خلية أليوية
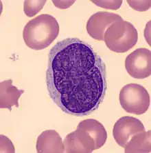
الخلايا الأليوية (بالإنجليزية: Buttock cell) هي خلايًا مُثَلَّمة المظهر، تُوجد في أنواعٍ معينةٍ من الأورام الخبيثة،[1] مثل اللمفوما اللاهودجكينية (وتتضمن اللمفوما الجريبية)[2][3] والفطار الفطراني[4] ومرض سيزاري.[4][5]

خلية أليوية في مرض سيزاري (دم مُحيطي مصبوغ بصبغة MGG)
انظر أيضًا
المراجع
- DeVita Jr., Vincent T.; Lawrence, Theodore S.; Rosenberg, Steven A. (7 يناير 2015). DeVita, Hellman, and Rosenberg's Cancer: Principles & Practice of Oncology (باللغة الإنجليزية). Wolters Kluwer Health. صفحة 5795. ISBN 9781469894553.
Involvement of peripheral blood with malignant cells is commonly seen, and morphologically, these cells have notches and have been referred to as buttock cells.
الوسيط|CitationClass=تم تجاهله (مساعدة) - Spitalnik, Steven L.; Arinsburg, Suzanne; Jhang, Jeffrey (22 سبتمبر 2014). Clinical Pathology Board Review (باللغة الإنجليزية). Elsevier Health Sciences. صفحة 310. ISBN 9780323186551.
It is important to be able to recognize buttock cells and to know that they represent cleaved centrocytic cells of follicular lymphoma.
الوسيط|CitationClass=تم تجاهله (مساعدة) - Verbunt RJ, den Ottolander GJ, Kluin PM, Brederoo P, Kluin-Nelemans HC (1989). "Circulating buttock cells in non-Hodgkin's lymphoma" (باللغة الإنجليزية). 3 (8): 578–84. PMID 2787452.
Leukemic B cells with a characteristically sharp nuclear cleft seemingly dividing the nucleus into two or more parts have been entitled "buttock cells" and are subject of this study. These cells were found in leukemic non-Hodgkin's lymphomas (NHL) and usually have been related to follicular center cell lymphomas.
الوسيط|CitationClass=تم تجاهله (مساعدة); Cite journal requires|journal=(مساعدة) - O'Connell, Theodore X. (28 نوفمبر 2013). USMLE Step 2 Secrets (باللغة الإنجليزية). Elsevier Health Sciences. صفحة 240. ISBN 9780323225021. الوسيط
|CitationClass=تم تجاهله (مساعدة) - Mazza, Joseph (2002). Manual of Clinical Hematology (باللغة الإنجليزية). Lippincott Williams & Wilkins. صفحة 320. ISBN 9780781729802.
Patients with low-grade (small-cell or nodular small-cell types) lymphoma may have peripheral blood involvement that may be evident on the peripheral blood smear as immature lymphocytes with cleft nuclei (buttock cells).
الوسيط|CitationClass=تم تجاهله (مساعدة)
- بوابة طب
This article is issued from Wikipedia. The text is licensed under Creative Commons - Attribution - Sharealike. Additional terms may apply for the media files.