G.; DuFresne, Craig R. (2006-11-01). "Long-term outcome of optic nerve encasement and optic nerve decompression in patients with fibrous dysplasia: risk factors for blindness and safety of observation". Neurosurgery. 59 (5): 1011–1017, discussion 1017–1018. doi:10.1227/01.NEU.0000254440.02736.E3. ISSN 1524-4040. PMID 17143235. مؤرشف من الأصل في 18 ديسمبر 2019. الوسيط
|CitationClass=تم تجاهله (مساعدة) - Leet, Arabella I.; Magur, Edward; Lee, Janice S.; Wientroub, Shlomo; Robey, Pamela G.; Collins, Michael T. (2004-03-01). "Fibrous dysplasia in the spine: prevalence of lesions and association with scoliosis". The Journal of Bone and Joint Surgery. American Volume. 86-A (3): 531–537. ISSN 0021-9355. PMID 14996879. الوسيط
|CitationClass=تم تجاهله (مساعدة) - Riminucci, Mara; Collins, Michael T.; Fedarko, Neal S.; Cherman, Natasha; Corsi, Alessandro; White, Kenneth E.; Waguespack, Steven; Gupta, Anurag; Hannon, Tamara (2003-09-01). "FGF-23 in fibrous dysplasia of bone and its relationship to renal phosphate wasting". The Journal of Clinical Investigation. 112 (5): 683–692. doi:10.1172/JCI18399. ISSN 0021-9738. PMID 12952917. الوسيط
|CitationClass=تم تجاهله (مساعدة) - Leet, Arabella I.; Chebli, Caroline; Kushner, Harvey; Chen, Clara C.; Kelly, Marilyn H.; Brillante, Beth A.; Robey, Pamela G.; Bianco, Paolo; Wientroub, Shlomo (2004-04-01). "Fracture incidence in polyostotic fibrous dysplasia and the McCune-Albright syndrome". Journal of Bone and Mineral Research. 19 (4): 571–577. doi:10.1359/JBMR.0301262. ISSN 0884-0431. PMID 15005844. الوسيط
|CitationClass=تم تجاهله (مساعدة) - Weinstein, L. S.; Shenker, A.; Gejman, P. V.; Merino, M. J.; Friedman, E.; Spiegel, A. M. (1991-12-12). "Activating mutations of the stimulatory G protein in the McCune-Albright syndrome". The New England Journal of Medicine. 325 (24): 1688–1695. doi:10.1056/NEJM199112123252403. ISSN 0028-4793. PMID 1944469. الوسيط
|CitationClass=تم تجاهله (مساعدة) - Riminucci, M.; Fisher, L. W.; Shenker, A.; Spiegel, A. M.; Bianco, P.; Gehron Robey, P. (1997-12-01). "Fibrous dysplasia of bone in the McCune-Albright syndrome: abnormalities in bone formation". The American Journal of Pathology. 151 (6): 1587–1600. ISSN 0002-9440. PMID 9403710. الوسيط
|CitationClass=تم تجاهله (مساعدة) - Plotkin, Horacio; Rauch, Frank; Zeitlin, Leonid; Munns, Craig; Travers, Rose; Glorieux, Francis H. (2003-10-01). "Effect of pamidronate treatment in children with polyostotic fibrous dysplasia of bone". The Journal of Clinical Endocrinology and Metabolism. 88 (10): 4569–4575. doi:10.1210/jc.2003-030050. ISSN 0021-972X. PMID 14557424. الوسيط
|CitationClass=تم تجاهله (مساعدة) - Boyce, Alison M.; Kelly, Marilyn H.; Brillante, Beth A.; Kushner, Harvey; Wientroub, Shlomo; Riminucci, Mara; Bianco, Paolo; Robey, Pamela G.; Collins, Michael T. (2014-11-01). "A randomized, double blind, placebo-controlled trial of alendronate treatment for fibrous dysplasia of bone". The Journal of Clinical Endocrinology and Metabolism. 99 (11): 4133–4140. doi:10.1210/jc.2014-1371. ISSN 1945-7197. PMID 25033066. الوسيط
|CitationClass=تم تجاهله (مساعدة) - Leet, Arabella I.; Boyce, Alison M.; Ibrahim, Khalda A.; Wientroub, Shlomo; Kushner, Harvey; Collins, Michael T. (2016-02-03). "Bone-Grafting in Polyostotic Fibrous Dysplasia". The Journal of Bone and Joint Surgery. American Volume. 98 (3): 211–219. doi:10.2106/JBJS.O.00547. ISSN 1535-1386. PMID 26842411. الوسيط
|CitationClass=تم تجاهله (مساعدة) - Stanton, Robert P.; Ippolito, Ernesto; Springfield, Dempsey; Lindaman, Lynn; Wientroub, Shlomo; Leet, Arabella (2012-05-24). "The surgical management of fibrous dysplasia of bone". Orphanet Journal of Rare Diseases. 7 Suppl 1: S1. doi:10.1186/1750-1172-7-S1-S1. ISSN 1750-1172. PMID 22640754. الوسيط
|CitationClass=تم تجاهله (مساعدة) - Leet, Arabella I.; Magur, Edward; Lee, Janice S.; Wientroub, Shlomo; Robey, Pamela G.; Collins, Michael T. (2004-03-01). "Fibrous dysplasia in the spine: prevalence of lesions and association with scoliosis". The Journal of Bone and Joint Surgery. American Volume. 86-A (3): 531–537. ISSN 0021-9355. PMID 14996879. مؤرشف من الأصل في 18 ديسمبر 2019. الوسيط
|CitationClass=تم تجاهله (مساعدة) - Lee, J. S.; FitzGibbon, E. J.; Chen, Y. R.; Kim, H. J.; Lustig, L. R.; Akintoye, S. O.; Collins, M. T.; Kaban, L. B. (2012-05-24). "Clinical guidelines for the management of craniofacial fibrous dysplasia". Orphanet Journal of Rare Diseases. 7 Suppl 1: S2. doi:10.1186/1750-1172-7-S1-S2. ISSN 1750-1172. PMID 22640797. الوسيط
|CitationClass=تم تجاهله (مساعدة) - Amit, Moran; Collins, Michael T.; FitzGibbon, Edmond J.; Butman, John A.; Fliss, Dan M.; Gil, Ziv (2011-01-01). "Surgery versus watchful waiting in patients with craniofacial fibrous dysplasia--a meta-analysis". PLoS One. 6 (9): e25179. doi:10.1371/journal.pone.0025179. ISSN 1932-6203. PMID 21966448. الوسيط
|CitationClass=تم تجاهله (مساعدة) - Boyce, Alison M.; Glover, McKinley; Kelly, Marilyn H.; Brillante, Beth A.; Butman, John A.; Fitzgibbon, Edmond J.; Brewer, Carmen C.; Zalewski, Christopher K.; Cutler Peck, Carolee M. (2013-01-01). "Optic neuropathy in McCune-Albright syndrome: effects of early diagnosis and treatment of growth hormone excess". The Journal of Clinical Endocrinology and Metabolism. 98 (1): E126–134. doi:10.1210/jc.2012-2111. ISSN 1945-7197. PMID 23093488. الوسيط
|CitationClass=تم تجاهله (مساعدة) - Leet, Arabella I.; Chebli, Caroline; Kushner, Harvey; Chen, Clara C.; Kelly, Marilyn H.; Brillante, Beth A.; Robey, Pamela G.; Bianco, Paolo; Wientroub, Shlomo (2004-04-01). "Fracture incidence in polyostotic fibrous dysplasia and the McCune-Albright syndrome". Journal of Bone and Mineral Research. 19 (4): 571–577. doi:10.1359/JBMR.0301262. ISSN 0884-0431. PMID 15005844. الوسيط
|CitationClass=تم تجاهله (مساعدة)
قراءة متعمقة
- GeneReviews دخول لخلل التنسج الليفي / متلازمة ماكون أولبرايت
روابط خارجية
| تصنيف | |
|---|---|
| موارد خارجية |
- بوابة طب
صور وملفات صوتية من كومنز
