خلية كبيرة
خلية كبيرة هو مصطلحٌ في علم الأورام، لا يُقصد به أيُ نوعٍ خاصٍ من الخلايا، وإنما يعود على الخلايا التي تكون أكبر من الطبيعي لنفس النوع. عادةً ما يُستعمل لوصف اللمفوما وسرطان الرئة.

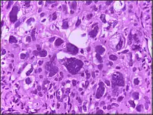
صورة مجهرية لخلايا كبيرة باستعمال صبغة الهيماتوكسيلين واليوزين.
كان المُصطلح يُستعمل سابقًا كثيرًا، وذلك عندما كان الأطباء أحيانًا يستطيعون فقط القول عن حجم الخلية مقارنةً بغيرها، كمان كان يُستخدم لأنظمة التصنيف مثل صيغة العمل للورم الليمفاوي. لذلك فإنَّ هذا المُصطلح يستعمل في العديد من الحالات، حتى عندما لا يكون حجم الخلية معيارًا مهمًا في التشخيص.
يستعمل أيضًا مصطلح الخلية العملاقة، خاصةً مع السرطانة. تتضمن أورام الخلية العملاقة: ورم الخلايا العملاقة من العظام وورم الخلايا العملاقة الوتري الزليلي.[1]
روابط خارجية
- Overview على مايو كلينك
- Large Cell and Giant Cell
- Carcinoma, Giant Cell في المَكتبة الوَطنية الأمريكية للطب نظام فهرسة المواضيع الطبية (MeSH).
خلية كبيرة في المشاريع الشقيقة
صور وملفات صوتية من كومنز
- بوابة طب
This article is issued from Wikipedia. The text is licensed under Creative Commons - Attribution - Sharealike. Additional terms may apply for the media files.